New Variant in Placophilin-2 Gene Causing Arrhythmogenic Myocardiopathy
Abstract
:1. Introduction
2. Objectives
3. Materials and Methods
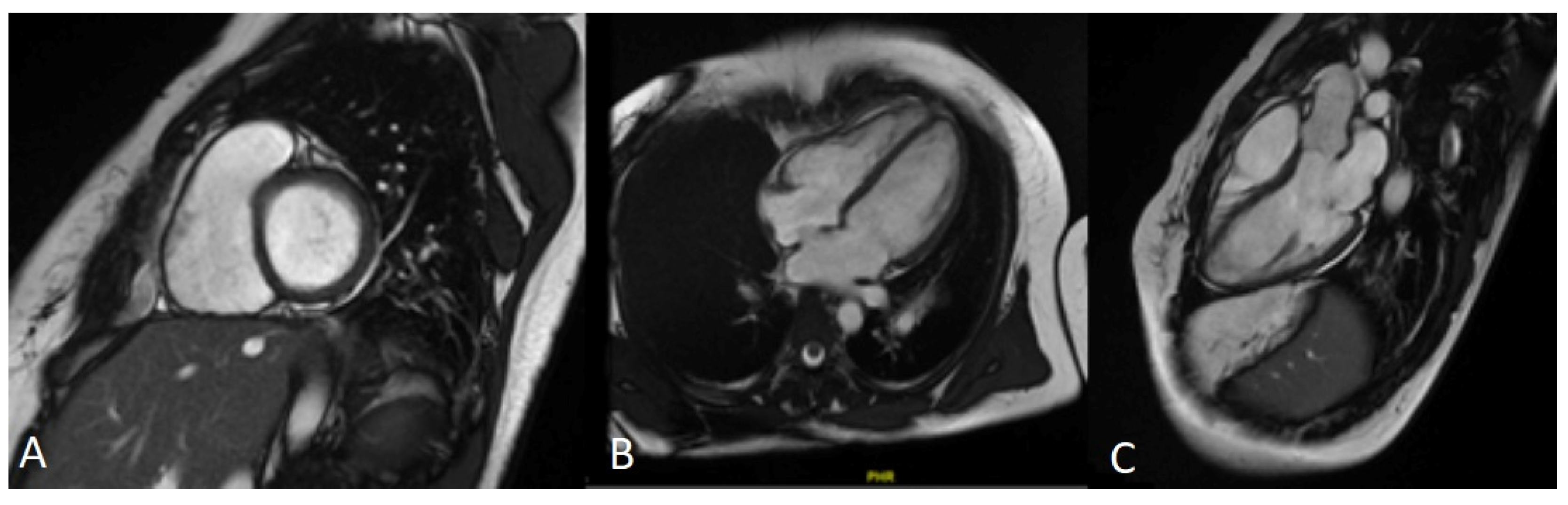
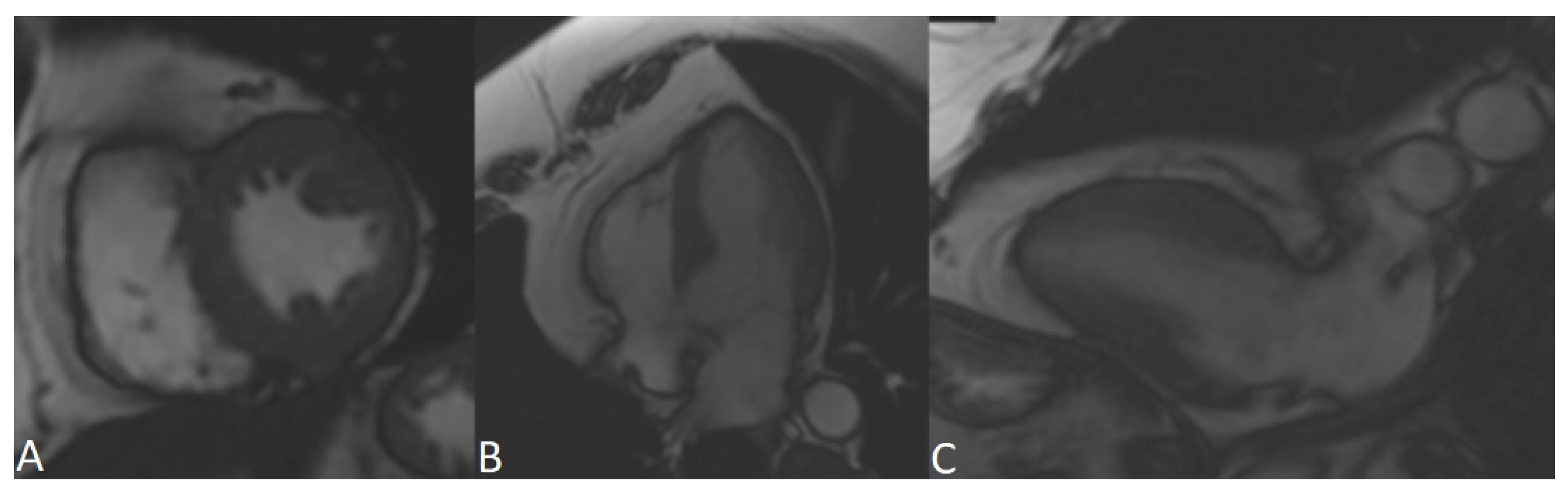
4. Results
5. Discussion
6. Conclusions
Author Contributions
Funding
Institutional Review Board Statement
Informed Consent Statement
Data Availability Statement
Acknowledgments
Conflicts of Interest
References
- Bosman, L.P.; Riele, A.S.J.M.T. Arrhythmogenic right ventricular cardiomyopathy: A focused update on diagnosis and risk stratification. Heart 2021, 108, 90–97. [Google Scholar] [CrossRef] [PubMed]
- Marcus, F.I.; Fontaine, G.H.; Guiraudon, G.; Frank, R.; Laurenceau, J.L.; Malergue, C.; Grosgogeat, Y. Right ventricular dysplasia: A report of 24 adult cases. Circulation 1982, 65, 384–398. [Google Scholar] [CrossRef] [PubMed] [Green Version]
- Ripoll-Vera, T.; Luengo, C.P.; Alcázar, J.C.B.; Ruiz, A.B.G.; Del Valle, N.S.; Martín, B.B.; García, J.L.P.; Buitrago, G.G.; Martínez, C.D.; Villena, J.C.C.; et al. Sudden Cardiac Death in Persons Aged 50 Years or Younger: Diagnostic Yield of a Regional Molecular Autopsy Program Using Massive Sequencing. Rev. Esp. Cardiol. 2020, 74, 402–413. [Google Scholar] [CrossRef]
- Towbin, J.A.; McKenna, W.J.; Abrams, D.; Ackerman, M.J.; Calkins, H.; Darrieux, F.; Daubert, J.P.; De Chillou, C.; DePasquale, E.C.; Desai, M.Y.; et al. 2019 HRS expert consensus statement on evaluation, risk stratification, and management of arrhythmogenic cardiomyopathy. Heart Rhythm 2019, 16, e301–e372. [Google Scholar] [CrossRef] [Green Version]
- Marcus, F.I.; McKenna, W.J.; Sherrill, D.; Basso, C.; Bauce, B.; Bluemke, D.A.; Calkins, H.; Corrado, D.; Cox, M.G.; Daubert, J.P.; et al. Diagnosis of arrhythmogenic right ventricular cardiomyopathy/dysplasia: Proposed Modification of the Task Force Criteria. Eur. Heart J. 2010, 121, 1533–1541. [Google Scholar] [CrossRef]
- Miles, C.; Finocchiaro, G.; Papadakis, M.; Gray, B.; Westaby, J.; Ensam, B.; Basu, J.; Parry-Williams, G.; Papatheodorou, E.; Paterson, C.; et al. Sudden Death and Left Ventricular Involvement in Arrhythmogenic Cardiomyopathy. Circulation 2019, 139, 1786–1797. [Google Scholar] [CrossRef]
- Corrado, D.; Perazzolo Marra, M.; Zorzi, A.; Beffagna, G.; Cipriani, A.; Lazzari, M.; Migliore, F.; Pilichou, K.; Rampazzo, A.; Rigato, I.; et al. Diagnosis of arrhythmogenic cardiomyopathy: The Padua criteria. Int. J. Cardiol. 2020, 319, 106–114. [Google Scholar] [CrossRef]
