Role of Heme-Oxygenase-1 in Biology of Cardiomyocytes Derived from Human Induced Pluripotent Stem Cells
Abstract
1. Introduction
2. Materials and Methods
2.1. Differentiation of hiPSCs into Cardiomyocytes
2.2. Karyotyping
2.3. Generation of HO-1 KO hiPSCs
2.4. Western Blot
2.5. Immunofluorescence Analysis
2.6. RNA Isolation and qRT-PCR
2.7. Oxygen Consumption Rate (OCR)—Seahorse Assay
2.8. Mitochondrial Membrane Activity—TMRM Assay
2.9. Transcriptome Analysis
2.10. Patch-Clamp Analysis
2.11. Cell Size Measurement
2.12. Statistical Analysis
3. Results
3.1. Generation of HO-1 KO hiPSCs Lines
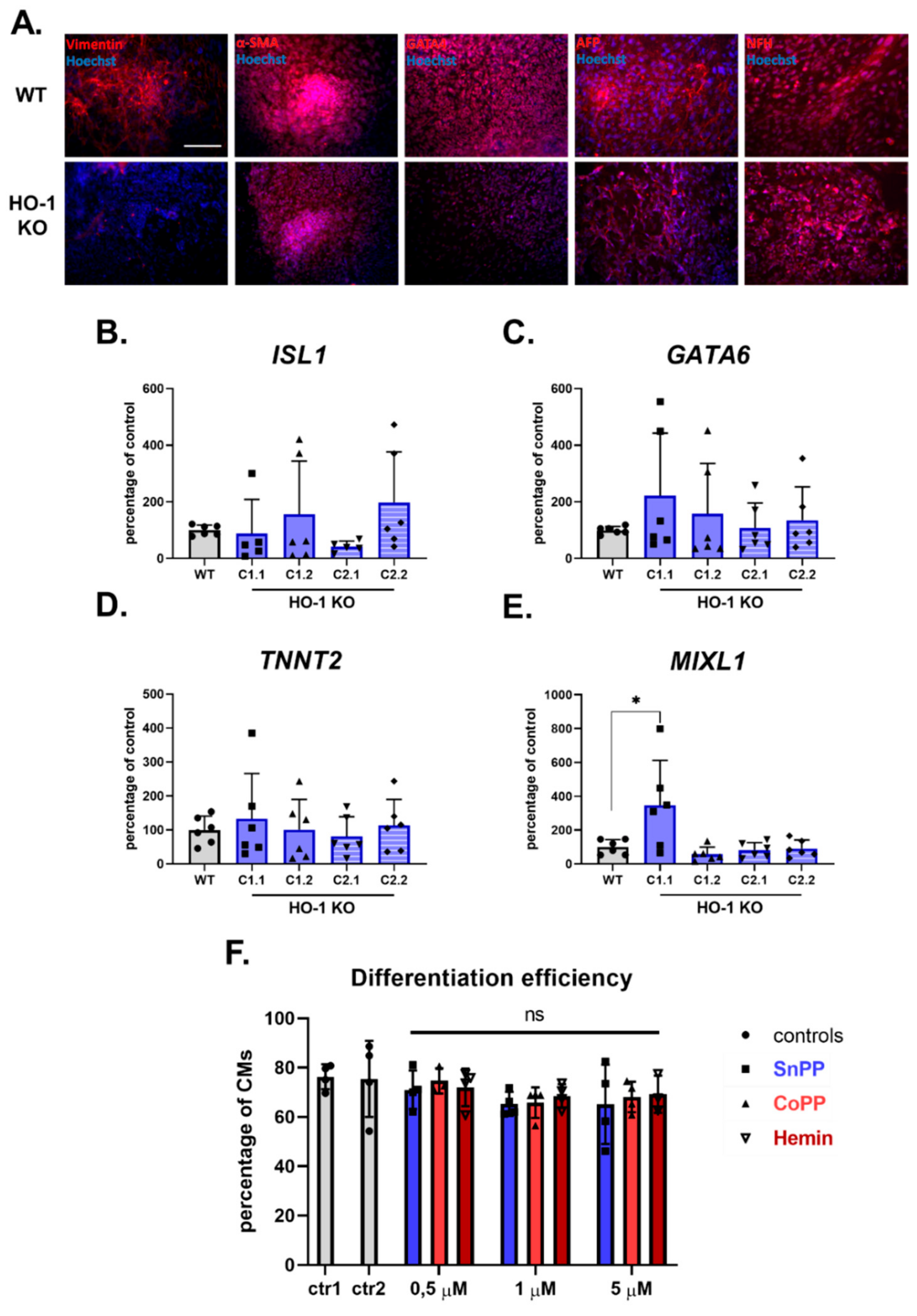
3.2. Verifying Level of GATA6 and Pluripotency of HO-1 KO hiPSC Clones
3.3. HO-1 Does Not Influence Cardiomyocyte Differentiation Efficiency
3.4. HO-1 Induction by CoPP Stimulation Does Not Influence the Metabolism of hiPSC-CMs
3.5. Transcriptome Analysis of WT and HO-1 KO hiPSCs and hiPSC-CMs
3.6. Altered Ion Channel Expression in HO-1 KO hiPSC-CMs
3.7. Shortened Action Potential Duration in HO-1 KO hiPSC-CMs
3.8. Effect of CoPP on Electrophysiological Properties of WT and HO-1 KO hiPSC-CMs
3.9. Regeneration Pathway and Cell Size of HO-1 KO hiPSC-CMs
4. Discussion
4.1. HO-1 Does Not Influence the Stemness of hiPSCs
4.2. HO-1 Does Not Influence the Differentiation Efficiency of hiPSCs into Cardiomyocytes
4.3. HO-1 Does Not Influence the Metabolic Activity of hiPSC-CMs
4.4. HO-1 Alters Electrophysiological Properties of hiPSC-CMs
5. Conclusions
Supplementary Materials
Author Contributions
Funding
Institutional Review Board Statement
Informed Consent Statement
Data Availability Statement
Acknowledgments
Conflicts of Interest
References
- Roth, G.A.; Johnson, C.; Abajobir, A.; Abd-Allah, F.; Abera, S.F.; Abyu, G.; Ahmed, M.; Aksut, B.; Alam, T.; Alam, K.; et al. Global, Regional, and National Burden of Cardiovascular Diseases for 10 Causes, 1990 to 2015. J. Am. Coll. Cardiol. 2017, 70, 1–25. [Google Scholar] [CrossRef]
- Murry, C.E.; Reinecke, H.; Pabon, L.M. Regeneration Gaps. J. Am. Coll. Cardiol. 2006, 47, 1777–1785. [Google Scholar] [CrossRef]
- Richardson, W.J.; Clarke, S.A.; Quinn, T.A.; Holmes, J.W. Physiological Implications of Myocardial Scar Structure. Compr. Physiol. 2015, 5, 1877–1909. [Google Scholar] [CrossRef] [PubMed]
