Novel Germline c.105_107dupGCT MEN1 Mutation in a Family with Newly Diagnosed Multiple Endocrine Neoplasia Type 1
Abstract
1. Introduction
2. Case Presentation
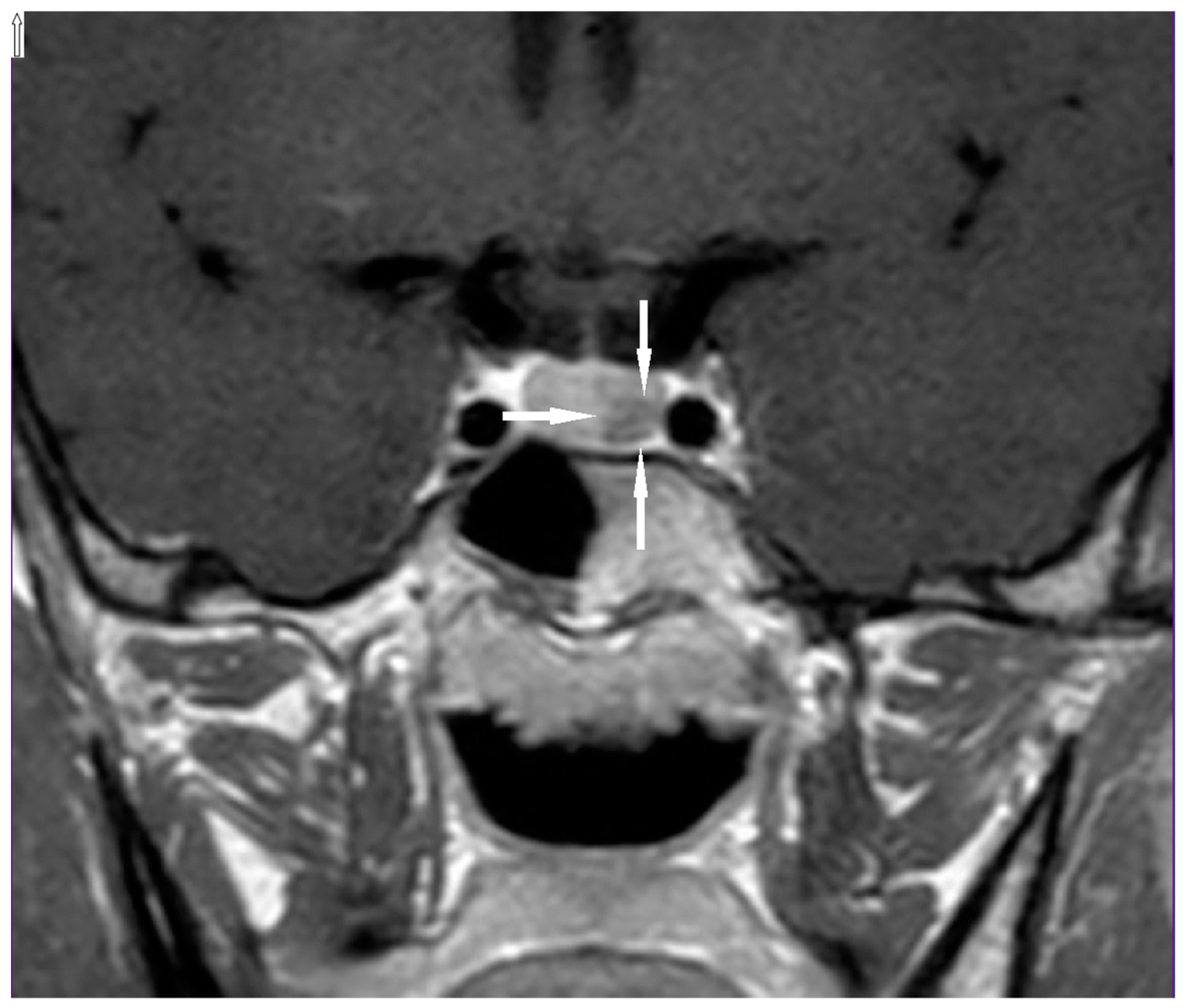
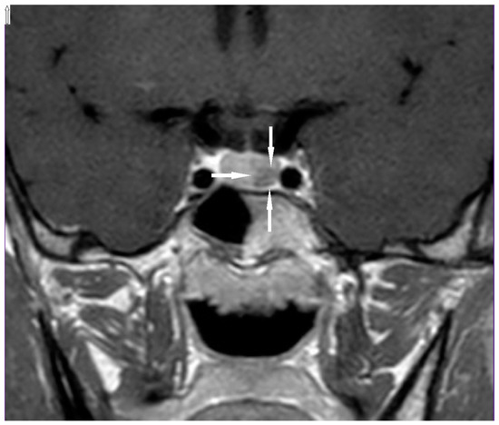
2.1. Patient’s Description
2.2. Material and Methods
2.3. Consent Procedures
3. Discussion
4. Conclusions
Author Contributions
Funding
Conflicts of Interest
References
- Carroll, R.W. Multiple endocrine neoplasia type 1 (MEN1). Asia Pac. J. Clin. Oncol. 2013, 9, 297–309. [Google Scholar] [CrossRef] [PubMed]
- Bassett, J.H.; Forbes, S.A.; Pannett, A.A.; Lloyd, S.E.; Christie, P.T.; Wooding, C.; Harding, B.; Besser, G.M.; Edwards, C.R.; Monson, J.P.; et al. Characterization of mutations in patients with multiple endocrine neoplasia type 1. Am. J. Hum. Genet. 1998, 62, 232–244. [Google Scholar] [CrossRef] [PubMed]
- Thakker, R.V. Multiple endocrine neoplasia type 1 (MEN1) and type 4 (MEN4). Mol. Cell Endocrinol. 2014, 386, 2–15. [Google Scholar] [CrossRef] [PubMed]
- Koehler, V.F.; Jungheim, K.; Groß, U.; Iacovazzo, D.; Mann, A.; Korbonits, M. Novel germline p.Gly42Val MEN1 mutation in a family with multiple endocrine neoplasia type 1—Excellent response of prolactinoma to cabergoline. Ann. Clin. Lab. Sci. 2017, 47, 606–610. [Google Scholar]
- Lemos, M.C.; Thakker, R.V. Multiple endocrine neoplasia type 1 (MEN1): Analysis of 1336 mutations reported in the first decade following identification of the gene. Hum. Mutat. 2008, 29, 22–32. [Google Scholar] [CrossRef]
- Milne, T.A.; Hughes, C.M.; Lloyd, R.; Yang, Z.; Rozenblatt-Rosen, O.; Dou, Y.; Schnepp, R.W.; Krankel, C.; Livolsi, V.A.; Gibbs, D.; et al. Menin and MLL cooperatively regulate expression of cyclin-dependent kinase inhibitors. Proc. Natl. Acad. Sci. USA 2005, 102, 749–754. [Google Scholar] [CrossRef]
- Karnik, S.K.; Hughes, C.M.; Gu, X.; Rozenblatt-Rosen, O.; McLean, G.W.; Xiong, Y.; Meyerson, M.; Kim, S.K. Menin regulates pancreatic islet growth by promoting histone methylation and expression of genes encoding p27Kip1 and p18INK4c. Proc. Natl. Acad. Sci. USA 2005, 102, 14659–14664. [Google Scholar] [CrossRef]
- Lemmens, I.; Van de Ven, W.J.; Kas, K.; Zhang, C.X.; Giraud, S.; Wautot, V.; Buisson, N.; De Witte, K.; Salandre, J.; Lenoir, G.; et al. Identification of the multiple endocrine neoplasia type 1 (MEN1) gene. The European Consortium on MEN1. Hum. Mol. Genet. 1997, 6, 1177–1183. [Google Scholar] [CrossRef]
