Adenophora divaricata Franch. & Sav. Attenuates Particulate Matter-Induced Inflammatory Responses in RAW264.7 Macrophage Cells
Highlights
- Particulate matter (PM) triggers pulmonary inflammation through activation of the TXNIP/NLRP3 inflammation pathway, although particular mechanisms remain unclear.
- This study investigates the anti-inflammatory potential of Adenophora divaricata Franch. & Sav. (AD) and its regulatory effects on TXNIP/NLRP3 inflammasome signaling in PM-stimulated in RAW264.7 cell and PM-induced lung inflammation mice.
- AD significantly attenuated inflammatory responses in PM-stimulated in RAW264.7 cell and PM-induced lung inflammation mice. Treatment reduced inflammatory cell infiltration and pro-inflammatory cytokine levels in bronchoalveolar lavage fluid.
- AD markedly suppressed ROS-mediated TXNIP/NLRP3 inflammasome activation, identifying TXNIP as a critical regulatory target. Histological analysis showed improved lung tissue integrity, including reduced inflammatory cell infiltration and reduced alveolar wall thickening.
- Findings suggest AD as a promising therapeutic candidate for PM-induced pulmonary inflammation.
Abstract
1. Introduction
2. Materials and Methods
2.1. UPLC Q-ToF/MS Analysis
2.2. Chemicals and Materials
2.3. Cell Culture and Cell Viability Assay
2.4. Measurement of Inflammatory Cytokines and Oxidative Stress Markers
2.5. Immunoblotting
2.6. Small Interfering RNA (siRNA) Transfection
2.7. NLRP3 Inhibitor
2.8. Immunofluorescence and Microscopy
2.9. Animal Experimental Procedure
2.10. Histopathological Analysis
2.11. Statistical Analysis
3. Results
3.1. Chemical Constituents of AD
3.2. Effects of AD on Cell Viability and Pro-Inflammatory Cytokines in PM-Stimulated RAW264.7 Cells
3.3. Effects of AD on the Oxidative Stress and TXNIP/NLRP3 Inflammasome Pathway in PM-Stimulated RAW264.7 Cells
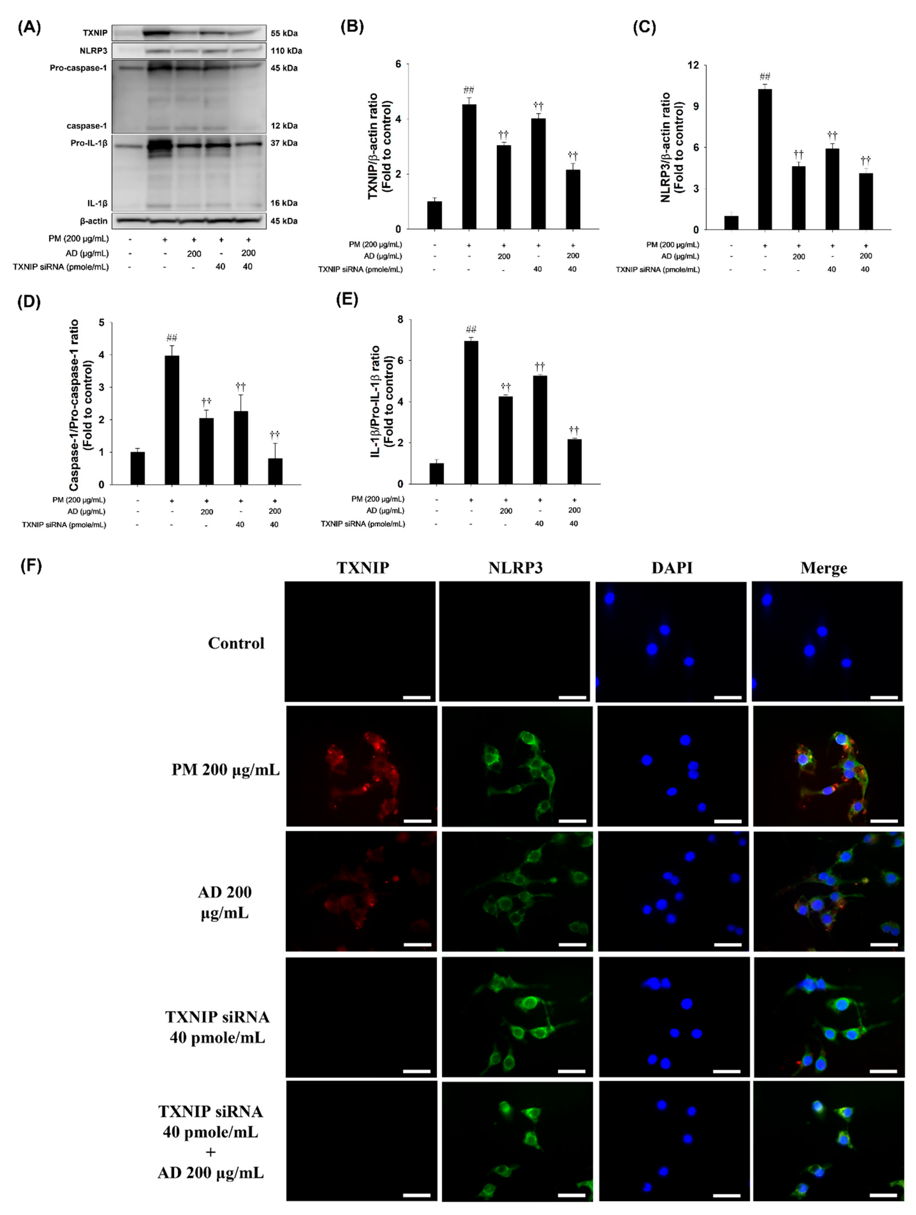
3.4. Effects of TXNIP-Specific siRNA on the TXNIP/NLRP3 Inflammasome Signaling Pathway in PM-Stimulated RAW264.7 Cells
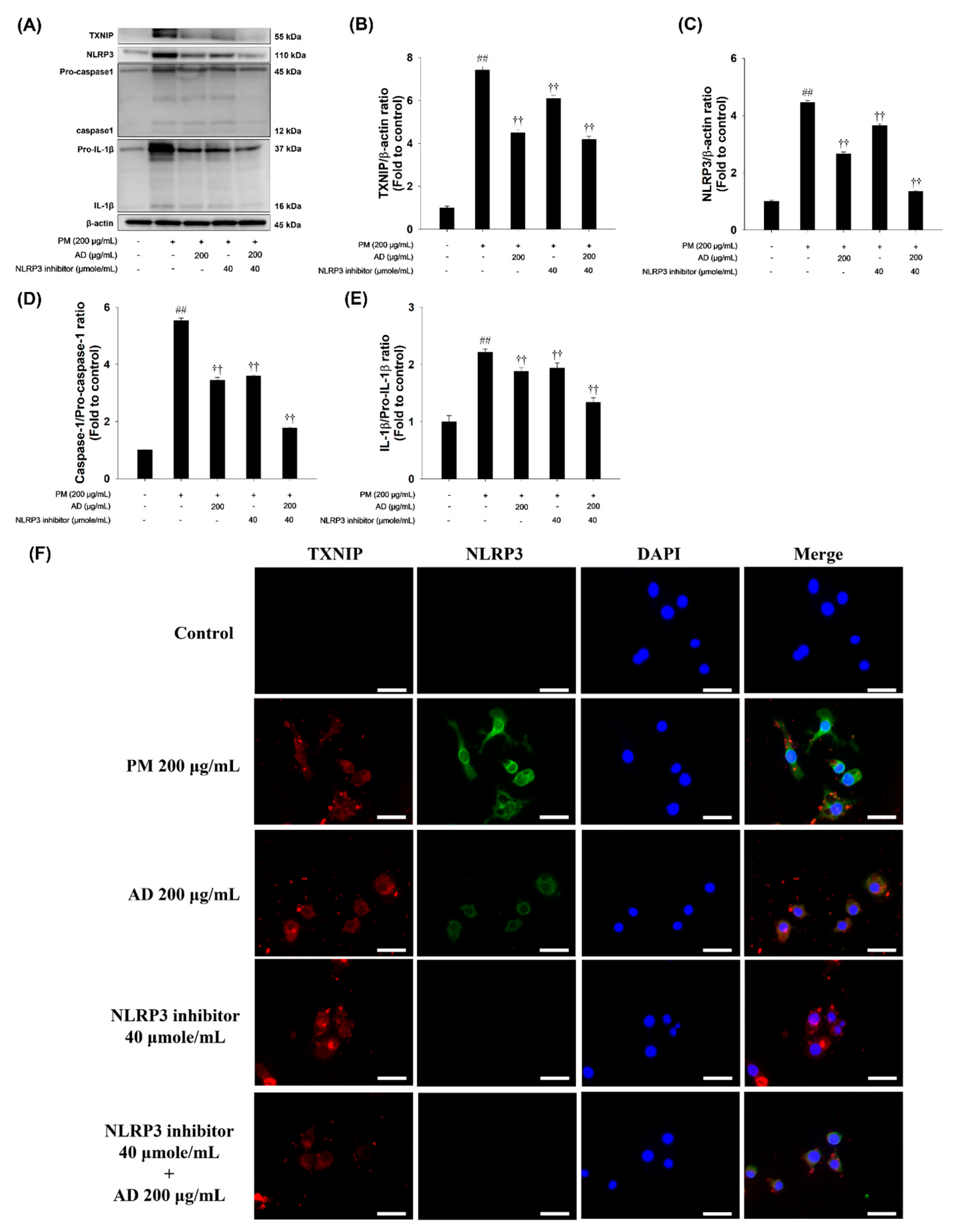
3.5. Effects of an NLRP3 Inhibitor on TXNIP/NLRP3 Inflammasome Signaling in PM-Stimulated RAW264.7 Cells
3.6. Effects of AD on Inflammatory Cell Counts and Pro-Inflammatory Cytokines in BALF
3.7. Effects of AD on LPS-Induced Lung Histological Changes in Lung Tissue
3.8. Effects of AD on Oxidative Stress and TXNIP/NLRP3 Inflammasome Pathways in Lung Tissue
4. Discussion
5. Conclusions
