Different Response Behavior to Therapeutic Approaches in Homozygotic Wilson’s Disease Twins with Clinical Phenotypic Variability: Case Report and Literature Review
Abstract
:1. Introduction
2. Case Presentations
2.1. History before First Visit to Our Institution
2.2. History after First Visit to Our Institution
2.3. A History of Sister 1, the Severely Affected Patient
2.4. B History of Sister 2, the Mildly Affected Patient
2.5. Clinical Scores, Liver Enzymes, Urinary Copper and Protein Excretion in Sister 1 and 2 Demonstrating the Development of a Nephrotic Syndrome in Sister 1
2.6. cMRI-, OCT-, ARFI-, US-Investigation and MELD-Scores in Sister 1 and 2
3. Discussion. 1. Previous Reports on Homozygous WD Twins in the Literature
3.1. Lack of Pheno/Genotype Correlation at Onset of Symptoms
3.2. Lack of Pheno/Genotype Correlation after Onset of Therapy
3.3. Possible Influence of Epigenetic Factors
3.4. Possible Influence of Modifier Genes
4. Conclusions
Author Contributions
Funding
Institutional Review Board Statement
Informed Consent Statement
Data Availability Statement
Conflicts of Interest
References
- Bull, P.C.; Thomas, G.R.; Rommens, J.M.; Forbes, J.R.; Cox, D.W. The Wilson disease gene is a putative copper transporting P-type ATPase similar to the Menkes gene. Nat. Genet. 1993, 5, 327–337. [Google Scholar] [CrossRef] [PubMed]
- Petrukhin, K.; Fischer, S.G.; Pirastu, M.; Tanzi, R.E.; Chernov, I.; Devoto, M.; Brzustowicz, L.M.; Cayanis, E.; Vitale, E.; Russo, J.J.; et al. Mapping, cloning and genetic characterization of the region containing the Wilson disease gene. Nat. Genet. 1993, 5, 338–343. [Google Scholar] [CrossRef] [PubMed]
- Tanzi, R.E.; Petrukhin, K.; Chernov, I.; Pellequeret, J.L.; Wasco, W.; Ross, B.; Romano, D.M.; Parano, E.; Pavone, L.; Brzustowicz, L.M.; et al. The Wilson disease gene is a copper transporting ATPase with homology to the Menkes disease gene. Nat. Genet. 1993, 5, 344–350. [Google Scholar] [CrossRef] [PubMed]
- Cooper, D.N.; Ball, E.V.; Krawczak, M.; The Human Gene Mutation Database. QIAGEN. Available online: http://www.hgmd.cf.ac.uk/ac/index.php (accessed on 1 January 2022).
- Stenson, P.D.; Mort, M.; Ball, E.V.; Evans, K.; Hayden, M.; Heywood, S.; Hussain, M.; Phillips, A.D.; Cooper, D.N. The Human Gene Mutation Database: Towards a comprehensive repository of inherited mutation data for medical research, genetic diagnosis and next-generation sequencing studies. Hum. Genet. 2017, 136, 665–677. [Google Scholar] [CrossRef] [Green Version]
- Nose, Y.; Kim, B.-E.; Thiele, D.J. Ctr1 drives intestinal copper absorption and is essential for growth, iron metabolism, and neonatal cardiac function. Cell Metab. 2006, 4, 235–244. [Google Scholar] [CrossRef] [PubMed] [Green Version]
- Ferenci, P. Wilson’s disease. Clin. Gastroenterol. Hepatol. 2005, 3, 726–733. [Google Scholar] [CrossRef]
- Mukhopadhyay, C.K.; Attieh, Z.K.; Fox, P.L. Role of Ceruloplasmin in Cellular Iron Uptake. Science 1998, 279, 714. [Google Scholar] [CrossRef]
- Hellman, N.E.; Gitlin, J.D. Ceruloplasmin metabolism and function. Annu. Rev. Nutr. 2002, 22, 439–458. [Google Scholar] [CrossRef]
- European Association for Study of Liver. EASL clinical practice guidelines: Wilson’s disease. J. Hepatol. 2012, 56, 671–685. [Google Scholar] [CrossRef] [Green Version]
- Hefter, H. Wilson’s disease. Review of pathophysiology, clinical features and drug treatment. CNS Drugs 1994, 2, 26–39. [Google Scholar] [CrossRef]
- Ghika, J.; Vingerhoets, F.; Maeder, P.; Borruat, F.-X.; Bogousslavsky, J. Maladie de Wilson. EMC-Neurol. 2004, 1, 481–511. [Google Scholar] [CrossRef]
