Absence of Testicular Estrogen Leads to Defects in Spermatogenesis and Increased Semen Abnormalities in Male Rabbits
Abstract
1. Introduction
2. Materials and Methods
2.1. Animals
2.2. Histological and Immunohistological Analyses
2.3. RNA Extraction and RT-qPCR Analyses
2.4. Measurement of Estradiol, Testosterone and DHEA Hormone Levels in Testis and Epididymis of Adult Rabbits
2.5. Semen Collection and Sperm Parameter Analyses (CASA)
2.6. Luminometric Methylation Assay (LUMA)
2.7. Statistics
3. Results
3.1. Localization of CYP19A1/Aromatase and ESRs Expression in the Rabbit Testis and Epididymis
3.2. CYP19A1 Gene-Targeting in Rabbits Efficiently Suppresses Testicular Estrogen Secretion
3.3. CYP19A1 Knockout Male Rabbits Show Subfertility Parameters
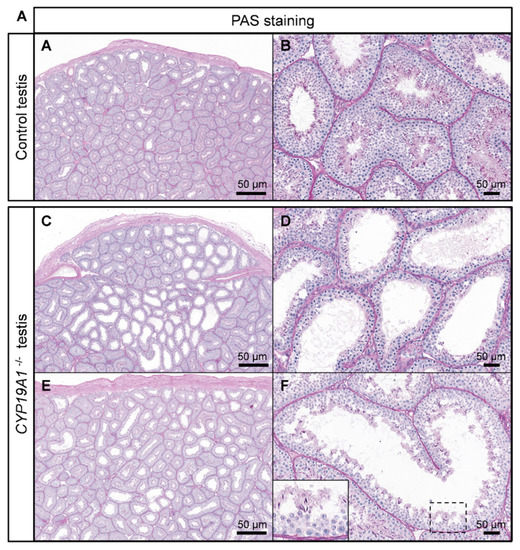
3.4. Absence of Testicular Estrogens Leads to Spermatogenesis Defects
3.5. Absence of Testicular Estrogens Has No Impact on Germ Cell DNA Methylation
3.6. Absence of Testicular Estrogen Leads to Sperm Defects
4. Discussion
4.1. Testicular Estrogens Are Involved in Germ Cells Differentiation
4.2. Testicular Estrogens Are Involved in Sperm Production, Maturation and Motility
5. Conclusions
Author Contributions
Funding
Institutional Review Board Statement
Informed Consent Statement
Data Availability Statement
Acknowledgments
Conflicts of Interest
References
- Guiguen, Y.; Baroiller, J.F.; Ricordel, M.J.; Iseki, K.; Mcmeel, O.M.; Martin, S.A.; Fostier, A. Involvement of Estrogens in the Process of Sex Differentiation in Two Fish Species: The Rainbow Trout (Oncorhynchus Mykiss) and a Tilapia (Oreochromis Niloticus). Mol. Reprod. Dev. 1999, 54, 154–162. [Google Scholar] [CrossRef]
- Pieau, C.; Dorizzi, M.; Richard-Mercier, N. Temperature-Dependent Sex Determination and Gonadal Differentiation in Reptiles. Cell Mol. Life Sci. 1999, 55, 887–900. [Google Scholar] [CrossRef]
- Elbrecht, A.; Smith, R.G. Aromatase Enzyme Activity and Sex Determination in Chickens. Science 1992, 255, 467–470. [Google Scholar] [CrossRef] [PubMed]
- Wade, J.; Arnold, A.P. Functional Testicular Tissue Does Not Masculinize Development of the Zebra Finch Song System. Proc. Natl. Acad. Sci. USA 1996, 93, 5264–5268. [Google Scholar] [CrossRef] [PubMed]
- Vaillant, S.; Dorizzi, M.; Pieau, C.; Richard-Mercier, N. Sex Reversal and Aromatase in Chicken. J. Exp. Zool. 2001, 290, 727–740. [Google Scholar] [CrossRef] [PubMed]
- Jost, A. A New Look at the Mechanisms Controlling Sex Differentiation in Mammals. Johns Hopkins Med. J. 1972, 130, 38–53. [Google Scholar]
- Hess, R.A.; Sharpe, R.M.; Hinton, B.T. Estrogens and Development of the Rete Testis, Efferent Ductules, Epididymis and Vas Deferens. Differentiation 2021, 118, 41–71. [Google Scholar] [CrossRef]