Author Contributions
Funding
Institutional Review Board Statement
Informed Consent Statement
Data Availability Statement
Conflicts of Interest
References
- Liu, H.; Zhang, X.; Sun, Z.; Chen, Y. Ambient Fine Particulate Matter and Cancer: Current Evidence and Future Perspectives. Chem. Res. Toxicol. 2023, 36, 141–156. [Google Scholar] [CrossRef] [PubMed]
- Hashizume, M.; Kim, Y.; Ng, C.F.S.; Chung, Y.; Madaniyazi, L.; Bell, M.L.; Guo, Y.L.; Kan, H.; Honda, Y.; Yi, S.M.; et al. Health Effects of Asian Dust a systematic review and meta-analysis. Environ. Health Perspect. 2020, 128, 66001. [Google Scholar] [CrossRef] [PubMed]
- Yu, W.; Ye, T.; Zhang, Y.; Xu, T.; Lei, Y.; Chen, Z.; Yang, Z.; Zhang, Y.; Song, J.; Yue, X.; et al. Global estimates of daily ambient fine particulate matter concentrations and unequal spatiotemporal distribution of population exposure: A machine learning modelling study. Lancet Planet. Health 2023, 7, e209–e218. [Google Scholar] [CrossRef] [PubMed]
- Aryal, A.; Harmon, A.C.; Dugas, T.R. Particulate matter air pollutants and cardiovascular disease: Strategies for intervention. Pharmacol. Ther. 2021, 223, 107890. [Google Scholar] [CrossRef]
- Van Eeden, S.F.; Tan, W.C.; Mukae, H.; Terashima, T.; Fujii, T.; Qui, D.; Vincent, R.; Hogg, J.C. Cytokines involved in the systemic inflammatory response induced by exposure to particulate matter air pollutants (PM(10)). Am. J. Respir. Crit. Care Med. 2001, 164, 826–830. [Google Scholar] [CrossRef]
- Kim, H.J.; Song, J.Y.; Park, T.I.; Choi, W.S.; Kim, J.H.; Kwon, O.S.; Lee, J.Y. The effects of BRL-50481 on ovalbumin-induced asthmatic lung inflammation exacerbated by co-exposure to Asian sand dust in the murine model. Arch. Pharmacal Res. 2022, 45, 51–62. [Google Scholar] [CrossRef]
- Chen, Q.; Wang, M.; Sun, H.; Wang, X.; Wang, Y.; Li, Y.; Zhang, L.; Mu, Z. Enhanced health risks from exposure to environmentally persistent free radicals and the oxidative stress of PM2.5 from Asian dust storms in Erenhot, Zhangbei and Jinan, China. Environ. Int. 2018, 121, 260–268. [Google Scholar] [CrossRef]
- Han, X.; Wu, Y.C.; Meng, M.; Sun, Q.S.; Gao, S.M.; Sun, H. Linarin prevents LPS-induced acute lung injury by suppressing oxidative stress and inflammation via inhibition of TXNIP/NLRP3 and NF-κB pathways. Int. J. Mol. Med. 2019, 1460–1472. [Google Scholar] [CrossRef]
- Zhou, R.; Tardivel, A.; Thorens, B.; Choi, I.; Tschopp, J. Thioredoxin-interacting protein links oxidative stress to inflammasome activation. Nat. Immunol. 2010, 11, 136–140. [Google Scholar]
