X-Linked Duchenne-Type Muscular Dystrophy in Jack Russell Terrier Associated with a Partial Deletion of the Canine DMD Gene
Abstract
1. Introduction
2. Materials and Methods
2.1. Ethics Statement
2.2. Clinical History and Necropsy Request
2.3. Histopathology
2.4. Immunohistochemistry
2.5. Transmission Electron Microscopy
2.6. Whole-Genome Sequencing (WGS)
3. Results
3.1. Necropsy Examination
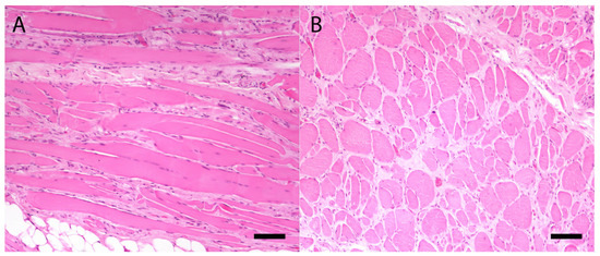
3.2. Histopathology
3.3. Immunohistochemistry
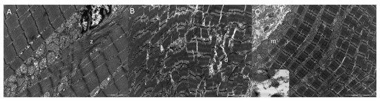
3.4. Transmission Electron Microscopy
3.5. Whole-Genome Sequencing
4. Discussion
5. Conclusions
Supplementary Materials
Author Contributions
Funding
Acknowledgments
Conflicts of Interest
References
- Jones, H.F.; Bryen, S.J.; Waddell, L.B.; Bournazos, A.; Davis, M.; Farrar, M.A.; Mclean, C.A.; Mowat, D.R.; Sampaio, H.; Woodcock, I.R.; et al. Importance of muscle biopsy to establish pathogenicity of DMD missense and splice variants. Neuromuscul. Disord. 2019, 29, 913–919. [Google Scholar] [CrossRef] [PubMed]
- Sánchez, L.; Beltrán, E.; De Stefani, A.; Guo, L.T.; Shea, A.; Shelton, G.D.; De Risio, L.; Burmeister, L.M. Clinical and genetic characterisation of dystrophin-deficient muscular dystrophy in a family of Miniature Poodle dogs. PLoS ONE 2018, 13, 1–18. [Google Scholar] [CrossRef] [PubMed]
- Freund, A.A.; Scola, R.H.; Arndt, R.C.; Lorenzoni, P.J.; Kay, C.K.; Werneck, L.C. Duchenne and Becker muscular dystrophy: A molecular and immunohistochemical approach. Arq. Neuropsiquiatr. 2007, 65, 73–76. [Google Scholar] [CrossRef] [PubMed]
- Deisch, J.K. Muscle and Nerve Development in Health and Disease, 6th ed.; Elsevier Inc.: Amsterdam, The Netherlands, 2017; Volume 4. [Google Scholar]
- Mata López, S.; Hammond, J.J.; Rigsby, M.B.; Balog-Alvarez, C.J.; Kornegay, J.N.; Nghiem, P.P. A novel canine model for Duchenne muscular dystrophy (DMD): Single nucleotide deletion in DMD gene exon 20. Skelet. Muscle 2018, 8, 18–23. [Google Scholar] [CrossRef]
- Elhawary, N.A.; Jiffri, E.H.; Jambi, S.; Mufti, A.H.; Dannoun, A.; Kordi, H.; Khogeer, A.; Jiffri, O.H.; Elhawary, A.N.; Tayeb, M.T. Molecular characterization of exonic rearrangements and frame shifts in the dystrophin gene in Duchenne muscular dystrophy patients in a Saudi community. Hum. Genom. 2018, 12, 1–11. [Google Scholar] [CrossRef] [PubMed]
- Duchenne and Becker Muscular Dystrophy. Available online: https://ghr.nlm.nih.gov/condition/duchenne-and-becker-muscular-dystrophy#sourcesforpage (accessed on 7 October 2020).
- Shieh, P.B. Muscular Dystrophies and Other Genetic Myopathies. Neurol. Clin. 2013, 31, 1009–1029. [Google Scholar] [CrossRef] [PubMed]
- Cooper, B.J.; Valentine, B. Muscle and Tendon. In Jubb, Kennedy, and Palmer’s Pathology of Domestic Animals; Elsevier: St. Louis, MO, USA, 2016; ISBN 0702053228. [Google Scholar]
- Walmsley, G.L.; Arechavala-Gomeza, V.; Fernandez-Fuente, M.; Burke, M.M.; Nagel, N.; Holder, A.; Stanley, R.; Chandler, K.; Marks, S.L.; Muntoni, F.; et al. A duchenne muscular dystrophy gene hot spot mutation in dystrophin-deficient Cavalier King Charles Spaniels is amenable to exon 51 skipping. PLoS ONE 2010, 5. [Google Scholar] [CrossRef] [PubMed]
- Jagannathan, V.; Drögemüller, C.; Leeb, T.; Aguirre, G.; André, C.; Bannasch, D.; Becker, D.; Davis, B.; Ekenstedt, K.; Faller, K.; et al. A comprehensive biomedical variant catalogue based on whole genome sequences of 582 dogs and eight wolves. Anim. Genet. 2019, 50, 695–704. [Google Scholar] [CrossRef] [PubMed]
- Thorvaldsdóttir, H.; Robinson, J.T.; Mesirov, J.P. Integrative Genomics Viewer (IGV): High-performance genomics data visualization and exploration. Brief. Bioinform. 2013, 14, 178–192. [Google Scholar] [CrossRef] [PubMed]
- European Nucleotide Archive (ENA). Available online: www.ebi.ac.uk/ena (accessed on 7 October 2020).
