In Vivo Evaluation of Innovative Gadolinium-Based Contrast Agents Designed for Bioimaging Applications
Abstract
1. Introduction
2. Materials and Methods
2.1. Synthesis and Characterization of GdDOTA⊂CS-TPP/HA Nanogels
2.2. Experimental Models In Vivo CD-1 Albino Mice
2.3. Biochemical Analyses
2.3.1. Serum Biochemical Analyses
2.3.2. Preparation of the Total Tissue Extract
2.3.3. Oxidative Stress Markers
Malondialdehyde (MDA) Assay
Reduced Glutathione (GSH) Assay
Assessment of Advanced Protein Oxidation Products (AOPP)
Carbonyl Groups (PCG) Concentration
2.3.4. Analyses of the Activities of Antioxidant Enzymes
Superoxide Dismutase (SOD) Activity Assay
Catalase (CAT) Activity Assay
Glutathione Peroxidase (GPX) Activity Assay
2.4. Western Blot Analyses
Western Blot Analysis of Anti-Nitrotyrosine Proteins
2.5. Histological Analyses
2.6. Statistical Analysis
3. Results
3.1. Physico–Chemical Characteristics of GdDOTA-Based Nanogels
3.2. In Vivo Studies on CD-1 Albino Mice
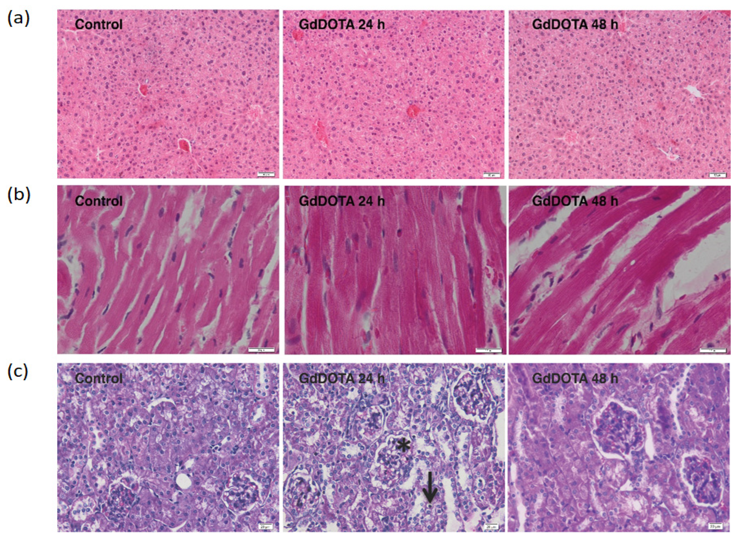
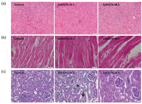
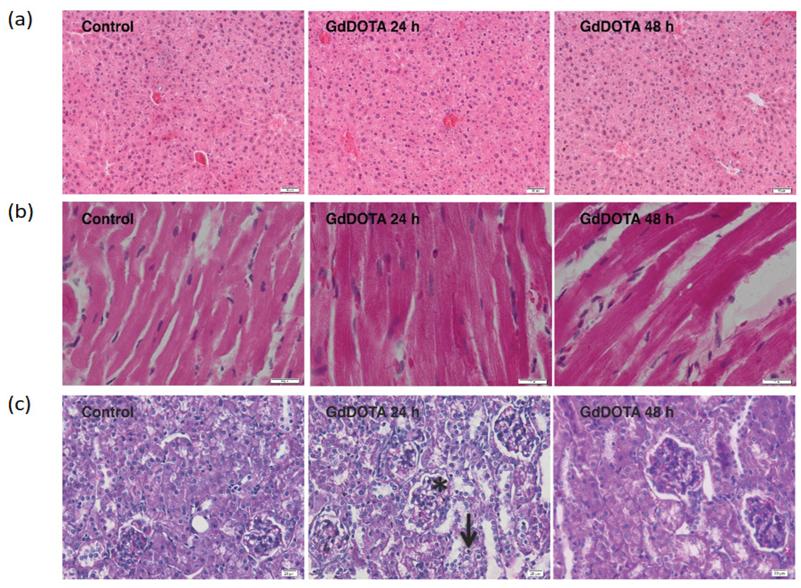
Evaluation of Histological Changes Induced with Gadolinium Nanohydrogels (GdDOTA⸦CS-TPP/HA) in the Liver, Heart, and Kidney Tissues
3.3. The Specific Superoxide Dismutase Activity (SOD), Catalase (CAT), and Glutathione Peroxidase (GPx) in Liver, Kidney, and Heart Tissues
3.4. Evaluation of Oxidative Stress Markers
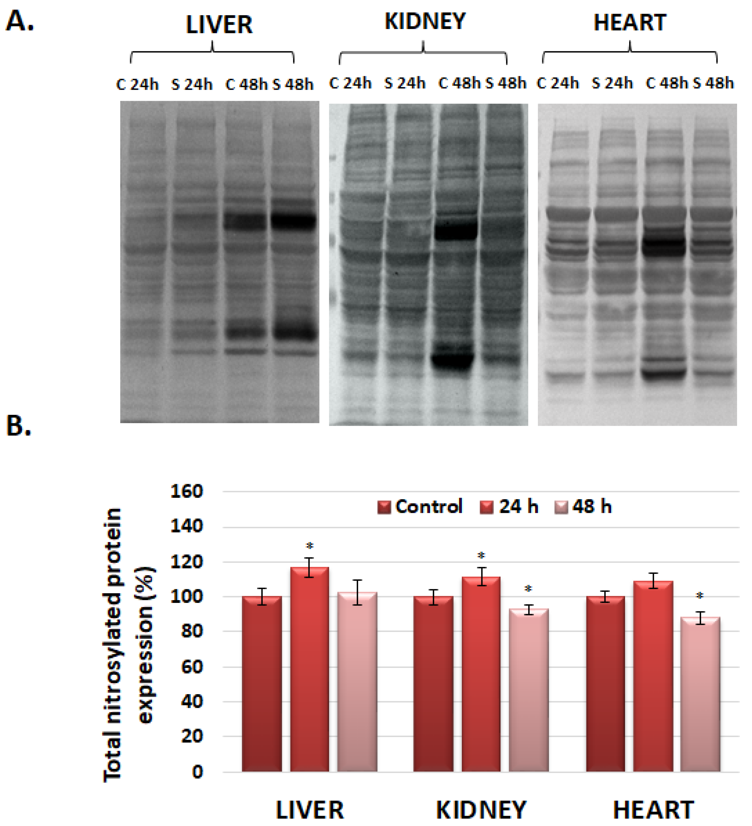
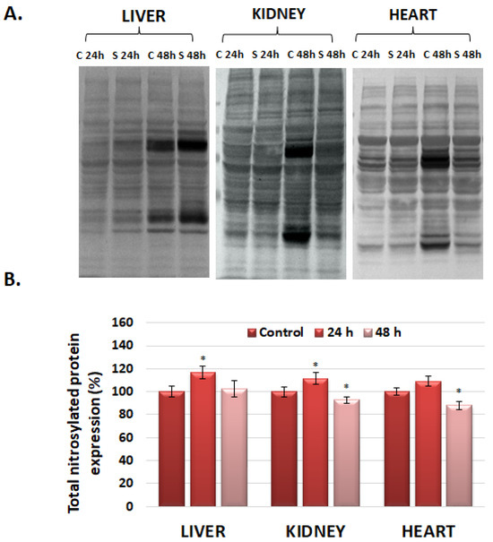
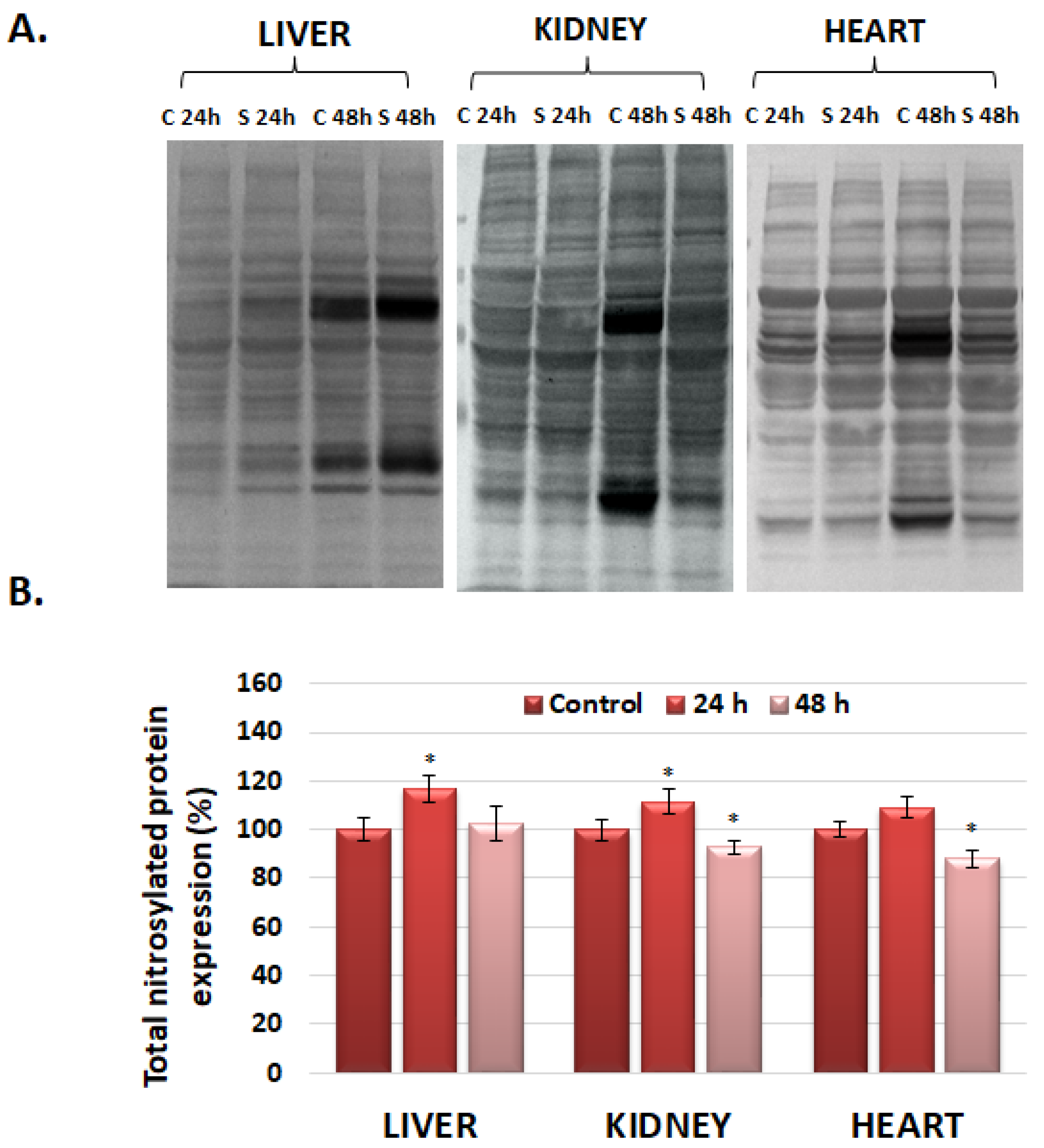
3.5. The Analysis of Nitrosylated Protein Expression in the Liver, Kidney, and Heart via Western Blot
4. Discussion
5. Conclusions
Supplementary Materials
Author Contributions
Funding
Institutional Review Board Statement
Data Availability Statement
Acknowledgments
Conflicts of Interest
References
- Cheong, B.Y.C.; Wilson, J.M.; Preventza, O.A.; Muthupillai, R. Gadolinium-Based Contrast Agents: Updates and Answers to Typical Questions Regarding Gadolinium Use. Tex. Heart Inst. J. 2022, 49, e217680. [Google Scholar] [CrossRef] [PubMed]
- Carniato, F.; Tei, L.; Botta, M.; Ravera, F.; Fragai, M.; Parigi, G.; Luchinat, C. 1H NMR Relaxometric Study of chitosan-Based Nanogels Containing Mono-and Bis-Hydrated Gd(III) Chelates:Clues for MRI Probes of Improved Sensitivity. ACS Appl. Bio Mater. 2020, 3, 9065–9072. [Google Scholar] [CrossRef] [PubMed]
- LeFur, M.; Caravanh, P. The biological fate of gadolinium-based MRI contrast agents: A call to action for bioinorganic chemistry. Metallomics 2019, 11, 240–254. [Google Scholar] [CrossRef] [PubMed]