- Wu, J.; Yan, Z.; Schwartz, D.E.; Yu, J.; Malik, A.B.; Hu, G. Activation of NLRP3 inflammasome in alveolar macrophages contributes to mechanical stretch-induced lung inflammation and injury. J. Immunol. 2013, 190, 3590–3599. [Google Scholar] [CrossRef]
- Dostert, C.; Petrilli, V.; Van Bruggen, R.; Steele, C.; Mossman, B.T.; Tschopp, J. Innate immune activation through Nalp3 inflammasome sensing of asbestos and silica. Science 2008, 320, 674–677. [Google Scholar] [CrossRef]
- Zheng, R.; Tao, L.; Jian, H.; Chang, Y.; Feng, Y.; Zhang, H. NLRP3 inflammasome activation and lung fibrosis caused by airborne fine particulate matter. Ecotoxicol. Environ. Saf. 2018, 163, 612–619. [Google Scholar] [CrossRef]
- Pak, S.W.; Kim, W.I.; Lee, S.J.; Park, S.H.; Cho, Y.K.; Kim, J.S.; Kim, J.C.; Kim, S.H.; Shin, I.S. TXNIP regulates pulmonary inflammation induced by Asian sand dust. Redox Biol. 2024, 78, 103421. [Google Scholar] [CrossRef] [PubMed]
- Cheon, K.S.; Kim, K.A.; Yoo, K.O. The complete chloroplast genome sequences of three Adenophora species and comparative analysis with Campanuloid species (Campanulaceae). PLoS ONE 2017, 12, e0183652. [Google Scholar] [CrossRef] [PubMed]
- Ham, Y.A.; Choi, H.J.; Kim, S.H.; Chung, M.J.; Ham, S.S. Antimutagenic and antitumor effects of Adenophora triphylla extracts. J. Korean Soc. Food Sci. Nutr. 2009, 38, 25–31. [Google Scholar] [CrossRef][Green Version]
- Choi, H.J.; Kim, S.H.; Oh, H.T.; Chung, M.J.; Cui, C.B.; Ham, S.S. Effects of Adenophora triphylla ethylacetate extract on mRNA levels of antioxidant enzymes in human HepG2 cells. J. Korean Soc. Food Sci. Nutr. 2008, 37, 1238–1243. [Google Scholar]
- Lee, M.Y.; Seo, C.S.; Lee, J.A.; Lee, N.H.; Kim, J.H.; Ha, H.; Zheng, M.S.; Son, J.K.; Shin, H.K. Anti-asthmatic effects of Angelica dahurica against ovalbumin-induced airway inflammation via upregulation of heme oxygenase-1. Food. Chem. Toxicol. 2011, 49, 829–837. [Google Scholar] [CrossRef]
- Jang, H.H.; Kim, M.J.; Cho, S.Y.; Kim, J.B.; Lee, S.H.; Lee, Y.M. Anti-Inflammatory and Anti-Allergic Effects of Adenophora triphylla var. japonica Extract. J. East Asian Soc. Diet. Life 2015, 25, 813–821. [Google Scholar] [CrossRef]
- Lee, J.E.; Jang, K.H.; Lee, D.H. Antioxidant, Anti-inflammatory and Anticancer Activities by Different Parts in Codonopsis pilosuala (FR.) NANNF. and Adenophora triphylla var. japonica Hara. J. Korean Soc. Food Sci. Nutr. 2010, 10, 437–438. [Google Scholar]
