TRPM4 Participates in Aldosterone-Salt-Induced Electrical Atrial Remodeling in Mice
Abstract
1. Introduction
2. Methods
2.1. Ethical Approval
2.2. Animal Model
2.3. Echocardiography
2.4. Electrophysiology
2.5. Plasmatic Aldosterone Measurement
2.6. Immunolabeling
2.7. Fibrosis Staining
2.8. Data Analysis
3. Results
3.1. Left Atrial Structural Remodeling
3.2. Heart Rate
3.3. Action Potential Parameters
3.4. Detection of Arrhythmias on Isolated Left Atrium
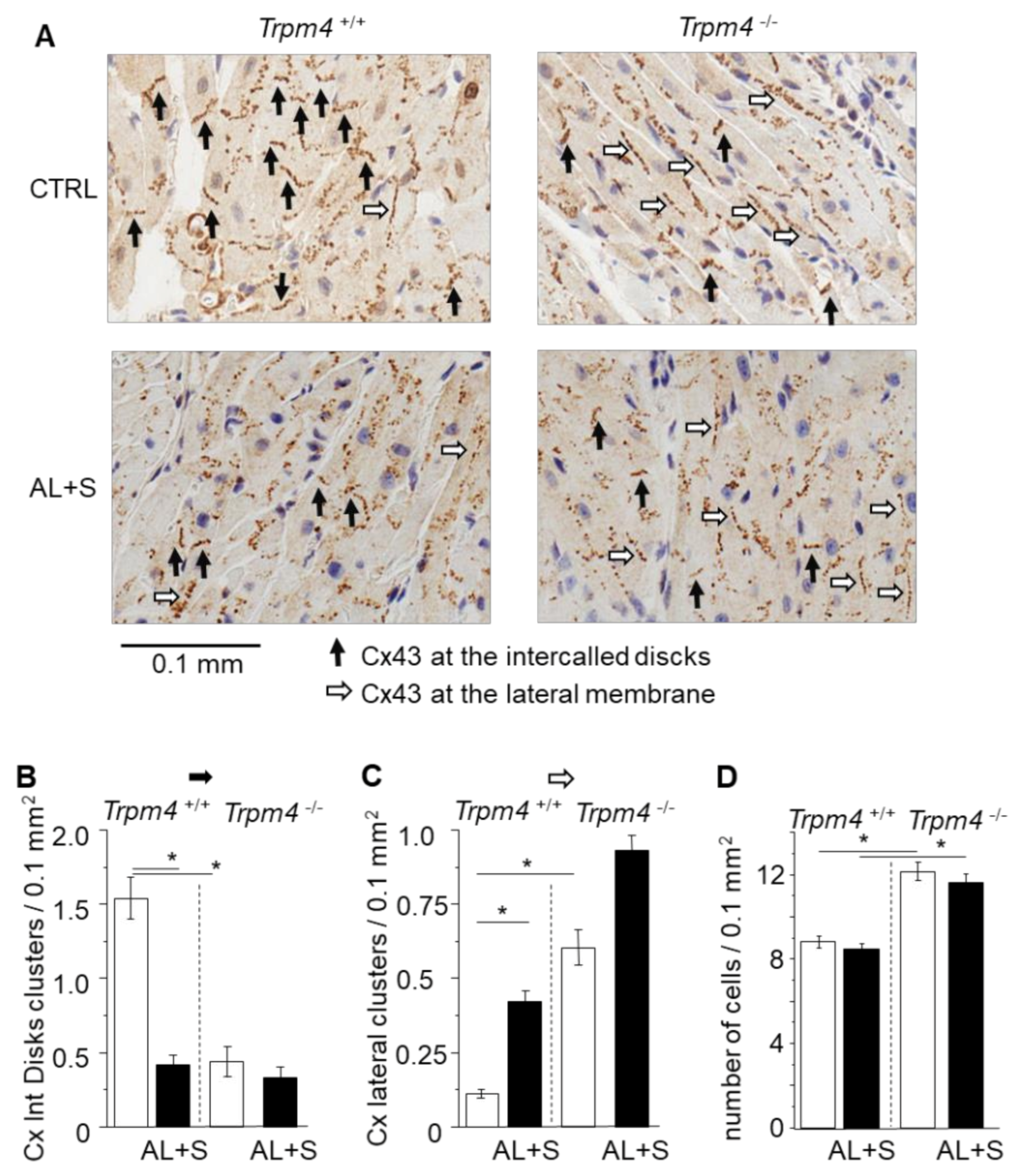
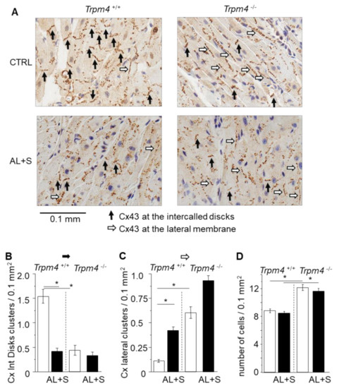
3.5. Connexin 43 Distribution
3.6. Cell Number
3.7. Endothelial Enlargement
4. Discussion
Supplementary Materials
Author Contributions
Funding
Institutional Review Board Statement
Informed Consent Statement
Data Availability Statement
Acknowledgments
Conflicts of Interest
References
- Milliez, P.; Girerd, X.; Plouin, P.F.; Blacher, J.; Safar, M.E.; Mourad, J.J. Evidence for an increased rate of cardiovascular events in patients with primary aldosteronism. J. Am. Coll. Cardiol. 2005, 45, 1243–1248. [Google Scholar] [CrossRef] [PubMed]
- Reil, J.C.; Hohl, M.; Selejan, S.; Lipp, P.; Drautz, F.; Kazakow, A.; Münz, B.M.; Müller, P.; Steendijk, P.; Reil, G.H.; et al. Aldosterone promotes atrial fibrillation. Eur. Heart. J. 2012, 33, 2098–2108. [Google Scholar] [CrossRef] [PubMed]
- Nattel, S.; Heijman, J.; Zhou, L.; Dobrev, D. Molecular basis of atrial fibrillation pathohysiology and therapy. Circ. Res. 2020, 127, 51–72. [Google Scholar] [CrossRef]
- Tsai, C.T.; Chiang, F.T.; Tseng, C.D.; Hwang, J.J.; Kuo, K.T.; Wu, C.K.; Yu, C.C.; Wang, Y.C.; Lai, L.P.; Lin, J.L. Increased expression of mineralocorticoid receptor in human atrial fibrillation and a cellular model of atrial fibrillation. J. Am. Coll. Cardiol. 2010, 55, 758–770. [Google Scholar] [CrossRef] [PubMed]
- Boixel, C.; Gavillet, B.; Rougier, J.S.; Abriel, H. Aldosterone increases voltage-gated sodium current in ventricular myocytes. Am. J. Physiol. Heart Circ. Physiol. 2006, 290, 2257–2266. [Google Scholar] [CrossRef] [PubMed]
- Perrier, E.; Kerfant, B.G.; Lalevee, N.; Bideaux, P.; Rossier, M.F.; Richard, S.; Gómez, A.M.; Benitah, J.P. Mineralocorticoid receptor antagonism prevents the electrical remodeling that precedes cellular hypertrophy after myocardial infarction. Circulation 2004, 110, 776–783. [Google Scholar] [CrossRef] [PubMed]
