In Vitro and In Vivo Drug Release from a Nano-Hydroxyapatite Reinforced Resorbable Nanofibrous Scaffold for Treating Female Pelvic Organ Prolapse
Abstract
1. Introduction
2. Materials and Method
2.1. Additive Manufacturing of Resorbable Mesh
2.2. Drug-Embedded Nanofibers
2.3. Tensile Property
2.4. Scanning Electron Microscope (SEM) Observation
2.5. Wetting Angle
2.6. Fourier Transform Infrared Spectroscopy (FTIR)
2.7. Differential Scanning Calorimetry Assessment
2.8. In Vitro Drug Release
2.9. In Vivo Drug Elution
3. Results
3.1. Characterization of Drug-Embedded Mesh/Nanofibers
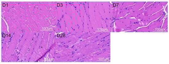
3.2. In Vitro and In Vivo Drug Releases
4. Discussion
5. Conclusions
Author Contributions
Funding
Institutional Review Board Statement
Data Availability Statement
Conflicts of Interest
References
- Bureau, M.; Carlson, K.V. Pelvic organ prolapse: A primer for urologists. Can. Urol. Assoc. J. 2017, 11, 125–130. [Google Scholar] [CrossRef] [PubMed]
- Aubé, M.; Tu, L.M. Current trends and future perspectives in pelvic reconstructive surgery. Women’s Health 2018, 14, 1745506518776498. [Google Scholar] [CrossRef] [PubMed]
- Dällenbach, P. To mesh or not to mesh: A review of pelvic organ reconstructive surgery. Int. J. Women’s Health 2015, 7, 331–343. [Google Scholar] [CrossRef] [PubMed]
- Ganj, F.A.; Ibeanu, O.A.; Bedestani, A.; Nolan, T.E.; Chesson, R.R. Complications of transvaginal monofilament polypropylene mesh in pelvic organ prolapse repair. Int. Urogynecol. J. 2009, 20, 919–925. [Google Scholar] [CrossRef] [PubMed]
- Lo, T.S.; Pue, L.B.; Tan, Y.L.; Wu, P.Y. Long term outcomes of transobturator synthetic nonabsorbable anterior mesh versus anterior colporraphy in symptomatic advanced pelvic organ prolapse surgery. Int. Urogynecol. J. 2014, 25, 257–264. [Google Scholar] [CrossRef] [PubMed]
- Lo, T.S.; Tan, Y.L.; Pue, J.B.; Cortes, E.F.M.; Wu, P.Y. Clinical outcomes of mesh extrusion: Presentation, timing and management. Aust. N. Z. J. Obstet. Gynaecol. 2015, 55, 284–290. [Google Scholar] [CrossRef] [PubMed]
- Chen, Y.P.; Lo, T.S.; Lin, Y.T.; Chien, Y.H.; Lu, C.J.; Liu, S.J. Fabrication of drug-eluting polycaprolac-tone/poly(lactic-co-glycolic acid) prolapse mats ssing solution-extrusion 3D printing and coaxial electrospinning techniques. Polymers 2021, 13, 2295. [Google Scholar] [CrossRef] [PubMed]
- Rynkevic, R.; Martins, P.; Fernandes, A.; Vange, J.; Gallego, M.R.; Wach, R.A.; Mes, T.; Bosman, A.W.; Deprest, J. In vitro simulation of in vivo degradation and cyclic loading of novel degradable electrospun meshes for prolapse repair. Polym. Test. 2019, 78, 105957. [Google Scholar] [CrossRef]
- Shek, K.L.; Dietz, H.P. Assessment of pelvic organ prolapse: A review. Ultrasound Obstet. Gynecol. 2016, 48, 681–692. [Google Scholar] [CrossRef]
- Bø, K.; Anglès-Acedo, S.; Batra, A.; Brækken, I.H.; Chan, Y.L.; Jorge, C.H.; Kruger, J.; Yadav, M.; Dumoulin, C. Strenuous physical activity, exercise, and pelvic organ prolapse: A narrative scoping review. Int. Urogynecol. J. 2023, 34, 1153–1164. [Google Scholar] [CrossRef]
