Next Article in Journal
Validation of a Process-Based Agro-Ecosystem Model (Agro-IBIS) for Maize in Xinjiang, Northwest China
Next Article in Special Issue
Molecular Cloning and Structure–Function Analysis of a Trypsin Inhibitor from Tartary Buckwheat and Its Application in Combating Phytopathogenic Fungi
Previous Article in Journal
Nutrient Management in Aquaponics: Comparison of Three Approaches for Cultivating Lettuce, Mint and Mushroom Herb
Previous Article in Special Issue
Generation of Transgenic Rootstock Plum ((Prunus pumila L. × P. salicina Lindl.) × (P. cerasifera Ehrh.)) Using Hairpin-RNA Construct for Resistance to the Plum pox virus
 
 
Font Type:
Arial Georgia Verdana
Font Size:
Aa Aa Aa
Line Spacing:
Column Width:
Background:
Article

Different Approaches to Produce Transgenic Virus B Resistant Chrysanthemum

by
Tatiana Y. Mitiouchkina
1,2,*,
Aleksey P. Firsov
2,3,
Svetlana M. Titova
3,
Alexander S. Pushin
1,2,
Olga A. Shulga
3 and
Sergey V. Dolgov
1,2
1
Nikita Botanical Garden, Yalta 298648, Russia
2
Branch of Shemyakin and Ovchinnikov Institute of Bioorganic Chemistry, The Russian Academy of Sciences, Pushchino, Moscow 142290, Russia
3
All-Russian Research Institute of Agriculture Biotechnology, The Russian Academy of Sciences, TimirazevskajaStr.42, Moscow 127550, Russia
*
Author to whom correspondence should be addressed.
Agronomy 2018, 8(3), 28; https://doi.org/10.3390/agronomy8030028
Submission received: 6 February 2018 / Revised: 25 February 2018 / Accepted: 2 March 2018 / Published: 8 March 2018

Abstract

Chrysanthemum is a vegetative propagated culture in which viral transmission with planting material is important for its production. Chrysanthemum virus B (CVB) belongs to the viruses that strike this plant culture. Chrysanthemum virus B is found everywhere where chrysanthemum is cultivated. Damage to plants by CVB often leads to a complete loss of floral yield. Chrysanthemum (Chrysanthemum morifolium Ramat cv. White Snowdon) was transformed via Agrobacterium-mediated DNA delivery with the aim of improving resistance to CVB infection. Transformation vectors contain the nucleotide sequence of CVB coat proteins (CP) in sense, antisense, and double sense orientation. The transformative vectors also invert repeats of CVB coat protein gene fragments for the induction of RNA-interference. The transgenic chrysanthemum plants were successfully obtained. The integration of the target sequences in plant genomes was confirmed by polymerase chain reaction (PCR) and Southern blot analyses. Chrysanthemum lines were transformed with antisense, sense, and double sense CVB CP sequences, as well as with hairpin RNA-interference constructs that were assayed for resistance to CVB. Infection of transgenic plants by CVB through the grafting of infected scions shows resistance only among plants with carried double sense (16.7%) and hairpin (12.5%) constructs. The plants transformed by sense and double sense sequences were observed and classified as tolerant.