- Beckers, A.; Betea, D.; Socin, H.V.; Stevenaert, A. The treatment of sporadic versus MEN1-related pituitary adenomas. J. Intern. Med. 2003, 253, 599–605. [Google Scholar] [CrossRef]
- Concolino, P.; Costella, A.; Capoluongo, E. Multiple endocrine neoplasia type 1 (MEN1): An update of 208 new germline variants reported in the last nine years. Cancer Genet. 2016, 209, 36–41. [Google Scholar] [CrossRef]
- Yaguchi, H.; Ohkura, N.; Takahashi, M.; Nagamura, Y.; Kitabayashi, I.; Tsukada, T. Menin missense mutants associated with multiple endocrine neoplasia type 1 are rapidly degraded via the ubiquitin-proteasome pathway. Mol. Cell. Biol. 2004, 24, 6569–65805. [Google Scholar] [CrossRef] [PubMed]
- Kouvaraki, M.A.; Lee, J.E.; Shapiro, S.E.; Gagel, R.F.; Sherman, S.I.; Sellin, R.V.; Cote, G.J.; Evans, D.B. Genotype-phenotype analysis in multiple endocrine neoplasia type 1. Arch. Surg. 2002, 137, 641–647. [Google Scholar] [CrossRef] [PubMed]
- Turner, J.J.; Leotlela, P.D.; Pannett, A.A.; Forbes, S.A.; Bassett, J.H.; Harding, B.; Christie, P.T.; Bowen-Jones, D.; Ellard, S.; Hattersley, A.; et al. Frequent occurrence of an intron 4 mutation in multiple endocrine neoplasia type 1. J. Clin. Endocrinol. Metab. 2002, 87, 2688–2693. [Google Scholar] [CrossRef] [PubMed]
- Wautot, V.; Vercherat, C.; Lespinasse, J.; Chambe, B.; Lenoir, G.M.; Zhang, C.X.; Porchet, N.; Cordier, M.; Beroud, C.; Calender, A. Germline mutation profile of MEN1 in multiple endocrine neoplasia type 1: Search for correlation between phenotype and the functional domains of the MEN1 protein. Hum. Mutat. 2002, 20, 35–47. [Google Scholar] [CrossRef]
- Soczomski, P.; Jurecka-Lubieniecka, B.; Rogozik, N.; Tukiendorf, A.; Jarząb, B.; Bednarczuk, T. Multiple endocrine neoplasia type 1 in Poland: A two-centre experience. Endokrynol. Pol. 2019, 70, 385–391. [Google Scholar] [CrossRef]
- Longuini, V.C.; Lourenço, D.M., Jr.; Sekiya, T.; Meirelles, O.; Goncalves, T.D.; Coutinho, F.L.; Francisco, G.; Osaki, L.H.; Chammas, R.; Alves, V.A.; et al. Association between the p27 rs2066827 variant and tumor multiplicity in patients harboring MEN1 germline mutations. Eur. J. Endocrinol. 2014, 171, 335–342. [Google Scholar] [CrossRef]
- Bartsch, D.K.; Langer, P.; Wild, A.; Schilling, T.; Celik, I.; Rothmund, M.; Nies, C. Pancreaticoduodenal endocrine tumors in multiple endocrine neoplasia type 1: Surgery or surveillance? Surgery 2000, 128, 958–966. [Google Scholar] [CrossRef]
