Genetic Variations in the NRF2 Microsatellite Contribute to the Regulation of Bovine Sperm-Borne Antioxidant Capacity
Abstract
1. Introduction
2. Materials and Methods
2.1. Experimental Design
2.2. Sperm DNA Extraction and DNA Fragmentation Analysis
2.3. Conventional PCR and Sanger Sequencing
2.4. RNA Extraction and cDNA Synthesis
2.5. Sperm-Borne mRNA Expression Analysis
2.6. In Silico Prediction and Identification of DNA-Binding Proteins along with Different GCC Repeat Lengths
2.7. Statistical Analysis
3. Results
3.1. Differential DNA Sequence Length of the GCC Microsatellite Located in the 5′ Upstream of the NRF2 Gene
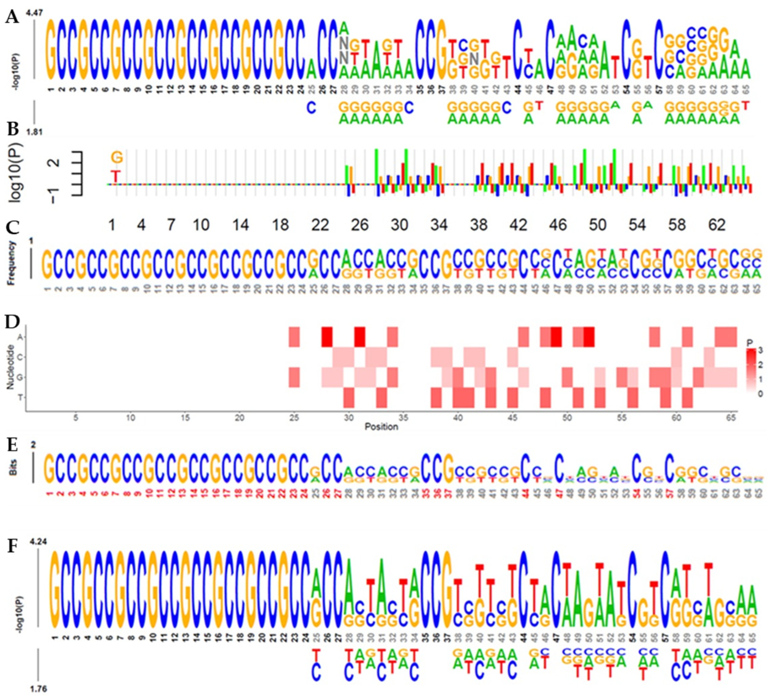
3.2. Various Repeats of the GCC Microsatellite Influenced the NRF2 DNA-Binding Proteins
3.3. Various Repeats of the GCC Microsatellite Associated with Different Levels of Sperm-Borne NRF2 Transcripts
3.4. Season and Age Group Influenced Sperm-Borne mRNA of the Antioxidants
3.5. Substantial Seasonal Variability in Oxidative Stress-Induced Signature Genes
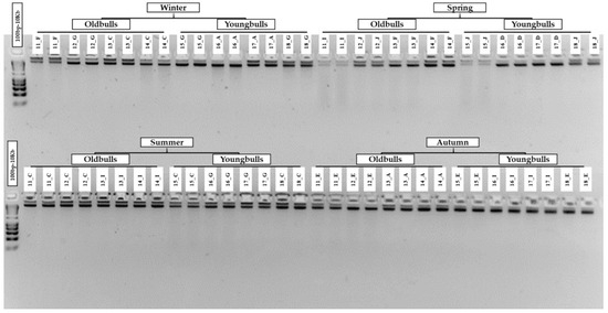
3.6. Higher Sperm DNA Integrity of Old Bulls under Seasonal Stress and Detection of DNA Damage by Gel Electrophoresis
4. Discussion
Supplementary Materials
Author Contributions
Funding
Institutional Review Board Statement
Informed Consent Statement
Data Availability Statement
Acknowledgments
Conflicts of Interest
References
- Pryce, J.E.; Royal, M.D.; Garnsworthy, P.C.; Mao, I.L. Fertility in the high-producing dairy cow. Livest. Prod. Sci. 2004, 86, 125–135. [Google Scholar] [CrossRef]
- Inchaisri, C.; Jorritsma, R.; Vos, P.L.A.M.; van der Weijden, G.C.; Hogeveen, H. Economic consequences of reproductive performance in dairy cattle. Theriogenology 2010, 74, 835–846. [Google Scholar] [CrossRef] [PubMed]
- Dobson, H.; Smith, R.; Royal, M.; Knight, C.; Sheldon, I.M. The high-producing dairy cow and its reproductive performance. Reprod. Domest. Anim. 2007, 42 (Suppl. S2), 17–23. [Google Scholar] [CrossRef]
- Chenoweth, P.J. Influence of the male on embryo quality. Theriogenology 2007, 68, 308–315. [Google Scholar] [CrossRef]
- Saacke, R.G.; Dalton, J.C.; Nadir, S.; Nebel, R.L.; Bame, J.H. Relationship of seminal traits and insemination time to fertilization rate and embryo quality. Anim. Reprod. Sci. 2000, 60–61, 663–677. [Google Scholar] [CrossRef] [PubMed]
- Courot, M.; Colas, G.; Scaramuzzi, C.D. The Role of the Male in Embryonic Mortality (Cattle and Sheep). In Embryonic Mortality in Farm Animals; Springer: Dordrecht, The Netherlands, 1986; pp. 195–206. [Google Scholar]
- Lewis, S.E.M.; Aitken, R.J. DNA damage to spermatozoa has impacts on fertilization and pregnancy. Cell Tissue Res. 2005, 322, 33–41. [Google Scholar] [CrossRef]
- Hussain, T.; Kandeel, M.; Metwally, E.; Murtaza, G.; Kalhoro, D.H.; Yin, Y.; Tan, B.; Chughtai, M.I.; Yaseen, A.; Afzal, A.; et al. Unraveling the harmful effect of oxidative stress on male fertility: A mechanistic insight. Front. Endocrinol. 2023, 14, 1070692. [Google Scholar] [CrossRef]
- Preiser, J.-C. Oxidative stress. JPEN J. Parenter. Enter. Nutr. 2012, 36, 147–154. [Google Scholar] [CrossRef]
- Sies, H.; Jones, D.P. Reactive oxygen species (ROS) as pleiotropic physiological signalling agents. Nat. Rev. Mol. Cell Biol. 2020, 21, 363–383. [Google Scholar] [CrossRef]
- Dong, J.; Ma, Q. Suppression of basal and carbon nanotube-induced oxidative stress, inflammation and fibrosis in mouse lungs by Nrf2. Nanotoxicology 2016, 10, 699–709. [Google Scholar] [CrossRef]
- Surai, P.F.; Kochish, I.I.; Fisinin, V.I.; Kidd, M.T. Antioxidant Defence Systems and Oxidative Stress in Poultry Biology: An Update. Antioxidants 2019, 8, 235. [Google Scholar] [CrossRef] [PubMed]
- Silanikove, N.; Koluman, N. Impact of climate change on the dairy industry in temperate zones: Predications on the overall negative impact and on the positive role of dairy goats in adaptation to earth warming. Small Rumin. Res. 2015, 123, 27–34. [Google Scholar] [CrossRef]
- Skinner, J.D.; Louw, G.N. Heat stress and spermatogenesis in Bos indicus and Bos taurus cattle. J. Appl. Physiol. 1966, 21, 1784–1790. [Google Scholar] [CrossRef] [PubMed]
- Morrell, J.M. Heat stress and bull fertility. Theriogenology 2020, 153, 62–67. [Google Scholar] [CrossRef]
- Saacke, R.G. Sperm morphology: Its relevance to compensable and uncompensable traits in semen. Theriogenology 2008, 70, 473–478. [Google Scholar] [CrossRef]
- Mathevon, M.; Buhr, M.M.; Dekkers, J.C.M. Environmental, Management, and Genetic Factors Affecting Semen Production in Holstein Bulls. J. Dairy Sci. 1998, 81, 3321–3330. [Google Scholar] [CrossRef]
- Makulska, J.; Hagger, C.; Künzi, N.; Kupferschmied, H.U. Genetic and Environmental Influences on Semen Traits in A.I. Bulls. Reprod. Domest. Anim. 1993, 28, 279–284. [Google Scholar] [CrossRef]
