Radiologic Assessment of Osteosarcoma Lung Metastases: State of the Art and Recent Advances
Abstract
1. Introduction
2. Epidemiology and Risk Factors
3. Imaging Evaluation
3.1. Typical and Atypical Manifestation of Lung Metastases
3.2. Plain Radiography
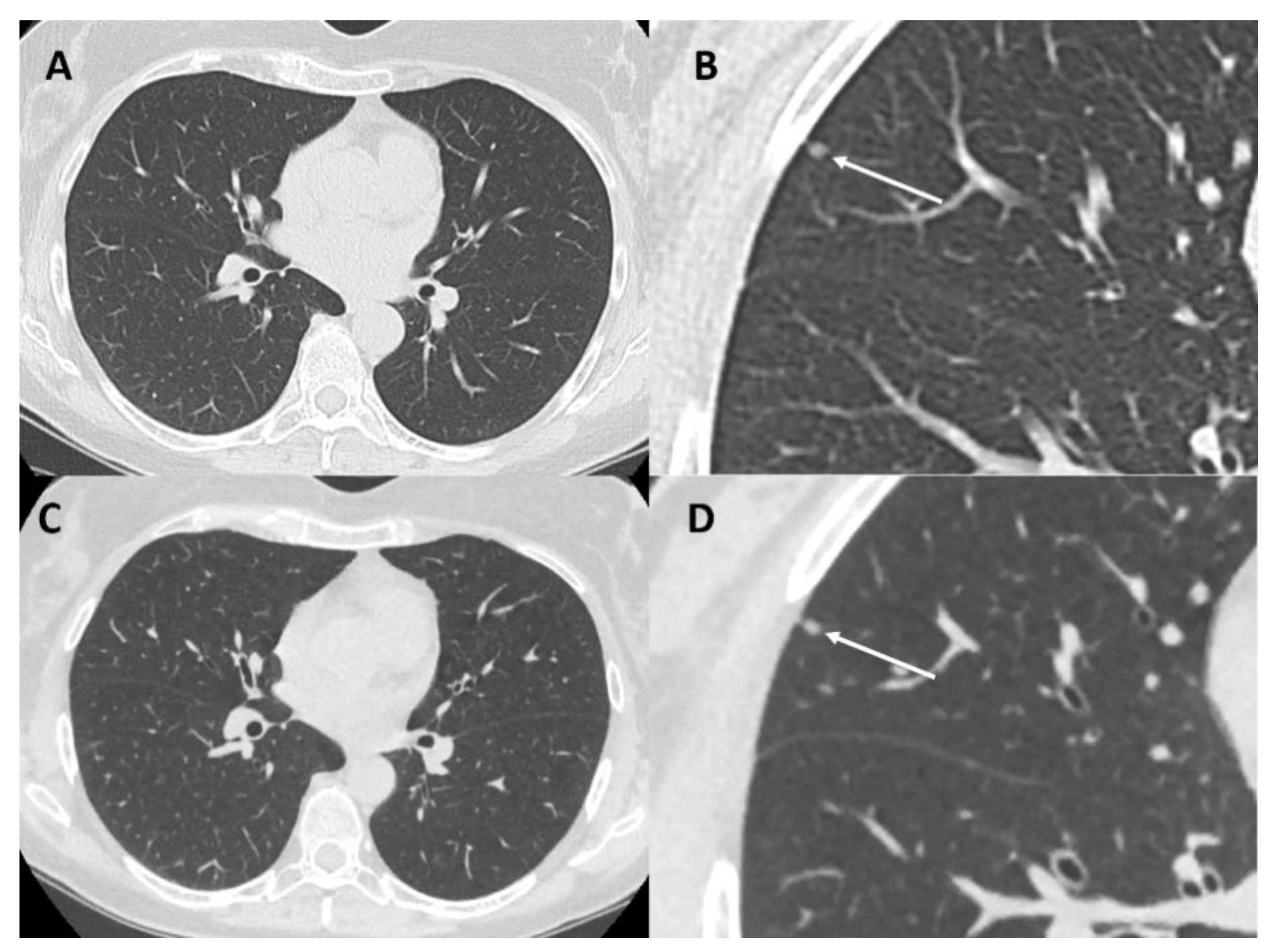
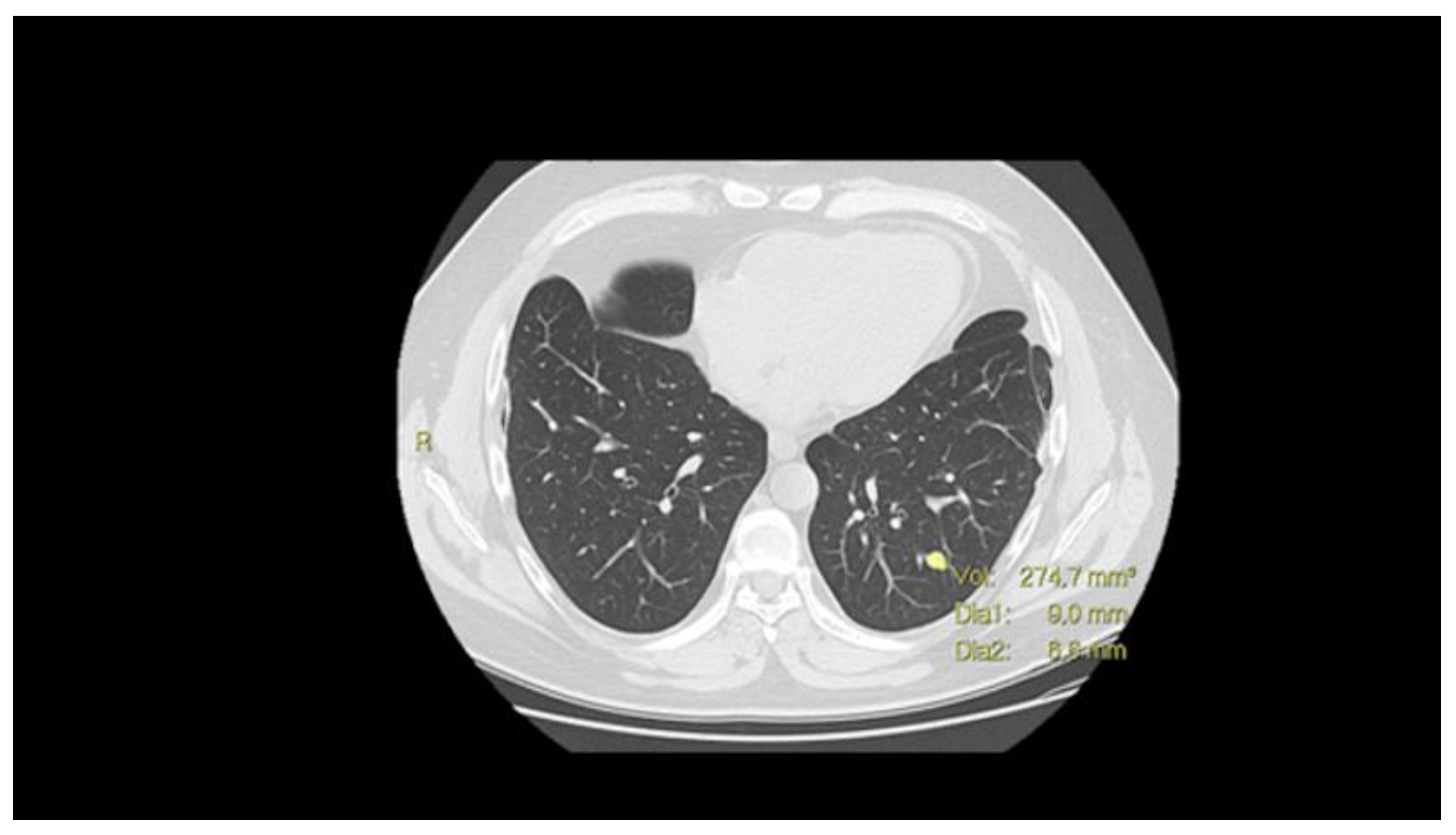
3.3. CT and Low Dose CT
3.3.1. Follow-Up and CT Evaluation
3.3.2. Volume Doubling Time (VDT)
3.3.3. Computer-Aided Diagnosis (CAD)
3.4. Positron Emission Tomography (PET)-CT
4. Conclusions
Author Contributions
Funding
Acknowledgments
Conflicts of Interest
References
- Mirabello, L.; Troisi, R.J.; Savage, S.A. Osteosarcoma incidence and survival rates from 1973 to 2004: Data from the surveillance, epidemiology, and end results program. Cancer 2009, 115, 1531–1543. [Google Scholar] [CrossRef] [PubMed]
- Isakoff, M.S.; Bielack, S.S.; Meltzer, P.; Gorlick, R. Osteosarcoma: Current treatment and a collaborative pathway to success. J. Clin. Oncol. Off. J. Am. Soc. Clin. Oncol. 2015, 33, 3029–3035. [Google Scholar] [CrossRef]
- Link, M.P.; Gebhardt, M.C.; Meyers, P.A. Osteosarcoma. In Principles and Practice of Pediatric Oncology, 4th ed.; Pizzo, P.A., Poplack, D.G., Eds.; Lippincott Williams and Wilkins: Baltimore, MD, USA, 2002; pp. 1051–1089. [Google Scholar]
- Kaste, S.C.; Pratt, C.B.; Cain, A.M.; Jones-Wallace, D.J.; Rao, B.N. Metastases detected at the time of diagnosis of primary pediatric extremity osteosarcoma at diagnosis: Imaging features. Cancer 1999, 86, 1602–1608. [Google Scholar] [CrossRef]
- Daw, N.C.; Chou, A.J.; Jaffe, N.; Rao, B.N.; Billups, C.A.; Rodriguez-Galindo, C.; Meyers, P.A.; Huh, W.W. Recurrent osteosarcoma with a single pulmonary metastasis: A multi-institutional review. Br. J. Cancer 2015, 112, 278–282. [Google Scholar] [CrossRef] [PubMed]
- Munajat, I.; Zulmi, W.; Norazman, M.Z.; Faisham, W.W. Tumour volume and lung metastasis in patients with osteosarcoma. J. Orthop. Surg. 2008, 16, 182–185. [Google Scholar] [CrossRef] [PubMed]
- Hauben, E.; Bielack, S.; Grimer, R.; Jundt, G.; Reichardt, P.; Sydes, M.; Taminiau, A.; Hogendoorn, P. Clinico-histologic parameters of osteosarcoma patients with late relapse. Eur. J. Cancer 2006, 42, 460–466. [Google Scholar] [CrossRef]
- Junior, R.Z.B.; Camargo, O.P. Prognostic factors in the survival of patients diagnosed with primary non-metastatic osteosarcoma with a poor response to neoadjuvant chemotherapy. Clinics 2009, 64, 1177–1186. [Google Scholar] [CrossRef]
