Robust Response to Plum pox virus Infection via Plant Biotechnology
Abstract
1. Introduction
2. Materials and Methods
2.1. BlueByrd (BO70146) Plum, GF-305 Peach and Virus Resistance
2.2. Transformed Plums C1738
2.3. Hybridization
2.4. Hybrid Selection via GUS Assays
2.5. Methylation of Transgene
2.6. siRNA Detection
2.7. Production of a Labeled 32P PPV CP Probe
2.8. Western-Blotting Assays
3. Results
3.1. Transgenic C1738 and D1738 Clones
3.2. Cross Hybridization between the Hexaploid C-2 and C-1738 Clones
3.3. Inhibition of the CP Gene Expressed in C-2 Clone
3.3.1. Heritable Epigenetics
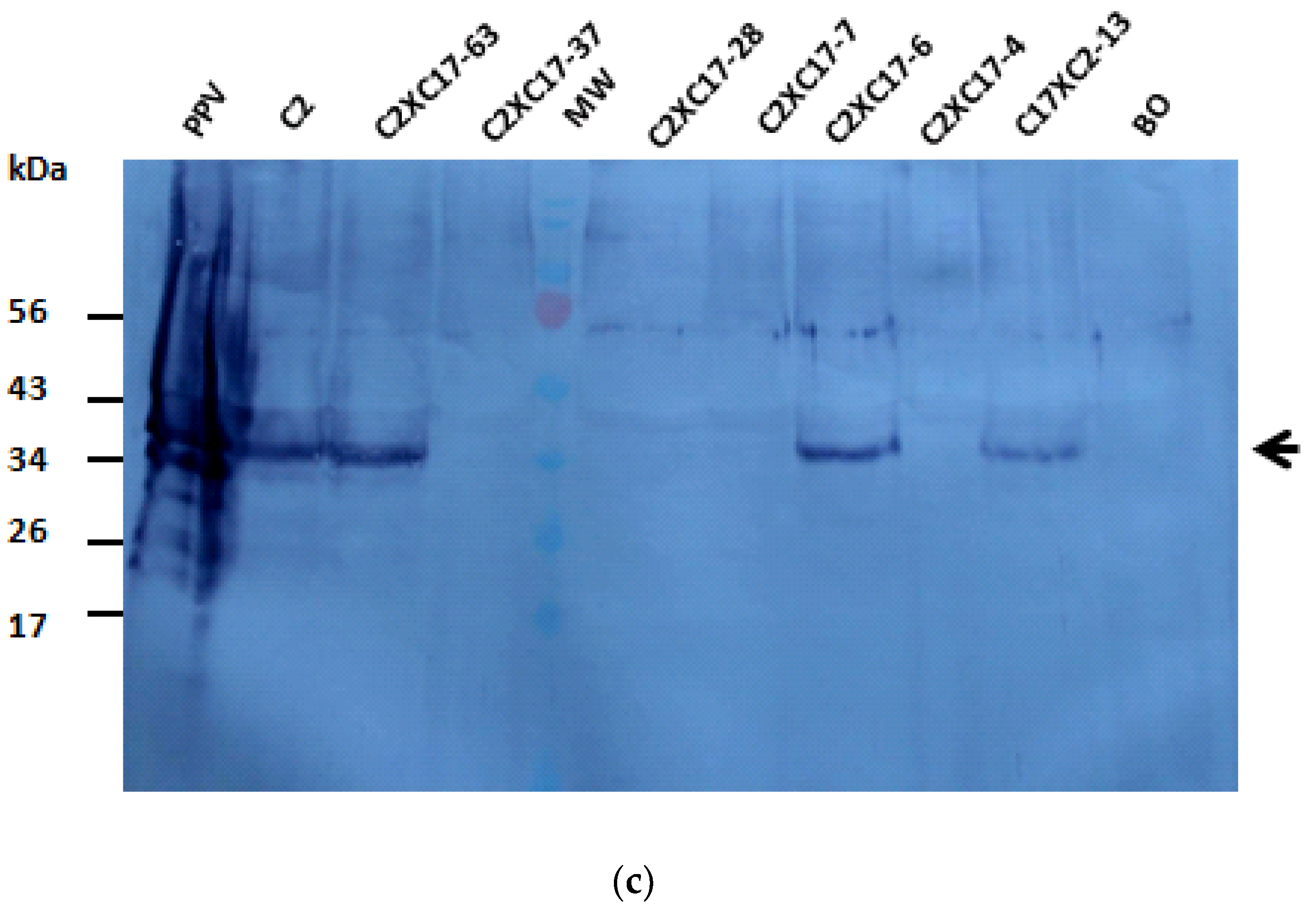
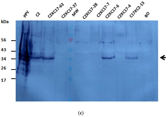
3.3.2. Western-Blotting Assays
3.4. Inheritability of PPV Resistance in Hybrid Clones of BO146xC-1738 Clone
4. Discussion
5. Conclusions
Author Contributions
Funding
Institutional Review Board Statement
Informed Consent Statement
Data Availability Statement
Acknowledgments
Conflicts of Interest
References
- Abel, P.P.; Nelson, R.R.; de, B.; Hoffmann, N.; Rogers, S.G.; Fraley, R.T.; Beachy, R.H. Delay of disease development in transgenic plants that express the tobacco mosaic virus coat protein gene. Science 1986, 232, 738–743. [Google Scholar] [CrossRef] [PubMed]
- Atanassov, D. Plum pox. A new virus disease. Ann. Univ. Sofia Fac. Agric. Silvic. 1932, 11, 49–69. [Google Scholar]
- Scorza, R.; Ravelonandro, M.; Callahan, A.M.; Cordts, J.M.; Fuchs, M.; Dunez, J.; Gonsalves, D. Transgenic Plums (Prunus-domestica L.) Express the Plum pox virus Coat Protein Gene. Plant Cell Rep. 1994, 14, 18–22. [Google Scholar] [CrossRef]
- Ravelonandro, M.; Scorza, R.; Bachelier, J.C.; Labonne, G.; Levy, L.; Damsteegt, V.; Callahan, A.M.; Dunez, J. Resistance of transgenic Prunus domestica to Plum pox virus infection. Plant Dis. 1997, 81, 1231–1235. [Google Scholar] [CrossRef]
- Scorza, R.; Callahan, A.; Dardick, C.; Ravelonandro, M.; Polak, J.; Malinowski, T.; Zagrai, I.; Cambra, M.; Kamenova, I. Genetic engineering of Plum pox virus resistance: ‘HoneySweet’ plum—From concept to product. Plant Cell Tissue Organ Cult. 2013, 115, 1–12. [Google Scholar] [CrossRef]
- Scorza, R.; Ravelonandro, M.; Callahan, A.; Zagrai, I.; Polak, J.; Malinowski, T.; Cambra, M.; Levy, L.; Damsteegt, V.; Krska, B.; et al. HoneySweet’(C5), the first genetically engineered Plum pox virus resistant Plum (Prunus domestica L.) Cultivar. Hortscience 2016, 51, 601–603. [Google Scholar] [CrossRef]