- Foutouhi, A.; Hesser, A.; de La Fuente, A.; Bulkeley, E.; Dini, P.; Meyers, S. Sperm parameters in the Great Dane: Influence of age on semen quality. Theriogenology 2023, 197, 267–274. [Google Scholar] [CrossRef] [PubMed]
- Ausejo, R.; Martínez, J.M.; Soler-Llorens, P.; Bolarín, A.; Tejedor, T.; Falceto, M.V. Seasonal Changes of Nuclear DNA Fragmentation in Boar Spermatozoa in Spain. Animals 2021, 11, 465. [Google Scholar] [CrossRef]
- Olayanju, A.; Copple, I.M.; Bryan, H.K.; Edge, G.T.; Sison, R.L.; Wong, M.W.; Lai, Z.-Q.; Lin, Z.-X.; Dunn, K.; Sanderson, C.M.; et al. Brusatol provokes a rapid and transient inhibition of Nrf2 signaling and sensitizes mammalian cells to chemical toxicity-implications for therapeutic targeting of Nrf2. Free Radic. Biol. Med. 2015, 78, 202–212. [Google Scholar] [CrossRef]
- Kirtonia, A.; Sethi, G.; Garg, M. The multifaceted role of reactive oxygen species in tumorigenesis. Cell. Mol. Life Sci. 2020, 77, 4459–4483. [Google Scholar] [CrossRef] [PubMed]
- Moi, P.; Chan, K.; Asunis, I.; Cao, A.; Kan, Y.W. Isolation of NF-E2-related factor 2 (Nrf2), a NF-E2-like basic leucine zipper transcriptional activator that binds to the tandem NF-E2/AP1 repeat of the f-globin locus control region. Proc. Natl. Acad. Sci. USA 1994, 91, 9926–9930. [Google Scholar] [CrossRef] [PubMed]
- Sykiotis, G.P.; Bohmann, D. Stress-activated cap‘n’collar transcription factors in aging and human disease. Sci. Signal. 2010, 3, re3. [Google Scholar] [CrossRef] [PubMed]
- Hayes, J.D.; Dinkova-Kostova, A.T. The Nrf2 regulatory network provides an interface between redox and intermediary metabolism. Trends Biochem. Sci. 2014, 39, 199–218. [Google Scholar] [CrossRef]
- Itoh, K.; Wakabayashi, N.; Katoh, Y.; Ishii, T.; O’Connor, T.; Yamamoto, M. Keap1 regulates both cytoplasmic-nuclear shuttling and degradation of Nrf2 in response to electrophiles. Genes Cells 2003, 8, 379–391. [Google Scholar] [CrossRef]
- Itoh, K.; Wakabayashi, N.; Katoh, Y.; Ishii, T.; Igarashi, K.; Engel, J.D.; Yamamoto, M. Keap1 represses nuclear activation of antioxidant responsive elements by Nrf2 through binding to the amino-terminal Neh2 domain. Genes Dev. 1999, 13, 76–86. [Google Scholar] [CrossRef]
- Sekhar, K.R.; Rachakonda, G.; Freeman, M.L. Cysteine-based regulation of the CUL3 adaptor protein Keap1. Toxicol. Appl. Pharmacol. 2010, 244, 21–26. [Google Scholar] [CrossRef] [PubMed]
- Hur, W.; Gray, N.S. Small molecule modulators of antioxidant response pathway. Curr. Opin. Chem. Biol. 2011, 15, 162–173. [Google Scholar] [CrossRef]
- Katsuoka, F.; Yamamoto, M. Small Maf proteins (MafF, MafG, MafK): History, structure and function. Gene 2016, 586, 197–205. [Google Scholar] [CrossRef]
- Deplancke, B.; Alpern, D.; Gardeux, V. The Genetics of Transcription Factor DNA Binding Variation. Cell 2016, 166, 538–554. [Google Scholar] [CrossRef]
- Behera, V.; Evans, P.; Face, C.J.; Hamagami, N.; Sankaranarayanan, L.; Keller, C.A.; Giardine, B.; Tan, K.; Hardison, R.C.; Shi, J.; et al. Exploiting genetic variation to uncover rules of transcription factor binding and chromatin accessibility. Nat. Commun. 2018, 9, 782. [Google Scholar] [CrossRef] [PubMed]
- Frith, M.C.; Saunders, N.F.W.; Kobe, B.; Bailey, T.L. Discovering sequence motifs with arbitrary insertions and deletions. PLoS Comput. Biol. 2008, 4, e1000071. [Google Scholar] [CrossRef]
- Shen, Z.; Li, R.Z.; Prohaska, T.A.; Hoeksema, M.A.; Spann, N.J.; Tao, J.; Fonseca, G.J.; Le, T.; Stolze, L.K.; Sakai, M.; et al. Systematic analysis of naturally occurring insertions and deletions that alter transcription factor spacing identifies tolerant and sensitive transcription factor pairs. Elife 2022, 11, e70878. [Google Scholar] [CrossRef]
- Itoh, K.; Chiba, T.; Takahashi, S.; Ishii, T.; Igarashi, K.; Katoh, Y.; Oyake, T.; Hayashi, N.; Satoh, K.; Hatayama, I.; et al. An Nrf2/Small Maf Heterodimer Mediates the Induction of Phase II Detoxifying Enzyme Genes through Antioxidant Response Elements. Biochem. Biophys. Res. Commun. 1997, 236, 313–322. [Google Scholar] [CrossRef] [PubMed]
- Rushmore, T.H.; Pickett, C.B. Transcriptional regulation of the rat glutathione S-transferase Ya subunit gene. Characterization of a xenobiotic-responsive element controlling inducible expression by phenolic antioxidants. J. Biol. Chem. 1990, 265, 14648–14653. [Google Scholar] [CrossRef]
- Sohel, M.M.H.; Amin, A.; Prastowo, S.; Linares-Otoya, L.; Hoelker, M.; Schellander, K.; Tesfaye, D. Sulforaphane protects granulosa cells against oxidative stress via activation of NRF2-ARE pathway. Cell Tissue Res. 2018, 374, 629–641. [Google Scholar] [CrossRef]