- Smeland, S.; Bielack, S.S.; Whelan, J.; Bernstein, M.; Hogendoorn, P.; Krailo, M.D.; Gorlick, R.; Janeway, K.A.; Ingleby, F.C.; Anninga, J.; et al. Survival and prognosis with osteosarcoma: Outcomes in more than 2000 patients in the EURAMOS-1 (European and American Osteosarcoma Study) cohort. Eur. J. Cancer 2019, 109, 36–50. [Google Scholar] [CrossRef] [PubMed]
- Kim, M.S.; Lee, S.-Y.; Lee, T.R.; Cho, W.H.; Song, W.S.; Koh, J.-S.; Lee, J.A.; Yoo, J.Y.; Jeon, D.-G. Prognostic nomogram for predicting the 5-year probability of developing metastasis after neo-adjuvant chemotherapy and definitive surgery for AJCC stage II extremity osteosarcoma. Ann. Oncol. 2009, 20, 955–960. [Google Scholar] [CrossRef]
- Hunag, X.; Zhao, J.; Bai, J.; Shen, H.; Zhang, B.; Deng, L.; Sun, C.; Liu, Y.; Zhang, J.; Zheng, J. Risk and clinicopathological features of osteosarcoma metastasis to the lung: A population-based study. J. Bone Oncol. 2019, 16, 100230. [Google Scholar] [CrossRef] [PubMed]
- Zhou, H.; Randall, R.L.; Brothman, A.R.; Maxwell, T.; Coffin, C.M.; Goldsby, R.E. HER-2/neu expression in osteosarcoma increases risk of lung metastasis and can Be associated with gene amplification. J. Pediatric Hematol. Oncol. 2003, 25, 27–32. [Google Scholar] [CrossRef] [PubMed]
- Wang, S.; Zheng, S.; Hu, K.; Sun, H.; Zhang, J.; Rong, G.; Gao, J.; Ding, N.; Gui, B. A predictive model to estimate the pretest probability of metastasis in patients with osteosarcoma. Medicine 2017, 96, e5909. [Google Scholar] [CrossRef]
- Zhou, Y.; Lu, Q.; Xu, J.; Yan, R.; Zhu, J.; Xu, J.; Jiang, X.; Li, J.; Wu, F. The effect of pathological fractures on the prognosis of patients with osteosarcoma: A metaanalysis of 14 studies. Oncotarget 2017, 8, 73037–73049. [Google Scholar] [CrossRef] [PubMed]
- Seo, J.B.; Im, J.-G.; Goo, J.M.; Chung, M.J.; Kim, M.-Y. Atypical pulmonary metastases: Spectrum of radiologic Findings1. Radiographics 2001, 21, e17. [Google Scholar] [CrossRef] [PubMed]
- Brader, P.; Abramson, S.J.; Price, A.P.; Ishill, N.M.; Emily, Z.C.; Moskowitz, C.S.; La Quaglia, M.P.; Ginsberg, M.S.; Zabor, E.C. Do characteristics of pulmonary nodules on computed tomography inchildren with known osteosarcoma help distinguish whether the nodules aremalignant or benign? J. Pediatric Surg. 2011, 46, 729–735. [Google Scholar] [CrossRef]
- CSilva, T.; Amaral, J.G.; Moineddin, R.; Doda, W.; Babyin, P.S. CT characteristics of lung nodules present at diagnosis of extrapulmonary malignancy in children. AJR Am. J. Roentgenol. 2010, 194, 772–778. [Google Scholar] [CrossRef]