- Takahashi, K.; Tanabe, K.; Ohnuki, M.; Narita, M.; Ichisaka, T.; Tomoda, K.; Yamanaka, S. Induction of Pluripotent Stem Cells from Adult Human Fibroblasts by Defined Factors. Cell 2007, 131, 861–872. [Google Scholar] [CrossRef]
- Kunisato, A.; Wakatsuki, M.; Shinba, H.; Ota, T.; Ishida, I.; Nagao, K. Direct Generation of Induced Pluripotent Stem Cells from Human Nonmobilized Blood. Stem Cells Dev. 2011, 20, 159–168. [Google Scholar] [CrossRef] [PubMed]
- Zhou, T.; Benda, C.; Duzinger, S.; Huang, Y.; Li, X.; Li, Y.; Guo, X.; Cao, G.; Chen, S.; Hao, L.; et al. Generation of Induced Pluripotent Stem Cells from Urine. J. Am. Soc. Nephrol. 2011, 22, 1221–1228. [Google Scholar] [CrossRef]
- Lian, X.; Zhang, J.; Azarin, S.M.; Zhu, K.; Hazeltine, L.B.; Bao, X.; Hsiao, C.; Kamp, T.J.; Palecek, S.P. Directed Cardiomyocyte Differentiation from Human Pluripotent Stem Cells by Modulating Wnt/β-Catenin Signaling under Fully Defined Conditions. Nat. Protoc. 2013, 8, 162–175. [Google Scholar] [CrossRef]
- Lian, X.; Bao, X.; Zilberter, M.; Westman, M.; Fisahn, A.; Hsiao, C.; Hazeltine, L.B.; Dunn, K.K.; Kamp, T.J.; Palecek, S.P. Chemically Defined, Albumin-Free Human Cardiomyocyte Generation. Nat. Methods 2015, 12, 595–596. [Google Scholar] [CrossRef] [PubMed]
- Van Den Berg, C.W.; Okawa, S.; Chuva De Sousa Lopes, S.M.; Van Iperen, L.; Passier, R.; Braam, S.R.; Tertoolen, L.G.; Del Sol, A.; Davis, R.P.; Mummery, C.L. Transcriptome of Human Foetal Heart Compared with Cardiomyocytes from Pluripotent Stem Cells. Development 2015, 142, 3231–3238. [Google Scholar] [CrossRef]
- Meyer, T.; Tiburcy, M.; Zimmermann, W.H. Cardiac Macrotissues-on-a-Plate Models for Phenotypic Drug Screens. Adv. Drug Deliv. Rev. 2019, 140, 93–100. [Google Scholar] [CrossRef] [PubMed]
- Dulak, J.; Deshane, J.; Jozkowicz, A.; Agarwal, A. Heme Oxygenase-1 and Carbon Monoxide in Vascular Pathobiology: Focus on Angiogenesis. Circulation 2008, 117, 231–241. [Google Scholar] [CrossRef]
- Pachori, A.S.; Melo, L.G.; Zhang, L.; Solomon, S.D.; Dzau, V.J. Chronic Recurrent Myocardial Ischemic Injury Is Significantly Attenuated by Pre-Emptive Adeno-Associated Virus Heme Oxygenase-1 Gene Delivery. J. Am. Coll. Cardiol. 2006, 47, 635–643. [Google Scholar] [CrossRef]
- Kozakowska, M.; Szade, K.; Dulak, J.; Jozkowicz, A. Role of Heme Oxygenase-1 in Postnatal Differentiation of Stem Cells: A Possible Cross-Talk with MicroRNAs. Antioxid. Redox Signal. 2014, 20, 1827–1850. [Google Scholar] [CrossRef]