- Jin, X.; Wang, K.; Liu, H.; Hu, F.; Zhao, F.; Liu, J. Protection of Bovine Mammary Epithelial Cells from Hydrogen Peroxide-Induced Oxidative Cell Damage by Resveratrol. Oxid. Med. Cell. Longev. 2016, 2016, 2572175. [Google Scholar] [CrossRef] [PubMed]
- Jin, X.L.; Wang, K.; Liu, L.; Liu, H.Y.; Zhao, F.-Q.; Liu, J.X. Nuclear factor-like factor 2-antioxidant response element signaling activation by tert-butylhydroquinone attenuates acute heat stress in bovine mammary epithelial cells. J. Dairy Sci. 2016, 99, 9094–9103. [Google Scholar] [CrossRef] [PubMed]
- Liu, H.W.; Zhou, D.W.; Li, K. Effects of chestnut tannins on performance and antioxidative status of transition dairy cows. J. Dairy Sci. 2013, 96, 5901–5907. [Google Scholar] [CrossRef]
- Han, L.; Batistel, F.; Ma, Y.; Alharthi, A.S.M.; Parys, C.; Loor, J.J. Methionine supply alters mammary gland antioxidant gene networks via phosphorylation of nuclear factor erythroid 2-like 2 (NFE2L2) protein in dairy cows during the periparturient period. J. Dairy Sci. 2018, 101, 8505–8512. [Google Scholar] [CrossRef]
- Borrajo, J.; Javanmardi, K.; Griffin, J.; St Martin, S.J.; Yao, D.; Hill, K.; Blainey, P.C.; Al-Shayeb, B. Programmable multi-kilobase RNA editing using CRISPR-mediated trans-splicing. bioRxiv 2023. [Preprint]. [Google Scholar] [CrossRef]
- Ng, P.C.; Levy, S.; Huang, J.; Stockwell, T.B.; Walenz, B.P.; Li, K.; Axelrod, N.; Busam, D.A.; Strausberg, R.L.; Venter, J.C.; et al. Genetic Variation in an Individual Human Exome. PLoS Genet. 2008, 4, e1000160. [Google Scholar] [CrossRef] [PubMed]
- Tian, D.; Wang, Q.; Zhang, P.; Araki, H.; Yang, S.; Kreitman, M.; Nagylaki, T.; Hudson, R.; Bergelson, J.; Chen, J.-Q. Single-nucleotide mutation rate increases close to insertions/deletions in eukaryotes. Nature 2008, 455, 105–108. [Google Scholar] [CrossRef]
- Brinkmann, B.; Klintschar, M.; Neuhuber, F.; Hühne, J.; Rolf, B. Mutation rate in human microsatellites: Influence of the structure and length of the tandem repeat. Am. J. Hum. Genet. 1998, 62, 1408–1415. [Google Scholar] [CrossRef]
- Maruvka, Y.E.; Mouw, K.W.; Karlic, R.; Parasuraman, P.; Kamburov, A.; Polak, P.; Haradhvala, N.J.; Hess, J.M.; Rheinbay, E.; Brody, Y.; et al. Analysis of somatic microsatellite indels identifies driver events in human tumors. Nat. Biotechnol. 2017, 35, 951–959. [Google Scholar] [CrossRef] [PubMed]
- Conrad, D.F.; Pinto, D.; Redon, R.; Feuk, L.; Gokcumen, O.; Zhang, Y.; Aerts, J.; Andrews, T.D.; Barnes, C.; Campbell, P.; et al. Origins and functional impact of copy number variation in the human genome. Nature 2010, 464, 704–712. [Google Scholar] [CrossRef]
- Hammarlund, M.; Davis, M.W.; Nguyen, H.; Dayton, D.; Jorgensen, E.M. Heterozygous insertions alter crossover distribution but allow crossover interference in Caenorhabditis elegans. Genetics 2005, 171, 1047–1056. [Google Scholar] [CrossRef]
- Hollister, J.D.; Ross-Ibarra, J.; Gaut, B.S. Indel-associated mutation rate varies with mating system in flowering plants. Mol. Biol. Evol. 2010, 27, 409–416. [Google Scholar] [CrossRef] [PubMed][Green Version]
- De, S.; Babu, M.M. A time-invariant principle of genome evolution. Proc. Natl. Acad. Sci. USA 2010, 107, 13004–13009. [Google Scholar] [CrossRef]
- Iqbal, N.; Liu, X.; Yang, T.; Huang, Z.; Hanif, Q.; Asif, M.; Khan, Q.M.; Mansoor, S. Genomic variants identified from whole-genome resequencing of indicine cattle breeds from Pakistan. PLoS ONE 2019, 14, e0215065. [Google Scholar] [CrossRef]
- McDonald, M.J.; Wang, W.-C.; Huang, H.-D.; Leu, J.-Y. Clusters of nucleotide substitutions and insertion/deletion mutations are associated with repeat sequences. PLoS Biol. 2011, 9, e1000622. [Google Scholar] [CrossRef] [PubMed]
- Oliveira, L.Z.; de Arruda, R.P.; de Andrade, A.F.C.; Celeghini, E.C.C.; dos Santos, R.M.; Beletti, M.E.; Peres, R.F.G.; Oliveira, C.S.; Hossepian de Lima, V.F.M. Assessment of field fertility and several in vitro sperm characteristics following the use of different Angus sires in a timed-AI program with suckled Nelore cows. Livest. Sci. 2012, 146, 38–46. [Google Scholar] [CrossRef]
- Badouard, C.; Ménézo, Y.; Panteix, G.; Ravanat, J.L.; Douki, T.; Cadet, J.; Favier, A. Determination of new types of DNA lesions in human sperm. Zygote 2008, 16, 9–13. [Google Scholar] [CrossRef] [PubMed]
- Agarwal, A.; Virk, G.; Ong, C.; Du Plessis, S.S. Effect of oxidative stress on male reproduction. World J. Mens. Health 2014, 32, 1–17. [Google Scholar] [CrossRef]
- Marti, E.; Marti, J.I.; Muiño-Blanco, T.; Cebrián-Pérez, J.A. Effect of the cryopreservation process on the activity and immunolocalization of antioxidant enzymes in ram spermatozoa. J. Androl. 2008, 29, 459–467. [Google Scholar] [CrossRef]