- Saggini, R.; Pellegrino, R. MAPK is implicated in sepsis, immunity, and inflammation. Int. J. Infect. 2024, 8, 100–104. [Google Scholar]
- Chung, K.J.; Jung, H.J.; Jung, S.K.; Rhee, H.K. The inhibitory effects of Sabaek-san and Sabaeksan plus Sasam on the IL-6, IL-8 and GM-CSF mRNA levels in human epithelial cells. J. Korean Soc. Food Sci. Nutr. 2002, 23, 15–23. [Google Scholar]
- Ha, J.H.; Lee, B.W.; Yi, D.H.; Lee, S.J.; Kim, W.I.; Pak, S.W.; Kim, H.Y.; Kim, S.H.; Shin, I.S.; Kim, J.C.; et al. Particulate matter-mediated oxidative stress induces airway inflammation and pulmonary dysfunction through TXNIP/NF-κB and modulation of the SIRT1-mediated p53 and TGF-β/Smad3 pathways in mice. Food Chem. Toxicol. 2024, 183, 114201. [Google Scholar] [CrossRef] [PubMed]
- Son, J.Y.; Kwack, W.G.; Chung, E.K.; Shin, S.; Choi, Y.J. Effects of early initiation of high-dose dexamethasone therapy on pro-inflammatory cytokines and mortality in LPS-challenged mice. Healthcare 2022, 10, 1247. [Google Scholar] [CrossRef] [PubMed]
- Lee, B.W.; Ha, J.H.; Yi, D.H.; Kim, J.H.; Jeong, S.H.; Lee, H.J.; Kim, Y.H.; Kwon, H.J.; Park, J.Y.; Kim, W.S.; et al. Spiraea prunifolia var. simpliciflora leaves ameliorate inflammatory responses and oxidative stress in PPE/LPS-induced chronic obstructive pulmonary disease mouse model. Front. Pharmacol. 2025, 16, 1501731. [Google Scholar] [CrossRef]
- Lee, B.W.; Ha, J.H.; Shin, H.G.; Jeong, S.H.; Kim, J.H.; Lee, J.; Park, J.Y.; Kwon, H.J.; Jung, K.S.; Lee, W.S.; et al. Lindera Obtusiloba Attenuates Oxidative Stress and Airway Inflammation in a Murine Model of Ovalbumin-Challenged Asthma. Antioxidants 2020, 9, 563. [Google Scholar] [CrossRef]
- Kim, K.H.; Kabir, E.; Kabir, S. A review on the human health impact of airborne particulate matter. Environ. Int. 2015, 74, 136–143. [Google Scholar] [CrossRef]
- Valavanidis, A.; Fiotakis, K.; Valchogianni, T. Airborne particulate matter and human health: Toxicological assessment and importance of size and composition of particles for oxidative damage and carcinogenic mechanisms. J. Environ. Sci. Health C Environ. Carcinog. Ecotoxicol. Rev. 2008, 26, 339–362. [Google Scholar] [CrossRef]
- Pan, M.; Zhang, F.; Qu, K.; Liu, C.; Zhang, J. TXNIP: A double-edged sword in disease and therapeutic outlook. Oxidative Med. Cell. Longev. 2022, 2022, 7805115. [Google Scholar] [CrossRef]
