Thermo-Mechanical Behaviour of Human Nasal Cartilage
Abstract
1. Introduction
2. Materials and Methods
2.1. Specimen Preparation
2.2. Specimen Measurements
2.3. Dynamic Mechanical Analysis
2.3.1. Tension Dynamic Analyses
2.3.2. Compression Dynamic Analyses
2.4. Differential Scanning Calorimetry (DSC)
2.5. Thermogravimetric Analysis (TGA)
2.6. Optical Microscope Analysis
2.7. Transmission Electron Microscopy (TEM) Analysis
3. Results and Discussion
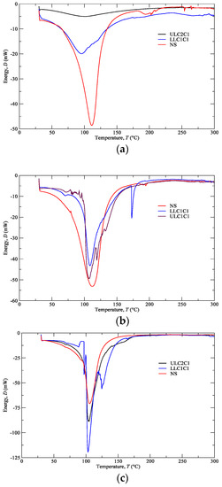
3.1. DSC Measurements
3.2. TGA Measurements
3.3. Multi-Frequency Tensile and Compressive Loading of NS
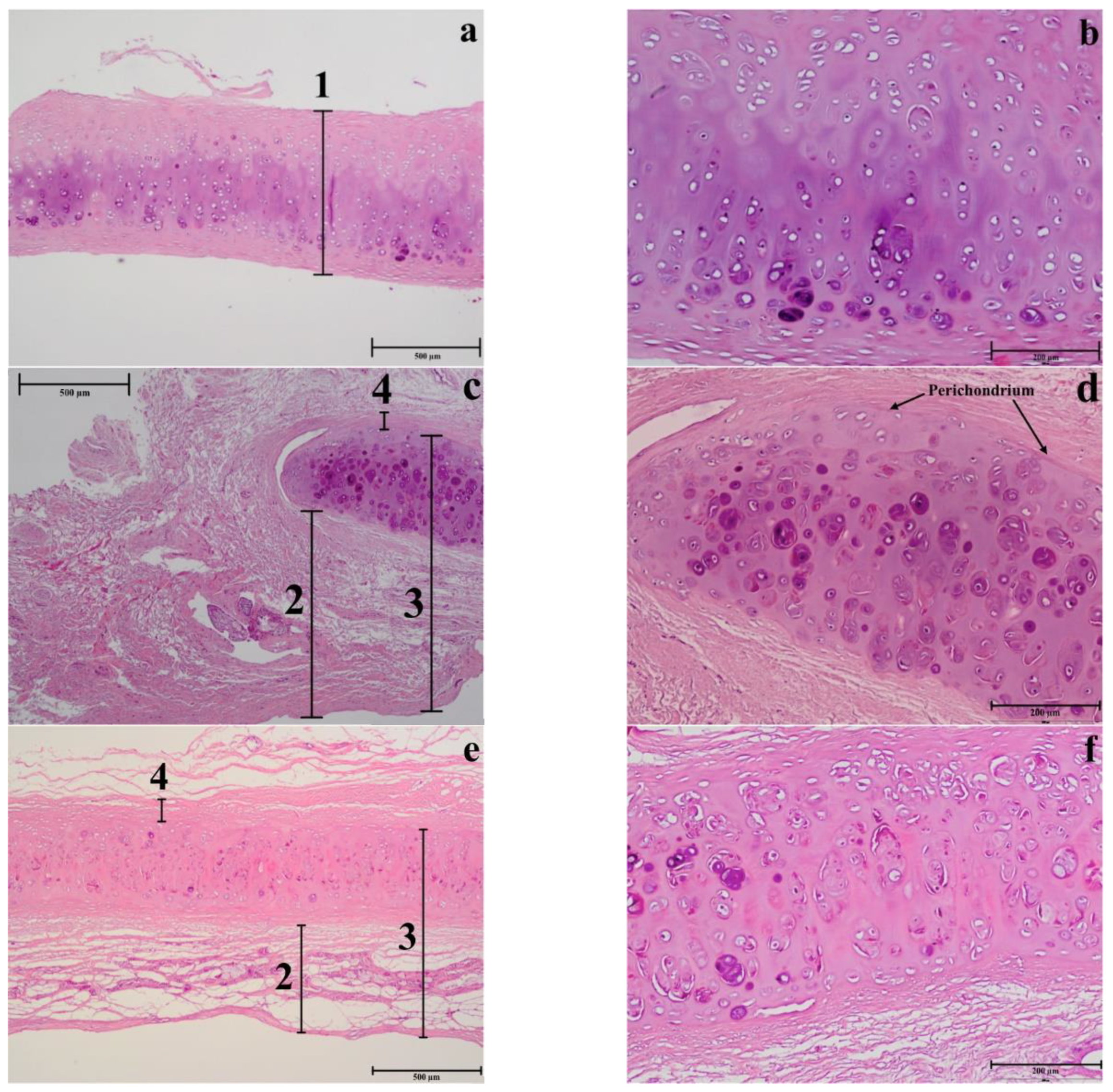
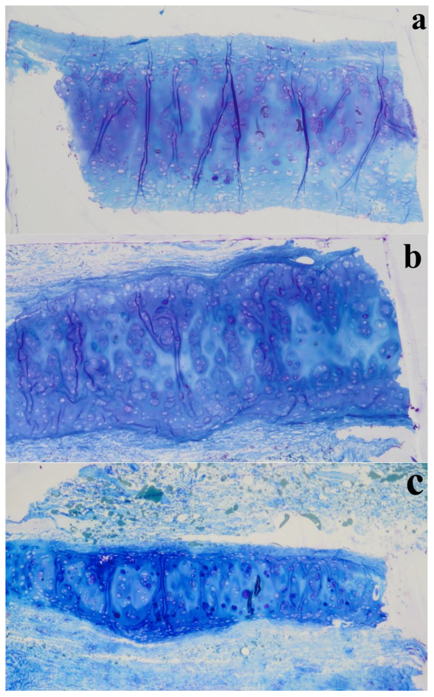
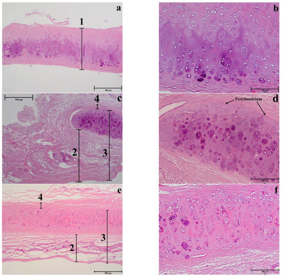
3.4. Histology and TEM Analyses
4. Conclusions
Author Contributions
Funding
Conflicts of Interest
References
- Zhu, Y.L.; Kang, G.Z.; Yu, C.; Poh, L.H. Logarithmic rate based elasto-viscoplastic cyclic constitutive model for soft biological tissues. J. Mech. Behav. Biomed. Mater. 2016, 61, 397–409. [Google Scholar] [CrossRef]
- Freutel, M.; Schmidt, H.; Durselen, L.; Ignatius, A.; Galbusera, F. Finite element modeling of soft tissues: Material models, tissue interaction and challenges. Clin. Biomech. 2014, 29, 363–372. [Google Scholar] [CrossRef] [PubMed]
- Avanzini, A.; Battini, D.; Bagozzi, L.; Bisleri, G. Biomechanical evaluation of ascending aortic aneurysms. BioMed Res. Int. 2014, 2014, 820385. [Google Scholar] [CrossRef] [PubMed]
- Annaidh, A.N.; Bruyere, K.; Destrade, M.; Gilchrist, M.D.; Ottenio, M. Characterization of the anisotropic mechanical properties of excised human skin. J. Mech. Behav. Biomed. Mater. 2012, 5, 139–148. [Google Scholar] [CrossRef] [PubMed]
- Anssari-Benam, A.; Bader, D.L.; Screen, H.R.C. Anisotropic time-dependant behaviour of the aortic valve. J. Mech. Behav. Biomed. Mater. 2011, 4, 1603–1610. [Google Scholar] [CrossRef] [PubMed]
- Marchesseau, S.; Heimann, T.; Chatelin, S.; Willinger, R.; Delingette, H. Fast porous visco-hyperelastic soft tissue model for surgery simulation: Application to liver surgery. Prog. Biophys. Mol. Biol. 2010, 103, 185–196. [Google Scholar] [CrossRef]
- Mow, V.C.; Kuei, S.C.; Lai, W.M.; Armstrong, C.G. Biphasic creep and stress-relaxation of articular-cartilage in compression—Theory and experiments. J. Biomech. Eng. 1980, 102, 73–84. [Google Scholar] [CrossRef]
- Al Dayeh, A.A.; Herring, S.W. Compressive and tensile mechanical properties of the porcine nasal septum. J. Biomech. 2014, 47, 154–161. [Google Scholar] [CrossRef]
- Fung, Y.-C. Biomechanics: Mechanical Properties of Living Tissues; Springer: New York, NY, USA, 1993. [Google Scholar]