- Piantadosi, C.A.; Carraway, M.S.; Babiker, A.; Suliman, H.B. Heme Oxygenase-1 Regulates Cardiac Mitochondrial Biogenesis via Nrf2-Mediated Transcriptional Control of Nuclear Respiratory Factor-1. Circ. Res. 2008, 103, 1232–1240. [Google Scholar] [CrossRef] [PubMed]
- Stepniewski, J.; Pacholczak, T.; Skrzypczyk, A.; Ciesla, M.; Szade, A.; Szade, K.; Bidanel, R.; Langrzyk, A.; Grochowski, R.; Vandermeeren, F.; et al. Heme Oxygenase-1 Affects Generation and Spontaneous Cardiac Differentiation of Induced Pluripotent Stem Cells. IUBMB Life 2018, 70, 129–142. [Google Scholar] [CrossRef] [PubMed]
- Tomczyk, M.; Kraszewska, I.; Szade, K.; Bukowska-Strakova, K.; Meloni, M.; Jozkowicz, A.; Dulak, J.; Jazwa, A. Splenic Ly6Chi Monocytes Contribute to Adverse Late Post-Ischemic Left Ventricular Remodeling in Heme Oxygenase-1 Deficient Mice. Basic Res. Cardiol. 2017, 112. [Google Scholar] [CrossRef]
- Stępniewski, J.; Tomczyk, M.; Andrysiak, K.; Kraszewska, I.; Martyniak, A.; Langrzyk, A.; Kulik, K.; Wiśniewska, E.; Jeż, M.; Florczyk-Soluch, U.; et al. Human Induced Pluripotent Stem Cell-Derived Cardiomyocytes, in Contrast to Adipose Tissue-Derived Stromal Cells, Efficiently Improve Heart Function in Murine Model of Myocardial Infarction. Biomedicines 2020, 8, 578. [Google Scholar] [CrossRef]
- Kachamakova-trojanowska, N.; Stepniewski, J.; Dulak, J. Mutation in HNF1A as a Model of Maturity-Onset Diabetes of the Young. Cells 2019, 8, 1440. [Google Scholar] [CrossRef]
- Sharma, A.; Li, G.; Rajarajan, K.; Hamaguchi, R.; Burridge, P.W.; Wu, S.M. Derivation of Highly Purified Cardiomyocytes from Human Induced Pluripotent Stem Cells Using Small Molecule-Modulated Differentiation and Subsequent Glucose Starvation. J. Vis. Exp. JoVE 2015. [Google Scholar] [CrossRef] [PubMed]
- Kraszewska, I.; Tomczyk, M.; Andrysiak, K.; Biniecka, M.; Geisler, A.; Fechner, H.; Zembala, M.; Stępniewski, J.; Dulak, J.; Jaźwa-Kusior, A. Variability in Cardiac MiRNA-122 Level Determines Therapeutic Potential of MiRNA-Regulated AAV Vectors. Mol. Ther. Methods Clin. Dev. 2020, 17, 1190–1201. [Google Scholar] [CrossRef]
- Czarnek, M.; Bereta, J. SmartFlares Fail to Reflect Their Target Transcripts Levels. Sci. Rep. 2017, 7, 1–10. [Google Scholar] [CrossRef] [PubMed]
