Jawbones Scaffold Constructed by TGF-β1 and BMP-2 Loaded Chitosan Microsphere Combining with Alg/HA/ICol for Osteogenic-Induced Differentiation
Abstract
:1. Introduction
2. Materials and Methods
2.1. Preparation and Characterization of Alg/HA/ICol Scaffolds
2.1.1. Preparation of Alg/HA/ICol Scaffolds
2.1.2. Characterization of Alg/HA/ICol Scaffolds
2.1.3. Swelling Ratio of Alg/HA/ICol Scaffolds
2.1.4. Porosity of Alg/HA/ICol Scaffolds
2.2. Preparation and Characterization of TGF-β1 and BMP-2 Loaded Chitosan Microsphere Combining with Alg/HA/ICol Jawbones Scaffold
2.3. Testing of Cytotoxicity and Osteogenic Induction
2.4. Statistical Analysis
3. Results
3.1. Structure and Performance of Alg/HA/ICol Scaffolds
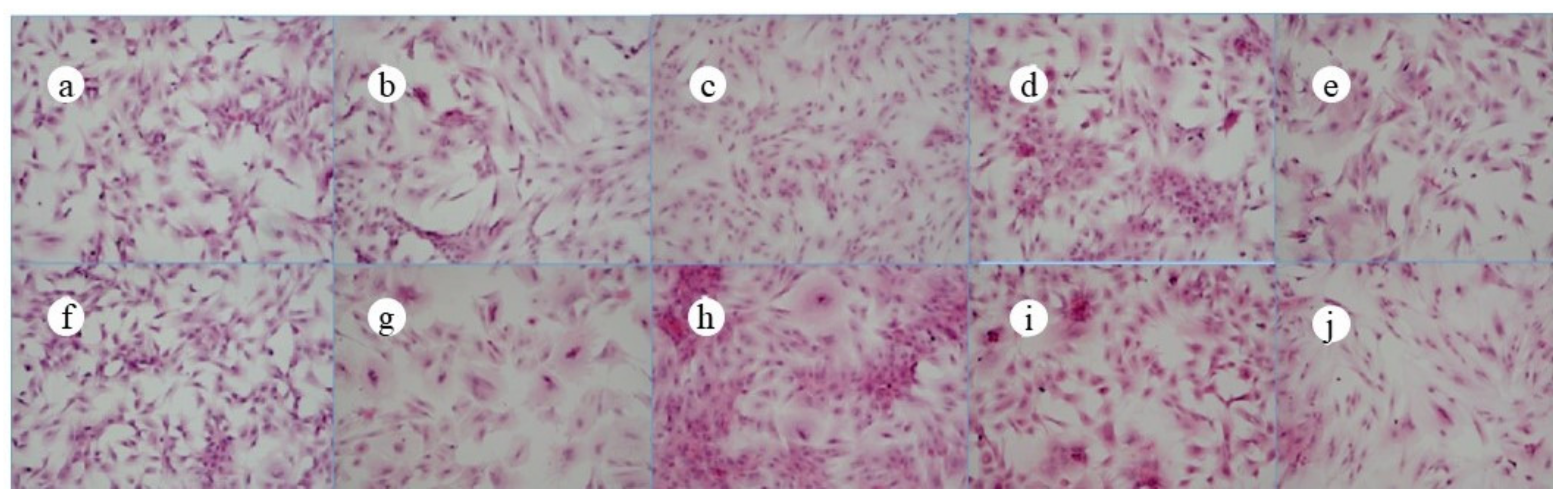
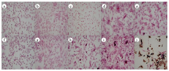
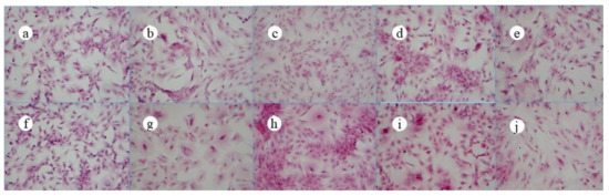
3.2. Cytotoxicity of Alg/HA/Icol Scaffold
3.3. Structure and Performance of Jawbones Scaffold
3.4. Cytotoxicity and Osteogenic Induction of Jawbones Scaffold
4. Conclusions
Author Contributions
Funding
Institutional Review Board Statement
Informed Consent Statement
Data Availability Statement
Acknowledgments
Conflicts of Interest
References
- Rezwan, K.; Chen, Q.Z.; Blaker, J.J.; Boccaccini, A.R. Biodegradable and bioactive porous polymer/inorganic composite scaffolds for bone tissue engineering. Biomaterials 2006, 27, 3413–3431. [Google Scholar] [CrossRef]
- Berger, J.; Reist, M.; Mayer, J.M.; Felt, O.; Peppas, N.A.; Gurny, R. Structure and interactions in covalently and ionically crosslinked chitosan hydrogels for biomedical applications. Eur. J. Pharm. Biopharm. 2004, 57, 19–34. [Google Scholar] [CrossRef]
- Li, J.; Zhao, L.; Wu, Y.; Rajoka, M.S.R. Insights on the ultra high antibacterial activity of positionally substituted 2′-O-hydroxypropyl trimethyl ammonium chloride chitosan: A joint interaction of –NH2 and –N+(CH3)3 with bacterial cell wall. Colloids Surf. B Biointerfaces 2019, 173, 429–436. [Google Scholar] [CrossRef] [PubMed]
- Riaz Rajoka, M.S.; Mehwish, H.M.; Wu, Y.; Zhao, L.; Arfat, Y.; Majeed, K.; Anwaar, S. Chitin/chitosan derivatives and their interactions with microorganisms: A comprehensive review and future perspectives. Crit. Rev. Biotechnol. 2020, 40, 365–379. [Google Scholar] [CrossRef]
- Riaz Rajoka, M.S.; Zhao, L.; Mehwish, H.M.; Wu, Y.; Mahmood, S. Chitosan and its derivatives: Synthesis, biotechnological applications, and future challenges. Appl. Microbiol. Biotechnol. 2019, 103, 1557–1571. [Google Scholar] [CrossRef]
