Morphological and Molecular Gonadal Sex Differentiation in the Wild Japanese eel Anguilla japonica
Abstract
1. Introduction
2. Materials and Methods
2.1. Sample Collection
2.2. Histological Observation
2.3. Age Determination by Otoliths
2.4. RNA Extraction and cDNA Synthesis
2.5. Quantitative PCR Analysis
2.6. Statistical Analyses
3. Results
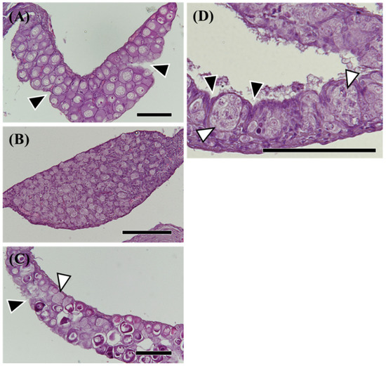
3.1. Gonadal Sex Differentiation of Wild Japanese eel
3.2. Sex Ratio
3.3. Relationships between Gonadal Sex Differentiation, Body Size and Age
3.4. Expression of Sex Differentiation-Related Genes in Relation with Gonadal Sex Differentiation
3.5. Relationship between the Expression of Sex Differentiation-Related Genes and Ovarian Developmental Stage
3.6. Expression of Sex Differentiation-Related Genes in Undifferentiated Gonads
4. Discussion
Author Contributions
Funding
Institutional Review Board Statement
Informed Consent Statement
Data Availability Statement
Acknowledgments
Conflicts of Interest
References
- Smith, C.A.; Roeszler, K.N.; Ohnesorg, T.; Cummins, D.M.; Farlie, P.G.; Doran, T.J.; Sinclair, A.H. The avian Z-linked gene DMRT1 is required for male sex determination in the chicken. Nature 2009, 461, 267–271. [Google Scholar] [CrossRef] [PubMed]
- Bachtrog, D.; Mank, J.E.; Peichel, C.L.; Kirkpatrick, M.; Otto, S.P.; Ashman, T.L.; Hahn, M.W.; Kitano, J.; Mayrose, I.; Ming, R.; et al. Sex determination: Why so many ways of doing it? PLoS Biol. 2014, 12, e1001899. [Google Scholar] [CrossRef] [PubMed]
- Pieau, C.; Dorizzi, M. Determination of temperature sensitive stages for sexual differentiation of the gonads in embryos of the turtle, Emys orbicularis. J. Morphol. 1981, 170, 373–382. [Google Scholar] [CrossRef]
- Lang, J.W.; Andrews, H.V. Temperature-dependent sex determination in crocodilians. J. Exp. Zool. 1994, 270, 28–44. [Google Scholar] [CrossRef]
- Devlin, R.H.; Nagahama, Y. Sex determination and sex differentiation in fish: An overview of genetic, physiological, and environmental influences. Aquaculture 2002, 208, 191–364. [Google Scholar] [CrossRef]
- Baroiller, J.F.; D’Cotta, H.; Saillant, E. Environmental Effects on Fish Sex Determination and Differentiation. Sex. Dev. 2009, 3, 118–135. [Google Scholar] [CrossRef] [PubMed]
- Nagahama, Y.; Chakraborty, T.; Paul-Prasanth, B.; Ohta, K.; Nakamura, M. Sex determination, gonadal sex differentiation, and plasticity in vertebrate species. Physiol. Rev. 2021, 101, 1237–1308. [Google Scholar] [CrossRef]
- Matsuda, M.; Nagahama, Y.; Shinomiya, A.; Sato, T.; Matsuda, C.; Kobayashi, T.; Morrey, C.E.; Shibata, N.; Asakawa, S.; Shimizu, N.; et al. DMY is a Y-specific DM-domain gene required for male development in the medaka fish. Nature 2002, 417, 559–563. [Google Scholar] [CrossRef]
- Nanda, I.; Kondo, M.; Hornung, U.; Asakawa, S.; Winkler, C.; Shimizu, A.; Shan, Z.; Haaf, T.; Shimizu, N.; Shima, A.; et al. A duplicated copy of DMRT1 in the sex-determining region of the Y chromosome of the medaka, Oryzias latipes. Proc. Natl. Acad. Sci. USA 2002, 99, 11778–11783. [Google Scholar] [CrossRef]