- Liu, Y.; Shi, Y.; Han, R.; Liu, C.; Qin, X.; Li, P.; Gu, R. Signaling pathways of oxidative stress response: The potential therapeutic targets in gastric cancer. Front. Immunol. 2023, 14, 1139589. [Google Scholar] [CrossRef]
- Serafini, M.M.; Catanzaro, M.; Fagiani, F.; Simoni, E.; Caporaso, R.; Dacrema, M.; Romanoni, I.; Govoni, S.; Racchi, M.; Daglia, M.; et al. Modulation of Keap1/Nrf2/ARE Signaling Pathway by Curcuma- and Garlic-Derived Hybrids. Front. Pharmacol. 2019, 10, 1597. [Google Scholar] [CrossRef]
- Benhar, M. Roles of mammalian glutathione peroxidase and thioredoxin reductase enzymes in the cellular response to nitrosative stress. Free Radic. Biol. Med. 2018, 127, 160–164. [Google Scholar] [CrossRef]
- Veskoukis, A.S.; Tsatsakis, A.M.; Kouretas, D. Dietary oxidative stress and antioxidant defense with an emphasis on plant extract administration. Cell Stress Chaperones 2012, 17, 11–21. [Google Scholar] [CrossRef]
- Capela, L.; Leites, I.; Romão, R.; Lopes-da-Costa, L.; Pereira, R.M.L.N. Impact of Heat Stress on Bovine Sperm Quality and Competence. Animals 2022, 12, 975. [Google Scholar] [CrossRef]
- Aitken, R.J.; Gibb, Z.; Baker, M.A.; Drevet, J.; Gharagozloo, P. Causes and consequences of oxidative stress in spermatozoa. Reprod. Fertil. Dev. 2016, 28, 1–10. [Google Scholar] [CrossRef] [PubMed]
- Kim, B.; Park, K.; Rhee, K. Heat stress response of male germ cells. Cell. Mol. Life Sci. 2013, 70, 2623–2636. [Google Scholar] [CrossRef] [PubMed]
- Paul, C.; Murray, A.A.; Spears, N.; Saunders, P.T.K. A single, mild, transient scrotal heat stress causes DNA damage, subfertility and impairs formation of blastocysts in mice. Reproduction 2008, 136, 73–84. [Google Scholar] [CrossRef]
- Houston, B.J.; Nixon, B.; Martin, J.H.; de Iuliis, G.N.; Trigg, N.A.; Bromfield, E.G.; McEwan, K.E.; Aitken, R.J. Heat exposure induces oxidative stress and DNA damage in the male germ line. Biol. Reprod. 2018, 98, 593–606. [Google Scholar] [CrossRef]
- Dinkova-Kostova, A.T.; Abramov, A.Y. The emerging role of Nrf2 in mitochondrial function. Free Radic. Biol. Med. 2015, 88, 179–188. [Google Scholar] [CrossRef] [PubMed]
- Rosenberg, A.B.; Patwardhan, R.P.; Shendure, J.; Seelig, G. Learning the sequence determinants of alternative splicing from millions of random sequences. Cell 2015, 163, 698–711. [Google Scholar] [CrossRef] [PubMed]
- Jung, K.-A.; Kwak, M.-K. The Nrf2 system as a potential target for the development of indirect antioxidants. Molecules 2010, 15, 7266–7291. [Google Scholar] [CrossRef]
- Chen, K.; Mai, Z.; Zhou, Y.; Gao, X.; Yu, B. Low NRF2 mRNA expression in spermatozoa from men with low sperm motility. Tohoku J. Exp. Med. 2012, 228, 259–266. [Google Scholar] [CrossRef]
- O’Hagan, H.M.; Wang, W.; Sen, S.; Destefano Shields, C.; Lee, S.S.; Zhang, Y.W.; Clements, E.G.; Cai, Y.; van Neste, L.; Easwaran, H.; et al. Oxidative damage targets complexes containing DNA methyltransferases, SIRT1, and polycomb members to promoter CpG Islands. Cancer Cell 2011, 20, 606–619. [Google Scholar] [CrossRef]
- Gornicka, A.; Morris-Stiff, G.; Thapaliya, S.; Papouchado, B.G.; Berk, M.; Feldstein, A.E. Transcriptional profile of genes involved in oxidative stress and antioxidant defense in a dietary murine model of steatohepatitis. Antioxid. Redox Signal. 2011, 15, 437–445. [Google Scholar] [CrossRef]
- Jannatifar, R.; Parivar, K.; Roodbari, N.H.; Nasr-Esfahani, M.H. Effects of N-acetyl-cysteine supplementation on sperm quality, chromatin integrity and level of oxidative stress in infertile men. Reprod. Biol. Endocrinol. 2019, 17, 24. [Google Scholar] [CrossRef]
- Auyeung, V.C.; Ulitsky, I.; McGeary, S.E.; Bartel, D.P. Beyond secondary structure: Primary-sequence determinants license pri-miRNA hairpins for processing. Cell 2013, 152, 844–858. [Google Scholar] [CrossRef]
- Peña, S.T.; Stone, F.; Gummow, B.; Parker, A.J.; Paris, D.B.B.P. Tropical summer induces DNA fragmentation in boar spermatozoa: Implications for evaluating seasonal infertility. Reprod. Fertil. Dev. 2019, 31, 590–601. [Google Scholar] [CrossRef]
- Apić, J.; Vakanjac, S.; Radović, I.; Jotanović, S.; Stanković, B.; Kanački, Z. Effect of season on boast semen quality. Savrem. Poljopr. 2015, 64, 9–13. [Google Scholar]
- Heinz, S.; Romanoski, C.E.; Benner, C.; Allison, K.A.; Kaikkonen, M.U.; Orozco, L.D.; Glass, C.K. Effect of natural genetic variation on enhancer selection and function. Nature 2013, 503, 487–492. [Google Scholar] [CrossRef]
- Grossman, S.R.; Zhang, X.; Wang, L.; Engreitz, J.; Melnikov, A.; Rogov, P.; Tewhey, R.; Isakova, A.; Deplancke, B.; Bernstein, B.E.; et al. Systematic dissection of genomic features determining transcription factor binding and enhancer function. Proc. Natl. Acad. Sci. USA 2017, 114, E1291–E1300. [Google Scholar] [CrossRef]
