Functional and In Silico Characterization of ALPL Gene Variants Reveals Genotype–Phenotype Correlations in Italian Hypophosphatasia Patients
Highlights
- First bullet: functional characterization of 21 ALPL genetic variants identified in well clinical ascertained HPP patients that provided novel insights about the protein stability and residual enzymatic activity of the mutants.
- Second bullet: a multifaceted comparison among functional, genotypic, clinical/biochemical and in silico data that might represent a higher and more accurate level of a basic genotype-phenotype correlation.
- First bullet: a greater comprehension of the presumed effect of an ALPL genetic variant on the whole TNAP protein function.
- Second bullet: the multi-data comparison might represent for the clinician an innovative tool for the follow up and management of a HPP patient.
Abstract
1. Introduction
2. Materials and Methods
2.1. Patients, Clinic and Molecular Analyses
2.2. Cell Lines
2.3. Vectors
2.4. Western Blot
2.5. Degradation of Truncating Mutants
2.6. Colorimetric Enzymatic Assay (CEA)
2.7. Modelling
2.8. Statistical Analysis
3. Results
3.1. Overview of the Patients’ Cohort
3.2. TNSALP Expression Patterns
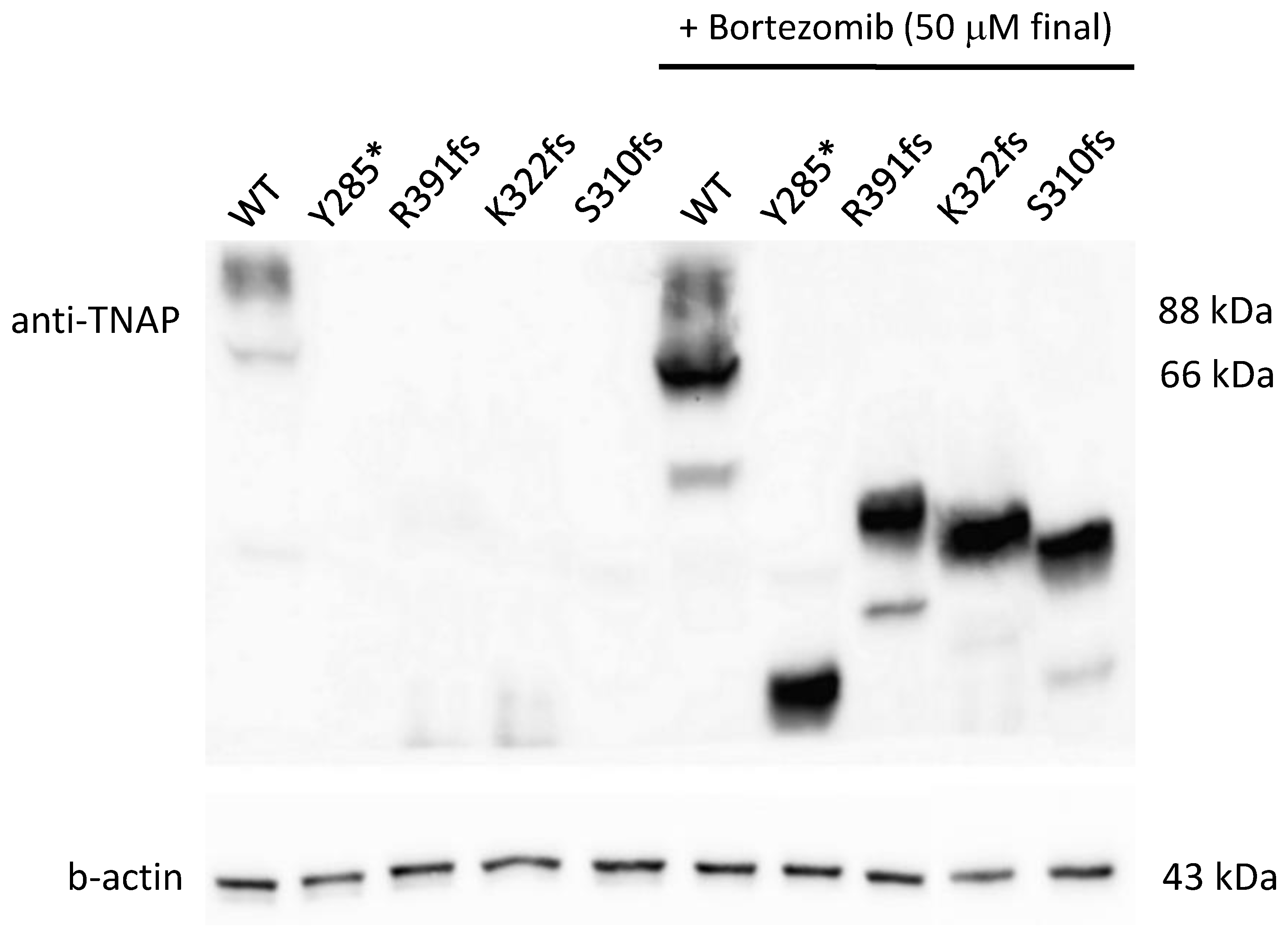
3.3. Test with Bortezomib
3.4. Enzymatic Activity
3.5. Families with Compound Heterozygotes
3.6. In Silico Pathogenicity Assessment
3.7. In Silico Data Propose a Variant Categorization
3.8. Genotype-Phenotype Correlations in This Cohort
- severity of the symptoms: “early onset”, “fractures (vertebral or multiple)”, “neurodevelopmental disorders” and “failure to thrive” are considered more severe symptoms (red) than “late onset”, “low bone mass”, “osteoporosis”, “edentulia” and “others” (orange). “Lack of symptoms” are in pale blue;
- the increasing impairment of the functional data (expression at the WB, REA or ΔG) of the modelled mutated protein; normal expression/REA > 80%/ΔGdim < 0 in green; down expression/REA > 40% but < 80%/ΔGdim < 6 in orange; loss of expression/CEA < 40%/ΔG > 6 in red;
- the different HPP classes from the life-threatening perinatal (red), through the early onset (childhood and infantile) (orange) forms up to the mild adult presentations (light green).
3.9. Comparison with Literature Data
4. Discussion
4.1. Consistency of Functional and In-Silico Results
4.2. Crossing Functional/In Silico Data with Phenotypes
4.3. Data Comparison with Literature
4.4. Reliability and Limits of the REA Values
5. Conclusions
Author Contributions
Funding
Institutional Review Board Statement
Informed Consent Statement
Data Availability Statement
Acknowledgments
Conflicts of Interest
References
- Villa-Suárez, J.M.; García-Fontana, C.; Andújar-Vera, F.; González-Salvatierra, S.; de Haro-Muñoz, T.; Contreras-Bolívar, V.; García-Fontana, B.; Muñoz-Torres, M. Hypophosphatasia: A Unique Disorder of Bone Mineralization. Int. J. Mol. Sci. 2021, 22, 4303. [Google Scholar] [CrossRef] [PubMed]