- Picci, P.; Vanel, D.; Briccoli, A.; Talle, K.; Haakenaasen, U.; Malaguti, C.; Monti, C.; Ferrari, C.; Bacci, G.; Saeter, G.; et al. Computed tomography of pulmonary metastases from osteosarcoma: The less poor technique. A study of 51 patients with histological correlation. Ann. Oncol. 2001, 12, 1601–1604. [Google Scholar] [CrossRef]
- Dudeck, O.; Zeile, M.; Andreou, D.; Schnapauff, D.; Pech, M.; Wieners, G.; Ricke, J.; Reichardt, P.; Tunn, P.-U. Computed tomographic criteria for the discrimination of subcentimeter lung nodules in patients with soft-tissue sarcomas. Clin. Imaging 2011, 35, 174–179. [Google Scholar] [CrossRef]
- Rothermundt, C.; Seddon, B.M.; Dileo, P.; Strauss, S.J.; Coleman, J.; Briggs, T.W.; Haile, S.R.; Whelan, J.S. Follow-up practices for high-grade extremity Osteosarcoma Rothermundt et al. BMC Cancer 2016, 16, 301. [Google Scholar] [CrossRef] [PubMed]
- Ciccarese, F.; Bazzocchi, A.; Ciminari, R.; Righi, A.; Rocca, M.; Rimondi, E.; Picci, P.; Reggiani, M.L.B.; Albisinni, U.; Zompatori, M.; et al. The many faces of pulmonary metastases of osteosarcoma: Retrospective study on 283 lesions submitted to surgery. Eur. J. Radiol. 2015, 84, 2679–2685. [Google Scholar] [CrossRef]
- Rimondi, E.; Pelotti, P.; Ciminari, R. Spontaneous pneumothorax in patients with osteosarcoma treated by combined chemotherapy. Minerva Med. 1989, 80, 1215–1217. [Google Scholar]
- McCarville, M.B.; Kaste, S.C.; Cain, A.M.; Goloubeva, O.; Rao, B.N.; Pratt, C.B. Prognostic factors and imaging patterns of recurrent pulmonary nodules after thoracotomy in children with osteosarcoma. Cancer 2001, 91, 1170–1176. [Google Scholar] [CrossRef]
- Goel, A.; Christy, M.E.; Virgo, K.S.; Kraybill, W.G.; Johnson, F.E. Costs of follow-up after potentially curative treatment for extremity soft-tissue sarcoma. Int. J. Oncol. 2004, 25, 429–435. [Google Scholar] [CrossRef]
- Vanel, D.; Henry-Amar, M.; Lumbroso, J.; Lemalet, E.; Couanet, D.; Piekarski, J.D.; Masselot, J.; Boddaert, A.; Kalifa, C.; Le Chevalier, T.; et al. Pulmonary evaluation of patients with osteosarcoma: Roles of standard radiography, tomography, CT, scintigraphy, and tomoscintigraphy. AJR Am. J. Roentgenol. 1984, 143, 519–523. [Google Scholar] [CrossRef]
- Fahimi, J.; Herring, A.; Harries, A.; Gonzales, R.; Alter, H. Computed tomography use among children presenting to emergency departments with abdominal pain. Pediatrics 2012, 130, e1069–e1075. [Google Scholar] [CrossRef]
- McCarville, M.B.; Lederman, H.M.; Santana, V.M.; Daw, N.C.; Shochat, S.J.; Li, C.-S.; Kaufman, R.A. Distinguishing benign from malignant pulmonary nodules with helical chest CT in children with malignant solid tumors. Radiology 2006, 239, 514–520. [Google Scholar] [CrossRef]
