Precision Medicine through Next-Generation Sequencing in Inherited Eye Diseases in a Korean Cohort
Abstract
1. Introduction
2. Materials and Methods
Recruitment and Selection of Patients with Inherited Eye Diseases
3. Results
3.1. Patient Demographics
3.2. Molecular Diagnostic Rate and Personalized Medicine through Targeted Next-Generation Sequencing
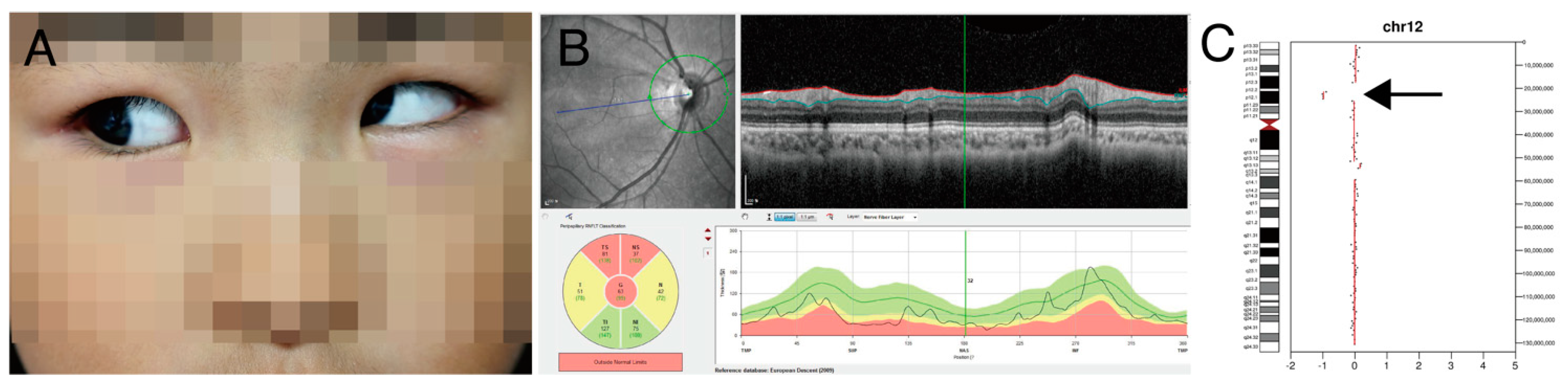
3.3. Case Examples
4. Discussion
5. Conclusions
Supplementary Materials
Author Contributions
Funding
Institutional Review Board Statement
Informed Consent Statement
Data Availability Statement
Conflicts of Interest
References
- Gillespie, R.L.; O’Sullivan, J.; Ashworth, J.; Bhaskar, S.; Williams, S.; Biswas, S.; Kehdi, E.; Ramsden, S.C.; Clayton-Smith, J.; Black, G.C.; et al. Personalized diagnosis and management of congenital cataract by next-generation sequencing. Ophthalmology 2014, 121, 2124–2137.e2. [Google Scholar] [CrossRef] [PubMed]
- Carss, K.J.; Arno, G.; Erwood, M.; Stephens, J.; Sanchis-Juan, A.; Hull, S.; Megy, K.; Grozeva, D.; Dewhurst, E.; Malka, S.; et al. Comprehensive rare variant analysis via whole-genome sequencing to determine the molecular pathology of inherited retinal disease. Am. J. Hum. Genet. 2017, 100, 75–90. [Google Scholar] [CrossRef] [PubMed]
- MacLaren, R.E.; Groppe, M.; Barnard, A.R.; Cottriall, C.L.; Tolmachova, T.; Seymour, L.; Clark, K.R.; During, M.J.; Cremers, F.P.; Black, G.C.; et al. Retinal gene therapy in patients with choroideremia: Initial findings from a phase 1/2 clinical trial. Lancet 2014, 383, 1129–1137. [Google Scholar] [CrossRef]
- Kalia, S.S.; Adelman, K.; Bale, S.J.; Chung, W.K.; Eng, C.; Evans, J.P.; Herman, G.E.; Hufnagel, S.B.; Klein, T.E.; Korf, B.R.; et al. Recommendations for reporting of secondary findings in clinical exome and genome sequencing, 2016 update (acmg sf v2.0): A policy statement of the american college of medical genetics and genomics. Genet. Med. Off. J. Am. Coll. Med. Genet. 2017, 19, 249–255. [Google Scholar] [CrossRef]
- Westerink, J.; Visseren, F.L.; Spiering, W. Diagnostic clinical genome and exome sequencing. N. Engl. J. Med. 2014, 371, 1169. [Google Scholar]
- Ellingford, J.M.; Sergouniotis, P.I.; Lennon, R.; Bhaskar, S.; Williams, S.G.; Hillman, K.A.; O’Sullivan, J.; Hall, G.; Ramsden, S.C.; Lloyd, I.C.; et al. Pinpointing clinical diagnosis through whole exome sequencing to direct patient care: A case of senior-loken syndrome. Lancet 2015, 385, 1916. [Google Scholar] [CrossRef]
- Gillespie, R.L.; Urquhart, J.; Anderson, B.; Williams, S.; Waller, S.; Ashworth, J.; Biswas, S.; Jones, S.; Stewart, F.; Lloyd, I.C.; et al. Next-generation sequencing in the diagnosis of metabolic disease marked by pediatric cataract. Ophthalmology 2016, 123, 217–220. [Google Scholar] [CrossRef]
- Manrai, A.K.; Ioannidis, J.P.; Kohane, I.S. Clinical genomics: From pathogenicity claims to quantitative risk estimates. JAMA 2016, 315, 1233–1234. [Google Scholar] [CrossRef]
- Ashley, E.A. Towards precision medicine. Nat. Rev. Genet. 2016, 17, 507–522. [Google Scholar] [CrossRef]
- Stone, E.M.; Aldave, A.J.; Drack, A.V.; Maccumber, M.W.; Sheffield, V.C.; Traboulsi, E.; Weleber, R.G. Recommendations for genetic testing of inherited eye diseases: Report of the american academy of ophthalmology task force on genetic testing. Ophthalmology 2012, 119, 2408–2410. [Google Scholar] [CrossRef] [PubMed]
- Taylor, R.L.; Parry, N.R.A.; Barton, S.J.; Campbell, C.; Delaney, C.M.; Ellingford, J.M.; Hall, G.; Hardcastle, C.; Morarji, J.; Nichol, E.J.; et al. Panel-based clinical genetic testing in 85 children with inherited retinal disease. Ophthalmology 2017, 124, 985–991. [Google Scholar] [CrossRef]
- Rim, J.H.; Lee, S.T.; Gee, H.Y.; Lee, B.J.; Choi, J.R.; Park, H.W.; Han, S.H.; Han, J. Accuracy of next-generation sequencing for molecular diagnosis in patients with infantile nystagmus syndrome. JAMA Ophthalmol. 2017, 135, 1376–1385. [Google Scholar] [CrossRef] [PubMed]