- Sun, M.-J.; Chuang, Y.-L.; Lau, H.-H.; Lo, T.-S.; Su, T.-H. The efficacy and complications of using transvaginal mesh to treat pelvic organ prolapse in Taiwan: A 10-year review. Taiwan. J. Obstet. Gynecol. 2021, 60, 187–192. [Google Scholar] [CrossRef] [PubMed]
- Dominguez-Robles, J.; Mancinelli, C.; Mancuso, E.; Garcia-Romero, I.; Gilmore, B.F.; Casettari, L.; Larraneta, E.; Lamprou, D.A. 3D printing of drug-loaded thermoplastic polyurethane meshes: A potential material for soft tissue reinforcement in vaginal surgery. Pharmaceutics 2020, 12, 63. [Google Scholar] [CrossRef] [PubMed]
- Chou, P.-Y.; Chou, Y.-C.; Lai, Y.-H.; Lin, Y.-T.; Lu, C.-J.; Liu, S.-J. Fabrication of drug-eluting nano-hydroxylapatite filled polycaprolactone nanocomposites using solution-extrusion 3D printing technique. Polymers 2021, 13, 318. [Google Scholar] [CrossRef] [PubMed]
- Woodruff, M.A.; Hutmacher, D.W. The return of a forgotten polymer—Polycaprolactone in the 21st century. Prog. Polym. Sci. 2010, 35, 1217–1256. [Google Scholar] [CrossRef]
- Islam, S.; Ang, B.C.; Andriyana, A.; Afifi, A.M. A review on fabrication of nanofibers via electrospinning and their applications. SN Appl. Sci. 2019, 1, 1248. [Google Scholar] [CrossRef]
- Haider, A.; Haider, S.; Kang, I.K. A comprehensive review summarizing the effect of electrospinning parameters and potential applications of nanofibers in biomedical and biotechnology. Arab. J. Chem. 2018, 11, 1165–1188. [Google Scholar] [CrossRef]
- Patel, P.R.; Gundloori, R.V.N. A review on electrospun nanofibers for multiple biomedical applications. Polym. Adv. Technol. 2023, 34, 44–63. [Google Scholar] [CrossRef]
- Elmowafy, E.M.; Tiboni, M.; Soliman, M.E. Biocompatibility, biodegradation and biomedical applications of poly(lactic acid)/poly(lactic-co-glycolic acid) micro and nanoparticles. J. Pharm. Investig. 2019, 49, 347–380. [Google Scholar] [CrossRef]
- Leitsch, D. A review on metronidazole: An old warhorse in antimicrobial chemotherapy. Parasitology 2019, 146, 1167–1178. [Google Scholar] [CrossRef]
- Robbie, M.O.; Sweet, R.L. Metronidazole use in obstetrics and gynecology: A review. Am. J. Obstet. Gynecol. 1983, 145, 865–881. [Google Scholar] [CrossRef]
- Marzuillo, P.; Calligaris, L.; Amoroso, S.; Barbi, E. Narrative review shows that the short-term use of ketorolac is safe and effective in the management of moderate-to-severe pain in children. Acta Paediatr. 2018, 107, 560–567. [Google Scholar] [CrossRef] [PubMed]
- Avouac, J. Mouse model of experimental dermal fibrosis: The bleomycin-induced dermal fibrosis. Methods Mol. Biol. 2014, 1142, 91–98. [Google Scholar] [PubMed]
- Błyszczuk, P.; Kozlova, A.; Guo, Z.; Kania, G.; Distler, O. Experimental mouse model of bleomycin-induced skin fibrosis. Curr. Protoc. Immunol. 2019, 126, e88. [Google Scholar] [CrossRef] [PubMed]