- Kayton, M.L.; Huvos, A.G.; Casher, J.; Abramson, S.J.; Rosen, N.S.; Wexler, L.H.; Meyers, P.; LaQuaglia, M.P. Computed tomographic scan of the chest underestimates the number of metastatic lesions in osteosarcoma. J. Pediatric Surg. 2006, 41, 200–206. [Google Scholar] [CrossRef]
- Shikada, Y.; Yano, T.; Maruyama, R.; Takenoyama, M.; Maehara, Y. Effective utilization of chest x-ray for follow-up of metastatic lung tumor due to soft tissue sarcoma. Ann. Thorac. Cardiovasc. Surg. 2013, 19, 103–106. [Google Scholar] [CrossRef][Green Version]
- Davis, S.D. CT evaluation for pulmonary metastases in patients with extrathoracic malignancy. Radiology 1991, 180, 1–12. [Google Scholar] [CrossRef]
- Puri, A.; Gulia, A.; Hawaldar, R.; Ranganathan, P.; Badwe, R.A. Does intensity of surveillance affect survival after surgery for sarcomas? Results of a randomized noninferiority trial. Clin. Orthop. Relat. Res. 2014, 472, 1568–1575. [Google Scholar] [CrossRef]
- Paioli, A.; Rocca, M.; Cevolani, L.; Rimondi, E.; Vanel, D.; Palmerini, E.; Cesari, M.; Longhi, A.; Eraldo, A.M.; Marchesi, E.; et al. Osteosarcoma follow-up: Chest X-ray or computed tomography? Clin. Sarcoma Res. 2017, 7, 3. [Google Scholar] [CrossRef]
- Shields, T.W. General features and complications of pulmonary resections. In General Thoracic Surgery, 4th ed.; Shields, T.W., Ed.; Williams & Wilkins: Philadelphia, PA, USA, 1994; Volume 1, pp. 401–414. [Google Scholar]
- Bielack, S.S.; Hecker-Nolting, S.; Blattmann, C.; Kager, L. Advances in the management of osteosarcoma [version 1; peer review: 2 approved]. Version 1. F1000Research 2016, 5, 2767. [Google Scholar] [CrossRef] [PubMed]
- Meyer, J.S.; Nadel, H.R.; Marina, N.; Womer, R.B.; Brown, K.L.; Eary, J.F.; Gorlick, R.; Grier, H.E.; Randall, R.L.; Lawlor, E.R.; et al. Imaging guidelines for children with Ewing sarcoma and osteosarcoma: A report from the Children’s Oncology Group Bone Tumor Committee. Pediatric Blood Cancer 2008, 51, 163–170. [Google Scholar] [CrossRef] [PubMed]
- Parsons, A.M.; Detterbeck, F.C.; Parker, L.A. Accuracy of helical CT in the detection of pulmonary metastases: Is intraoperative palpation still necessary? Ann. Thorac. Surg. 2004, 78, 1910–1918. [Google Scholar] [CrossRef]
- Heaton, T.E.; Hammond, W.J.; Farber, B.A.; Pallos, V.; Meyers, P.A.; Chou, A.J.; Price, A.P.; LaQuaglia, M.P. A 20-year retrospective analysis of CT-based pre-operative identification of pulmonary metastases in patients with osteosarcoma: A single-center review. J. Pediatric Surg. 2017, 52, 115–119. [Google Scholar] [CrossRef]
