Image-Based Evaluation of In Vivo Degradation for Shape-Memory Polymer Polyurethane Foam
Abstract
1. Introduction
1.1. Measuring In Vivo Degradation of Polymeric Implants
1.2. Theoretical Error of Sectional Mass-Loss Estimation Methods
1.3. Shape-Memory Polymer (SMP) Polyurethane Foam Embolic Devices
2. Materials and Methods
2.1. SMP Foam Synthesis and Device Fabrication
2.2. Device/SMP Foam Implantation and Explantation
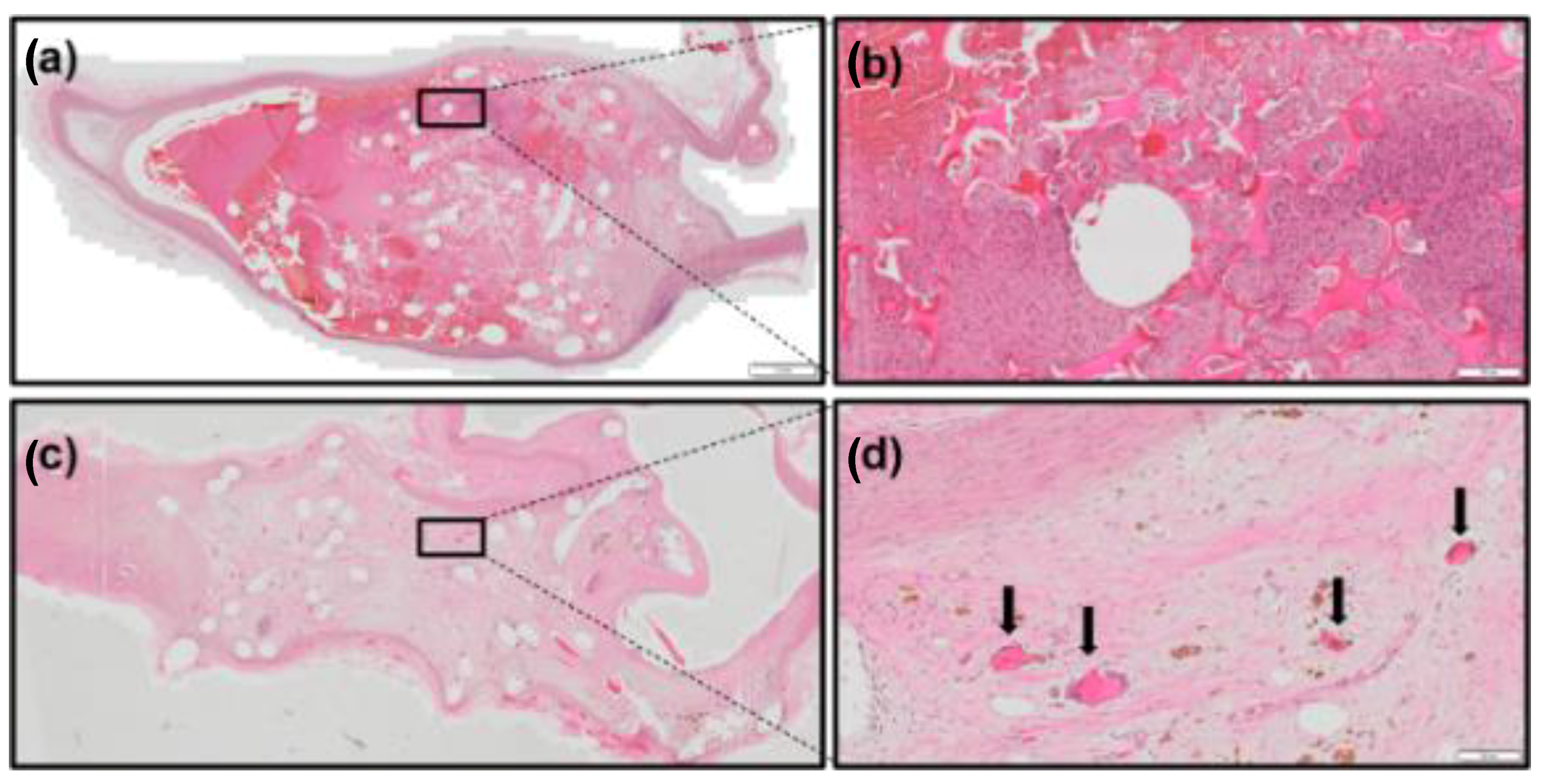
2.3. Degradation Analysis
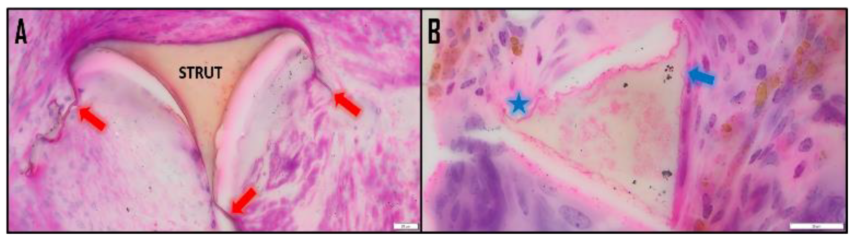
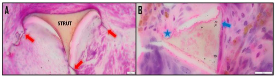
2.4. Nondegraded Foam: Sectional Features
2.5. Relative Membrane Loss Evaluation
2.6. Measured Strut-Loss Evaluation
2.7. Relative Strut-Loss Evaluation
2.8. Total Degradation Calculation
2.9. Data and Statistical Analyses
3. Results
3.1. PED in Porcine Artery Model
3.2. SMP Foam Composite Spheroid in Porcine Sidewall Pouch Aneurysm Model
3.3. NED in Rabbit Elastase Aneurysm Model
3.4. Overall Analysis of Strut Areas
4. Discussion
4.1. Limitations of the Method and Application of Error
4.2. Degradation Rates in Different Species and Implants: Underlying Mechanisms
5. Conclusions
Supplementary Materials
Author Contributions
Funding
Institutional Review Board Statement
Data Availability Statement
Acknowledgments
Conflicts of Interest
References
- Pappalardo, D.; Mathisen, T.; Finne-Wistrand, A. Biocompatibility of resorbable polymers: A historical perspective and framework for the future. Biomacromolecules 2019, 20, 1465–1477. [Google Scholar] [CrossRef] [PubMed]
- Weems, A.C.; Wacker, K.T.; Carrow, J.K.; Boyle, A.J.; Maitland, D.J. Shape memory polyurethanes with oxidation-induced degradation: In vivo and in vitro correlations for endovascular material applications. Acta. Biomater. 2017, 59, 33–44. [Google Scholar] [CrossRef] [PubMed]
- Graul, L.M.; Liu, S.; Maitland, D.J. Theoretical error of sectional method for estimation of shape memory polyurethane foam mass loss. J. Colloid Interface Sci. 2022, 625, 237–247. [Google Scholar] [CrossRef] [PubMed]
- Bakker, D.; van Blitterswijk, C.A.; Hesseling, S.C.; Grote, J.J.; Daems, W.T. Effect of implantation site on phagocyte/polymer interaction and fibrous capsule formation. Biomaterials 1988, 9, 14–23. [Google Scholar] [CrossRef]
- Anderson, J.M.; Rodriguez, A.; Chang, D.T. Foreign body reaction to biomaterials. Semin. Immunol. 2008, 20, 86–100. [Google Scholar] [CrossRef]
- Jessen, S.L.; Friedemann, M.C.; Ginn-Hedman, A.M.; Graul, L.M.; Jokerst, S.; Robinson, C.B.; Landsman, T.L.; Clubb, F.J.; Maitland, D.J. Microscopic assessment of healing and effectiveness of a foam-based peripheral occlusion device. ACS Biomater. Sci. Eng. 2020, 6, 2588–2599. [Google Scholar] [CrossRef]