- Di Carlo, C.; Tommaselli, G.A.; Gargano, V.; Savoia, F.; Bifulco, G.; Nappi, C. Transdermal estradiol and oral or vaginal natural progesterone: Bleeding patterns. Climacteric 2010, 13, 442–446. [Google Scholar] [CrossRef] [PubMed]
- Chou, Y.-C.; Hsu, Y.-H.; Lee, D.; Ho, J.; Yu, Y.-H.; Liu, S.-J. Novel additively manufactured tubular scaffold combined with electrospun biomolecules-embedded nanofibers promotes healing of ruptured tendon. Mater. Des. 2023, 230, 111953. [Google Scholar] [CrossRef]
- Hsu, Y.-H.; Chou, Y.-C.; Chen, C.-L.; Yu, Y.-H.; Lu, C.-J.; Liu, S.-J. Development of novel hybrid 3D-printed degradable artificial joints incorporating electrospun pharmaceutical- and growth factor-loaded nanofibers for small joint reconstruction. Biomater. Adv. 2024, 159, 213821. [Google Scholar] [CrossRef]
- Lee, C.-H.; Liu, K.-S.; Cheng, C.-W.; Chan, E.-C.; Hung, K.-C.; Hsieh, M.-J.; Chang, S.-H.; Fu, X.; Juang, J.-H.; Hsieh, I.-C.; et al. Codelivery of sustainable antimicrobial agents and platelet-derived growth factor via biodegradable nanofibers for repair of diabetic infectious wounds. ACS Infect. Dis. 2020, 6, 2688–2697. [Google Scholar] [CrossRef]
- Yu, Y.-H.; Lee, C.-H.; Hsu, Y.-H.; Chou, Y.-C.; Yu, P.-C.; Huang, C.-T.; Liu, S.-J. Anti-adhesive resorbable indomethacin/bupivacaine-eluting nanofibers for tendon rupture repair: In vitro and in vivo studies. Int. J. Mol. Sci. 2023, 24, 16235. [Google Scholar] [CrossRef] [PubMed]
- Chen, Y.P.; Liu, H.Y.; Liu, Y.W.; Lee, T.Y.; Liu, S.J. Determination of electrospinning parameters’ strength in poly(D,L)-lactide-co-glycolide micro/nanofibers diameter tailoring. J. Nanomater. 2019, 2019, 2626085. [Google Scholar] [CrossRef]
- Jones, K.A.; Feola, A.; Meyn, L.; Abramowitch, S.D.; Moalli, P.A. Tensile properties of commonly used prolapse meshes. Int. Urogynecol. J. 2009, 20, 847–853. [Google Scholar] [CrossRef]
- Tashtoush, B.M.; Jacobson, E.L.; Jacobson, M. Validation of a simple and rapid HPLC method for determination of metronidazole in dermatological formulations. Drug Dev. Ind. Pharm. 2008, 34, 840–844. [Google Scholar] [CrossRef] [PubMed]
- Muralidharan, S.; Kumar, K.J.; Parasuraman, S. Simple and sensitive method for the analysis of ketorolac in human plasma using high-performance liquid chromatography. J. Young Pharm. 2013, 5, 98–101. [Google Scholar] [CrossRef] [PubMed]
- Mabeta, P.; Dippenaar, N.; Shelver, G. A validated HPLC method for the simultaneous determination of bleomycin A2 and B2 in human plasma. Int. J. Pharm. Biomed. Res. 2012, 3, 191–194. [Google Scholar]
- Geisler, J.; Berntsen, H.; Lønning, P.E. A novel HPLC-RIA method for the simultaneous detection of estrone, estradiol and estrone sulphate levels in breast cancer tissue. J. Steroid Biochem. Mol. Biol. 2000, 72, 259–264. [Google Scholar] [CrossRef] [PubMed]
- Ashtarinezhad, A.; Shirazi, F.H.; Vatanpour, H.; Mohamazadehasl, B.; Panahyab, A.; Nakhjavani, M. FTIR-microspectroscopy detection of metronidazole teratogenic effects on mice fetus. Iran. J. Pharm. Res. 2014, 13, 101–111. [Google Scholar]