1. Introduction

One of the limiting factors in the development of commercial floriculture is infectious diseases, including viral ones. They cause loss of decorative qualities, deterioration of plants’ physiological state, andsignificant economic damage. This relatesto the vegetative propagated crops for which a constant source of infection is considered a contaminated planting material. The problem of controlling the viral infection carried with the planting material is relevant for the chrysanthemum culture.
Chrysanthemum plants are affected by a number of viral diseases including TAV (tomato aspermy virus), TSWV (tomato spotted wilt virus), CNFV (carnation necrotic fleck virus), and others [1,2]. One of the most harmful viruses of chrysanthemums is the chrysanthemum virus B (CVB). Chrysanthemum plants infected with CVB show different symptoms from moderate leaf mottling or veins bleaching to more serious mosaic, chlorosis, and corrugation of the leaf blade. One of the signs of disease is an underdevelopment of inflorescences and a decrease in the number of false-ligule flowers, which often lead to a complete loss of floralyield. Sometimes, the plants affected with CVB do not display symptoms visually. Additionally, the chrysanthemum virus B can be transferred not only with planting material, but also by aphids.
The chrysanthemum virus B belongs to the family of carlaviruses and has a rod-like shape of approximately 685 × 12 nm in size. The CVB is a linear, sense, single-stranded RNA of about 8.5 kbp. It is likely flanked like other carlaviruses at the 5′ terminus by a monophosphate cap and at the 3′ end by a poly (A) sequence [3,4,5]. The virus genome contains six open reading frames. The open reading frame called ORF1 includesan RNA-dependent RNA polymerase domain (viral replication protein). Additionally, ORF2, ORF3, and ORF4 have encoded proteins necessary for viraltransport through the plant, while ORF5 encodes the viral coat protein (CP) and OPF6 is a cysteine-rich sequence - NTP binding protein domain. The function of OPF6 remains unclear [3,5,6].
Currently, there are a number of molecular biological approaches for increasing the plants’ resistance to viruses including expression of the viral coat protein that infects the plant and using antisense RNAs and methods based on RNA-interference [7,8,9,10,11,12,13]. All these approaches have been successfully used to produce plants’ resistant to various viruses [14,15,16]. The virus coat protein gene is more often used in such studies. However, the efficacy of these approaches is different and depends, in particular, on the plant cultivar and the species of a pathogenic virus, as well as the viral nucleotide sequence used to produce the transgenic plants.
The aim of our study was to compare the efficacy of different methods for producing chrysanthemum plants with enhanced resistance to virus B infection. For this purpose, we produced the transgenic plants of chrysanthemum cultivar White Snowdon, which was transformed with the pRNAiVB vector for RNA-interference. The vector was designed based on the nucleotide sequence of the CVB CP gene. These plants and also the plants transformed with the single or double sequence of the CVB CP gene (both in the sense orientation) along with the sequence of the CVB CP gene in antisense orientation were analyzed for resistance to CVB infection in greenhouse conditions. The obtained transgenic plants showed different degrees of resistance to CVB, which provides the possibility of estimating the efficacy of the used methods.

2. Materials and Methods

2.1. Plant Material

The chrysanthemum plants (Chrysanthemum morifolium Ramat) of the cultivar White Snowdon were used in all experiments. The transgenic plants transformed with pBSS (the CP gene of CVB in the sense orientation), pBDS (double sequence of CVB CP gene in the sense orientation), and pBAS vectors (the CP gene of CVB in antisense orientation) were produced earlier in our laboratory [17,18]. The pRNAiVB vector for RNA interference was constructed by cloning the fragments of the CVB CP gene nucleotide sequence (624–897 bp) via the pKANNIBAL intermediate vector into a plant transformation vector called pBINplus [19]. The expression cassettes of vectors used in this study are presented in Figure 1. Agrobacterium-mediated transformation and in vitroculture of chrysanthemum plants were performed as described earlier [17,18,20]. The transgenic plants were rooted and then transferred to a greenhouse.

2.2. PCR and RT-PCR Analysis of the Transgenic Plants

In vitro plants were used to extract DNA from chrysanthemum transformed using the pRNAiVB vector. DNA was extracted from the shoot culture grown on a multiplication medium. The DNA extraction method of Rogers and Bendich [21] was used. Total RNA was isolated from the leaves of the greenhouse-grown plants. RNA isolation was performed using reagents of the QuantumPrepAquaPure RNA Isolation Kit (Bio-Rad, Hercules, CA, USA), as described by the manufacturer. DNase treatment (Thermo Scientific, Vilnius, Lithuania) was an additional step for removing contaminated DNA from RNA samples.
Transformation of plants with the vector pRNAiVB was confirmed by polymerase chain reaction (PCR). To accomplishthis, the 3′CVB primer (5′-ATTGTACGCCACATACTC, annealing on CVB CP gene sequence) and the Int5 primer (5′-CAAACCAGCTAGAATTACTA, annealing on pdk intron sequence) were used. Reverse transcription was carried out using M-MuLV RT (Thermo Scientific, Vilnius, Lithuania), following the manufacturer’s instruction. To reverse transcription polymerase chain reaction (RT-PCR) analyze the plants transformed with vectors pBSS, pBDS, and pBAS, were used CPF and CPR primers (5′-AGCAGACGAATGTGCACGT and 5′-GCTCCATTTTCGACATAGTCGA, respectively, annealing on CVB CP gene sequence); with pRNAiVB—IntF primer (5′-ATATATTGTTTACATAAACAAC) and IntR primer (5′-TAGAAATTAATAAGAATGTTG, the primers are annealed on the sequence of pdk intron). For the detection of target sequences, the cDNAs were amplified by PCR using the same primers.