- Aime, S.; Botta, M.; Terreno, E. Gd (III)-based contrast agents for MRI. Adv. Inorg. Chem. 2005, 57, 173–177. [Google Scholar]
- Anderson, M.A.; Harrington, S.G.; Kozak, B.M.; Gee, M.S. Strategies to Reduce the Use of Gadolinium-Based Contrast Agents for Abdominal MRI in Children. AJR 2020, 214, 1054–1064. [Google Scholar] [CrossRef] [PubMed]
- Idée, J.; Fretellier, N.; Robic, C.; Corot, C. The role of gadolinium chelates in the mechanism of nephrogenic systemic fibrosis: A critical update. Crit. Rev. Toxicol. 2014, 44, 895–913. [Google Scholar] [CrossRef] [PubMed]
- Tweedle, M.F.; Kanal, E.; Muller, R. Considerations in the Selection of a New Gadolinium-Based Contrast Agent. Suppl. Appl. Radiol. 2014, 43, 1–11. [Google Scholar]
- Weinreb, J.C.; Rodby, R.A.; Yee, J.; Wang, C.L.; Fine, D.; McDonald, R.J.; Perazella, M.A.; Dillman, J.R.; Davenport, M.S. Use of Intravenous Gadolinium-based Contrast Media in Patients with Kidney Disease: Consensus Statements from the American College of Radiology and the National Kidney Foundation. Radiology 2021, 298, 28–35. [Google Scholar] [CrossRef] [PubMed]
- Rashid, H.U.; Yu, K.; Zhou, J. Lanthanide(III) Chelates as MRI Contrast Agents: A brief description. J. Struct. Chem. 2013, 54, 223–249. [Google Scholar] [CrossRef]
- Bara, M.T.G.; Gallardo-Higueras, A.; Moreno, E.M.; Laffond, E.; Muñoz Bellido, F.J.; Martin, C.; Sobrino, M.; Macias, E.; Arriba-Méndez, S.; Castillo, R.; et al. Hypersensitivity to Gadolinium-Based Contrast Media. Front. Allergy 2022, 3, 813927. [Google Scholar] [CrossRef] [PubMed]
- Gianolio, E.; Bardini, P.; Arena, F.; Stefania, R.; Di Gregorio, E.; Iani, R.; Aime, S. Gadolinium Retention in the Rat Brain: Assessment of the Amounts of Insoluble Gadolinium-containing Species and Intact Gadolinium Complexes after Repeated Administration of Gadolinium-based Contrast Agents. Radiology 2017, 285, 839–849. [Google Scholar] [CrossRef] [PubMed]
- Karfeld-Sulzer, L.S.; Waters, E.A.; Davis, N.E.; Meade, T.J.; Barron, A.E. Multivalent Protein Polymer MRI Contrast Agents: Controlling Relaxivity via Modulation of Amino Acid Sequence. Biomacromolecules 2010, 11, 1429–1436. [Google Scholar] [CrossRef] [PubMed]
- Besenius, P.; Heynens, J.L.M.; Straathof, R.; Nieuwenhuizen, M.M.L.; Bomans, P.H.H.; Terreno, E.; Aime, S.; Strijkers, G.J.; Nicolay, K.; Meijer, E.W. Paramagnetic Self-Assembled Nanoparticles as Supramolecular MRI Con-trast Agents. Contrast Media Mol. Imaging 2012, 7, 356–361. [Google Scholar] [CrossRef] [PubMed]