- DiSilvestro, M.R.; Suh, J.K.F. Biphasic poroviscoelastic characteristics of proteoglycan-depleted articular cartilage: Simulation of degeneration. Ann. Biomed. Eng. 2002, 30, 792–800. [Google Scholar] [CrossRef]
- Poole, C.A. Articular cartilage chondrons: Form, function and failure. J. Anat. 1997, 191, 1–13. [Google Scholar] [CrossRef]
- Poole, C.A.; Flint, M.H.; Beaumont, B.W. Chondrons in cartilage—Ultrastructural analysis of the pericellular microenvironment in adult human articular cartilages. J. Orthop. Res. 1987, 5, 509–522. [Google Scholar] [CrossRef] [PubMed]
- Ferreira, M.G.; Monteiro, D.; Reis, C.; Sousa, C.A.E. Spare roof technique: A middle third new technique. Facial Plast. Surg. 2016, 32, 111–116. [Google Scholar] [PubMed]
- Wurm, J.; Kovacevic, M. A new classification of spreader flap techniques. Facial Plast. Surg. 2013, 29, 506–514. [Google Scholar] [PubMed]
- Sajjadian, A.; Guyuron, B. Primary rhinoplasty. Aesthetic Surg. J. 2010, 30, 527–539. [Google Scholar] [CrossRef]
- Kutubidze, A. Nasal dorsal aesthetic lines and rhinoplasty technical tricks. Plast. Aesthetic Res. 2015, 2, 315–319. [Google Scholar] [CrossRef][Green Version]
- Stevens, M.R.; Emam, H.A. Applied surgical anatomy of the nose. Oral Maxillofac. Surg. Clin. N. Am. 2012, 24, 25–38. [Google Scholar] [CrossRef]
- Kovacevic, M.; Riedel, F.; Goksel, A.; Wurm, J. Options for middle vault and dorsum restoration after hump removal in primary rhinoplasty. Facial Plast. Surg. 2016, 32, 374–383. [Google Scholar]
- Palhazi, P.; Daniel, R.K.; Kosins, A.M. The osseocartilaginous vault of the nose: Anatomy and surgical observations. Aesthetic Surg. J. 2015, 35, 242–251. [Google Scholar] [CrossRef]
- Rohrich, R.J.; Muzaffar, A.R.; Janis, J.E. Component dorsal hump reduction: The importance of maintaining dorsal aesthetic lines in rhinoplasty. Plast. Reconstr. Surg. 2004, 114, 1298–1308. [Google Scholar] [CrossRef]
- Kim, I.S.; Chung, Y.J.; Lee, Y.I. An anatomic study on the overlap patterns of structural components in the keystone area in noses of koreans. Clin. Exp. Otorhinolaryngol. 2008, 1, 158–160. [Google Scholar] [CrossRef]
- Gray, L.P. Deviated nasal-septum—Incidence and etiology. Ann. Otol. Rhinol. Laryngol. 1978, 87, 3–20. [Google Scholar] [CrossRef] [PubMed]
- Bohluli, B.; Moharamnejad, N.; Bayat, M. Dorsal hump surgery and lateral osteotomy. Oral Maxillofac. Surg. Clin. N. Am. 2012, 24, 75–86. [Google Scholar] [CrossRef] [PubMed]
- Stepnick, D.; Guyuron, B. Surgical treatment of the crooked nose. Clin. Plast. Surg. 2010, 37, 313–325. [Google Scholar] [CrossRef] [PubMed]
