Low VDAC1 Expression Is Associated with an Aggressive Phenotype and Reduced Overall Patient Survival in Cholangiocellular Carcinoma
Abstract
1. Introduction
2. Materials and Methods
2.1. Ethics
2.2. Samples
2.3. Clinical Parameters
2.4. Immunohistochemical Staining of OXPHOS Complex Subunits and VDAC1 (Porin) of FFPE Tissues
2.5. Statistical Analysis
3. Results
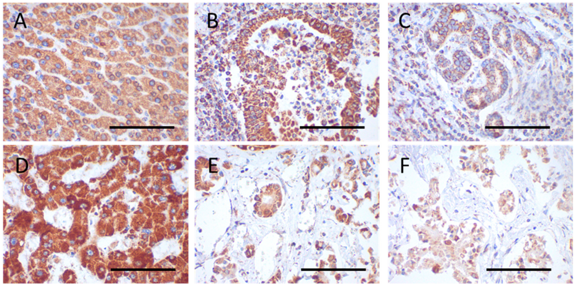
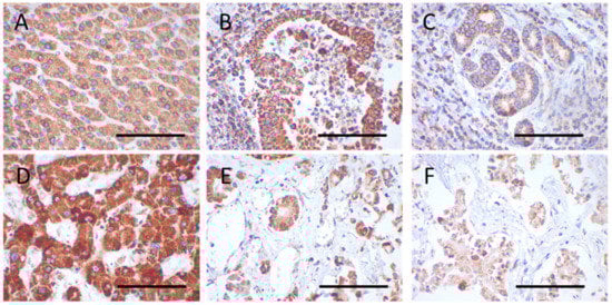
3.1. IHC Scoring
3.2. Expression of VDAC1 and Subunits of the Five OXPHOS Complexes
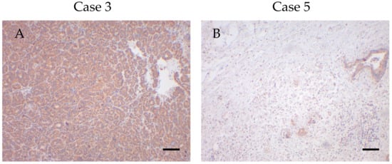
3.3. Associations between OXPHOS Subunit and VDAC1 Expression and Clinical Outcome
4. Discussion
Supplementary Materials
Author Contributions
Funding
Conflicts of Interest
References
- Bergquist, A.; von Seth, E. Epidemiology of cholangiocarcinoma. Best Pr. Res. Clin. Gastroenterol. 2015, 29, 221–232. [Google Scholar] [CrossRef] [PubMed]
- Vogel, A.; Saborowski, A. Cholangiocellular Carcinoma. Digestion 2017, 95, 181–185. [Google Scholar] [CrossRef] [PubMed]
- Von Hahn, T.; Ciesek, S.; Wegener, G.; Plentz, R.R.; Weismuller, T.J.; Wedemeyer, H.; Manns, M.P.; Greten, T.F.; Malek, N.P. Epidemiological trends in incidence and mortality of hepatobiliary cancers in Germany. Scand. J. Gastroenterol. 2011, 46, 1092–1098. [Google Scholar] [CrossRef] [PubMed]
- Mavros, M.N.; Economopoulos, K.P.; Alexiou, V.G.; Pawlik, T.M. Treatment and Prognosis for Patients with Intrahepatic Cholangiocarcinoma: Systematic Review and Meta-analysis. JAMA Surg. 2014, 149, 565–574. [Google Scholar] [CrossRef]
- Nathan, H.; Pawlik, T.M.; Wolfgang, C.L.; Choti, M.A.; Cameron, J.L.; Schulick, R.D. Trends in survival after surgery for cholangiocarcinoma: a 30-year population-based SEER database analysis. J. Gastrointest. Surg. 2007, 11, 1488–1496. [Google Scholar] [CrossRef]
- Yao, K.J.; Jabbour, S.; Parekh, N.; Lin, Y.; Moss, R.A. Increasing mortality in the United States from cholangiocarcinoma: an analysis of the National Center for Health Statistics Database. BMC Gastroenterol. 2016, 16, 117. [Google Scholar] [CrossRef] [PubMed]
- Jiang, L.; Tan, H.; Panje, C.M.; Yu, H.; Xiu, Y.; Shi, H. Role of 18F-FDG PET/CT Imaging in Intrahepatic Cholangiocarcinoma. Clin. Nucl. Med. 2016, 41, 1–7. [Google Scholar] [CrossRef]
- Shestov, A.A.; Liu, X.; Ser, Z.; Cluntun, A.A.; Hung, Y.P.; Huang, L.; Kim, D.; Le, A.; Yellen, G.; Albeck, J.G.; et al. Quantitative determinants of aerobic glycolysis identify flux through the enzyme GAPDH as a limiting step. Elife 2014, 3, 03342. [Google Scholar] [CrossRef]
- Estrella, V.; Chen, T.; Lloyd, M.; Wojtkowiak, J.; Cornnell, H.H.; Ibrahim-Hashim, A.; Bailey, K.; Balagurunathan, Y.; Rothberg, J.M.; Sloane, B.F.; et al. Acidity generated by the tumor microenvironment drives local invasion. Cancer Res. 2013, 73, 1524–1535. [Google Scholar] [CrossRef]
- Gatenby, R.A.; Gawlinski, E.T. A reaction-diffusion model of cancer invasion. Cancer Res. 1996, 56, 5745–5753. [Google Scholar]
