Development and Optimization of Acriflavine-Loaded Polycaprolactone Nanoparticles Using Box–Behnken Design for Burn Wound Healing Applications
Abstract
1. Introduction
2. Materials and Methods
2.1. Materials
2.2. Preparation of Acriflavine Loaded Nanoparticles
2.3. Design for Optimization
2.4. Characterization
2.4.1. Polydispersity, Particle Size, and Zeta Potential
2.4.2. Encapsulation Efficiency (EE)
2.4.3. Particles Morphology
2.4.4. Differential Scanning Calorimetry (DSC)
2.4.5. Attenuated Total Reflectance Fourier Transform Infrared (ATR-FTIR) Spectroscopy
2.5. In Vitro Release Study
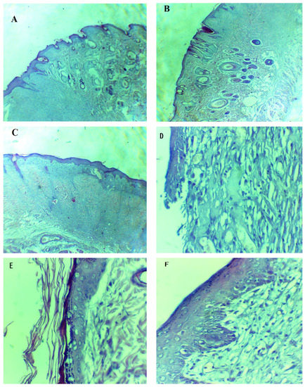
2.6. Histological Examination
3. Results and Discussion
3.1. Optimization of ACR-PCL-NPs
3.2. Particle Size, Zeta Potential, and PDI
3.2.1. Effect of Independent Variables on Particle Size of ACR-PCL-NPs (Y1)
3.2.2. Effect of Independent Variables on PDI (Y2)
3.2.3. Effect of Independent Variables on Entrapment Efficiency (%EE) (Y3)
3.2.4. Preparation of Optimized ACR-PCL-NPs
3.2.5. Surface Morphology
3.2.6. Differential Scanning Calorimetry
3.2.7. FTIR Analysis
3.3. In Vitro Release Study
3.4. Wound Re-Epithelialization
3.5. Tissue Growth and Gross Histology
4. Conclusions
Author Contributions
Funding
Institutional Review Board Statement
Informed Consent Statement
Data Availability Statement
Acknowledgments
Conflicts of Interest
References
- Rowan, M.P.; Cancio, L.C.; Elster, E.A.; Burmeister, D.M.; Rose, L.F.; Natesan, S.; Chan, R.K.; Christy, R.J.; Chung, K.K. Burn wound healing and treatment: Review and advancements. Crit. Care 2015, 19, 243. [Google Scholar] [CrossRef] [PubMed]
- Ghumro, A.H.; Jamali, A.H.; Zardari, I.A.; Khuwaja, M.A.; Memon, Z.A.I.; Soomro, I.A. Incidence and management of burn patients at tertiary care hospital. Rawal Med. J. 2020, 45, 300–302. [Google Scholar]
- Thomas, S.J.; Kramer, G.C.; Herndon, D.N. Burns: Military options and tactical solutions. J. Trauma Inj. Infect. Crit. Care 2003, 54, S207–S218. [Google Scholar] [CrossRef]
- Verma, D.; Khuroo, T.; Talegaonkar, S.; Iqbal, Z. Nanopotentiated combination cancer therapy: Chemotherapeutic and chemosensitizer (2C approach). Med. Hypotheses 2015, 84, 580–582. [Google Scholar] [CrossRef]
- Sathyamoorthy, N.; Magharla, D.; Chintamaneni, P.; Vankayalu, S. Optimization of paclitaxel loaded poly (ε-caprolactone) nanoparticles using Box Behnken design. Beni-Suef Univ. J. Basic Appl. Sci. 2017, 6, 362–373. [Google Scholar] [CrossRef]
- Mohanraj, V.; Chen, Y. Nanoparticles—A review. Trop. J. Pharm. Res. 2006, 5, 561–573. [Google Scholar] [CrossRef]
- Iqbal, Z.; Khuroo, T.; Atifa, U. Oral Formulation of Paclitaxel and Erlotinib Polymeric Nanoparticles: A Potential Combination to Treat Breast Cancer. Biomed. J. Sci. Tech. Res. 2020, 31, 24338–24340. [Google Scholar] [CrossRef]
- Badri, W.; Eddabra, R.; Fessi, H.; Elaissari, A. Biodegradable Polymer Based Nanoparticles: Dermal and Transdermal Drug Delivery. J. Colloid Sci. Biotechnol. 2014, 3, 141–149. [Google Scholar] [CrossRef]
- Kim, K.-S.; Park, S.-J. Characterization and release behaviors of porous PCL/Eudragit RS microcapsules containing tulobuterol. Colloids Surf. B Biointerfaces 2010, 76, 404–409. [Google Scholar] [CrossRef] [PubMed]
- Mohamed, R.M.; Yusoh, K. A review on the recent research of polycaprolactone (PCL). Adv. Mater. Res. 2016, 1134, 249–255. [Google Scholar] [CrossRef]
- Iqbal, M.; Zafar, N.; Fessi, H.; Elaissari, A. Double emulsion solvent evaporation techniques used for drug encapsulation. Int. J. Pharm. 2015, 496, 173–190. [Google Scholar] [CrossRef] [PubMed]
- Can, H.K.; Karakus, G.; Tuzcu, N. Synthesis, characterization and in vitro antibacterial assessments of a novel modified poly [maleic anhydride-alt-acrylic acid]/acriflavine conjugate. Polym. Bull. 2014, 71, 2903–2921. [Google Scholar] [CrossRef]
- Acriflavine. Available online: https://pubchem.ncbi.nlm.nih.gov/compound/443101#section=Information-Sources (accessed on 27 January 2021).