- Daniel, R.K. Tip refinement grafts: The designer tip. Aesthetic Surg. J. 2009, 29, 528–537. [Google Scholar] [CrossRef]
- Konior, R.J. The droopy nasal tip. Facial Plast. Surg. Clin. 2006, 14, 291–299. [Google Scholar] [CrossRef]
- Gruber, R.P.; Melkun, E.T.; Woodward, J.F.; Perkins, S.W. Dorsal reduction and spreader flaps. Aesthetic Surg. J. 2011, 31, 456–464. [Google Scholar] [CrossRef]
- Gruber, R.P.; Perkins, S.W. Humpectomy and spreader flaps. Clin. Plast. Surg. 2010, 37, 285–291. [Google Scholar] [CrossRef]
- Kovacevic, M.; Wurm, J. Spreader flaps for middle vault contour and stabilization. Facial Plast. Surg. Clin. 2015, 23, 1–9. [Google Scholar] [CrossRef]
- Ashrafi, A.T. Management of upper lateral cartilages (ulcs) in rhinoplasty. World J. Plast. Surg. 2014, 3, 129–137. [Google Scholar]
- Langelier, E.; Buschmann, M.D. Increasing strain and strain rate strengthen transient stiffness but weaken the response to subsequent compression for articular cartilage in unconfined compression. J. Biomech. 2003, 36, 853–859. [Google Scholar] [CrossRef]
- Huang, C.Y.; Mow, V.C.; Ateshian, G.A. The role of flow-independent viscoelasticity in the biphasic tensile and compressive responses of articular cartilage. J. Biomech. Eng. 2001, 123, 410–417. [Google Scholar] [CrossRef] [PubMed]
- Nimeskern, L.; Pleumeekers, M.M.; Pawson, D.J.; Koevoet, W.L.M.; Lehtoviita, I.; Soyka, M.B.; Roosli, C.; Holzmann, D.; Van Osch, G.J.V.M.; Muller, R.; et al. Mechanical and biochemical mapping of human auricular cartilage for reliable assessment of tissue-engineered constructs. J. Biomech. 2015, 48, 1721–1729. [Google Scholar] [CrossRef] [PubMed]
- Immerman, S.; White, W.M.; Constantinides, M. Cartilage grafting in nasal reconstruction. Facial Plast. Surg. Clin. 2011, 19, 175–182. [Google Scholar] [CrossRef] [PubMed]
- Popko, M.; Bleys, R.L.A.W.; De Groot, J.W.; Huizing, E.H. Histological structure of the nasal cartilages and their perichondrial envelope i. The septal and lobular cartilage. Rhinology 2007, 45, 148–152. [Google Scholar]
- Lavernia, L.; Brown, W.E.; Wong, B.J.F.; Hu, J.C.; Athanasiou, K.A. Toward tissue-engineering of nasal cartilages. Acta Biomater. 2019, 88, 42–56. [Google Scholar] [CrossRef]
- Quinn, T.M.; Morel, V. Microstructural modeling of collagen network mechanics and interactions with the proteoglycan gel in articular cartilage. Biomech. Model. Mechanobiol. 2007, 6, 73–82. [Google Scholar] [CrossRef]
- June, R.K.; Fyhrie, D.P. Temperature effects in articular cartilage biomechanics. J. Exp. Biol. 2010, 213, 3934–3940. [Google Scholar] [CrossRef]