- Stone, E.M.; Andorf, J.L.; Whitmore, S.S.; DeLuca, A.P.; Giacalone, J.C.; Streb, L.M.; Braun, T.A.; Mullins, R.F.; Scheetz, T.E.; Sheffield, V.C.; et al. Clinically focused molecular investigation of 1000 consecutive families with inherited retinal disease. Ophthalmology 2017, 124, 1314–1331. [Google Scholar] [CrossRef]
- Li, H.; Durbin, R. Fast and accurate short read alignment with burrows-wheeler transform. Bioinformatics 2009, 25, 1754–1760. [Google Scholar] [CrossRef]
- McKenna, A.; Hanna, M.; Banks, E.; Sivachenko, A.; Cibulskis, K.; Kernytsky, A.; Garimella, K.; Altshuler, D.; Gabriel, S.; Daly, M.; et al. The genome analysis toolkit: A mapreduce framework for analyzing next-generation DNA sequencing data. Genome Res. 2010, 20, 1297–1303. [Google Scholar] [CrossRef]
- Ye, K.; Schulz, M.H.; Long, Q.; Apweiler, R.; Ning, Z. Pindel: A pattern growth approach to detect break points of large deletions and medium sized insertions from paired-end short reads. Bioinformatics 2009, 25, 2865–2871. [Google Scholar] [CrossRef]
- Chen, X.; Schulz-Trieglaff, O.; Shaw, R.; Barnes, B.; Schlesinger, F.; Kallberg, M.; Cox, A.J.; Kruglyak, S.; Saunders, C.T. Manta: Rapid detection of structural variants and indels for germline and cancer sequencing applications. Bioinformatics 2016, 32, 1220–1222. [Google Scholar] [CrossRef] [PubMed]
- Plagnol, V.; Curtis, J.; Epstein, M.; Mok, K.Y.; Stebbings, E.; Grigoriadou, S.; Wood, N.W.; Hambleton, S.; Burns, S.O.; Thrasher, A.J.; et al. A robust model for read count data in exome sequencing experiments and implications for copy number variant calling. Bioinformatics 2012, 28, 2747–2754. [Google Scholar] [CrossRef]
- Kuilman, T.; Velds, A.; Kemper, K.; Ranzani, M.; Bombardelli, L.; Hoogstraat, M.; Nevedomskaya, E.; Xu, G.; de Ruiter, J.; Lolkema, M.P.; et al. Copywriter: DNA copy number detection from off-target sequence data. Genome Biol. 2015, 16, 49. [Google Scholar] [CrossRef]
- Kircher, M.; Witten, D.M.; Jain, P.; O’Roak, B.J.; Cooper, G.M.; Shendure, J. A general framework for estimating the relative pathogenicity of human genetic variants. Nat. Genet. 2014, 46, 310–315. [Google Scholar] [CrossRef]
- Houdayer, C. In silico prediction of splice-affecting nucleotide variants. Methods Mol. Biol. (Clifton N. J.) 2011, 760, 269–281. [Google Scholar]
- Jaganathan, K.; Kyriazopoulou Panagiotopoulou, S.; McRae, J.F.; Darbandi, S.F.; Knowles, D.; Li, Y.I.; Kosmicki, J.A.; Arbelaez, J.; Cui, W.; Schwartz, G.B.; et al. Predicting splicing from primary sequence with deep learning. Cell 2019, 176, 535–548.e24. [Google Scholar] [CrossRef] [PubMed]
- Richards, S.; Aziz, N.; Bale, S.; Bick, D.; Das, S.; Gastier-Foster, J.; Grody, W.W.; Hegde, M.; Lyon, E.; Spector, E.; et al. Standards and guidelines for the interpretation of sequence variants: A joint consensus recommendation of the american college of medical genetics and genomics and the association for molecular pathology. Genet. Med. Off. J. Am. Coll. Med. Genet. 2015, 17, 405–424. [Google Scholar] [CrossRef]
- Choi, S.I.; Woo, S.J.; Oh, B.L.; Han, J.; Lim, H.T.; Lee, B.J.; Joo, K.; Park, J.Y.; Jang, J.H.; So, M.K.; et al. Genetic characteristics and phenotype of korean patients with stickler syndrome: A korean multicenter analysis report no. 1. Genes 2021, 12, 1578. [Google Scholar] [CrossRef]
- Jurkute, N.; Bertacchi, M.; Arno, G.; Tocco, C.; Kim, U.S.; Kruszewski, A.M.; Avery, R.A.; Bedoukian, E.C.; Han, J.; Ahn, S.J.; et al. Pathogenic nr2f1 variants cause a developmental ocular phenotype recapitulated in a mutant mouse model. Brain Commun. 2021, 3, fcab162. [Google Scholar] [CrossRef]
- Kim, H.M.; Joo, K.; Han, J.; Woo, S.J. Clinical and genetic characteristics of korean congenital stationary night blindness patients. Genes 2021, 12, 789. [Google Scholar] [CrossRef] [PubMed]
- Jin, S.; Park, S.E.; Won, D.; Lee, S.T.; Han, S.H.; Han, J. Tubb3 m323v syndrome presents with infantile nystagmus. Genes 2021, 12, 575. [Google Scholar] [CrossRef]
- Kuht, H.J.; Han, J.; Maconachie, G.D.E.; Park, S.E.; Lee, S.T.; McLean, R.; Sheth, V.; Hisaund, M.; Dawar, B.; Sylvius, N.; et al. Slc38a8 mutations result in arrested retinal development with loss of cone photoreceptor specialization. Hum. Mol. Genet. 2020, 29, 2989–3002. [Google Scholar] [CrossRef]