- Scorza, R.; Callahan, A.; Levy, L.; Damsteegt, V.; Webb, K.; Ravelonandro, M. Posttranscriptional gene silencing in Plum pox virus resistant transgenic European plum containing the Plum pox potyvirus coat protein gene. Trans. Res. 2001, 1054, 1–9. [Google Scholar] [CrossRef]
- Callahan, A.M.; Zhebentyayeva, T.N.; Humann, J.L.; Saski, C.A.; Galimba, K.D.; Georgi, L.L.; Scorza, R.; Main, D.; Dardick, C.D. Defining the ‘HoneySweet’ insertion event utilizing NextGen sequencing and a de novo genome assembly of plum (Prunus domestica). Hortic. Res. 2021, 8, 8. [Google Scholar] [CrossRef]
- Scorza, R.; Georgi, L.; Callahan, A.M.; Petri, C.; Hily, J.; Dardick, C.D.; Damsteegt, V.D.; Ravelonandro, M. Hairpin Plum pox virus coat protein (hpPPV-CP) structure in HoneySweet C5 plum provides PPV resistance when genetically engineered into plum (Prunus domestica) seedlings. Jul. Kühn-Arch. 2010, 427, 141–146. [Google Scholar]
- Scorza, R.; Fogle, H.W. Bluebyrd plum. HortScience 1999, 34, 1129–1130. [Google Scholar] [CrossRef]
- Baulcombe, D.C. RNA as a target and an initiator of post-transcriptional gene silencing in trangenic plants. Plant Mol. Biol. 1996, 32, 79–88. [Google Scholar] [CrossRef] [PubMed]
- Amara, J.J.; Ribeyre, Z.; Vigneaud, J.; Sow, M.D.; Fichot, R.; Messier, C.; Pinto, G.; Nolet, P.; Maury, S. Advances and Promises of Epigenetics for Forest Trees. Forests 2020, 11, 976. [Google Scholar] [CrossRef]
- Matzke, M.A.; Mosher, R.A. RNA-directed DNA methylation: An epigenetic pathway of increasing complexity. Nat. Rev. Genet. 2014, 15, 394–408. [Google Scholar] [CrossRef] [PubMed]
- Scorza, R.; Jriss, A.B.; Callahan, A.; Webb, K.; Demuth, M.; Gottwald, T. Spatial and Temporal Assessment of Pollen- and Seed-Mediated Gene Flow from Genetically Engineered Plum Prunus domestica. PLoS ONE 2013, 8, e75291. [Google Scholar] [CrossRef]
- Grant-Downton, R.T.; Dickinson, H.G. Epigenetics and its Implications for Plant Biology 2. The ‘Epigenetic Epiphany’: Epigenetics, Evolution and Beyond. Ann. Bot. 2006, 97, 11–27. [Google Scholar] [CrossRef]
- Ravelonandro, M.; Scorza, R.; Hily, J.M.; Briard, P. The efficiency of RNA interference for conferring stable resistance to Plum pox virus. Plant Cell Tissue Organ Cult. 2014, 118, 347–356. [Google Scholar] [CrossRef]
- Ravelonandro, M.; Scorza, R.; Briard, P. Innovative RNAi Strategies and Tactics to Tackle Plum pox virus (PPV) Genome in Prunus domestica plum. Plants 2019, 8, 565. [Google Scholar] [CrossRef]
- Zagrai, I.; Ravelonandro, M.; Gaboreanu, I.; Ferencz, B.; Scorza, R.; Zagrai, L.; Kelemen, B.; Pamfil, D.; Popescu, O. Transgenic plums expressing Plum pox virus coat protein gene do not affect the PPV strain composition or produce PPV recombinants. J. Plant Pathol. 2011, 93, 159–165. [Google Scholar]