- Goetz, M. Confocal Laser Endomicroscopy: Applications in Clinical and Translational Science—A Comprehensive Review. ISRN Pathol. 2012, 2012, 387145. [Google Scholar] [CrossRef]
- Lee, K.; Zhang, H.; Qian, D.Z.; Rey, S.; Liu, J.O.; Semenza, G.L. Acriflavine inhibits HIF-1 dimerization, tumor growth, and vascularization. Proc. Natl. Acad. Sci. USA 2009, 106, 17910–17915. [Google Scholar] [CrossRef] [PubMed]
- Bulle, A.; Dekervel, J.; Deschuttere, L.; Nittner, D.; Van Cutsem, E.; Verslype, C.; van Pelt, J. Anti-Cancer Activity of Acriflavine as Metabolic Inhibitor of OXPHOS in Pancreas Cancer Xenografts. OncoTargets Ther. 2020, 13, 6907–6916. [Google Scholar] [CrossRef] [PubMed]
- Mitsuhashi, S.; Morimura, M.; Kono, K.; Oshima, H. Elimination of Drug Resistance of Staphylococcus Aureus by Treatment with Acriflavine. J. Bacteriol. 1963, 86, 162–164. [Google Scholar] [CrossRef] [PubMed]
- Browning, C.H.; Gulbransen, R.; Thornton, L.H.D. The Antiseptic Properties of Acriflavine and Proflavine, and Brilliant Green: With Special Reference to Suitability for Wound Therapy. BMJ 1917, 2, 70–75. [Google Scholar] [CrossRef][Green Version]
- Das, T.; Chakraborty, B.; Ray, R. In-Vitro Study on Potential Efficacy of Acriflavine in the Prevention of Conjugational Transfer of Drug Resistance in Bacteria. J. Evol. Med. Dent. Sci. 2017, 6, 5540–5547. [Google Scholar] [CrossRef]
- Ibraheem, D.; Iqbal, M.; Agusti, G.; Fessi, H.; Elaissari, A. Effects of process parameters on the colloidal properties of polycaprolactone microparticles prepared by double emulsion like process. Colloids Surf. A Physicochem. Eng. Asp. 2014, 445, 79–91. [Google Scholar] [CrossRef]
- Byun, Y.; Hwang, J.B.; Bang, S.H.; Darby, D.; Cooksey, K.; Dawson, P.L.; Park, H.J.; Whiteside, S. Formulation and characterization of α-tocopherol loaded poly ɛ-caprolactone (PCL) nanoparticles. LWT Food Sci. Technol. 2011, 44, 24–28. [Google Scholar] [CrossRef]
- Shahab, M.S.; Rizwanullah, M.; Alshehri, S.; Imam, S.S. Optimization to development of chitosan decorated polycaprolactone nanoparticles for improved ocular delivery of dorzolamide: In vitro, ex vivo and toxicity assessments. Int. J. Biol. Macromol. 2020, 163, 2392–2404. [Google Scholar] [CrossRef]
- Alshehri, S.; Imam, S.S.; Rizwanullah, M.; Fakhri, K.U.; Rizvi, M.M.A.; Mahdi, W.; Kazi, M. Effect of Chitosan Coating on PLGA Nanoparticles for Oral Delivery of Thymoquinone: In Vitro, Ex Vivo, and Cancer Cell Line Assessments. Coatings 2021, 11, 6. [Google Scholar] [CrossRef]
- Khuroo, T.; Verma, D.; Talegaonkar, S.; Padhi, S.; Panda, A.K.; Iqbal, Z. Topotecan–tamoxifen duple PLGA polymeric nanoparticles: Investigation of in vitro, in vivo and cellular uptake potential. Int. J. Pharm. 2014, 473, 384–394. [Google Scholar] [CrossRef]