- Del Angel, G.; Reynders, J.; Negron, C.; Steinbrecher, T.; Mornet, E. Large-scale in vitro functional testing and novel variant scoring via protein modeling provide insights into alkaline phosphatase activity in hypophosphatasia. Hum. Mutat. 2020, 41, 1250–1262. [Google Scholar] [CrossRef] [PubMed]
- García-Fontana, C.; Villa-Suárez, J.M.; Andújar-Vera, F.; González-Salvatierra, S.; Martínez-Navajas, G.; Real, P.J.; Vida, J.M.G.; De Haro, T.; García-Fontana, B.; Muñoz-Torres, M. Epidemiological, Clinical and Genetic Study of Hypophosphatasia in A Spanish Population: Identification of Two Novel Mutations in the Alpl Gene. Sci. Rep. 2019, 9, 9569. [Google Scholar] [CrossRef] [PubMed]
- Farman, M.R.; Malli, T.; Rehder, C.; Webersinke, G.; Rockman-Greenberg, C.; Dahir, K.; Martos-Moreno, G.Á.; Linglart, A.; Ozono, K.; Seefried, L.; et al. The ALPL gene variant project: Results of the first 100 reclassified variants. JBMR Plus 2025, 6, ziaf044. [Google Scholar] [CrossRef] [PubMed]
- Richards, S.; Aziz, N.; Bale, S.; Bick, D.; Das, S.; Gastier-Foster, J.; Grody, W.W.; Hegde, M.; Lyon, E.; Spector, E.; et al. Standards and guidelines for the interpretation of sequence variants: A joint consensus recommendation of the American college of medical genetics and genomics and the association for molecular pathology. Genet. Med. 2015, 5, 405–424. [Google Scholar] [CrossRef] [PubMed]
- Cinque, L.; Pugliese, F.; Salcuni, A.S.; Trombetta, D.; Battista, C.; Biagini, T.; Augello, B.; Nardella, G.; Conti, F.; Corbetta, S.; et al. Clinical and molecular description of the first Italian cohort of 33 subjects with hypophosphatasia. Front. Endocrinol. 2023, 14, 1205977. [Google Scholar] [CrossRef] [PubMed]
- Hofmann, C.; Liese, J.; Schwarz, T.; Kunzmann, S.; Wirbelauer, J.; Nowak, J.; Hamann, J.; Girschick, H.; Graser, S.; Dietz, K.; et al. Compound heterozygosity of two functional null mutations in the ALPL gene associated with deleterious neurological outcome in an infant with hypophosphatasia. Bone 2013, 1, 150–157. [Google Scholar] [CrossRef] [PubMed]
- Yang, H.; Wang, L.; Geng, J.; Yu, T.; Yao, R.; Shen, Y.; Yin, L.; Ying, D.; Huang, R.; Zhou, Y.; et al. Characterization of six missense mutations in the tissue-nonspecific alkaline phosphatase (TNSALP) gene in Chinese children with hypophosphatasia. Cell. Physiol. Biochem. 2013, 3, 635–644. [Google Scholar] [CrossRef] [PubMed]
- Shibata, H.; Fukushi, M.; Igarashi, A.; Misumi, Y.; Ikehara, Y.; Ohashi, Y.; Oda, K. Defective intracellular transport of tissue-nonspecific alkaline phosphatase with an Ala162-->Thr mutation associated with lethal hypophosphatasia. J. Biochem. 1998, 5, 968–977. [Google Scholar] [CrossRef] [PubMed]
