High Retention and Purification of Bromelain Enzyme (Ananas comosus L. Merrill) from Pineapple Juice Using Plain and Hollow Polymeric Membranes Techniques
Abstract
1. Introduction
2. Materials and Methods
2.1. Material
2.2. Methods
2.2.1. Pineapple Juice Extractions
2.2.2. Enzyme Assays
2.2.3. Polymeric Membrane Separation Processes
2.2.4. Resistances Calculations
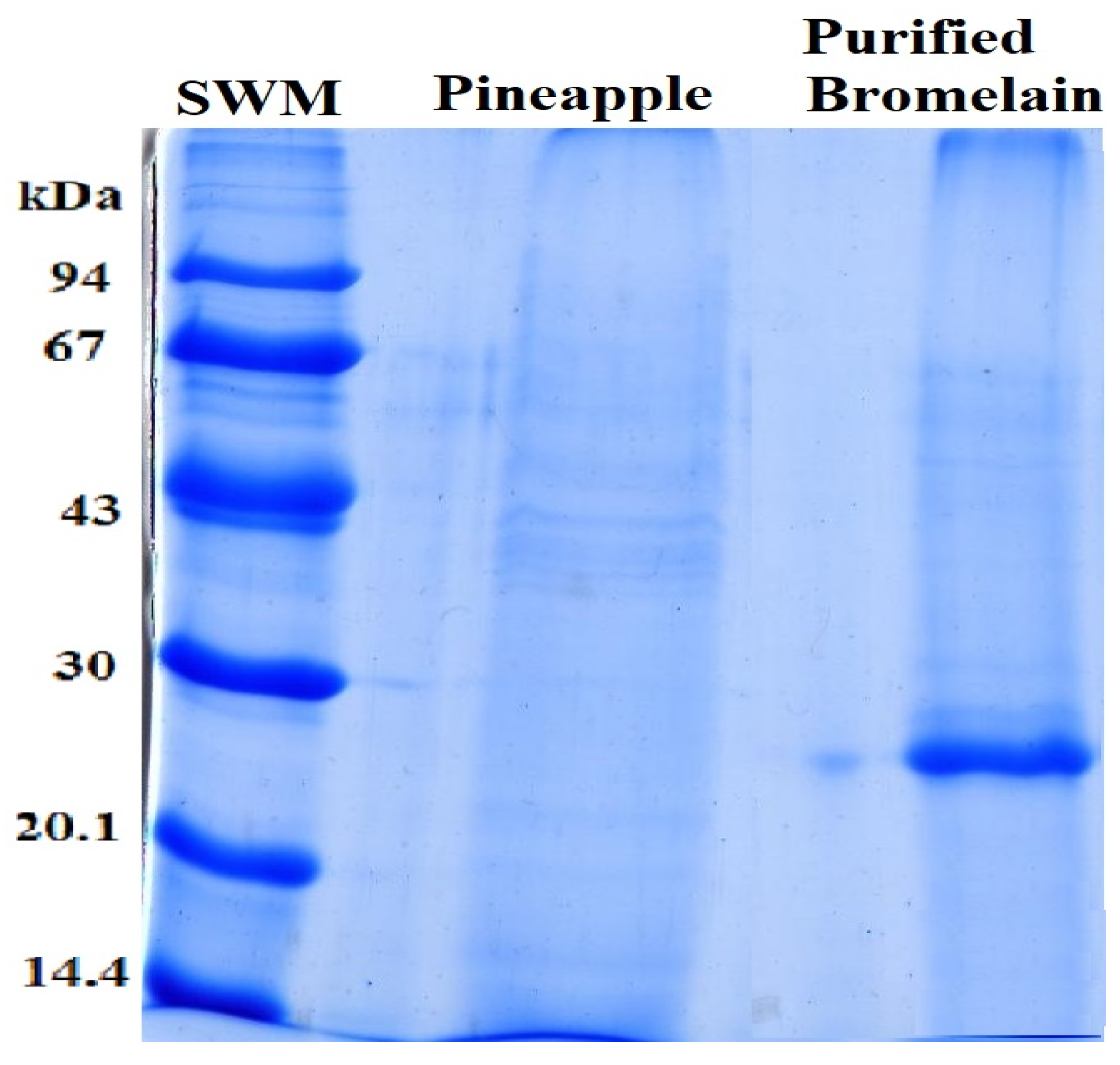
2.2.5. Enzyme Characterization
- ✓
- ✓
- ✓
- ✓
- ✓
- Molar weight determination: SDS-PAGE was performed on mini-PROTEAN II cell (Bio-Rad, Hercules, CA, USA) with 12% acrylamide gel, using protein standard as a molecular weight marker.