- Surl, D.; Shin, S.; Lee, S.T.; Choi, J.R.; Lee, J.; Byeon, S.H.; Han, S.H.; Lim, H.T.; Han, J. Copy number variations and multiallelic variants in korean patients with leber congenital amaurosis. Mol. Vis. 2020, 26, 26–35. [Google Scholar]
- Park, S.E.; Lee, J.S.; Lee, S.T.; Kim, H.Y.; Han, S.H.; Han, J. Targeted panel sequencing identifies a novel nr2f1 mutations in a patient with bosch-boonstra-schaaf optic atrophy syndrome. Ophthalmic Genet. 2019, 40, 359–361. [Google Scholar] [CrossRef]
- Bennett, T.M.; Maraini, G.; Jin, C.; Sun, W.; Hejtmancik, J.F.; Shiels, A. Noncoding variation of the gene for ferritin light chain in hereditary and age-related cataract. Mol. Vis. 2013, 19, 835–844. [Google Scholar]
- Nesbitt, A.; Bhoj, E.J.; McDonald Gibson, K.; Yu, Z.; Denenberg, E.; Sarmady, M.; Tischler, T.; Cao, K.; Dubbs, H.; Zackai, E.H.; et al. Exome sequencing expands the mechanism of sox5-associated intellectual disability: A case presentation with review of sox-related disorders. Am. J. Med. Genet. Part A 2015, 167, 2548–2554. [Google Scholar] [CrossRef]
- Nichols, C.G.; Singh, G.K.; Grange, D.K. Katp channels and cardiovascular disease: Suddenly a syndrome. Circ. Res. 2013, 112, 1059–1072. [Google Scholar] [CrossRef] [PubMed]
- Posey, J.E.; Harel, T.; Liu, P.; Rosenfeld, J.A.; James, R.A.; Coban Akdemir, Z.H.; Walkiewicz, M.; Bi, W.; Xiao, R.; Ding, Y.; et al. Resolution of disease phenotypes resulting from multilocus genomic variation. N. Engl. J. Med. 2017, 376, 21–31. [Google Scholar] [CrossRef] [PubMed]
- Smedley, D.; Smith, K.R.; Martin, A.; Thomas, E.A.; McDonagh, E.M.; Cipriani, V.; Ellingford, J.M.; Arno, G.; Tucci, A.; Vandrovcova, J.; et al. 100,000 genomes pilot on rare-disease diagnosis in health care—Preliminary report. N. Engl. J. Med. 2021, 385, 1868–1880. [Google Scholar] [PubMed]
- Patel, A.; Hayward, J.D.; Tailor, V.; Nyanhete, R.; Ahlfors, H.; Gabriel, C.; Jannini, T.B.; Abbou-Rayyah, Y.; Henderson, R.; Nischal, K.K.; et al. The oculome panel test: Next-generation sequencing to diagnose a diverse range of genetic developmental eye disorders. Ophthalmology 2019, 126, 888–907. [Google Scholar] [CrossRef]
- Khan, M.; Cornelis, S.S.; Pozo-Valero, M.D.; Whelan, L.; Runhart, E.H.; Mishra, K.; Bults, F.; AlSwaiti, Y.; AlTalbishi, A.; De Baere, E.; et al. Resolving the dark matter of abca4 for 1054 stargardt disease probands through integrated genomics and transcriptomics. Genet. Med. Off. J. Am. Coll. Med. Genet. 2020, 22, 1235–1246. [Google Scholar] [CrossRef] [PubMed]
- Miraldi Utz, V.; Pfeifer, W.; Longmuir, S.Q.; Olson, R.J.; Wang, K.; Drack, A.V. Presentation of trpm1-associated congenital stationary night blindness in children. JAMA Ophthalmol. 2018, 136, 389–398. [Google Scholar] [CrossRef]
- Men, C.J.; Bujakowska, K.M.; Comander, J.; Place, E.; Bedoukian, E.C.; Zhu, X.; Leroy, B.P.; Fulton, A.B.; Pierce, E.A. The importance of genetic testing as demonstrated by two cases of cacna1f-associated retinal generation misdiagnosed as lca. Mol. Vis. 2017, 23, 695–706. [Google Scholar] [PubMed]
- Gilmour, D.F. Familial exudative vitreoretinopathy and related retinopathies. Eye 2015, 29, 1–14. [Google Scholar] [CrossRef]
- Gong, Y.; Slee, R.B.; Fukai, N.; Rawadi, G.; Roman-Roman, S.; Reginato, A.M.; Wang, H.; Cundy, T.; Glorieux, F.H.; Lev, D.; et al. Ldl receptor-related protein 5 (lrp5) affects bone accrual and eye development. Cell 2001, 107, 513–523. [Google Scholar] [CrossRef]
- Moore, A.T. Genetic testing for inherited retinal disease. Ophthalmology 2017, 124, 1254–1255. [Google Scholar] [CrossRef] [PubMed]
- Consugar, M.B.; Navarro-Gomez, D.; Place, E.M.; Bujakowska, K.M.; Sousa, M.E.; Fonseca-Kelly, Z.D.; Taub, D.G.; Janessian, M.; Wang, D.Y.; Au, E.D.; et al. Panel-based genetic diagnostic testing for inherited eye diseases is highly accurate and reproducible, and more sensitive for variant detection, than exome sequencing. Genet. Med. Off. J. Am. Coll. Med. Genet. 2015, 17, 253–261. [Google Scholar] [CrossRef]