- Gallo, E.; Diaferia, C.; Di Gregorio, E.; Morelli, G.; Gianolio, R.; Accardo, A. Peptide-Based Soft Hydrogels Modified with Gadolinium Complexes as MRI Contrast Agents. Pharmaceuticals 2020, 13, 19. [Google Scholar] [CrossRef]
- Diaferia, C.; Gianolio, E.; Accardo, A. Peptide-based building blocks as structural elements for supramolecu-lar Gd-containing MRI contrast agents. J. Pept. Sci. 2019, 25, e3157. [Google Scholar] [CrossRef] [PubMed]
- Pierri, G.; Schettini, R. Advances in MRI: Pep-tide and Peptidomimetic-Based Contrast Agents. J. Pept. Sci. 2024, 30, e3544. [Google Scholar] [CrossRef] [PubMed]
- Kabanov, A.V.; Vinogradov, S.V. Nanogels as pharmaceutical carriers: Finite networks of infinite capabilities. Angew. Chem. Int. Ed. 2009, 48, 5418–5429. [Google Scholar] [CrossRef] [PubMed]
- Younes, I.; Rinaudo, M. Chitin and Chitosan Preparation from Marine Sources. Structure, Properties and Applications. Mar. Drugs 2015, 13, 1133–1174. [Google Scholar] [CrossRef]
- Gheran, C.V.; Rigaux, G.; Callewaert, M.; Berquand, A.; Molinari, M.; Chuburu, F.; Voicu, S.N.; Dinischiotu, A. Biocompatibility of Gd-Loaded Chitosan-Hyaluronic Acid Nanogels as Contrast Agents for Magnetic Resonance Cancer Imaging. Nanomaterials 2018, 8, 201. [Google Scholar] [CrossRef]
- Gheran, C.V.; Voicu, S.N.; Gălățeanu, B.; Callewaert, M.; Moreau, J.; Cadiou, C.; Chuburu, F.; Dinischiotu, A. In Vitro Studies Regarding the Safety of Chitosan and Hyaluronic Acid-Based Nanohydrogels Containing Contrast Agents for Magnetic Resonance Imaging. Int. J. Mol. Sci. 2022, 23, 3258. [Google Scholar] [CrossRef]
- Volpi, N.; Schiller, J.; Stern, R.; Soltés, L. Role, metabolism, chemical modifications and applications of hyaluronan. Curr. Med. Chem. 2009, 16, 1718–1745. [Google Scholar] [CrossRef] [PubMed]
- Rigaux, G.; Gheran, C.V.; Callewaert, M.; Cadiou, C.; Voicu, S.N.; Dinischiotu, A.; Andry, M.C.; Vander Elst, L.; Laurent, S.; Muller, R.N.; et al. Characterization of Gd loaded chitosan-TPP nanohydrogels by a multi-technique approach combining dynamic light scattering (DLS), asymetrical flow-field-flow fractionation (AF4) and atomic force microscopy (AFM) and design of positive contrast agents for molecular resonance imaging (MRI). Nanotechnology 2017, 28, 055705. [Google Scholar]
- Lowry, O.H.; Rosebrough, N.J.; Farr, A.L.; Randall, R.J. Protein measurement with Folin phenol reagent. J. Biol. Chem. 1951, 193, 265–275. [Google Scholar] [CrossRef]