- Jez, M.; Ciesla, M.; Stepniewski, J.; Langrzyk, A.; Muchova, L.; Vitek, L.; Jozkowicz, A.; Dulak, J. Valproic Acid Downregulates Heme Oxygenase-1 Independently of Nrf2 by Increasing Ubiquitination and Proteasomal Degradation. Biochem. Biophys. Res. Commun. 2017, 485, 160–166. [Google Scholar] [CrossRef] [PubMed]
- Love, M.I.; Huber, W.; Anders, S. Moderated Estimation of Fold Change and Dispersion for RNA-Seq Data with DESeq2. Genome Biol. 2014, 15, 1–21. [Google Scholar] [CrossRef]
- Yoon, C.-H.; Kim, T.-W.; Koh, S.-J.; Choi, Y.-E.; Hur, J.; Kwon, Y.-W.; Cho, H.-J.; Kim, H.-S. Gata6 in Pluripotent Stem Cells Enhance the Potential to Differentiate into Cardiomyocytes. BMB Rep. 2018, 51, 85–91. [Google Scholar] [CrossRef] [PubMed]
- Freund, C.; Ward-van Oostwaard, D.; Monshouwer-Kloots, J.; van den Brink, S.; van Rooijen, M.; Xu, X.; Zweigerdt, R.; Mummery, C.; Passier, R. Insulin Redirects Differentiation from Cardiogenic Mesoderm and Endoderm to Neuroectoderm in Differentiating Human Embryonic Stem Cells. Stem Cells 2008, 26, 724–733. [Google Scholar] [CrossRef] [PubMed]
- Jozkowicz, A.; Was, H.; Dulak, J. Heme Oxygenase-1 in Tumors: Is It a False Friend? Antioxid. Redox Signal. 2007, 9, 2099–2118. [Google Scholar] [CrossRef]
- Suliman, H.B.; Zobi, F.; Piantadosi, C.A. Heme Oxygenase-1/Carbon Monoxide System and Embryonic Stem Cell Differentiation and Maturation into Cardiomyocytes. Antioxid. Redox Signal. 2016, 24, 345–360. [Google Scholar] [CrossRef]
- Bauer, A.; Mylroie, H.; Thornton, C.C.; Calay, D.; Birdsey, G.M.; Kiprianos, A.P.; Wilson, G.K.; Soares, M.P.; Yin, X.; Mayr, M.; et al. Identification of Cyclins A1, E1 and Vimentin as Downstream Targets of Heme Oxygenase-1 in Vascular Endothelial Growth Factor-Mediated Angiogenesis. Sci. Rep. 2016, 6, 1–16. [Google Scholar] [CrossRef]
- Lin, C.-Y.; Peng, C.-Y.; Huang, T.-T.; Wu, M.-L.; Lai, Y.-L.; Peng, D.H.; Chen, P.-F.; Chen, H.-F.; Yen, B.L.; Wu, K.K.; et al. Exacerbation of Oxidative Stress-Induced Cell Death and Differentiation in Induced Pluripotent Stem Cells Lacking Heme Oxygenase-1. Stem Cells Dev. 2012, 21, 1675–1687. [Google Scholar] [CrossRef] [PubMed]