- Weck, K.E. Interpretation of genomic sequencing: Variants should be considered uncertain until proven guilty. Genet. Med. Off. J. Am. Coll. Med. Genet. 2018, 20, 291–293. [Google Scholar] [CrossRef] [PubMed]
- Battistini, S.; Stenirri, S.; Piatti, M.; Gelfi, C.; Righetti, P.G.; Rocchi, R.; Giannini, F.; Battistini, N.; Guazzi, G.C.; Ferrari, M.; et al. A new cacna1a gene mutation in acetazolamide-responsive familial hemiplegic migraine and ataxia. Neurology 1999, 53, 38–43. [Google Scholar] [CrossRef]
- Russell, S.; Bennett, J.; Wellman, J.A.; Chung, D.C.; Yu, Z.F.; Tillman, A.; Wittes, J.; Pappas, J.; Elci, O.; McCague, S.; et al. Efficacy and safety of voretigene neparvovec (aav2-hrpe65v2) in patients with rpe65-mediated inherited retinal dystrophy: A randomised, controlled, open-label, phase 3 trial. Lancet 2017, 390, 849–860. [Google Scholar] [CrossRef]
- Fincham, G.S.; Pasea, L.; Carroll, C.; McNinch, A.M.; Poulson, A.V.; Richards, A.J.; Scott, J.D.; Snead, M.P. Prevention of retinal detachment in stickler syndrome: The cambridge prophylactic cryotherapy protocol. Ophthalmology 2014, 121, 1588–1597. [Google Scholar] [CrossRef]
- Ang, A.; Poulson, A.V.; Goodburn, S.F.; Richards, A.J.; Scott, J.D.; Snead, M.P. Retinal detachment and prophylaxis in type 1 stickler syndrome. Ophthalmology 2008, 115, 164–168. [Google Scholar] [CrossRef]
- Hull, S.; Arno, G.; Ku, C.A.; Ge, Z.; Waseem, N.; Chandra, A.; Webster, A.R.; Robson, A.G.; Michaelides, M.; Weleber, R.G.; et al. Molecular and clinical findings in patients with knobloch syndrome. JAMA Ophthalmol. 2016, 134, 753–762. [Google Scholar] [CrossRef] [PubMed]
- Moog, U.; Bierhals, T.; Brand, K.; Bautsch, J.; Biskup, S.; Brune, T.; Denecke, J.; de Die-Smulders, C.E.; Evers, C.; Hempel, M.; et al. Phenotypic and molecular insights into cask-related disorders in males. Orphanet J. Rare Dis. 2015, 10, 44. [Google Scholar] [CrossRef] [PubMed][Green Version]
- Watkins, R.J.; Patil, R.; Goult, B.T.; Thomas, M.G.; Gottlob, I.; Shackleton, S. A novel interaction between frmd7 and cask: Evidence for a causal role in idiopathic infantile nystagmus. Hum. Mol. Genet. 2013, 22, 2105–2118. [Google Scholar] [CrossRef] [PubMed]
- Whiffin, N.; Minikel, E.; Walsh, R.; O’Donnell-Luria, A.H.; Karczewski, K.; Ing, A.Y.; Barton, P.J.R.; Funke, B.; Cook, S.A.; MacArthur, D.; et al. Using high-resolution variant frequencies to empower clinical genome interpretation. Genet. Med. Off. J. Am. Coll. Med. Genet. 2017, 19, 1151–1158. [Google Scholar] [CrossRef] [PubMed]






| No. | Initial Clinical Diagnosis | Gene | Mutations | Zygosity | Segregation Analysis | gnomAD (MAF) | CADD | Previous Literature (PMID) | ACMG Classification | Accession ID for Transcript |
|---|---|---|---|---|---|---|---|---|---|---|
| 1 | Cone-rod dystrophy | ABCA4 | c.1958G>A:p.(Arg653His) c.3470T>G:p.(Leu1157*) | Compound heterozygous | NA | 10/280000 None | 25.9 43 | 10711710 29975949 | LP P | NM_000350.2 |
| 2 d | LCA | AHI1 | c.2174G>A:p.(Trp725*) | Homozygous | NA | 4/248916 | 43 | 25445212 | P | NM_001134831.1 |
| 3 d | Laurence-Moon syndrome | BBS1 | c.908delT:p.(Val303Glyfs*29) c.1285C>T:p.(Arg429*) | Compound heterozygous | Paternal Maternal | None 3/251446 | 34 40 | 32165824 e 12677556 | P P | NM_024649.4 |
| 4 d | IIN | CACNA1F | Exon 13-23 deletion | Hemizygous | NA | None | NA | 34064005 e | P | NM_005183.2 |
| 5 d | LCA | CACNA1F | c.2175_2179delins CATCATGTATGATGGTATCATGGCATT:p.(Gly726Ilefs*61) | Hemizygous | Maternal | None | 28.3 | 34064005 e | P | NM_005183.2 |
| 6 d | IIN | CACNA1F | c.1910+1G>A | Hemizygous | NA | None | 21 | 34064005 e | P | NM_005183.2 |
| LPR5 | c.3833G>A:p.(Trp1278*) | Heterozygous | NA | None | 45 | Novel | LP | NM_002335.2 | ||
| 7 d | IIN | CACNA1F | c.1301C>T:p.(Ala434Val) | Hemizygous | Maternal | None | 17.47 | 28002560 | LP | NM_005183.2 |
| 8 d | IIN | CACNA1F | c.1910+1G>A | Hemizygous | NA | None | 21 | 34064005 e | P | NM_005183.2 |
| 9 d | LCA | CEP290 | c.1666delA:p.(Ile556Phefs*17) c.3904C>T:p.(Gln1302*) | Compound heterozygous | Maternal Paternal | 245/174532 None | 31 37 | 16909394 25445212 | P P | NM_025114.3 |