2.3. Southern Blot Analysis

For Southern Blot analysis, DNA extraction from the leaves of greenhouse-grown plants was carried out by using the Rogers and Benedich protocol [21]. Chrysanthemum genomic DNA (50 µg) was digested overnight at 37 °C with 100 U EcoRI (vector pRNAiVB) or EcoRV (vectors pBSS, pBDS, and pBAS), which cut the T-DNA of these vectors at a single position. The DNA of non-transformed chrysanthemum plants digested with EcoRI or EcoRV was used as a negative control. After agarose gel (0.8%) electrophoresis, the digestion products were transferred and immobilized onto the Hybond N+ membrane (GE Healthcare, Little Chalfont, UK), following the manufacturer’s instruction. The DNA probe was prepared by PCR using plasmid pBSS as the template, and primers CPF и CPR. Probe DNA was labeled with alkaline phosphatase using the AlkPhos Direct Labeling Kit (GE Healthcare, Little Chalfont, UK). Prehybridization, hybridization (overnight at 60 °C) with an alkaline phosphatase-labeled probe, and subsequent washings of the membrane were carried out according to the AlkPhos Direct Labeling Kit protocol. Detection was performed using a CDP-Star detection reagent following the manufacturer’s directions (GE Healthcare, Little Chalfont, UK).

2.4. CVB Resistance Assay

To evaluate the resistance of transgenic chrysanthemum to CVB, infected scions were grafted on transgenic and control non-transformed plants. As a source of cuttings for grafting, chrysanthemum plants of the cultivar Potap infected with CVB were used. Graft-inoculation was done on five-week-old greenhouse plants. Green sprouts of CVB-infected plants were grafted onto transgenic and control plants of the same diameter, which were approximately 6 mm, by whip-grafting. For the CVB resistance assay, the 13 to 15 plants of each transgenic line were grafted. All grafted transgenic and control plants were grown in the greenhouse at 21 °C/18 °C day/night temperatures for eight weeks.

2.5. Isolation of Total Protein and Western Blotting

Total soluble protein was isolated from leaves of the greenhouse grown plants. Samples (0.5 g) were ground in liquid nitrogen and resuspended in four volumes of extraction buffer (50 mM Tris-HCl, pH 8.0; 10 mM EDTA, pH 8.0; 100 mM NaCl; 10 mM 2-mercaptoethanol). Extraction was carried out for 20 min at +4 °C, samples were centrifuged for 10 min at 12,000 g, and supernatant was collected for the analysis. Total proteins (50 µg) from each transgenic line were separated by 12.5% SDS-PAGE and transferred onto a nitrocellulose membrane (Bio Rad, Hercules, CA, USA). Polyclonal antibodies to CVB coat protein (Loewe Biochemica GmbH, Sauerlach, Germany) were used as a primary antibody in a 1:1000 dilution. Anti-rabbit IgG conjugated with alkaline phosphatase (Pierce, Appleton, WI, USA) was used as the secondary antibody in a 1:2000 dilution. Blots were visualized with BCIP/NBT substrate (Thermo Scientific, Vilnius, Lithuania). CVB samples from Loewe Biochemica GmbH (Sauerlach, Germany) were used as the positive antigen control.

2.6. DAS-ELISA of CVB

CVB infection was evaluated using Double Antibody Sandwich ELISA (DAS-ELISA). Protein extraction was carried out as described above, except the powered material was suspended in three volumes of extraction buffer. The samples were analyzed using a commercial kit (Loewe Biochemica GmbH, Sauerlach, Germany), following the manufacturer’s instructions. The rabbit polyclonal anti-CVB CP antibody was used. Absorbance was measured with an iMark Microplate reader (Bio Rad, Hercules, CA, USA) at 415 nm.
The results were expressed as the ratio of the optical density (OD) of the samples obtained from the infected transgenic (it) plants (ODit) to the optical density of uninfected non-transgenic (un-t) plants samples (ODun-t). The plants were considered infected if the ratio of ODit/ODun-t was more than or equal to 1.5. If ODit/ODun-t was less than 1.5, the plants were considered uninfected. The significance of the differences in CP CVB accumulation between transgenic lines and control plants was analyzed by using the one-way analysis of variance (ANOVA) test (Statistica 6.1 software, StatSoft Inc., Tulsa, OK, USA).