- Detterbeck, F.C.; Grodzki, T.; Gleeson, F.; Robert, J.H. Imaging requirements in the practice of pulmonary metastasectomy. J. Thorac. Oncol. 2010, 5 (Suppl. 2), S134–S139. [Google Scholar] [CrossRef] [PubMed]
- Pfannschmidt, J.; Bischoff, M.; Muley, T.; Kunz, J.; Zamecnik, P.; A Schnabel, P.; Hoffmann, H.; Dienemann, H.; Heussel, C.P. Diagnosis of pulmonary metastases with helical CT: The effect of imaging techniques. Thorac. Cardiovasc. Surg. 2008, 56, 471–475. [Google Scholar] [CrossRef] [PubMed]
- Brenner, D.J.; Elliston, C.D.; Hall, E.J.; Berdon, W.E. Estimated risks of radiation induced fatal cancer from pediatric CT. Am. J. Roentgenol. 2001, 176, 289–296. [Google Scholar] [CrossRef]
- Danley, K.; Sane, N.P.; Kent, P.M. Radiation exposure in pediatric sarcoma patients receiving initial curative chemotherapy. J Pediatric Hematol. Oncol. 2020, 42, e7–e11. [Google Scholar] [CrossRef] [PubMed]
- Macias, C.G.; Sahouria, J.J. The appropriate use of CT: Quality improvement and clinical decision-making in pediatric emergency medicine. Pediatric Radiol. 2011, 41 (Suppl. 2), 498–504. [Google Scholar] [CrossRef]
- Menoch, M.J.A.; Hirsh, D.A.; Khan, N.S.; Simon, H.K.; Sturm, J.J. Trends in computed tomography utilization in the pediatric emergency department. Pediatrics 2012, 129, e690–e697. [Google Scholar] [CrossRef]
- Deák, Z.; Grimm, J.M.; Treitl, M.; Geyer, L.L.; Linsenmaier, U.; Körner, M.; Reiser, M.F.; Wirth, S. Filtered back projection, adaptive statistical iterative reconstruction, and a model-based iterative reconstruction in abdominal CT: An experimental clinical study. Radiology 2013, 266, 197–206. [Google Scholar] [CrossRef]
- Silva, A.C.; Lawder, H.J.; Hara, A.; Kujak, J.; Pavlicek, W. Innovations in CT dose reduction strategy: Application of the adaptive statistical iterative reconstruction algorithm. AJR Am. J. Roentgenol. 2010, 194, 191e9. [Google Scholar] [CrossRef]
- Shin, H.O.; Falck, C.V.; Galanski, M. Low-contrast detectability in volume rendering: A phantom study on multidetector-row spiral CT data. Eur. Radiol. 2004, 14, 341e9. [Google Scholar] [CrossRef]
- Thibault, J.-B. Veo: CT Model-Based Iterative Reconstruction. 2010. Available online: http://www.gehealthcare.com (accessed on 10 September 2013).
- Kim, H.J.; Yoo, S.-Y.; Jeon, T.Y.; Kim, J.H. Model-based iterative reconstruction in ultra-low-dose pediatric chest CT: Comparison with adaptive statistical iterative reconstruction. Clin. Imaging 2016, 40, 1018–1022. [Google Scholar] [CrossRef]
- Singh, S.; Kalra, M.K.; Gilman, M.D.; Hsieh, J.; Pien, H.H.; Digumarthy, S.R.; Shepard, J.-A.O. Adaptive statistical iterative reconstruction technique for radiation dose reduction in chest CT: A pilot study. Radiology 2011, 259, 565–573. [Google Scholar] [CrossRef]
