Characterization of Immunogenicity Associated with the Biocompatibility of Type I Collagen from Tilapia Fish Skin
Abstract
:1. Introduction
2. Materials and Methods
2.1. Extraction of Type I Collagen from the Skin of Tilapia
2.2. SDS-Polyacrylamide Gel Electrophoresis and Atomic Force Microscopy Imaging
2.3. Cytotoxicity Analysis
2.4. Hemolysis Test
2.5. Immunological Analysis
2.6. Subcutaneous Implantation
2.7. Statistical Analysis
3. Results
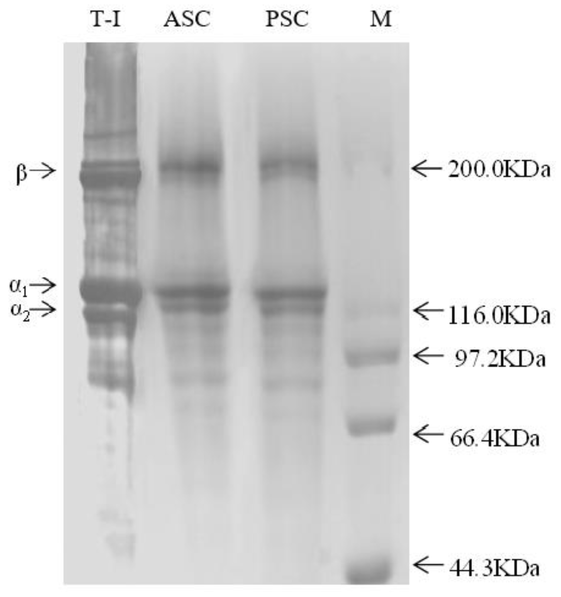
3.1. SDS-Polyacrylamide Gel Electrophoresis and Atomic Force Microscopy
3.2. Cytotoxicity Analysis
3.3. Hemolysis Test
3.4. Immunological Analysis
3.5. Subcutaneous Implantation
3.5.1. Macroscopic Observation
3.5.2. Histological Assessment
3.5.3. Biochemical Parameters
4. Discussion
5. Conclusions
Author Contributions
Funding
Institutional Review Board Statement
Informed Consent Statement
Data Availability Statement
Acknowledgments
Conflicts of Interest
References
- Song, E.; Kim, S.Y.; Chun, T.; Byun, H.-J.; Lee, Y.M. Collagen scaffolds derived from a marine source and their biocompatibility. Biomaterials 2006, 27, 2951–2961. [Google Scholar] [CrossRef] [PubMed]
- Chou, C.-H.; Lee, H.-S.; Siow, T.Y.; Lin, M.-H.; Kumar, A.; Chang, Y.-C.; Chang, C.; Huang, G.-S. Temporal MRI characterization of gelatin/hyaluronic acid/chondroitin sulfate sponge for cartilage tissue engineering. J. Biomed. Mater. Res. Part A 2012, 101, 2174–2180. [Google Scholar] [CrossRef] [PubMed]
- Wang, X.; You, C.; Hu, X.; Zheng, Y.; Li, Q.; Feng, Z.; Sun, H.; Gao, C.; Han, C. The roles of knitted mesh-reinforced collagen-chitosan hybrid scaffold in the one-step repair of full-thickness skin defects in rats. Acta Biomater. 2013, 9, 7822–7832. [Google Scholar] [CrossRef]
- Kim, B.; Kim, J.S.; Lee, J. Improvements of osteoblast adhesion, proliferation, and differentiation in vitro via fibrin network formation in collagen sponge scaffold. J. Biomed. Mater. Res. Part A 2013, 101, 2661–2666. [Google Scholar] [CrossRef] [PubMed]
- Lin, Z.; Tao, Y.; Huang, Y.; Xu, T.; Niu, W. Applications of marine collagens in bone tissue engineering. Biomed. Mater. 2021, 16, 042007. [Google Scholar] [CrossRef] [PubMed]
- Antoine, E.E.; Vlachos, P.P.; Rylander, M.N. Review of Collagen I Hydrogels for Bioengineered Tissue Microenvironments: Characterization of Mechanics, Structure, and Transport. Tissue Eng. Part B Rev. 2014, 20, 683–696. [Google Scholar] [CrossRef] [Green Version]
- Ullah, S.; Chen, X. Fabrication, applications and challenges of natural biomaterials in tissue engineering. Appl. Mater. 2020, 20, 100656. [Google Scholar] [CrossRef]
- Ferrario, C.; Leggio, L.; Leone, R.; Di Benedetto, C.; Guidetti, L.; Coccè, V.; Ascagni, M.; Bonasoro, F.; La Porta, C.A.; Carnevali, M.D.C.; et al. Marine-derived collagen biomaterials from echinoderm connective tissues. Mar. Environ. Res. 2017, 128, 46–57. [Google Scholar] [CrossRef] [Green Version]
- Ferreira, A.M.; Gentile, P.; Chiono, V.; Ciardelli, G. Collagen for bone tissue regeneration. Acta Biomater. 2012, 8, 3191–3200. [Google Scholar] [CrossRef]
- Vandghanooni, S.; Eskandani, M. Electrically conductive biomaterials based on natural polysaccharides: Challenges and applications in tissue engineering. Int. J. Biol. Macromol. 2019, 141, 636–662. [Google Scholar] [CrossRef] [PubMed]
- Fang, M.; Holl, M.M.B. Variation in type I collagen fibril nanomorphology: The significance and origin. Bonekey Rep. 2013, 2, 394. [Google Scholar] [CrossRef] [Green Version]