3. Results and Discussion
3.1. Chemical Characterization
3.2. Separation by Hollow Fiber and Micro Filtration Polymeric Membranes
3.3. Operation Conditions
4. Conclusions
Author Contributions
Funding
Institutional Review Board Statement
Informed Consent Statement
Data Availability Statement
Acknowledgments
Conflicts of Interest
References
- Tridge Market. Available online: https://www.tridge.com/stories/global-market-update-pineapple (accessed on 8 June 2020).
- Leite, N.S.; Lima, A.A.B.; Santana, J.C.C.; Lopes, F.L.G.; Lédo, A.S.; Tambourgi, E.B.; Souza, R.R. Determination of optimal condition to obtain the bromelain from pineapple plants produced by micropropagation. Braz. Arch. Biol. Technol. 2012, 55, 647–652. [Google Scholar] [CrossRef]
- Chen, X.; Wang, X.; Wang, S.; Zhang, X.; Yu, J.; Wang, C. Mussel-inspired polydopamine-assisted bromelain immobilization onto electrospun fibrous membrane for potential application as wound dressing. Mater. Sci. Eng. C 2020, 110, 110624. [Google Scholar] [CrossRef]
- Debnath, R.; Chatterjee, N.; Das, S.; Mishra, S.; Bose, D.; Banerjee, S.; Das, S.; Saha, K.D.; Ghosh, D.; Maiti, D. Bromelain with peroxidase from pineapple are more potent to target leukemia growth inhibition—A comparison with only bromelain. Toxicol. Vitr. 2019, 55, 24–32. [Google Scholar] [CrossRef] [PubMed]
- Vilanova Neta, J.L.; da Silva Lédo, A.; Lima, A.A.B.; Santana, J.C.C.; Leite, N.S.; Ruzene, D.S.; Silva, D.P.; de Souza, R.R. Bromelain Enzyme from Pineapple: In Vitro Activity Study under Different Micropropagation Conditions. Appl. Biochem. Biotechnol. 2012, 168, 234–246. [Google Scholar] [CrossRef]
- Knackstedt, R.; Gatherwright, J. Perioperative Homeopathic Arnica and Bromelain: Current Results and Future Directions. Ann. Plast. Surg. 2020, 84, e10–e15. [Google Scholar] [CrossRef] [PubMed]
- Nwagu, T.N.; Ugwuodo, C.J. Stabilizing bromelain for therapeutic applications by adsorption immobilization on spores of probiotic Bacillus. Int. J. Biol. Macromol. 2019, 127, 406–414. [Google Scholar] [CrossRef] [PubMed]
- Orlandi-Mattos, P.E.; Aguiar, R.B.; Vaz Junior, I.S.; Moraes, J.Z.; Carlini, E.L.A.; Juliano, M.A.; Juliano, L. Enkephalin related peptides are released from jejunum wall by orally ingested bromelain. Peptides 2019, 115, 32–42. [Google Scholar] [CrossRef] [PubMed]
- Garnier, L. Les biopuces multi-allergéniques. Rev. Francoph. Lab. 2020, 5, 46–51. [Google Scholar] [CrossRef]
- Marogna, M.; Braidi, C.; Colombo, C.; Colombo, F.; Palumbo, L. A Randomized Controlled Trial of a Phytotherapic Compound Containing Boswellia Serrata and Bromeline for Seasonal Allergic Rhinitis Complicated By Upper Airways Recurrent Respiratory Infections. J. Allergy Clin. Immunol. 2015, 135, ab271. [Google Scholar] [CrossRef]
- Peixoto, D.M.; Rizzo, J.A.; Schor, D.; Silva, A.R.; Oliveira, D.C.; Sóle, D.; Sarinho, E. Uso do mel de abelha associado ao Ananas comosus (Bromelin) no tratamento da tosse irritativa aguda. Rev. Paul. Pediatr. 2016, 34, 412–417. [Google Scholar] [CrossRef]