| 10 | Achromatopsia | CNGA3 | c.1190G>T:p.(Glu397Val) a c.1279C>T:p.(Arg427Cys) a c.553C>G:p.(Leu185Val) | Compound heterozygous | Paternal Paternal Maternal | None 110/281878 1/251394 | 25.5 33 20.5 | 18636117 11536077 31144483 | LP LP LP | NM_001298.2 |
| 11 d | Stickler syndrome | COL2A1 | c.3165+1G>A | Heterozygous | NA | None | 25.5 | 34680973 e | P | NM_001844.4 |
| 12 d | Pierre-Robin sequence | COL2A1 | c.2680-3C>G | Heterozygous | NA | None | 23.7 | 34680973 e | P | NM_001844.4 |
| 13 d | LCA | CRX | c.101-1G>A b c.122G>A:p.(Arg41Gln) b | Compound heterozygous | Trans by IGV | None 1/31396 | 32 25.1 | 32165824 e 9427255 | P P | NM_000554.4 |
| 14 | Congenital cataract | CRYGC | c.173T>C:p.(Leu58Pro) | Heterozygous | NA | None | 26 | Novel | LP | NM_020989.3 |
| 15 | RP | EYS | c.8805C>G:p.(Tyr2935*) Exon 42-43 duplication | Compound heterozygous | NA | None None | 35 NA | 22363543 Novel | LP US | NM_001142800.1 |
| 16 | IIN | FRMD7 | c.368C>A:p.(Ser123Tyr) | Hemizygous | NA | None | 23.8 | Novel | LP | NM_194277.2 |
| 17 | IIN | FRMD7 | c.575A>C:p.(His192Pro) | Hemizygous | NA | 25/182271 | 25.6 | 30025138 | LP | NM_194277.2 |
| 18 | IIN | FRMD7 | c.637G>A:p.(Val213Met) | Heterozygous | NA | None | 32 | Novel | LP | NM_194277.2 |
| 19 | IIN | FRMD7 | c.685C>T:p.(Arg229Cys) | Hemizygous | NA | None | 34 | 17768376 | P | NM_194277.2 |
| 20 | IIN | FRMD7 | c.772A>G:p.(Lys241Arg) | Hemizygous | NA | None | 27.4 | 31106028 | LP | NM_194277.2 |
| 21 | IIN | FRMD7 | c.875T>C:p.(Leu292Pro) | Heterozygous | NA | 4/183318 | 27.5 | 25678693 | P | NM_194277.2 |
| 22 | IIN | FRMD7 | c.875T>C:p.(Leu292Pro) | Hemizygous | NA | 4/183318 | 27.5 | 25678693 | P | NM_194277.2 |
| 23 | IIN | FRMD7 | c.875T>C:p.(Leu292Pro) | Heterozygous | NA | 4/183318 | 27.5 | 25678693 | P | NM_194277.2 |
| 24 | IIN | FRMD7 | c.875T>C:p.(Leu292Pro) | Heterozygous | NA | 4/183318 | 27.5 | 25678693 | P | NM_194277.2 |
| 25 | IIN | FRMD7 | c.875T>C:p.(Leu292Pro) | Hemizygous | NA | 4/183318 | 27.5 | 25678693 | P | NM_194277.2 |
| 26 | IIN | FRMD7 | c.875T>C:p.(Leu292Pro) | Hemizygous | NA | 4/183318 | 27.5 | 25678693 | P | NM_194277.2 |
| 27 | IIN | FRMD7 | c.875T>C:p.(Leu292Pro) | Hemizygous | NA | 4/183318 | 27.5 | 25678693 | P | NM_194277.2 |
| 28 | IIN | FRMD7 | c.875T>C:p.(Leu292Pro) | Hemizygous | NA | 4/183318 | 27.5 | 25678693 | P | NM_194277.2 |
| 29 | IIN | FRMD7 | c.875T>C:p.(Leu292Pro) | Hemizygous | NA | 4/183318 | 27.5 | 25678693 | P | NM_194277.2 |
| 30 | IIN | FRMD7 | c.875T>C:p.(Leu292Pro) | Hemizygous | NA | 4/183318 | 27.5 | 25678693 | P | NM_194277.2 |
| 31 | IIN | FRMD7 | c.875T>C:p.(Leu292Pro) | Hemizygous | NA | 4/183318 | 27.5 | 25678693 | P | NM_194277.2 |
| 32 | IIN | FRMD7 | c.875T>C:p.(Leu292Pro) | Hemizygous | NA | 4/183318 | 27.5 | 25678693 | P | NM_194277.2 |
| 33 | IIN | FRMD7 | c.886G>T:p.(Gly296Cys) | Hemizygous | NA | None | 34 | 30015830 | LP | NM_194277.2 |
| 34 | IIN | FRMD7 | c.901T>C:p.(Tyr301His) | Hemizygous | NA | None | 26.7 | 29145603 e | LP | NM_194277.2 |
| 35 | IIN | FRMD7 | c.1016C>G:p.(Ser339Cys) | Hemizygous | NA | None | 34 | Novel | LP | NM_194277.2 |
| 36 | IIN | FRMD7 | c.1023_1030AGACCTCC: p.(Asp342Leufs*2) | Hemizygous | NA | None | 35 | Novel | P | NM_194277.2 |
| 37 | IIN | FRMD7 | Exon 5 deletion | Hemizygous | NA | None | NA | Novel | P | NM_194277.2 |
| 38 | Congenital cataract | FTL | c.-168G>T | Heterozygous | Maternal | None | 20.8 | 9414300 | P | NM_000146.3 |
| 39 | FEVR | FZD4 | c.752C>G:p.(Pro251Arg) | Heterozygous | Maternal | None | 25.1 | Novel | LP | NM_012193.3 |
| 40 | FEVR | FZD4 | c.205C>T:p.(His69Tyr) | Heterozygous | NA | 138/277634 | 24.2 | 15370539 | P | NM_012193.3 |
| 41 | FEVR | FZD4 | c.470T>C:p.(Met157Thr) | Heterozygous | NA | None | 21.8 | 21097938 | P | NM_012193.3 |
| 42 | Congenital cataract | GJA3 | c.290T>G:p.(Leu97Arg) | Heterozygous | NA | None | 29 | Novel | US | NM_021954.3 |
| OPA1 | c.449-2A>C | Heterozygous | NA | None | 23.6 | Novel | P | NM_130832.2 | ||