- Lambard, S.; Silandre, D.; Delalande, C.; Denis-Galeraud, I.; Bourguiba, S.; Carreau, S. Aromatase in Testis: Expression and Role in Male Reproduction. J. Steroid Biochem. Mol. Biol. 2005, 95, 63–69. [Google Scholar] [CrossRef]
- Levallet, J.; Bilinska, B.; Mittre, H.; Genissel, C.; Fresnel, J.; Carreau, S. Expression and Immunolocalization of Functional Cytochrome P450 Aromatase in Mature Rat Testicular Cells1. Biol. Reprod. 1998, 58, 919–926. [Google Scholar] [CrossRef]
- Fraczek, B.; Kotula-Balak, M.; Wojtusiak, A.; Pierściński, A.; Bilińska, B. Cytochrome P450 Aromatase in the Testis of Immature and Mature Pigs. Reprod. Biol. 2001, 1, 51–59. [Google Scholar]
- Sipahutar, H.; Sourdaine, P.; Moslemi, S.; Plainfossé, B.; Séralini, G.-E. Immunolocalization of Aromatase in Stallion Leydig Cells and Seminiferous Tubules. J. Histochem. Cytochem. 2003, 51, 311–318. [Google Scholar] [CrossRef] [PubMed]
- Payne, A.H.; Kelch, R.P.; Musich, S.S.; Halpern, M.E. Intratesticular Site of Aromatization in the Human. J. Clin. Endocrinol. Metab. 1976, 42, 1081–1087. [Google Scholar] [CrossRef]
- Papadopoulos, V.; Carreau, S.; Szerman-Joly, E.; Drosdowsky, M.A.; Dehennin, L.; Scholler, R. Rat Testis 17β-Estradiol: Identification by Gas Chromatography-Mass Spectrometry and Age Related Cellular Distribution. J. Steroid Biochem. 1986, 24, 1211–1216. [Google Scholar] [CrossRef]
- Nitta, H.; Bunick, D.; Hess, R.A.; Janulis, L.; Newton, S.C.; Millette, C.F.; Osawa, Y.; Shizuta, Y.; Toda, K.; Bahr, J.M. Germ Cells of the Mouse Testis Express P450 Aromatase. Endocrinology 1993, 132, 1396–1401. [Google Scholar] [CrossRef]
- Lambard, S.; Galeraud-Denis, I.; Saunders, P.T.K.; Carreau, S. Human Immature Germ Cells and Ejaculated Spermatozoa Contain Aromatase and Oestrogen Receptors. J. Mol. Endocrinol. 2004, 32, 279–289. [Google Scholar] [CrossRef]
- Rago, V.; Aquila, S.; Panza, R.; Carpino, A. Cytochrome P450arom, Androgen and Estrogen Receptors in Pig Sperm. Reprod. Biol. Endocrinol. 2007, 5, 23. [Google Scholar] [CrossRef]
- Dostalova, P.; Zatecka, E.; Dvorakova-Hortova, K. Of Oestrogens and Sperm: A Review of the Roles of Oestrogens and Oestrogen Receptors in Male Reproduction. Int. J. Mol. Sci. 2017, 18, E904. [Google Scholar] [CrossRef]
- Pelletier, G.; El-Alfy, M. Immunocytochemical Localization of Estrogen Receptors Alpha and Beta in the Human Reproductive Organs. J. Clin. Endocrinol. Metab. 2000, 85, 4835–4840. [Google Scholar] [CrossRef][Green Version]
- Fietz, D.; Ratzenböck, C.; Hartmann, K.; Raabe, O.; Kliesch, S.; Weidner, W.; Klug, J.; Bergmann, M. Expression Pattern of Estrogen Receptors α and β and G-Protein-Coupled Estrogen Receptor 1 in the Human Testis. Histochem. Cell Biol. 2014, 142, 421–432. [Google Scholar] [CrossRef]
- Cavaco, J.E.B.; Laurentino, S.S.; Barros, A.; Sousa, M.; Socorro, S. Estrogen Receptors Alpha and Beta in Human Testis: Both Isoforms Are Expressed. Syst. Biol. Reprod. Med. 2009, 55, 137–144. [Google Scholar] [CrossRef]