- Del Rio, D.; Pellegrini, N.; Colombi, B.; Bianchi, M.; Serafini, M.; Torta, F.; Tegoni, M.; Musci, M.; Brighenti, F. Rapid Fluorimetric method to detect total plasma malondialdehyde with mild derivatization conditions. Clin. Chem. 2003, 49, 690–692. [Google Scholar] [CrossRef]
- Witko-Sarsat, V.; Gausson, V.; Descamps-Latscha, B. Are advanced oxidation protein products potential uremic toxins? Kidney Int. 2003, 63, S11–S14. [Google Scholar] [CrossRef]
- Witko, V.; Nguyen, A.T.; Descamps-Latscha, B. Microtiter plate assay for phagocyte-derived taurine-chloramines. J. Clin. Lab. Anal. 1992, 6, 47–53. [Google Scholar] [CrossRef] [PubMed]
- Fields, R.; Dixon, H.B.F. Micro method for determination of reactive carbonyl groups in proteins and peptides, using 2,4-Dinitrophenylhydrazine. Biochem. J. 1971, 121, 587–589. [Google Scholar] [CrossRef] [PubMed]
- Paoletti, F.; Aldinucci, D.; Mocali, A.; Caparrini, A. A sensitive spectrophotometric method for the determination of superoxide dismutase activity in tissue extracts. Anal. Biochem. 1986, 154, 536–541. [Google Scholar] [CrossRef] [PubMed]
- Aebi, H. Catalase. In Methods of Enzymatic Analysis-Vol. 3; Bergmeyer, H.U., Ed.; Verlag Chemie/Academic Press Inc.: New York, NY, USA, 1974; pp. 673–677. [Google Scholar]
- Beutler, E. Red Cell Metabolism: A Manual of Biochemical Methods, 3rd ed.; Grune and Stratton: Orlando, FL, USA, 1984; pp. 68–73. ISBN 978-0808916727. [Google Scholar]
- Courant, T.; Roullin, V.G.; Cadiou, C.; Callewaert, M.; Andry, M.C.; Portefaix, C.; Hoeffel, C.; de Goltstein, M.C.; Port, M.; Laurent, S.; et al. Hydrogels incorporating GdDOTA: Towards highly efficient dual T1/T2 MRI contrast agents. Angew. Chem. Int. Ed. 2012, 51, 9119–9122. [Google Scholar] [CrossRef] [PubMed]
- Dalle-Donne, I.; Rossi, R.; Giustarini, D.; Milzani, A.; Colombo, R. Protein carbonyl groups as biomarkers of oxidative stress. Clin. Chim. Acta 2003, 329, 23–38. [Google Scholar] [CrossRef]
- Wang, Z. Protein S-nitrosylation and cancer. Cancer Lett. 2012, 320, 123–129. [Google Scholar] [CrossRef] [PubMed]
- Gonçalves, C.; Pereira, P.; Gama, M. Self-Assembled Hydrogel Nanoparticles for Drug Delivery Applications. Materials 2010, 3, 1420–1460. [Google Scholar] [CrossRef]
- Vishnu Priya, M.; Sabitha, M.; Jayakumar, R. Colloidal chitin nanogels: A plethora of applications under one shell. Carbohydr. Pol. 2016, 136, 609–617. [Google Scholar] [CrossRef] [PubMed]
- Pognan, F.; Beilmann, M.; Boonen, H.C.M.; Czich, A.; Dear, G.; Hewitt, P.; Mow, T.; Oinonen, T.; Roth, A.; Steger-Hartmann, T.; et al. The evolving role of investigative toxicology in the pharmaceutical industry. Nat. Rev. Drug Discov. 2023, 22, 317–335. [Google Scholar] [CrossRef] [PubMed]