- Borthakur, A.; Mellon, E.; Niyogi, S.; Witschey, W.; Kneeland, J.B.; Reddy, R. Sodium and t1ρ mri for molecular and diagnostic imaging of articular cartilage. NMR Biomed. 2006, 19, 781–821. [Google Scholar] [CrossRef]
- Wilson, W.; Van Donkelaar, C.C.; Van Rietbergen, B.; Huiskes, R. A fibril-reinforced poroviscoelastic swelling model for articular cartilage. J. Biomech. 2005, 38, 1195–1204. [Google Scholar] [CrossRef]
- Choi, J.A.; Gold, G.E. Mr imaging of articular cartilage physiology. Magn. Reson. Imaging Clin. 2011, 19, 249–282. [Google Scholar] [CrossRef]
- Sadeghi, H.; Espino, D.M.; Shepherd, D.E.T. Variation in viscoelastic properties of bovine articular cartilage below, up to and above healthy gait-relevant loading frequencies. Proc. Inst. Mech. Eng. Part H 2015, 229, 115–123. [Google Scholar] [CrossRef] [PubMed]
- Espino, D.M.; Shepherd, D.E.T.; Hukins, D.W.L. Viscoelastic properties of bovine knee joint articular cartilage: Dependency on thickness and loading frequency. BMC Musculoskelet. Disord. 2014, 15, 1–9. [Google Scholar] [CrossRef] [PubMed]
- Ansari, K.; Asaria, J.; Hilger, P.; Adamson, P.A. Grafts and implants in rhinoplasty—techniques and long-term results. Oper. Tech. Otolaryngol. Head Neck Surg. 2008, 19, 42–58. [Google Scholar] [CrossRef]
- Kim, J.H.; Avril, S.; Duprey, A.; Favre, J.P. Experimental characterization of rupture in human aortic aneurysms using a full-field measurement technique. Biomech. Model. Mechanobiol. 2012, 11, 841–853. [Google Scholar] [CrossRef] [PubMed]
- Arroyave, A.I.; Lima, R.G.; Martins, P.A.L.S.; Ramiao, N.; Jorge, R.M.N. Methodology for mechanical characterization of soft biological tissues: Arteries. Procedia Eng. 2015, 110, 74–81. [Google Scholar]
- Ronken, S.; Arnold, M.P.; Garcia, H.A.; Jeger, A.; Daniels, A.U.; Wirz, D. A comparison of healthy human and swine articular cartilage dynamic indentation mechanics. Biomech. Model. Mechanobiol. 2012, 11, 631–639. [Google Scholar] [CrossRef] [PubMed]
- Pearson, B.; Espino, D.M. Effect of hydration on the frequency-dependent viscoelastic properties of articular cartilage. Proc. Inst. Mech. Eng. Part H 2013, 227, 1246–1252. [Google Scholar] [CrossRef]
- Fulcher, G.R.; Hukins, D.W.L.; Shepherd, D.E.T. Viscoelastic properties of bovine articular cartilage attached to subchondral bone at high frequencies. BMC Musculoskelet. Disord. 2009, 10, 1–27. [Google Scholar] [CrossRef]
- Martinho, A.C.; Alves-Claro, A.P.R.; Pino, E.S.; Machado, L.D.B.; Herson, M.R.; Santin, S.P.; Mathor, M.B. Effects of ionizing radiation and preservation on biomechanical properties of human costal cartilage. Cell Tissue Bank. 2013, 14, 117–124. [Google Scholar] [CrossRef]