- Klopfleisch, R.; Jung, F. The pathology of the foreign body reaction against biomaterials. J. Biomed. Mater. Res.—Part A. 2017, 105, 927–940. [Google Scholar] [CrossRef]
- Lin, W.; Zhang, H.; Zhang, W.; Qi, H.; Zhang, G.; Qian, J.; Li, X.; Qin, L.; Li, H.; Wang, X.; et al. In vivo degradation and endothelialization of an iron bioresorbable scaffold. Bioact. Mater. 2021, 6, 1028–1039. [Google Scholar] [CrossRef]
- McEnery, M.A.P.; Lu, S.; Gupta, M.K.; Zienkiewicz, K.J.; Wenke, J.C.; Kalpakci, K.N.; Shimko, D.A.; Duvall, C.L.; Guelcher, S.A. Oxidatively degradable poly (thioketal urethane)/ceramic composite bone cements with bone-like strength. RSC Adv. 2016, 6, 109414–109424. [Google Scholar] [CrossRef]
- McGough, M.A.P.; Shiels, S.M.; Boller, L.A.; Zienkiewicz, K.J.; Duvall, C.L.; Wenke, J.C.; Guelcher, S.A. Poly (thioketal urethane) autograft extenders in an intertransverse process model of bone formation. Tissue Eng. Part A. 2018, 25, 949–963. [Google Scholar] [CrossRef]
- Sweedy, A.; Bohner, M.; Baroud, G. Multimodal analysis of in vivo resorbable CaP bone substitutes by combining histology, SEM, and microcomputed tomography data. J. Biomed. Mater. Res. Part B Appl. Biomater. 2018, 106, 1567–1577. [Google Scholar] [CrossRef] [PubMed]
- NThuaksuban; Pannak, R.; Boonyaphiphat, P.; Monmaturapoj, N. In vivo biocompatibility and degradation of novel Polycaprolactone-Biphasic Calcium phosphate scaffolds used as a bone substitute. Biomed. Mater. Eng. 2018, 29, 253–267. [Google Scholar] [CrossRef]
- van Tienen, T.G.; Heijkants, R.G.J.; Buma, P.; de Groot, J.H.; Pennings, A.J.; Veth, R.P. Tissue ingrowth and degradation of two biodegradable porous polymers with different porosities and pore sizes. Biomaterials 2002, 23, 1731–1738. [Google Scholar] [CrossRef]
- Barbeck, M.; Serra, T.; Booms, P.; Stojanovic, S.; Najman, S.; Engel, E.; Sader, R.; Kirkpatrick, C.J.; Navarro, M.; Ghanaati, S. Analysis of the in vitro degradation and the in vivo tissue response to bi-layered 3D-printed scaffolds combining PLA and biphasic PLA/bioglass components—Guidance of the inflammatory response as basis for osteochondral regeneration. Bioact. Mater. 2017, 2, 208–223. [Google Scholar] [CrossRef] [PubMed]
- Bergsma, J.E.; Rozema, F.R.; Bos, R.R.M.; Boering, G.; de Bruijn, W.C.; Pennings, A.J. In vivo degradation and biocompatibility study of in vitro pre-degraded as-polymerized polylactide particles. Biomaterials 1995, 16, 267–274. [Google Scholar] [CrossRef]
- Beumer, G.J.; van Blitterswijk, C.A.; Ponec, M. Degradative behaviour of polymeric matrices in (sub) dermal and muscle tissue of the rat: A quantitative study. Biomaterials 1994, 15, 551–559. [Google Scholar] [CrossRef]