3. Results

3.1. Agrobacterium-Mediated Transformation of Chrysanthemum Plants with pRNAiVB Vector and PCR-Analisis of Transformants

The induction of kanamycin-resistant calli was observed after twoweeks of explants cultivation on a regeneration medium with 50.0 mg/L kanamycin. Some of these calli died off within fourweeks of cultivation. The remaining calli vigorously grew on a kanamycin-containing medium. The shoot regeneration began after two months of cultivation. The adventitious shoots arose from calli. On average, two regenerants were formed per one explant. The regenerants were cut off from the explants and cultivated on a multiplication medium containing 50.0 mg/L kanamycin for further selection and proliferation.
At this stage, the kanamycin-resistant chrysanthemum plants were analyzed by using PCR to determine the presence of the target pRNAiVB sequence. A DNA fragment of the expected size was amplified from the DNA of eight putatively transgenic lines from the nine lines studied. In DNA samples from non-transformed plants, amplification of the target fragment was not observed (data not shown).
When the shoots of transgenic plants reached a height of 3 to 4 cm, they were transferred to a rooting medium containing 50.0 mg/L kanamycin. The rooted plants with no signs of toxic effect from kanamycin were adapted to the conditions in vivo and then cultivated in a greenhouse. The transgenic chrysanthemum did not differ morphologically from the non-transformed counterparts. The development and growth rate of these plants in the greenhouse did not differ from the corresponding characteristics of the non-transformed plants. In total, eight independent transgenic lines of chrysanthemum were obtained.

3.2. Analysis of Integration and Expression of Target Sequencesin Transgenic Plants

Southern blot analysis of transgenic lines selected for the following studies was performed to further confirm the transgenic origin of these lines. Genomic DNA of plants transformed with pBSS, pBDS, and pBAS was digested with EcoRV and then transformed with pRNAiVB-EcoRI. Results confirmed integration of the target sequences into chrysanthemum genomic DNA (Figure 2). Based on the hybridization profile, the number of transgene inserts varied from one (lines pBSS1, pBAS5, and pRNAiVB6 and 18) to six (line pBSS C) in the studied lines, which is typical for Agrobacterium-mediated transformation. The DNA from non-transformed plants failed to hybridize to the probe.
The transgenic chrysanthemum lines were further analyzed by using RT-PCR on the transcription of target sequences. The lines were transformed with pBSS, pBDS, and pBAS- on the CVB CP gene. The lines were transformed with pRNAiVB- on the sequence of the pdk-intron.
RT-PCR analysis revealed the amplification of target sequence cDNA fragments of an expected length in all studied lines (see Figure 3). RNA samples from non-transformed plants’ amplification of the corresponding fragments were not observed. It is important to note that plants transformed with vectors pBSS, pBDS, and pBAS were obtained in 2006. The detection of the corresponding cDNA in these plants confirms the stability of the transgene expression. This is fundamentally important for obtaining virus-resistant cultivars.

3.3. CVB Resistance Assay and DAS-ELISA and WB Analysis

Previously, we have shown that the method of mechanical inoculation of CVB in chrysanthemum plants (rubbing carborundum powder into the leaves with sap from infected plants) is not efficient, since no more than 10% of the plants were infected by using this method.
In this regard, for CVB resistance assays, a graft transmission of virus was used. In preliminary experiments, the shoots from infected plants were grafted on non-transgenic ones. The presence of CVB in leaves of non-transgenic rootstocks was detected using Western blot analysis after two-month cultivation in the greenhouse. CVB was revealed in 95% of the grafted plants (see Figure 4). As such, the efficiency of graft transmission for artificial infection of CVB in chrysanthemum plants was found. This method was used in further experiments.
The results of DAS-ELISA of transgenic chrysanthemum plants infected with CVB are shown in Figure 5. The lines obtained after transformation with the pBAS vector did not demonstrate resistance to CVB. The BAS8 line was infected at the level of non-transgenic plants. Although the level of CVB accumulation in the lines BAS1, BAS2, and BAS5 was lower than in the non-transgenic control plants, it was several times higher than that observed in non-infected plants.
The lines transformed with the pBSS vector were more resistant to CVB. In the lines BSS A and BSS 84-3, the ODit/ODun-t ratio equaled 1.5. Since the ODit/ODun-t values for these lines were equal to the value of the determined threshold, the lines BSS A and BSS 84-3 were classified as tolerant. The lines BSS C, BSS D, BSS E, and BSS 1 turned out to be susceptible to viral infection.
Among the lines transformed with pBDS, the two lines—BDS21 and BDS23—demonstrated resistance for virus infection; the ODit/ODun-t ratios were 1.3 and 1.1, respectively. The mean of optical densities for these lines did not differ from non-infected plants. In plants of BDS7 and BDS35 lines, low CVB accumulation was detected and the ODit/ODun-t ratios were 1.9 and 1.8, respectively. Since the ODit/ODun-t values for these lines were only slightly larger thanthe established threshold, the lines BDS7 and BDS35 were classified as tolerant.
The other pBDSlines did notdemonstrate any resistance, but the level of virus accumulation was approximately two times lower than in infected non-transgenic plants. Among the lines transformed with pRNAiVB, only an RNAIVB5 line turned out to be resistant to viral infection. The ODit/ODun-t ratio was measured to be 1.4. The other seven lines were not resistant to CVB infection. The results of the CVB resistance assay are summarized in Table 1.
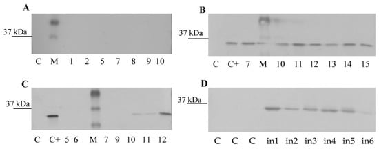
It should be noted that in our experiment, no symptoms of CVB infection were observed. Infected and non-infected control plants did not differ neither in growth and development features, nor in flower morphology. To verify DAS-ELISA results, selected lines with different resistances were additionally analyzed by Western blotting. In transgenic plants of the resistant RNAIVB5 line, CVB was not detected by Western blotting. Simultaneously, all plants of the susceptible line RNAIVB18 demonstrated the presence of bands corresponding to virus B coat proteins (molecular weight of the CP CVB is 34.6 kDа, Figure 6A,B).
The line RNAIVB4 was susceptible to CVB, but its accumulation was significantly lower than in infected non-transgenic plants. Using Western blot analysis, it was shown that CVB accumulated in only three out of seven studied plants (see Figure 6C). CVB was not detected in plants 5, 6, 7, or 9. However, in plants 10, 11, and 12, the virus was present. The control non-transgenic plants were infected with 100% frequency. CVB was not detected in the samples of the non-infected control plants that pointed to the absence of viral infection during the experiment (see Figure 6D).