- Mahtab, A.; Rabbani, S.A.; Neupane, Y.R.; Pandey, S.; Ahmad, A.; Khan, M.A.; Gupta, N.; Madaan, A.; Jaggi, M.; Sandal, N.; et al. Facile functionalization of Teriflunomide-loaded nanoliposomes with Chondroitin sulphate for the treatment of Rheumatoid arthritis. Carbohydr. Polym. 2020, 250, 116926. [Google Scholar] [CrossRef]
- Khuroo, T.; Verma, D.; Khuroo, A.; Ali, A.; Iqbal, Z. Simultaneous delivery of paclitaxel and erlotinib from dual drug loaded PLGA nanoparticles: Formulation development, thorough optimization and in vitro release. J. Mol. Liq. 2018, 257, 52–68. [Google Scholar] [CrossRef]
- Shah, R.; Sawant, K. Recent Advances in Drug Delivery Strategies for Improved Therapeutic Efficacy of Efavirenz. Recent Patents Nanotechnol. 2020, 14, 119–127. [Google Scholar] [CrossRef]
- Shrivastava, S.; Gidwani, B.; Kaur, C.D. Development of mebendazole loaded nanostructured lipid carriers for lymphatic targeting: Optimization, characterization, in-vitro and in-vivo evaluation. Part. Sci. Technol. 2020, 39, 380–390. [Google Scholar] [CrossRef]
- More, A.; Ambekar, A.W. Development and characterization of nanoemulsion gel for topical drug delivery of nabumetone. Int. J. Pharm. Pharm. Res. 2016, 7, 126–157. [Google Scholar]
- Alsarra, I.A. Chitosan topical gel formulation in the management of burn wounds. Int. J. Biol. Macromol. 2009, 45, 16–21. [Google Scholar] [CrossRef]
- Murphy, S.V.; Skardal, A.; Song, L.; Sutton, K.; Haug, R.; Mack, D.L.; Jackson, J.; Soker, S.; Atala, A. Solubilized Amnion Membrane Hyaluronic Acid Hydrogel Accelerates Full-Thickness Wound Healing. Stem Cells Transl. Med. 2017, 6, 2020–2032. [Google Scholar] [CrossRef]
- Horie, M.; Fujita, K. Toxicity of Metal Oxides Nanoparticles. In Advances in Molecular Toxicology, 5th ed.; Elsevier: Amsterdam, The Netherlands, 2011; pp. 145–178. [Google Scholar] [CrossRef]
- Sapsford, K.E.; Tyner, K.M.; Dair, B.J.; Deschamps, J.R.; Medintz, I.L. Analyzing Nanomaterial Bioconjugates: A Review of Current and Emerging Purification and Characterization Techniques. Anal. Chem. 2011, 83, 4453–4488. [Google Scholar] [CrossRef] [PubMed]
- Ibraheem, D.; Agusti, G.; Elaissari, A.; Fessi, H. Preparation and Characterization of Albumin-Loaded Polycaprolactone Nanoparticles for In Vivo Applications. J. Colloid Sci. Biotechnol. 2014, 3, 160–166. [Google Scholar] [CrossRef]
- Mora-Huertas, C.; Fessi, H.; Elaissari, A. Influence of process and formulation parameters on the formation of submicron particles by solvent displacement and emulsification–diffusion methods: Critical comparison. Adv. Colloid Interface Sci. 2011, 163, 90–122. [Google Scholar] [CrossRef]
- Padhi, S.; Mirza, M.A.; Verma, D.; Khuroo, T.; Panda, A.K.; Talegaonkar, S.; Khar, R.K.; Iqbal, Z. Revisiting the nanoformulation design approach for effective delivery of topotecan in its stable form: An appraisal of its in vitro Behavior and tumor amelioration potential. Drug Deliv. 2016, 23, 2827–2837. [Google Scholar] [CrossRef]
