Efficient Callus Induction and Regeneration in Selected Indica Rice
Abstract
:1. Introduction
2. Materials and Methods
2.1. Plant Materials
2.2. Seed Surface Sterilization
2.3. Callus Induction Experiment
2.4. Callus Morphology
2.4.1. Scanning Electron Microscopy (SEM) Observation
2.4.2. Histological Analysis
2.5. Plant Regeneration and Acclimatization
2.6. Statistical Analysis
3. Results and Discussion
3.1. Callus Induction
3.1.1. Effect of 2,4-D
3.1.2. Effect of 2,4-D and NAA
3.1.3. Effect of Different Basal Media
3.1.4. Effect of Carbon Sources
3.2. Morphological Characterization
3.2.1. Scanning Electron Microscopy (SEM)
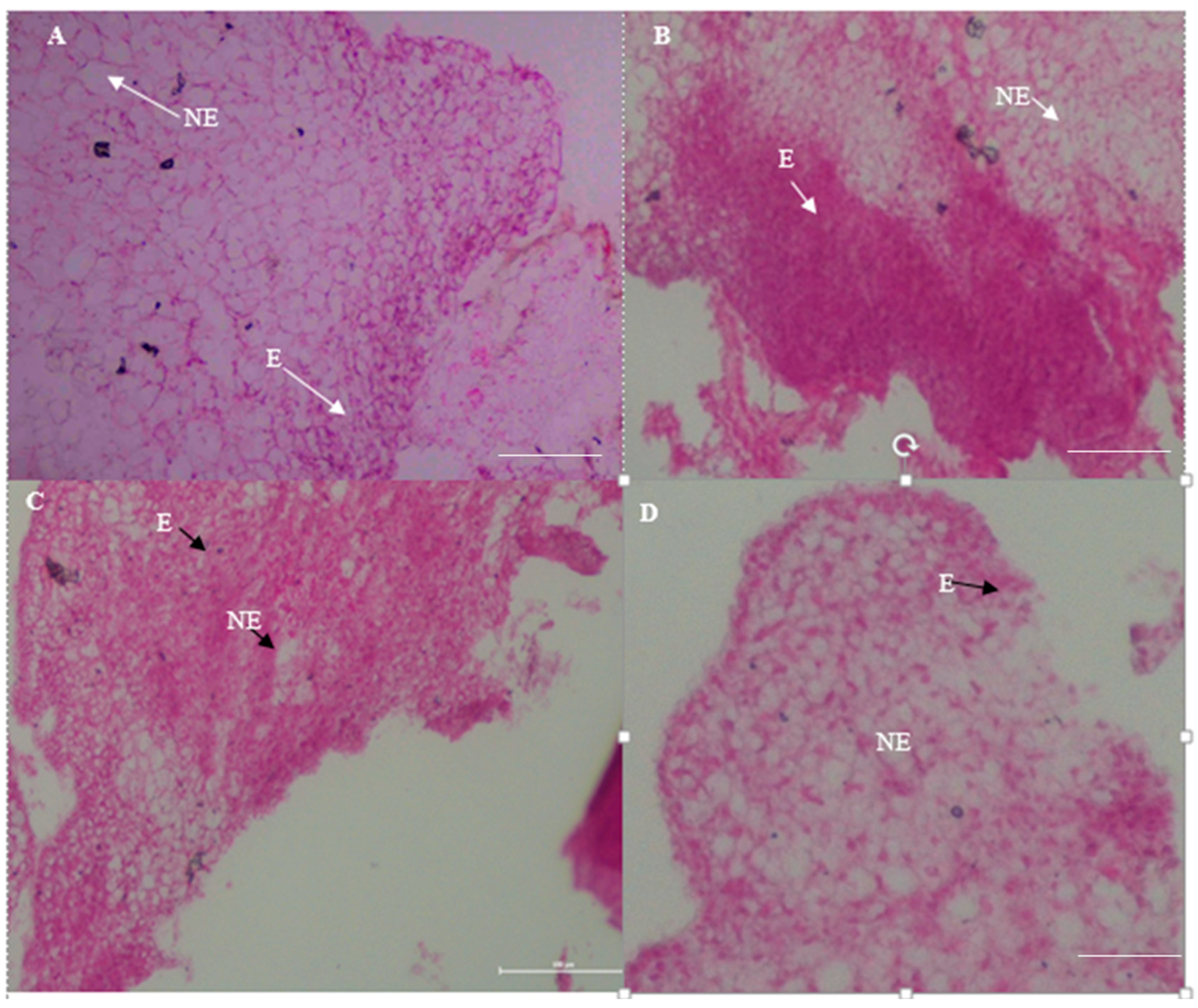
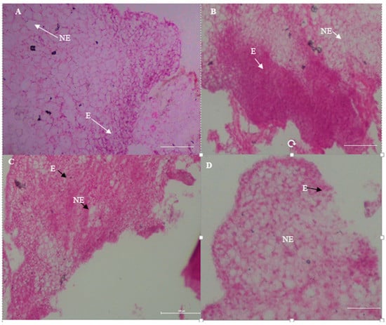
3.2.2. Histology
3.3. Plant Regeneration
3.4. Acclimatization
4. Conclusions
Supplementary Materials
Author Contributions
Acknowledgments
Conflicts of Interest
References
- Sandhu, N.; Kumar, A. Bridging the rice yield gaps under drought: QTLs, genes, and their use in breeding programs. Agronomy 2017, 7, 27. [Google Scholar] [CrossRef]
- Zhang, J.; Feng, Q.; Jin, C.; Qiu, D.; Zhang, L.; Xie, K.; Yuan, D.; Han, B.; Zhang, Q.; Wang, S. Features of the expressed sequences revealed by a large-scale analysis of ESTs from a normalized cDNA library of the elite indica rice cultivar Minghui 63. Plant J. 2005, 42, 772–780. [Google Scholar] [CrossRef] [PubMed]