- Tan, B.; Tang, Q.; Zhong, Y.; Wei, Y.; He, L.; Wu, Y.; Wu, J.; Liao, J. Biomaterial-based strategies for maxillofacial tumour therapy and bone defect regeneration. Int. J. Oral Sci. 2021, 13, 1–16. [Google Scholar] [CrossRef]
- Lim, Z.X.H.; Rai, B.; Tan, T.C.; Ramruttun, A.K.; Hui, J.H.; Nurcombe, V.; Teoh, S.H.; Cool, S.M. Autologous bone marrow clot as an alternative to autograft for bone defect healing. Bone Jt. Res. 2019, 8, 107–117. [Google Scholar] [CrossRef] [PubMed]
- Wang, Q.; Huang, Z.; Huang, X.; Zhang, T.; Wang, W. Reparative effect of super active platelet combined with allogeneic bone for large bone defects. Artif. Organs 2021. [Google Scholar] [CrossRef] [PubMed]
- Xing, J.; Lu, Y.; Cui, Y.; Zhu, X.; Luo, F.; Xie, Z.; Wu, X.; Deng, M.; Xu, J.; Hou, T. A Standardized and Quality-Controllable Protocol of Constructing Individual Tissue-Engineered Grafts Applicable to Treating Large Bone Defects. Tissue Eng. Part C Methods 2019, 25, 137–147. [Google Scholar] [CrossRef]
- Ghassemi, T.; Shahroodi, A.; Ebrahimzadeh, M.H.; Mousavian, A.; Movaffagh, J.; Moradi, A. Current Concepts in Scaffolding for Bone Tissue Engineering. Arch. Bone Jt. Surg. 2018, 6, 90–99. [Google Scholar] [PubMed]
- Li, J.J.; Ebied, M.; Xu, J.; Zreiqat, H. Current Approaches to Bone Tissue Engineering: The Interface between Biology and Engineering. Adv. Healthc. Mater. 2018, 7, e1701061. [Google Scholar] [CrossRef] [PubMed]
- Rico-Llanos, G.A.; Borrego-González, S.; Moncayo-Donoso, M.; Becerra, J.; Visser, R. Collagen Type I Biomaterials as Scaffolds for Bone Tissue Engineering. Polymers 2021, 13, 599. [Google Scholar] [CrossRef]
- Yu, H.; Liu, J.; Zhao, Y.-Y.; Jin, F.; Dong, X.-Z.; Zhao, Z.-S.; Duan, X.-M.; Zheng, M.-L. Biocompatible Three-Dimensional Hydrogel Cell Scaffold Fabricated by Sodium Hyaluronate and Chitosan Assisted Two-Photon Polymerization. ACS Appl. Bio Mater. 2019, 2, 3077–3083. [Google Scholar] [CrossRef]
- Valido, D.P.; Júnior, W.D.G.; de Andrade, M.E.; Rezende, A.A.; de Carvalho, F.M.D.A.; de Lima, R.; Trindade, G.D.G.G.; de Alcântara Campos, C.; Oliveira, A.M.S.; Frank, L.A.; et al. Otoliths-composed gelatin/sodium alginate scaffolds for bone regeneration. Drug Deliv. Transl. Res. 2020, 10, 1716–1728. [Google Scholar] [CrossRef]
- Ramshaw, J.A.M. Biomedical applications of collagens. J. Biomed. Mater. Res. Part B Appl. Biomater. 2016, 104, 665–675. [Google Scholar] [CrossRef]