- Palermo, A.; Capoluongo, E.; Del Toro, R.; Manfrini, S.; Pozzilli, P.; Maggi, D.; Defeudis, G.; Pantano, F.; Coppola, R.; Di Matteo, F.M.; et al. A novel germline mutation at exon 10 of MEN1 gene: A clinical survey and positive genotype-phenotype analysis of a MEN1 Italian family, including monozygotic twins. Hormones 2018, 17, 427–435. [Google Scholar] [CrossRef]
- Thevenon, J.; Bourredjem, A.; Faivre, L.; Cardot-Bauters, C.; Calender, A.; Murat, A.; Giraud, S.; Niccoli, P.; Odou, M.F.; Borson-Chazot, F.; et al. Higher risk of death among MEN1 patients with mutations in the JunD interacting domain: A Grouped’etude des Tumeurs Endocrines (GTE) cohort study. Hum. Mol. Genet. 2013, 22, 1940–1948. [Google Scholar] [CrossRef]
- De Paoli-Iseppi, R.; Prentice, L.; Marthick, J.R.; Thomson, R.; Holloway, A.F.; Dickinson, J.L.; Burgess, J. Multiple endocrine neoplasia type 1: Clinical correlates of MEN1 gene methylation. Pathology 2018, 50, 622–628. [Google Scholar] [CrossRef]
- Lips, C.J.; Dreijerink, K.M.; Höppener, J.W. Variable clinical expression in patients with a germline MEN1 disease gene mutation: Clues to a genotype-phenotype correlation. Clinics 2012, 67, 49–56. [Google Scholar] [CrossRef]
- Machens, A.; Schaaf, L.; Karges, W.; Frank-Raue, K.; Bartsch, D.K.; Rothmund, M.; Schneyer, U.; Goretzki, P.; Raue, F.; Dralle, H. Age-related penetrance of endocrine tumours in multiple endocrine neoplasia type 1 (MEN1): A multicentre study of 258 gene carriers. Clin. Endocrinol. 2007, 67, 613–622. [Google Scholar] [CrossRef] [PubMed]
- Thakker, R.V. Multiple endocrine neoplasia—Syndromes of the twentieth century. J. Clin. Endocrinol. Metab. 1998, 83, 2617–2620. [Google Scholar] [CrossRef] [PubMed][Green Version]
- Flanagan, D.E.; Armitage, M.; Clein, G.P.; Thakker, R.V. Prolactinoma presenting in identical twins with multiple endocrine neoplasia type 1. Clin. Endocrinol. 1996, 45, 117–120. [Google Scholar] [CrossRef]
- Namihira, H.; Sato, M.; Miyauchi, A.; Ohye, H.; Matsubara, S.; Bhuiyan, M.M.; Murao, K.; Ameno, S.; Ameno, K.; Ijiri, I.; et al. Different phenotypes of multiple endocrine neoplasia type 1 (MEN1) in monozygotic twins found in a Japanese MEN1 family with MEN1 gene mutation. Endocr. J. 2000, 47, 37–43. [Google Scholar] [CrossRef]
- Concolino, P.; Rossodivita, A.; Carrozza, C.; Raffaelli, M.; Lombardi, C.P.; Rigante, D.; Pitocco, D.; Stabile, A.; Bellantone, R.; Zuppi, C.; et al. A novel MEN1 frameshift germline mutation in two Italian monozygotic twins. Clin. Chem. Lab. Med. 2008, 46, 824–826. [Google Scholar] [CrossRef]