- Hirschhaeuser, F.; Sattler, U.G.; Mueller-Klieser, W. Lactate: A metabolic key player in cancer. Cancer Res. 2011, 71, 6921–6925. [Google Scholar] [CrossRef]
- Boroughs, L.K.; DeBerardinis, R.J. Metabolic pathways promoting cancer cell survival and growth. Nat. Cell Biol. 2015, 17, 351–359. [Google Scholar] [CrossRef]
- Levine, A.J.; Puzio-Kuter, A.M. The control of the metabolic switch in cancers by oncogenes and tumor suppressor genes. Science 2010, 330, 1340–1344. [Google Scholar] [CrossRef]
- Liberti, M.V.; Locasale, J.W. The Warburg Effect: How Does it Benefit Cancer Cells? Trends Biochem. Sci. 2016, 41, 211–218. [Google Scholar] [CrossRef]
- Vander Heiden, M.G.; Cantley, L.C.; Thompson, C.B. Understanding the Warburg effect: The metabolic requirements of cell proliferation. Science 2009, 324, 1029–1033. [Google Scholar] [CrossRef]
- Hirst, J.; King, M.S.; Pryde, K.R. The production of reactive oxygen species by complex I. Biochem. Soc. Trans. 2008, 36, 976–980. [Google Scholar] [CrossRef]
- Feichtinger, R.G.; Neureiter, D.; Mayr, J.A.; Zimmermann, F.A.; Berthold, F.; Jones, N.; Sperl, W.; Kofler, B. Loss of mitochondria in ganglioneuromas. Front. Biosci. 2011, 3, 179–186. [Google Scholar]
- Feichtinger, R.G.; Zimmermann, F.; Mayr, J.A.; Neureiter, D.; Hauser-Kronberger, C.; Schilling, F.H.; Jones, N.; Sperl, W.; Kofler, B. Low aerobic mitochondrial energy metabolism in poorly- or undifferentiated neuroblastoma. BMC Cancer 2010, 10, 149. [Google Scholar] [CrossRef]
- Mayr, J.A.; Meierhofer, D.; Zimmermann, F.; Feichtinger, R.; Kogler, C.; Ratschek, M.; Schmeller, N.; Sperl, W.; Kofler, B. Loss of complex I due to mitochondrial DNA mutations in renal oncocytoma. Clin. Cancer Res. 2008, 14, 2270–2275. [Google Scholar] [CrossRef]
- Zimmermann, F.A.; Mayr, J.A.; Neureiter, D.; Feichtinger, R.; Alinger, B.; Jones, N.D.; Eder, W.; Sperl, W.; Kofler, B. Lack of complex I is associated with oncocytic thyroid tumours. Br. J. Cancer 2009, 100, 1434–1437. [Google Scholar] [CrossRef]
- Fiedorczuk, K.; Letts, J.A.; Degliesposti, G.; Kaszuba, K.; Skehel, M.; Sazanov, L.A. Atomic structure of the entire mammalian mitochondrial complex I. Nature 2016, 538, 406–410. [Google Scholar] [CrossRef]
- Letts, J.A.; Sazanov, L.A. Gaining mass: The structure of respiratory complex I-from bacterial towards mitochondrial versions. Curr. Opin. Struct. Biol. 2015, 33, 135–145. [Google Scholar] [CrossRef]
- Guo, R.; Gu, J.; Zong, S.; Wu, M.; Yang, M. Structure and mechanism of mitochondrial electron transport chain. Biomed. J. 2018, 41, 9–20. [Google Scholar] [CrossRef]
- Song, J.; Pfanner, N.; Becker, T. Assembling the mitochondrial ATP synthase. Proc. Natl. Acad. Sci. USA 2018, 115, 2850–2852. [Google Scholar] [CrossRef]
- Gu, J.; Wu, M.; Guo, R.; Yan, K.; Lei, J.; Gao, N.; Yang, M. The architecture of the mammalian respirasome. Nature 2016, 537, 639–643. [Google Scholar] [CrossRef]