- Yamada, Y.; Jinzaki, M.; Tanami, Y.; Shiomi, E.; Sugiura, H.; Abe, T.; Kuribayashi, S. Model based iterative reconstruction technique for ultralow-dose computed tomography of the lung: A pilot study. Investig. Radiol. 2012, 47, 482–489. [Google Scholar] [CrossRef]
- Gordic, S.; Morsbach, F.; Schmidt, B.; Allmendinger, T.; Flohr, T.; Husarik, D.; Baumueller, S.; Raupach, R.; Stolzmann, P.; Leschka, S.; et al. Ultra-low-dose chest computed tomography for pulmonary nodule detection: First performance evaluation of single energy scanning with spectral shaping. Investig. Radiol. 2014, 49, 465–473. [Google Scholar] [CrossRef]
- Akagi, M.; Nakamura, Y.; Higaki, T.; Narita, K.; Honda, Y.; Zhou, J.; Yu, Z.; Akino, N.; Awai, K. Deep learning reconstruction improves image quality of abdominal ultra-high-resolution CT. Eur. Radiol. 2019, 29, 6163–6171. [Google Scholar] [CrossRef]
- Kim, J.H.; Yoon, H.J.; Lee, E.; Kim, I.; Cha, Y.K.; Bak, S.H. Validation of deep-learning image reconstruction for low-dose chest computed tomography scan: Emphasis on image quality and noise. Korean J. Radiol. 2020, 21, e120. [Google Scholar] [CrossRef]
- Kempf-Bielack, B.; Bielack, S.S.; Jürgens, H.; Branscheid, D.; Berdel, W.E.; Exner, G.U.; Göbel, U.; Helmke, K.; Jundt, G.; Kabisch, H.; et al. Osteosarcoma relapse after combined modality therapy: An analysis of unselected patients in the Cooperative Osteosarcoma Study Group (COSS). J. Clin. Oncol. 2005, 23, 559–568. [Google Scholar] [CrossRef]
- Chen, F.; Miyahara, R.; Bando, T.; Okubo, K.; Watanabe, K.; Nakayama, T.; Toguchida, J.; Date, H. Repeat resection of pulmonary metastasis is beneficial for patients with osteosarcoma of the extremities. Inst. Rep. Thorac. Oncol. Interact. Cardiovasc. Thoracic Surg. 2009, 9, 649–653. [Google Scholar] [CrossRef]
- Casali, P.; Bielack, S.; Abecassis, N.; Aro, H.; Bauer, S.; Biagini, R.; Bonvalot, S.; Boukovinas, I.; Bovee, J.V.M.G.; Brennan, B.; et al. Bone sarcomas: ESMO–PaedCan–EURACAN clinical practice guidelines for diagnosis, treatment and follow-up. Ann. Oncol. 2018, 29 (Suppl. 4), iv79–iv95. [Google Scholar] [CrossRef]
- Cipriano, C.; Brockman, L.; Romancik, J.; Hartemayer, R.; Ording, J.; Ginder, C.; Krier, J.; Gitelis, S.; Kent, P. The clinical significance of initial pulmonary micronodules in young sarcoma patients. J. Pediatric Hematol. Oncol. 2015, 37, 548–553. [Google Scholar] [CrossRef]
- Hayes, S.A.; Pietanza, M.C.; O’Driscoll, D.; Zheng, J.; Moskowitz, C.S.; Kris, M.G.; Ginsberg, M.S. Comparison of CT volumetric measurement with RECIST response in patients with lung cancer. Eur. J. Radiol. 2016, 85, 524–533. [Google Scholar] [CrossRef]