- Aguilar-Toalá, J.E.; Hernández-Mendoza, A.; González-Córdova, A.F.; Vallejo-Cordoba, B.; Liceaga, A.M. Potential role of natural bioactive peptides for development of cosmeceutical skin products. Peptides 2019, 122, 170170. [Google Scholar] [CrossRef]
- Ghensi, P.; Cucchi, A.; Creminelli, L.; Tomasi, C.; Zavan, B.; Maiorana, C. Effect of oral administration of bromelain on postoperative discomfort after third molar surgery. J. Craniofac. Surg. 2017, 28, e191–e197. [Google Scholar] [CrossRef]
- Ahmad, T.; Ismail, A.; Ahmad, S.A.; Khalil, K.A.; Awad, E.A.; Teik KeeLeo, T.K.; Imlan, J.C.; Sazili, A.Q. Characterization of gelatin from bovine skin extracted using ultrasound subsequent to bromelain pretreatment. Food Hydrocol. 2018, 80, 264–273. [Google Scholar] [CrossRef]
- Capillé, C.L.; Cuccinelo, J.; Martins, K.; Silva, E.M.; Portela, M.B. Evaluation of bromelain as a new dentin pre treatment. Dent. Mater. 2018, 34, e22. [Google Scholar] [CrossRef]
- Costa, S.A.; Cerón, A.A.; Petreca, B.B.; Costa, S.M. Fibers of cellulose sugarcane bagasse with bromelain enzyme immobilized to application in dressing. SN Appl. Sci. 2020, 2, 285. [Google Scholar] [CrossRef]
- Restaino, O.F.; Finamore, R.; Stellavato, A.; Diana, P.; Bedini, E.; Trifuoggi, M.; De Rosa, M.; Schiraldi, C. European chondroitin sulfate and glucosamine food supplements: A systematic quality and quantity assessment compared to pharmaceuticals. Carbohydr. Polym. 2019, 222, 114984. [Google Scholar] [CrossRef]
- Singh, P.K.; Shrivastava, N.; Ojha, B.K. Enzymes in the meat industry. Enzym. Food Biotechnol. 2019, 8, 111–128. [Google Scholar] [CrossRef]
- Wiszniewski, G.; Jarmołowicz, S.; Hassaan, M.S.; Mohammady, E.Y.; Soaudy, M.R.; Łuczyńska, J.; Tońska, E.; Terech-Majewska, E.; Ostaszewska, T.; Kamaszewski, M.; et al. The use of bromelain as a feed additive in fish diets: Growth performance, intestinal morphology, digestive enzyme and immune response of juvenile Sterlet (Acipenser ruthenus). Aquac. Nutr. 2019, 25, 1289–1299. [Google Scholar] [CrossRef]
- Nor, M.Z.M.; Ramchandran, L.; Duke, M.; Vasiljevic, T. Characteristic properties of crude pineapple waste extract for bromelain purification by membrane processing. J. Food Sci. Technol. 2015, 52, 7103–7112. [Google Scholar] [CrossRef]
- Wang, X.; Xu, J.; Xu, X.; Fang, Q.; Tang, R. pH-sensitive bromelain nanoparticles by ortho ester crosslinkage for enhanced doxorubicin penetration in solid tumor. Mater. Sci. Eng. C 2020, 113, 111004. [Google Scholar] [CrossRef]
- Guo, J.; Miao, Z.; Wan, J.; Guo, X. Pineapple peel bromelain extraction using gemini surfactant-based reverse micelle—Role of spacer of gemini surfactante. Sep. Purif. Technol. 2018, 19, 156–164. [Google Scholar] [CrossRef]
- Fileti, A.M.F.; Fischer, G.A.; Tambourgi, E.B. Neural Modeling of Bromelain Extraction by Reversed Micelles. Braz. Arch. Biol. Technol. 2010, 53, 455–463. [Google Scholar] [CrossRef]
- Jiang, B.; Wang, L.; Zhu, M.; Wu, S.; Wang, X.; Li, D.; Liu, C.; Feng, Z.; Tian, B. Separation, structural characteristics and biological activity of lactic acid bacteria exopolysaccharides separated by aqueous two-phase system. LWT 2021, 147, 111617. [Google Scholar] [CrossRef]