- Rahman, Z.A.; Roowi, S.; Zaliha, W.W.S.; Subramaniam, S. Regeneration of Malaysian indica rice (Oryza sativa) variety MR232 via optimised somatic embryogenesis system. J. Phytol. 2010, 2, 30–38. [Google Scholar]
- Shabery, A. Rice Production at 72% of Self-Sufficiency Level: Ahmad Shabery. Available online: http://www.thesundaily.my/news/2017/09/26/rice-production-72-self-sufficiency-level-ahmad-shabery (accessed on 16 April 2018).
- Kumar, S. Phytochemistry and functional food: The needs of healthy life. J. Phytochem. Biochem. 2017, 1, 2. [Google Scholar]
- Bzour, M.I.; Zuki, F.M.; Mispan, M.S. Introduction of imidazolinone herbicide and Clearfield® rice between weedy rice—Control efficiency and environmental concerns. Environ. Rev. 2018, 1–18. [Google Scholar] [CrossRef]
- Azmi, M.; Azlan, S.; Yim, M.K.; George, V.T.; Chew, E.S. Control of weedy rice in direct-seeded rice using the clearfield production system in Malaysia. Pak. J. Weed Sci. Res. 2012, 18, 49–53. [Google Scholar]
- Zulkarnain, W.M.; Ismail, M.R.; Saud, H.M.; Othman, R.; Habib, S.H.; Kausar, H. Growth and yield response to water availability at different growth stages of rice. J. Food Agric. Environ. 2013, 11, 540–544. [Google Scholar]
- FAOSTAT. Food and Agriculture Organization (FAO) Statistics Division 2017. Available online: http://faostat.fao.org/site/567/default.aspx#ancor (accessed on 10 December 2017).