- Malinowski, T.; Cambra, M.; Capote, N.; Zawadzka, B.; Gorris, M.T.; Scorza, R.; Ravelonandro, M. Field trials of plum clones transformed with the Plum pox virus coat protein (PPV-cp) gene. Plant Dis. 2006, 90, 1012–1018. [Google Scholar] [CrossRef]
- Jefferson, R.A.; Kavanagh, T.A.; Bevan, M. GUS fusions: B-glucuronidase as a sensitive and versatile gene. EMBO J. 1987, 6, 3901–3907. [Google Scholar] [CrossRef]
- Kobayashi, N.; Horikoshi, T.; Katsuyama, H.; Handa, T.; Takayanagi, K. A simple and efficient DNA extraction method for plants, especially woody plants. Plant Tissue Cult. Biotechnol. 1998, 4, 76–80. [Google Scholar]
- Kundu, J.K.; Briard, P.; Hily, J.M.; Ravelonandro, M.; Scorza, R. Role of the 26nt siRNA in the resistance of transgenic Prunus domestica graft inoculated with Plum pox virus. Virus Genes 2008, 36, 215–220. [Google Scholar] [CrossRef]
- Hily, J.M.; Scorza, R.; Webb, R.; Ravelonandro, M. Accumulation of the long class of siRNA is associated with resistance to Plum pox virus in transgenic woody perennial plum tree. Mol. Plant-Microbe Interact. 2005, 8, 794–799. [Google Scholar] [CrossRef] [PubMed]
- Ravelonandro, M.; Briard, P.; Monsion, M.; Scorza, R. Stable transfer of the Plum pox virus capsid transgene to seedlings of the French cultivars Prune D’ente 303 and Quetsches 2906 and preliminary results of PPV challenge assays. Acta Hortic. 2002, 577, 91–96. [Google Scholar] [CrossRef]
- Hily, J.M.; Scorza, R.; Malinowski, T.; Zawadzka, B.; Ravelonandro, M. Stability of gene silencing-based resistance to Plum pox virus in transgenic plum (Prunus domestica L.) under field conditions. Transgenic Res. 2004, 13, 427–436. [Google Scholar] [CrossRef]
- Zhou, H.; Xia, G.X.; Xu, Z. An RNA polymerase II construct synthesizes short-hairpin RNA with a quantitative indicator and mediates highly efficient RNAi. Nucleic Acids Res. 2005, 1, e62. [Google Scholar] [CrossRef]
- Hoffer, P.; Ivashutab, S.; Pontesc, O.; Vitinsc, A.; Pikaardd, C.; Mroczkaa, A.; Wagnera, N.; Voelkera, T. Posttranscriptional gene silencing in nuclei. Proc. Natl. Acad. Sci. USA 2011, 108, 409–414. [Google Scholar] [CrossRef]
- Hammond, S.M.; Caudy, A.A.; Hannon, G.J. Post transcriptional gene silencing by double stranded RNA. Nat. Rev. Genet. 2001, 2, 110–119. [Google Scholar] [CrossRef]
- Ravelonandro, M.; Briard, P. Mechanisms of natural and genetically engineered resistance against viruses. In Applied Plant Virology, Advances, Detection and Antivral Strategy; Academic Press: New York, NY, USA, 2020; Chapter 49. [Google Scholar] [CrossRef]