- Jiang, B.; Wang, L.; Wang, M.; Wu, S.; Wang, X.; Li, D.; Liu, C.; Feng, Z.; Chi, Y. Direct separation and purification of α-lactalbumin from cow milk whey by aqueous two-phase flotation of thermo-sensitive polymer/phosphate. J. Sci. Food Agric. 2021, 101, 4173–4182. [Google Scholar] [CrossRef]
- Han, J.; Cai, Y.; Wang, L.; Mao, L.; Ni, L.; Wang, Y. A high efficiency method combining metal chelate ionic liquid-based aqueous two-phase flotation with two-step precipitation process for bromelain purification. Food Chem. 2020, 309, 125749. [Google Scholar] [CrossRef]
- Silveira, E.; Souza-Jr, M.E.; Santana, J.C.C.; Chaves, A.C.; Porto, L.F.; Tambourgi, E.B. Expanded bed adsorption of bromelain (E.C. 3.4.22.33) from Ananas comosus crude extract. Braz. J. Chem. Eng. 2009, 26, 149–157. [Google Scholar] [CrossRef]
- Curcio, S.; Calabro, V.; Iurio, G.; Cindio, B. Fruit juice concentration by membranes: Effect of rheological properties on concentration polarization phenomena. J. Food Eng. 2001, 48, 235–241. [Google Scholar] [CrossRef]
- Nor, M.Z.M.; Ramchandran, L.; Duke, M.; Vasiljevic, T. Integrated ultrafiltration process for the recovery of bromelain from pineapple waste mixture. J. Food Proc. Eng. 2017, 40, e12492. [Google Scholar] [CrossRef]
- Severo Junior, J.B.; Almeida, S.S.; Naraim, N.; Souza, R.R.; Santana, J.C.C.; Tambourgi, E.B. Wine Clarification from Spondias lutea L. Pulp by Hollow Fiber Membrane System. Process Biochem. 2007, 42, 1516–1520. [Google Scholar] [CrossRef]
- Severo Júnior, J.B.; Oliveira, L.S.S.; Sardeiro, F.S.; Souza, R.R.; Lopes, F.L.G.; Santana, J.C.C.; Tambourgi, E.B. Response surface methodology to evaluation the recovery of amylases by hollow fiber membrane. Braz. Arch. Biol. Technol. 2007, 50, 713–718. [Google Scholar] [CrossRef]
- Hwang, K.J.; Chan, C.S.; Chen, F.F. A comparison of hydrodynamic methods for mitigating particle fouling in submerged membrane filtration. J. Chin. Inst. Chem. Eng. 2008, 39, 257–264. [Google Scholar] [CrossRef]
- Juang, Y.C.; Lee, D.J.; Lai, J.Y. Fouling layer on hollow-fibre membrane in aerobic granule membrane bioreactor. J. Chin. Inst. Chem. Eng. 2008, 39, 657–661. [Google Scholar] [CrossRef]
- Kuo, K.P.; Cheryan, M. Ultrafiltration of Acid Whey in a Spiral-Wound Unit: Effect of Operating Parameters on Membrane Fouling. J. Food Sci. 1983, 48, 1113–1118. [Google Scholar] [CrossRef]
- Wu, D.; Howell, J. A new method for modeling the time-dependence of permeation flux in ultrafiltration. Food Bioprod. Process. 1991, 69, 77–82. [Google Scholar]
- Lin, Y.C.; Chao, C.-M.; Wang, D.K.; Liu, K.-M.; Tseng, H.-H. Enhancing the antifouling properties of a PVDF membrane for protein separation by grafting branch-like zwitterions via a novel amphiphilic SMA-HEA linker. J. Membr. Sci. 2021, 624, 119126. [Google Scholar] [CrossRef]
- Li, X.; Yu, J.; Nnanna, A.G.A. Fouling mitigation for hollow-fiber UF membrane by sonication. Desalination 2011, 281, 23–29. [Google Scholar] [CrossRef]