- Merle, U.; Schaefer, M.; Ferenci, P.; Stremmel, W. Clinical presentation, diagnosis and long-term outcome of Wilson’s disease: A cohort study. Gut 2007, 56, 115–120. [Google Scholar] [CrossRef] [PubMed]
- Horoupian, D.S.; Sternlieb, I.; Scheinberg, I.H. Neuropathological findings in penicillamine-treated patients with Wilson’s disease. Clin. Neuropathol. 1988, 7, 62–67. [Google Scholar] [PubMed]
- Walshe, J.; Gibbs, K. Brain copper in Wilson’s disease. Lancet 1987, 2, 1030. [Google Scholar] [CrossRef]
- Kuwert, T.; Hefter, H.; Scholz, D.; Milzet, M.; Weiß, P.; Arendt, G.; Herzog, H.; Loken, M.; Hennerici, M.; Feinendegen, L.E. Regional cerebral glucose consumption measured by positron emission tomography in patients with Wilson’s disease. Eur. J. Nucl. Med. 1992, 19, 96–101. [Google Scholar] [CrossRef]
- Schlaug, G.; Hefter, H.; Engelbrecht, V.; Kuwert, T.; Arnold, S.; Stöcklin, G.; Seitz, R.J. Neurological impairment and recovery in Wilson’s disease: Evidence from PET and MRI. J. Neurol. Sci. 1996, 136, 129–139. [Google Scholar] [CrossRef]
- Machado, A.; Chien, H.F.; Deguti, M.M.; Cancado, E.; Azevedo, R.; Scaff, M.; Barbosa, E.R. Neurological manifestations in Wilson’s disease: Report of 119 cases. Mov. Disord. 2006, 21, 2192. [Google Scholar] [CrossRef]
- Bandmann, O.; Weiss, K.H.; Kaler, S.G. Wilson’s disease and other neurological copper disorders. Lancet Neurol. 2015, 15, 103–113. [Google Scholar] [CrossRef] [Green Version]
- Dusek, P.; Litwin, T.; Członkowska, A. Neurologic impairment in Wilson disease. Ann. Transl. Med. 2019, 7, S64. [Google Scholar] [CrossRef]
- Bethin, K.E.; Cimato, T.; Ettinger, M.J. Copper Binding to Mouse Liver S-adenosylhomocysteine hydrolase and the effects of copper on its levels. J. Biol. Chem. 1995, 270, 20703–20711. [Google Scholar] [CrossRef] [Green Version]
- Delgado, M.; Pérez-Miguelsanz, J.; Garrido, F.; Rodríguez-Tarduchy, G.; Pérez-Sala, D.; Pajares, M.A. Early effects of copper accumulation on methionine metabolism. Cell Mol. Life Sci. 2008, 65, 2080–2090. [Google Scholar] [CrossRef] [PubMed] [Green Version]
- Medici, V.; Shibata, N.M.; Kharbanda, K.K.; LaSalle, J.M.; Woods, R.; Liu, S.; Engelberg, J.A.; Devaraj, S.; Török, N.J.; Jiang, J.X.; et al. Wilson’s disease: Changes in methionine metabolism and inflammation affect global DNA methylation in early liver disease. Hepatology 2013, 57, 555–565. [Google Scholar] [CrossRef] [PubMed] [Green Version]
- Medici, V.; Shibata, N.M.; Kharbanda, K.K.; Islam, M.S.; Keen, C.L.; Kim, K.; Tillman, B.; French, S.W.; Halsted, C.H.; LaSalle, J.M. Maternal choline modifies fetal liver copper, gene expression, DNA methylation, and neonatal growth in the tx-j mouse model of Wilson disease. Epigenetics 2014, 9, 286–296. [Google Scholar] [CrossRef] [PubMed] [Green Version]
- Castillo-Fernandez, J.; Spector, T.D.; Bell, J.T. Epigenetics of discordant monozygotic twins: Implications for disease. Genome Med. 2014, 6, 60. [Google Scholar] [CrossRef]
- Senzolo, M.; Loreno, M.; Fagiuoli, S.; Zanus, G.; Canova, D.; Masier, A.; Russo, F.P.; Sturniolo, G.C.; Burra, P. Different neurological outcome of liver transplantation for Wilson’s disease in two homozygotic twins. Clin. Neurol. Neurosurg. 2007, 109, 71–75. [Google Scholar] [CrossRef]
- Członkowska, A.; Gromadzka, G.; Chabik, G. Monozygotic female twins discordant for phenotype of Wilson’s disease. Mov. Disord. 2009, 24, 1066–1069. [Google Scholar] [CrossRef]