- Oudkerk, M.; Devaraj, A.; Vliegenthart, R.; Henzler, T.; Prosch, H.; Heussel, C.P.; Bastarrika, G.; Sverzellati, N.; Mascalchi, M.; Delorme, S.; et al. European position statement on lung cancer screening. Lancet Oncol. 2017, 18, e754–e766. [Google Scholar] [CrossRef]
- Spinnato, P. Low-dose computed tomography screening proposal for the “Big-3 Diseases”: Lung cancer, chronic obstructive pulmonary disease, and cardiovascular disease. Acad. Radiol. 2021, 28, 46–48. [Google Scholar] [CrossRef]
- Nakamura, T.; Matsumine, A.; Matsubara, T.; Asanuma, K.; Uchida, A.; Sudo, A. Clinical impact of the tumor volume doubling time on sarcoma patients with lung metastases. Clin. Exp. Metastasis 2011, 28, 819–825. [Google Scholar] [CrossRef]
- Doi, K. Computer-aided diagnosis in medical imaging: Historical review, current status and future potential. Comput. Med. Imaging Graph. 2007, 31, 198–211. [Google Scholar] [CrossRef]
- Zhang, Y.; Oikonomou, A.; Wong, A.; Haider, M.A.; Khalvati, F. Radiomics-based prognosis analysis for non-small cell lung cancer. Sci. Rep. 2017, 7, 46349. [Google Scholar] [CrossRef]
- Shariaty, F.; Mousavi, M. Application of CAD systems for the automatic detection of lung nodules. Inform. Med. Unlocked 2019, 15, 100173. [Google Scholar] [CrossRef]
- Jacobs, C.; van Rikxoort, E.M.; Twellmann, T.; Scholten, E.T.; de Jong, P.A.; Kuhnigk, J.M.; Oudkerk, M.; de Koning, H.J.; Prokop, M.; Schaefer-Prokop, C.; et al. Automatic detection of subsolid pulmonary nodules in thoracic computed tomography images. Med. Image Anal. 2014, 18, 374–384. [Google Scholar] [CrossRef]
- Drew, T.; Vo, M.L.-H.; Olwal, A.; Jacobson, F.; Seltzer, S.E.; Wolfe, J.M. Scanners and drillers: Characterizing expert visual search through volumetric images. J. Vis. 2013, 13, 1–13. [Google Scholar] [CrossRef]
- Doi, K. Current status and future potential of computer-aided diagnosis in medical imaging. Br. J. Radiol. 2005, 78 (Suppl. 1), s3–s19. [Google Scholar] [CrossRef]
- Van Ginneken, B.; Schaefer-Prokop, C.M.; Prokop, M. Computer-aided diagnosis: How to move from the laboratory to the clinic. Radiology 2011, 261, 719–732. [Google Scholar] [CrossRef]
- Jungheum, C.; Jihang, K.; Kyong, J.L.; Chang, M.N.; Sung, H.Y.; Hwayoung, S.; Junghoon, K.; Ye Ra, C.; Kyung, H.L.; Kyung, W.L. Incidence lung cancer after a negative ct screening in the national lung screening trial: Deep learning-based detection of missed lung cancers. J. Clin. Med. 2020, 9, 3908. [Google Scholar] [CrossRef]