- Wahab, A.G. Grain and Feed Annual—Kuala Lumpur Malaysia; Global Agricultural Information Network: Kuala Lumpur, Malaysia, 2017. [Google Scholar]
- Fageria, N.K.; Baligar, V.C. Methodology for evaluation of lowland rice genotypes for nitrogen use efficiency. J. Plant Nutr. 2003, 26, 1315–1333. [Google Scholar] [CrossRef]
- Wong, S.C.; Yiu, P.H.; Bong, S.T.W.; Lee, H.H.; Neoh, P.N.P.; Rajan, A. Analysis of Sarawak Bario rice diversity using microsatellite markers. Am. J. Agric. Biol. Sci. 2009, 4, 298–304. [Google Scholar] [CrossRef]
- Nicholas, D.; Hazila, K.K.; Chua, H.P.; Rosniyana, A. Nutritional value and glycemic index of Bario rice varieties. J. Trop. Agric. Food Sci. 2014, 42, 1–8. [Google Scholar]
- FAO; FAOSTAT. Available online: http://www.fao.org/news/archive/news-by-date/2015/en/ (accessed on 5 May 2017).
- Thuy, T.L.; Saitoh, K. Responses of fourteen vietnamese rice (Oryza sativa L.) cultivars to high temperatures during grain filling period under field conditions. Agronomy 2017, 7, 57. [Google Scholar] [CrossRef]
- Terano, R.; Mohamed, Z.; Din, N.S.Z. Determinants of farmers’ adoption of clearfield production system in Malaysia. Agric. Agric. Sci. Procedia 2016, 9, 103–107. [Google Scholar] [CrossRef]
- Libin, A.; King, P.J.H.; Ong, K.H.; Chubo, J.K.; Sipen, P. Callus induction and plant regeneration of Sarawak rice (Oryza sativa L.) variety Biris. Afr. J. Agric. Res. 2012, 7, 4260–4265. [Google Scholar] [CrossRef]
- Kevin, M.T.S.; Ahmed, O.H.; Asrina, W.Y.W.; Rajan, A.; Ahzam, M. Towards growing bario rice on lowland soils: A preliminary nitrogen and potassium fertilization trial. Am. J. Agric. Biol. Sci. 2007, 2, 99–105. [Google Scholar] [CrossRef]
- Naeg, D. Bario Rice—A Rare Grain. Available online: http://www.theborneopost.com/2012/01/29/bario-rice-a-rare-grain/ (accessed on 9 May 2017).
- Gosal, S.S.; Kang, M.S. Plant tissue culture and genetic transformation for crop improvement. In Improving Crop Resistance to Abiotic Stress; Tuteja, N., Gill, S.S., Tiburcio, A.F., Tuteja, R., Eds.; Wiley-VCH Verlag GmbH & Co. KGaA: Weinheim, Germany, 2012; pp. 357–397. ISBN 978-3-527-63293-0. [Google Scholar]
- Wang, L.; Lin, G.; Zhao, D.; Wang, F.; Chen, J. Tissue culture system for different hybrid of indica rice. J. Northeast Agric. Univ. 2011, 18, 13–17. [Google Scholar] [CrossRef]
- Kalhori, N.; Nulit, R.; Go, R.; Zulkifly, S.; Azizi, P.; Abiri, R. Selection, characterizations and somatic embryogenesis of Malaysian salt-tolerant rice (Oryza sativa cv. MR219) through callogenesis. Int. J. Agric. Biol. 2017, 19, 157–163. [Google Scholar] [CrossRef]
- Kumar, S.; Arul, L.; Talwar, D. Generation of marker-free Bt transgenic indica rice and evaluation of its yellow stem borer resistance. J. Appl. Genet. 2010, 51, 243–257. [Google Scholar] [CrossRef] [PubMed]
- Silva, T.D. Indica rice anther culture: Can the impasse be surpassed? Plant Cell Tissue Organ Cult. 2010, 100, 1–11. [Google Scholar] [CrossRef]
- Talapatra, S.; Ghoshal, N.; Raychaudhuri, S.S. Molecular characterization, modeling and expression analysis of a somatic embryogenesis receptor kinase (SERK) gene in Momordica charantia L. during somatic embryogenesis. Plant Cell Tissue Organ Cult. 2013, 116, 271–283. [Google Scholar] [CrossRef]
- Zimmerman, J. Somatic embryogenesis: A model for early development in higher plants. Plant Cell 1993, 5, 1411–1423. [Google Scholar] [CrossRef] [PubMed]
- Wójcikowska, B.; Gaj, M.D. Expression profiling of AUXIN RESPONSE FACTOR genes during somatic embryogenesis induction in Arabidopsis. Plant Cell Rep. 2017, 36, 843–858. [Google Scholar] [CrossRef] [PubMed]
- Karami, O.; Aghavaisi, B.; Pour, A.M. Molecular aspects of somatic-to-embryogenic transition in plants. J. Chem. Biol. 2009, 2, 177–190. [Google Scholar] [CrossRef] [PubMed]
- Datta, S.K. Rice Biotechnology: A Need for Developing Countries. Available online: http://www.agbioforum.org/v7n12/v7n12a06-datta.htm (accessed on 25 September 2017).