| 43 | Ocular albinism | GPR143 | c.248T>C:p.(Leu83Pro) | Hemizygous | NA | None | 25.9 | 31106028 | LP | NM_000273.2 |
| 44 | Ocular albinism | GPR143 | c.360+2T>C | Hemizygous | NA | None | 23 | Novel | P | NM_000273.2 |
| 45 | Ocular albinism | GPR143 | c.925delG:p.(Ala309Profs*24) | Hemizygous | NA | None | 34 | Novel | P | NM_000273.2 |
| 46 | Ocular albinism | GPR143 | c.518C>G:p.(Ala173Asp) | Hemizygous | NA | None | 24.2 | Novel | LP | NM_000273.2 |
| 47 | Ocular albinism | GPR143 | Xp22.3 deletion | Hemizygous | NA | None | - | Novel | P | - |
| 48 | Ocular albinism | GPR143 | c.223_228dupGCTGCC: p.(Ala75_Ala76dup) | Hemizygous | NA | None | 8.758 | 28339057 | LP | NM_000273.2 |
| 49 d | LCA | GUCY2D | c.1991A>C:p.(His664Pro) c.2984G>A:p.(Arg995Gln) | Compound heterozygous | Maternal Paternal | None 1/244998 | 27 35 | 28966547 32165824 e | P LP | NM_000180.3 |
| 50 d | LCA | GUCY2D | c.2649del:p.(Phe883Leufs*13) | Homozygous | NA | None | 33 | 28966547 | P | NM_000180.3 |
| 51 d | LCA | GUCY2D | c.1790G>A:p.(Gly597Glu) exon 4-5 duplication | Compound heterozygous | Paternal De novo | None None | 27.4 - | 29068479 32165824 e | LP LP | NM_000180.3 |
| 52 d | IIN | GUCY2D | c.1978C>T:p.(Arg660*) c.2947C>A:p.(Pro983Thr) a c.2960G>C:p.(Gly987Ala) a | Compound heterozygous | Paternal Maternal | 1/251328 None None | 40 25.3 28.4 | 10766140 32165824 e 32165824 e | P LP LP | NM_000180.3 |
| 53 | CCDD | KIF21A | c.1067T>C:p.(Met356Thr) | Heterozygous | Maternal | None | 25.4 | 14595441 | LP | NM_001173464.1 |
| 54 | FEVR | LRP5 | c.607G>A:p.(Asp203Asn) | Heterozygous | Paternal | None | 32 | 16252235 | P | NM_002335.2 |
| 55 | Congenital cataract | NHS | c.1117C>T:p.(Arg373*) | Heterozygous | NA | None | 38 | 14564667 | P | NM_198270.2 |
| 56 d | LCA | NMNAT1 | c.275G>A:p.(Trp92*) c.709C>T:p.(Arg237Cys) | Compound heterozygous | Paternal Maternal | None 14/282780 | 38 35 | 32165824 e 22842227 | LP P | NM_022787.3 |
| 57 d | LCA | NMNAT1 | c.196C>T:p.(Arg66Trp) c.709C>T:p.(Arg237Cys) | Compound heterozygous | Paternal Maternal | 22/282832 14/282780 | 35 35 | 22842227 22842227 | P P | NM_022787.3 |
| 58 d | Optic atrophy | NR2F1 | c.91_93dupCGC:p.(Arg31dup) | Heterozygous | NA | None | 19.92 | 34466801 e | LP | NM_005654.4 |
| 59 d | Optic atrophy | NR2F1 | c.513C>G:p.(Tyr171*) | Heterozygous | NA | None | 37 | 34466801 e | LP | NM_005654.4 |
| 60 d | IIN | NYX | c.182_183insT: p.(Cys62Valfs*53) | Hemizygous | Maternal | None | 32 | 34064005 e | P | NM_022567.2 |
| 61 | Unexplained visual loss | NYX | c.38-1_38delGCinsTT: p.(Ala13Vafs*102) | Hemizygous | Maternal | None | 14.49 | ClinVar | P | NM_022567.2 |
| 62 | Optic atrophy | OPA1 | c.1240A>C:p.(Thr414Pro) | Heterozygous | NA | None | 26.5 | 26905822 | LP | NM_015560.2 |
| 63 | Optic atrophy | OPA1 | c.795_798delTGAC: p.(Asp266Cysfs*41) | Heterozygous | NA | None | 35 | Novel | P | NM_015560.2 |
| 64 | PAX6 phenotype | PAX6 | c.383G>A:p.(Arg128His) | Heterozygous | NA | None | 34 | 30167917 | LP | NM_000280.4 |
| 65 | PAX6 phenotype | PAX6 | c.607C>T:p.(Arg203*) | Heterozygous | NA | None | 36 | 7550230 | P | NM_000280.4 |
| 66 | PAX6 phenotype | PAX6 | c.397G>T:p.(Glu133*) | Heterozygous | NA | None | 38 | 16712695 | P | NM_000280.4 |
| 67 | PAX6 phenotype | PAX6 | c.702T>A:p.(Tyr234*) | Heterozygous | NA | None | 36 | Novel | P | NM_000280.4 |
| 68 | PAX6 phenotype | PAX6 | c.362C>T:p.(Ser121Leu) | Heterozygous | NA | None | 25.9 | 23734086 | LP | NM_000280.4 |
| 69 | PAX6 phenotype | PAX6 | c.607C>T:p.(Arg203*) | Heterozygous | NA | None | 37 | 7550230 | P | NM_000280.4 |
| 70 | PAX6 phenotype | PAX6 | c.702T>A:p.(Tyr234*) | Heterozygous | NA | None | 36 | Novel | P | NM_000280.4 |
| 71 | Achromatopsia | PDE6C | c.1771G>A:p.(Glu591Lys) c.2269C>T:p.(Gln757*) | Compound heterozygous | Paternal Maternal | 2/251120 None | 33 49 | 26992781 Novel | P P | NM_006204.3 |
| 72 | Achromatopsia | PDE6C | c.85C>T:p.(Arg29Trp) c.712C>T:p.(Arg238*) | Compound heterozygous | Maternal Paternal | 6/282886 2/251376 | 29.3 38 | 19615668 27124789 | P P | NM_006204.3 |