- Elsaesser, A.; Howard, C.V. Toxicology of nanoparticles. Adv. Drug Deliv. Rev. 2012, 64, 129–137. [Google Scholar] [CrossRef] [PubMed]
- Gheran, C.V.; Voicu, S.N.; Rigaux, G.; Callewaert, M.; Chuburu, F.; Dinischiotu, A. Biological effects induced by Gadolinium nanoparticles on Lymphocyte A20 cell line. EuroBiotech J. 2017, 1, 57–64. [Google Scholar] [CrossRef]
- Spencer, A.J.; Wilson, S.A.; Batchelor, J.; Reid, A.; Rees, J.; Harpur, E. Gadolinium chloride toxicity in the rat. Toxicol. Pathol. 1997, 25, 245–255. [Google Scholar] [CrossRef]
- Spencer, A.J.; Wilson, S.; Harpur, E. Gadolinium chloride toxicity in the mouse. Hum. Exp. Toxicol. 1998, 17, 633–637. [Google Scholar] [CrossRef]
- Crăciun, A.M.; Mititelu-Tartarau, L.; Gavril, G.; Marin, T. Chitosan crosslinking with pyridoxal-5′-phosphate vitamer toward biocompatible hydrogels for in vivo applications. Int. J. Biol. Macromol. 2021, 193, 1734–1743. [Google Scholar] [CrossRef]
- Telgmann, L.; Wehe, C.A.; Künnemeyer, J.; Bülter, A.-C.; Sperling, M.; Karst, U. Speciation of Gd-based MRI contrast agents and potential products of transmetalation with iron ions or parenteral iron supplements. Anal. Bioanal. Chem. 2012, 404, 2133–2141. [Google Scholar] [CrossRef]
- Davies, J.; Marino, M.; Smith, A.P.L.; Crowswe, J.M.; Larsen, M.; Lowery, L.; Castle, J.; Hibbert, M.G.; Evans, P.M. Repeat and single dose administration of gadodiamide to rats to investigate concentration and location of gadolinium and the cell ultrastructure. Sci. Rep. 2021, 11, 13950. [Google Scholar] [CrossRef]
- Nikolova, V.; Kircheva, N.; Dobrev, S.; Angelova, S.; Dudev, T. Lanthanides as Calcium Mimetic Species in Calcium-Signalimg/Buffering Proteins: The Effect of Lanthanide Type on the Ca2+/Ln3+ Competition. Int. J. Mol. Sci. 2021, 24, 6297. [Google Scholar] [CrossRef] [PubMed]
- Panda, S.; Behera, S.; Alam, M.F.; Syed, G.H. Endoplasmic reticulum &mitochondrial calcium homeostasis: The interplay with viruses. Mitochondrion 2021, 58, 227–242. [Google Scholar] [PubMed]
- Mekahli, D.; Bultynck, G.; Parys, J.B.; De Smedt, H.; Missïaen, L. Endoplasmic Reticulum Calcium Depletion and Disease. Cold Spring Harb. Perspect. Biol. 2021, 3, a004317. [Google Scholar] [CrossRef] [PubMed]
- Görlach, A.; Bertram, K.; Hudecova, S.; Krizanova, O. Calcium and ROS. A mutual interplay. Redox Biol. 2015, 6, 260–271. [Google Scholar] [CrossRef] [PubMed]