- Dievart, A.; Perin, C.; Hirsch, J.; Bettembourg, M.; Lanau, N.; Artus, F.; Bureau, C.; Noel, N.; Droc, G.; Peyramard, M.; et al. The phenome analysis of mutant alleles in Leucine-Rich Repeat Receptor-Like Kinase genes in rice reveals new potential targets for stress tolerant cereals. Plant Sci. 2016, 242, 240–249. [Google Scholar] [CrossRef] [PubMed]
- Panjaitan, S.B.; Abdullah, S.N.A.; Aziz, M.A.; Meon, S.; Omar, O. Somatic embryogenesis from scutellar embryo of Oryza sativa L. var. MR219. J. Trop. Agric. Sci. 2009, 32, 185–194. [Google Scholar]
- Rahman, Z.A.; Ramli, A.; Hosni, H.; Kamaruzaman, R.; Seman, Z.A.; Othman, A.N.; Zainal, Z.; Uddain, J.; Subramaniam, S. Efficient plant regeneration of Malaysian aromatic rice (Oryza sativa L.) through somatic embryogenesis. Emir. J. Food Agric. 2015, 27, 857–863. [Google Scholar] [CrossRef]
- Murashige, T.; Skoog, F. A revised medium for rapid growth and bio assays with tobacco tissue cultures. Physiol. Plant. 1962, 15, 473–497. [Google Scholar] [CrossRef]
- Lee, S.-T.; Huang, W.-L. Cytokinin, auxin, and abscisic acid affects sucrose metabolism conduce to de novo shoot organogenesis in rice (Oryza sativa L.) callus. Bot. Stud. 2013, 54, 5. [Google Scholar] [CrossRef] [PubMed]
- Rueb, S.; Leneman, M.; Schilperoort, R.A.; Hensgens, L.A.M. Efficient plant regeneration through somatic embryogenesis from callus induced on mature rice embryos (Oryza sativa L.). Plant Cell Tissue Organ Cult. 1994, 36, 259–264. [Google Scholar] [CrossRef]
- Kumar, S.; Singh, R.; Kalia, S.; Sharma, S.K.; Kalia, A.K. Recent advances in understanding the role of growth regulators in plant growth and development in vitro-I. conventional growth regulators. Indian For. 2016, 142, 459–470. [Google Scholar]
- Seldimirova, O.A.; Titova, G.E.; Kruglova, N.N. A Complex morpho-histological approach to the in vitro study of morphogenic structures in a wheat anther culture. Biol. Bull. Russ. Acad. Sci. 2016, 43, 121–126. [Google Scholar] [CrossRef]
- Nic-Can, G.I.; Loyola-Vargas, V.M. The role of the auxins during somatic embryogenesis. In Somatic Embryogenesis: Fundamental Aspects and Applications; Springer: Cham, Switzerland, 2016; pp. 171–182. ISBN 978-3-319-33704-3. [Google Scholar]
- Hiei, Y.; Komari, T. Agrobacterium-mediated transformation of rice using immature embryos or calli induced from mature seed. Nat. Protoc. 2008, 3, 824–834. [Google Scholar] [CrossRef] [PubMed]
- Zuraida, A.R.; Naziah, B.; Zamri, Z.; Sreeramanan, S. Efficient plant regeneration of Malaysian indica rice MR 219 and 232 via somatic embryogenesis system. Acta Physiol. Plant. 2011, 33, 1913–1921. [Google Scholar] [CrossRef]
- Abiri, R.; Maziah, M.; Shaharuddin, N.A.; Yusof, Z.N.B.; Atabaki, N.; Hanafi, M.M.; Sahebi, M.; Azizi, P.; Kalhori, N.; Valdiani, A. Enhancing somatic embryogenesis of Malaysian rice cultivar MR219 using adjuvant materials in a high-efficiency protocol. Int. J. Environ. Sci. Technol. 2017, 14, 1091–1108. [Google Scholar] [CrossRef]