- Li, J.; An, Z.; Song, J.; Du, J.; Zhang, L.; Jiang, J.; Ma, Y.; Wang, C.; Zhang, J.; Wu, W. Fine particulate matter-induced lung inflammation is mediated by pyroptosis in mice. Ecotoxicol. Environ. Saf. 2021, 219, 112351. [Google Scholar] [CrossRef]
- Meng, M. Digitoflavone (DG) attenuates LPS-induced acute lung injury through reducing oxidative stress and inflammatory response dependent on the suppression of TXNIP/NLRP3 and NF-κB. Biomed. Pharmacother. 2017, 94, 712–725. [Google Scholar] [CrossRef]
- Lee, B.W.; Ha, J.H.; Yi, D.H.; Kim, J.H.; Jeong, S.H.; Jeong, J.H.; Jung, K.; Jeong, H.J.; Park, J.Y.; Kim, W.S.; et al. Boehmeria nivea (L.) Gaud. Ameliorates Oxidative stress-mediated Inflammatory Responses and Apoptosis in LPS/CSC-induced Chronic Obstructive Pulmonary Disease Mouse Model. J. Ethnopharmacol. 2026, 16, 1710694. [Google Scholar] [CrossRef]
- Wang, S.; Hu, L.; Fu, Y.; Xu, F.; Shen, Y.; Liu, H.; Zhu, L. Inhibition of IRE1α/XBP1 axis alleviates LPS-induced acute lung injury by suppressing TXNIP/NLRP3 inflammasome activation and ERK/p65 signaling pathway. Respir. Res. 2024, 25, 417. [Google Scholar] [CrossRef]
- Lam, M.; Barry, K.T.; Hodges, C.J.; Harpur, C.M.; Ong, J.D.H.; Rosli, S.; West, A.C.; Dousha, L.; Hertzog, P.J.; Mansell, A.; et al. NLRP3 deficiency abrogates silica-induced neutrophil infiltration, pulmonary damage and fibrosis. Respir. Res. 2025, 26, 109. [Google Scholar] [CrossRef]
- Paik, S.; Kim, J.K.; Shin, H.J.; Park, E.J.; Kim, I.S.; Jo, E.K. Updated insights into the molecular networks for NLRP3 inflammasome activation. Cell. Mol. Immunol. 2025, 22, 563–596. [Google Scholar] [CrossRef]
- Kim, W.I.; Pak, S.W.; Lee, S.J.; Park, S.H.; Lim, J.O.; Kim, D.I.; Shin, I.S.; Kim, S.H.; Kim, J.C. Copper oxide nanoparticles exacerbate chronic obstructive pulmonary disease by activating the TXNIP-NLRP3 signaling pathway. Part. Fibre Toxicol. 2024, 21, 46. [Google Scholar] [CrossRef]
- Kim, W.I.; Pak, S.W.; Lee, S.J.; Park, S.H.; Lim, J.O.; Shin, I.S.; Kim, J.C.; Kim, S.H. Copper Oxide Nanoparticles Induce Pulmonary Inflammation and Exacerbate Asthma via the TXNIP Signaling Pathway. Int. J. Mol. Sci. 2024, 25, 11436. [Google Scholar] [CrossRef]
- Park, S.M.; Jung, C.J.; Lee, D.G.; Choi, B.R.; Ku, T.H.; La, I.J.; Cho, I.J.; Ku, S.K. Adenophora Stricta Root Extract Protects Lung Injury from Exposure to Particulate Matter 2.5 in Mice. Antioxidants 2022, 11, 1376. [Google Scholar] [CrossRef]