- Sioutopoulos, D.C.; Karabelas, A.J. Correlation of organic fouling resistances in RO and UF membrane filtration under constant flux and constant pressure. J. Membr. Sci. 2012, 407–408, 34–46. [Google Scholar] [CrossRef]
- Lewis, M.J. Ultrafiltration Separation Processes in the Food and Biotechnology Industries, Principles and Applications; Technomic Publishing AG CO.: Reading, UK, 1996; Chapter 4; pp. 97–139. [Google Scholar]
- Zeman, L.J.; Zydney, A.L. Microfiltration and Ultrafiltration. Principles and Applications; Marcel Dekker: New York, NY, USA, 1996. [Google Scholar]
- Agarwal, K.; Sahu, S.; Shera, S.; Banik, R. Partitioning of bromelain enzyme extracted from Ananas comosus in different PEG–salt–water aqueous two phase system. New Biotechnol. 2018, 44, s139. [Google Scholar] [CrossRef]
- Ramli, A.N.M.; Manas, N.H.A.; Hamid, A.A.A.; Hamid, H.A.; Illias, R.M. Comparative structural analysis of fruit and stem bromelain from Ananas comosus. Food Chem. 2018, 266, 183–191. [Google Scholar] [CrossRef] [PubMed]
- Biazus, J.P.M.; Souza, R.R.; Márquez, J.E.; Franco, T.T.; Santana, J.C.C.; Tambourgi, E.B. Production and Characterization of Amylases from Zea mays Malt. Braz. Arch. Biol. Technol. 2009, 52, 991–1000. [Google Scholar] [CrossRef]
- Padilha, G.S.; Curvelo-Santana, J.C.; Monte Alegre, R.; Tambourgi, E.B. Expanded bed adsorption of an alkaline lipase from Pseudomona cepacea. J. Chromatogr. B 2009, 877, 521–526. [Google Scholar] [CrossRef]
- Santana, J.C.C.; Gardim, R.B.; Almeida, P.F.; Borini, G.B.; Quispe, A.P.B.; Llanos, S.A.V.; Heredia, J.A.; Zamuner, S.; Gamarra, F.M.C.; Farias, T.M.B.; et al. Valorization of Chicken Feet By-Product of the Poultry Industry: High Qualities of Gelatin and Biofilm from Extraction of Collagen. Polymers 2020, 12, 529. [Google Scholar] [CrossRef]
- Toledo, A.L.; Severo Júnior, J.B.; Souza, R.R.; Campos, E.S.; Santana, J.C.C.; Tambourgi, E.B. Purification by expanded bed adsorption and characterization of an α-amylases FORILASE NTL® from A. niger. J. Chromatogr. B 2007, 846, 51–56. [Google Scholar] [CrossRef] [PubMed]
- Ferreira, J.F.; Santana, J.C.C.; Tambourgi, E.B. The effect of pH on bromelain partition from Ananas comosus by PEG4000/phosphate ATPS. Braz. Arch. Biol. Technol. 2011, 54, 125–132. [Google Scholar] [CrossRef][Green Version]
- Silvertein, R.M.; Kezdy, F.J. Characterization of the pineapple steam proteases (bromelain). Arch. Biochem. Biophys. 1975, 167, 678–686. [Google Scholar] [CrossRef]
- Rosa, J.M.; Tambourgi, E.B.; Vanalle, R.M.; Santana, J.C.C.; Gamarra, F.M.C.; Araujo, M.C. Application of continuous H2O2/UV advanced oxidative process as an option to reduce the consumption of inputs, costs and environmental impacts of textile effluents. J. Clean. Prod. 2020, 246, 1190120. [Google Scholar] [CrossRef]
- Rosa, J.M.; Tambourgi, E.B.; Santana, J.C.C.; Araujo, M.D.C.; Ming, W.C.; Trindade, N. Development of colors with sustainability: A comparative study between dyeing of cotton with reactive and vat dyestuffs. Text. Res. J. 2014, 2, 23–30. [Google Scholar] [CrossRef]