- Ouvrard-Pascaud, A.; Sainte-Marie, Y.; Bénitah, J.P.; Perrier, R.; Soukaseum, C.; Nguyen Dinh Cat, A.; Royer, A.; Le Quang, K.; Charpentier, F.; Demolombe, S.; et al. Conditional mineralocorticoid receptor expression in the heart leads to life-threatening arrhythmias. Circulation 2005, 111, 3025–3033. [Google Scholar] [CrossRef]
- Gómez, A.M.; Rueda, A.; Sainte-Marie, Y.; Pereira, L.; Zissimopoulos, S.; Zhu, X.; Schaub, R.; Perrier, E.; Perrier, R.; Latouche, C.; et al. Mineralocorticoid modulation of cardiac ryanodine receptor activity is associated with downregulation of FK506-binding proteins. Circulation 2009, 119, 2179–2187. [Google Scholar] [CrossRef] [PubMed]
- Qu, J.; Volpicelli, F.M.; Garcia, L.I.; Sandeep, N.; Zhang, J.; Márquez-Rosado, L.; Lampe, P.D.; Fishman, G.I. Gap junction remodeling and spironolactone-dependent reverse remodeling in the hypertrophied heart. Circ. Res. 2009, 104, 365–371. [Google Scholar] [CrossRef] [PubMed]
- Suzuki, S.; Ohkusa, T.; Sato, T.; Yoshida, M.; Yasui, K.; Miwa, K.; Lee, J.K.; Yano, M.; Kodama, I.; Matsuzaki, M. Effects of aldosterone on Cx43 gap junction expression in neonatal rat cultured cardiomyocytes. Circ. J. 2009, 73, 1504–1512. [Google Scholar] [CrossRef] [PubMed]
- Guinamard, R.; Chatelier, A.; Demion, M.; Potreau, D.; Patri, S.; Rahmati, M.; Bois, P. Functional characterization of a Ca(2+)-activated non-selective cation channel in human atrial cardiomyocytes. J. Physiol. 2004, 558, 75–83. [Google Scholar] [CrossRef]
- Demion, M.; Thireau, J.; Gueffier, M.; Finan, A.; Khoueiry, Z.; Cassan, C.; Serafini, N.; Aimond, F.; Granier, M.; Pasquié, J.L.; et al. Trpm4 gene invalidation leads to cardiac hypertrophy and electrophysiological alterations. PLoS ONE 2014, 9, e115256. [Google Scholar] [CrossRef] [PubMed]
- Mathar, I.; Jacobs, G.; Kecskes, M.; Menigoz, A.; Philippaert, K.; Vennekens, R. Trpm4. Handb. Exp. Pharmacol. 2014, 222, 461–487. [Google Scholar] [PubMed]
- Liu, H.; El Zein, L.; Kruse, M.; Guinamard, R.; Beckmann, A.; Bozio, A.; Kurtbay, G.; Mégarbané, A.; Ohmert, I.; Blaysat, G.; et al. Gain-of-function mutations in TRPM4 cause autosomal dominant isolated cardiac conduction disease. Circ. Cardiovasc. Genet. 2010, 3, 374–385. [Google Scholar] [CrossRef] [PubMed]