4. Discussion

The aim of the study was to compare the efficacy of different approaches to produce chrysanthemum plants with enhanced resistance to virus B. Among transgenic plants transformed by the CVB coat protein gene in the antisense (pBAS vector) and sense orientation (pBSS vector), no lines resistant to infection were found. The efficacy of these approaches to produce the plants resistant to viruses was repeatedly confirmed [14,22]. Most likely, the absence of resistant lines in our experiments was due to an insufficient number of studied lines.
The lines resistant to infection were obtained after transforming chrysanthemum plants with double sequences of the CP CVB gene in the sense orientation (pBDS vector) or with the RNA-interference vector pRNAiVB. Transformation with a pBDS-vector was the most efficient approach in our study. The results show that 16.7% of the transgenic lines were resistant to CVB.
It was originally thought that the recombinant virus coat protein inhibits the synthesis of viral proteins, which is necessary for the release of viral RNA from the particle [23]. The chrysanthemum virus B genome is a single-stranded sense RNA, but in the life cycle of the virus, there is an antisense RNA stage [24]. Transgenic lines were obtained in our study after transformation with pBSS and pBDS vectors, which transcribed the CP mRNA. It will likely form two-stranded complexes with complementary antisense RNA of CVB with further triggering of the RNA-interference mechanism. It is important to note that transcription of the CP gene was detected 10 years after the transgenic plants were produced. This means that it was stable in time.
The results obtained after transformation of the chrysanthemum plants with the pRNAiVB vector were similar to those shown in the experiments when the pBDS vector was used. Transformation with the pRNAiVB vector revealed a line resistant to CVB infection (one out of the eight studied lines that corresponded to 12.5% of resistant lines). We assume that the relatively low efficiency of this approach depends on the peculiarities of the structure of the pRNAiVB vector. The length of the CVB CP fragment cloned into the vector was equal to 276 bp, which could be insufficient for efficient generation of siRNA and inadequate for efficient suppression of virus replication.
In summary, we obtained chrysanthemum transgenic lines resistant to CVB infection including one line after transformation with the pRNAiVB vector and two lines after transformation with the pBDS vector. According to the results of our study, the most effective approach for obtaining chrysanthemums resistant to CVB is transformation with double sequence of the CP CVB gene in sense orientation or using RNA-interference vectors.

5. Conclusions

The results we obtained confirmed the efficiency of approaches based on RNA-interference mechanisms of plant protection against viral infection. Chrysanthemum plants resistant to virus B were obtained both by transformation with RNA-interference vectors and by transformation with double sequences of the CP CVB gene in the sense orientation. Both approaches turned out to be almost equally efficient. The obtained results offer the possibility of producing the chrysanthemum cultivars resistant to CVB and can be applied in breeding of this culture.

Acknowledgments

The work was supported by the Russian Science Foundation, grant No. 14-50-00079.

Author Contributions

O.A.S. designed the vectors. S.M.T. conducted the experiments. T.Y.M. and A.P.F. conducted the experiments, analyzed the data, and wrote the manuscript. A.S.P. analyzed the transgenic plants. S.V.D. conceived the research and revised the manuscript.

Conflicts of Interest

The authors declare no conflict of interest.