- Taillandier, A.; Lia-Baldini, A.S.; Mouchard, M.; Robin, B.; Muller, F.; Simon-Bouy, B.; Serre, J.L.; Bera-Louville, A.; Bonduelle, M.; Eckhardt, J.; et al. Twelve novel mutations in the tissue-nonspecific alkaline phosphatase gene (ALPL) in patients with various forms of hypophosphatasia. Hum. Mutat. 2001, 18, 83–84. [Google Scholar] [CrossRef] [PubMed]
- Satou, Y.; Al-Shawafi, H.A.; Sultana, S.; Makita, S.; Sohda, M.; Oda, K. Disulfide bonds are critical for tissue-nonspecific alkaline phosphatase function revealed by analysis of mutant proteins bearing a C201-Y or C489-S substitution associated with severe hypophosphatasia. Biochim. Biophys. Acta 2012, 1822, 581–588. [Google Scholar] [CrossRef] [PubMed]
- Daviet, L.; Colland, F. Targeting ubiquitin specific proteases for drug discovery. Biochimie 2008, 2, 270–283. [Google Scholar] [CrossRef] [PubMed]
- Mirdita, M.; Schütze, K.; Moriwaki, Y.; Heo, L.; Ovchinnikov, S.; Steinegger, M. ColabFold: Making protein folding accessible to all. Nat. Methods 2022, 19, 679–682. [Google Scholar] [CrossRef] [PubMed]
- Ittisoponpisan, S.; Islam, S.A.; Khanna, T.; Alhuzimi, E.; David, A.; Sternberg, M.J.E. Can Predicted Protein 3D Structures Provide Reliable Insights into whether Missense Variants Are Disease Associated? J. Mol. Biol. 2019, 431, 2197–2212. [Google Scholar] [CrossRef] [PubMed]
- Schymkowitz, J.; Borg, J.; Stricher, F.; Nys, R.; Rousseau, F.; Serrano, L. The FoldX web server: An online force field. Nucleic Acids Res. 2005, 33, W382–W388. [Google Scholar] [CrossRef] [PubMed]
- Hoshi, K.; Amizuka, N.; Oda, K.; Ikehara, Y.; Ozawa, H. Immunolocalization of tissue non-specific alkaline phosphatase in mice. Histochem. Cell Biol. 1997, 107, 183–191. [Google Scholar] [CrossRef]
- D’Angelo, D.M.; Lauriola, F.; Silvestrini, L.; Cinque, L.; Castori, M.; Di Donato, G.; Di Ludovico, A.; La Bella, S.; Chiarelli, F.; Giannini, C.; et al. Safety and efficacy of long term asfotase alfa treatment in childhood hypophosphatasia. Ital. J. Pediatr. 2025, 51, 86. [Google Scholar] [CrossRef] [PubMed]
- Fauvert, D.; Brun-Heath, I.; Lia-Baldini, A.S.; Bellazi, L.; Taillandier, A.; Serre, J.L.; de Mazancourt, P.; Mornet, E. Mild forms of hypophosphatasia mostly result from dominant negative effect of severe alleles or from compound heterozygosity for severe and moderate alleles. BMC Med. Genet. 2009, 10, 51. [Google Scholar] [CrossRef] [PubMed]
- Komaru, K.; Ishida-Okumura, Y.; Numa-Kinjoh, N.; Hasegawa, T.; Oda, K. Molecular and cellular basis of hypophosphatasia. J. Oral Biosci. 2019, 61, 141–148. [Google Scholar] [CrossRef] [PubMed]
- Mornet, E.; Stura, E.; Lia-Baldini, A.S.; Stigbrand, T.; Ménez, A.; Le Du, M.H. Structural evidence for a functional role of human tissue nonspecific alkaline phosphatase in bone mineralization. J. Biol. Chem. 2001, 33, 31171–31178. [Google Scholar] [CrossRef]





