ATP2A2 SINE Insertion in an Irish Terrier with Darier Disease and Associated Infundibular Cyst Formation
Abstract
1. Introduction
2. Materials and Methods
2.1. Ethics Statement
2.2. Clinical Examinations and Management
2.3. Histopathology
2.4. Whole Genome Sequencing
2.5. Variant Calling
2.6. Gene Analysis
2.7. RT-PCR and Sanger Sequencing
2.8. Whole Transcriptome Analysis (RNA-seq)
3. Results
3.1. Clinical Examination and Management
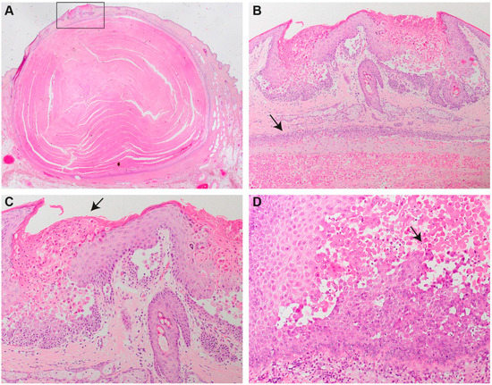
3.2. Histopathology
3.3. Identification of a Candidate Causative Variant
3.4. Analysis of the ATP2A2 mRNA
4. Discussion
5. Conclusions
Supplementary Materials
Author Contributions
Funding
Acknowledgments
Conflicts of Interest
References
- Koster, M.I. Making an epidermis. Ann. N. Y. Acad. Sci. 2009, 1170, 7–10. [Google Scholar] [CrossRef] [PubMed]
- Green, K.J.; Simpson, C.L. Desmosomes: New perspectives on a classic. J. Investig. Dermatol. 2007, 127, 2499–2515. [Google Scholar] [CrossRef]
- Müller, E.J.; Williamson, L.; Kolly, C.; Suter, M.M. Outside-in signaling through integrins and cadherins: A central mechanism to control epidermal growth and differentiation? J. Investig. Dermatol. 2008, 128, 501–516. [Google Scholar] [CrossRef] [PubMed]
- Burdett, I.D.; Sullivan, K.H. Desmosome assembly in MDCK cells: Transport of precursors to the cell surface occurs by two phases of vesicular traffic and involves major changes in centrosome and Golgi location during a Ca2+ shift. Exp. Cell Res. 2002, 276, 296–309. [Google Scholar] [CrossRef] [PubMed]
- Elias, P.M.; Ahn, S.K.; Denda, M.; Brown, B.E.; Crumrine, D.; Kimutai, L.K.; Kömüves, L.; Lee, S.H.; Feingold, K.R. Modulations in epidermal calcium regulate the expression of differentiation-specific markers. J. Investig. Dermatol. 2002, 119, 1128–1136. [Google Scholar] [CrossRef]
- Foggia, L.; Hovnanian, A. Calcium pump disorders of the skin. Am. J. Med. Genet. C Semin. Med. Genet. 2004, 131, 20–31. [Google Scholar]
- Sakuntabhai, A.; Ruiz-Perez, V.; Carter, S.; Jacobsen, N.; Burge, S.; Monk, S.; Smith, M.; Munro, C.S.; O’Donovan, M.; Craddock, N.; et al. Mutations in ATP2A2, encoding a Ca2+ pump, cause Darier disease. Nat. Genet. 1999, 21, 271–277. [Google Scholar] [CrossRef]
- Nellen, R.G.; Steijlen, P.M.; van Steensel, M.A.; Vreeburg, M.; European Professional Contributors; Frank, J.; van Geel, M. Mendelian disorders of cornification caused by defects in intracellular calcium pumps: Mutation update and database for variants in ATP2A2 and ATP2C1 associated with Darier disease and Hailey-Hailey disease. Hum. Mutat. 2017, 38, 343–356. [Google Scholar]
- Burge, S.M.; Wilkinson, J.D. Darier-White disease: A review of the clinical features in 163 patients. J. Am. Acad. Dermatol. 1992, 27, 40–50. [Google Scholar] [CrossRef]
- Hu, Z.; Bonifas, J.M.; Beech, J.; Bench, G.; Shigihara, T.; Ogawa, H.; Ikeda, S.; Mauro, T.; Epstein, E.H., Jr. Mutations in ATP2C1, encoding a calcium pump, cause Hailey-Hailey disease. Nat. Genet. 2000, 24, 61–65. [Google Scholar]
- Poblete-Gutierrez, P.; Wiederholt, T.; Konig, A.; Jugert, F.K.; Marquardt, Y.; Rubben, A.; Merk, H.F.; Happle, R.; Frank, J. Allelic loss underlies type 2 segmental Hailey-Hailey disease, providing molecular confirmation of a novel genetic concept. J. Clin. Investig. 2004, 114, 1467–1474. [Google Scholar] [CrossRef] [PubMed]