- Mohd Din, A.R.J.; Iliyas Ahmad, F.; Wagiran, A.; Abd Samad, A.; Rahmat, Z.; Sarmidi, M.R. Improvement of efficient in vitro regeneration potential of mature callus induced from Malaysian upland rice seed (Oryza sativa cv. Panderas). Saudi J. Biol. Sci. 2016, 23, S69–S77. [Google Scholar] [CrossRef] [PubMed]
- Sahoo, K.K.; Tripathi, A.K.; Pareek, A.; Sopory, S.K.; Singla-Pareek, S.L. An improved protocol for efficient transformation and regeneration of diverse indica rice cultivars. Plant Methods 2011, 7, 49. [Google Scholar] [CrossRef] [PubMed]
- Meneses, A.; Flores, D.; Munoz, M.; Arrieta, G.; Espinoza, A.M. Effect of 2,4-D, hydric stress and light on indica rice (Oryza sativa) somatic embryogenesis. Rev. Biol. Trop. 2005, 53, 361–368. [Google Scholar] [CrossRef] [PubMed]
- Fu, X.; Yang, S.; Bao, M. Factors affecting somatic embryogenesis in anther cultures of Chinese pink (Dianthus chinensis). In Vitro Cell. Dev. Biol.-Plant 2008, 44, 194–202. [Google Scholar] [CrossRef]
- Huang, S.; Hill, R.D.; Wally, O.S.D.; Dionisio, G.; Ayele, B.T.; Jami, S.K.; Stasolla, C. Hemoglobin control of cell survival/death decision regulates in vitro plant embryogenesis. Plant Physiol. 2014, 165, 810–825. [Google Scholar] [CrossRef] [PubMed]
- Fang, C.; Xu, T.; Ye, C.; Huang, L.; Wang, Q.; Lin, W. Method for RNA extraction and cDNA library construction from microbes in crop rhizosphere soil. World J. Microbiol. Biotechnol. 2014, 30, 783–789. [Google Scholar] [CrossRef] [PubMed]
- Alagarsamy, K.; Pandian, S.; Ramesh, M. High frequency plant regeneration from embryogenic callus of popular indica rice (Oryza sativa L.). Physiol. Mol. Biol. Plants 2009, 15, 371–375. [Google Scholar] [CrossRef]
- Visarada, K.B.R.S.; Sailaja, M.; Sarma, N.P. Effect of callus induction media on morphology of embryogenic calli in rice genotypes. Biol. Plant. 2002, 45, 495–502. [Google Scholar] [CrossRef]
- Vega, R.; Vásquez, N.; Espinoza, A.M.; Gatica, A.M.; Valdez-Melara, M. Histology of somatic embryogenesis in rice (Oryza sativa cv. 5272). Rev. Biol. Trop. 2009, 57, 141–150. [Google Scholar]
- Chu, C.C.; Wang, C.C.; Sun, C.S.; Hsu, C.; Yin, K.C.; Chu, C.Y.; Pi, F.Y. Establishment of an efficient medium for anther culture of rice through comparative experiments on the nitrogen sources. Sci. Sin. 1975, 18, 659–668. [Google Scholar]
- Linsmaier, E.M.; Skoog, F. Organic Growth Factor Requirements of Tobacco Tissue Cultures. Physiol. Plant. 1965, 18, 100–127. [Google Scholar] [CrossRef]
- Shahsavari, E.; Maheran, A.A.; Akmar, A.S.N.; Hanafi, M.M. The effect of plant growth regulators on optimization of tissue culture system in Malaysian upland rice. Afr. J. Biotechnol. 2010, 9, 2089–2094. [Google Scholar]