- Spahn, G.; Plettenberg, H.; Nagel, H.; Kahl, E.; Klinger, H.M.; Gunther, M.; Muckley, T.; Hofmann, G.O. Karl fischer titration and coulometry for measurement of water content in small cartilage specimens. Biomed. Tech. 2006, 51, 355–359. [Google Scholar] [CrossRef]
- Thomas, L.W. The chemical composition of adipose tissue of man and mice. Q. J. Exp. Physiol. Cogn. Med. Sci. 1962, 47, 179–188. [Google Scholar] [CrossRef] [PubMed]
- Gniadecka, M. Non-invasive methods for determination of oedema and water behaviour in the skin. Skin Res. Technol. 1995, 1, 55–60. [Google Scholar] [CrossRef] [PubMed]
- Ficai, A.; Ficai, D.; Andronescu, E.; Maganu, M.; Voicu, G.; Sonmez, M. Biomimetic mineralization of the human nasal septum cartilage. Dig. J. Nanomater. Biostruct. 2011, 6, 1377–1383. [Google Scholar]
- Da Costa, A.; Pereira, A.M.; Gomes, A.C.; Rodriguez-Cabello, J.C.; Sencadas, V.; Casal, M.; Machado, R. Single step fabrication of antimicrobial fibre mats from a bioengineered protein-based polymer. Biomed. Mater. 2017, 12, 045011. [Google Scholar] [CrossRef] [PubMed]
- Bobacz, K.; Erlacher, L.; Smolen, J.; Soleiman, A.; Graninger, W.B. Chondrocyte number and proteoglycan synthesis in the aging and osteoarthritic human articular cartilage. Ann. Rheum. Dis. 2004, 63, 1618–1622. [Google Scholar] [CrossRef] [PubMed]
- Moraes, M.R.; Alves, A.C.; Toptan, F.; Martins, M.S.; Vieira, E.M.F.; Paleo, A.J.; Souto, A.P.; Santos, W.L.F.; Esteves, M.F.; Zille, A. Glycerol/pedot: Pss coated woven fabric as a flexible heating element on textiles. J. Mater. Chem. C 2017, 5, 3807–3822. [Google Scholar] [CrossRef]
- Toth, K.; Sohar, G.; Pallagi, E.; Szabo-Revesz, P. Further characterization of degenerated human cartilage with differential scanning calorimetry. Thermochim. Acta 2007, 464, 75–77. [Google Scholar] [CrossRef]
- Okamoto, Y.; Saeki, K. Phase transition of collagen and gelatin. Kolloid Z. Z. Polym. 1964, 194, 124–135. [Google Scholar] [CrossRef]
- Lawless, B.M.; Sadeghi, H.; Temple, D.K.; Dhaliwal, H.; Espino, D.M.; Hukins, D.W.L. Viscoelasticity of articular cartilage: Analysing the effect of induced stress and the restraint of bone in a dynamic environment. J. Mech. Behav. Biomed. Mater. 2017, 75, 293–301. [Google Scholar] [CrossRef]
- Havaldar, R.; Pilli, S.C.; Putti, B.B. Insights into the effects of tensile and compressive loadings on human femur bone. Adv. Biomed. Res. 2014, 3, 1–6. [Google Scholar] [CrossRef]
- Aldred, N.; Wills, T.; Williams, D.N.; Clare, A.S. Tensile and dynamic mechanical analysis of the distal portion of mussel (Mytilus edulis) byssal threads. J. R. Soc. Interface 2007, 4, 1159–1167. [Google Scholar] [CrossRef] [PubMed]