- Zou, S.; Li, J.; Zhou, H.; Frech, C.; Jiang, X.; Chu, J.S.; Zhao, X.; Li, Y.; Li, Q.; Wang, H.; et al. Mutational landscape of intrahepatic cholangiocarcinoma. Nat. Commun. 2014, 5, 5696. [Google Scholar] [CrossRef]
- Itahana, Y.; Itahana, K. Emerging Roles of p53 Family Members in Glucose Metabolism. Int. J. Mol. Sci. 2018, 19, 776. [Google Scholar] [CrossRef]
- Liang, Y.; Liu, J.; Feng, Z. The regulation of cellular metabolism by tumor suppressor p53. Cell Biosci. 2013, 3, 9. [Google Scholar] [CrossRef]
- Hutton, J.E.; Wang, X.; Zimmerman, L.J.; Slebos, R.J.; Trenary, I.A.; Young, J.D.; Li, M.; Liebler, D.C. Oncogenic KRAS and BRAF Drive Metabolic Reprogramming in Colorectal Cancer. Mol. Cell Proteom. 2016, 15, 2924–2938. [Google Scholar] [CrossRef]
- Liu, J.; Feng, Z. PTEN, energy metabolism and tumor suppression. ACTA Biochim. Biophys. Sin. 2012, 44, 629–631. [Google Scholar] [CrossRef]
- Dimitrov, L.; Hong, C.S.; Yang, C.; Zhuang, Z.; Heiss, J.D. New developments in the pathogenesis and therapeutic targeting of the IDH1 mutation in glioma. Int. J. Med. Sci. 2015, 12, 201–213. [Google Scholar] [CrossRef]
- Molenaar, R.J.; Radivoyevitch, T.; Maciejewski, J.P.; van Noorden, C.J.; Bleeker, F.E. The driver and passenger effects of isocitrate dehydrogenase 1 and 2 mutations in oncogenesis and survival prolongation. Biochim. Et Biophys. ACTA 2014, 1846, 326–341. [Google Scholar] [CrossRef]
- Muisuk, K.; Silsirivanit, A.; Imtawil, K.; Bunthot, S.; Pukhem, A.; Pairojkul, C.; Wongkham, S.; Wongkham, C. Novel mutations in cholangiocarcinoma with low frequencies revealed by whole mitochondrial genome sequencing. Asian Pac. J. Cancer Prev. 2015, 16, 1737–1742. [Google Scholar] [CrossRef]
- Wallace, D.C.; Chalkia, D. Mitochondrial DNA genetics and the heteroplasmy conundrum in evolution and disease. Cold Spring Harb. Perspect. Biol. 2013, 5, a021220. [Google Scholar] [CrossRef]
- Picard, M.; Vincent, A.E.; Turnbull, D.M. Expanding Our Understanding of mtDNA Deletions. Cell Metab. 2016, 24, 3–4. [Google Scholar] [CrossRef][Green Version]
- Gasparre, G.; Porcelli, A.M.; Bonora, E.; Pennisi, L.F.; Toller, M.; Iommarini, L.; Ghelli, A.; Moretti, M.; Betts, C.M.; Martinelli, G.N.; et al. Disruptive mitochondrial DNA mutations in complex I subunits are markers of oncocytic phenotype in thyroid tumors. Proc. Natl. Acad. Sci. USA 2007, 104, 9001–9006. [Google Scholar] [CrossRef]
- Cormio, A.; Guerra, F.; Cormio, G.; Pesce, V.; Fracasso, F.; Loizzi, V.; Resta, L.; Putignano, G.; Cantatore, P.; Selvaggi, L.E.; et al. Mitochondrial DNA content and mass increase in progression from normal to hyperplastic to cancer endometrium. BMC Res. Notes 2012, 5, 279. [Google Scholar] [CrossRef]
- Guerra, F.; Kurelac, I.; Cormio, A.; Zuntini, R.; Amato, L.B.; Ceccarelli, C.; Santini, D.; Cormio, G.; Fracasso, F.; Selvaggi, L.; et al. Placing mitochondrial DNA mutations within the progression model of type I endometrial carcinoma. Hum. Mol. Genet. 2011, 20, 2394–2405. [Google Scholar] [CrossRef]