- Simard, C.; Hof, T.; Keddache, Z.; Launay, P.; Guinamard, R. The TRPM4 non-selective cation channel contributes to the mammalian atrial action potential. J. Mol. Cell. Cardiol. 2013, 59, 11–19. [Google Scholar] [CrossRef] [PubMed]
- Hof, T.; Chaigne, S.; Récalde, A.; Sallé, L.; Brette, F.; Guinamard, R. Transient receptor potential channels in cardiac health and disease. Nat. Rev. Cardiol. 2019, 16, 344–360. [Google Scholar] [CrossRef] [PubMed]
- Launay, P.; Fleig, A.; Perraud, A.L.; Scharenberg, A.M.; Penner, R.; Kinet, J.P. TRPM4 is a Ca2+-activated nonselective cation channel mediating cell membrane depolarization. Cell 2002, 109, 397–407. [Google Scholar] [CrossRef]
- Guinamard, R.; Bouvagnet, P.; Hof, T.; Liu, H.; Simard, C.; Sallé, L. TRPM4 in cardiac electrical activity. Cardiovasc. Res. 2015, 108, 21–30. [Google Scholar] [CrossRef] [PubMed]
- Nilius, B.; Prenen, J.; Tang, J.; Wang, C.; Owsianik, G.; Janssens, A.; Voets, T.; Zhu, M.X. Regulation of the Ca2+ sensitivity of the nonselective cation channel TRPM4. J. Biol. Chem. 2005, 280, 6423–6433. [Google Scholar] [CrossRef] [PubMed]
- Simard, C.; Sallé, L.; Rouet, R.; Guinamard, R. Transient receptor potential melastatin 4 inhibitor 9-phenanthrol abolishes arrhythmias induced by hypoxia and re-oxygenation in mouse ventricle. Br. J. Pharmacol. 2012, 165, 2354–2364. [Google Scholar] [CrossRef] [PubMed]
- Barbet, G.; Demion, M.; Moura, I.C.; Serafini, N.; Léger, T.; Vrtovsnik, F.; Monteiro, R.C.; Guinamard, R.; Kinet, J.P.; Launay, P. The calcium-activated nonselective cation channel TRPM4 is essential for the migration but not the maturation of dendritic cells. Nat. Immunol. 2008, 9, 1148–1156. [Google Scholar] [CrossRef] [PubMed]
- Brilla, C.G.; Matsubara, L.S.; Weber, K.T. Anti-aldosterone treatment and the prevention of myocardial fibrosis in primary and secondary hyperaldosteronism. J. Mol. Cell. Cardiol. 1993, 25, 563–575. [Google Scholar] [CrossRef]
- Pimenta, E.; Gordon, R.D.; Stowasser, L. Salt, aldosterone and hypertension. J. Hum. Hypertens. 2013, 27, 1–6. [Google Scholar] [CrossRef] [PubMed]
- Font, J.; Simeon, M.; Simard, C.; Allouche, S.; Plane, A.F.; Ferchaud, V.; Brionne, M.; Rouet, R.; Nowoczyn, M.; Manrique, A.; et al. PAR1 contribution in acute electrophysiological properties of oral anticoagulants in rabbit pulmonary vein sleeve preparations. Fundam. Clin. Pharmacol. 2018, 32, 378–391. [Google Scholar] [CrossRef]