- Lepeltier, E.; Bourgaux, C.; Couvreur, P. Nanoprecipitation and the “Ouzo effect”: Application to drug delivery devices. Adv. Drug Deliv. Rev. 2014, 71, 86–97. [Google Scholar] [CrossRef]
- Yang, Y.Y.; Chung, T.S.; Ng, N.P. Morphology, drug distribution, and in vitro release profiles of biodegradable polymeric microspheres containing protein fabricated by double-emulsion solvent extraction/evaporation method. Biomaterials 2001, 22, 231–241. [Google Scholar] [CrossRef]
- Soleimani, F.; Hosseini, H.R.M.; Ordikhani, F.; Mokhtari-Dizaji, M. Enhancing sonocatalytic properties of TiO2 nanocatalysts by controlling the surface conditions: Effect of particle size and PVA modification. Desalination Water Treat. 2016, 57, 28378–28385. [Google Scholar] [CrossRef]
- Scholz, P.; Keck, C.M. Nanoemulsions produced by rotor–stator high speed stirring. Int. J. Pharm. 2015, 482, 110–117. [Google Scholar] [CrossRef]
- Öztürk, K.; Mashal, A.R.; Yegin, B.A.; Çalış, S. Preparation and in vitro evaluation of 5-fluorouracil-loaded PCL nanoparticles for colon cancer treatment. Pharm. Dev. Technol. 2017, 22, 635–641. [Google Scholar] [CrossRef] [PubMed]
- Tefas, L.R.; Tomuţă, I.; Achim, M.; Vlase, L. Development and optimization of quercetin-loaded PLGA nanoparticles by experimental design. Clujul Med. 2015, 88, 214. [Google Scholar] [CrossRef]
- Sharma, N.; Madan, P.; Lin, S. Effect of process and formulation variables on the preparation of parenteral paclitaxel-loaded biodegradable polymeric nanoparticles: A co-surfactant study. Asian J. Pharm. Sci. 2016, 11, 404–416. [Google Scholar] [CrossRef]
- Kriznar, B.; Mateovic, T.; Bogataj, M.; Mrhar, A. The Influence of Chitosan on in Vitro Properties of Eudragit RS Microspheres. Chem. Pharm. Bull. 2003, 51, 359–364. [Google Scholar] [CrossRef] [PubMed][Green Version]
- Patel, J.K.; Patel, R.P.; Amin, A.F.; Patel, M.M. Formulation and evaluation of mucoadhesive glipizide microspheres. AAPS PharmSciTech 2005, 6, E49–E55. [Google Scholar] [CrossRef] [PubMed]
- Iqbal, M.; Robin, S.; Humbert, P.; Viennet, C.; Agusti, G.; Fessi, H.; Elaissari, A. Submicron polycaprolactone particles as a carrier for imaging contrast agent for in vitro applications. Colloids Surf. B Biointerfaces 2015, 136, 488–495. [Google Scholar] [CrossRef]
- Fong, J.W. Process for Preparation of Microspheres. U.S. Patent US4384975A, 24 May 1983. [Google Scholar]
- Anzar, N.; Mirza, M.A.; Anwer, K.; Khuroo, T.; Alshetaili, A.S.; Alshahrani, S.M.; Meena, J.; Hasan, N.; Talegaonkar, S.; Panda, A.K.; et al. Preparation, evaluation and pharmacokinetic studies of spray dried PLGA polymeric submicron particles of simvastatin for the effective treatment of breast cancer. J. Mol. Liq. 2018, 249, 609–616. [Google Scholar] [CrossRef]
- Kandelousi, P.S.; Rabiee, S.M.; Jahanshahi, M.; Nasiri, F. The effect of bioactive glass nanoparticles on polycaprolactone/chitosan scaffold: Melting enthalpy and cell viability. J. Bioact. Compat. Polym. 2019, 34, 97–111. [Google Scholar] [CrossRef]