- Kamilaris, C.D.C.; Stratakis, C.A. Multiple Endocrine Neoplasia Type 1 (MEN1): An Update and the Significance of Early Genetic and Clinical Diagnosis. Front. Endocrinol. 2019, 10, 339. [Google Scholar] [CrossRef]
- Thakker, R.V.; Newey, P.J.; Walls, G.V.; Bilezikian, J.; Dralle, H.; Ebeling, P.R.; Melmed, S.; Sakurai, A.; Tonelli, F.; Brandi, M.L. Clinical practice guidelines for multiple endocrine neoplasia type 1 (MEN1). J. Clin. Endocrinol. Metab. 2012, 97, 2990–3011. [Google Scholar] [CrossRef]


| Parameter (Reference Range) [unit] | At the Time of Diagnosis | 30 mg of Cinacalcet | Before the 1st Surgery 45 mg of Cinacalcet | After the 1st Surgery (June 2018) | Before the 2nd Surgery (June 2019) 90 mg of Cinacalcet | After the 2nd Surgery (January 2020) | The Patient’s Father (July 2019) |
|---|---|---|---|---|---|---|---|
| PTH (15–65) [ng/L] | 172.2 | 136.4 | 84.59 | 78.3 | 88.9 | 21 | 112.6 |
| Ca (2.20–2.65) [mmol/L] | 2.95 | 2.85 | 2.73 | 2.8 | 2.62 | 2.20 | 2.65 |
| P (0.97–1.81) [mmol/L] | 0.646 | 0.872 | 1.29 | NA | 1.22 | NA | 0.90 |
© 2020 by the authors. Licensee MDPI, Basel, Switzerland. This article is an open access article distributed under the terms and conditions of the Creative Commons Attribution (CC BY) license (http://creativecommons.org/licenses/by/4.0/).
Share and Cite
Stasiak, M.; Dedecjus, M.; Zawadzka-Starczewska, K.; Adamska, E.; Tomaszewska, M.; Lewiński, A. Novel Germline c.105_107dupGCT MEN1 Mutation in a Family with Newly Diagnosed Multiple Endocrine Neoplasia Type 1. Genes 2020, 11, 986. https://doi.org/10.3390/genes11090986
Stasiak M, Dedecjus M, Zawadzka-Starczewska K, Adamska E, Tomaszewska M, Lewiński A. Novel Germline c.105_107dupGCT MEN1 Mutation in a Family with Newly Diagnosed Multiple Endocrine Neoplasia Type 1. Genes. 2020; 11(9):986. https://doi.org/10.3390/genes11090986
Chicago/Turabian StyleStasiak, Magdalena, Marek Dedecjus, Katarzyna Zawadzka-Starczewska, Emilia Adamska, Monika Tomaszewska, and Andrzej Lewiński. 2020. "Novel Germline c.105_107dupGCT MEN1 Mutation in a Family with Newly Diagnosed Multiple Endocrine Neoplasia Type 1" Genes 11, no. 9: 986. https://doi.org/10.3390/genes11090986
APA StyleStasiak, M., Dedecjus, M., Zawadzka-Starczewska, K., Adamska, E., Tomaszewska, M., & Lewiński, A. (2020). Novel Germline c.105_107dupGCT MEN1 Mutation in a Family with Newly Diagnosed Multiple Endocrine Neoplasia Type 1. Genes, 11(9), 986. https://doi.org/10.3390/genes11090986