- Liu, Y.M.; Diao, F.Q.; Zhang, L.; Huang, M.J.; Wu, N.H. Cloning and characterization of DcLEA1, a new member of carrot LEA gene family. Prog. Nat. Sci. 2005, 15, 220–228. [Google Scholar]
- Juturu, V.N.; Mekala, G.K.; Garladinne, M.; Reddy, P.C.O.; Sekhar, A.C. Optimization of in vitro regeneration protocol for a popular indica rice (Oryza sativa L. cv Swarna). Ann. Plant Sci. 2016, 5, 1395–1401. [Google Scholar] [CrossRef]
- Naik, N.; Rout, P.; Umakanta, N.; Verma, R.L.; Katara, J.L.; Sahoo, K.K.; Singh, O.N.; Samantaray, S. Development of doubled haploids from an elite indica rice hybrid (BS6444G) using anther culture. Plant Cell Tissue Organ Cult. 2017, 128, 679–689. [Google Scholar] [CrossRef]
- Ghobeishavi, H.; Uliaie, E.D.; Alavikia, S.S.; Valizadeh, M. The effect of plant growth regulators on embryogenic callus induction and regeneration from coleoptile in rice. Int. J. Biosci. 2014, 5, 144–150. [Google Scholar]
- Htwe, N.N.; Maziah, M.; Ling, H.C.; Zaman, F.Q.; Zain, A.M. Responses of some selected Malaysian rice genotypes to callus induction under in vitro salt stress. Afr. J. Biotechnol. 2011, 10, 350–362. [Google Scholar]
- Ge, X.J.; Chu, Z.H.; Lin, Y.J.; Wang, S.P. A tissue culture system for different germplasms of indica rice. Plant Cell Rep. 2006, 25, 392–402. [Google Scholar] [CrossRef] [PubMed]
- Verma, D.; Joshi, R.; Shukla, A.; Kumar, P. Protocol for in vitro somatic embryogenesis and regeneration of rice (Oryza sativa L.). Indian J. Exp. Biol. 2011, 49, 958–963. [Google Scholar] [PubMed]
- Hoang, T.M.L.; Tran, T.N.; Nguyen, T.K.T.; Williams, B.; Wurm, P.; Bellairs, S.; Mundree, S. Improvement of salinity stress tolerance in rice: Challenges and opportunities. Agronomy 2016, 6, 54. [Google Scholar] [CrossRef]
- Bevitori, R.; Popielarska-Konieczna, M.; dos Santos, E.M.; Grossi-de-Sa, M.F.; Petrofeza, S. Morpho-anatomical characterization of mature embryo-derived callus of rice (Oryza sativa L.) suitable for transformation. Protoplasma 2014, 251, 545–554. [Google Scholar] [CrossRef] [PubMed]
- Park, S.G.; Ubaidillah, M.; Kim, K.-M. Effect of maltose concentration on plant regeneration of anther culture with different genotypes in rice (Oryza sativa). Emir. J. Food Agric. 2013, 4, 2265–2270. [Google Scholar] [CrossRef]
- Tamura, S. Shoot formation in calli originated from rice embryo. Proc. Japan Acad. 1968, 44, 544–548. [Google Scholar] [CrossRef]
- Roly, Z.Y.; Islam, M.M.; Shaekh, M.P.E.; Arman, M.S.I.; Shahik, S.M.; Das, D.; Haamem, M.M.E.; Khalekuzzaman, D.M. In Vitro Callus Induction and Regeneration Potentiality of Aromatic Rice (Oryza sativa L.) Cultivars in differential growth regulators. Int. J. Appl. Sci. Biotechnol. 2014, 2, 160–167. [Google Scholar] [CrossRef]
- Kadhimi, A.A.; Zain, C.R.C.M.; Alhasnawi, A.N.; Isahak, A.; Ashraf, M.F.; Mohamad, A.; Doni, F.; Yusoff, W.M.W.; Ibrahim, K.; Badri, K.H.; et al. Impact of gamma rays exposure and growth regulators on Oryza sativa L. cv MR269 callus induction. AIP Conf. Proc. 2016, 1784, 020006. [Google Scholar] [CrossRef]