- Broekema, F.I.; van Leeuwen, M.B.M.; van Minnen, B.; Bos, R.R.M. In vivo degradation of polyurethane foam with 55 wt.% polyethylene glycol. J. Biomed. Mater. Res.-Part A. 2015, 103, 3666–3675. [Google Scholar] [CrossRef]
- Ganta, S.R.; Piesco, N.P.; Long, P.; Gassner, R.; Motta, L.F.; Papworth, G.D.; Stolz, D.B.; Watkins, S.C.; Agarwal, S. Vascularization and tissue infiltration of a biodegradable polyurethane matrix. J. Biomed. Mater. Res. 2003, 64, 242–248. [Google Scholar] [CrossRef]
- Ge, Z.; Tian, X.; Heng, B.C.; Fan, V.; Yeo, J.F.; Cao, T. Histological evaluation of osteogenesis of 3D-printed poly-lactic-co-glycolic acid (PLGA) scaffolds in a rabbit model. Biomed. Mater. 2009, 4, 021001. [Google Scholar] [CrossRef]
- Herting, S.M.; Ding, Y.; Boyle, A.J.; Dai, D.; Nash, L.D.; Asnafi, S.; Jakaitis, D.R.; Johnson, C.R.; Graul, L.M.; Yeh, C.; et al. In vivo comparison of shape memory polymer foam-coated and bare metal coils for aneurysm occlusion in the rabbit elastase model. J. Biomed. Mater. Res.-Part B Appl. Biomater. 2019, 107, 2466–2475. [Google Scholar] [CrossRef]
- Horn, J.; Hwang, W.; Jessen, S.L.; Keller, B.K.; Miller, M.W.; Tuzun, E.; Hartman, J.; Clubb, F.J.; Maitland, D.J. Comparison of shape memory polymer foam versus bare metal coil treatments in an in vivo porcine sidewall aneurysm model. J. Biomed. Mater. Res.-Part B Appl. Biomater. 2017, 105, 1892–1905. [Google Scholar] [CrossRef] [PubMed]
- Lyu, S.P.; Untereker, D. Degradability of polymers for implantable biomedical devices. Int. J. Mol. Sci. 2009, 10, 4033. [Google Scholar] [CrossRef] [PubMed]
- Rodriguez, J.N.; Miller, M.W.; Boyle, A.; Horn, J.; Yang, C.K.; Wilson, T.S.; Ortega, J.M.; Small, W.; Nash, L.; Skoog, H.; et al. Reticulation of low density shape memory polymer foam with an in vivo demonstration of vascular occlusion. J. Mech. Behav. Biomed. Mater. 2014, 40, 102–114. [Google Scholar] [CrossRef] [PubMed]
- Rodriguez, J.N.; Hwang, W.; Horn, J.; Landsman, T.L.; Boyle, A.; Wierzbicki, M.A.; Hasan, S.M.; Follmer, D.; Bryant, J.; Small, W.; et al. Design and biocompatibility of endovascular aneurysm filling devices. J. Biomed. Mater. Res.-Part A. 2015, 103, 1577–1594. [Google Scholar] [CrossRef]
- Boyle, A.J.; Landsman, T.L.; Wierzbicki, M.A.; Nash, L.D.; Hwang, W.; Miller, M.W.; Tuzun, E.; Hasan, S.M.; Maitland, D.J. In vitro and in vivo evaluation of a shape memory polymer foam-over-wire embolization device delivered in saccular aneurysm models. J. Biomed. Mater. Res.-Part B Appl. Biomater. 2016, 104, 1407–1415. [Google Scholar] [CrossRef]
- Landsman, T.L.; Bush, R.L.; Glowczwski, A.; Horn, J.; Jessen, S.L.; Ungchusri, E.; Diguette, K.; Smith, H.R.; Hasan, S.M.; Nash, D.; et al. Design and verification of a shape memory polymer peripheral occlusion device. J. Mech. Behav. Biomed. Mater. 2016, 63, 195–206. [Google Scholar] [CrossRef]