- Badis, G.; Berger, M.F.; Philippakis, A.A.; Talukder, S.; Gehrke, A.R.; Jaeger, S.A.; Chan, E.T.; Metzler, G.; Vedenko, A.; Chen, X.; et al. Diversity and complexity in DNA recognition by transcription factors. Science 2009, 324, 1720–1723. [Google Scholar] [CrossRef]
- Wei, G.-H.; Badis, G.; Berger, M.F.; Kivioja, T.; Palin, K.; Enge, M.; Bonke, M.; Jolma, A.; Varjosalo, M.; Gehrke, A.R.; et al. Genome-wide analysis of ETS-family DNA-binding in vitro and in vivo. EMBO J. 2010, 29, 2147–2160. [Google Scholar] [CrossRef]
- Im, J.; Park, B.; Han, K. A generative model for constructing nucleic acid sequences binding to a protein. BMC Genom. 2019, 20, 967. [Google Scholar] [CrossRef] [PubMed]
- Yoshitane, H.; Ozaki, H.; Terajima, H.; Du, N.-H.; Suzuki, Y.; Fujimori, T.; Kosaka, N.; Shimba, S.; Sugano, S.; Takagi, T.; et al. CLOCK-controlled polyphonic regulation of circadian rhythms through canonical and noncanonical E-boxes. Mol. Cell. Biol. 2014, 34, 1776–1787. [Google Scholar] [CrossRef] [PubMed]
- Tonelli, C.; Chio, I.I.C.; Tuveson, D.A. Transcriptional Regulation by Nrf2. Antioxid. Redox Signal. 2018, 29, 1727–1745. [Google Scholar] [CrossRef]
- Papas, M.; Catalan, J.; Barranco, I.; Arroyo, L.; Bassols, A.; Yeste, M.; Miró, J. Total and specific activities of superoxide dismutase (SOD) in seminal plasma are related with the cryotolerance of jackass spermatozoa. Cryobiology 2020, 92, 109–116. [Google Scholar] [CrossRef]
- Taqi, M.O.; Saeed-Zidane, M.; Gebremedhn, S.; Salilew-Wondim, D.; Tholen, E.; Neuhoff, C.; Hoelker, M.; Schellander, K.; Tesfaye, D. NRF2-mediated signaling is a master regulator of transcription factors in bovine granulosa cells under oxidative stress condition. Cell Tissue Res. 2021, 385, 769–783. [Google Scholar] [CrossRef]
- Taqi, M.O.; Saeed-Zidane, M.; Gebremedhn, S.; Salilew-Wondim, D.; Khdrawy, O.; Rings, F.; Neuhoff, C.; Hoelker, M.; Schellander, K.; Tesfaye, D. Sexual dimorphic expression and release of transcription factors in bovine embryos exposed to oxidative stress. Mol. Reprod. Dev. 2019, 86, 2005–2019. [Google Scholar] [CrossRef]
- Khadrawy, O.; Gebremedhn, S.; Salilew-Wondim, D.; Taqi, M.O.; Neuhoff, C.; Tholen, E.; Hoelker, M.; Schellander, K.; Tesfaye, D. Endogenous and Exogenous Modulation of Nrf2 Mediated Oxidative Stress Response in Bovine Granulosa Cells: Potential Implication for Ovarian Function. Int. J. Mol. Sci. 2019, 20, 1635. [Google Scholar] [CrossRef]
- Koziorowka-Gilun, M.; Koziorowski, M.; Strzezek, J.; Fraser, L. Seasonal changes in antioxidant defence systems in seminal plasma and fluids of the boar reproductive tract. Reprod. Biol. 2011, 11, 37–47. [Google Scholar] [CrossRef]
- Oikawa, D.; Akai, R.; Tokuda, M.; Iwawaki, T. A transgenic mouse model for monitoring oxidative stress. Sci. Rep. 2012, 2, 229. [Google Scholar] [CrossRef]
- Wu, X.; Bartel, D.P. Widespread Influence of 3′-End Structures on Mammalian mRNA Processing and Stability. Cell 2017, 169, 905–917.e11. [Google Scholar] [CrossRef]
- Lee, J.-H.; Park, S.-J.; Nakai, K. Differential landscape of non-CpG methylation in embryonic stem cells and neurons caused by DNMT3s. Sci. Rep. 2017, 7, 11295. [Google Scholar] [CrossRef]
- Yu, B.; Huang, Z. Variations in Antioxidant Genes and Male Infertility. BioMed Res. Int. 2015, 2015, 513196. [Google Scholar] [CrossRef]
- Ngo, V.; Duennwald, M.L. Nrf2 and Oxidative Stress: A General Overview of Mechanisms and Implications in Human Disease. Antioxidants 2022, 11, 2345. [Google Scholar] [CrossRef]
- Xu, L.-L.; Zhao, B.; Sun, S.-L.; Yu, S.-F.; Wang, Y.-M.; Ji, R.; Yang, Z.-T.; Ma, L.; Yao, Y.; Chen, Y.; et al. High-dose vitamin C alleviates pancreatic injury via the NRF2/NQO1/HO-1 pathway in a rat model of severe acute pancreatitis. Ann. Transl. Med. 2020, 8, 852. [Google Scholar] [CrossRef]
- Liu, Z.; Di, W.; Tang, H.; Li, H.; Zhang, X.; Dong, S.; Zhang, L.; Yang, L. Identification and Analysis of the Catalase Gene Family Response to Abiotic Stress in Nicotiana tabacum L. Agronomy 2023, 13, 936. [Google Scholar] [CrossRef]
- Drevet, J.R. The antioxidant glutathione peroxidase family and spermatozoa: A complex story. Mol. Cell. Endocrinol. 2006, 250, 70–79. [Google Scholar] [CrossRef]
- Goldinger, A.; Shakhbazov, K.; Henders, A.K.; McRae, A.F.; Montgomery, G.W.; Powell, J.E. Seasonal effects on gene expression. PLoS ONE 2015, 10, e0126995. [Google Scholar] [CrossRef]
- Selvaratnam, J.S.; Robaire, B. Effects of Aging and Oxidative Stress on Spermatozoa of Superoxide-Dismutase 1- and Catalase-Null Mice. Biol. Reprod. 2016, 95, 60. [Google Scholar] [CrossRef]