- Kamiya, T.; Kai, W.; Tasumi, S.; Oka, A.; Matsunaga, T.; Mizuno, N.; Fujita, M.; Suetake, H.; Suzuki, S.; Hosoya, S.; et al. A Trans-Species Missense SNP in Amhr2 Is Associated with Sex Determination in the Tiger Pufferfish, Takifugu rubripes (Fugu). PLoS Genet. 2012, 8, e1002798. [Google Scholar] [CrossRef]
- Li, M.; Sun, Y.; Zhao, J.; Shi, H.; Zeng, S.; Ye, K.; Jiang, D.; Zhou, L.; Sun, L.; Tao, W.; et al. A Tandem Duplicate of Anti-Müllerian Hormone with a Missense SNP on the Y Chromosome Is Essential for Male Sex Determination in Nile Tilapia, Oreochromis niloticus. PLOS Genet. 2015, 11, e1005678. [Google Scholar] [CrossRef] [PubMed]
- Koyama, T.; Nakamoto, M.; Morishima, K.; Yamashita, R.; Yamashita, T.; Sasaki, K.; Kuruma, Y.; Mizuno, N.; Suzuki, M.; Okada, Y.; et al. A SNP in a Steroidogenic Enzyme Is Associated with Phenotypic Sex in Seriola Fishes. Curr. Biol. 2019, 29, 1901–1909. [Google Scholar] [CrossRef] [PubMed]
- Yamaguchi, T.; Yoshinaga, N.; Yazawa, T.; Gen, K.; Kitano, T. Cortisol is involved in temperature-dependent sex determination in the Japanese flounder. Endocrinology 2010, 151, 3900–3908. [Google Scholar] [CrossRef]
- Hayashi, Y.; Kobira, H.; Yamaguchi, T.; Shiraishi, E.; Yazawa, T.; Hirai, T.; Kamei, Y.; Kitano, T. High temperature causes masculinization of genetically female medaka by elevation of cortisol. Mol. Reprod. Dev. 2010, 77, 679–686. [Google Scholar] [CrossRef]
- Castañeda-Cortés, D.C.; Zhang, J.; Boan, A.F.; Langlois, V.S.; Fernandino, J.I. High temperature stress response is not sexually dimorphic at the whole-body level and is dependent on androgens to induce sex reversal. Gen. Comp. Endocrinol. 2020, 299, 113605. [Google Scholar] [CrossRef] [PubMed]
- Egusa, S. Notes on the culture of the European eel (Anguilla anguilla L.) in Japanese eel-farming ponds. Rapp. P.-v. Reun. Cons. Int. Explor. Mer 1979, 174, 51–58. [Google Scholar]
- Roncarati, A.; Melotti, P.; Mordenti, O.; Gennari, L. Influence of stocking density of European eel (Anguilla Anguilla, L.) elvers on sex differentiation and zootechnical performances. J. Appl. Ichthyol. 1997, 13, 131–136. [Google Scholar] [CrossRef]
- Matsui, I. Eel Science/Biological Reserch Edition; Kouseisha Kouseikaku: Tokyo, Japan, 1972; pp. 148–184. (In Japanese) [Google Scholar]
- Tachiki, H.; Nakagawa, T.; Tamura, K.; Hirose, K. Effects of oral administration estradiol-17β to young on gonadal sex and growth of Japanese eel Anguilla japonica. Suisanzoushoku 1997, 45, 61–66, (In Japanese; English abstract and figure legends). [Google Scholar]
- Colombo, G.; Grandi, G. Histological study of the development and sex differentiation of the gonad in the European eel. J. Fish. Biol. 1996, 48, 493–512. [Google Scholar] [CrossRef]
- Jeng, S.R.; Wu, G.C.; Yueh, W.S.; Kuo, S.F.; Dufour, S.; Chang, C.F. Gonadal development and expression of sex-specific genes during sex differentiation in the Japanese eel. Gen. Comp. Endocrinol. 2018, 257, 74–85. [Google Scholar] [CrossRef]