- Sun, W.; Zeng, C.; Yue, D.; Liu, S.; Ren, Z.; Zuo, Z.; Deng, J.; Peng, G.; Hu, Y. Ageratina adenophora causes spleen toxicity by inducing oxidative stress and pyroptosis in mice. R. Soc. Open Sci. 2019, 6, 190127. [Google Scholar] [CrossRef]
- Lee, H.H.; Kim, H.J.; Yeon, S.W.; Ryu, S.H.; Turk, A.; Hwang, B.Y.; Lee, M.K. Phenylpropanoids and polyacetylenes from Adenophora triphylla. Nat. Prod. Res. 2026, 40, 296–300. [Google Scholar] [CrossRef]
- Chun, J.; Kang, M.; Kim, Y.S. A triterpenoid saponin from Adenophora triphylla var. japonica suppresses the growth of human gastric cancer cells via regulation of apoptosis and autophagy. Tumour Biol. 2014, 35, 12021–12030. [Google Scholar] [CrossRef]
- Hu, J.R.; Jung, C.J.; Ku, S.M.; Jung, D.H.; Ku, S.K.; Choi, J.S. Antitussive, expectorant, and anti-inflammatory effects of Adenophora Radix powder in ICR mice. J. Ethnopharmacol. 2019, 239, 11915. [Google Scholar] [CrossRef]








| No. | Rt (min) | Identification | Precursor Mass (m/z) | Library Score | Fragment Ions (m/z) |
|---|---|---|---|---|---|
| 1 | 0.97 | (-)-Quinic acid | 191.0562 | 92.7 | 173.0461, 127.039393.0342, 85.0290 |
| 2 | 1.28 | D-Pyroglutamic acid | 128.0353 | 100 | 82.0289 |
| 3 | 2.78 | Pantothenic acid | 218.1034 | 94.5 | 146.0828, 116.0732, 88.0408, 71.0504 |
| 4 | 3.6 | Neochlorogenic acid | 353.0873 | 95.9 | 191.0554, 161.0247, 135.0450 |
| 5 | 5.04 | Chlorogenic acid | 353.0875 | 99.5 | 191.0538 |
| 6 | 5.42 | trans-2-Hydroxycinnamic acid | 163.0411 | 82.5 | 145.8940, 119.0511 |
| 7 | 5.43 | Cryptochlorogenic acid | 353.0888 | 95.8 | 191.0559, 173.0469, 135.0449, 93.0345 |
| 8 | 5.54 | Herbacetin-3,8-diglucopyranoside | 625.1408 | 99.2 | 625.1411, 462.0811, 299.0204 |
| 9 | 6.8 | L-Malic acid | 133.0152 | 98.3 | 115.0032, 72.9926 |
| 10 | 7.15 | Luteolin-7,3′-di-O-glucoside | 609.1452 | 100 | 447.0919, 285.0397 |
| 11 | 7.6 | 3-Methoxysalicylic acid | 167.0358 | 93.6 | 167.0353, 108.0220 |
| 12 | 8.48 | Rutin | 609.1450 | 98.4 | 301.0351, 300.0260, 271.0250 |
| 13 | 8.77 | Kaempferol-7-O-neohesperidoside | 593.1500 | 99.1 | 285.038 |
| 14 | 8.88 | Isoferulic acid | 193.0514 | 86.3 | 178.0275, 134.0379, 133.0298 |
| 15 | 8.98 | Luteolin-7-O-β-D-glucoside | 447.0926 | 100 | 285.0375 |
| 16 | 9.13 | Kaempferol-3-O-rutinoside | 593.1504 | 97.1 | 285.0396 |
| 17 | 10.13 | Apigenin 7-glucoside | 431.0974 | 100 | 269.0446, 268.0351 |
| 18 | 10.33 | Neodiosmin | 607.1659 | 100 | 299.0531, 284.0308 |