- Matić, S.; Tomašić Paić, A.; Sobočanec, S.; Pinterić, M.; Pipalović, G.; Martinčić, M.; Matovina, M.; Tomić, S. Interdisciplinary Study of the Effects of Dipeptidyl-Peptidase III Cancer Mutations on the KEAP1-NRF2 Signaling Pathway. Int. J. Mol. Sci. 2022, 23, 1994. [Google Scholar] [CrossRef]
- Vo, P.L.H.; Acree, C.; Smith, M.L.; Sternberg, S.H. Unbiased profiling of CRISPR RNA-guided transposition products by long-read sequencing. Mob. DNA 2021, 12, 13. [Google Scholar] [CrossRef]
- Wright, C.; Milne, S.; Leeson, H. Sperm DNA damage caused by oxidative stress: Modifiable clinical, lifestyle and nutritional factors in male infertility. Reprod. Biomed. Online 2014, 28, 684–703. [Google Scholar] [CrossRef]
- Crespo, F.; Quiñones-Pérez, C.; Ortiz, I.; Diaz-Jimenez, M.; Consuegra, C.; Pereira, B.; Dorado, J.; Hidalgo, M. Seasonal variations in sperm DNA fragmentation and pregnancy rates obtained after artificial insemination with cooled-stored stallion sperm throughout the breeding season (spring and summer). Theriogenology 2020, 148, 89–94. [Google Scholar] [CrossRef]
- Peris, S.I.; Morrier, A.; Dufour, M.; Bailey, J.L. Cryopreservation of ram semen facilitates sperm DNA damage: Relationship between sperm andrological parameters and the sperm chromatin structure assay. J. Androl. 2004, 25, 224–233. [Google Scholar] [CrossRef]






| Transcript | Gene Name | Forward and Reverse Primers | Product Size |
|---|---|---|---|
| NM_001101142.1 | KEAP1 | 5′TCACCAGGGAAGGATCTACG3′ II5′AGCGGCTCAACAGGTACAGT3′ | 199 |
| NM_001011678.2 | NRF2-201 | 5′CATGATGGACTTGGAGCTGC3′ II5′AGGCTTTCTCTTGCTCCTTT3′ | 209 |
| ENSBTAT00000072818.2 | NRF2-202 | 5′AAGAGTACTGGAGTGGGGTG3′ II5′CATGCTCCTTCTGTCGTTGA3′ | 196 |
| NM_174076.3 | GPX1 | 5′ACCCAGATGAATGACCTGCA3′ II5′GCCATTGACCTCGCACTTTT3′ | 189 |
| NM_174431.1 | PRDX1 | 5′TCACTTCGTCACCTGGCAT3′ II5′GCCAACAGGAAGGTCGTTTA3′ | 211 |
| NM_001034034.2 | GAPDH | 5′CCCAGAATATCATCCCTGCT3′ II5′CTGCTTCACCACCTTCTTGA3′ | 185 |
| NM_001035386.2 | CAT | 5′TGGGACCCAACTATCTCCAG3′ II5′AAGTGGGTCCTGTGTTCCAG3′ | 177 |
| NM_001034535.1 | NQO1 | 5′AACCAACAGACCAGCCAATC3′ II5′CACAGTGACCTCCCATCCTT3′ | 154 |
| NM_001098002.2 | NRF1 | 5′GGCAACAGGAAAGAAACGGA3′ II5′ACGCACCACATTCTCCAAAG3′ | 217 |
| NM_173968.3 | TXN1 | 5′AGCTGCCAAGATGGTGAAAC3′ II5′ACTCTGCAGCAACATCCTGA3′ | 215 |
| NM_174615.2 | SOD1 | 5′TGCCATCGTGGATATTGTAG3′ II5′GCAATTCCAATTACACCACA3′ | 174 |
| NM_173893.3 | B2M | 5′TCCAGCGTCCTCCAAAGATT3′ II5′CCTTGCTGTTGGGAGTGAAC3′ | 222 |
| S# | Age Groupe | Microsatellite | S# | Age Groupe | Microsatellite |
|---|---|---|---|---|---|
| 1 | Old bulls | 9X GCC (Homozygous) | 1 | Young bulls | 15X GCC (Homozygous) |
| 2 | Old bulls | 15X GCC (Homozygous) | 2 | Young bulls | 9X GCC (Homozygous) |
| 3 | Old bulls | 8/9X GCC (Heterozygous) | 3 | Young bulls | 9X GCC (Homozygous) |
| 4 | Old bulls | 9X GCC (Homozygous) | 4 | Young bulls | 9X GCC (Homozygous) |
| 5 | Old bulls | 8X GCC (Homozygous) | 5 | Young bulls | 9X GCC (Homozygous) |
| 6 | Old bulls | 8X GCC (Homozygous) | 6 | Young bulls | 9X GCC (Homozygous) |
| 7 | Old bulls | 8/9X GCC (Heterozygous) | 7 | Young bulls | 9X GCC (Homozygous) |
| 8 | Old bulls | 9X GCC (Homozygous) | 8 | Young bulls | 9X GCC (Homozygous) |
| # | TF | # | TF | # | TF | # | TF | # | TF | # | TF |
|---|---|---|---|---|---|---|---|---|---|---|---|
| 0 | DSXF [T00955] | 1 | DSXM [T00956] | 2 | WT1 I -KTS [T00900] | 3 | WT1 -KTS [T01839] | 4 | p53 [T00671] | 5 | ETF [T00270] |
| 6 | EIIaE-A [T00246] | 7 | p300 [T01427] | 8 | FACB [T02841] | 9 | R2 [T00712] | 10 | FOXN2 [T04206] | 11 | BTEB3 [T05051] |
| 12 | MF3 [T00507] | 13 | NF-1 [T01298] | 14 | AP-2alphaA [T00035] | 15 | Msx-1 [T02072] | 16 | Pax-8 [T01828] | 17 | Zeste [T00918] |
| 18 | Zeste [T02100] | 19 | C/EBP [T01386] | 20 | LF-A1 [T00467] | 21 | CREMtau [T01309] | 22 | CREMtau1 [T02108] | 23 | CREMtau2 [T02109] |
| 24 | E12 [T01786] | 25 | myogenin [T00528] | 26 | ZF5 [T02349] | 27 | DP-1 [T01548] | 28 | E2F-1 [T01542] | 29 | f(alpha)-f(epsilon) [T00287] |
| 30 | PEBP2alphaA1 [T01062] | 31 | E2F-1 [T01543] | 32 | Yi [T00913] | 33 | DRF1.1 [T05835] | 34 | DRF1.3 [T05837] | 35 | MyoD [T00526] |
| 36 | Sp1 [T00753] | 37 | Sp1 [T00752] | 38 | Sp1 [T00754] | 39 | Sp3 [T02338] | 40 | BTEB4 [T05053] | 41 | MYBAS1 [T05553] |
| 42 | Egr-1 [T01200] | 43 | Sp3 [T02453] | 44 | Pax-6 [T00682] | 45 | RC2 [T00724] | 46 | Zic3 [T04671] | 47 | TCF-2 [T01110] |
| 48 | NHP-1 [T00621] | 49 | E2F-1:DP-1 [T05204] | 50 | GCF [T00320] | 51 | Sp1 [T01228] | 52 | C/EBPbeta [T00017] | 53 | C/EBPalpha [T00107] |
| 54 | RFX1 [T01673] | 55 | MYB2 [T02536] | 56 | MEF1 [T00506] | 57 | Pu box binding factor [T00704] | 58 | NF-AT2 [T01945] | 59 | NF-AT1 [T01948] |
| 60 | TRM1 [T05311] | 61 | NF-AT1 [T01944] | 62 | HMG I(Y) [T02368] | 63 | STAT4 [T01577] | 64 | c-Ets-1 [T00112] | 65 | E2F [T01547] |