- Saravanan, S.; Leena, R.S.; Selvamurugan, N. Chitosan based biocomposite scaffolds for bone tissue engineering. Int. J. Biol. Macromol. 2016, 93, 1354–1365. [Google Scholar] [CrossRef] [PubMed]
- Bhardwaj, N.; Kundu, S.C. Electrospinning: A fascinating fiber fabrication technique. Biotechnol. Adv. 2010, 28, 325–347. [Google Scholar] [CrossRef]
- Collins, M.N.; Ren, G.; Young, K.; Pina, S.; Reis, R.L.; Oliveira, J.M. Scaffold Fabrication Technologies and Structure/Function Properties in Bone Tissue Engineering. Adv. Funct. Mater. 2021, 31, 2010609. [Google Scholar] [CrossRef]
- Gaihre, B.; Unagolla, J.M.; Liu, J.; Ebraheim, N.A.; Jayasuriya, A.C. Thermoresponsive Injectable Microparticle–Gel Composites with Recombinant BMP-9 and VEGF Enhance Bone Formation in Rats. ACS Biomater. Sci. Eng. 2019, 5, 4587–4600. [Google Scholar] [CrossRef]
- Subbiah, R.; Cheng, A.; Ruehle, M.A.; Hettiaratchi, M.H.; Bertassoni, L.E.; Guldberg, R.E. Effects of controlled dual growth factor delivery on bone regeneration following composite bone-muscle injury. Acta Biomater. 2020, 114, 63–75. [Google Scholar] [CrossRef] [PubMed]
- De Lacerda Dantas, P.C.; Martins-Júnior, P.A.; Coutinho, D.C.O.; Andrade, V.B.; Valverde, T.M.; de Souza Ávila, E.; Almeida, T.C.S.; Queiroz-Junior, C.M.; Sá, M.A.; Góes, A.M.; et al. Nanohybrid composed of graphene oxide functionalized with sodium hyaluronate accelerates bone healing in the tibia of rats. Mater. Sci. Eng. C 2021, 123, 111961. [Google Scholar] [CrossRef] [PubMed]
- Di Donato, P.; Taurisano, V.; Poli, A.; Gomez d’Ayala, G.; Nicolaus, B.; Malinconinco, M.; Santagata, G. Vegetable wastes derived polysaccharides as natural eco-friendly plasticizers of sodium alginate. Carbohydr. Polym. 2020, 229, 115427. [Google Scholar] [CrossRef] [PubMed]
- Tan Timur, U.; Caron, M.; van den Akker, G.; van der Windt, A.; Visser, J.; van Rhijn, L.; Weinans, H.; Welting, T.; Emans, P.; Jahr, H. Increased TGF-β and BMP Levels and Improved Chondrocyte-Specific Marker Expression In Vitro under Cartilage-Specific Physiological Osmolarity. Int. J. Mol. Sci. 2019, 20, 795. [Google Scholar] [CrossRef] [PubMed] [Green Version]
- Li, X.; Zeng, D.; Ke, P.; Wang, G.; Zhang, D. Synthesis and characterization of magnetic chitosan microspheres for drug delivery. RSC Adv. 2020, 10, 7163–7169. [Google Scholar] [CrossRef] [Green Version]