- Schmelter, M.; Ateghang, B.; Helmig, S.; Wartenberg, M.; Sauer, H.; Schmelter, M.; Ateghang, B.; Helmig, S.; Wartenberg, M.; Sauer, H. Embryonic Stem Cells Utilize Reactive Oxygen Species as Transducers of Mechanical Strain-induced Cardiovascular Differentiation. FASEB J. 2006, 20, 1182–1184. [Google Scholar] [CrossRef] [PubMed]
- Lee, H.; Lee, Y.J.; Choi, H.; Ko, E.H.; Kim, J.W. Reactive Oxygen Species Facilitate Adipocyte Differentiation by Accelerating Mitotic Clonal Expansion. J. Biol. Chem. 2009, 284, 10601–10609. [Google Scholar] [CrossRef] [PubMed]
- Szade, K.; Zukowska, M.; Szade, A.; Nowak, W.; Skulimowska, I.; Ciesla, M.; Bukowska-Strakova, K.; Gulati, G.S.; Kachamakova-Trojanowska, N.; Kusienicka, A.; et al. Heme Oxygenase-1 Deficiency Triggers Exhaustion of Hematopoietic Stem Cells. EMBO Rep. 2020, 21, 1–21. [Google Scholar] [CrossRef] [PubMed]
- Kozakowska, M.; Ciesla, M.; Stefanska, A.; Skrzypek, K.; Was, H.; Jazwa, A.; Grochot-Przeczek, A.; Kotlinowski, J.; Szymula, A.; Bartelik, A.; et al. Heme Oxygenase-1 Inhibits Myoblast Differentiation by Targeting Myomirs. Antioxid. Redox Signal. 2012, 16, 113–127. [Google Scholar] [CrossRef] [PubMed]
- Ciesla, M.; Marona, P.; Kozakowska, M.; Jez, M.; Seczynska, M.; Loboda, A.; Bukowska-Strakova, K.; Szade, A.; Walawender, M.; Kusior, M.; et al. Heme Oxygenase-1 Controls an HDAC4-MIR-206 Pathway of Oxidative Stress in Rhabdomyosarcoma. Cancer Res. 2016, 76, 5707–5718. [Google Scholar] [CrossRef] [PubMed]
- Wei, H.; Cong, X. The Effect of Reactive Oxygen Species on Cardiomyocyte Differentiation of Pluripotent Stem Cells. Free Radic. Res. 2018, 52, 150–158. [Google Scholar] [CrossRef] [PubMed]
- Maillet, M.; van Berlo, J.H.; Molkentin, J.D. Molecular Basis of Physiological Heart Growth: Fundamental Concepts and New Players. Nature Rev. Mol. Cell Biol. 2013, 14, 38–48. [Google Scholar] [CrossRef]
- Dai, D.F.; Danoviz, M.E.; Wiczer, B.; Laflamme, M.A.; Tian, R. Mitochondrial Maturation in Human Pluripotent Stem Cell Derived Cardiomyocytes. Stem Cells Int. 2017, 2017. [Google Scholar] [CrossRef]
- Kaese, S.; Verheule, S. Cardiac Electrophysiology in Mice: A Matter of Size. Front. Physiol. 2012, 3, 345. [Google Scholar] [CrossRef] [PubMed]
- Wilkinson, W.J.; Kemp, P.J. Carbon Monoxide: An Emerging Regulator of Ion Channels. J. Physiol. 2011, 589, 3055–3062. [Google Scholar] [CrossRef] [PubMed]