References

  1. Agriculture Victory. Available online: http://agriculture.vic.gov.au/agriculture/pests-diseases-and-weeds/plant-diseases/flowers-and-ornamentals/virus-diseases-of-chrysanthemums (accessed on 5 March 2018).
  2. Microbial Information Network of China. Available online: http://sdb.im.ac.cn/vide/famly044.htm#Chrysanthemum morifolium (accessed on 5 March 2018).
  3. Zavriev, S.K.; Kanyuka, K.V.; Levay, K.E. The genome organization of Potato virus M RNA. J. Gen. Virol. 1991, 72, 9–14. [Google Scholar] [CrossRef] [PubMed][Green Version]
  4. Lawrence, D.M. Hillman BI Synthesis of infectious transcripts of Blueberry scorch carlavirus in vitro. J. Gen. Virol. 1994, 75, 2509–2512. [Google Scholar] [CrossRef] [PubMed]
  5. Hataya, T.; Uchino, K.; Arimoto, R.; Suda, N.; Sano, T.; Shikata, E.; Uyeda, I. Molecular characterization of Hop latent virus and phylogenetic relationships among viruses closely related to carlaviruses. Arch. Virol. 2000, 145, 2503–2524. [Google Scholar] [CrossRef] [PubMed]
  6. Matousek, J.; Schubert, J.; Ptacek, J.; Kozlová, P.; Dědic, P. Complete nucleotide sequence and molecular probing of Potato virus S genome. Acta Virol. 2005, 49, 195–205. [Google Scholar] [PubMed]
  7. Powell, P.A.; Stark, D.M.; Sanders, P.R.; Beachy, R.N. Protection against tobacco mosaic virus in transgenic plants that express tobacco mosaic virus antisense RNA. Proc. Natl. Acad. Sci. USA 1989, 86, 6949–6952. [Google Scholar] [CrossRef] [PubMed]
  8. David, C. Baulcombe Mechanisms of Pathogen-Derived Resistance to Viruses in Transgenic Plants. Plant Cell 1996, 8, 1833–1844. [Google Scholar]
  9. Nelson, A.; Roth, D.A.; Johnson, D. Tobacco mosaic virus infection of transgenic Nicotianatabacum plants is inhibited by antisense constructs directed at the 5′ region of viral RNA. Gene 1993, 127, 227–232. [Google Scholar] [CrossRef]
  10. Waterhouse, P.M.; Graham, M.W.; Wang, M.-B. Virus resistance and gene silencing in plants can be induced by simultaneous expression of sense and antisense RNA. Proc. Natl. Acad. Sci. USA 1998, 95, 13959–13964. [Google Scholar] [CrossRef] [PubMed]
  11. Eamens, A.; Wang, M.-B.; Smith, N.A.; Waterhouse, P.M. RNA Silencing in Plants: Yesterday, Today, and Tomorrow. Plant Physiol. 2008, 147, 456–468. [Google Scholar] [CrossRef] [PubMed]
  12. Agrawal, N.; Dasaradhi, P.V.; Mohmmed, A.; Malhotra, P.; Bhatnagar, R.K.; Mukherjee, S.K. RNA Interference: Biology, Mechanism, and Applications. Microbiol. Mol. Biol. Rev. 2003, 67, 657–685. [Google Scholar] [CrossRef] [PubMed]
  13. Kurth, E.G.; Peremyslov, V.V.; Prokhnevsky, A.I.; Kasschau, K.D.; Miller, M.; Carrington, J.C.; Dolja, V.V. Virus-Derived Gene Expression and RNA Interference Vector for Grapevine. J. Virol. 2012, 86, 6002–6009. [Google Scholar] [CrossRef] [PubMed]
  14. Vassilakos, N. Stability of Transgenic Resistance against Plant Viruses. In Transgenic Plants—Advances and Limitations; Çiftçi, Y.O., Ed.; InTech: Rijeka, Croatia; Shanghai, China, 2012. [Google Scholar] [CrossRef]
  15. Savenkov, E.I.; Valkonen, J.P.T. Coat protein gene-mediated resistance to Potato virus A in transgenic plants is suppressed following infection with another potyvirus. J. Gen. Virol. 2001, 82, 2275–2278. [Google Scholar] [CrossRef] [PubMed]
  16. Guo, J.; Gao, S.; Lin, Q.; Wang, H.; Que, Y.; Xu, L. Transgenic Sugarcane Resistant to Sorghum mosaic virus Based on Coat Protein Gene Silencing by RNA Interference. BioMed Res. Int. 2015, 2015, 861907. [Google Scholar] [CrossRef] [PubMed]
  17. Skachkova, T.S.; Mitiouchkina, T.Y.; Taran, S.A.; Dolgov, S.V. Molecular biology approach for improving chrysanthemum resistance to virus B. Acta Hortic. 2006, 714, 185–192. [Google Scholar] [CrossRef]
  18. Mitiouchkina, T.; Skachkova, T.; Shulga, O.; Dolgov, S. Expression of TheChrysanthemum Virus BCoat Protein Gene in Transgenic Chrysanthemum. Acta Hortic. 2011, 901, 95–98. [Google Scholar] [CrossRef]
  19. Van Engelen, F.A.; Molthoff, J.W.; Conner, A.J.; Nap, J.-P.; Pereira, A.; Stiekema, W.J. pBINPLUS: An improved plant transformation vector based on pBIN19. Transgenic Res. 1995, 4, 288–290. [Google Scholar] [CrossRef] [PubMed]
  20. Mitiouchkina, T.Y.; Dolgov, S.V. Modification of chrysanthemum plant and flower architecture by rolC gene from Agrobacterium rhizogenes introduction. Acta Hortic. 2000, 508, 163–172. [Google Scholar] [CrossRef]
  21. Rogers, S.O.; Bendich, A.J. Extraction of total cellular DNA from plants, algae and fungi. In Plant Molecular Biology Manual; Gelvin, S.B., Schilperoort, R.A., Eds.; Springer: Dordrecht, The Netherlands, 1994; pp. 183–190. [Google Scholar]
  22. Kertbundit, S.; Pongtanom, N.; Ruanjan, P.; Chantasingh, D.; Tanwanchai, A.; Panyim, S.; Juříček, M. Resistance of transgenic papaya plants to papaya ringspot virus. Biol. Plant. 2007, 51, 333–339. [Google Scholar] [CrossRef]
  23. Hefferon, K.L. Transgenic Plants: Biotechnology. In Agricultural Biotechnology; Doelle, H.W., Rokem, S., Eds.; EOLSS Publishers Co. Ltd.: Paris, France, 2009; Volume 8, pp. 144–168. [Google Scholar]
  24. Mandahar, C.L. Multiplication of RNA Plant Viruses; Springer: Dordrecht, The Netherlands, 2006. [Google Scholar]