| ALPL Variant | Allelic Status Mono/Bi | Serum ALP (IU/l) | Onset (Patient = Years) | Musculoskeletal Pain (+/- Muscle Fatigue) | Reduced Bone Mass | Long Bones Fractures (2 or More) | Vertebral Fractures (1 or More) | Premature Loss of Teeth | Nephro-litiasis | Motor Delay DCD | Failure to Thrive | Genua Valga | Others | WB (66/88 kDa) | CEA | Missense 3D Prediction | FoldX Monomer | FoldX Dimer | Group | Database REA Values (Concor) §§ |
|---|---|---|---|---|---|---|---|---|---|---|---|---|---|---|---|---|---|---|---|---|
| A33V | Mono | 38 (↓) | 55 | - | + | + | + | - | + | - | - | - | - | ↓↓↓ ↓↓↓ | 0% | Neutral | 8.63 | 14.19 | SI | 12% (Yes) |
| E84K § | Mono | 19 (↓) | NA | - | + | - | - | - | - | - | - | - | - | ↓ ↓ | 0% | Neutral | 2.97 | 5.25 | SI | NA |
| E88K | Mono | #7 = 25 (↓) #23 = 63 | #7 = 50 #23 = 10 | - | + | + | + | - | + (#23) | - | - | - | Deafness (#23) | Normal Normal | 80% | Neutral | −0.85 | −1.86 | A-SIP | NA |
| V95M | Mono | 36 (↓) | 12 | + | + | + | - | - | - | - | - | - | - | Normal Normal | 70% | Neutral | 0.96 | −1.5 | A-SIP | 56% (No) |
| D109E | Mono | #6 = 21 (↓) #9 = 21 (↓) | #6 = 49 #9 = 49 | + (#9) | + | + (#6) | - | - | + (#6) | - | - | - | Hypercalciuria (#6) | Normal Normal | 40% | Damaging | 2.12 | 4.87 | SI | NA |
| R136H | Bi (+F290L) | 18 (↓) | 10 | + | + | - | - | - | - | - | - | - | - | ↓ ↓ | 0% | Neutral | 7.15 | 7.55 | SP | 21.2–33.4% (No) |
| Q207P | Mono | 147 | 0 (birth) | + | + | + | - | - | - | - | - | - | - | ↓↓↓ ↓↓↓ | 0% | Damaging | 5.31 | 8.74 | SI | NA |
| S181L | Mono | 129 | 0 (birth) | - | - | - | - | - | - | - | - | - | Pectus excavatum, scoliosis | ↓ ↓ | 85% | Damaging | 2.79 | 2.5 | SI | 1.3–55.3% (No) |
| E191K | Bi (+K322fs) | 20 (↓) | 2 | + | - | - | + | - | - | - | + | + | - | Normal Normal | 62% | Neutral | −0.61 | −1.2 | A-SIP | 21.4–88% (Yes) |
| M219I | Mono | 19 (↓) | 45 | + | + | + | - | - | - | - | - | - | - | Normal Normal | 70% | Neutral | 2.5 | 4.64 | SP | 30.1% (No) |
| R223Q | Mono | #1 = 21 (↓) #16 = 4 (↓) | #1 = 20 #16 = 51 | + (#1) | + (#16) | - | - | - | + (#16) | - | - | - | - | ↓↓↓ ↓↓↓ | 0% | Damaging | 5.52 | 12.15 | SI | 2.9–5% (Yes) |
| H267P § | Mono | 33 (↓) | 56 | + | + | - | - | + | - | - | - | - | - | Normal Normal | 60% | Damaging | 4.45 | 9.1 | SI | NA |
| Y285* § | Mono | 23 (↓) | 17 | - | - | - | - | + | - | + | - | - | - | ↓↓↓ ↓↓↓ | 0% | NA | NA | NA | NA | NA |
| F290L § | Bi (+R136H) | 18 (↓) | 10 | + | + | - | - | - | - | - | - | - | - | ↓ ↓ | 10% | Neutral | 7.15 | 7.55 | SP | NA |
| E298K | Mono | 25 (↓) | 30 | + | - | - | - | - | - | - | - | - | - | Normal Normal | 60% | Neutral | −0.95 | −0.3 | A-SIP | 23.7% (No) |
| S310Pfs § | Mono | 24 (↓) | 14 | + | - | - | - | - | - | - | - | - | - | ↓↓↓ ↓↓↓ | 0% | NA | NA | NA | NA | NA |