- Amul, B.; Muthu, S.; Raja, M.; Sevvanthi, S. Molecular structure, spectroscopic (FT-IR, FT-Raman, NMR, UV-VIS), chemical reactivity and biological examinations of Ketorolac. J. Mol. Struct. 2020, 1210, 128040. [Google Scholar] [CrossRef]
- Neese, F.; Zaleski, J.M.; Zaleski, K.L.; Solomon, E.I. Electronic structure of activated bleomycin: Oxygen intermediates in heme versus non-heme iron. J. Am. Chem. Soc. 2000, 122, 11703–11724. [Google Scholar] [CrossRef]
- Zheng, B.; Li, W.; Li, H.; Liu, L.; Lei, P.; Ge, X.; Yu, Z.; Zhou, Y. Separation and determination of estrogen in the water environment by high performance liquid chromatography-fourier transform infrared spectroscopy. Sci. Rep. 2016, 6, 32264. [Google Scholar] [CrossRef] [PubMed]
- Agafonova, E.V.; Moshchenskiy, Y.V.; Tkachenko, M.L. DSC study and calculation of metronidazole and clarithromycin thermodynamic melting parameters for individual substances and for eutectic mixture. Thermochim. Acta 2014, 580, 1–6. [Google Scholar] [CrossRef]
- Sinha, V.R.; Trehan, A. Development, characterization, and evaluation of ketorolac tromethamine-loaded biodegradable microspheres as a depot system for parenteral delivery. Drug Deliv. 2008, 15, 365–372. [Google Scholar] [CrossRef]
- Saini, J.; Bansal, V.; Chandra, A.; Madan, J.; Jain, U.K.; Chandra, R.; Jain, S.M. Bleomycin sulphate loaded nanostructured lipid particles augment oral bioavailability, cytotoxicity and apoptosis in cervical cancer cells. Colloids Surf. B 2014, 118, 101–110. [Google Scholar] [CrossRef] [PubMed]
- Shao, J.; Li, M.-Q.; Meng, Y.-H.; Chang, K.-K.; Wang, Y.; Zhang, L.; Li, D.-J. Estrogen promotes the growth of decidual stromal cells in human early pregnancy. Mol. Hum. Reprod. 2013, 19, 655–664. [Google Scholar] [CrossRef] [PubMed]
- Li, T.; Zhang, Z.; Wang, F.; He, Y.; Zong, X.; Bai, H.; Liu, Z. Antimicrobial susceptibility sesting of metronidazole and clindamycin against Gardnerella vaginalis in planktonic and biofilm formation. Can. J. Infect. Dis. Med. Microbiol. 2020, 2020, 1361825. [Google Scholar] [CrossRef] [PubMed]
- Hersh, E.V.; Dionne, R.A. 17—Nonopioid Analgesics. Pharmacology and Therapeutics for Dentistry, 7th ed.; Elsevier: Amsterdam, The Netherlands, 2017; pp. 25–275. [Google Scholar]
- Khair, A.B.; Luke, A.M.; Patnaik, R.; Mathew, S. Effect of bleomycin on oral leukoplakia cell line—An in vitro study. Oral Surg. Oral Med. Oral Pathol. Oral Radiol. 2023, 135, e41. [Google Scholar] [CrossRef]
- Genant, H.K.; Baylink, D.J.; Gallagher, J.C.; Harris, S.T.; Steiger, P.; Herber, M. Effect of estrone sulfate on postmenopausal bone loss. Obstet. Gynecol. 1990, 76, 579–584. [Google Scholar] [CrossRef] [PubMed]
- Dwivedi, R.; Kumar, S.; Pandey, R.; Mahajan, A.; Nandana, D.; Katti, D.S.; Mehrotra, D. Polycaprolactone as biomaterial for bone scaffolds: Review of literature. J. Oral Biol. Craniofacial Res. 2020, 10, 381–388. [Google Scholar] [CrossRef] [PubMed]