- Guiguen, Y.; Fostier, A.; Piferrer, F.; Chang, C.F. Ovarian aromatase and estrogens: A pivotal role for gonadal sex differentiation and sex change in fish. Gen. Comp. Endocrinol. 2010, 165, 352–366. [Google Scholar] [CrossRef] [PubMed]
- Li, M.; Sun, L.; Wang, D. Roles of estrogens in fish sexual plasticity and sex differentiation. Gen. Comp. Endocrinol. 2019, 277, 9–16. [Google Scholar] [CrossRef] [PubMed]
- Ijiri, S.; Kaneko, H.; Kobayashi, T.; Wang, D.S.; Sakai, F.; Paul-Prasanth, B.; Nakamura, M.; Nagahama, Y. Sexual dimorphic expression of genes in gonads during early differentiation of a teleost fish, the Nile tilapia Oreochromis niloticus. Biol. Reprod. 2008, 78, 333–341. [Google Scholar] [CrossRef] [PubMed]
- Wang, D.S.; Kobayashi, T.; Zhou, L.Y.; Paul-Prasanth, B.; Ijiri, S.; Sakai, F.; Okubo, K.; Morohashi, K.; Nagahama, Y. Foxl2 up-regulates aromatase gene transcription in a female-specific manner by binding to the promoter as well as interacting with Ad4 binding protein/steroidogenic factor 1. Mol. Endocrinol. 2007, 21, 712–725. [Google Scholar] [CrossRef]
- Zhang, X.; Li, M.; Ma, H.; Liu, X.; Shi, H.; Li, M.; Wang, D. Mutation of foxl2 or cyp19a1a results in female to male sex reversal in XX Nile tilapia. Endocrinology 2017, 158, 2634–2647. [Google Scholar] [CrossRef]
- Ijiri, S.; Nagahama, Y.; Kuramochi, Y.; Adachi, S. Sex differentiation in Nile tilapia and sturgeons. In Sex Determination, Sex Differentiation and Sex Change in Fishes—Past, Present and Future; Kikuchi, K., Ijiri, S., Kitano, T., Eds.; Kouseisya Kouseikaku: Tokyo, Japan, 2021; pp. 114–144. (In Japanese) [Google Scholar]
- Inaba, H.; Hara, S.; Horiuchi, M.; Ijiri, S.; Kitano, T. Gonadal expression profiles of sex-specific genes during early sexual differentiation in Japanese eel Anguilla japonica. Fish. Sci. 2021, 87, 203–209. [Google Scholar] [CrossRef]
- Geffroy, B.; Guiguen, Y.; Fostier, A.; Bardonnet, A. New insights regarding gonad development in European eel: Evidence for a direct ovarian differentiation. Fish Physiol. Biochem. 2013, 39, 1129–1140. [Google Scholar] [CrossRef]
- Geffroy, B.; Guilbaud, F.; Amilhat, E.; Beaulaton, L.; Vignon, M.; Huchet, E.; Rives, J.; Bobe, J.; Fostier, A.; Guiguen, Y.; et al. Sexually dimorphic gene expressions in eels: Useful markers for early sex assessment in a conservation context. Sci. Rep. 2016, 6, 34041. [Google Scholar] [CrossRef]
- Schneider, C.A.; Rasband, W.S.; Eliceiri, K.W. NIH Image to ImageJ: 25 years of image analysis. Nat. Methods 2012, 9, 671–675. [Google Scholar] [CrossRef]
- Oliveira, K.; McCleave, J.D. Variation in Population and Life History Traits of the American Eel, Anguilla rostrata, in Four Rivers in Maine. Environ. Biol. Fishes 2000, 59, 141–151. [Google Scholar] [CrossRef]