- Miranda, A.C.; Silva Filho, S.C.; Tambourgi, E.B.; Santana, J.C.C.; Vanalle, R.M.; Guerhardt, F. Analysis of the costs and logistics of biodiesel production from used cooking oil in the metropolitan region of Campinas (Brazil). Renew. Sustain. Energy Rev. 2018, 88, 373–379. [Google Scholar] [CrossRef]
- Santana, J.C.C.; Guerhardt, F.; Franzini, C.E.; Takiya, H.; Ribeiro Junior, S.E.R.; Cãnovas, G.; Yamamura, C.L.K.; Vanalle, R.M.; Berssaneti, F.T. Refurbishing and recycling of cell phones as a sustainable process of reverse logistics: A case study in Brazil. J. Clean. Prod. 2021, 283, 124585. [Google Scholar] [CrossRef]
- You, S.H.; Tsai, Y.T. Using intermittent ozonation to remove fouling of ultrafiltration membrane in effluent recovery during TFT-LCD manufacturing. J. Taiwan Inst. Chem. Eng. 2010, 41, 98–104. [Google Scholar] [CrossRef]
- Benvenga, M.A.C.; Librantz, A.F.H.; Santana, J.C.C.; Tambourgi, E.B. Genetic algorithm applied to study of the economic viability of alcohol production from Cassava root from 2002 to 2013. J. Clean. Prod. 2016, 113, 483–494. [Google Scholar] [CrossRef]
- Belan, P.A.; Chen, J.; Santana, J.C.C.; Alves, W.A.L.; Araújo, S.A.; Liu, D.; Ling, J.-G. Optimization of vacuum cooling treatment of postharvest broccoli using response surface methodology combined with genetic algorithm technique. Comput. Electron. Agric. 2018, 144, 209–215. [Google Scholar] [CrossRef]
- Wang, L.; Li, W.; Liu, Y.; Zhi, W.; Han, J.; Wang, Y.; Ni, L. Green separation of bromelain in food sample with high retention of enzyme activity using recyclable aqueous two-phase system containing a new synthesized thermo-responsive copolymer and salt. Food Chem. 2019, 282, 48–57. [Google Scholar] [CrossRef] [PubMed]
- Fileti, A.M.F.; Fischer, G.A.; Santana, J.C.C.; Tambourgi, E.B. Batch and continuous extraction of bromelain enzyme by reversed micelles. Braz. Arch. Biol. Technol. 2009, 52, 1225–1234. [Google Scholar] [CrossRef][Green Version]
- Narasimhan, M.K.; Ethiraj, S.; Krishnamurthi, S.; Rajesh, M. Purification, biochemical, and thermal properties of fibrinolytic enzymesecreted by Bacillus cereus SRM-001. Prep. Biochem. Biotechnol. 2018, 48, 34–42. [Google Scholar] [CrossRef]
- Rabelo, A.P.B.; Tambourgi, E.B.; Pessoa Jr., A. Bromelain partioning in two-phase aqueous systems containing PEO-PPO-PEO block copolymers. J. Chromatogr. B 2004, 807, 61–68. [Google Scholar] [CrossRef] [PubMed]










| Analysis | Pineapple Pulp | Pineapple Juice |
|---|---|---|
| Moisture, g/100 g | 87.2 ± 0.09 | 92.33 ± 0.14 |
| Protein, mg/L | 410 ± 23 | 115.24 ± 32.99 |
| Density, kg/m3 | - | 1105 ± 98 |
| Viscosity, µ, mPa s | - | 1.50 ± 0.21 |
| Assays | pH | Filtration Pressure, ΔP (bar) | Membrane Resistance, Rm, (×104 m−1) | Fouling Resistance, Rf, (×104 m−1) |
|---|---|---|---|---|
| Plain membrane | 7 | 0.05 | 4.83 | 13.70 |
| 7 | 0.15 | 19.90 | 90.95 | |
| 7.5 | 0.05 | 4.34 | 19.80 | |
| 7.5 | 0.15 | 10.70 | 154.00 | |
| Hollow fiber | 7 | 0.10 | 8.55 | 39.26 |
| 7 | 0.40 | 12.20 | 76.12 | |
| 7.5 | 0.10 | 8.57 | 45.14 | |
| 7.5 | 0.40 | 12.15 | 93.87 |
| Process | pH | P (bar) | Sample | Activity, U/mL | Protein, mg/L | SA *, U/mg | %Yields | Fold |