- Chen, L.; Song, J.; Chen, X.; Chen, K.; Ren, J.; Zhang, N.; Rao, M.; Hu, Z.; Zhang, Y.; Gu, M.; et al. A novel genotype-based clinicopathology classification of arrhythmogenic cardiomyopathy provides novel insights into disease progression. Eur. Heart J. 2019, 40, 1690–1703. [Google Scholar] [CrossRef]
- Mast, T.P.; Teske, A.J.; Walmsley, J.; van der Heijden, J.F.; van Es, R.; Prinzen, F.W.; Delhaas, T.; van Veen, T.A.; Loh, P.; Doevendans, P.A.; et al. Right Ventricular Imaging and Computer Simulation for Electromechanical Substrate Characterization in Arrhythmogenic Right Ventricular Cardiomyopathy. J. Am. Coll. Cardiol. 2016, 68, 2185–2197. [Google Scholar] [CrossRef]
- James, C.A.; Jongbloed, J.D.; Hershberger, R.E.; Morales, A.; Judge, D.P.; Syrris, P.; Pilichou, K.; Domingo, A.M.; Murray, B.; Cadrin-Tourigny, J.; et al. International Evidence Based Reappraisal of Genes Associated With Arrhythmogenic Right Ventricular Cardiomyopathy Using the Clinical Genome Resource Framework. Circ. Genom. Precis. Med. 2021, 14, e003273. [Google Scholar] [CrossRef]
- Groeneweg, J.A.; Bhonsale, A.; James, C.A.; Te Riele, A.S.; Dooijes, D.; Tichnell, C.; Murray, B.; Wiesfeld, A.C.; Sawant, A.C.; Kassamali, B.; et al. Clinical Presentation, Long-Term Follow-Up, and Outcomes of 1001 Arrhythmogenic Right Ventricular Dysplasia/Cardiomyopathy Patients and Family Members. Circ. Cardiovasc. Genet. 2015, 8, 437–446. [Google Scholar] [CrossRef] [PubMed]
- Corrado, D.; Migliore, F.; Zorzi, A. Arrhythmic risk stratification in arrhythmogenic cardiomyopathy: New predictors for left-sided variants? Eur. Heart J. 2021, 42, 2851–2853. [Google Scholar] [CrossRef] [PubMed]
- Verstraelen, T.E.; van Lint, F.H.M.; Bosman, L.P.; de Brouwer, R.; Proost, V.M.; Abeln, B.G.S.; Taha, K.; Zwinderman, A.H.; Dickhoff, C.; Oomen, T.; et al. Prediction of ventricular arrhythmia in phospholamban p.Arg14del mutation carriers–reaching the frontiers of individual risk prediction. Eur. Heart J. 2021, 42, 2842–2850. [Google Scholar] [CrossRef] [PubMed]
- Bariani, R.; Cipriani, A.; Rizzo, S.; Celeghin, R.; Marinas, M.B.; Giorgi, B.; De Gaspari, M.; Rigato, I.; Leoni, L.; Zorzi, A.; et al. ‘Hot phase’ clinical presentation in arrhythmogenic cardiomyopathy. EP Eur. 2020, 23, 907–917. [Google Scholar] [CrossRef] [PubMed]