- Genc, S.; Kurnaz, I.A.; Ozilgen, M. Astrocyte-neuron lactate shuttle may boost more ATP supply to the neuron under hypoxic conditions--in silico study supported by in vitro expression data. BMC Syst. Biol. 2011, 5, 162. [Google Scholar] [CrossRef]
- Aminzadeh-Gohari, S.; Feichtinger, R.G.; Vidali, S.; Locker, F.; Rutherford, T.; O’Donnel, M.; Stoger-Kleiber, A.; Mayr, J.A.; Sperl, W.; Kofler, B. A ketogenic diet supplemented with medium-chain triglycerides enhances the anti-tumor and anti-angiogenic efficacy of chemotherapy on neuroblastoma xenografts in a CD1-nu mouse model. Oncotarget 2017, 8, 64728–64744. [Google Scholar] [CrossRef]
- Liu, Y.M. Medium-chain triglyceride (MCT) ketogenic therapy. Epilepsia 2008, 49, 33–36. [Google Scholar] [CrossRef]
- Zhou, W.; Mukherjee, P.; Kiebish, M.A.; Markis, W.T.; Mantis, J.G.; Seyfried, T.N. The calorically restricted ketogenic diet, an effective alternative therapy for malignant brain cancer. Nutr. Metab. 2007, 4, 5. [Google Scholar] [CrossRef]
- Zuccoli, G.; Marcello, N.; Pisanello, A.; Servadei, F.; Vaccaro, S.; Mukherjee, P.; Seyfried, T.N. Metabolic management of glioblastoma multiforme using standard therapy together with a restricted ketogenic diet: Case Report. Nutr. Metab. 2010, 7, 33. [Google Scholar] [CrossRef]





| Target Structure/Antigen Specificity (Species) | Vendor | Catalogue No. | Dilution |
|---|---|---|---|
| VDAC1 | Abcam | Ab14734 | 1:2000 |
| NDUFS4 (Complex I) | Abcam | Ab55540 | 1:1000 |
| SDHA (Complex II) | Abcam | Ab14715 | 1:2000 |
| UQCRC2 (Complex III) | Abcam | Ab14745 | 1:1500 |
| MT-CO1 (Complex IV) | Abcam | Ab14705 | 1:1000 |
| ATP5F1A (Complex V) | Abcam | Ab14748 | 1:2000 |
| Ck7 | Novocastra Laboratories | NCL-L-CK7-OVTL | 1:100 |
| Ck19 | DakoCytomation | NCL-CK19 | 1:100 |
| Vimentin | DakoCytomation | M0725 | 1:2000 |
| Ki67 | DakoCytomation | M7249 | 1:500 |
| p16 | mtm laboratories AG | 9511 | a |
| p27 | DakoCytomation | M7203 | 1:100 |
| p53 | DakoCytomation | M7001 | 1:200 |
| VDAC1 | NDUFS4 | SDHA | UQCRC2 | MT-CO1 | ATP5F1A | |||||||
|---|---|---|---|---|---|---|---|---|---|---|---|---|
| p Value | R Value | p Value | R Value | p Value | R Value | p Value | R Value | p Value | R Value | p Value | R Value | |
| Age at Diagnosis | 0.4683 | 0.1376 | 0.6647 | −0.0825 | 0.8635 | 0.0328 | 0.2555 | −0.2182 | 0.2166 | −0.2366 | 0.8365 | −0.0394 |
| Tumor Size | 0.5292 | 0.1196 | 0.2929 | 0.1986 | 0.3501 | 0.1768 | 0.0833 | 0.3271 | 0.5767 | 0.1081 | 0.6339 | −0.0906 |
| TMN Stage | 0.1458 | −0.2721 | 0.5047 | −0.1267 | 0.5106 | −0.125 | 0.9133 | 0.0211 | 0.8660 | 0.0328 | 0.9418 | −0.0139 |
| UICC | 0.0065 | −0.4855 | 0.3039 | −0.1941 | 0.3659 | −0.1711 | 0.9702 | −0.0073 | 0.5931 | −0.1035 | 0.1066 | −0.3005 |