- See, S.H.C.; Peternel, S.; Adams, D.; North, J.P. Distinguishing histopathologic features of acantholytic dermatoses and the pattern of acantholytic hypergranulosis. J. Cutan. Pathol. 2019, 46, 6–15. [Google Scholar] [CrossRef] [PubMed]
- Olivry, T.; Linder, K.E. Dermatoses affecting desmosomes in animals: A mechanistic review of acantholytic blistering skin diseases. Vet. Dermatol. 2009, 20, 313–326. [Google Scholar] [CrossRef] [PubMed]
- Shanley, K.J.; Goldschmidt, M.H.; Sueki, H.; Lazarus, G.; George, M. Canine Benign Familial Chronic Pemphigus. In Advances in Veterinary Dermatology; Ihrke, P.J., Mason, I.S., White, S.D., Eds.; Pergamon Press: Oxford, UK, 1993; Volume 2, pp. 353–365. [Google Scholar]
- Sueki, H.; Shanley, K.; Goldschmidt, M.H.; Lazarus, G.S.; Murphy, G.F. Dominantly inherited epidermal acantholysis in dogs, simulating human benign familial chronic pemphigus (Hailey Hailey disease). Br. J. Dermatol. 1997, 136, 190–196. [Google Scholar] [CrossRef]
- Müller, E.J.; Caldelari, R.; Kolly, C.; Williamson, L.; Baumann, D.; Richard, G.; Jensen, P.; Girling, P.; Delprincipe, F.; Wyder, M.; et al. Consequences of depleted SERCA2-gated calcium stores in the skin. J. Investig. Dermatol. 2006, 126, 721–731. [Google Scholar] [CrossRef]
- Jagannathan, V.; Drögemüller, C.; Leeb, T.; Dog Biomedical Variant Database Consortium (DBVDC). A comprehensive biomedical variant catalogue based on whole genome sequences of 582 dogs and eight wolves. Anim. Genet. 2019, 50, 695–704. [Google Scholar] [CrossRef]
- McKenna, A.; Hanna, M.; Banks, E.; Sivachenko, A.; Cibulskis, K.; Kernytsky, A.; Garimella, K.; Altshuler, D.; Gabriel, S.; Daly, M.; et al. The Genome Analysis Toolkit: A MapReduce framework for analyzing next-generation DNA sequencing data. Genome Res. 2010, 20, 1297–1303. [Google Scholar] [CrossRef]
- Cingolani, P.; Platts, A.; Wangle, L.; Coon, M.; Nguyen, T.; Wang, L.; Land, S.J.; Lu, X.; Ruden, D.M. A program for annotating and predicting the effects of single nucleotide polymorphisms, SnpEff: SNPs in the genome of Drosophila melanogaster strain w1118; iso-2; iso-3. Fly 2012, 6, 80–92. [Google Scholar] [CrossRef]
- Bai, B.; Zhao, W.M.; Tang, B.X.; Wang, Y.Q.; Wang, L.; Zhang, Z.; Yang, H.C.; Liu, Y.H.; Zhu, J.W.; Irwin, D.M.; et al. DoGSD: The dog and wolf genome SNP database. Nucleic Acids Res. 2015, 43, 777–783. [Google Scholar] [CrossRef]
- Plassais, J.; Kim, J.; Davis, B.W.; Karyadi, D.M.; Hogan, A.N.; Harris, A.C.; Decker, B.; Parker, H.G.; Ostrander, E.A. Whole genome sequencing of canids reveals genomic regions under selection and variants influencing morphology. Nat. Commun. 2019, 10, 1489. [Google Scholar] [CrossRef]
- Robinson, J.T.; Thorvaldsdóttir, H.; Winckler, W.; Guttman, M.; Lander, E.S.; Getz, G.; Mesirov, J.P. Integrative genomics viewer. Nat. Biotechnol. 2011, 29, 24–26. [Google Scholar] [CrossRef] [PubMed]
- Dobin, A.; Davis, C.A.; Schlesinger, F.; Drenkow, J.; Zaleski, C.; Jha, S.; Batut, P.; Chaisson, M.; Gingeras, T.R. STAR: Ultrafast universal RNA-seq aligner. Bioinformatics 2013, 29, 15–21. [Google Scholar] [CrossRef] [PubMed]