- Nguyen, B.Y.; Ruiz-Velasco, A.; Bui, T.; Collins, L.; Wang, X.; Liu, W. Mitochondrial function in the heart: The insight into mechanisms and therapeutic potentials. Br. J. Pharmacol. 2019, 176, 4302–4318. [Google Scholar] [CrossRef] [PubMed]
- Barrit, G.J.; Rychkov, G.Y. Ca2+-permeable channels in the hepatocyte plasma membrane and their roles in hepatocyte physiology. Biochim. Biophys. Acta 2008, 1783, 651–672. [Google Scholar] [CrossRef]
- Martino, F.; Amici, G.; Rosner, M.; Romo, C.; Novara, G. Gadolinium-Based Contrast Media Nephrotoxicity in Kidney Impairment: The Physio-Pathological Condition for the Perfect Murder. J. Clin. Med. 2021, 10, 171. [Google Scholar] [CrossRef]
- Granata, S.; Votrico, V.; Spadaccino, F.; Catalano, V.; Netti, G.S.; Rainieri, E.; Stallone, G.; Zaza, G. Oxidative Stress and Ischemia/Reperfusion Injury in Kidney Transplantation: Focus on Ferroptosis, Mitophagy and New Antioxidants. Antioxidants 2022, 11, 769. [Google Scholar] [CrossRef] [PubMed]
- Ansermet, C.; Centero, G.; Pradervand, S.; Harmcek, D.; Garcia, A.; Daraspe, J.; Kocherlakova, S.; Baes, M.; Bignon, Y.; Firsov, D. Renal tubular peroxisomes are disensable for normal kidney function. ICI Insights 2022, 7, e155836. [Google Scholar]
- Gryszczyńska, B.; Formanowicz, D.; Budzyń, M.; Wanic-Kossowska, M.; Pawliczak, E.; Formanowicz, P.; Majewski, W.; Strzyzewski, K.W.; Kasprzak, M.P.; Iskra, M. Advanced Oxidation Protein Products and Carbonylated Proteins as Biomarkers of Oxidative Stress in selected Atherosclerosis-Mediated Diseases. BioMed Res. Int. 2017, 2017, 4975264. [Google Scholar] [CrossRef] [PubMed]
- Weng, T.-I.; Chen, H.J.; Lu, C.-W.; Ho, Y.C.; Wu, J.-L.; Liu, S.-H.; Hsiao, J.-K. Exposure of Macrophages to Low-Dose Gadolinium-Based Contrast Medium: Impact on Oxidative Stress and Cytokine Production. Contrast Media Mol. Imaging 2018, 2018, 3535769. [Google Scholar] [CrossRef] [PubMed]
- Wang, F.; Yuan, Q.; Chen, F.; Pang, J.; Pan, C.; Xu, F.; Chen, Y. Fundamental Mechanisms of the Cell Death Caused by Nitrosative Stress. Front. Cell Dev. Biol. 2021, 9, 742483. [Google Scholar] [CrossRef] [PubMed]
- Wang, J.; Chen, C.; Li, B.; Yu, H.; Zhao, Y.; Sun, J.; Li, Y.; Xing, G.; Yuan, H.; Tang, J.; et al. Antioxidative function and biodistribution of [Gd@C82(OH)22]n nanoparticles in tumor-bearing mice. Biochem. Pharmacol. 2006, 71, 872–881. [Google Scholar]
- Ivanova, D.G.; Yaneva, Z.L. Antioxidant Properties and Redox-Modulating Activity of Chitosan and Its Derivatives: Biomaterials with Application in Cancer Therapy. BioRes. Open Access 2020, 9, 64–72. [Google Scholar] [CrossRef]