- Hirata, S.; Shoda, T.; Kato, J.; Hoshi, K. Isoform/Variant MRNAs for Sex Steroid Hormone Receptors in Humans. Trends Endocrinol. Metab. 2003, 14, 124–129. [Google Scholar] [CrossRef]
- Dumasia, K.; Kumar, A.; Deshpande, S.; Sonawane, S.; Balasinor, N.H. Differential Roles of Estrogen Receptors, ESR1 and ESR2, in Adult Rat Spermatogenesis. Mol. Cell Endocrinol. 2016, 428, 89–100. [Google Scholar] [CrossRef] [PubMed]
- Dumasia, K.; Kumar, A.; Deshpande, S.; Balasinor, N.H. Estrogen, through Estrogen Receptor 1, Regulates Histone Modifications and Chromatin Remodeling during Spermatogenesis in Adult Rats. Epigenetics 2017, 12, 953–963. [Google Scholar] [CrossRef] [PubMed]
- Dumasia, K.; Kumar, A.; Deshpande, S.; Balasinor, N.H. Estrogen Signaling, through Estrogen Receptor β, Regulates DNA Methylation and Its Machinery in Male Germ Line in Adult Rats. Epigenetics 2017, 12, 476–483. [Google Scholar] [CrossRef] [PubMed][Green Version]
- Krege, J.H.; Hodgin, J.B.; Couse, J.F.; Enmark, E.; Warner, M.; Mahler, J.F.; Sar, M.; Korach, K.S.; Gustafsson, J.A.; Smithies, O. Generation and Reproductive Phenotypes of Mice Lacking Estrogen Receptor Beta. Proc. Natl. Acad. Sci. USA 1998, 95, 15677–15682. [Google Scholar] [CrossRef] [PubMed]
- Antal, M.C.; Krust, A.; Chambon, P.; Mark, M. Sterility and Absence of Histopathological Defects in Nonreproductive Organs of a Mouse ERbeta-Null Mutant. Proc. Natl. Acad. Sci. USA 2008, 105, 2433–2438. [Google Scholar] [CrossRef]
- Otto, C.; Fuchs, I.; Kauselmann, G.; Kern, H.; Zevnik, B.; Andreasen, P.; Schwarz, G.; Altmann, H.; Klewer, M.; Schoor, M.; et al. GPR30 Does Not Mediate Estrogenic Responses in Reproductive Organs in Mice. Biol. Reprod. 2009, 80, 34–41. [Google Scholar] [CrossRef]
- Eddy, E.M.; Washburn, T.F.; Bunch, D.O.; Goulding, E.H.; Gladen, B.C.; Lubahn, D.B.; Korach, K.S. Targeted Disruption of the Estrogen Receptor Gene in Male Mice Causes Alteration of Spermatogenesis and Infertility. Endocrinology 1996, 137, 4796–4805. [Google Scholar] [CrossRef]
- Joseph, A.; Hess, R.A.; Schaeffer, D.J.; Ko, C.; Hudgin-Spivey, S.; Chambon, P.; Shur, B.D. Absence of Estrogen Receptor Alpha Leads to Physiological Alterations in the Mouse Epididymis and Consequent Defects in Sperm Function. Biol. Reprod. 2010, 82, 948–957. [Google Scholar] [CrossRef]
- Joseph, A.; Shur, B.D.; Ko, C.; Chambon, P.; Hess, R.A. Epididymal Hypo-Osmolality Induces Abnormal Sperm Morphology and Function in the Estrogen Receptor Alpha Knockout Mouse. Biol. Reprod. 2010, 82, 958–967. [Google Scholar] [CrossRef]
- Robertson, K.M.; O’Donnell, L.; Jones, M.E.E.; Meachem, S.J.; Boon, W.C.; Fisher, C.R.; Graves, K.H.; McLachlan, R.I.; Simpson, E.R. Impairment of Spermatogenesis in Mice Lacking a Functional Aromatase (Cyp 19) Gene. Proc. Natl. Acad. Sci. USA 1999, 96, 7986–7991. [Google Scholar] [CrossRef]