| K322fs | Bi (+E191K) | 20 (↓) | 15 | - | - | - | - | + | - | - | + | + | - | ↓↓↓ ↓↓↓ | 0% | NA | NA | NA | NA | NA |
| R391H | Mono | 81 (↓) | 6 | - | - | - | - | + | - | + | - | - | Convulsions | ↓ ↓ | 5% | Neutral | 1.5 | 4.07 | SP | 2.1–3.7% (Yes) |
| R391fs § | Mono | 27 (↓) | 38 | + | + | + | + | + | - | - | - | - | - | ↓↓↓ ↓↓↓ | 0% | NA | NA | NA | NA | 2.1% (Yes) |
| H472R | Mono | 8 (↓) | 37 | + | + | - | - | - | + | - | - | - | - | Normal Normal | 65% | Neutral | 0.64 | 4.33 | SP | 38% (No) |
| *525R § | Mono | 41 (↓) | NA | + | - | - | - | - | - | - | - | - | - | Normal Normal | 60% | NA | NA | NA | NA | NA |
| A179T (control) | Mono | NA | NA | NA | NA | NA | NA | NA | NA | NA | NA | Normal ↓↓↓ | 25% | NA | NA | NA | SP | 64 (No) | ||
| E235G (control) | Mono | NA | NA | NA | NA | NA | NA | NA | NA | NA | NA | Normal ↓↓↓ | 0% | NA | NA | NA | A-SIP | 3.3–3.6% (Yes) |
| Variants | No Symptoms | Early Onset HPP | Late Onset HPP | Edentulia | Reduced Bone Mass | Vertebral Fractures | Multiple Fractures | Failure to Thrive | Neurodevelopmental Disorders | Others | Western Blot | CEA | Bioinfo | HPP Class | Geno/Funct/Pheno Correlation |
|---|---|---|---|---|---|---|---|---|---|---|---|---|---|---|---|
| A179T | perinatal * | no corr | |||||||||||||
| E235G | adult * | NA | |||||||||||||
| E191K K322Rfs*44 | infantile | low | |||||||||||||
| ** | |||||||||||||||
| E88K | childhood | low | |||||||||||||
| V95M | childhood | low | |||||||||||||
| R223Q | adult | low | |||||||||||||
| E84K | adult | low | |||||||||||||
| S181L | infantile | medium/low | |||||||||||||
| Q207P | perinatal | high | |||||||||||||
| R136H F290L | childhood | high | |||||||||||||
| Y285* | ** | childhood | high | ||||||||||||
| S310Pfs*28 | ** | childhood | high | ||||||||||||
| R391H | childhood | high | |||||||||||||
| A33V | adult | medium/high | |||||||||||||
| R391Pfs*14 | ** | adult | medium/high | ||||||||||||
| H267P | adult | high | |||||||||||||
| D109E | adult | high | |||||||||||||
| M219I | adult | high | |||||||||||||
| *525Rfs*11 | adult | high | |||||||||||||
| E298K | adult | high | |||||||||||||
| H472R | adult | high |
| Database | Present Work | |||
|---|---|---|---|---|
| AD | AR | AD | AR | |
| Variants | (number of findings, HPP class) | |||
| A33V | / | 2 perinatal, 6 infantile, 2 childhood, 1 adult | 1 adult | / |
| E88K | / | 1 infantile | 1 childhood | / |
| V95M | 1 adult | / | 1 childhood | / |
| D109E | / | 1 adult | 2 adult | / |
| R136H | 1 adult, 1 odonto | 2 perinatal, 2 infantile, 6 childhood, 3 odontoHPP | / | 1 childhood |
| S181L | 1 infantile, 1 childhood, 1 adult | 2 perinatal, 5 infantile, 1 childhood, 1 adult, 2 odonto | 1 infantile | / |
| E191K | 1 childhood, 2 adult, 1 odonto, 2 asymptomatic * | 1 prenatal benign, 12 infantile, 14 childhood, 4 adult, 1 odonto | / | 1 infantile |
| Q207P | / | 1P | 1 perinatal | / |