- Liu, S.-J.; Hsiao, C.-Y.; Chen, J.-K.; Liu, K.-S.; Lee, C.-H. In-vitro release of anti-proliferative paclitaxel from novel balloon-expandable polycaprolactone stents. Mater. Sci. Eng. C 2011, 31, 1129–1135. [Google Scholar] [CrossRef]
- Chou, Y.-C.; Hsu, Y.-H.; Lee, D.; Yang, J.-W.; Yu, Y.-H.; Chan, E.-C.; Liu, S.-J. Novel bioresorbable drug-eluting mesh scaffold for therapy of muscle injury. ACS Biomater. Sci. Eng. 2024, 10, 2595–2606. [Google Scholar] [CrossRef] [PubMed]
- Ghilan, A.; Chiriac, A.P.; Nita, L.E.; Rusu, A.G.; Neamtu, I. Trends in 3D Printing Processes for Biomedical Field: Opportunities and Challenges. J. Polym. Environ. 2020, 28, 1345–1367. [Google Scholar] [CrossRef]
- Ngo, T.D.; Kashani, A.; Imbalzano, G.; Nguyen, K.T.Q.; Hui, D. Additive manufacturing (3D printing): A review of materials, methods, applications and challenges. Compos. Part B Eng. 2018, 143, 172–196. [Google Scholar] [CrossRef]
- Hines, D.J.; Kaplan, D.L. Poly (lactic-co-glycolic acid) controlled release systems: Experimental and modeling insights. Crit. Rev. Ther. Drug Carr. Syst. 2013, 30, 257–276. [Google Scholar] [CrossRef] [PubMed]
- Xue, J.; Wu, T.; Dai, Y.; Xia, Y. Electrospinning and electrospun nanofibers: Methods, materials, and applications. Chem. Rev. 2019, 119, 5298–5415. [Google Scholar] [CrossRef] [PubMed]
- Reddy, V.S.; Tian, Y.; Zhang, C.; Ye, Z.; Roy, K.; Chinnappan, A.; Ramakrishna, S.; Liu, W.; Ghosh, R. A review on electrospun nanofibers based advanced applications: From health care to energy devices. Polymers 2021, 13, 3746. [Google Scholar] [CrossRef] [PubMed]
- Mukherjee, S.; Darzi, S.; Rosamilia, A.; Kadam, V.; Truong, Y.; Werkmeister, J.A.; Gargett, C.E. Blended nanostructured degradable mesh with endometrial mesenchymal stem cells promotes tissue integration and anti-inflammatory response in vivo for pelvic floor application. Biomacromolecules 2019, 20, 454–468. [Google Scholar] [CrossRef] [PubMed]
- Wang, W.; Caetano, G.; Ambler, W.S.; Blaker, J.J.; Frade, M.A.; Mandal, P.; Diver, C.; Bartolo, P. Enhancing the hydrophilicity and cell attachment of 3D printed PCL/graphene scaffolds for bone tissue engineering. Materials 2016, 9, 992. [Google Scholar] [CrossRef] [PubMed]
- Hrib, J.; Sirc, J.; Hobzova, R.; Hampejsova, Z.; Bosakova, Z.; Munzarova, M.; Michalek, J. Nanofibers for drug delivery—Incorporation and release of model molecules, influence of molecular weight and polymer structure. Beilstein J. Nanotechnol. 2015, 6, 1939–1945. [Google Scholar] [CrossRef] [PubMed]
- Forestell, B.; Sabbineni, M.; Sharif, S.; Chao, J.; Eltorki, M. Comparative effectiveness of ketorolac dosing strategies for emergency department patients with acute pain. Ann. Emerg. Med. 2023, 82, 615–623. [Google Scholar] [CrossRef] [PubMed]