- Robertson, K.M.; Simpson, E.R.; Lacham-Kaplan, O.; Jones, M.E.E. Characterization of the Fertility of Male Aromatase Knockout Mice. J. Androl. 2001, 22, 825–830. [Google Scholar] [CrossRef]
- Haverfield, J.T.; Ham, S.; Brown, K.A.; Simpson, E.R.; Meachem, S.J. Teasing out the Role of Aromatase in the Healthy and Diseased Testis. Spermatogenesis 2011, 1, 240. [Google Scholar] [CrossRef][Green Version]
- Herrmann, B.L.; Saller, B.; Janssen, O.E.; Gocke, P.; Bockisch, A.; Sperling, H.; Mann, K.; Broecker, M. Impact of Estrogen Replacement Therapy in a Male with Congenital Aromatase Deficiency Caused by a Novel Mutation in the CYP19 Gene. J. Clin. Endocrinol. Metab. 2002, 87, 5476–5484. [Google Scholar] [CrossRef]
- Carani, C.; Qin, K.; Simoni, M.; Faustini-Fustini, M.; Serpente, S.; Boyd, J.; Korach, K.S.; Simpson, E.R. Effect of Testosterone and Estradiol in a Man with Aromatase Deficiency. N. Engl. J. Med. 1997, 337, 91–95. [Google Scholar] [CrossRef]
- Jolivet, G.; Daniel-Carlier, N.; Harscoët, E.; Airaud, E.; Dewaele, A.; Pierson, C.; Giton, F.; Boulanger, L.; Daniel, N.; Mandon-Pépin, B.; et al. Fetal Estrogens Are Not Involved in Sex Determination But Critical for Early Ovarian Differentiation in Rabbits. Endocrinology 2022, 163, bqab210. [Google Scholar] [CrossRef]
- Hellemans, J.; Mortier, G.; De Paepe, A.; Speleman, F.; Vandesompele, J. QBase Relative Quantification Framework and Software for Management and Automated Analysis of Real-Time Quantitative PCR Data. Genome Biol. 2007, 8, R19. [Google Scholar] [CrossRef]
- Giton, F.; Sirab, N.; Franck, G.; Gervais, M.; Schmidlin, F.; Ali, T.; Allory, Y.; de la Taille, A.; Vacherot, F.; Loric, S.; et al. Evidence of Estrone-Sulfate Uptake Modification in Young and Middle-Aged Rat Prostate. J. Steroid Biochem. Mol. Biol. 2015, 152, 89–100. [Google Scholar] [CrossRef]
- Devillers, M.M.; Petit, F.; Cluzet, V.; François, C.M.; Giton, F.; Garrel, G.; Cohen-Tannoudji, J.; Guigon, C.J. FSH Inhibits AMH to Support Ovarian Estradiol Synthesis in Infantile Mice. J. Endocrinol. 2019, 240, 215–228. [Google Scholar] [CrossRef]
- Perrier, J.-P.; Sellem, E.; Prézelin, A.; Gasselin, M.; Jouneau, L.; Piumi, F.; Al Adhami, H.; Weber, M.; Fritz, S.; Boichard, D.; et al. A Multi-Scale Analysis of Bull Sperm Methylome Revealed Both Species Peculiarities and Conserved Tissue-Specific Features. BMC Genom. 2018, 19, 404. [Google Scholar] [CrossRef]
- Karimi, M.; Johansson, S.; Stach, D.; Corcoran, M.; Grandér, D.; Schalling, M.; Bakalkin, G.; Lyko, F.; Larsson, C.; Ekström, T.J. LUMA (LUminometric Methylation Assay)—A High Throughput Method to the Analysis of Genomic DNA Methylation. Exp. Cell Res. 2006, 312, 1989–1995. [Google Scholar] [CrossRef] [PubMed]
- Cooper, T.G. Cytoplasmic Droplets: The Good, the Bad or Just Confusing? Hum. Reprod. 2005, 20, 9–11. [Google Scholar] [CrossRef] [PubMed]