- Pilichou, K.; Remme, C.A.; Basso, C.; Campian, M.E.; Rizzo, S.; Barnett, P.; Scicluna, B.P.; Bauce, B.; Hoff, M.J.V.D.; De Bakker, J.M.; et al. Myocyte necrosis underlies progressive myocardial dystrophy in mouse dsg2-related arrhythmogenic right ventricular cardiomyopathy. J. Exp. Med. 2009, 206, 1787–1802. [Google Scholar] [CrossRef] [Green Version]
- Corrado, D.; Basso, C.; Schiavon, M.; Thiene, G. Corrado and colleagues reply to Van Brabandt and colleagues. BMJ 2016, 354, i3631. [Google Scholar] [CrossRef]
- Finocchiaro, G.; Papadakis, M.; Robertus, J.-L.; Dhutia, H.; Steriotis, A.K.; Tome, M.; Mellor, G.; Merghani, A.; Malhotra, A.; Behr, E.; et al. Etiology of Sudden Death in Sports. J. Am. Coll. Cardiol. 2016, 67, 2108–2115. [Google Scholar] [CrossRef]
- Cadrin-Tourigny, J.; Bosman, L.P.; Nozza, A.; Wang, W.; Tadros, R.; Bhonsale, A.; Bourfiss, M.; Fortier, A.; Lie, Ø.H.; Saguner, A.M.; et al. A new prediction model for ventricular arrhythmias in arrhythmogenic right ventricular cardiomyopathy. Eur. Heart J. 2019, 40, 1850–1858. [Google Scholar] [CrossRef] [Green Version]
- Ortiz-Genga, M.; García-Hernández, S.; Monserrat-Iglesias, L.; McKenna, W.J. Preventing Sudden Death in Arrhythmogenic Cardiomyopathy: Careful Family and Genetic Evaluation Key to Appropriate Diagnosis and Management. Can. J. Cardiol. 2020, 37, 819–821. [Google Scholar] [CrossRef]
- Cadrin-Tourigny, J.; Bosman, L.P.; Wang, W.; Tadros, R.; Bhonsale, A.; Bourfiss, M.; Lie, Ø.H.; Saguner, A.M.; Svensson, A.; Andorin, A.; et al. Sudden Cardiac Death Prediction in Arrhythmogenic Right Ventricular Cardiomyopathy. Circ. Arrhythm. Electrophysiol. 2021, 14, e008509. [Google Scholar] [CrossRef]
- Bosman, L.P.; Sammani, A.; James, C.A.; Cadrin-Tourigny, J.; Calkins, H.; van Tintelen, J.P.; Hauer, R.N.W.; Asselbergs, F.W.; Te Riele, A. Predicting arrhythmic risk in arrhythmogenic right ventricular cardiomyopathy: A systematic review and meta-analysis. Heart Rhythm 2018, 15, 1097–1107. [Google Scholar] [CrossRef] [PubMed] [Green Version]
- Zorzi, A.; Cipriani, A.; Bariani, R.; Pilichou, K.; Corrado, D.; Bauce, B. Role of Exercise as a Modulating Factor in Arrhythmogenic Cardiomyopathy. Curr. Cardiol. Rep. 2021, 23, 57. [Google Scholar] [CrossRef] [PubMed]