- Mathar, I.; Vennekens, R.; Meissner, M.; Kees, F.; Van der Mieren, G.; Camacho Londoño, J.E.; Uhl, S.; Voets, T.; Hummel, B.; van den Bergh, A.; et al. Increased catecholamine secretion contributes to hypertension in TRPM4-deficient mice. J. Clin. Invest 2010, 120, 3267–3279. [Google Scholar] [CrossRef]
- Lammers, C.; Dartsch, T.; Brandt, M.C.; Rottländer, D.; Halbach, M.; Peinkofer, G.; Ockenpoehler, S.; Weiergraeber, M.; Schneider, T.; Reuter, H.; et al. Spironolactone prevents aldosterone induced increased duration of atrial fibrillation in rat. Cell. Physiol. Biochem. 2012, 29, 833–840. [Google Scholar] [CrossRef] [PubMed]
- Reil, J.C.; Tauchnitz, M.; Tian, Q.; Hohl, M.; Linz, D.; Oberhofer, M.; Kaestner, L.; Reil, G.H.; Thiele, H.; Steendijk, P.; et al. Hyperaldosteronism induces left atrial systolic and diastolic dysfunction. Am. J. Physiol. Heart. Circ. Physiol. 2016, 311, 1014–1023. [Google Scholar] [CrossRef] [PubMed]
- Tribulova, N.; Egan Benova, T.; Szeiffova Bacova, B.; Viczenczova, C.; Barancik, M. New apectss of pathogenesis of atrail fibrillation: Remodeling of intercalated discs. J. Physiol. Pharmacol. 2015, 66, 625–634. [Google Scholar] [PubMed]
- Hof, T.; Simard, C.; Rouet, R.; Sallé, L.; Guinamard, R. Implication of the TRPM4 nonselective cation channel in mammalian sinus rhythm. Heart Rhythm. 2013, 10, 1683–1689. [Google Scholar] [CrossRef]
- Mathar, I.; Kecskes, M.; Van der Mieren, G.; Jacobs, G.; Camacho Londoño, J.E.; Uhl, S.; Flockerzi, V.; Voets, T.; Freichel, M.; Nilius, B.; et al. Increased β-adrenergic inotropy in ventricular myocardium from Trpm4-/- mice. Circ. Res. 2014, 114, 283–294. [Google Scholar] [CrossRef] [PubMed]
- Jacobs, G.; Oosterlinck, W.; Dresselaers, T.; Geenens, R.; Kerselaers, S.; Himmelreich, U.; Herijgers, P.; Vennekens, R. Enhanced β-adrenergic cardiac reserve in Trpm4⁻/⁻ mice with ischaemic heart failure. Cardiovasc. Res. 2015, 105, 330–339. [Google Scholar] [CrossRef][Green Version]
- Kecskés, M.; Jacobs, G.; Kerselaers, S.; Syam, N.; Menigoz, A.; Vangheluwe, P.; Freichel, M.; Flockerzi, V.; Voets, T.; Vennekens, R. The Ca(2+)-activated cation channel TRPM4 is a negative regulator of angiotensin II-induced cardiac hypertrophy. Basic. Res. Cardiol. 2015, 110, 43. [Google Scholar] [CrossRef] [PubMed]