- Chiba, H.; Iwata, M.; Yakoh, K.; Satoh, R.; Yamada, H. Possible influence of social stress on sex differentiation in Japanese eel. Fish. Sci. 2002, 68, 413–414. [Google Scholar] [CrossRef][Green Version]
- Amano, M.; Amiya, N.; Mizusawa, K.; Chiba, H. Effects of background color and rearing density on stress-related hormones in the juvenile Japanese eel Anguilla japonica. Fish. Sci. 2021, 87, 521–528. [Google Scholar] [CrossRef]
- Kaneko, H.; Ijiri, S.; Kobayashi, T.; Izumi, H.; Kuramochi, Y.; Wang, D.S.; Mizuno, S.; Nagahama, Y. Gonadal soma-derived factor (gsdf), a TGF-beta superfamily gene, induces testis differentiation in the teleost fish Oreochromis niloticus. Mol. Cell. Endocrinol. 2015, 415, 87–99. [Google Scholar] [CrossRef] [PubMed]
- Wu, G.C.; Jeng, S.R.; Pan, Y.T.; Li, H.W.; Ku, W.L.; Lin, C.J.; Chang, C.F. The germline-specific expression of Foxl3a and its paralogous Foxl3b are associated with male gonadal differentiation in the Japanese eel, Anguilla japonica. Gen. Comp. Endocrinol. 2019, 277, 56–65. [Google Scholar] [CrossRef]
- Katoh, M.; Katoh, M. Germ-line mutation of Foxn5 gene in mouse lineage. Int. J. Mol. Med. 2004, 14, 463–467. [Google Scholar] [CrossRef]
- Lai, K.P.; Li, J.W.; Wang, S.Y.; Chiu, J.M.; Tse, A.; Lau, K.; Lok, S.; Au, D.W.; Tse, W.K.; Wong, C.K.; et al. Tissue-specific transcriptome assemblies of the marine medaka Oryzias melastigma and comparative analysis with the freshwater medaka Oryzias latipes. BMC Genom. 2015, 16, 135. [Google Scholar] [CrossRef]
- Yamamoto, T.M.; Cook, J.M.; Kotter, C.V.; Khat, T.; Silva, K.D.; Ferreyros, M.; Holt, J.W.; Knight, J.D.; Charlesworth, A. Zar1 represses translation in Xenopus oocytes and binds to the TCS in maternal mRNAs with different characteristics than Zar2. Biochim. Biophys. Acta 2013, 1829, 1034–1046. [Google Scholar] [CrossRef]
- Miao, L.; Yuan, Y.; Cheng, F.; Fang, J.; Zhou, F.; Ma, W.; Jiang, Y.; Huang, X.; Wang, Y.; Shan, L.; et al. Translation repression by maternal RNA binding protein Zar1 is essential for early oogenesis in zebrafish. Development 2017, 144, 128–138. [Google Scholar] [CrossRef]
- Liu, X.; Wang, H.; Gong, Z. Tandem-Repeated Zebrafish zp3 Genes Possess Oocyte-Specific Promoters and Are Insensitive to Estrogen Induction. Biol. Reprod. 2006, 74, 1016–1025. [Google Scholar] [CrossRef]
- Hagihara, S.; Yamashita, R.; Yamamoto, S.; Ishihara, M.; Abe, T.; Ijiri, S.; Adachi, S. Identification of genes involved in gonadal sex differentiation and the dimorphic expression pattern in undifferentiated gonads of Russian sturgeon Acipenser gueldenstaedtii Brandt & Ratzeburg, 1833. J. Appl. Ichthyol. 2014, 30, 1557–1564. [Google Scholar]











| Name | Primer sequence (5′-3′) |
|---|---|
| cyp19a1a_F | CAGAGAAGTTGGATGATGCTGACT |
| cyp19a1a_R | GCTCCCCGTGGTTCTGAGC |
| foxl2a_F | CCACCCACTCCTATGCCCTAT |
| foxl2a_R | GCCGACAGTCCTTTGACGTT |
| figla_F | ATGTTTTCCCGCCTGAAACG |
| figla_R | TCCAGCATACTGCCAGTCG |
| sox3_F | CTGGAACGAACGCTGTCAAC |
| sox3_R | GCTGGGATGCTGAGGGTATC |
| foxn5_F | CCTCGTCCAGCGAATATCTTC |