- Jongjareonrak, A.; Benjakul, S.; Visessanguan, W.; Nagai, T.; Tanaka, M. Isolation and characterisation of acid and pep-sin-solubilised collagens from the skin of Brownstripe red snapper (Lutjanus vitta). Food Chem. 2006, 93, 475–484. [Google Scholar] [CrossRef]
- Berg, E.A.; Platts-Mills, T.A.; Commins, S.P. Drug allergens and food--the cetuximab and galactose-α-1,3-galactose story. Ann. Allergy Asthma Immunol. 2014, 112, 97–101. [Google Scholar] [CrossRef] [Green Version]
- Hutmacher, D.W. Scaffolds in tissue engineering bone and cartilage. Biomaterials 2000, 21, 2529–2543. [Google Scholar] [CrossRef]
- Kennicutt, M.C.; Chown, S.L.; Cassano, J.J.; Liggett, D.; Massom, R.; Peck, L.S.; Rintoul, S.R.; Storey, J.W.; Vaughan, D.G.; Wilson, T.J.; et al. Polar research: Six priorities for Antarctic science. Nature 2014, 512, 23. [Google Scholar] [CrossRef] [PubMed] [Green Version]
- FAO. The State of World Fisheries and Aquaculture. Sustainability in Action; Food and Agriculture Organization of the United Nations: Rome, Italy, 2020. [Google Scholar]
- Tatakis, D.N.; Promsudthi, A.; Wikesjö, U.M.E. Devices for periodontal regeneration. Periodontology 1999, 19, 59–73. [Google Scholar] [CrossRef]
- Patino, M.G.; Neiders, M.E.; Andreana, S.; Noble, B.; Cohen, R.E. Collagen as an implantable material in medicine and den-tistry. J. Oral Implantol. 2002, 28, 220. [Google Scholar] [CrossRef]
- El-Rashidy, A.A.; Gad, A.; Abu-Hussein, A.E.-H.G.; Habib, S.I.; Badr, N.A.; Hashem, A.A. Chemical and biological evaluation of Egyptian Nile Tilapia (Oreochromis niloticas) fish scale collagen. Int. J. Biol. Macromol. 2015, 79, 618–626. [Google Scholar] [CrossRef] [PubMed]
- Pati, F.; Adhikari, B.; Dhara, S. Isolation and characterization of fish scale collagen of higher thermal stability. Bioresour. Technol. 2010, 101, 3737–3742. [Google Scholar] [CrossRef] [PubMed]
- Huang, C.Y.; Kuo, J.M.; Wu, S.J.; Tsai, H.T. Isolation and characterization of fish scale collagen from tilapia (Oreochromis sp.) by a novel extrusion-hydro-extraction process. Food Chem. 2016, 190, 997. [Google Scholar] [CrossRef] [PubMed]
- Zhang, J.; Jeevithan, E.; Bao, B.; Wang, S.; Gao, K.; Zhang, C.; Wu, W. Structural characterization, in-vivo acute systemic toxicity assessment and in-vitro intestinal absorption properties of tilapia (Oreochromis niloticus) skin acid and pepsin solublilized type I collagen. Process Biochem. 2016, 51, 2017–2025. [Google Scholar] [CrossRef]
- Matmaroh, K.; Benjakul, S.; Prodpran, T.; Encarnacion, A.B.; Kishimura, H. Characteristics of acid soluble collagen and pepsin soluble collagen from scale of spotted golden goatfish (Parupeneus heptacanthus). Food Chem. 2011, 129, 1179–1186. [Google Scholar] [CrossRef]
- Elango, J.; Zhang, J.; Bao, B.; Palaniyandi, K.; Wang, S.; Wenhui, W.; Robinson, J.S. Rheological, biocompatibility and osteogenesis assessment of fish collagen scaffold for bone tissue engineering. Int. J. Biol. Macromol. 2016, 91, 51–59. [Google Scholar] [CrossRef]
- Jeevithan, E.; Jingyi, Z.; Wang, N.; He, L.; Bao, B.; Wu, W. Physico-chemical, antioxidant and intestinal absorption properties of whale shark type-II collagen based on its solubility with acid and pepsin. Process Biochem. 2015, 50, 463–472. [Google Scholar] [CrossRef]