- Gueffier, M.; Zintz, J.; Lambert, K.; Finan, A.; Aimond, F.; Chakouri, N.; Hédon, C.; Granier, M.; Launay, P.; Thireau, J.; et al. The TRPM4 channel is functionally important for the beneficial cardiac remodeling induced by endurance training. J. Muscle. Res. Cell. Motil. 2017, 38, 3–16. [Google Scholar] [CrossRef]
- Hedon, C.; Lambert, K.; Chakouri, N.; Thireau, J.; Aimond, F.; Cassan, C.; Bideaux, P.; Richard, S.; Faucherre, A.; Le Guennec, J.Y.; et al. New role of TRPM4 channel in the cardiac excitation-contraction coupling in response to physiological and pathological hypertrophy in mouse. Prog. Biophys. Mol. Biol. 2021, 159, 105–117. [Google Scholar] [CrossRef]
- Chen, Z.W.; Tsai, C.H.; Pan, C.T.; Chou, C.H.; Liao, C.W.; Hung, C.S.; Wu, V.C.; Lin, Y.H. TAIPAI Study Group. Endothelial Dysfunction in Primary Aldosteronism. Int. J. Mol. Sci. 2019, 20, 5214. [Google Scholar] [CrossRef] [PubMed]
- Kusche-Vihrog, K.; Sobczak, K.; Bangel, N.; Wilhelmi, M.; Nechyporuk-Zloy, V.; Schwab, A.; Schillers, H.; Oberleithner, H. Aldosterone and amiloride alter ENaC abundance in vascular endothelium. Pflugers Arch. 2008, 455, 849–857. [Google Scholar] [CrossRef] [PubMed]
- Wulff, H.; Köhler, R. Endothelial small-conductance and intermediate-conductance KCa channels: An update on their pharmacology and usefulness as cardiovascular targets. J. Cardiovasc. Pharmacol. 2013, 61, 102–112. [Google Scholar] [CrossRef]
- Gravez, B.; Tarjus, A.; Pelloux, V.; Ouvrard-Pascaud, A.; Delcayre, C.; Samuel, J.; Clément, K.; Farman, N.; Jaisser, F.; Messaoudi, S. Aldosterone promotes cardiac endothelial cell proliferation in vivo. J. Am. Heart. Assoc. 2015, 4, e001266. [Google Scholar] [CrossRef] [PubMed]
- Gerzanich, V.; Woo, S.K.; Vennekens, R.; Tsymbalyuk, O.; Ivanova, S.; Ivanov, A.; Geng, Z.; Chen, Z.; Nilius, B.; Flockerzi, V.; et al. De novo expression of Trpm4 initiates secondary hemorrhage in spinal cord injury. Nat. Med. 2009, 15, 185–191. [Google Scholar] [CrossRef]
- Ding, X.Q.; Ban, T.; Liu, Z.Y.; Lou, J.; Tang, L.L.; Wang, J.X.; Chu, W.F.; Zhao, D.; Song, B.L.; Zhang, Z.R. Transient Receptor Potential Melastatin 4 (TRPM4) Contributes to High Salt Diet-Mediated Early-Stage Endothelial Injury. Cell. Physiol. Biochem. 2017, 41, 835–848. [Google Scholar] [CrossRef] [PubMed]