- Kegley, K.M.; Sellers, M.A.; Ferber, M.J.; Johnson, M.W.; Joelson, D.W.; Shrestha, R. Fulminant Wilson’s disease requiring liver transplantation in one monozygotic twin despite identical genetic mutation. Am. J. Transplant. 2010, 10, 1325–1329. [Google Scholar] [CrossRef]
- Einer, C.; Leitzinger, C.; Lichtmannegger, J.; Eberhagen, C.; Rieder, T.; Borchard, S.; Wimmer, R.; Denk, G.; Popper, B.; Neff, F.; et al. A high-calorie diet aggravates mitochondrial dysfunction and triggers severe liver damage in Wilson disease rats. Cell. Mol. Gastroenterol. Hepatol. 2019, 7, 571–596. [Google Scholar] [CrossRef] [Green Version]
- Cheng, N.; Wang, X.; Yu, X.; Zhou, Z.; Gao, M.; Rao, R.; Hu, J.; Yang, R.; Han, Y. Clinical and genetic study of Wilson’s disease in affected twins and siblings. Zhonghua Yi Xue Yi Chuan Xue Za Zhi 2013, 30, 261–265. (In Chinese) [Google Scholar] [CrossRef]
- Hefter, H.; Arendt, G.; Stremmel, W.; Freund, H.J. Motor impairment in Wilson’s disease, I: Slowness of voluntary limb movements. Acta Neurol. Scand. 1993, 87, 133–147. [Google Scholar] [CrossRef]
- Medici, V.; Mirante, V.G.; Fassati, L.R.; Pompili, M.; Forti, D.; Del Gaudio, M.; Trevisan, C.P.; Cillo, U.; Sturniolo, G.C.; Fagiuoli, S. Liver transplantation for Wilson’s disease: The burden of neurological and psychiatric disorders. Liver Transplant. 2005, 11, 1056–1063. [Google Scholar] [CrossRef] [PubMed]
- Sturm, J.; Görtz, R.; Pfeifer, L.; Wachter, D.; Neurath, M.; Strobel, D. Cut-off Werte der ARFI (Acoustic Radiation Force Impulse) Elastometrie zur Bestimmung des Grades der Leberfibrose in Patienten mit chronischen Lebererkrankungen. Z. Gastroenterol. 2012, 50, V58. [Google Scholar] [CrossRef]
- Yap, W.W.; Kirke, R.; Yoshida, E.M.; Owen, D.; Harris, A.C. Non-invasive assessment of liver fibrosis using ARFI with pathological correlation, a prospective study. Ann. Hepatol. 2013, 12, 440–447. [Google Scholar] [CrossRef]
- Li, Y.; Ma, J.; Li, B.; Zhu, X.; Wang, J. Cirrhosis of Wilson’s disease: High and low cutoff using acoustic radiation force impulse (ARFI)-Comparison and combination of serum fibrosis index. Clin. Hemorheol. Microcirc. 2021, 79, 575–585. [Google Scholar] [CrossRef]
- Batts, K.P.; Ludwig, J. Chronic hepatitis. An Update on terminology and reporting. Am. J. Surg. Pathol. 1995, 19, 1409–1417. [Google Scholar] [CrossRef]
- Ijomone, O.M.; Ifenatuoha, C.W.; Aluko, O.M.; Ijomone, O.K.; Aschner, M. The aging brain: Impact of heavy metal neurotoxicity. Crit. Rev. Toxicol. 2020, 50, 801–814. [Google Scholar] [CrossRef]
- Burke, J.F.; Dayalu, P.; Nan, B.; Askari, F.; Brewer, G.J.; Lorincz, M.T. Prognostic significance of neurologic examination findings in Wilson disease. Park. Relat. Disord. 2011, 17, 551–556. [Google Scholar] [CrossRef]
- Hefter, H.; Tezayak, O.; Rosenthal, D. Long-term outcome of neurological Wilson’s disease. Park. Rel. Disord 2018, 49, 48–53. [Google Scholar] [CrossRef]
- Hefter, H.; Arendt, G.; Kuwert, T.; Herzog, H.; Feinendegen, L.E.; Stremmel, W. Relationship between striatal glucose consumption and copper excretion in patients with Wilson’s disease treated with D-penicillamine. J. Neurol. 1993, 241, 49–53. [Google Scholar] [CrossRef]
- Sapuppo, A.; Pavone, P.; Praticò, A.D.; Ruggieri, M.; Bertino, G.; Fiumara, A. Genotype-phenotype variable correlation in Wilson disease: Clinical history of two sisters with the similar genotype. BMC Med. Genet. 2020, 21, 128. [Google Scholar] [CrossRef]
- Samadzadeh, S. Long-Term Follow-up of 115 Patients with Wilson’s Disease. Dr. Med Dissertation, University of Düsseldorf, Düsseldorf, Germany, 2022. Available online: https://docserv.uni-duesseldorf.de/servlets/DocumentServlet?id=59305 (accessed on 15 April 2022).