| 66 | E2F-5 [T01607] | 67 | STAT1beta [T01573] | 68 | E2F2 [T05976] | 69 | STAT6 [T01581] | 70 | E2F1 [T05975] | 71 | E2F-4 [T01546] |
| 72 | AP-2alpha [T00033] | 73 | TFIIB [T00818] | 74 | PPAR-alpha:RXR-alpha [T05221] | 75 | NRF2:MafK [T05666] | 76 | HELIOS [T06012] | 77 | Elk-1 [T00250] |
| 78 | C/EBPalpha [T00104] | 79 | EFII [T00239] | 80 | C/EBPalpha [T00105] | 81 | C/EBPalpha [T00108] | 82 | C/EBPbeta [T00459] | 83 | C/EBPbeta [T00581] |
| 84 | USF2 [T02115] | 85 | c-Fos [T00123] | 86 | Pax-2 [T01823] | 87 | Nkx2-1 [T00857] | 88 | Spz1 [T04668] | 89 | VDR [T00885] |
| 90 | Zic1 [T04669] | 91 | Zic2 [T04670] | 92 | USF-1 [T00875] | 93 | WT1 I [T01840] | 94 | MZF-1 [T00529] | 95 | COE1 [T01112] |
| 96 | NF-kappaB1 [T00593] | 97 | STAT5A [T04683] | 98 | E74A [T00208] | 99 | c-Ets-1 [T00111] | 100 | c-Ets-1 68 [T00115] | 101 | GAL4 [T00302] |
| 102 | NF-1 (-like proteins) [T00601] | 103 | SIP4 [T03600] | 104 | E47 [T00207] | 105 | CP2 [T00152] | 106 | PEA3 [T00684] | 107 | Pbx1b [T02088] |
| 108 | c-Ets-2 [T00113] | 109 | Elk-1 [T05013] | 110 | NERF-1a [T05021] | 111 | R1 [T00711] | 112 | Sp1 [T00759] | 113 | Sp1 [T00755] |
| 114 | Pax-5 [T01201] | 115 | Nkx2-1 [T00856] | 116 | NF-1 [T00535] | 117 | NF-1 [T00536] | 118 | NF-1 [T00538] | 119 | TGGCA-binding protein [T00832] |
| 120 | LIM1 [T04817] | 121 | AP-1 [T00029] | 122 | NFI/CTF [T00094] | 123 | EmBP-1a [T04819] | 124 | XPF-1 [T00906] | 125 | Sp3 [T02419] |
| 126 | c-Ets-2 [T01397] | 127 | RAR-beta:RXR-alpha [T05420] | 128 | COE2 [T05006] | 129 | MEDEA (MED) [T04379] | 130 | AP-2beta [T02469] | 131 | NF-E4 [T00560] |
| 132 | Mad [T04378] | 133 | WT1 [T00899] | 134 | Alfin1 [T04733] | 135 | CAC-binding protein [T00076] | 136 | ABI4 [T05743] | 137 | Pax-9a [T03593] |
| 138 | Pax-9b [T03594] | 139 | GAMYB [T02679] | 140 | YY1 [T04970] | 141 | AR [T00040] | 142 | GR [T00333] | 143 | HNF-3beta [T02344] |
| 144 | Elf-1 [T05012] | 145 | HOXA3 [T00378] | 146 | TAF [T00778] | 147 | Olf-1 [T01040] | 148 | TCF-1A [T00999] | 149 | LEF-1 [T02905] |
| 150 | TCF-4E [T02878] | 151 | HNF-3 [T02277] | 152 | DEF:GLO:SQUA [T03217] | 153 | TCF-3 [T02857] | 154 | DBP [T00183] | 155 | Pax-2a [T00678] |
| 156 | T3R-alpha1 [T01152] | 157 | DEAF-1 [T05885] | 158 | UME6 [T01247] | 159 | PR B [T00696] | 160 | PR A [T01661] | 161 | GR-alpha [T00337] |
| 162 | PR B [T00697] | 163 | GR-beta [T01920] | 164 | Adf-1 [T00008] | 165 | HES-1 [T01649] | 166 | NF-1 [T00537] | 167 | ENKTF-1 [T00255] |
| 168 | c-Myb [T00137] | 169 | PUR alpha [T05167] | 170 | PUR beta [T05172] | 171 | USF2b [T02377] | 172 | c-Jun [T00131] | 173 | JunB [T00436] |
| 174 | c-Fos [T00124] | 175 | c-Jun [T00132] | 176 | c-Jun [T00133] | 177 | JunD [T00437] | 178 | c-Fos [T00122] | 179 | ATF3 [T01095] |
| 180 | REB [T02808] | 181 | NF-1 [T00539] | 182 | PacC [T01679] | 183 | DREB1A [T05770] | 184 | c-Ets-1 54 [T00114] | 185 | MAZ [T00490] |
| 186 | AP-2 [T00034] | 187 | GCR1 [T00322] | 188 | DEF:GLO [T03216] | 189 | IRF-7A [T04674] | 190 | GT-1 [T00339] | 191 | POU3F1 [T00969] |
| 192 | Cutl1 [T02042] | 193 | AGL3 [T03025] | 194 | POU1F1a [T00691] | 195 | C/EBPdelta [T00109] | 196 | unc-86 [T01882] | 197 | MBF1 [T00492] |
| 198 | Pax-4a [T02983] | 199 | BR-C Z2 [T01478] | 200 | Dl [T00196] | 201 | POU3F2 [T00630] | 202 | DBP [T04875] | 203 | FOXP3 [T04280] |
| 204 | TFII-I [T00824] | 205 | MIG1 [T00509] | 206 | Pax-5 [T00070] | 207 | AP-1 [T01140] | 208 | C/EBPgamma [T00216] | 209 | IRF-1 [T00423] |
| 210 | IRF-3 [T04673] | 211 | NF-AT1 [T00550] | 212 | ADR1 [T00011] | 213 | EBF [T05427] | 214 | NF-X3 [T01514] |
| GCC | Factor Name | Start Position | End Position | Dissimilarity | String | RE Equally | RE Query |
|---|---|---|---|---|---|---|---|
| 8 | WT1 I-KTS [T00900] | 277 | 286 | 14.586256 | CCGCCGCCGC | 0.03433 | 0.54917 |
| 9 | WT1 I-KTS [T00900] | 277 | 286 | 14.586256 | CCGCCGCCGC | 0.03460 | 0.55347 |
| 15 | WT1 I-KTS [T00900] | 277 | 286 | 14.586256 | CCGCCGCCGC | 0.03622 | 0.57928 |
| 8 | ZF5 [T02349] | 278 | 280 | 0.000000 | CGC | 5.98438 | 19.64578 |
| 9 | ZF5 [T02349] | 278 | 280 | 0.000000 | CGC | 6.03125 | 19.79966 |
| 15 | ZF5 [T02349] | 278 | 280 | 0.000000 | CGC | 6.31250 | 20.72297 |
| 8 | E2F-1 [T01542] | 278 | 284 | 5.331496 | CGCCGCC | 0.09351 | 1.01167 |
| 9 | E2F-1 [T01542] | 278 | 284 | 5.331496 | CGCCGCC | 0.09424 | 1.01959 |
| 15 | E2F-1 [T01542] | 278 | 284 | 5.331496 | CGCCGCC | 0.09863 | 1.06714 |
| 8 | Sp1 [T00759] | 282 | 290 | 10.820862 | GCCGCCGCC | 0.05698 | 0.34557 |
| 9 | Sp1 [T00759] | 282 | 290 | 10.820862 | GCCGCCGCC | 0.05743 | 0.34828 |
| 15 | Sp1 [T00759] | 282 | 290 | 10.820862 | GCCGCCGCC | 0.06010 | 0.36452 |
| 8 | Nrf2:MafK [T05666] | 298 | 304 | 9.333580 | CCAGTAC | 0.37402 | 0.36497 |
| 9 | Nrf2:MafK [T05666] | 301 | 307 | 9.333580 | CCAGTAC | 0.37695 | 0.36783 |