- Echeverría, C.; Montorfano, I.; Cabello-Verrugio, C.; Armisén, R.; Varela, D.; Simon, F. Suppression of transient receptor potential melastatin 4 expression promotes conversion of endothelial cells into fibroblasts via transforming growth factor/activin receptor-like kinase 5 pathway. J. Hypertens. 2015, 33, 981–992. [Google Scholar] [CrossRef] [PubMed]
- Simard, C.; Magaud, C.; Adjlane, R.; Dupas, Q.; Sallé, L.; Manrique, A.; Bois, P.; Faivre, J.F.; Guinamard, R. TRPM4 non-selective cation channel in human atrial fibroblast growth. Pflugers Arch. 2020, 472, 1719–1732. [Google Scholar] [CrossRef] [PubMed]
- Kume, O.; Teshima, Y.; Abe, I.; Ikebe, Y.; Oniki, T.; Kondo, H.; Saito, S.; Fukui, A.; Yufu, K.; Miura, M.; et al. Role of atrial endothelial cells in the development of atrial fibrosis and fibrillation in response to pressure overload. Cardiovasc. Pathol. 2017, 27, 18–25. [Google Scholar] [CrossRef] [PubMed]
Trpm4+/+-CTRL (N = 16) | Trpm4+/+-ALDO (N = 18) | Trpm4-/--CTRL (N = 8) | Trpm4-/--ALDO (N = 10) | |
---|---|---|---|---|
Left arial diameter (mm) | 1.49 ± 0.02 | 1.95 ± 0.04 * vs. +/+ CTRL | 1.63 ± 0.04 * vs. +/+ CTRL | 2.02 ± 0.4 * vs. -/- CTRL |
Diastolic Inter-ventricular septum (mm) | 0.62 ± 0.02 | 0.66 ± 0.03 | 0.78 ± 0.05 * vs. +/+ CTRL | 0.78 ± 0.04 |
Diastolic left ventricular posterior wall (mm) | 0.72 ± 0.03 | 0.74 ± 0.3 | 0.83 ± 0.06 | 0.82 ± 0.03 |
Left ventricular telediastolic volume (mL) | 0.13 ± 0.01 | 0.13 ± 0.01 | 0.15 ± 0.02 | 0.12 ± 0.01 |
Systolic septum thickness (mm) | 0.83 ± 0.03 | 0.85 ± 0.04 | 1.06 ± 0.04 * vs. +/+ CTRL | 0.98 ± 0.07 |
Systolic left ventricular posterior wall thickness (mm) | 0.86 ± 0.03 | 0.91 ± 0.04 | 1.01 ± 0.06 * vs. +/+ CTRL | 0.98 ± 0.06 |
Left ventricular telesystolic volume (mL) | 0.036 ± 0.003 | 0.041 ± 0.004 | 0.039 ± 0.002 | 0.03 ± 0.003 * vs. -/- CTRL |
Left ventricular ejection fraction (%) | 0.72 ± 0.01 | 0.70 ± 0.02 | 0.72 ± 0.03 | 0.75 ± 0.02 |
Aorta diameter (mm) | 1.52 ± 0.02 | 1.55 ± 0.02 | 1.54 ± 0.02 | 1.55 ± 0.02 |
Heart rate (bpm) | 453 ± 11 | 429 ± 9 | 455 ± 16 | 379 ± 23 * vs. -/- CTRL |
Trpm4+/+-CTRL | Trpm4+/+-ALDO | Trpm4-/--CTRL | Trpm4-/--ALDO | |
---|---|---|---|---|
Body weight (g) | 25.1 ± 0.7 (N = 15) | 27.1 ± 0.6 (N = 13) * vs. +/+ CTRL | 25.6 ± 0.6 (N = 9) | 25.7 ± 0.8 (N = 9) |