- Bi, Y.G.; Lin, Z.T.; Deng, S.T. Fabrication and characterization of hydroxyapatite/sodium alginate/chitosan composite microspheres for drug delivery and bone tissue engineering. Mater. Sci. Eng. C Mater. Biol. Appl. 2019, 100, 576–583. [Google Scholar] [CrossRef]
- Deng, W.; Tan, Y.; Riaz Rajoka, M.S.; Xue, Q.; Zhao, L.; Wu, Y. A new type of bilayer dural substitute candidate made up of modified chitin and bacterial cellulose. Carbohydr. Polym. 2021, 256, 117577. [Google Scholar] [CrossRef] [PubMed]
- Feng, Z.; Liu, J.; Shen, C.; Lu, N.; Zhang, Y.; Yang, Y.; Qi, F. Biotin-avidin mediates the binding of adipose-derived stem cells to a porous β-tricalcium phosphate scaffold: Mandibular regeneration. Exp. Ther. Med. 2016, 11, 737–746. [Google Scholar] [CrossRef] [PubMed] [Green Version]
- Farì, G.; Santagati, D.; Pignatelli, G.; Scacco, V.; Renna, D.; Cascarano, G.; Vendola, F.; Bianchi, F.P.; Fiore, P.; Ranieri, M.; et al. Collagen Peptides, in Association with Vitamin C, Sodium Hyaluronate, Manganese and Copper, as Part of the Rehabilitation Project in the Treatment of Chronic Low Back Pain. Endocr. Metab. Immune Disord. Drug Targets 2021. [Google Scholar] [CrossRef] [PubMed]
- Mandair, G.S.; Morris, M.D. Contributions of Raman spectroscopy to the understanding of bone strength. BoneKEy Rep. 2015, 4, 620. [Google Scholar] [CrossRef] [Green Version]
- Chen, Z.; Yan, X.; Yin, S.; Liu, L.; Liu, X.; Zhao, G.; Ma, W.; Qi, W.; Ren, Z.; Liao, H.; et al. Influence of the pore size and porosity of selective laser melted Ti6Al4V ELI porous scaffold on cell proliferation, osteogenesis and bone ingrowth. Mater. Sci. Eng. C Mater. Biol. Appl. 2020, 106, 110289. [Google Scholar] [CrossRef]
- Diao, J.; Ding, H.; Huang, M.; Fu, X.; Zou, F.; Li, T.; Zhao, N.; Mao, C.; Wang, Y. Bone Defect Model Dependent Optimal Pore Sizes of 3D-Plotted Beta-Tricalcium Phosphate Scaffolds for Bone Regeneration. Small Methods 2019, 3, 1900237. [Google Scholar] [CrossRef]
- Zhang, J.; Zhang, W.; Dai, J.; Wang, X.; Shen, S.G. Overexpression of Dlx2 enhances osteogenic differentiation of BMSCs and MC3T3-E1 cells via direct upregulation of Osteocalcin and Alp. Int. J. Oral Sci. 2019, 11, 12. [Google Scholar] [CrossRef] [PubMed] [Green Version]







| ID | Sequence (5′-3′) | Product Length (bp) |
|---|---|---|
| β-actin F | CATTGCTGACAGGATGCAGA | 139 |
| β-actin R | CTGCTGGAAGGTGGACAGTGA | |
| Bglap F | TTCTGCTCACTCTGCTGACC | 203 |
| Bglap R | AGGGTTAAGCTCACACTGCT |