- Weems, A.C.; Boyle, A.J.; Maitland, D.J. Two-year performance study of porous, thermoset, shape memory polyurethanes intended for vascular medical devices. Smart Mater. Struct. 2017, 26, 035054. [Google Scholar] [CrossRef]
- Chau, S.M.; Herting, S.M.; Noltensmeyer, D.A.; Ahmed, H.; Maitland, D.J.; Raghavan, S. Macrophage activation in response to shape memory polymer foam-coated aneurysm occlusion devices. J. Biomed. Mater. Res. Part B Appl. Biomater. 2022, 110, 1535–1544. [Google Scholar] [CrossRef]
- Bat, E.; van Kooten, T.G.; Feijen, J.; Grijpma, D.W. Macrophage-mediated erosion of gamma irradiated poly (trimethylene carbonate) films. Biomaterials 2009, 30, 3652–3661. [Google Scholar] [CrossRef]
- Sinclair, T.M.; Kerrigan, C.L.; Buntic, R. Biodegradation of the polyurethane foam covering of breast implants. Plast. Reconstr. Surg. 1993, 92, 1003–1013. Available online: http://www.ncbi.nlm.nih.gov/pubmed/8234496 (accessed on 1 May 2019). [CrossRef]
- Sinclair, T.M.; Kerrigan, C.L.; Sampalis, J. Biodegradation of polyurethane foam, revisited, in the rat model. Plast. Reconstr. Surg. 1995, 96, 1326–1335. [Google Scholar] [CrossRef] [PubMed]
- Rigdon, R.H. Local reaction to polyurethane—A comparative study in the mouse, rat, and rabbit. J. Biomed. Mater. Res. 1973, 7, 79–93. [Google Scholar] [CrossRef] [PubMed]
- Gholami, M.S.; Doutres, O.; Atalla, N. Effect of microstructure closed-pore content on the mechanical properties of flexible polyurethane foam. Int. J. Solids Struct. 2017, 112, 97–105. [Google Scholar] [CrossRef]
- Hobbs, M.L.; Erickson, K.L.; Chu, T.Y. Modeling decomposition of unconfined rigid polyurethane foam. Polym. Degrad. Stab. 2000, 69, 47–66. [Google Scholar] [CrossRef][Green Version]
- Zhang, J.; Xu, J.; Sun, W.; Wu, T.; Chen, H.; Peng, C. Microstructure measurement and microgeometric packing characterization of rigid polyurethane foam defects. Cell. Polym. 2018, 36, 183–204. [Google Scholar] [CrossRef] [PubMed]
- Singhal, P.; Small, W.; Cosgriff-Hernandez, E.; Maitland, D.J.; Wilson, T.S. Low density biodegradable shape memory polyurethane foams for embolic biomedical applications. Acta Biomater. 2014, 10, 67–76. [Google Scholar] [CrossRef] [PubMed]
- Yu, Y.J.; Hearon, K.; Wilson, T.S.; Maitland, D.J. The effect of moisture absorption on the physical properties of polyurethane shape memory polymer foams. Smart Mater. Struct. 2011, 20, 085010. [Google Scholar] [CrossRef]
- Briggs, S.T.; Monroe, M.B.B.; Wierzbicki, M.A.; Hasan, S.M.; Maitland, D.J. Influence of aging, sterilization, and composition on the degradation of polyurethane foams. Recent Prog. Mater. 2021, 3, 025. [Google Scholar] [CrossRef]