| 15 | Nrf2:MafK [T05666] | 319 | 325 | 9.333580 | CCAGTAC | 0.39453 | 0.38498 |
| 8 | JunD [T00437] | 235 | 241 | 6.527383 | CAAGTCA | 0.09351 | 0.02745 |
| 9 | JunD [T00437] | 235 | 241 | 6.527383 | CAAGTCA | 0.09424 | 0.02767 |
| 15 | JunD [T00437] | 235 | 241 | 6.527383 | CAAGTCA | 0.09863 | 0.02896 |
| 8 | UME6 [T01247] | 345 | 355 | 14.983340 | GTCGTCGGGGA | 0.04438 | 0.08094 |
| 9 | UME6 [T01247] | 348 | 358 | 14.983340 | GTCGTCGGGGA | 0.04473 | 0.08157 |
| 15 | UME6 [T01247] | 366 | 376 | 14.983340 | GTCGTCGGGGA | 0.04681 | 0.08538 |
| 8 | Elk-1 [T00250] | 368 | 372 | 3.960472 | CGTCC | 0.74805 | 1.25409 |
| 9 | Elk-1 [T00250] | 371 | 375 | 3.960472 | CGTCC | 0.75391 | 1.26391 |
| 15 | Elk-1 [T00250] | 389 | 393 | 3.960472 | CGTCC | 0.78906 | 1.32285 |
| k-mer | Position | Shift | Statistics | p-Value | Corrected.p | Frac.obs | Frac.exp | Obs/Exp | Local.r |
|---|---|---|---|---|---|---|---|---|---|
| A | 25 | 0 | 1.51136 | 1.66805 | −0 | 0.333333 | 0.0871795 | 3.82353 | −9.28571 |
| ANNA | 28 | 0 | 6.21915 | 4.47409 | −0 | 0.666667 | 0.0322581 | 20.6667 | −2.33962 |
| GTA | 29 | 0 | 4.39941 | 3.12618 | −0 | 0.333333 | 0.015873 | 21 | −2.33333 |
| TA | 30 | 0 | 4.4371 | 3.13979 | −0 | 0.333333 | 0.015625 | 21.3333 | −2.32727 |
| A | 31 | 0 | 3.55799 | 3.17876 | −0 | 0.666667 | 0.0871795 | 7.64706 | −3.29114 |
| GTA | 32 | 0 | 4.39941 | 3.12618 | −0 | 0.333333 | 0.015873 | 21 | −2.33333 |
| TA | 33 | 0 | 4.4371 | 3.13979 | −0 | 0.333333 | 0.015625 | 21.3333 | −2.32727 |
| A | 34 | 0 | 1.51136 | 1.66805 | −0 | 0.333333 | 0.0871795 | 3.82353 | −9.28571 |
| TG | 38 | 0 | 4.4371 | 3.13979 | −0 | 0.333333 | 0.015625 | 21.3333 | −2.32727 |
| CGT | 39 | 0 | 4.39941 | 3.12618 | −0 | 0.333333 | 0.015873 | 21 | −2.33333 |
| GNG | 40 | 0 | 4.39941 | 3.12618 | −0 | 0.333333 | 0.015873 | 21 | −2.33333 |
| TG | 41 | 0 | 4.4371 | 3.13979 | −0 | 0.333333 | 0.015625 | 21.3333 | −2.32727 |
| GT | 42 | 0 | 2.34734 | 2.19478 | −0 | 0.333333 | 0.046875 | 7.11111 | −3.45946 |
| T | 43 | 0 | 1.85164 | 1.89481 | −0 | 0.333333 | 0.0666667 | 5 | −5 |
| TC | 45 | 0 | 2.74347 | 2.40997 | −0 | 0.333333 | 0.0364583 | 9.14286 | −2.97674 |
| A | 46 | 0 | 1.51136 | 1.66805 | −0 | 0.333333 | 0.0871795 | 3.82353 | −9.28571 |
| AAG | 48 | 0 | 5.4633 | 3.47682 | −0 | 0.333333 | 0.010582 | 31.5 | −2.21053 |
| AG | 49 | 0 | 5.82386 | 4.31461 | −0 | 0.666667 | 0.0364583 | 18.2857 | −2.39252 |
| CAA | 50 | 0 | 5.4633 | 3.47682 | −0 | 0.333333 | 0.010582 | 31.5 | −2.21053 |
| AAG | 51 | 0 | 5.4633 | 3.47682 | −0 | 0.333333 | 0.010582 | 31.5 | −2.21053 |
| A | 52 | 0 | 3.55799 | 3.17876 | −0 | 0.666667 | 0.0871795 | 7.64706 | −3.29114 |
| T | 53 | 0 | 1.85164 | 1.89481 | −0 | 0.333333 | 0.0666667 | 5 | −5 |
| GG | 55 | 0 | 4.4371 | 3.13979 | −0 | 0.333333 | 0.015625 | 21.3333 | −2.32727 |
| T | 56 | 0 | 1.85164 | 1.89481 | −0 | 0.333333 | 0.0666667 | 5 | −5 |
| GGC | 58 | 0 | 5.4633 | 3.47682 | −0 | 0.333333 | 0.010582 | 31.5 | −2.21053 |
| GCA | 59 | 0 | 5.4633 | 3.47682 | −0 | 0.333333 | 0.010582 | 31.5 | −2.21053 |
| CCGG | 60 | 0 | 7.76792 | 4.06346 | −0 | 0.333333 | 0.00537634 | 62 | −2.10169 |
Disclaimer/Publisher’s Note: The statements, opinions and data contained in all publications are solely those of the individual author(s) and contributor(s) and not of MDPI and/or the editor(s). MDPI and/or the editor(s) disclaim responsibility for any injury to people or property resulting from any ideas, methods, instructions or products referred to in the content. |
© 2024 by the authors. Licensee MDPI, Basel, Switzerland. This article is an open access article distributed under the terms and conditions of the Creative Commons Attribution (CC BY) license (https://creativecommons.org/licenses/by/4.0/).
Share and Cite
Anwar, K.; Thaller, G.; Saeed-Zidane, M. Genetic Variations in the NRF2 Microsatellite Contribute to the Regulation of Bovine Sperm-Borne Antioxidant Capacity. Cells 2024, 13, 1601. https://doi.org/10.3390/cells13191601
Anwar K, Thaller G, Saeed-Zidane M. Genetic Variations in the NRF2 Microsatellite Contribute to the Regulation of Bovine Sperm-Borne Antioxidant Capacity. Cells. 2024; 13(19):1601. https://doi.org/10.3390/cells13191601
Chicago/Turabian StyleAnwar, Khurshaid, Georg Thaller, and Mohammed Saeed-Zidane. 2024. "Genetic Variations in the NRF2 Microsatellite Contribute to the Regulation of Bovine Sperm-Borne Antioxidant Capacity" Cells 13, no. 19: 1601. https://doi.org/10.3390/cells13191601
APA StyleAnwar, K., Thaller, G., & Saeed-Zidane, M. (2024). Genetic Variations in the NRF2 Microsatellite Contribute to the Regulation of Bovine Sperm-Borne Antioxidant Capacity. Cells, 13(19), 1601. https://doi.org/10.3390/cells13191601