Figure 1. The expression cassettes structure of used transformation vectors. RB and LB—right and the left borders of T-DNA; pNOS—nopaline synthase promoter, nos-ter—nopaline synthase terminator; nptII—neomycin phosphotransferase II gene; 35SD—double 35S promoter of cauliflower mosaic virus; AMV enh—enhancer element from the alfalfa mosaic virus; CP CVB—chrysanthemum virus B coat protein gene (or its 296 bp fragment in the pRNAIVB vector); pdk—intron of pyruvate-orthophosphate-dikinase gene from Flaveriatrinervia Flaveria trinervia (Sprengel) C. Mohr.
Figure 1. The expression cassettes structure of used transformation vectors. RB and LB—right and the left borders of T-DNA; pNOS—nopaline synthase promoter, nos-ter—nopaline synthase terminator; nptII—neomycin phosphotransferase II gene; 35SD—double 35S promoter of cauliflower mosaic virus; AMV enh—enhancer element from the alfalfa mosaic virus; CP CVB—chrysanthemum virus B coat protein gene (or its 296 bp fragment in the pRNAIVB vector); pdk—intron of pyruvate-orthophosphate-dikinase gene from Flaveriatrinervia Flaveria trinervia (Sprengel) C. Mohr.
Agronomy 08 00028 g001
Figure 2. Southern blot analysis of transgenic chrysanthemum lines. Numbers and letters denote different transgenic lines. P—plasmid DNA of pBSS, C—nontransformed control plant, and M—molecular size marker.
Figure 2. Southern blot analysis of transgenic chrysanthemum lines. Numbers and letters denote different transgenic lines. P—plasmid DNA of pBSS, C—nontransformed control plant, and M—molecular size marker.
Agronomy 08 00028 g002
Figure 3. The results of RT PCR-analysis of transgenic chrysanthemum plants. The plants transformed with pBSS vector (A), pBDS (B), pBAS (C), and pRNAiVB (D). Numbers denote different transgenic lines. C—nontransformed control plant. M—molecular size marker. The expected lengths of the amplified fragments are 517 bp (pBSS, pBDS, and pBAS vectors) and 519 bp (pRNAiVB).
Figure 3. The results of RT PCR-analysis of transgenic chrysanthemum plants. The plants transformed with pBSS vector (A), pBDS (B), pBAS (C), and pRNAiVB (D). Numbers denote different transgenic lines. C—nontransformed control plant. M—molecular size marker. The expected lengths of the amplified fragments are 517 bp (pBSS, pBDS, and pBAS vectors) and 519 bp (pRNAiVB).
Agronomy 08 00028 g003
Figure 4. Western blot analysis for CVB of protein samples from the leaves of non-transgenic chrysanthemum plants after infection using grafting. C1–C3—non-transgenic non-infected plants. G1–G4—non-transgenic plants grafted with infected shoots after two-month growth in the greenhouse. M—molecular size marker. C+—CVB positive control (Loewe Biochemica, Sauerlach, Germany).
Figure 4. Western blot analysis for CVB of protein samples from the leaves of non-transgenic chrysanthemum plants after infection using grafting. C1–C3—non-transgenic non-infected plants. G1–G4—non-transgenic plants grafted with infected shoots after two-month growth in the greenhouse. M—molecular size marker. C+—CVB positive control (Loewe Biochemica, Sauerlach, Germany).
Agronomy 08 00028 g004
Figure 5. DAS-ELISA analysis of transgenic chrysanthemum plants infected with CVB. ODit/ODun-t denotes the ratio of the optical density of the samples obtained from the infected transgenic plants (ODit) to the optical density of uninfected non-transgenic plants samples (ODun-t). C—uninfected non-transgenic plant. Ch14—infected non-transgenic plants. The red line indicates the threshold value of the ratio ODit/ODun-t. Error bars indicate ± SD.
Figure 5. DAS-ELISA analysis of transgenic chrysanthemum plants infected with CVB. ODit/ODun-t denotes the ratio of the optical density of the samples obtained from the infected transgenic plants (ODit) to the optical density of uninfected non-transgenic plants samples (ODun-t). C—uninfected non-transgenic plant. Ch14—infected non-transgenic plants. The red line indicates the threshold value of the ratio ODit/ODun-t. Error bars indicate ± SD.
Agronomy 08 00028 g005
Figure 6. Western blot analysis of transgenic chrysanthemum lines with different resistance to CVB. (А) Transgenic line pRNAIVB5. (B) Transgenic line pRNAIVB18. (C) Transgenic line pRNAIVB4. (D) Non-transformed control plants after infection. The numbers denote the plants of the studied lines. C—non-transformed non-infected plants. C+—CVB infected chrysanthemum plants cv. Potap. in1–in6—non-transformed CVB infected plants. M—molecular size marker.
Figure 6. Western blot analysis of transgenic chrysanthemum lines with different resistance to CVB. (А) Transgenic line pRNAIVB5. (B) Transgenic line pRNAIVB18. (C) Transgenic line pRNAIVB4. (D) Non-transformed control plants after infection. The numbers denote the plants of the studied lines. C—non-transformed non-infected plants. C+—CVB infected chrysanthemum plants cv. Potap. in1–in6—non-transformed CVB infected plants. M—molecular size marker.
Agronomy 08 00028 g006
Table 1. Results of CVB resistance assay of transgenic chrysanthemum lines transformed with different vectors.
Table 1. Results of CVB resistance assay of transgenic chrysanthemum lines transformed with different vectors.
VectorA Number of the Studied LinesA Number of Resistant Lines (ODit/ODun-t < 1,4)A Part of Resistant Lines out of a Total Number of the Studied Lines, %
pBAS400
pBSS600
pBDS12216, 7
pRNAiVB8112, 5