- Krombach, F.; Münzing, S.; Allmeling, A.M.; Gerlach, J.T.; Behr, J.; Dörger, M. Cell size of alveolar macrophages: An interspecies comparison. Environ. Health Perspect. 1997, 105, 1261. [Google Scholar] [CrossRef]
- Tylek, T.; Blum, C.; Hrynevich, A.; Schlegelmilch, K.; Schilling, T.; Dalton, P.D.; Groll, J. Precisely defined fiber scaffolds with 40 μm porosity induce elongation driven M2-like polarization of human macrophages. Biofabrication 2020, 12, 025007. [Google Scholar] [CrossRef]
- Gupta, G.; Athanikar, S.B.; Pai, V.V.; Naveen, K.N. Giant cells in dermatology. Indian J. Dermatol. 2014, 59, 481. [Google Scholar] [CrossRef]
- McNally, A.K.; Anderson, J.M. Foreign body-type multinucleated giant cell formation is potently induced by α-tocopherol and prevented by the diacylglycerol kinase inhibitor R59022. Am. J. Pathol. 2003, 163, 1147. [Google Scholar] [CrossRef]
- Wissing, T.B.; Bonito, V.; van Haaften, E.E.; van Doeselaar, M.; Brugmans, M.M.C.P.P.; Janssen, H.M.; Bouten, C.V.C.C.; Smits, A.I.P.M. Macrophage-driven biomaterial degradation depends on scaffold microarchitecture. New Front 2019, 7, 87. [Google Scholar] [CrossRef] [PubMed]
- Bouzeghrane, F.; Naggara, O.; Kallmes, D.F.; Berenstein, A.; Raymond, J. In vivo experimental intracranial aneurysm models: A systematic review. Am. J. Neuroradiol. 2010, 31, 418–423. [Google Scholar] [CrossRef]
- Dai, D.; Ding, Y.H.; Danielson, M.A.; Kadirvel, R.; Lewis, D.A.; Cloft, H.J.; Kallmes, D.F. Histopathologic and immunohistochemical comparison of human, rabbit, and swine aneurysms embolized with platinum coils. Am. J. Neuroradiol. 2005, 26, 2560–2568. [Google Scholar]
- Anderson, J.M. Inflammation, wound healing, and the foreign-body response. In Biomaterials Science: An introduction to Materials in Medicine, 3rd ed.; Elsevier: Amsterdam, The Netherlands, 2013; pp. 503–512. [Google Scholar] [CrossRef]
- Griendling, K.K.; Touyz, R.M.; Zweier, J.L.; Dikalov, S.; Chilian, W.; Chen, Y.R.; Harrison, D.G.; Bhatnagar, A. Measurement of reactive oxygen species, reactive nitrogen species, and redox-dependent signaling in the cardiovascular system: A scientific statement from the american heart association. Circ. Res. 2016, 119, e39–e75. [Google Scholar] [CrossRef]
- MMittal; Siddiqui, M.R.; Tran, K.; Reddy, S.P.; Malik, A.B. Reactive oxygen species in inflammation and tissue injury. Antioxid. Redox Signal 2014, 20, 1126–1167. [Google Scholar] [CrossRef]
- Klingberg, F.; Hinz, B.; White, E.S. The myofibroblast matrix: Implications for tissue repair andfibrosis. J. Pathol. 2013, 229, 298–309. [Google Scholar] [CrossRef]
- Hinz, B.; Phan, S.H.; Thannickal, V.J.; Prunotto, M.; Desmoulire, A.; Varga, J.; de Wever, O.; Mareel, M.; Gabbiani, G. Recent developments in myofibroblast biology: Paradigms for connective tissue remodeling. Am. J. Pathol. 2012, 180, 1340–1355. [Google Scholar] [CrossRef]