- Scalco, A.; Liboni, C.; Angioni, R.; Di Bona, A.; Albiero, M.; Bertoldi, N.; Fadini, G.; Thiene, G.; Chelko, S.; Basso, C.; et al. Arrhythmogenic Cardiomyopathy Is a Multicellular Disease Affecting Cardiac and Bone Marrow Mesenchymal Stromal Cells. J. Clin. Med. 2021, 10, 1871. [Google Scholar] [CrossRef]
- Lin, Y.-N.; Mesquita, T.; Sanchez, L.; Chen, Y.-H.; Liu, W.; Li, C.; Rogers, R.; Wang, Y.; Li, X.; Wu, D.; et al. Extracellular vesicles from immortalized cardiosphere-derived cells attenuate arrhythmogenic cardiomyopathy in desmoglein-2 mutant mice. Eur. Heart J. 2021, 42, 3558–3571. [Google Scholar] [CrossRef]
- PKP2 Datasets. Available online: https://www.ncbi.nlm.nih.gov/gene/5318 (accessed on 2 November 2021).
- Corrado, D.; Van Tintelen, P.J.; McKenna, W.J.; Hauer, R.N.W.; Anastastakis, A.; Asimaki, A.; Basso, C.; Bauce, B.; Brunckhorst, C.; Bucciarelli-Ducci, C.; et al. International Experts. Arrhythmogenic right ventricular cardiomyopathy: Evalu-ation of the current diagnostic criteria and differential diagnosis. Eur. Heart J. 2020, 41, 1414–1429. [Google Scholar] [CrossRef] [PubMed] [Green Version]
- Wu, S.-L.; Wang, P.-N.; Hou, Y.-S.; Zhang, X.-C.; Shan, Z.-X.; Yu, X.-Y.; Deng, M. Mutation of plakophilin-2 gene in arrhythmogenic right ventricular cardiomyopathy. Chin. Med. J. 2009, 122, 403–407. [Google Scholar]
- Dries, A.M.; Kirillova, A.; Reuter, C.M.; Garcia, J.; Zouk, H.; Hawley, M.; Murray, B.; Tichnell, C.; Pilichou, K.; Protonotarios, A.; et al. The genetic architecture of Plakophilin 2 cardiomyopathy. Genet. Med. 2021, 23, 1961–1968. [Google Scholar] [CrossRef]
- Cerrone, M.; Montnach, J.; Lin, X.; Zhao, Y.-T.; Zhang, M.; Agullo-Pascual, E.; Leo-Macias, A.; Alvarado, F.J.; Dolgalev, I.; Karathanos, T.V.; et al. Plakophilin-2 is required for transcription of genes that control calcium cycling and cardiac rhythm. Nat. Commun. 2017, 8, 106. [Google Scholar] [CrossRef]
- James, C.A.; Syrris, P.; Van Tintelen, J.P.; Calkins, H. The role of genetics in cardiovascular disease: Arrhythmogenic cardiomyopathy. Eur. Heart J. 2020, 41, 1393–1400. [Google Scholar] [CrossRef]
- Costa, S.; Cerrone, M.; Saguner, A.M.; Brunckhorst, C.; Delmar, M.; Duru, F. Arrhythmogenic cardiomyopathy: An in-depth look at molecular mechanisms and clinical correlates. Trends Cardiovasc. Med. 2020, 31, 395–402. [Google Scholar] [CrossRef]
- The PKP2 Gene Homepage. Available online: https://databases.lovd.nl/shared/genes/PKP2 (accessed on 2 November 2021).