- Gao, Z.; Liu, H.L.; Daxinger, L.; Pontes, O.; He, X.; Qian, W.; Lin, H.; Xie, M.; Lorkovic, Z.J.; Zhang, S.; et al. An RNA polymerase II- and AGO4-associated protein acts in RNA-directed DNA methylation. Nature 2010, 465, 106–109. [Google Scholar] [CrossRef] [PubMed]
- Ravelonandro, M. Transgenic virus resistance using homology-dependent RNA silencing and the impact of mixed virus infection. In Biotechnology and Plant Disease Management; Zamir, K., Punja, S., De Boer, S., Sanfacon, H., Eds.; CABI: New York, NY, USA, 2007; Chapter 49; pp. 374–394. [Google Scholar]
- Zagrai, I.; Ravelonandro, M.; Zagrai, L.; Scorza, R.; Minoiu, N. Overview of the investigations of transgenic plums in Romania. Acta Horticult. 2011, 899, 153–158. [Google Scholar] [CrossRef]
- Polák, J.; Kundu, J.; Krška, B.; Beoni, E.; Komínek, P.; Pívalova, J.; Jarošová, J. Transgenic plum Prunus domestica L. clone C5 (cv. HoneySweet) for protection against sharka disease. J. Integr. Agric. 2017, 16, 516–522. [Google Scholar] [CrossRef]






| Cross Hybridization | Rooted Plants | Positive Gus Assays | Methylated cp and Positive Gus |
|---|---|---|---|
| C1738 × C2 | 3 | 1/3 | 0/1 |
| C2 × C1738 | 60 | 32/60 | 4/32 |
| TOTAL | 63 | 33/63 | 4/33 |
Publisher’s Note: MDPI stays neutral with regard to jurisdictional claims in published maps and institutional affiliations. |
© 2021 by the authors. Licensee MDPI, Basel, Switzerland. This article is an open access article distributed under the terms and conditions of the Creative Commons Attribution (CC BY) license (https://creativecommons.org/licenses/by/4.0/).
Share and Cite
Ravelonandro, M.; Briard, P.; Scorza, R.; Callahan, A.; Zagrai, I.; Kundu, J.K.; Dardick, C. Robust Response to Plum pox virus Infection via Plant Biotechnology. Genes 2021, 12, 816. https://doi.org/10.3390/genes12060816
Ravelonandro M, Briard P, Scorza R, Callahan A, Zagrai I, Kundu JK, Dardick C. Robust Response to Plum pox virus Infection via Plant Biotechnology. Genes. 2021; 12(6):816. https://doi.org/10.3390/genes12060816
Chicago/Turabian StyleRavelonandro, Michel, Pascal Briard, Ralph Scorza, Ann Callahan, Ioan Zagrai, Jiban K. Kundu, and Chris Dardick. 2021. "Robust Response to Plum pox virus Infection via Plant Biotechnology" Genes 12, no. 6: 816. https://doi.org/10.3390/genes12060816
APA StyleRavelonandro, M., Briard, P., Scorza, R., Callahan, A., Zagrai, I., Kundu, J. K., & Dardick, C. (2021). Robust Response to Plum pox virus Infection via Plant Biotechnology. Genes, 12(6), 816. https://doi.org/10.3390/genes12060816