| foxn5_R | TGAGCGAGATTCAGCTTCC |
| zar1_F | CATCTCTGGAACCAATAAGGTG |
| zar1_R | CCACCCTGTACGGATTGAAC |
| zp3_F | GAGTTGGTGGTGGTCAAAG |
| zp3_R | CATACTGTCCACCATACAGCC |
| gsdf_F | ACAGTACAGGCTTGCAGTGCTG |
| gsdf_R | AGTTCTCCCAACCAAGATCGTT |
| amh_F | TCTCCTAGCAACGGATTGGC |
| amh_R | CACAGGAAGTGGAAAGTCCGG |
| foxl2b_F | CATTCTGACGCTCACCACCTT |
| foxl2b_R | CTTGTTGCGTCTGGAGAGGAA |
| foxl3b_F | CCGCTAAGTGGATTTCCGAAT |
| foxl3b_R | CCTGGATGGTGGAGGTGATT |
| Sampling | Undifferentiated | Ovary-Like | Testis-Like | Ovarian | Ovary | Testis |
|---|---|---|---|---|---|---|
| Location | Structure | Structure | Differentiated | |||
| Kumano River | 11 | 1 | 4 | - | 1 | 6 |
| Sumie River | 9 | - | - | - | - | 4 |
| Igae River_a | 12 | 3 | 1 | 1 | 6 | 20 |
| Igae River_b | 7 | 2 | - | - | 2 | 5 |
| Naruko River | 4 | - | - | - | 1 | - |
| Kamezaki River | 8 | - | - | - | - | 2 |
| Akaiwa River | 1 | - | 1 | - | - | 3 |
| Kokoromi River | 1 | - | - | - | 1 | - |
| Tsuno River | 2 | 2 | - | - | 2 | 3 |
| Iroha River_a | 18 | 2 | 3 | - | 3 | 6 |
| Iroha River_b | - | - | - | - | 1 | - |
| Katsura River_c | 14 | - | 1 | - | 2 | 10 |
| Katsura River_d | 2 | - | 1 | - | - | - |
| No. | TL (mm) | Age (Years) | Male/Female | No. | TL (mm) | Age (Years) | Male/Female |
|---|---|---|---|---|---|---|---|
| 1 | 257 | 5 | Female | 19 | 306 | 5 | Male |
| 2 | 328 | 4 | Female | 20 | 310 | 4 | Male |
| 3 | 334 | 5 | Female | 21 | 320 | 5 | Male |
| 4 | 341 | 5 | Female | 22 | 320 | 6 | Male |
| 5 | 342 | 7 | Female | 23 | 322 | 5 | Male |
| 6 | 342 | 6 | Female | 24 | 330 | 4 | Male |
| 7 | 347 | 3 | Female | 25 | 333 | 5 | Male |
| 8 | 351 | 4 | Female | 26 | 334 | 6 | Male |
| 9 | 353 | 6 | Female | 27 | 335 | 6 | Male |
| 10 | 360 | 7 | Female | 28 | 337 | 6 | Male |
| 11 | 360 | 5 | Female | 29 | 337 | 7 | Male |
| 12 | 362 | 5 | Female | 30 | 340 | 7 | Male |
| 13 | 378 | 3 | Female | 31 | 341 | 5 | Male |
| 14 | 379 | 9 | Female | 32 | 347 | 8 | Male |
| 15 | 383 | 6 | Female | 33 | 351 | 7 | Male |
| 16 | 387 | 5 | Female | 34 | 360 | 5 | Male |
| 17 | 394 | 7 | Female | 35 | 375 | 6 | Male |
| 18 | 407 | 7 | Female | 36 | 387 | 4 | Male |
| 37 | 425 | 8 | Male |
| Group | TL (mm) | BW (g) | Age (Years) |
|---|---|---|---|
| I | 351 | 37 | 4 |
| 341 | 42 | 5 | |
| II | 342 | 41 | 7 |
| 379 | 49 | 9 | |
| III | 257 | 13 | 5 |
| 360 | 38 | 5 | |
| 328 | 25 | 4 | |
| 353 | 38 | 6 | |
| 342 | 36 | 6 | |
| 383 | 50 | 6 | |
| 378 | 37 | 3 | |
| 394 | 69 | 7 | |
| IV | 334 | 28 | 5 |
| 387 | 57 | 5 | |
| 347 | 36 | 3 | |
| V | 360 | 56 | 7 |
| 362 | 42 | 5 | |
| VI | 407 | 64 | 7 |
| No. | TL (mm) | Category | No. | TL (mm) | Category |
|---|---|---|---|---|---|
| 1 | 250 | Testis-like structure | 27 | 297 | Undifferentiated |
| 2 | 251 | Undifferentiated | 28 | 297 | Ovary-like structure |
| 3 | 257 | Undifferentiated | 29 | 298 | Ovary-like structure |
| 4 | 258 | Undifferentiated | 30 | 299 | Ovary-like structure |