- Andersion, T.L.G.; Stehle, B.; Davidsson, B.; Hoglund, P. Drug concentration effect relationship of estradiol from two matrix transdermal delivery systems: Menorest and Climara. Maturitas 2000, 35, 245–252. [Google Scholar] [CrossRef] [PubMed]
- Kao, C.W.; Lee, D.; Wu, M.H.; Chen, J.K.; He, H.L.; Liu, S.J. Lidocaine/ketorolac loaded biodegradable nanofibrous anti-adhesive membranes that offer sustained pain relief for surgical wounds. Int. J. Nanomed. 2017, 12, 5893–5901. [Google Scholar] [CrossRef] [PubMed]
- Tuğcu-Demiröz, F.; Saar, S.; Tort, S.; Acartürk, F. Electrospun metronidazole-loaded nanofibers for vaginal drug delivery. Drug Dev. Ind. Pharm. 2020, 46, 1015–1025. [Google Scholar] [CrossRef]
- Srithep, Y.; Akkaprasa, T.; Pholharn, D.; Morris, J.; Liu, S.-J.; Patrojanasophon, P.; Ngawhirunpat, T. Metronidazole-loaded polylactide stereocomplex electrospun nanofiber mats for treatment of periodontal disease. J. Drug Deliv. Sci. Technol. 2021, 64, 102582. [Google Scholar] [CrossRef]
- Yu, Z.; Yan, B.; Gao, L.; Dong, C.; Zhong, J.; D’Ortenzio, M.; Nguyen, B.; Lee, S.S.; Hu, X.; Liang, F. Targeted delivery of bleomycin: A comprehensive anticancer review. Curr. Cancer Drug Targets 2016, 16, 509–521. [Google Scholar] [CrossRef] [PubMed]













Disclaimer/Publisher’s Note: The statements, opinions and data contained in all publications are solely those of the individual author(s) and contributor(s) and not of MDPI and/or the editor(s). MDPI and/or the editor(s) disclaim responsibility for any injury to people or property resulting from any ideas, methods, instructions or products referred to in the content. |
© 2024 by the authors. Licensee MDPI, Basel, Switzerland. This article is an open access article distributed under the terms and conditions of the Creative Commons Attribution (CC BY) license (https://creativecommons.org/licenses/by/4.0/).
Share and Cite
Chen, Y.-P.; Lo, T.-S.; Chien, Y.-H.; Kuo, Y.-H.; Liu, S.-J. In Vitro and In Vivo Drug Release from a Nano-Hydroxyapatite Reinforced Resorbable Nanofibrous Scaffold for Treating Female Pelvic Organ Prolapse. Polymers 2024, 16, 1667. https://doi.org/10.3390/polym16121667
Chen Y-P, Lo T-S, Chien Y-H, Kuo Y-H, Liu S-J. In Vitro and In Vivo Drug Release from a Nano-Hydroxyapatite Reinforced Resorbable Nanofibrous Scaffold for Treating Female Pelvic Organ Prolapse. Polymers. 2024; 16(12):1667. https://doi.org/10.3390/polym16121667
Chicago/Turabian StyleChen, Yi-Pin, Tsia-Shu Lo, Yu-Han Chien, Yi-Hua Kuo, and Shih-Jung Liu. 2024. "In Vitro and In Vivo Drug Release from a Nano-Hydroxyapatite Reinforced Resorbable Nanofibrous Scaffold for Treating Female Pelvic Organ Prolapse" Polymers 16, no. 12: 1667. https://doi.org/10.3390/polym16121667
APA StyleChen, Y.-P., Lo, T.-S., Chien, Y.-H., Kuo, Y.-H., & Liu, S.-J. (2024). In Vitro and In Vivo Drug Release from a Nano-Hydroxyapatite Reinforced Resorbable Nanofibrous Scaffold for Treating Female Pelvic Organ Prolapse. Polymers, 16(12), 1667. https://doi.org/10.3390/polym16121667