| M219I | 1 adult | / | 1 adult | / |
| R223Q | 1 perinatal, 1 adult | 1 infantile, 1 odonto | 2 adult | / |
| E298K | / | 1 perinatal, 1 infantile, 1 adult | 1 adult | / |
| K322R*fs44 | 1 asymptomatic * | 1 perinatal, 1 childhood | / | 1 infantile |
| R391H | 1 childhood, 1 adult | / | 1 childhood | / |
| H472R | 1 childhood | 1 childhood | 1 adult | / |
| E84K | Novel | 1 adult | / | |
| H267P | Novel | 1 adult | / | |
| Y285* | Novel | 1 childhood | / | |
| F290L | Novel | / | 1 childhood | |
| S310P*fs28 | Novel | 1 childhood | / | |
| R391P*fs14 | Novel | 1 adult | / | |
| *525R*fs11 | Novel | 1 adult | / | |
| A179T † | 1 asymptomatic | 1 perinatal | / | |
| E235G † | 1 adult | / | / | |
Disclaimer/Publisher’s Note: The statements, opinions and data contained in all publications are solely those of the individual author(s) and contributor(s) and not of MDPI and/or the editor(s). MDPI and/or the editor(s) disclaim responsibility for any injury to people or property resulting from any ideas, methods, instructions or products referred to in the content. |
© 2025 by the authors. Licensee MDPI, Basel, Switzerland. This article is an open access article distributed under the terms and conditions of the Creative Commons Attribution (CC BY) license (https://creativecommons.org/licenses/by/4.0/).
Share and Cite
Casamassima, G.; Grieco, A.M.; Biagini, T.; Buono, G.; Cinque, L.; Pugliese, F.; Guerra, F.P.; Petrizzelli, F.; Mastroianno, M.; Mazza, T.; et al. Functional and In Silico Characterization of ALPL Gene Variants Reveals Genotype–Phenotype Correlations in Italian Hypophosphatasia Patients. Cells 2025, 14, 1768. https://doi.org/10.3390/cells14221768
Casamassima G, Grieco AM, Biagini T, Buono G, Cinque L, Pugliese F, Guerra FP, Petrizzelli F, Mastroianno M, Mazza T, et al. Functional and In Silico Characterization of ALPL Gene Variants Reveals Genotype–Phenotype Correlations in Italian Hypophosphatasia Patients. Cells. 2025; 14(22):1768. https://doi.org/10.3390/cells14221768
Chicago/Turabian StyleCasamassima, Giulia, Anna Maria Grieco, Tommaso Biagini, Giorgia Buono, Luigia Cinque, Flavia Pugliese, Francesco Pio Guerra, Francesco Petrizzelli, Mario Mastroianno, Tommaso Mazza, and et al. 2025. "Functional and In Silico Characterization of ALPL Gene Variants Reveals Genotype–Phenotype Correlations in Italian Hypophosphatasia Patients" Cells 14, no. 22: 1768. https://doi.org/10.3390/cells14221768
APA StyleCasamassima, G., Grieco, A. M., Biagini, T., Buono, G., Cinque, L., Pugliese, F., Guerra, F. P., Petrizzelli, F., Mastroianno, M., Mazza, T., Castori, M., Scillitani, A., & Guarnieri, V. (2025). Functional and In Silico Characterization of ALPL Gene Variants Reveals Genotype–Phenotype Correlations in Italian Hypophosphatasia Patients. Cells, 14(22), 1768. https://doi.org/10.3390/cells14221768