| VDAC1 | p Value | NDUFS4 | p Value | SDHA | UQCRC2 | MT-CO1 | ATP5F1A | ||
|---|---|---|---|---|---|---|---|---|---|
| Female | n = 9 | 215 ± 61 | 135 ± 51 | 0.0454 | 152 ± 84 | 154 ± 66 | 141 ± 84 | 179 ± 57 | |
| Male | n = 21 | 221 ± 54 | 103 ± 47 | 185 ± 61 | 166 ± 65 | 130 ± 71 | 175 ± 62 | ||
| Intrahepatic | n = 16 | 224 ± 48 | 122 ± 50 | 182 ± 66 | 174 ± 61 | 148 ± 79 | 178 ± 54 | ||
| Perihilar | n = 11 | 209 ± 64 | 104 ± 33 | 154 ± 77 | 141 ± 68 | 114 ± 74 | 170 ± 75 | ||
| Extrahepatic | n = 3 | 224 ± 68 | 93 ± 103 | 221 ± 14 | 187 ± 68 | 123 ± 31 | 192 ± 36 | ||
| Mass forming | n = 15 | 228 ± 49 | 116 ± 48 | 180 ± 61 | 178 ± 62 | 140 ± 81 | 172 ± 45 | ||
| Periductal | n = 15 | 210 ± 61 | 109 ± 53 | 171 ± 77 | 148 ± 65 | 127 ± 67 | 181 ± 73 | ||
| N stage 0 | n = 18 | 240 ± 44 | 0.0201 | 115 ± 61 | 190 ± 63 | 177 ± 63 | 152 ± 76 | 187 ± 46 | |
| N stage 1 | n = 12 | 187 ± 57 | 108 ± 29 | 153 ± 73 | 139 ± 62 | 104 ± 62 | 160 ± 75 | ||
| M stage 0 | n = 23 | 229 ± 54 | 116 ± 51 | 176 ± 71 | 161 ± 67 | 130 ± 82 | 175 ± 64 | ||
| M stage 1 | n = 7 | 186 ± 48 | 99 ± 45 | 174 ± 67 | 167 ± 59 | 147 ± 27 | 180 ± 49 | ||
| Grade 2 | n = 17 | 205 ± 63 | 105 ± 45 | 162 ± 62 | 150 ± 66 | 108 ± 67 | 160 ± 56 | ||
| Grade 3 | n = 11 | 239 ± 39 | 117 ± 53 | 179 ± 74 | 171 ± 65 | 164 ± 78 | 198 ± 51 | ||
| R-status 0 | n = 19 | 226 ± 52 | 106 ± 42 | 182 ± 62 | 176 ± 54 | 131 ± 60 | 167 ± 51 | ||
| R-status 1 | n = 11 | 207 ± 60 | 124 ± 62 | 164 ± 82 | 140 ± 76 | 140 ± 98 | 192 ± 73 |
© 2019 by the authors. Licensee MDPI, Basel, Switzerland. This article is an open access article distributed under the terms and conditions of the Creative Commons Attribution (CC BY) license (http://creativecommons.org/licenses/by/4.0/).
Share and Cite
Feichtinger, R.G.; Neureiter, D.; Kemmerling, R.; Mayr, J.A.; Kiesslich, T.; Kofler, B. Low VDAC1 Expression Is Associated with an Aggressive Phenotype and Reduced Overall Patient Survival in Cholangiocellular Carcinoma. Cells 2019, 8, 539. https://doi.org/10.3390/cells8060539
Feichtinger RG, Neureiter D, Kemmerling R, Mayr JA, Kiesslich T, Kofler B. Low VDAC1 Expression Is Associated with an Aggressive Phenotype and Reduced Overall Patient Survival in Cholangiocellular Carcinoma. Cells. 2019; 8(6):539. https://doi.org/10.3390/cells8060539
Chicago/Turabian StyleFeichtinger, René Günther, Daniel Neureiter, Ralf Kemmerling, Johannes Adalbert Mayr, Tobias Kiesslich, and Barbara Kofler. 2019. "Low VDAC1 Expression Is Associated with an Aggressive Phenotype and Reduced Overall Patient Survival in Cholangiocellular Carcinoma" Cells 8, no. 6: 539. https://doi.org/10.3390/cells8060539
APA StyleFeichtinger, R. G., Neureiter, D., Kemmerling, R., Mayr, J. A., Kiesslich, T., & Kofler, B. (2019). Low VDAC1 Expression Is Associated with an Aggressive Phenotype and Reduced Overall Patient Survival in Cholangiocellular Carcinoma. Cells, 8(6), 539. https://doi.org/10.3390/cells8060539