- Derrick, E.K.; Darley, C.R.; Burge, S. Comedonal Darier’s disease. Br. J. Dermatol. 1995, 132, 453–455. [Google Scholar] [CrossRef]
- Lora, V.; Cota, C.; Grammatico, P.; Pedace, L.; Kerl, H.; Cerroni, L. Comedonal Darier disease: Report of 2 cases. J. Am. Acad. Dermatol. 2013, 69, e307–e309. [Google Scholar] [CrossRef] [PubMed]
- Cooper, S.M.; Burge, S.M. Darier’s disease: Epidemiology, pathophysiology, and management. Am. J. Clin. Dermatol. 2003, 4, 97–105. [Google Scholar] [CrossRef]
- Letulé, V.; Herzinger, T.; Ruzicka, T.; Molin, S. Treatment of Darier disease with oral alitretinoin. Clin. Exp. Dermatol. 2013, 38, 523–525. [Google Scholar] [CrossRef]
- McElroy, J.A.; Mehregan, D.A.; Roenigk, R.K. Carbon dioxide laser vaporization of recalcitrant symptomatic plaques of Hailey-Hailey disease and Darier’s disease. J. Am. Acad. Dermatol. 1990, 23, 893–897. [Google Scholar] [CrossRef]
- Beier, C.; Kaufmann, R. Efficacy of erbium:YAG laser ablation in Darier disease and Hailey-Hailey disease. Arch. Dermatol. 1999, 135, 423–427. [Google Scholar] [CrossRef]
- Benmously, R.; Litaiem, N.; Hammami, H.; Badri, T.; Fenniche, S. Significant alleviation of Darier’s disease with fractional CO2 laser. J. Cosmet. Laser Ther. 2015, 17, 77–79. [Google Scholar] [CrossRef]
- Sakuntabhai, A.; Burge, S.; Monk, S.; Hovnanian, A. Spectrum of novel ATP2A2 mutations in patients with Darier’s disease. Hum. Mol. Genet. 1999, 8, 1611–1619. [Google Scholar] [CrossRef] [PubMed]
- Kishor, A.; Fritz, S.E.; Hogg, J.R. Nonsense-mediated mRNA decay: The challenge of telling right from wrong in a complex transcriptome. Wiley Interdiscip. Rev. RNA 2019, 10, e1548. [Google Scholar] [CrossRef] [PubMed]




© 2020 by the authors. Licensee MDPI, Basel, Switzerland. This article is an open access article distributed under the terms and conditions of the Creative Commons Attribution (CC BY) license (http://creativecommons.org/licenses/by/4.0/).
Share and Cite
Linek, M.; Doelle, M.; Leeb, T.; Bauer, A.; Leuthard, F.; Henkel, J.; Bannasch, D.; Jagannathan, V.; Welle, M.M. ATP2A2 SINE Insertion in an Irish Terrier with Darier Disease and Associated Infundibular Cyst Formation. Genes 2020, 11, 481. https://doi.org/10.3390/genes11050481
Linek M, Doelle M, Leeb T, Bauer A, Leuthard F, Henkel J, Bannasch D, Jagannathan V, Welle MM. ATP2A2 SINE Insertion in an Irish Terrier with Darier Disease and Associated Infundibular Cyst Formation. Genes. 2020; 11(5):481. https://doi.org/10.3390/genes11050481
Chicago/Turabian StyleLinek, Monika, Maren Doelle, Tosso Leeb, Anina Bauer, Fabienne Leuthard, Jan Henkel, Danika Bannasch, Vidhya Jagannathan, and Monika M. Welle. 2020. "ATP2A2 SINE Insertion in an Irish Terrier with Darier Disease and Associated Infundibular Cyst Formation" Genes 11, no. 5: 481. https://doi.org/10.3390/genes11050481
APA StyleLinek, M., Doelle, M., Leeb, T., Bauer, A., Leuthard, F., Henkel, J., Bannasch, D., Jagannathan, V., & Welle, M. M. (2020). ATP2A2 SINE Insertion in an Irish Terrier with Darier Disease and Associated Infundibular Cyst Formation. Genes, 11(5), 481. https://doi.org/10.3390/genes11050481