|---|---|---|---|---|---|---|---|---|
| Plain membrane | Crud | 16.778 | 131.32 | 0.128 | ||||
| 7.0 | 0.05 | Permeate | 10.556 | 98.276 | 0.109 | 85.48 ± 1.42 | 5.74 ± 0.04 | |
| Crud | 5004 | 154.88 | 0.032 | |||||
| 7.5 | 0.05 | Permeate | 3.031 | 106.03 | 0.028 | 87.21 ± 1.55 | 6.00 ± 0.05 | |
| Crud | 6.134 | 146.17 | 0.042 | |||||
| 7.0 | 0.15 | Permeate | 2.668 | 93.678 | 0.028 | 67.87 ± 1.88 | 2.00 ± 0.03 | |
| Crud | 2.864 | 92.672 | 0.031 | |||||
| 7.5 | 0.15 | Permeate | 0.627 | 72.701 | 0.008 | 29.7 ± 2.14 | 0.35 ± 0.01 | |
| Hollow fiber membrane | Crud | 0.089 | 149.58 | 0.595 | ||||
| 7.0 | 0.10 | Permeate | 0.021 | 72.831 | 0.288 | 48.46 ± 123 | 0.94 ± 0.02 | |
| Crud | 0.481 | 192.40 | 2.50 | |||||
| 7.5 | 0.10 | Permeate | 0.089 | 203.88 | 0.436 | 17.46 ± 2.34 | 0.21 ± 0.01 | |
| Crud | 0.365 | 194.98 | 1.872 | |||||
| 7.0 | 0.40 | Permeate | 0.166 | 156.46 | 1.06 | 56.62 ± 3.45 | 1.30 ± 0.05 | |
| Crud | 0.413 | 145.52 | 2.84 | |||||
| 7.5 | 0.40 | Permeate | 0.108 | 85.615 | 1.26 | 44.57 ± 2.75 | 0.80 ± 0.03 |
Publisher’s Note: MDPI stays neutral with regard to jurisdictional claims in published maps and institutional affiliations. |
© 2022 by the authors. Licensee MDPI, Basel, Switzerland. This article is an open access article distributed under the terms and conditions of the Creative Commons Attribution (CC BY) license (https://creativecommons.org/licenses/by/4.0/).
Share and Cite
Gamarra, F.M.C.; Santana, J.C.C.; Llanos, S.A.V.; Pérez, J.A.H.; Flausino, F.R.; Quispe, A.P.B.; Mendoza, P.C.; Vanalle, R.M.; Carreño-Farfan, C.; Berssaneti, F.T.; et al. High Retention and Purification of Bromelain Enzyme (Ananas comosus L. Merrill) from Pineapple Juice Using Plain and Hollow Polymeric Membranes Techniques. Polymers 2022, 14, 264. https://doi.org/10.3390/polym14020264
Gamarra FMC, Santana JCC, Llanos SAV, Pérez JAH, Flausino FR, Quispe APB, Mendoza PC, Vanalle RM, Carreño-Farfan C, Berssaneti FT, et al. High Retention and Purification of Bromelain Enzyme (Ananas comosus L. Merrill) from Pineapple Juice Using Plain and Hollow Polymeric Membranes Techniques. Polymers. 2022; 14(2):264. https://doi.org/10.3390/polym14020264
Chicago/Turabian StyleGamarra, Felix M. Carbajal, José C. C. Santana, Segundo A. V. Llanos, Jorge A. Heredia Pérez, Fábio Richard Flausino, Ada P. B. Quispe, Pedro Córdova Mendoza, Rosangela M. Vanalle, Carmen Carreño-Farfan, Fernando T. Berssaneti, and et al. 2022. "High Retention and Purification of Bromelain Enzyme (Ananas comosus L. Merrill) from Pineapple Juice Using Plain and Hollow Polymeric Membranes Techniques" Polymers 14, no. 2: 264. https://doi.org/10.3390/polym14020264
APA StyleGamarra, F. M. C., Santana, J. C. C., Llanos, S. A. V., Pérez, J. A. H., Flausino, F. R., Quispe, A. P. B., Mendoza, P. C., Vanalle, R. M., Carreño-Farfan, C., Berssaneti, F. T., de Souza, R. R., & Tambourgi, E. B. (2022). High Retention and Purification of Bromelain Enzyme (Ananas comosus L. Merrill) from Pineapple Juice Using Plain and Hollow Polymeric Membranes Techniques. Polymers, 14(2), 264. https://doi.org/10.3390/polym14020264