| Sister 1 (Severely Affected Twin) | Sister 2 (Asymptomatic Twin) | |
|---|---|---|
| place of residence | until her marriage at the age of 22 in her parent´s house | until her marriage at the age of 22 in her parent´s house |
| childhood | normal milestones | normal milestones |
| school | normal school, vocational training | normal school, vocational training |
| marriage | after marriage development of health problems, divorce after 2 yrs, return to her parent´s house | lived with her husband at another place, pregnancy soon after marriage, delivery of a healthy son |
| disease development | development of tremor, difficulties in writing, speaking and swallowing as well as a gait disorder | remained healthy |
| general inpatient evaluation | hemochromatosis suspected, but liver biopsy was not conclusive | n.a. |
| neurological inpatient evaluation | normal lumbar puncture Kayser-Fleischer rings were detected | n.a. |
| genetic testing | C.2304dupC;p(Met769Hisf*26) & C.3207C>A;p(His1069Gln) mut. | C.2304dupC;p(Met769Hisf*26) & C.3207C>A;p(His1069Gln) mutation |
| treatment | d-penicillamine (DPA): 300 mg | no treatment |
| Investigation | Sister 1 (Severely Affected Twin) | Sister 2 (Asymptomatic twin) |
|---|---|---|
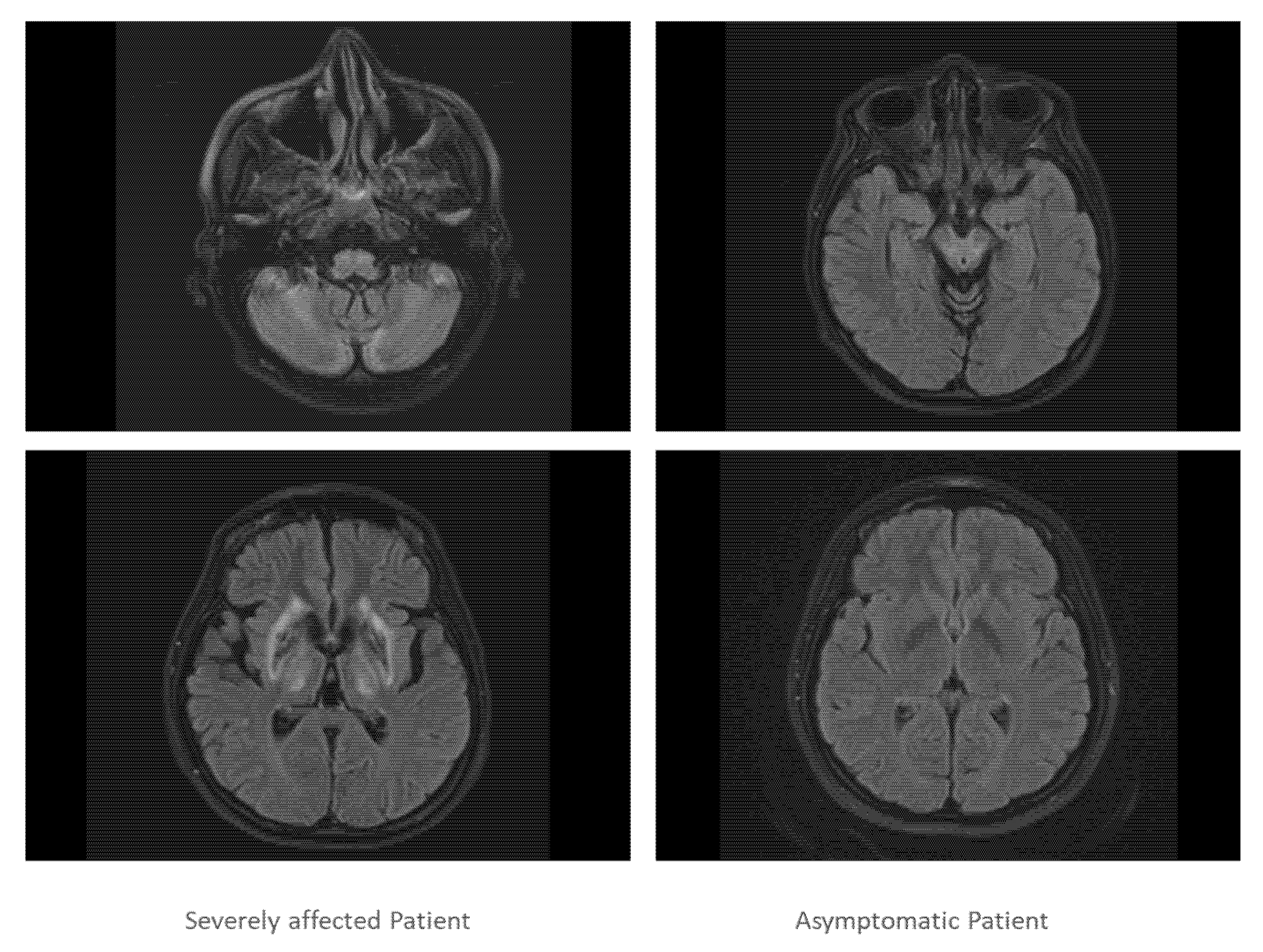
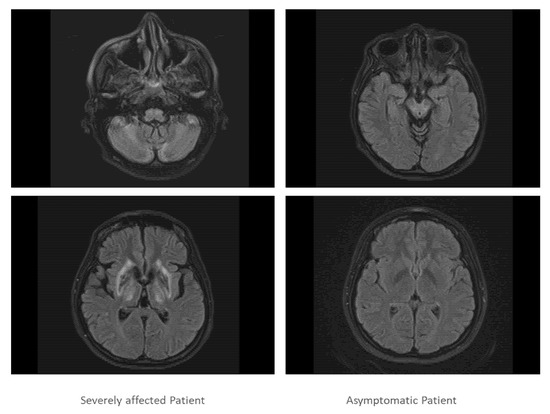
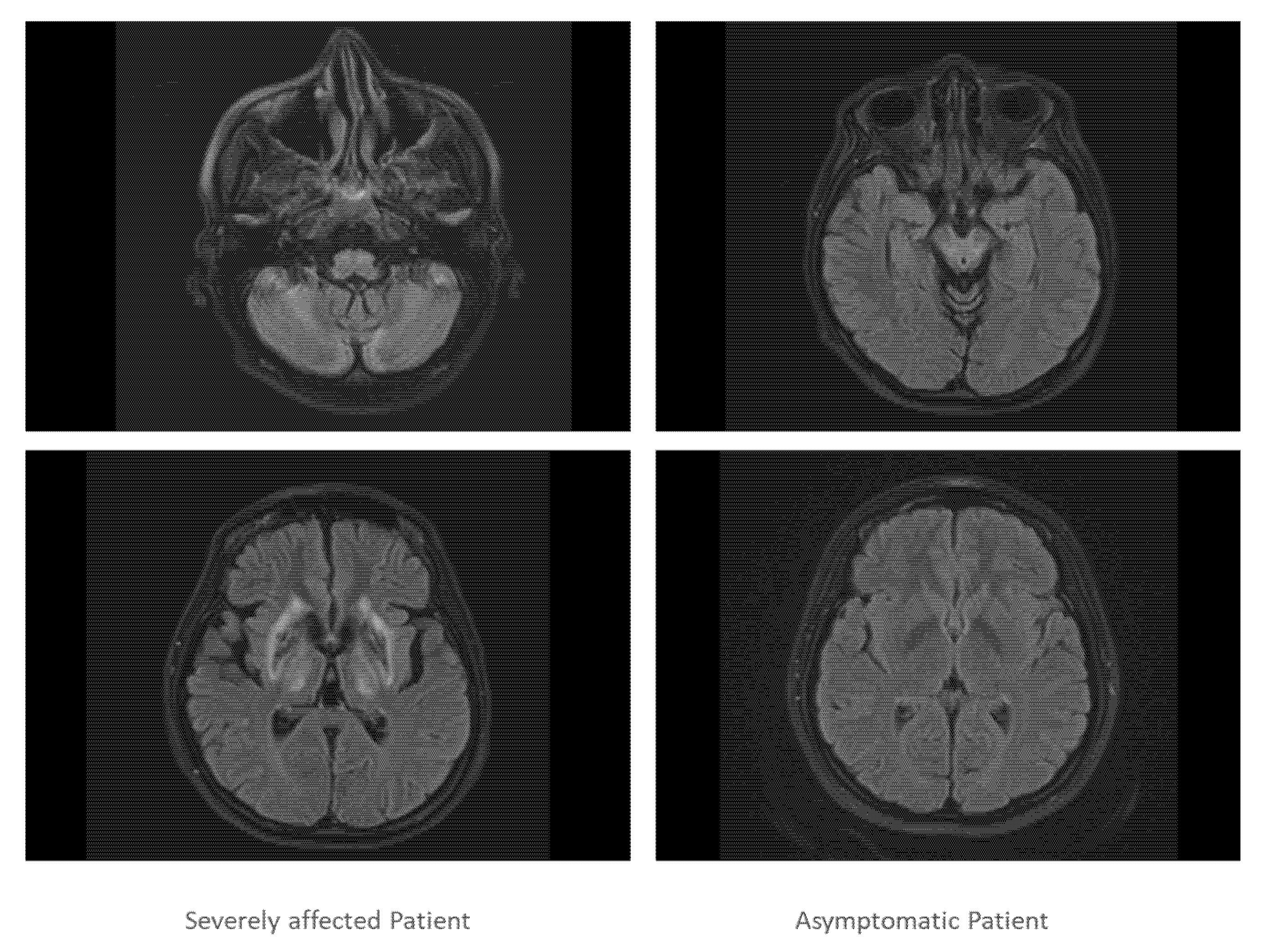
| cMRI | wide-spread impairment (comp. Figure 3 left side) | normal (Figure 3 right side) |
| OCT | normal | normal |
| ARFI | 2.32 m/s (LFS4: cut-off >= 1.76) definite liver cirrhosis [33] | 1.25 m/s (<LFS2: cut-off < 1.27) normal finding [33] |
| US | many echo-reduced knots, moderate to severe liver cirrhosis, HCC not excluded | liver slightly enlarged, several regenerative knots, beginning liver involvement due to WD |