| 5 | 258 | Undifferentiated | 31 | 305 | Testis-like structure |
| 6 | 264 | Testis-like structure | 32 | 307 | Undifferentiated |
| 7 | 266 | Undifferentiated | 33 | 309 | Ovary-like structure |
| 8 | 266 | Undifferentiated | 34 | 310 | Ovary-like structure |
| 9 | 269 | Undifferentiated | 35 | 310 | Undifferentiated |
| 10 | 271 | Testis-like structure | 36 | 310 | Undifferentiated |
| 11 | 271 | Undifferentiated | 37 | 311 | Undifferentiated |
| 12 | 275 | Undifferentiated | 38 | 311 | Ovary-like structure |
| 13 | 275 | Ovary-like structure | 39 | 312 | Undifferentiated |
| 14 | 277 | Undifferentiated | 40 | 313 | Testis-like structure |
| 15 | 280 | Undifferentiated | 41 | 313 | Testis-like structure |
| 16 | 280 | Undifferentiated | 42 | 318 | Undifferentiated |
| 17 | 281 | Ovary-like structure | 43 | 320 | Testis-like structure |
| 18 | 287 | Undifferentiated | 44 | 320 | Undifferentiated |
| 19 | 287 | Ovary-like structure | 45 | 325 | Undifferentiated |
| 20 | 287 | Undifferentiated | 46 | 327 | Undifferentiated |
| 21 | 287 | Testis-like structure | 47 | 327 | Undifferentiated |
| 22 | 288 | Testis-like structure | 48 | 327 | Undifferentiated |
| 23 | 290 | Testis-like structure | 49 | 329 | Undifferentiated |
| 24 | 290 | Undifferentiated | 50 | 330 | Undifferentiated |
| 25 | 292 | Testis-like structure | 51 | 331 | Undifferentiated |
| 26 | 295 | Ovary-like structure | 52 | 334 | Undifferentiated |
| 53 | 335 | Undifferentiated |
Publisher’s Note: MDPI stays neutral with regard to jurisdictional claims in published maps and institutional affiliations. |
© 2022 by the authors. Licensee MDPI, Basel, Switzerland. This article is an open access article distributed under the terms and conditions of the Creative Commons Attribution (CC BY) license (https://creativecommons.org/licenses/by/4.0/).
Share and Cite
Horiuchi, M.; Hagihara, S.; Kume, M.; Chushi, D.; Hasegawa, Y.; Itakura, H.; Yamashita, Y.; Adachi, S.; Ijiri, S. Morphological and Molecular Gonadal Sex Differentiation in the Wild Japanese eel Anguilla japonica. Cells 2022, 11, 1554. https://doi.org/10.3390/cells11091554
Horiuchi M, Hagihara S, Kume M, Chushi D, Hasegawa Y, Itakura H, Yamashita Y, Adachi S, Ijiri S. Morphological and Molecular Gonadal Sex Differentiation in the Wild Japanese eel Anguilla japonica. Cells. 2022; 11(9):1554. https://doi.org/10.3390/cells11091554
Chicago/Turabian StyleHoriuchi, Moemi, Seishi Hagihara, Manabu Kume, Daichi Chushi, Yuya Hasegawa, Hikaru Itakura, Yoh Yamashita, Shinji Adachi, and Shigeho Ijiri. 2022. "Morphological and Molecular Gonadal Sex Differentiation in the Wild Japanese eel Anguilla japonica" Cells 11, no. 9: 1554. https://doi.org/10.3390/cells11091554
APA StyleHoriuchi, M., Hagihara, S., Kume, M., Chushi, D., Hasegawa, Y., Itakura, H., Yamashita, Y., Adachi, S., & Ijiri, S. (2022). Morphological and Molecular Gonadal Sex Differentiation in the Wild Japanese eel Anguilla japonica. Cells, 11(9), 1554. https://doi.org/10.3390/cells11091554