| 73 | Optic atrophy | PDHA1 | c.232G>A:p.(Ala78Thr) | Hemizygous | Maternal | None | 24.8 | Novel | LP | NM_000284.3 |
| 74 | RP | PRPH2 | c.708C>G:p.(Tyr236*) | Heterozygous | Paternal | None | 37 | 22863181 | P | NM_000322.4 |
| 75 | CSNB | RHO | c.302G>A:p.(Gly101Glu) | Heterozygous | NA | 2/250994 | 25.5 | 26161267 | LP | NM_000539.3 |
| 76 | Cone dystrophy | RP1 | c.4196delG:p.(Cys1399Leufs*5) c.6181delA:p.(Ile2061Serfs*12) | Compound heterozygous | NA | None None | 23.7 23 | 25097241 29425069 | P P | NM_006269.1 |
| 77 | LCA | RPGRIP1 | c.3565_3571delCGAAGGC: p.(Arg1189Glyfs*7) | Homozygous | NA | 4/249114 | 35 | 18682808 | P | NM_020366.3 |
| 78 d | PAX6 phenotype | SLC38A8 | c.692G>A:p.(Cys231Tyr) c.964C>T:p.(Gln322*) | Compound heterozygous | Paternal Maternal | None 2/248656 | 27.2 37 | 32744312 e 32744312 e | LP P | NM_001080442.1 |
| 79 d | Ocular albinism | SLC38A8 | c.995dupG:p.(Trp333Metfs*35) c.1214+5G>C | Compound heterozygous | Paternal Maternal | None None | 22.9 23.2 | 32744312 e 32744312 e | P LP | NM_001080442.1 |
| 80 d | PAX6 phenotype | SLC38A8 | c.558C>A:p.(Tyr186*) c.1078_1104del: p.(Ala360_leu368del) | Compound heterozygous | Maternal Paternal | None None | 58 16.29 | 32744312 e 32744312 e | P LP | NM_001080442.1 |
| 81 | Oculocutaneous albinism | SLC45A2 | c.220T>C:p.(Trp74Arg) | Heterozygous | Maternal | None | 26.7 | Novel | US | NM_016180.3 |
| 82 d | LCA | SPATA7 | c.388C>T:p.(Gln130*) c.1160+1G>A | Compound heterozygous | Maternal Paternal | 2/249908 None | 35 33 | 32165824 e 32165824 e | P P | NM_018418.4 |
| 83 d | LCA | TUBB3 | c.967A>G:p.(Met323Val) | Heterozygous | De novo | None | 25.3 | 33921132 e | LP | NM_006086.4 |
| 84 | Oculocutaneous albinism | TYR | c.929dupC:p.(Arg311Lysfs*7) c.1037-7T>A | Compound heterozygous | NA | 11/251178 242/280983 | 22.9 18.81 | 2511845 8217557 | P P | NM_000372.4 |
| 85 | Usher syndrome | USH2A | c.2802T>G:p.(Cys934Trp) c.11389+3A>T | Compound heterozygous | Son c | 57/282482 2/250762 | 26.6 22.7 | 21686329 28714225 | P LP | NM_206933.2 |
| 86 | Usher syndrome | USH2A | c.8559-2A>G | Homozygous | NA | 8/251134 | 34 | 32093671 | P | NM_206933.2 |
| 87 | X-linked retinoschisis | VPS13B | c.6200T>A:p.(Leu2067*) c.9530_9531del: p.(Ala3177Valfs*18) | Compound heterozygous | NA | 3/250746 None | 39 27.5 | 15141358 Novel | P P | NM_017890.4 |
| 88 | Corneal dystrophy | ZEB1 | c.2034_2035delAA: p.(Pro680Phefs*5) | Heterozygous | NA | None | 23.8 | Novel | P | NM_030751.5 |
| 89 | Corneal dystrophy | ZEB1 | c.1576delG:p.(Val526*) | Heterozygous | NA | None | 23.9 | Novel | P | NM_030751.5 |
| 90 | Optic atrophy | SOX5 | 12p12.2p12.1 deletion | Heterozygous | De novo | None | NA | Novel | P | NM_006940.4 |
| Patient No. | Sex/Age | Clinical Diagnosis before NGS Testing | Diagnosis after NGS Testing | Genes (Mode of Inheritance) | Nucleotide Changes | Amino Acid Changes | Management | Accession ID for Transcript |
|---|---|---|---|---|---|---|---|---|
| 6 | M/4.3 | IIN | CSNB | CACNA11 (XL) | c.1910+1G>A | - | Dual diagnosis | NM_005183.2 |
| FEVR | LRP51 (AD) | c.3833G>A | p.(Trp1278*) | Bone densitometry monitoring | NM_002335.2 | |||
| 11 | M/0.8 | Stickler syndrome | Stickler syndrome | COL2A11 (AD) | c.3165+1G>A | - | Prophylactic cryotherapy to prevent retinal detachment | NM_001844.4 |
| 12 | F/10.9 | Pierre-Robin sequence | Stickler syndrome | COL2A11 (AD) | c.2680-3C>G | - | Prophylactic cryotherapy to prevent retinal detachment | NM_001844.4 |
| 38 | M/7.8 | Congenital cataract | Hyperferritinemia-cataract syndrome | FTL1 (AD) | c.-168G>T | - | Avoid unnecessary phlebotomy or medical investigation | NM_000146.3 |
| 47 | M/5.1 | Ocular albinism | Xp22.33p22.2 deletion | GPR1431 CLCN4, KAL1 NLGN4X, STS (XL) | - | - | Hypotropic hypogonadism investigation | NM_000273.2 |
| 54 | F/4.8 | FEVR | FEVR | LRP51 (AD) | c.607G>A | p.(Asp203Asn) | Bone densitometry monitoring | NM_002335.2 |
| 73 | M/3.8 | Optic atrophy | Pyruvate dehydrogenase E1-α deficiency | PDHA11 (XL) | c.232G>A | p.(Ala78Thr) | Ketogenic diet Thiamine treatment | NM_000322.4 |