| 19 | 10.42 | Azelaic acid | 187.0970 | 99.6 | 169.0879, 125.0962, 123.0813, 97.0655 |
| 20 | 10.71 | Luteolin-4′-O-glucoside | 447.0940 | 99.9 | 285.0401 |
| 21 | 12.46 | Luteolin | 285.0398 | 99.3 | 151.0038, 133.0289, 107.0138 |
| 22 | 14.05 | Apigenin | 269.0450 | 95.1 | 151.0040, 117.0347, 107.0138 |
| 23 | 14.05 | Undecanedioic acid | 215.1283 | 99.5 | 197.1175, 153.1284 |
| 24 | 14.71 | 13S-Hydroxy-9Z,11E,15Z-octadecatrienoic acid | 293.2121 | 96.0 | 275.2020, 223.1341, 195.1390 |
| 25 | 25.01 | 9(10)-Epoxy-12Z-octadecenoic acid | 295.2269 | 96.3 | 277.2150, 171.1015 |
| 26 | 26.86 | 13-Keto-9Z,11E-octadecadienoic acid | 293.2113 | 99.6 | 249.2232, 133.0966 |
| 27 | 27.21 | Betulinic acid | 455.3528 | 100 | 455.3523 |
| 28 | 29.12 | Alpha-Linolenic acid | 277.2179 | 100 | 277.216 |
| 29 | 29.14 | Linoleic acid | 279.2325 | 100 | 279.2313 |
| 30 | 29.79 | Oleic acid | 281.2491 | 100 | 281.2482 |
| No. | Rt (min) | Identification | Precursor Mass (m/z) | Library Score | Fragment Ions (m/z) |
|---|---|---|---|---|---|
| 1 | 0.95 | Betaine | 118.0865 | 100 | 59.0729, 58.0647 |
| 2 | 1.26 | D-Pyroglutamic acid | 130.0504 | 80.0 | 84.0444,56.0497 |
| 3 | 1.5 | Isoleucine | 132.1028 | 99.2 | 86.0975, 69.0710 |
| 4 | 5.05 | Chlorogenic acid | 355.1018 | 98.7 | 163.0380, 145.0291, 117.0345 |
| 5 | 6.5 | Norharmane | 169.0770 | 98.6 | 115.0552 |
| 6 | 8.96 | Astragalin | 449.1071 | 100 | 287.0525 |
| 7 | 9.11 | Datiscin | 595.1663 | 97.8 | 449.1067, 287.0546, 85.0295 |
| 8 | 21.2 | Ethyl 4-hydroxybenzoate | 167.0356 | 94.3 | 139.0403, 121.0296, 95.0498, 77.0384 |
| 9 | 24.95 | Monolinolenin (9c,12c,15c) | 353.2700 | 97.7 | 335.2647, 261.2288, 243.2124 |
| 10 | 25.87 | 9,12-Octadecadiynoic acid | 277.2164 | 94.1 | 259.2061, 149.1343, 135.1181 |
| 11 | 26.45 | 1-Pentadecanoyl-sn-glycero-3 phosphocholine | 482.3265 | 92.0 | 299.2597, 184.0747, 104.1084 |
| 12 | 26.56 | 1-Monolinoleoyl-rac-glycerol | 355.2857 | 96.3 | 337.2775, 263.2380, 95.0868, 81.0710 |
| 13 | 26.78 | Glycyrrhetinic acid | 471.3486 | 86.3 | 425.3436, 235.1714, 217.1607, 189.1654 |
| 14 | 27.2 | 13-Keto-9Z,11E-octadecadienoic acid | 295.2266 | 86.5 | 277.2167, 179.1435 |
| 15 | 27.49 | 1-Palmitoyl-sn-glycero-3-phosphocholine | 496.3399 | 96.0 | 478.3289, 184.0724, 104.1070 |
| 16 | 29.14 | Stearidonic acid | 277.2183 | 83.7 | 163.1164, 149.1358, 121.1030 |
| 17 | 29.69 | Oleamide | 282.2777 | 92.8 | 265.2522, 247.2414, 149.1329, 135.1171, 95.0857, 69.0692 |