- Ke, C.; Sun, L.; Qiao, D.; Wang, D.; Zeng, X. Antioxidant acitivity of low molecular weight hyaluronic acid. Food Chem. Toxicol. 2011, 49, 2670–2675. [Google Scholar] [CrossRef]
- Ashokan, A.; Gowd, G.S.; Somasundaram, V.H.; Bhupathi, A.; Peethambaran, R.; Unni, A.K.; Palaniswamy, S.; Nair, S.V.; Koyakutty, M. Multifunctional calcium phosphate nano-contrast agent for combined nuclear, magnetic and near-infrared in vivo imaging. Biomaterials 2013, 34, 7143–7157. [Google Scholar] [CrossRef] [PubMed]
- Sun, L.; Li, X.; Wei, X.; Luo, Q.; Guan, P.; Wu, M.; Zhu, H.; Luo, K.; Gong, Q. Stimuli-Responsive Biodegradable Hyperbranched Polymer-Gadolinium Conjugates as Efficient and Biocompatible Nanoscale Magnetic Resonance Imaging Contrast Agents. ACS Appl. Mater. Interfaces 2016, 8, 10499–10512. [Google Scholar] [CrossRef]
- Guo, C.; Sun, L.; Cai, H.; Duan, Z.; Zhang, S.; Gong, Q.; Luo, K.; Gu, Z. Gadolinium-labeled Biodegradable Dendron-Hyaluronic Acid Hybrid and Its Subsequent Application as a Safe and Efficient Magnetic Resonance Imaging Contrast Agent. ACS Appl. Mater. Interfaces 2017, 9, 23508–23519. [Google Scholar] [CrossRef]
- Dai, Y.; Wu, C.; Wang, S.; Li, Q.; Zhang, M.; Li, J.; Xu, K. Comparative study on in vivo behavior of PEGylated gadolinium oxide nanoparticles and Magnevist as MRI contrast agent. Nanomed. NBM 2018, 14, 547–555. [Google Scholar] [CrossRef]




| [CS] mg/mL | 2.5 |
| DH (nm) | 217 |
| PdI | 0.2 |
| ζ (mV) | 30.3 |
| [Gd]t M | 9.87 × 10−5 |
| Markers | 24 h | 48 h | ||
|---|---|---|---|---|
| Control Group | Exposed Group | Control Group | Exposed Group | |
| TGO (U/L) | 88.58 ± 14.36 | 83.73 ± 15.86 | 83.43 ± 27.28 | 53.31 ± 19.29 |
| TGP (U/L) | 26.25 ± 9.61 | 25.71 ± 9.85 | 28.6 ± 5.36 | 18.21 ± 3.45 |
| LDH (U/L) | 2229.95 ± 71.08 | 2252.96 ± 70.35 | 885.73 ± 43.35 | 681.53 ± 181.99 |
| GGT (U/L) | 2.46 ± 0.23 | 2.56 ± 0.18 | 3.01 ± 0.30 | 2.75 ± 0.30 |
| ALP (U/L) | 96.26 ± 33.56 | 105.86 ± 51.40 | 104.56 ± 49.25 | 110.18 ± 40.44 |
| CREA (mg/dL) | 0.29 ± 0.05 | 0.30 ± 0.02 | 0.24 ± 0.02 | 0.26 ± 0.02 |
| CK-MB (U/L) | 217.50 ± 38.65 | 222.42 ± 39.18 | 89.79 ± 22.20 | 100.73 ± 31.87 |
| Oxidative Stress Markers | Organ | 24 h | 48 h | ||
|---|---|---|---|---|---|
| Control Group | Exposed Group | Control Group | Exposed Group | ||
| MDA (nmoles/mg) | Liver | 100 ± 12.06 | 103.23 ± 10.22 | 100 ± 18.06 | 111.32 ± 10.33 |
| Kidney | 100 ± 6.73 | 108.60 ± 9.37 | 100 ± 13.81 | 109.04 ± 20.00 | |