- Miladi, K.; Sfar, S.; Fessi, H.; Elaissari, A. Encapsulation of alendronate sodium by nanoprecipitation and double emulsion: From preparation to in vitro studies. Ind. Crops Prod. 2015, 72, 24–33. [Google Scholar] [CrossRef]
- Petersen, R.S.; Nielsen, L.H.; Rindzevicius, T.; Boisen, A.; Keller, S.S. Controlled Drug Release from Biodegradable Polymer Matrix Loaded in Microcontainers Using Hot Punching. Pharmaceutics 2020, 12, 1050. [Google Scholar] [CrossRef]
- Sinha, V.; Singla, A.; Wadhawan, S.; Kaushik, R.; Kumria, R.; Bansal, K.; Dhawan, S. Chitosan microspheres as a potential carrier for drugs. Int. J. Pharm. 2004, 274, 1–33. [Google Scholar] [CrossRef] [PubMed]
- Sanna, V.; Roggio, A.M.; Posadino, A.M.; Cossu, A.; Marceddu, S.; Mariani, A.; Alzari, V.; Uzzau, S.; Pintus, G.; Sechi, M. Novel docetaxel-loaded nanoparticles based on poly (lactide-co-caprolactone) and poly (lactide-co-glycolide-co-caprolactone) for prostate cancer treatment: Formulation, characterization, and cytotoxicity studies. Nanoscale Res. Lett. 2011, 6, 1–9. [Google Scholar] [CrossRef]
- Puga, A.M.; Rey-Rico, A.; Magariños, B.; Alvarez-Lorenzo, C.; Concheiro, A. Hot melt poly-ε-caprolactone/poloxamine implantable matrices for sustained delivery of ciprofloxacin. Acta Biomater. 2012, 8, 1507–1518. [Google Scholar] [CrossRef] [PubMed]










| Codes | Factors (Independent Variables) | |
|---|---|---|
| X1 | Polymer concentration (gm) | |
| X2 | Stirring speed (rpm) | |
| X3 | Surfactant concentration (%) | |
| Responses (Dependent variables) | ||
| Y1 | Particle size (nm) | |
| Y2 | Polydispersity index (%) | |
| Y3 | Entrapment efficiency (%) | |
| Formulation parameters which were kept constant | ||
| Z1 | Dichloromethane | 4 mL |
| Z2 | Internal water phase volume (W1) | 0.5 mL |
| Z3 | External aqueous phase volume (W2) | 60 mL |
| Z4 | Primary emulsion stirring speed | 3000 rpm for 3 min |
| Z5 | Drug | 20 mg |
| Level of significance (α) | 0.05 | |
| Factor Levels | Coded Values | Actual Values | ||
|---|---|---|---|---|
| Polymer concentration (X1) | Stirring speed (X2) | Surfactant concentration (X3) | ||
| Low | −1 | 1 g | 8000 rpm | 0.3% |
| Medium | 0 | 1.5 g | 10,000 rpm | 0.5% |
| Maximum | +1 | 2 g | 12,000 rpm | 0.7% |
| Runs | X1 | X2 | X3 | Y1 | Y2 | Y3 |
|---|---|---|---|---|---|---|
| F1 | 1 | 12,000 | 0.5 | 302.4 | 0.222 | 69.1 |
| F2 | 1 | 10,000 | 0.3 | 378.6 | 0.251 | 67.7 |
| F3 | 1 | 10,000 | 0.7 | 432 | 0.267 | 71.6 |
| F4 | 1 | 8000 | 0.5 | 342.1 | 0.272 | 69.8 |
| F5 | 1.5 | 12,000 | 0.7 | 499 | 0.266 | 70.1 |
| F6 | 1.5 | 12,000 | 0.3 | 501.4 | 0.279 | 71.6 |
| F7 | 1.5 | 10,000 | 0.5 | 463.2 | 0.288 | 75.9 |
| F8 | 1.5 | 10,000 | 0.5 | 453 | 0.276 | 75.6 |
| F9 | 1.5 | 10,000 | 0.5 | 471.2 | 0.301 | 75.2 |
| F10 | 1.5 | 8000 | 0.3 | 596.2 | 0.372 | 74.6 |
| F11 | 1.5 | 8000 | 0.7 | 670 | 0.352 | 74.1 |