- Nguyen, F.; Cherel, Y.; Guigand, L.; Goubault-Leroux, I.; Wyers, M. Muscle lesions associated with dystrophin deficiency in neonatal golden retriever puppies. J. Comp. Pathol. 2002, 126, 100–108. [Google Scholar] [CrossRef] [PubMed]
- Schatzberg, S.J.; Anderson, L.V.B.; Wilton, S.D.; Kornegay, J.N.; Mann, C.J.; Solomon, G.G.; Sharp, N.J.H. Alternative dystrophin gene transcripts in golden retriever muscular dystrophy. Muscle Nerve 1998, 21, 991–998. [Google Scholar] [CrossRef]
- Vieira, N.M.; Elvers, I.; Alexander, M.S.; Moreira, Y.B.; Eran, A.; Gomes, J.P.; Marshall, J.L.; Karlsson, E.K.; Verjovski-Almeida, S.; Lindblad-Toh, K.; et al. Jagged 1 Rescues the Duchenne Muscular Dystrophy Phenotype. Cell 2015, 163, 1204–1213. [Google Scholar] [CrossRef] [PubMed]
- Nghiem, P.P.; Bello, L.; Balog, C.; Sara, A.; López, M.; Bettis, A.; Barnett, H.; Hernandez, B.; Schatzberg, S.J.; Piercy, R.J.; et al. Whole genome sequencing reveals a 7 base-pair deletion in DMD exon 42 in a dog with muscular dystrophy. Mamm. Genome 2017, 28, 106–113. [Google Scholar] [CrossRef] [PubMed]
- Vogel, H.; Zamecnik, J. Diagnostic immunohistology of muscle diseases. J. Neuropathol. Exp. Neurol. 2005, 64, 181–193. [Google Scholar] [CrossRef] [PubMed]
- McGreevy, J.W.; Hakim, C.H.; McIntosh, M.A.; Duan, D. Animal models of Duchenne muscular dystrophy: From basic mechanisms to gene therapy. Dis. Model. Mech. 2015, 8, 195–213. [Google Scholar] [CrossRef] [PubMed]
- Kornegay, J.N.; Bogan, J.R.; Bogan, D.J.; Childers, M.K.; Li, J.; Nghiem, P.; Detwiler, D.A.; Larsen, C.A.; Grange, R.W.; Bhavaraju-Sanka, R.K.; et al. Canine models of Duchenne muscular dystrophy and their use in therapeutic strategies. Mamm. Genome 2012, 23, 85–108. [Google Scholar] [CrossRef] [PubMed]
- Shrader, S.M.; Jung, S.; Denney, T.S.; Smith, B.F. Characterization of Australian Labradoodle dystrophinopathy. Neuromuscul. Disord. 2018, 28, 927–937. [Google Scholar] [CrossRef] [PubMed]





© 2020 by the authors. Licensee MDPI, Basel, Switzerland. This article is an open access article distributed under the terms and conditions of the Creative Commons Attribution (CC BY) license (http://creativecommons.org/licenses/by/4.0/).
Share and Cite
Brunetti, B.; Muscatello, L.V.; Letko, A.; Papa, V.; Cenacchi, G.; Grillini, M.; Murgiano, L.; Jagannathan, V.; Drögemüller, C. X-Linked Duchenne-Type Muscular Dystrophy in Jack Russell Terrier Associated with a Partial Deletion of the Canine DMD Gene. Genes 2020, 11, 1175. https://doi.org/10.3390/genes11101175
Brunetti B, Muscatello LV, Letko A, Papa V, Cenacchi G, Grillini M, Murgiano L, Jagannathan V, Drögemüller C. X-Linked Duchenne-Type Muscular Dystrophy in Jack Russell Terrier Associated with a Partial Deletion of the Canine DMD Gene. Genes. 2020; 11(10):1175. https://doi.org/10.3390/genes11101175
Chicago/Turabian StyleBrunetti, Barbara, Luisa V. Muscatello, Anna Letko, Valentina Papa, Giovanna Cenacchi, Marco Grillini, Leonardo Murgiano, Vidhya Jagannathan, and Cord Drögemüller. 2020. "X-Linked Duchenne-Type Muscular Dystrophy in Jack Russell Terrier Associated with a Partial Deletion of the Canine DMD Gene" Genes 11, no. 10: 1175. https://doi.org/10.3390/genes11101175
APA StyleBrunetti, B., Muscatello, L. V., Letko, A., Papa, V., Cenacchi, G., Grillini, M., Murgiano, L., Jagannathan, V., & Drögemüller, C. (2020). X-Linked Duchenne-Type Muscular Dystrophy in Jack Russell Terrier Associated with a Partial Deletion of the Canine DMD Gene. Genes, 11(10), 1175. https://doi.org/10.3390/genes11101175