- Mahdieh, N.; Saedi, S.; Soveizi, M.; Rabbani, B.; Najafi, N.; Maleki, M. A novel PKP2 mutation and intrafamilial phenotypic variability in ARVC/D. Med. J. Islam. Repub. Iran 2018, 32, 22–26. [Google Scholar] [CrossRef] [PubMed] [Green Version]
- Richards, S.; Aziz, N.; Bale, S.; Bick, D.; Das, S.; Gastier-Foster, J.; Grody, W.W.; Hegde, M.; Lyon, E.; Spector, E.; et al. Standards and guidelines for the interpretation of sequence variants: A joint consensus recommendation of the American College of Medical Genetics and Genomics and the Association for Molecular Pathology. Genet. Med. 2015, 17, 405–424. [Google Scholar] [CrossRef] [PubMed] [Green Version]
- McKenna, W.J.; Judge, D.P. Epidemiology of the inherited cardiomyopathies. Nat. Rev. Cardiol. 2020, 18, 22–36. [Google Scholar] [CrossRef] [PubMed]

arrhythmogenic cardiomyopathy—clinically affected.
arrhythmogenic cardiomyopathy—asymptomatic carrier, could later manifest disease.
arrhythmogenic cardiomyopathy—uncertain, possibly affected.
arrhythmogenic cardiomyopathy—Not affected. E1 Genetic study: (− negative)/(+ positive). E2 Echocardiogram: (− negative)/(+ positive).
arrhythmogenic cardiomyopathy—clinically affected.
arrhythmogenic cardiomyopathy—asymptomatic carrier, could later manifest disease.
arrhythmogenic cardiomyopathy—uncertain, possibly affected.
arrhythmogenic cardiomyopathy—Not affected. E1 Genetic study: (− negative)/(+ positive). E2 Echocardiogram: (− negative)/(+ positive).






Publisher’s Note: MDPI stays neutral with regard to jurisdictional claims in published maps and institutional affiliations. |
© 2022 by the authors. Licensee MDPI, Basel, Switzerland. This article is an open access article distributed under the terms and conditions of the Creative Commons Attribution (CC BY) license (https://creativecommons.org/licenses/by/4.0/).
Share and Cite
Caimi-Martinez, F.; Antoniutti, G.; Blanco, R.; García de la Villa, B.; Alvarenga, N.; Govea-Callizo, N.; Torres-Juan, L.; Heine-Suñer, D.; Rosell-Andreo, J.; Luengos, D.C.; et al. New Variant in Placophilin-2 Gene Causing Arrhythmogenic Myocardiopathy. Genes 2022, 13, 782. https://doi.org/10.3390/genes13050782
Caimi-Martinez F, Antoniutti G, Blanco R, García de la Villa B, Alvarenga N, Govea-Callizo N, Torres-Juan L, Heine-Suñer D, Rosell-Andreo J, Luengos DC, et al. New Variant in Placophilin-2 Gene Causing Arrhythmogenic Myocardiopathy. Genes. 2022; 13(5):782. https://doi.org/10.3390/genes13050782
Chicago/Turabian StyleCaimi-Martinez, Fiama, Guido Antoniutti, Rocio Blanco, Bernardo García de la Villa, Nelson Alvarenga, Nancy Govea-Callizo, Laura Torres-Juan, Damián Heine-Suñer, Jordi Rosell-Andreo, David Crémer Luengos, and et al. 2022. "New Variant in Placophilin-2 Gene Causing Arrhythmogenic Myocardiopathy" Genes 13, no. 5: 782. https://doi.org/10.3390/genes13050782
APA StyleCaimi-Martinez, F., Antoniutti, G., Blanco, R., García de la Villa, B., Alvarenga, N., Govea-Callizo, N., Torres-Juan, L., Heine-Suñer, D., Rosell-Andreo, J., Luengos, D. C., Alvarez-Rubio, J., & Ripoll-Vera, T. (2022). New Variant in Placophilin-2 Gene Causing Arrhythmogenic Myocardiopathy. Genes, 13(5), 782. https://doi.org/10.3390/genes13050782