- Garg, P.; Garg, V.; Shrestha, R.; Sanguinetti, M.C.; Kamp, T.J.; Wu, J.C. Human Induced Pluripotent Stem Cell-Derived Cardiomyocytes as Models for Cardiac Channelopathies: A Primer for Non-Electrophysiologists. Circ. Res. 2018, 123, 224–243. [Google Scholar] [CrossRef] [PubMed]
- Józkowicz, A.; Dulak, J. Effects of Protoporphyrins on Production of Nitric Oxide and Expression of Vascular Endothelial Growth Factor in Vascular Smooth Muscle Cells and Macrophages. Acta Biochim. Pol. 2003, 50, 69–79. [Google Scholar] [CrossRef]
- Szade, A.; Szade, K.; Nowak, W.N.; Bukowska-Strakova, K.; Muchova, L.; Gońka, M.; Żukowska, M.; Cieśla, M.; Kachamakova-Trojanowska, N.; Rams-Baron, M.; et al. Cobalt Protoporphyrin IX Increases Endogenous G- CSF and Mobilizes HSC and Granulocytes to the Blood. EMBO Mol. Med. 2019, 11. [Google Scholar] [CrossRef] [PubMed]
- Blumenthal, S.B.; Kiemer, A.K.; Tiegs, G.; Seyfried, S.; Höltje, M.; Brandt, B.; Höltje, H.; Zahler, S.; Vollmar, A.M. Metalloporphyrins Inactivate Caspase-3 and -8. FASEB J. 2005, 19, 1272–1279. [Google Scholar] [CrossRef] [PubMed]
- Lin, H.-Y.; Tsai, C.-H.; Lin, C.; Yeh, W.-L.; Tsai, C.-F.; Chang, P.-C.; Wu, L.-H.; Lu, D.-Y. Cobalt Protoporphyrin Upregulates Cyclooxygenase-2 Expression Through a Heme Oxygenase-Independent Mechanism. Mol. Neurobiol. 2016, 53, 4497–4508. [Google Scholar] [CrossRef] [PubMed]
- Lemoine, M.D.; Mannhardt, I.; Breckwoldt, K.; Prondzynski, M.; Flenner, F.; Ulmer, B.; Hirt, M.N.; Neuber, C.; Horváth, A.; Kloth, B.; et al. Human IPSC-Derived Cardiomyocytes Cultured in 3D Engineered Heart Tissue Show Physiological Upstroke Velocity and Sodium Current Density. Sci. Rep. 2017, 7, 1–11. [Google Scholar] [CrossRef] [PubMed]
- Liu, J.; Laksman, Z.; Backx, P.H. The Electrophysiological Development of Cardiomyocytes. Adv. Drug Deliv. Rev. 2016, 96, 253–273. [Google Scholar] [CrossRef]
- Krogager, M.L.; Eggers-Kaas, L.; Aasbjerg, K.; Mortensen, R.N.; Køber, L.; Gislason, G.; Torp-Pedersen, C.; Søgaard, P. Short-Term Mortality Risk of Serum Potassium Levels in Acute Heart Failure Following Myocardial Infarction. Eur. Heart J. Cardiovasc. Pharmacother. 2015, 1, 245–251. [Google Scholar] [CrossRef] [PubMed]
- Schneider, M.; Kostin, S.; Strøm, C.C.; Aplin, M.; Lyngbæk, S.; Theilade, J.; Grigorian, M.; Andersen, C.B.; Lukanidin, E.; Lerche Hansen, J.; et al. S100A4 Is Upregulated in Injured Myocardium and Promotes Growth and Survival of Cardiac Myocytes. Cardiovasc. Res. 2007, 75, 40–50. [Google Scholar] [CrossRef]