- Nagasawa, K.; Noguchi, M.; Ikoma, K.; Kubo, T. Static and dynamic biomechanical properties of the regenerating rabbit achilles tendon. Clin. Biomech. 2008, 23, 832–838. [Google Scholar] [CrossRef] [PubMed]
- Ding, C.C.; Zhang, M.; Li, G.Y. Effect of cyclic freeze-thawing process on the structure and properties of collagen. Int. J. Biol. Macromol. 2015, 80, 317–323. [Google Scholar] [CrossRef] [PubMed]
- Schwartz, C.J.; Bahadur, S. Investigation of articular cartilage and counterface compliance in multi-directional sliding as in orthopedic implants. Wear 2007, 262, 1315–1320. [Google Scholar] [CrossRef]
- Tanaka, E.; Yamano, E.; Dalla-Bona, D.A.; Watanabe, M.; Inubushi, T.; Shirakura, M.; Sano, R.; Takahashi, K.; Van Eijden, T.; Tanne, K. Dynamic compressive properties of the mandibular condylar cartilage. J. Dent. Res. 2006, 85, 571–575. [Google Scholar] [CrossRef] [PubMed]
- Wiggenhauser, P.S.; Schwarz, S.; Freutel, M.; Koerber, L.; Wolf, N.; Dürselen, L.; Rotter, N. Differences between human septal and alar cartilage with respect to biomechanical features and biochemical composition. J. Mech. Behav. Biomed. Mater. 2019, 96, 236–243. [Google Scholar] [CrossRef]
- Bos, E.J.; Pluemeekers, M.; Helder, M.; Kuzmin, N.; Van der Laan, K.; Groot, M.-L.; Van Osch, G.; Van Zuijlen, P. Structural and mechanical comparison of human ear, alar, and septal cartilage. Plast. Reconstr. Surg. Glob. Open 2018, 6, e1610. [Google Scholar] [CrossRef]
- Griffin, M.F.; Premakumar, Y.; Seifalian, A.M.; Szarko, M.; Butler, P.E.M. Biomechanical characterisation of the human nasal cartilages; implications for tissue engineering. J. Mater. Sci. Mater. Med. 2015, 27, 1–6. [Google Scholar] [CrossRef]
- Richmon, J.D.; Sage, A.; Wong, V.W.; Chen, A.C.; Sah, R.L.; Watson, D. Compressive biomechanical properties of human nasal septal cartilage. Am. J. Rhinol. 2018, 20, 496–501. [Google Scholar] [CrossRef]
- Samouillan, V.; Dandurand-Lods, J.; Lamure, A.; Maurel, E.; Lacabanne, C.; Gerosa, G.; Venturini, A.; Casarotto, D.; Gherardini, L.; Spina, M. Thermal analysis characterization of aortic tissues for cardiac valve bioprostheses. J. Biomed. Mater. Res. 1999, 46, 531–538. [Google Scholar] [CrossRef]
- Chien, J.C.W. Solid-state characterization of the structure and property of collagen. J. Macromol. Sci. Part C Polym. Rev. 1975, 12, 1–80. [Google Scholar] [CrossRef]
- Pietrucha, K. Some biological and thermoanalytical studies of cross-linked collagen sponges. In Proceedings of the World Congress on Medical Physics and Biomedical Engineering 2006, Seoul, Korea, 27 August–1 September 2006; Springer: Berlin/Heidelberg, Germany, 2007; pp. 3369–3372. [Google Scholar]