- Zuo, S.; Zhou, X.; Chen, M.; Zhang, S.; Schwessinger, B.; Ruan, D.; Yuan, C.; Wang, J.; Chen, X.; Ronald, P.C. OsSERK1 regulates rice development but not immunity to Xanthomonas oryzae pv. oryzae or Magnaporthe oryzae. J. Integr. Plant Biol. 2014, 56, 1179–1192. [Google Scholar] [CrossRef] [PubMed]
- Wu, X.; Li, F.; Zhang, C.; Liu, C.; Zhang, X. Differential gene expression of cotton cultivar CCRI24 during somatic embryogenesis. J. Plant Physiol. 2009, 166, 1275–1283. [Google Scholar] [CrossRef] [PubMed]
- Lee, S.-T.; Huang, W.-L. Osmotic stress stimulates shoot organogenesis in callus of rice (Oryza sativa L.) via auxin signaling and carbohydrate metabolism regulation. Plant Growth Regul. 2013, 73, 193–204. [Google Scholar] [CrossRef]
- Abe, T.; Futsuhara, Y. Genotypic variability for callus formation and plant regeneration in rice (Oryza sativa L.). Theor. Appl. Genet. 1986, 72, 3–10. [Google Scholar] [CrossRef] [PubMed]
- Andi Brisibe, E.; Miyake, H.; Taniguchi, T.; Maeda, E. Callus formation and scanning electron microscopy of plantlet regeneration in African rice (Oryza glaberrima steud). Plant Sci. 1992, 83, 217–224. [Google Scholar] [CrossRef]
- Kumar, S.; Chandra, A. In vitro plantlet regeneration in Stylosanthes spp. via callus induction from cotyledonary and hypocotyl explants. Natl. Acad. Sci. Lett.-India 2010, 33, 289–297. [Google Scholar]
- Kumar, S.; Sahu, N.; Singh, A. High-frequency in vitro plant regeneration via callus induction in a rare sexual plant of Cenchrus ciliaris L. In Vitro Cell. Dev. Biol.-Plant 2015, 51, 28–34. [Google Scholar] [CrossRef]
- Shen, H.S.; Sundstøl, F.; Eng, E.R.; Eik, L.O. Studies on untreated and urea-treated rice straw from three cultivation seasons: 3. Histological investigations by light and scanning electron microscopy. Anim. Feed Sci. Technol. 1999, 80, 151–159. [Google Scholar] [CrossRef]
- Bec, S.; Chen, L.L.; Ferriere, N.M.; Legavre, T.; Fauquet, C.; Guiderdoni, E. Comparative histology of microprojectile-mediated gene transfer to embryogenic calli in japonica rice (Oryza sativa L.): Influence of the structural organization of target tissues on genotype transformation ability. Plant Sci. 1998, 138, 177–190. [Google Scholar] [CrossRef]
- Maeda, E.; Radi, S.H. Ultrastructural aspects of rice scutellum as related to seminal root cultures. In Rice; Bajaj, Y.P.S., Ed.; Biotechnology in Agriculture and Forestry; Springer: Berlin/Heidelberg, Germany, 1991; pp. 78–91. ISBN 978-3-642-83988-7. [Google Scholar]
- Oliveira, E.J.; Koehler, A.D.; Rocha, D.I.; Vieira, L.M.; Marques Pinheiro, M.V.; de Matos, E.M.; Ferreira da Cruz, A.C.; Ribeiro da Silva, T.C.; Ossamu Tanaka, F.A.; Silveira Nogueira, F.T.; et al. Morpho-histological, histochemical, and molecular evidences related to cellular reprogramming during somatic embryogenesis of the model grass Brachypodium distachyon. Protoplasma 2017, 254, 2017–2034. [Google Scholar] [CrossRef] [PubMed]