- Doroudgar, S.; Quijada, P.; Konstandin, M.; Ilves, K.; Broughton, K.; Khalafalla, F.G.; Casillas, A.; Nguyen, K.; Gude, N.; Toko, H.; et al. S100A4 Protects the Myocardium against Ischemic Stress. J. Mol. Cell. Cardiol. 2016, 100, 54–63. [Google Scholar] [CrossRef] [PubMed]
- Wang, K.C.W.; Brooks, D.A.; Thornburg, K.L.; Morrison, J.L. Activation of IGF-2R Stimulates Cardiomyocyte Hypertrophy in the Late Gestation Sheep Fetus. J. Physiol. 2012, 590, 5425–5437. [Google Scholar] [CrossRef]
- Qiao, H.; Sai, X.; Gai, L.; Huang, G.; Chen, X.; Tu, X.; Ding, Z. Association Between Heme Oxygenase 1 Gene Promoter Polymorphisms and Susceptibility to Coronary Artery Disease: A HuGE Review and Meta-Analysis. Am. J. Epidemiol. 2014, 179, 1039–1048. [Google Scholar] [CrossRef] [PubMed]
- Li, C.; Hossieny, P.; Wu, B.J.; Qawasmeh, A.; Beck, K.; Stocker, R. Pharmacologic Induction of Heme Oxygenase-1. Antioxid. Redox Signal. 2007, 9, 2227–2239. [Google Scholar] [CrossRef] [PubMed]
- Huo, J.; Wei, F.; Cai, C.; Lyn-Cook, B.; Pang, L. Sex-Related Differences in Drug-Induced QT Prolongation and Torsades de Pointes: A New Model System with Human IPSC-CMs. Toxicol. Sci. 2019, 167, 360–374. [Google Scholar] [CrossRef] [PubMed]










| hiPSC | Sex | Tissue Type | Age (Years) | Metabolism | RNA-seq | Patch-Clamp |
|---|---|---|---|---|---|---|
| hiPSC.1 | male | fibroblasts | newborn | x | ||
| hiPSC.2 | male | fibroblasts | 25–29 | x | x | |
| hiPSC.3 | male | PBMC | 55 | x | x |
| Antibody | Dilution | Vendor (cat. nr.) |
|---|---|---|
| Pluripotency markers | ||
| Oct-3/4 | 1:200 | Santa Cruz (sc8628) |
| NANOG | 1:100 | Santa Cruz (sc33759) |
| SSEA4 | 1:100 | Millipore (90231) |
| TRA 1-61 | 1:100 | Millipore (90232) |
| TRA 1-81 | 1:100 | Millipore (90233) |
| Markers of three germ layers | ||
| Vimentin | 1:250 | Abcam (ab92547) |
| α-SMA | 1:200 | Abcam (ab5694) |
| GATA4 | 1:200 | Santa Cruz (sc25310) |
| AFP | 1:200 | Santa Cruz (sc-8108) |
| NFH | 1:200 | Abcam (ab8135) |
| Cardiac specific marker | ||
| TNNT2 | 1:200 | ThermoFisher Scientific (MA5-12960) |
| Gene | Primer 1 | Primer 2 |
|---|---|---|
| CACNA1c | CAGAGGCTACGATTTGAGGA | GCTTCACAAAGAGGTCGTGT |
| DNMT3B | GGAGAAAGCTAGGGTGCGAG | AATTCCCTACTGCCTGCAGGA |