| MELD-score | 11 | 6 |
| Investigation | Severely Affected Twin | Less Affected Twin |
|---|---|---|
| Publication 1: Senzolo et al. [26] | ||
| genetic testing | heterozygous for two different mutations (A1183G/R1319X) | heterozygous for two different mutations (A1183G/R1319X) of ATP7B |
| clinical manifestation, physical examination | bleeding of esophageal varices the extrapyramidal symptoms refractory ascites mild encephalopathy tremor—slurred speech ataxic gait neuropsychiatric disease | ascites portosystemic encephalopathy mild dysarthria neuropsychiatric disorder associated with drug abuse |
| slitlamp (KF-ring) | complete KF-ring | incomplete KF-ring |
| EEG | bitemporal theta activity | mild bitemporal theta activity |
| CT | basal ganglia hypodensity | no anatomical lesions |
| EMG | sensory and motor alteration of the left median nerve | - |
| SPECT | hypoperfusion of the basal nuclei and thalamus | mild tracer defect in both occipital lobes, otherwise normal |
| treatment | zinc sulphate (440 mg t.i.d.) poor compliance | zinc sulphate (440 mg t.i.d.) |
| liver transplantation | died after 2 months | successful |
| Child-Pugh score | C10 | C11 |
| Publication 2: Członkowska et al. [27] | ||
| Twin pair 1 | ||
| genetic testing | heterozygous for c.3207C>A (p.H1069Q) and c.1211_1212insA (p.N404Kfs) | heterozygous for c.3207C>A (p.H1069Q) and c.1211_1212insA (p.N404Kfs) mutations of ATP7B |
| clinical manifestation, physical examination | mild jaundice—fatigue neuropsychiatric symptoms hypomimic face monotonic and slow speech increased muscle tonus postural tremor of extremities broad based and ataxic gait | no history of hepatic, neurological or psychiatric symptoms |
| slitlamp (KF-ring) | bilateral KF-ring | negative for KF-ring |