- Azizi, P.; Rafii, M.Y.; Mahmood, M.; Hanafi, M.M.; Abdullah, S.N.A.; Abiri, R.; Sahebi, M. Highly efficient protocol for callogenesis, somagenesis and regeneration of indica rice plants. C. R. Biol. 2015, 338, 463–470. [Google Scholar] [CrossRef] [PubMed]








| Treatment (mg/L) | Variety | ||||
|---|---|---|---|---|---|
| 2,4-D | NAA | MR220 | MR220-CL2 | MR232 | Bario |
| 3.0 | 0.0 | 68 | 82.0 | 78.0 | 28.0 a |
| 3.0 | 2.5 | 70 | 70.3 | 71.0 | 32.8 a |
| 3.0 | 5.0 | 68.0 | 74.3 | 68.5 | 25.0 b |
| 3.0 | 7.5 | 66.0 | 74.0 | 60.0 | 25.6 b |
| 3.0 | 10 | 60.0 | 64.5 | 59.4 | 22.3 c |
| p | NS | NS | NS | 0.001 | |
| Treatment Name | Treatment (mg/L) | Plantlet Regeneration (%) | Number of Plantlets Regenerated | ||||||||
|---|---|---|---|---|---|---|---|---|---|---|---|
| BAP | Kinetin | NAA | MR220 | MR220-CL2 | MR232 | Bario | MR220 | MR220-CL2 | MR232 | Bario | |
| RM1 | 1.0 | 1.0 | 0.5 | 24 c | 27 cd | 16 c | 10 c | 4 b | 4 b | 4.2 | 4.6 |
| RM2 | 2.0 | 1.0 | 0.5 | 28 bc | 38 c | 28.6 b | 14 c | 7 a | 4.1 b | 5.1 | 5.4 |
| RM3 | 3.0 | 1.0 | 0.5 | 34 b | 43 c | 33 b | 24 b | 4.5 b | 5.3 b | 4.2 | 3.9 |
| RM4 | 1.0 | 2.0 | 0.5 | 23 c | 24.1 d | 32 b | 12 c | 4 b | 2.7 c | 5.4 | 3.8 |
| RM5 | 2.0 | 2.0 | 0.5 | 68 a | 82 a | 68 a | 40 a | 7 a | 9.1 a | 6.1 | 3.8 |
| RM6 | 3.0 | 2.0 | 0.5 | 62 a | 71 ab | 70 a | 29 ab | 5 a | 6.1 ab | 4.1 | 4.2 |
| p | 0.041 | 0.001 | 0.034 | 0.045 | 0.001 | 0.001 | N.S. | N.S. | |||
| Variety | MR220 | MR220-CL2 | MR232 | Bario |
|---|---|---|---|---|
| Survival percentage from RM5 | 90.0 a | 92.0 a | 88 a | 84 a |
| Survival percentage from RM6 | 80.0 b | 80.0 b | 70.0 b | 72 b |
| p | 0.001 | 0.002 | 0.001 | 0.009 |
© 2018 by the authors. Licensee MDPI, Basel, Switzerland. This article is an open access article distributed under the terms and conditions of the Creative Commons Attribution (CC BY) license (http://creativecommons.org/licenses/by/4.0/).
Share and Cite
Binte Mostafiz, S.; Wagiran, A. Efficient Callus Induction and Regeneration in Selected Indica Rice. Agronomy 2018, 8, 77. https://doi.org/10.3390/agronomy8050077
Binte Mostafiz S, Wagiran A. Efficient Callus Induction and Regeneration in Selected Indica Rice. Agronomy. 2018; 8(5):77. https://doi.org/10.3390/agronomy8050077
Chicago/Turabian StyleBinte Mostafiz, Suraiya, and Alina Wagiran. 2018. "Efficient Callus Induction and Regeneration in Selected Indica Rice" Agronomy 8, no. 5: 77. https://doi.org/10.3390/agronomy8050077
APA StyleBinte Mostafiz, S., & Wagiran, A. (2018). Efficient Callus Induction and Regeneration in Selected Indica Rice. Agronomy, 8(5), 77. https://doi.org/10.3390/agronomy8050077