- Douglas, J.H.; Marguerite, T.P.; Hedieh, K.; Barry, L.S. PET with 18F-Fluorodeoxyglucose/Computed Tomography in the Management of Pediatric Sarcoma. PET Clin. 2020, 15, 333–347. [Google Scholar] [CrossRef]
- Adler, S.; Seidel, J.; Choyke, P.; VKnopp, M.; Binzel, K.; Zhang, J.; Barker, C.; Conant, S.; Maass-Moreno, R. Minimum lesion detectability as a measure of PET system performance. EJNMMI Phys. 2017, 4, 13. [Google Scholar] [CrossRef]
- Polverari, G.; Ceci, F.; Passera, R.; Crane, J.; Du, L.; Li, G.; Fanti, S.; Bernthal, N.; Eilber, F.C.; Allen-Auerbach, M.; et al. [18F]FDG PET/CT for evaluating early response to neoadjuvant chemotherapy in pediatric patients with sarcoma: A prospective single-center trial. EJNMMI Res. 2020, 10, 122. [Google Scholar] [CrossRef]
- Harrison, D.J.; Parisi, M.T.; Shulkin, B.L. The role of 18F-FDG-PET/CT in pediatric sarcoma. Semin. Nucl. Med. 2017, 47, 229–241. [Google Scholar] [CrossRef] [PubMed]



| Small Lesion Detection (<1 cm) | Response to Treatments Evaluation | Prognostic Relevance | Costs | X-rays Exposure | Indication of Use | |
|---|---|---|---|---|---|---|
| X-ray | − | +/− | +/− | +/− | +/− | CA, PM |
| CT | +++ | ++ | ++ | + | ++ | S, CTR, F, CA, PM |
| Low-dose CT | ++ | ++ | ++ | + | +/− | F, CTR, CA, PM |
| PET-CT | ||||||
| +/− | +++ | +++ | ++ | +++ | S, CTR, C |
Publisher’s Note: MDPI stays neutral with regard to jurisdictional claims in published maps and institutional affiliations. |
© 2021 by the authors. Licensee MDPI, Basel, Switzerland. This article is an open access article distributed under the terms and conditions of the Creative Commons Attribution (CC BY) license (http://creativecommons.org/licenses/by/4.0/).
Share and Cite
Chiesa, A.M.; Spinnato, P.; Miceli, M.; Facchini, G. Radiologic Assessment of Osteosarcoma Lung Metastases: State of the Art and Recent Advances. Cells 2021, 10, 553. https://doi.org/10.3390/cells10030553
Chiesa AM, Spinnato P, Miceli M, Facchini G. Radiologic Assessment of Osteosarcoma Lung Metastases: State of the Art and Recent Advances. Cells. 2021; 10(3):553. https://doi.org/10.3390/cells10030553
Chicago/Turabian StyleChiesa, Anna Maria, Paolo Spinnato, Marco Miceli, and Giancarlo Facchini. 2021. "Radiologic Assessment of Osteosarcoma Lung Metastases: State of the Art and Recent Advances" Cells 10, no. 3: 553. https://doi.org/10.3390/cells10030553
APA StyleChiesa, A. M., Spinnato, P., Miceli, M., & Facchini, G. (2021). Radiologic Assessment of Osteosarcoma Lung Metastases: State of the Art and Recent Advances. Cells, 10(3), 553. https://doi.org/10.3390/cells10030553