| 90 | F/8.1 | Optic atrophy | 12p12.2p.12.1 Xp22.2p22.13 deletion | SOX51 (AD) ABCC9 (AD) | - | - | Regular monitoring of cardiac function | NM_006940.4 NM_005691.3 |
| Phenotype | Phenotypic MIM | MIM Gene | Genes | Inheritance | Ophthalmic Phenotype | Medical or Surgical Action |
|---|---|---|---|---|---|---|
| Abetalipoproteinemia | 200100 | 157147 | MTTP | AR | Pigmentary retinal degeneration | Vitamin A and E supplement |
| Ataxia with isolated vitamin E deficiency | 277460 | 600415 | TTPA | AR | Pigmentary retinal degeneration | Treatment with vitamin E |
| Blepharophimosis-Ptosis-Epichantus Inversus syndrome | 110100 | 605597 | FOXL2 | AD | Blepharophimosis, ptosis, epicanthus inversus | Refer to endocrinologist for premature ovarian failure |
| Cerebrotendinous xanthomatosis | 213700 | 606530 | CYP27A1 | AR | Congenital cataract | Chenodeoxycholic acid and statins |
| Congenital Cataracts | 613763 | 123590 | CRYAB | AD | Congenital cataract | Dilated cardiomyopathy screening |
| Congenital Cataracts | 607330 | 601637 | CYP51A1 | Congenital cataract | Check sterol profiling | |
| Episodic ataxia type 2 | 108500 | 601011 | CACNA1A | AD | Episodic nystagmus | Acetazolamide for ameliorating nystagmus |
| Familial exudative vitreoretinopathy | 133780 | 603506 | LRP5 | AD | Temporal retinal dragging | Refer to endocrinologist to monitor bone mineral density |
| Galactokinase deficiency | 230200 | 604313 | GALK1 | AR | Congenital cataract | Restriction of lactose and galactose intake |
| Hyperferritinemia-cataract syndrome | 600886 | 134790 | FTL | AD | Congenital cataract | Avoid unnecessary repeated phlebotomy |
| Knobloch syndrome | 267750 | 120328 | COL18A1 | AD | High myopia | Brain MRI to detect occipital encephalocele |
| Lathosterolosis | NA | 602286 | SCD5 | AR | Congenital cataract | Cholesterol reducing agent Ultrasound monitoring of the liver Liver transplant may be required |
| Leber congenital amaurosis | 204100 | 180069 | RPE65 | AR | Nystagmus Retinal degeneration | Gene therapy (voretigene neparvovec-rzyl) |
| Pyruvate dehydrogenase E1-α deficiency | 312170 | 300502 | PDHA1 | XL | Optic atrophy Strabismus | Ketogenic diet Thiamine treatment |
| Refsum Disease | 266500 | 602026 601757 | PHYH, PEX7 | AR | Pigmentary retinal degeneration | Diet free of phytol, phytanic acid, or their precursor, or plasmapheresis |
| Retinoblastoma | 180200 | 614041 | RB1 | AD | Intraocular tumor | Serial detail examination of fundus |
| Stickler syndrome type I | 108300 | 120140 | COL2A1 | AD | High myopia Vitreoretinal degeneration | Prophylactic cryotherapy to prevent retinal detachment |
| Stomatin-deficient Cryohydrocytosis | 608885 | 138140 | SLC2A1 | AD | Congenital cataract | Ketogenic diet |
Publisher’s Note: MDPI stays neutral with regard to jurisdictional claims in published maps and institutional affiliations. |
© 2021 by the authors. Licensee MDPI, Basel, Switzerland. This article is an open access article distributed under the terms and conditions of the Creative Commons Attribution (CC BY) license (https://creativecommons.org/licenses/by/4.0/).
Share and Cite
Moon, D.; Park, H.W.; Surl, D.; Won, D.; Lee, S.-T.; Shin, S.; Choi, J.R.; Han, J. Precision Medicine through Next-Generation Sequencing in Inherited Eye Diseases in a Korean Cohort. Genes 2022, 13, 27. https://doi.org/10.3390/genes13010027
Moon D, Park HW, Surl D, Won D, Lee S-T, Shin S, Choi JR, Han J. Precision Medicine through Next-Generation Sequencing in Inherited Eye Diseases in a Korean Cohort. Genes. 2022; 13(1):27. https://doi.org/10.3390/genes13010027
Chicago/Turabian StyleMoon, Dabin, Hye Won Park, Dongheon Surl, Dongju Won, Seung-Tae Lee, Saeam Shin, Jong Rak Choi, and Jinu Han. 2022. "Precision Medicine through Next-Generation Sequencing in Inherited Eye Diseases in a Korean Cohort" Genes 13, no. 1: 27. https://doi.org/10.3390/genes13010027
APA StyleMoon, D., Park, H. W., Surl, D., Won, D., Lee, S.-T., Shin, S., Choi, J. R., & Han, J. (2022). Precision Medicine through Next-Generation Sequencing in Inherited Eye Diseases in a Korean Cohort. Genes, 13(1), 27. https://doi.org/10.3390/genes13010027