Heart weight (mg) | 121 ± 6 (N = 7) | 144 ± 13 (N = 5) | 131 ± 4 (N = 9) | 144 ± 1 (N = 6) * vs. -/- CTRL |
Tibia length (mm) | 17.9 ± 0.3 (N = 8) | 18.4 ± 0.2 (N = 9) | 18.4 ± 0.2 (N = 9) | 19 ± 0.3 (N = 9) |
Heart/tibia (mg/mm) | 6.8 ± 0.3 (N = 7) | 7.9 ± 0.8 (N = 5) | 7.1 ± 0.2 (N = 9) | 7.5 ± 0.2 (N = 6) |
Atria weight (mg) | 7.2 ± 0.7 (N = 7) | 8.4 ± 0.5 (N = 5) | 6.4 ± 0.4 (N = 9) | 8.1 ± 1 (N = 7) |
Ventricles weight (mg) | 115 ± 5 (N = 8) | 142 ± 12 (N = 6) | 125 ± 4 (N = 9) | 137 ± 1 (N = 7) * vs. -/- CTRL |
Right kidney (mg) | 212 ± 17 (N = 8) | 294 ± 24 (N = 9) * vs. +/+ CTRL | 209 ± 8 (N = 9) | 302 ± 16 (N = 9) * vs. -/- CTRL |
Lung weight (mg) | 155 ± 9 (N = 8) | 186 ± 11 (N = 8) * vs. +/+ CTRL | 158 ± 11 (N = 9) | 181 ± 11 (N = 9) |
Liver weight (mg) | 1020 ± 73 (N = 8) | 1194 ± 74 (N = 9) | 939 ± 59 (N = 9) | 1116 ± 50 (N = 9) * vs. -/- CTRL |
Publisher’s Note: MDPI stays neutral with regard to jurisdictional claims in published maps and institutional affiliations. |
© 2021 by the authors. Licensee MDPI, Basel, Switzerland. This article is an open access article distributed under the terms and conditions of the Creative Commons Attribution (CC BY) license (http://creativecommons.org/licenses/by/4.0/).
Share and Cite
Simard, C.; Ferchaud, V.; Sallé, L.; Milliez, P.; Manrique, A.; Alexandre, J.; Guinamard, R. TRPM4 Participates in Aldosterone-Salt-Induced Electrical Atrial Remodeling in Mice. Cells 2021, 10, 636. https://doi.org/10.3390/cells10030636
Simard C, Ferchaud V, Sallé L, Milliez P, Manrique A, Alexandre J, Guinamard R. TRPM4 Participates in Aldosterone-Salt-Induced Electrical Atrial Remodeling in Mice. Cells. 2021; 10(3):636. https://doi.org/10.3390/cells10030636
Chicago/Turabian StyleSimard, Christophe, Virginie Ferchaud, Laurent Sallé, Paul Milliez, Alain Manrique, Joachim Alexandre, and Romain Guinamard. 2021. "TRPM4 Participates in Aldosterone-Salt-Induced Electrical Atrial Remodeling in Mice" Cells 10, no. 3: 636. https://doi.org/10.3390/cells10030636
APA StyleSimard, C., Ferchaud, V., Sallé, L., Milliez, P., Manrique, A., Alexandre, J., & Guinamard, R. (2021). TRPM4 Participates in Aldosterone-Salt-Induced Electrical Atrial Remodeling in Mice. Cells, 10(3), 636. https://doi.org/10.3390/cells10030636