- Sessa, W.C. eNOS at a glance. J. Cell Sci. 2004, 117, 2427–2429. [Google Scholar] [CrossRef]
- ISO-ISO 10993-13:2010—Biological Evaluation of Medical Devices—Part 13: Identification and Quantification of Degradation Products from Polymeric Medical Devices, (n.d.). Available online: https://www.iso.org/standard/44050.html (accessed on 17 August 2022).
- Dempsey, D.K.; Carranza, C.; Chawla, C.P.; Gray, P.; Eoh, J.H.; Cereceres, S.; Cosgriff-Hernandez, E.M. Comparative analysis of in vitro oxidative degradation of poly (carbonate urethanes) for biostability screening. J. Biomed. Mater. Res.—Part A. 2014, 102, 3649–3665. [Google Scholar] [CrossRef] [PubMed]







| Implant Location/Model | Device (Foam Type) | Details | Duration (Days) |
|---|---|---|---|
| Porcine artery [6] | PED (HH30/HH40) | One device per vessel | 30, 60, 90 |
| Rabbit elastase aneurysm [20] | NED (TH60) | Multiple devices per aneurysm | 30, 90, 180 |
| Porcine sidewall pouch [21] | Foam ball (HH60 andTM80) | One or two implants per pouch | 90, 180 |
| Foam Name | Associated Device | Pore Sizes | Chemical Composition |
|---|---|---|---|
| HH30/40 [6] | PED | [800–1500] μm | HDI; HPED 30/40%; TEA 70/60% |
| TH60 [20] | NED | [150–400] μm | TMHDI; HPED 60%; TEA 40% |
| HH60 and TM80 [21] | Foam spheroids | [400–800] μm | HDI, HPED 60%, TEA 40% |
| [150–400] μm | TMHDI, HPED 80%, TEA 20% |
| Term | Definition |
|---|---|
| M | Membranes counted (e.g., missing, broken, intact) |
| S | Struts counted (e.g., missing, intact) |
| MSL | Measured strut area loss |
| RML | Relative membrane loss |
| RSL | Relative strut loss |
| KS | Assumed strut mass percent of foam |
| KM | Assumed membrane mass percent of foam |
| i | Number of histology sections per timepoint |
| # | Equation |
|---|---|
| (1) | |
| (2) | |
| (3) | |
| (4) | |
| (5) | |
| (6) | |
| (7) |
| Timepoint (Days) | Mass Loss (%) | RML (%) | Avg. Foam Strut Count | Qualitative Assessment |
|---|---|---|---|---|
| 30 (n = 11) | 3.22 ± 3.90 | 21.3 ± 7.05 | 62.7 ± 12.9 | -Membranes mostly broken/separated and -~50% membranes curled/isolated due to cellular activity -Isolated degradation regions along strut edges |
| 60 (n = 12) | 6.91 ± 4.97 | 48.4 ± 8.53 | 63.7 ± 11.4 | -Membranes are mostly degraded, with the rest broken and/or isolated due to cellular activity or tissue ingrowth -Increased number of degradation regions per strut, as well as increased number of struts with degradation regions |
| 90 (n = 17) | 9.42 ± 7.05 | 64.3 ± 13.9 | 59.1 ± 12.9 | -Majority of membranes are degraded; remaining are broken or isolated -Continued increase in number of degradation regions and number of struts presenting degradation (scalloping pattern) |