- Liu, C.; Duan, W.; Li, R.; Xu, S.; Zhang, L.; Chen, C.; He, M.; Lu, Y.; Wu, H.; Pi, H.; et al. Exposure to Bisphenol A Disrupts Meiotic Progression during Spermatogenesis in Adult Rats through Estrogen-like Activity. Cell Death Dis. 2013, 4, e676. [Google Scholar] [CrossRef] [PubMed]
- Gervasi, M.G.; Visconti, P.E. Molecular Changes and Signaling Events Occurring in Sperm during Epididymal Maturation. Andrology 2017, 5, 204–218. [Google Scholar] [CrossRef]
- Sullivan, R.; Saez, F. Epididymosomes, Prostasomes, and Liposomes: Their Roles in Mammalian Male Reproductive Physiology. Reproduction 2013, 146, R21–R35. [Google Scholar] [CrossRef]







| Gene Name | Forward Primer | Reverse Primer |
|---|---|---|
| H2AFX | ACCTGACGGCCGAGATCCT | CGCCCAGCAGCTTGTTGAG |
| YWHAZ | GGGTCTGGCCCTTAACTTCTCT | AGCAATGGCTTCATCAAAAGC |
| SF1 | GCTTCCGACTGCAAATTCCA | TCACCCAGTTCAGCCATGAG |
| CYP19A1 | GGAAGAATGCATCGACTTGAGTT | GGGCCCAAAACCAAATGGT |
| ESR1 | TCCTCATCCTCTCCCACATC | AGCATCTCCAGCAACAGGTC |
| ESR2 | CTCACCAAGCTGGCTGACAA | AGAGGCGCACTTGGTCCAA |
| SYCP3 | AAAAGAAATGGCCATGTTGCA | GAGTCATCAAAGTAACACGGATTGAA |
| PRM1 | CCAGAGGCGAAGAGTCAGGAA | TCTGGTGGGTCTGCTGTTCTGT |
Publisher’s Note: MDPI stays neutral with regard to jurisdictional claims in published maps and institutional affiliations. |
© 2022 by the authors. Licensee MDPI, Basel, Switzerland. This article is an open access article distributed under the terms and conditions of the Creative Commons Attribution (CC BY) license (https://creativecommons.org/licenses/by/4.0/).
Share and Cite
Dewaele, A.; Dujardin, E.; André, M.; Albina, A.; Jammes, H.; Giton, F.; Sellem, E.; Jolivet, G.; Pailhoux, E.; Pannetier, M. Absence of Testicular Estrogen Leads to Defects in Spermatogenesis and Increased Semen Abnormalities in Male Rabbits. Genes 2022, 13, 2070. https://doi.org/10.3390/genes13112070
Dewaele A, Dujardin E, André M, Albina A, Jammes H, Giton F, Sellem E, Jolivet G, Pailhoux E, Pannetier M. Absence of Testicular Estrogen Leads to Defects in Spermatogenesis and Increased Semen Abnormalities in Male Rabbits. Genes. 2022; 13(11):2070. https://doi.org/10.3390/genes13112070
Chicago/Turabian StyleDewaele, Aurélie, Emilie Dujardin, Marjolaine André, Audrey Albina, Hélène Jammes, Frank Giton, Eli Sellem, Geneviève Jolivet, Eric Pailhoux, and Maëlle Pannetier. 2022. "Absence of Testicular Estrogen Leads to Defects in Spermatogenesis and Increased Semen Abnormalities in Male Rabbits" Genes 13, no. 11: 2070. https://doi.org/10.3390/genes13112070
APA StyleDewaele, A., Dujardin, E., André, M., Albina, A., Jammes, H., Giton, F., Sellem, E., Jolivet, G., Pailhoux, E., & Pannetier, M. (2022). Absence of Testicular Estrogen Leads to Defects in Spermatogenesis and Increased Semen Abnormalities in Male Rabbits. Genes, 13(11), 2070. https://doi.org/10.3390/genes13112070