| Alg Content in Hydrosol (wt %) | Swelling Ratio (%) |
|---|---|
| 0.05 | 75.46 ± 0.3 |
| 0.10 | 72.56 ± 0.3 |
| 0.15 | 72.23 ± 0.2 |
| 0.20 | 45.60 ± 0.2 |
| 0.25 | 41.59 ± 0.2 |
| Alg Content in Hydrosol (wt %) | Tensile Strength (MPa) | Elongation at Break (%) |
|---|---|---|
| 0.05 | 0.028 ± 0.001 | 29.7 ± 0.1 |
| 0.10 | 0.036 ± 0.002 | 28.3 ± 0.1 |
| 0.15 | 0.044 ± 0.000 | 26.6 ± 0.1 |
| 0.20 | 0.052 ± 0.001 | 26.0 ± 0.1 |
| Type | Swelling Ratio (%) | Porosity (%) | Tensile Strength (MPa) | Elongation at Break (%) |
|---|---|---|---|---|
| Alg/HA/ICol | 72.56 ± 0.31 | 95.63 ± 0.86 | 0.036 ± 0.02 | 28.3 ± 0.1 |
| jawbones | 52.89 ± 0.25 | 90.62 ± 0.59 | 0.038 ± 0.02 | 28.9 ± 0.1 |
Publisher’s Note: MDPI stays neutral with regard to jurisdictional claims in published maps and institutional affiliations. |
© 2021 by the authors. Licensee MDPI, Basel, Switzerland. This article is an open access article distributed under the terms and conditions of the Creative Commons Attribution (CC BY) license (https://creativecommons.org/licenses/by/4.0/).
Share and Cite
Tan, Y.; Zhang, L.; Rajoka, M.S.R.; Mai, Z.; Bahadur, A.; Mehwish, H.M.; Umair, M.; Zhao, L.; Wu, Y.; Song, X. Jawbones Scaffold Constructed by TGF-β1 and BMP-2 Loaded Chitosan Microsphere Combining with Alg/HA/ICol for Osteogenic-Induced Differentiation. Polymers 2021, 13, 3079. https://doi.org/10.3390/polym13183079
Tan Y, Zhang L, Rajoka MSR, Mai Z, Bahadur A, Mehwish HM, Umair M, Zhao L, Wu Y, Song X. Jawbones Scaffold Constructed by TGF-β1 and BMP-2 Loaded Chitosan Microsphere Combining with Alg/HA/ICol for Osteogenic-Induced Differentiation. Polymers. 2021; 13(18):3079. https://doi.org/10.3390/polym13183079
Chicago/Turabian StyleTan, Yongxin, Liqun Zhang, Muhammad Shahid Riaz Rajoka, Zhanhua Mai, Ali Bahadur, Hafiza Mahreen Mehwish, Muhammad Umair, Liqing Zhao, Yiguang Wu, and Xun Song. 2021. "Jawbones Scaffold Constructed by TGF-β1 and BMP-2 Loaded Chitosan Microsphere Combining with Alg/HA/ICol for Osteogenic-Induced Differentiation" Polymers 13, no. 18: 3079. https://doi.org/10.3390/polym13183079
APA StyleTan, Y., Zhang, L., Rajoka, M. S. R., Mai, Z., Bahadur, A., Mehwish, H. M., Umair, M., Zhao, L., Wu, Y., & Song, X. (2021). Jawbones Scaffold Constructed by TGF-β1 and BMP-2 Loaded Chitosan Microsphere Combining with Alg/HA/ICol for Osteogenic-Induced Differentiation. Polymers, 13(18), 3079. https://doi.org/10.3390/polym13183079