Share and Cite

MDPI and ACS Style

Mitiouchkina, T.Y.; Firsov, A.P.; Titova, S.M.; Pushin, A.S.; Shulga, O.A.; Dolgov, S.V. Different Approaches to Produce Transgenic Virus B Resistant Chrysanthemum. Agronomy 2018, 8, 28. https://doi.org/10.3390/agronomy8030028

AMA Style

Mitiouchkina TY, Firsov AP, Titova SM, Pushin AS, Shulga OA, Dolgov SV. Different Approaches to Produce Transgenic Virus B Resistant Chrysanthemum. Agronomy. 2018; 8(3):28. https://doi.org/10.3390/agronomy8030028

Chicago/Turabian Style

Mitiouchkina, Tatiana Y., Aleksey P. Firsov, Svetlana M. Titova, Alexander S. Pushin, Olga A. Shulga, and Sergey V. Dolgov. 2018. "Different Approaches to Produce Transgenic Virus B Resistant Chrysanthemum" Agronomy 8, no. 3: 28. https://doi.org/10.3390/agronomy8030028

APA Style

Mitiouchkina, T. Y., Firsov, A. P., Titova, S. M., Pushin, A. S., Shulga, O. A., & Dolgov, S. V. (2018). Different Approaches to Produce Transgenic Virus B Resistant Chrysanthemum. Agronomy, 8(3), 28. https://doi.org/10.3390/agronomy8030028

Note that from the first issue of 2016, this journal uses article numbers instead of page numbers. See further details here.

Article Metrics

Back to TopTop