- Chen, Y.; Ye, R.; Wang, Y. Acid-soluble and pepsin-soluble collagens from grass carp (Ctenopharyngodon idella) skin: A comparative study on physicochemical properties. Int. J. Food Sci. Technol. 2014, 50, 186–193. [Google Scholar] [CrossRef]
- Veeruraj, A.; Arumugam, M.; Ajithkumar, T.; Balasubramanian, T. Isolation and characterization of collagen from the outer skin of squid (Doryteuthis singhalensis). Food Hydrocoll. 2015, 43, 708–716. [Google Scholar] [CrossRef]
- Parenteau-Bareil, R.; Gauvin, R.; Cliche, S.; Gariépy, C.; Germain, L.; Berthod, F. Comparative study of bovine, porcine and avian collagens for the production of a tissue engineered dermis. Acta Biomater. 2011, 7, 3757–3765. [Google Scholar] [CrossRef]
- Peng, Z.; Shen, Y. Study on Biological Safety of Polyvinyl Alcohol/Collagen Hydrogel as Tissue Substitute (I). Polym. Technol. Eng. 2011, 50, 245–250. [Google Scholar] [CrossRef]
- Ramanathan, G.; Muthukumar, T.; Sivagnanam, U.T. In vivo efficiency of the collagen coated nanofibrous scaffold and their effect on growth factors and pro-inflammatory cytokines in wound healing. Eur. J. Pharmacol. 2017, 814, 45–55. [Google Scholar] [CrossRef]
- Georgiou, E.; Theodossiou, T.; Hovhannisyan, V.; Politopoulos, K.; Rapti, G.; Yova, D. Second and third optical harmonic generation in type I collagen, by nanosecond laser irradiation, over a broad spectral region. Opt. Commun. 2000, 176, 253–260. [Google Scholar] [CrossRef]
- Stylianou, A.; Politopoulos, K.; Kyriazi, M.; Yova, D. Combined information from AFM imaging and SHG signal analysis of collagen thin films. Biomed. Signal Process. Control 2011, 6, 307–313. [Google Scholar] [CrossRef]
- Bozec, L.; van der Heijden, G.; Horton, M. Collagen fibrils: Nanoscale ropes. Biophys. J. 2007, 92, 70–75. [Google Scholar] [CrossRef] [PubMed] [Green Version]
- Docherty, R.; Forrester, J.; Lackie, J.; Gregory, D. Glycosaminoglycans facilitate the movement of fibroblasts through three-dimensional collagen matrices. J. Cell Sci. 1989, 92, 263–270. [Google Scholar] [CrossRef] [PubMed]
- Thyagarajan, S.L.; Ramanathan, G.; Singaravelu, S.; Kandhasamy, S.; Perumal, P.T.; Sivagnanam, U.T. Characterization and evaluation of siderophore-loaded gelatin microspheres: A potent tool for wound-dressing material. Polym. Bull. 2016, 74, 2349–2363. [Google Scholar] [CrossRef]
- Yamamoto, K.; Igawa, K.; Sugimoto, K.; Yoshizawa, Y.; Yanagiguchi, K.; Ikeda, T.; Yamada, S.; Hayashi, Y. Biological Safety of Fish (Tilapia) Collagen. BioMed Res. Int. 2014, 2014, 1–9. [Google Scholar] [CrossRef] [Green Version]
- Peng, Z.; Peng, Z.; Shen, Y. Study on Biological Safety of Polyvinyl Alcohol/Collagen Hydrogel as a Tissue Substitute (II). J. Macromol. Sci. Part A 2011, 48, 632–636. [Google Scholar] [CrossRef]
- Gál, P.; Vasilenko, T.; Kostelníková, M.; Jakubčo, J.; Kováč, I.; Sabol, F.; André, S.; Kaltner, H.; Gabius, H.J.; Smetana, K., Jr. Open Wound Healing In Vivo: Monitoring Binding and Presence of Adhesion/Growth-Regulatory Galectins in Rat Skin during the Course of Complete Re-Epithelialization. Acta Histochem. Cytochem. 2011, 44, 191–199. [Google Scholar] [CrossRef] [PubMed] [Green Version]
- Bassetto, F.; Lancerotto, L.; Salmaso, R.; Pandis, L.; Pajardi, G.; Schiavon, M.; Tiengo, C.; Vindigni, V. Histological evolution of chronic wounds under negative pressure therapy. J. Plast. Reconstr. Aesthetic Surg. 2012, 65, 91–99. [Google Scholar] [CrossRef] [PubMed]