| abdominal US exam | areas of increased nonhomogeneous echogenicity | normal |
| liver biopsy | scars and regenerative nodules with inflammatory infiltrates liver cirrhosis | n.a. |
| MRI | hyperintensive areas on T2- weighted images in the BG cortical and subcortical brain atrophy | normal |
| Twin pair 2 | ||
| genetic testing | homozygous missense mutation c.3207C>A (p.H1069Q) | homozygous missense mutation c.3207C>A (p.H1069Q) of ATP7B |
| clinical ma-nifestation, physical examination | mild dysarthria slight paresis of left upper arm slight ataxia, broad based gait | no history of hepatic, neurological or psychiatric symptoms |
| slitlamp (KF-ring) | bilateral KF-ring | less saturated bilateral KF-ring |
| abdominal US exam | hepatosplenomegaly within the left lobe, multiple hyperechogenic lesions | hepatosplenomegaly dilated portal vein (11.9 mm) |
| cMRI | increased signal in T2-weighted images of BG, thalamus, mesencephalon, pons and cerebral peduncle, distinct atrophy of cerebellum and features of brainstem atrophy | increased signal in T2-weighted images of the lenticular ganglia, thalamus, cerebral peduncle and pons |
| Publication 3: Kegley et al. [28] | ||
| genetic testing | homozygous mutation (H1069Q) of ATP7B | homozygous mutation (H1069Q) of ATP7B |
| clinical manifestation, physical examination | generalized malaise fatigue and abdominal pain hepatic encephalopathy | no sign and symptoms |
| liver biopsy (10–35 lg/g dry weight) | micronodular cirrhosis with prominent ductular proliferation, cholestasis, mild steatosis and ongoing hepatocyte necrosis quantitative copper: 2241 lg/g dry weight in the explanted liver) | grade 2 inflammation with stage 1 to 2 fibrosis quantitative copper: 1916 lg/g dry weight |