| Heart | 100 ± 11.10 | 117.24 ± 17.78 | 100 ± 2.98 | 116.96 ± 13.92 | |
| GSH (nmoles/mg) | Liver | 100 ± 26.40 | 88.93 ± 15.90 | 100 ± 47.29 | 79 ± 16.67 |
| Kidney | 100 ± 26.58 | 94.97 ± 19.67 | 100 ± 17.13 | 69.60 ± 19.00 | |
| Heart | 100 ± 18.44 | 99.71 ± 11.88 | 100 ± 14.80 | 82.46 ± 6.94 | |
| AOPP (µmoles/mg) | Liver | 100 ± 13.17 | 104.53 ± 11.39 | 100 ± 13.17 | 105.24 ± 16.25 |
| Kidney | 100 ± 3.30 | 98.44 ± 19.36 | 100 ± 7.33 | 97.65 ± 7.33 | |
| Heart | 100 ± 3.77 | 97.73 ± 5.98 | 100 ± 11.75 | 100.46 ± 7.33 | |
| PCG (nmoles/mg) | Liver | 100 ± 10.47 | 99.76 ± 7.65 | 100 ± 9.17 | 98.35 ± 12.59 |
| Kidney | 100 ± 9.76 | 112.56 ± 13.43 | 100 ± 9.44 | 118.95 ± 15.91 | |
| Heart | 100 ± 14.75 | 98.76 ± 7.35 | 100 ± 2.97 | 98.47 ± 2.97 | |
Disclaimer/Publisher’s Note: The statements, opinions and data contained in all publications are solely those of the individual author(s) and contributor(s) and not of MDPI and/or the editor(s). MDPI and/or the editor(s) disclaim responsibility for any injury to people or property resulting from any ideas, methods, instructions or products referred to in the content. |
© 2024 by the authors. Licensee MDPI, Basel, Switzerland. This article is an open access article distributed under the terms and conditions of the Creative Commons Attribution (CC BY) license (https://creativecommons.org/licenses/by/4.0/).
Share and Cite
Voicu, S.N.; Gheran, C.V.; Balta, C.; Hermenean, A.; Callewaert, M.; Chuburu, F.; Dinischiotu, A. In Vivo Evaluation of Innovative Gadolinium-Based Contrast Agents Designed for Bioimaging Applications. Polymers 2024, 16, 1064. https://doi.org/10.3390/polym16081064
Voicu SN, Gheran CV, Balta C, Hermenean A, Callewaert M, Chuburu F, Dinischiotu A. In Vivo Evaluation of Innovative Gadolinium-Based Contrast Agents Designed for Bioimaging Applications. Polymers. 2024; 16(8):1064. https://doi.org/10.3390/polym16081064
Chicago/Turabian StyleVoicu, Sorina Nicoleta, Cecilia Virginia Gheran, Cornel Balta, Anca Hermenean, Maité Callewaert, Françoise Chuburu, and Anca Dinischiotu. 2024. "In Vivo Evaluation of Innovative Gadolinium-Based Contrast Agents Designed for Bioimaging Applications" Polymers 16, no. 8: 1064. https://doi.org/10.3390/polym16081064
APA StyleVoicu, S. N., Gheran, C. V., Balta, C., Hermenean, A., Callewaert, M., Chuburu, F., & Dinischiotu, A. (2024). In Vivo Evaluation of Innovative Gadolinium-Based Contrast Agents Designed for Bioimaging Applications. Polymers, 16(8), 1064. https://doi.org/10.3390/polym16081064