| DPPA2 | CCGTCCCCGCAATCTCCTTCCATC | ATGATGCCAACATGGCTCCCGGTG |
| EEF2 | TCAGCACACTGGATAGAGG | GACATCACCAAGGGTGTGCA |
| GATA6 | TCCCCCACAACACAACCTAC | TGTAGAGCCCATCTTGACCC |
| ISL1 | TGATGAAGCAACTCCAGCAG | GGACTGGCTACCATGCTGTT |
| KCNH2 | AATCGCCTTCTACCGGAAAG | CACCATGTCCTTCTCCATCAC |
| KCNQ1 | TCTGTCTTTGCCATCTCCTTC | CCTCCATGCGGTCTGAATG |
| MIXL1 | GGTACCCCGACATCCACTT | GAGACTTGGCACGCCTGT |
| NANOG | GAAGACAAGGTCCCGGTCAA | ACCATTGCTATTCTTCGGCCA |
| SALL4 | TGTGGCGGAGAGGGCAAATA | GTGGCTTCATCCTCACTCGC |
| SCN5A | GAGCTCTGTCACGATTTGAGG | GAAGATGAGGCAGACGAGGA |
| TNNT2 | ATCCAGAACGCCCAGACAGA | GCTGCTTGAACTTCTCCTGC |
Publisher’s Note: MDPI stays neutral with regard to jurisdictional claims in published maps and institutional affiliations. |
© 2021 by the authors. Licensee MDPI, Basel, Switzerland. This article is an open access article distributed under the terms and conditions of the Creative Commons Attribution (CC BY) license (http://creativecommons.org/licenses/by/4.0/).
Share and Cite
Jeż, M.; Martyniak, A.; Andrysiak, K.; Mucha, O.; Szade, K.; Kania, A.; Chrobok, Ł.; Palus-Chramiec, K.; Sanetra, A.M.; Lewandowski, M.H.; et al. Role of Heme-Oxygenase-1 in Biology of Cardiomyocytes Derived from Human Induced Pluripotent Stem Cells. Cells 2021, 10, 522. https://doi.org/10.3390/cells10030522
Jeż M, Martyniak A, Andrysiak K, Mucha O, Szade K, Kania A, Chrobok Ł, Palus-Chramiec K, Sanetra AM, Lewandowski MH, et al. Role of Heme-Oxygenase-1 in Biology of Cardiomyocytes Derived from Human Induced Pluripotent Stem Cells. Cells. 2021; 10(3):522. https://doi.org/10.3390/cells10030522
Chicago/Turabian StyleJeż, Mateusz, Alicja Martyniak, Kalina Andrysiak, Olga Mucha, Krzysztof Szade, Alan Kania, Łukasz Chrobok, Katarzyna Palus-Chramiec, Anna M. Sanetra, Marian H. Lewandowski, and et al. 2021. "Role of Heme-Oxygenase-1 in Biology of Cardiomyocytes Derived from Human Induced Pluripotent Stem Cells" Cells 10, no. 3: 522. https://doi.org/10.3390/cells10030522
APA StyleJeż, M., Martyniak, A., Andrysiak, K., Mucha, O., Szade, K., Kania, A., Chrobok, Ł., Palus-Chramiec, K., Sanetra, A. M., Lewandowski, M. H., Pośpiech, E., Stępniewski, J., & Dulak, J. (2021). Role of Heme-Oxygenase-1 in Biology of Cardiomyocytes Derived from Human Induced Pluripotent Stem Cells. Cells, 10(3), 522. https://doi.org/10.3390/cells10030522