| treatment | denied any medication | firstly denied any medication then copper chelating agent |
| liver transplantation | successful orthotopic liver transplantation | n.a. |
Publisher’s Note: MDPI stays neutral with regard to jurisdictional claims in published maps and institutional affiliations. |
© 2022 by the authors. Licensee MDPI, Basel, Switzerland. This article is an open access article distributed under the terms and conditions of the Creative Commons Attribution (CC BY) license (https://creativecommons.org/licenses/by/4.0/).
Share and Cite
Samadzadeh, S.; Kruschel, T.; Novak, M.; Kallenbach, M.; Hefter, H. Different Response Behavior to Therapeutic Approaches in Homozygotic Wilson’s Disease Twins with Clinical Phenotypic Variability: Case Report and Literature Review. Genes 2022, 13, 1217. https://doi.org/10.3390/genes13071217
Samadzadeh S, Kruschel T, Novak M, Kallenbach M, Hefter H. Different Response Behavior to Therapeutic Approaches in Homozygotic Wilson’s Disease Twins with Clinical Phenotypic Variability: Case Report and Literature Review. Genes. 2022; 13(7):1217. https://doi.org/10.3390/genes13071217
Chicago/Turabian StyleSamadzadeh, Sara, Theodor Kruschel, Max Novak, Michael Kallenbach, and Harald Hefter. 2022. "Different Response Behavior to Therapeutic Approaches in Homozygotic Wilson’s Disease Twins with Clinical Phenotypic Variability: Case Report and Literature Review" Genes 13, no. 7: 1217. https://doi.org/10.3390/genes13071217
APA StyleSamadzadeh, S., Kruschel, T., Novak, M., Kallenbach, M., & Hefter, H. (2022). Different Response Behavior to Therapeutic Approaches in Homozygotic Wilson’s Disease Twins with Clinical Phenotypic Variability: Case Report and Literature Review. Genes, 13(7), 1217. https://doi.org/10.3390/genes13071217