- Sugiura, H.; Yunoki, S.; Kondo, E.; Ikoma, T.; Tanaka, J.; Yasuda, K. In vivo biological responses and bioresorption of tilapia scale collagen as a potential biomaterial. J. Biomater. Sci. Polym. Ed. 2009, 20, 1353–1368. [Google Scholar] [CrossRef]
- Chuang, H.E.; Long, Y.L.; Wang, L.H.; Yang, J.; Zhang, Y. Experimental Analysis on the Physicochemical Characterization of Kiel Bone. J. Chongqing Univ. 2004, 27, 40–44. [Google Scholar]
- Kumar, M.S.; Kirubanandan, S.; Sripriya, R.; Sehgal, P.K. Triphala Incorporated Collagen Sponge—A Smart Biomaterial for Infected Dermal Wound Healing. J. Surg. Res. 2010, 158, 162–170. [Google Scholar] [CrossRef] [PubMed]
- Rezvanian, P.; Daza, R.; López, P.A.; Ramos, M.; González-Nieto, D.; Elices, M.; Guinea, G.V.; Pérez-Rigueiro, J. Enhanced Biological Response of AVS-Functionalized Ti-6Al-4V Alloy through Co-valent Immobilization of Collagen. Sci. Rep. 2018, 8, 3337. [Google Scholar] [CrossRef] [PubMed] [Green Version]
- Ao, H.Y.; Xie, Y.T.; Yang, S.B.; Wu, X.D.; Li, K.; Zheng, X.B.; Tang, T.T. Covalently immobilised type I collagen facilitates osteo conduction and osseointegration of titanium coated implants. J. Orthop. Translat. 2016, 5, 16–25. [Google Scholar] [CrossRef] [PubMed] [Green Version]







| Serial No | Sample ID | OD at 545 (nm) | % Hemolysis |
|---|---|---|---|
| 1 | PSC | 0.041 ± 0.00047 * | 1.29 ± 0.047 * |
| 2 | ASC | 0.038 ± 0.0014 * | 0.99 ± 0.13 * |
| 3 | TI | 0.056 ± 0.0023 | 2.73 ± 0.23 |
| Samples | IgG (ng/mL) | IgA (μg/mL) | IgM (ng/mL) |
|---|---|---|---|
| PSC1 | 429.01 ± 3.91 | 47.94 ± 0.43 | 1.82 ± 0.01 * |
| PSC2 | 437.59 ± 3.39 | 49.53 ± 0.80 | 1.89 ± 0.04 |
| PSC3 | 424.81 ± 3.02 | 46.86 ± 0.34 * | 1.81 ± 0.01 * |
| ASC1 | 429.50 ± 3.05 | 47.99 ± 0.44 | 1.82 ± 0.01 * |
| ASC2 | 440.03 ± 2.14 * | 49.90 ± 0.34 | 1.89 ± 0.02 |
| ASC3 | 425.06 ± 3.09 | 47.02 ± 0.54 | 1.81 ± 0.01 * |
| T-I | 435.59 ± 2.81 | 48.83 ± 0.35 | 1.87 ± 0.01 |
| Control | 429.53 ± 3.04 | 48.58 ± 0.33 | 1.87 ± 0.02 |
Publisher’s Note: MDPI stays neutral with regard to jurisdictional claims in published maps and institutional affiliations. |
© 2022 by the authors. Licensee MDPI, Basel, Switzerland. This article is an open access article distributed under the terms and conditions of the Creative Commons Attribution (CC BY) license (https://creativecommons.org/licenses/by/4.0/).
Share and Cite
Zhang, J.; Elango, J.; Wang, S.; Hou, C.; Miao, M.; Li, J.; Na, L.; Wu, W. Characterization of Immunogenicity Associated with the Biocompatibility of Type I Collagen from Tilapia Fish Skin. Polymers 2022, 14, 2300. https://doi.org/10.3390/polym14112300
Zhang J, Elango J, Wang S, Hou C, Miao M, Li J, Na L, Wu W. Characterization of Immunogenicity Associated with the Biocompatibility of Type I Collagen from Tilapia Fish Skin. Polymers. 2022; 14(11):2300. https://doi.org/10.3390/polym14112300
Chicago/Turabian StyleZhang, Jingyi, Jeevithan Elango, Shujun Wang, Chunyu Hou, Meng Miao, Jia Li, Lixin Na, and Wenhui Wu. 2022. "Characterization of Immunogenicity Associated with the Biocompatibility of Type I Collagen from Tilapia Fish Skin" Polymers 14, no. 11: 2300. https://doi.org/10.3390/polym14112300
APA StyleZhang, J., Elango, J., Wang, S., Hou, C., Miao, M., Li, J., Na, L., & Wu, W. (2022). Characterization of Immunogenicity Associated with the Biocompatibility of Type I Collagen from Tilapia Fish Skin. Polymers, 14(11), 2300. https://doi.org/10.3390/polym14112300