| Timepoint (Days) | Mass Loss (%) | RML (%) | Avg. Foam Strut Count | Qualitative Assessment |
|---|---|---|---|---|
| 90 (n = 2) | 12.9 | 86.4 | 410 | -Near-total membrane loss at this stage; few intact membranes -Tungsten-doped struts showed higher degradation (close to walls of the explant tissue) -Higher degradation on outer zone of device |
| 180 (n = 2) | 63.3 | 95.3 | 174 | -Near-total membrane loss at this stage; few intact membranes -Continued increase in number of degradation regions and number of struts presenting degradation -Total strut loss observed in over half of struts; all strut loss near the wall of pouch |
| Timepoint (Days) | Mass Loss (%) | RML (%) | Avg. Foam Strut Count | Qualitative Assessment |
|---|---|---|---|---|
| 30 (n = 10) | 13.6 ± 2.75 | 100 | 1830 ± 460 | -Total membrane loss; very few remnants, not quantitatively significant -Degradation regions visible on many struts |
| 90 (n = 5) | 98.5 ± 0.22 | 100 | 29.4 ± 4.16 | -Total membrane loss -Near total strut loss; pockets of struts remain near the neck of the aneurysm and occasionally the dome -Foam struts in parent artery still present |
| 180 (n = 14) | 97.3 ± 3.08 | 100 | 53.0 ± 51.4 | -Total membrane loss -Some explants with total strut loss (100%) -Many explants have pockets of foam near the neck of the aneurysm |
Publisher’s Note: MDPI stays neutral with regard to jurisdictional claims in published maps and institutional affiliations. |
© 2022 by the authors. Licensee MDPI, Basel, Switzerland. This article is an open access article distributed under the terms and conditions of the Creative Commons Attribution (CC BY) license (https://creativecommons.org/licenses/by/4.0/).
Share and Cite
Graul, L.M.; Horn, S.J.; Nash, L.D.; Cheung, T.B.; Clubb, F.J.; Maitland, D.J. Image-Based Evaluation of In Vivo Degradation for Shape-Memory Polymer Polyurethane Foam. Polymers 2022, 14, 4122. https://doi.org/10.3390/polym14194122
Graul LM, Horn SJ, Nash LD, Cheung TB, Clubb FJ, Maitland DJ. Image-Based Evaluation of In Vivo Degradation for Shape-Memory Polymer Polyurethane Foam. Polymers. 2022; 14(19):4122. https://doi.org/10.3390/polym14194122
Chicago/Turabian StyleGraul, Lance M., Staci J. Horn, Landon D. Nash, Thomas B. Cheung, Fred J. Clubb, and Duncan J. Maitland. 2022. "Image-Based Evaluation of In Vivo Degradation for Shape-Memory Polymer Polyurethane Foam" Polymers 14, no. 19: 4122. https://doi.org/10.3390/polym14194122
APA StyleGraul, L. M., Horn, S. J., Nash, L. D., Cheung, T. B., Clubb, F. J., & Maitland, D. J. (2022). Image-Based Evaluation of In Vivo Degradation for Shape-Memory Polymer Polyurethane Foam. Polymers, 14(19), 4122. https://doi.org/10.3390/polym14194122