| 18 | 30.08 | Monoolein | 357.3019 | 87.5 | 339.2909, 265.2554, 247.2437, 135.1187, 95.0865 |
| 19 | 30.45 | Tridemorph | 298.3122 | 91.6 | 116.1106, 102.0922, 57.0710 |
| 20 | 30.74 | Lupenone | 425.3776 | 89.4 | 407.3662, 187.1488, 161.1334, 95.0864 |
| 21 | 32.28 | Cinnamic acid | 149.0247 | 100 | 121.0299, 93.0346, 65.0393 |
| 22 | 32.74 | Erucamide | 338.3407 | 94.1 | 321.3148, 303.3044, 163.1490, 135.1177, 97.1017 |
| 23 | 33.67 | Campesterol | 383.3678 | 86.7 | 257.2291, 201.1669, 161.1339, 95.0867, 81.0715 |
Disclaimer/Publisher’s Note: The statements, opinions and data contained in all publications are solely those of the individual author(s) and contributor(s) and not of MDPI and/or the editor(s). MDPI and/or the editor(s) disclaim responsibility for any injury to people or property resulting from any ideas, methods, instructions or products referred to in the content. |
© 2026 by the authors. Licensee MDPI, Basel, Switzerland. This article is an open access article distributed under the terms and conditions of the Creative Commons Attribution (CC BY) license.
Share and Cite
Ha, J.-H.; Lee, B.-W.; Yi, D.-H.; Jeong, S.-H.; Kim, J.-H.; Lee, H.J.; Kim, Y.-H.; Jeong, J.H.; Jang, H.-J.; Kim, W.S.; et al. Adenophora divaricata Franch. & Sav. Attenuates Particulate Matter-Induced Inflammatory Responses in RAW264.7 Macrophage Cells. Cells 2026, 15, 666. https://doi.org/10.3390/cells15080666
Ha J-H, Lee B-W, Yi D-H, Jeong S-H, Kim J-H, Lee HJ, Kim Y-H, Jeong JH, Jang H-J, Kim WS, et al. Adenophora divaricata Franch. & Sav. Attenuates Particulate Matter-Induced Inflammatory Responses in RAW264.7 Macrophage Cells. Cells. 2026; 15(8):666. https://doi.org/10.3390/cells15080666
Chicago/Turabian StyleHa, Ji-Hye, Ba-Wool Lee, Da-Hye Yi, Seong-Hun Jeong, Ju-Hong Kim, Hyeon Jin Lee, Yun-Hye Kim, Ju Hwan Jeong, Hyun-Jae Jang, Woo Sik Kim, and et al. 2026. "Adenophora divaricata Franch. & Sav. Attenuates Particulate Matter-Induced Inflammatory Responses in RAW264.7 Macrophage Cells" Cells 15, no. 8: 666. https://doi.org/10.3390/cells15080666
APA StyleHa, J.-H., Lee, B.-W., Yi, D.-H., Jeong, S.-H., Kim, J.-H., Lee, H. J., Kim, Y.-H., Jeong, J. H., Jang, H.-J., Kim, W. S., Park, J.-Y., Jeong, H. J., Kwon, H.-J., Kim, T.-W., Ko, J.-W., & Lee, I.-C. (2026). Adenophora divaricata Franch. & Sav. Attenuates Particulate Matter-Induced Inflammatory Responses in RAW264.7 Macrophage Cells. Cells, 15(8), 666. https://doi.org/10.3390/cells15080666