| F12 | 2 | 12,000 | 0.5 | 730 | 0.309 | 76.2 |
| F13 | 2 | 10,000 | 0.3 | 710 | 0.399 | 78.9 |
| F14 | 2 | 10,000 | 0.7 | 780.4 | 0.363 | 79.3 |
| F15 | 2 | 8000 | 0.5 | 689.2 | 0.401 | 81.8 |
| Model | R2 | Adjusted R2 | SD | Mean | % CV | p-Value |
|---|---|---|---|---|---|---|
| Response Y1 | ||||||
| Linear | 0.8703 | 0.8350 | 61.35 | 534.58 | 10.42 | 0.0180 |
| 2FI | 0.8802 | 0.7903 | 69.16 | 534.58 | 11.48 | 0.0130 |
| Quadratic | 0.9670 | 0.9076 | 45.91 | 534.58 | 8.59 | 0.0236 |
| Response Y2 | ||||||
| Linear | 0.9082 | 0.8832 | 0.0191 | 0.3078 | 6.19 | 0.3068 |
| 2FI | 0.9348 | 0.8858 | 0.0189 | 0.3078 | 6.12 | 0.2950 |
| Quadratic | 0.9864 | 0.9619 | 0.0109 | 0.3078 | 3.54 | 0.6750 |
| Response Y3 | ||||||
| Linear | 0.8699 | 0.8344 | 1.66 | 74.10 | 2.24 | 0.0001 |
| 2FI | 0.9097 | 0.8420 | 1.62 | 74.10 | 2.19 | 0.0037 |
| Quadratic | 0.9774 | 0.9368 | 1.03 | 74.10 | 1.39 | 0.0013 |
| Days of Application of Dose | Wound Re-Epithelialization ± Standard Deviation (%) | ||
|---|---|---|---|
| Control Group | Marketed Drug-Treated Group | Formulation Drug-Treated Group | |
| 3 | 4.13 ± 2.11 | 10.12 ± 3.92 | 17.14 ± 3.68 |
| 7 | 14.22 ± 15.54 | 31.10 ± 10.32 | 38.12 ± 8.15 |
| 14 | 65.22 ± 16.07 | 84.21 ± 3.12 | 98.12 ± 0.32 |
Publisher’s Note: MDPI stays neutral with regard to jurisdictional claims in published maps and institutional affiliations. |
© 2021 by the authors. Licensee MDPI, Basel, Switzerland. This article is an open access article distributed under the terms and conditions of the Creative Commons Attribution (CC BY) license (https://creativecommons.org/licenses/by/4.0/).
Share and Cite
Nawaz, T.; Iqbal, M.; Khan, B.A.; Nawaz, A.; Hussain, T.; Hosny, K.M.; Abualsunun, W.A.; Rizg, W.Y. Development and Optimization of Acriflavine-Loaded Polycaprolactone Nanoparticles Using Box–Behnken Design for Burn Wound Healing Applications. Polymers 2022, 14, 101. https://doi.org/10.3390/polym14010101
Nawaz T, Iqbal M, Khan BA, Nawaz A, Hussain T, Hosny KM, Abualsunun WA, Rizg WY. Development and Optimization of Acriflavine-Loaded Polycaprolactone Nanoparticles Using Box–Behnken Design for Burn Wound Healing Applications. Polymers. 2022; 14(1):101. https://doi.org/10.3390/polym14010101
Chicago/Turabian StyleNawaz, Touseef, Muhammad Iqbal, Barkat Ali Khan, Asif Nawaz, Talib Hussain, Khaled M. Hosny, Walaa A. Abualsunun, and Waleed Y. Rizg. 2022. "Development and Optimization of Acriflavine-Loaded Polycaprolactone Nanoparticles Using Box–Behnken Design for Burn Wound Healing Applications" Polymers 14, no. 1: 101. https://doi.org/10.3390/polym14010101
APA StyleNawaz, T., Iqbal, M., Khan, B. A., Nawaz, A., Hussain, T., Hosny, K. M., Abualsunun, W. A., & Rizg, W. Y. (2022). Development and Optimization of Acriflavine-Loaded Polycaprolactone Nanoparticles Using Box–Behnken Design for Burn Wound Healing Applications. Polymers, 14(1), 101. https://doi.org/10.3390/polym14010101