- Jeng, Y.R.; Mao, C.P.; Wu, K.T. Instrumented indentation investigation on the viscoelastic properties of porcine cartilage. J. Bionic Eng. 2013, 10, 522–531. [Google Scholar] [CrossRef]
- Li, L.P.; Herzog, W.; Korhonen, R.K.; Jurvelin, J.S. The role of viscoelasticity of collagen fibers in articular cartilage: Axial tension versus compression. Med. Eng. Phys. 2005, 27, 51–57. [Google Scholar] [CrossRef] [PubMed]
- Bleys, R.L.A.W.; Popko, M.; De Groot, J.W.; Huizing, E.H. Histological structure of the nasal cartilages and their perichondrial envelope—II. The perichondrial envelope of the septal and lobular cartilage. Rhinology 2007, 45, 153–157. [Google Scholar] [PubMed]
- Kojima, K.; Bonassar, L.J.; Ignotz, R.A.; Syed, K.; Cortiella, J.; Vacanti, C.A. Comparison of tracheal and nasal chondrocytes for tissue engineering of the trachea. Ann. Thorac. Surg. 2003, 76, 1884–1888. [Google Scholar] [CrossRef]














| Sp. Name (NS) | Thickness | Width | Length | |
|---|---|---|---|---|
| Total (Cartilage + Subcutaneous) | Cartilage | |||
| Tension (dog-bone) | 1.03 ± 0.19 | 0.94 ± 0.11 | 1.81 ± 0.29 | 10.00 ± 0.10 |
| Compression (flat disc) | 1.30 ± 0.12 | 0.83 ± 0.05 | 7.00 ± 0.10 (diameter) | |
© 2020 by the authors. Licensee MDPI, Basel, Switzerland. This article is an open access article distributed under the terms and conditions of the Creative Commons Attribution (CC BY) license (http://creativecommons.org/licenses/by/4.0/).
Share and Cite
Fertuzinhos, A.; Teixeira, M.A.; Ferreira, M.G.; Fernandes, R.; Correia, R.; Malheiro, A.R.; Flores, P.; Zille, A.; Dourado, N. Thermo-Mechanical Behaviour of Human Nasal Cartilage. Polymers 2020, 12, 177. https://doi.org/10.3390/polym12010177
Fertuzinhos A, Teixeira MA, Ferreira MG, Fernandes R, Correia R, Malheiro AR, Flores P, Zille A, Dourado N. Thermo-Mechanical Behaviour of Human Nasal Cartilage. Polymers. 2020; 12(1):177. https://doi.org/10.3390/polym12010177
Chicago/Turabian StyleFertuzinhos, Aureliano, Marta A. Teixeira, Miguel Goncalves Ferreira, Rui Fernandes, Rossana Correia, Ana Rita Malheiro, Paulo Flores, Andrea Zille, and Nuno Dourado. 2020. "Thermo-Mechanical Behaviour of Human Nasal Cartilage" Polymers 12, no. 1: 177. https://doi.org/10.3390/polym12010177
APA StyleFertuzinhos, A., Teixeira, M. A., Ferreira, M. G., Fernandes, R., Correia, R., Malheiro, A. R., Flores, P., Zille, A., & Dourado, N. (2020). Thermo-Mechanical Behaviour of Human Nasal Cartilage. Polymers, 12(1), 177. https://doi.org/10.3390/polym12010177

