Synthesis and Biological Evaluations of a Novel Oxidovanadium(IV) Adenosine Monophosphate Complex as Anti-Diabetic Agent
Abstract
1. Introduction
2. Materials and Methods
2.1. Chemicals and Reagents
2.2. Synthesis of Oxidovanadium(IV)–AMP Complex
2.3. Instruments and Methods
- ▪
- Elemental analyses were performed using PerkinElmer model CHN 2400.
- ▪
- Vanadium metal percentage was calculated gravimetrically as vanadium oxide.
- ▪
- Molar conductivity of oxidovanadium(IV)–AMP complex was measured using a conductivity meter model Jenway4010 at 1.0 × 10−3 mol/cm3 concentration in DMSO solvent.
- ▪
- Solid reflectance spectra were scanned using UV–Vis Spectrophotometer model UV-3101 PC.
- ▪
- FTIR spectra were performed on a Bruker FTIR spectrophotometer.
- ▪
- Magnetic data were collected based on a magnetic susceptibility balance.
- ▪
- TGA/DTG curves were scanned depending on the thermogravimetric analyzer model Shimadzu–50Hunder nitrogen atmosphere.
- ▪
- SEM images were acquired using a Quanta 250 FEG microscope.
- ▪
- TEM images were acquired using JEOL 100S microscope.
- ▪
- XRD were recorded on the X’Pert PRO PANalytical.
2.4. In Vivo Experimental Design
- ▪
- Group I: untreated negative control.
- ▪
- Group II: untreated diabetic positive control—one-time intraperitoneal (ip) injection of streptozotocin (STZ) (50 mg/kg) [19].
- ▪
- Group III: oxidovanadium(IV)sulfate itself—ip injection of STZ +ip injection of oxidovanadium(IV)sulfate itself (40 mg/kg) for 30 days.
- ▪
- Group IV: oxidovanadium(IV)–AMP complex—ip injection of STZ +ip injection of oxidovanadium(IV)–AMP(40 mg/kg) for 30 days.
2.4.1. Diabetes Induction
2.4.2. Collection of Blood and Tissue Samples
2.4.3. Levels of Hemoglobin (Hb), Insulin, and Blood Glucose
2.4.4. Lipid Profile
2.4.5. Liver and Kidney Functions
2.4.6. Blood Superoxide Dismutase (SOD) Activity
2.4.7. Histopathological Examination
2.5. Statistical Analyses
3. Results and Discussion
3.1. Interpretations of the Chemical Formulation
3.1.1. Microanalytical and Physical Data
3.1.2. Electronic and Magnetic Measurements
3.1.3. Infrared Spectra
3.1.4. Thermal and Kinetic Studies
- ▪
- The [(AMP)(VO)(H2O)2] complex had a high thermal stability according to high activation energy.
- ▪
- The negative value of the oxidovanadium(IV)–AMP complex gave an impression of a more ordered, rather than free, AMP ligand.
3.1.5. Morphological Studies Using XRD, SEM, and TEM
3.2. In Vivo Application of the Oxidovanadium(IV)–AMP Complex
3.2.1. Blood Glucose and Insulin Levels
3.2.2. GPT Activity
3.2.3. Creatinine and Uric Acid Levels
3.2.4. LDH and G6PD Activities
3.2.5. Hb Level
3.2.6. SOD Activity
3.2.7. TC, TG, HDL-c, and LDL-cLipid Factors
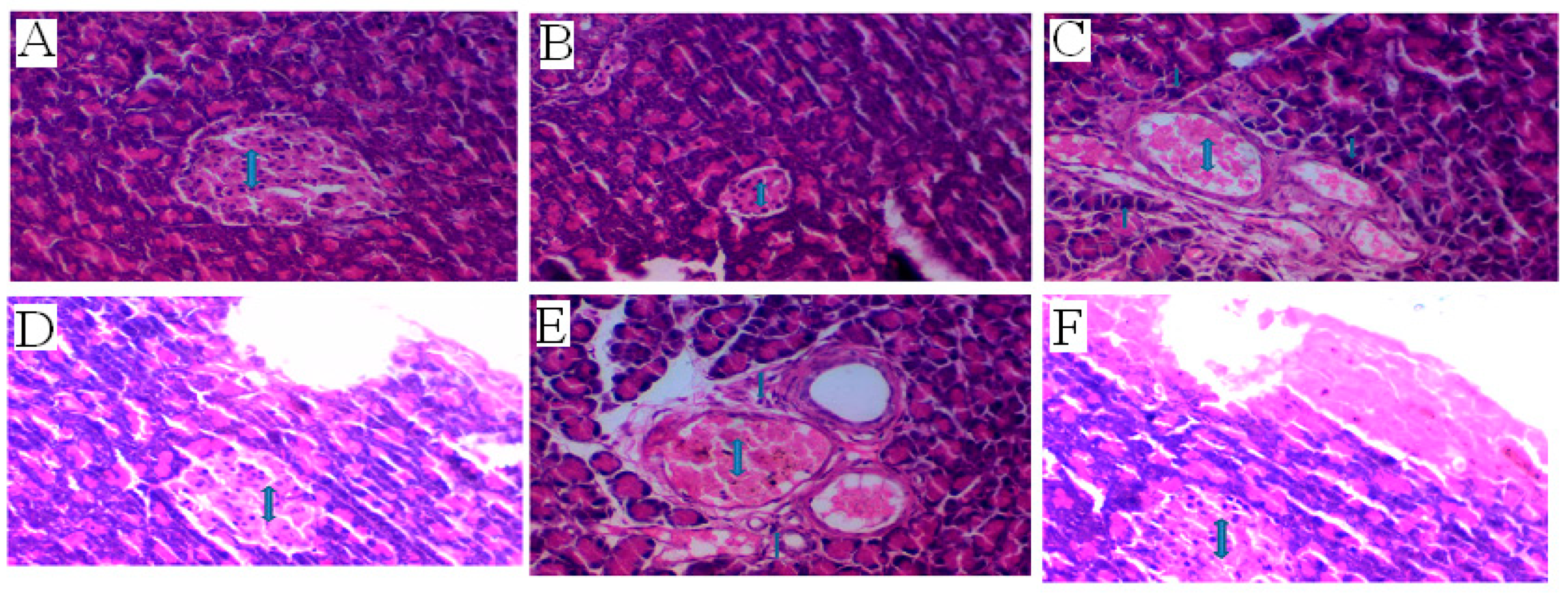
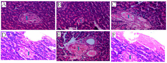
3.2.8. Histopathology of the Pancreas
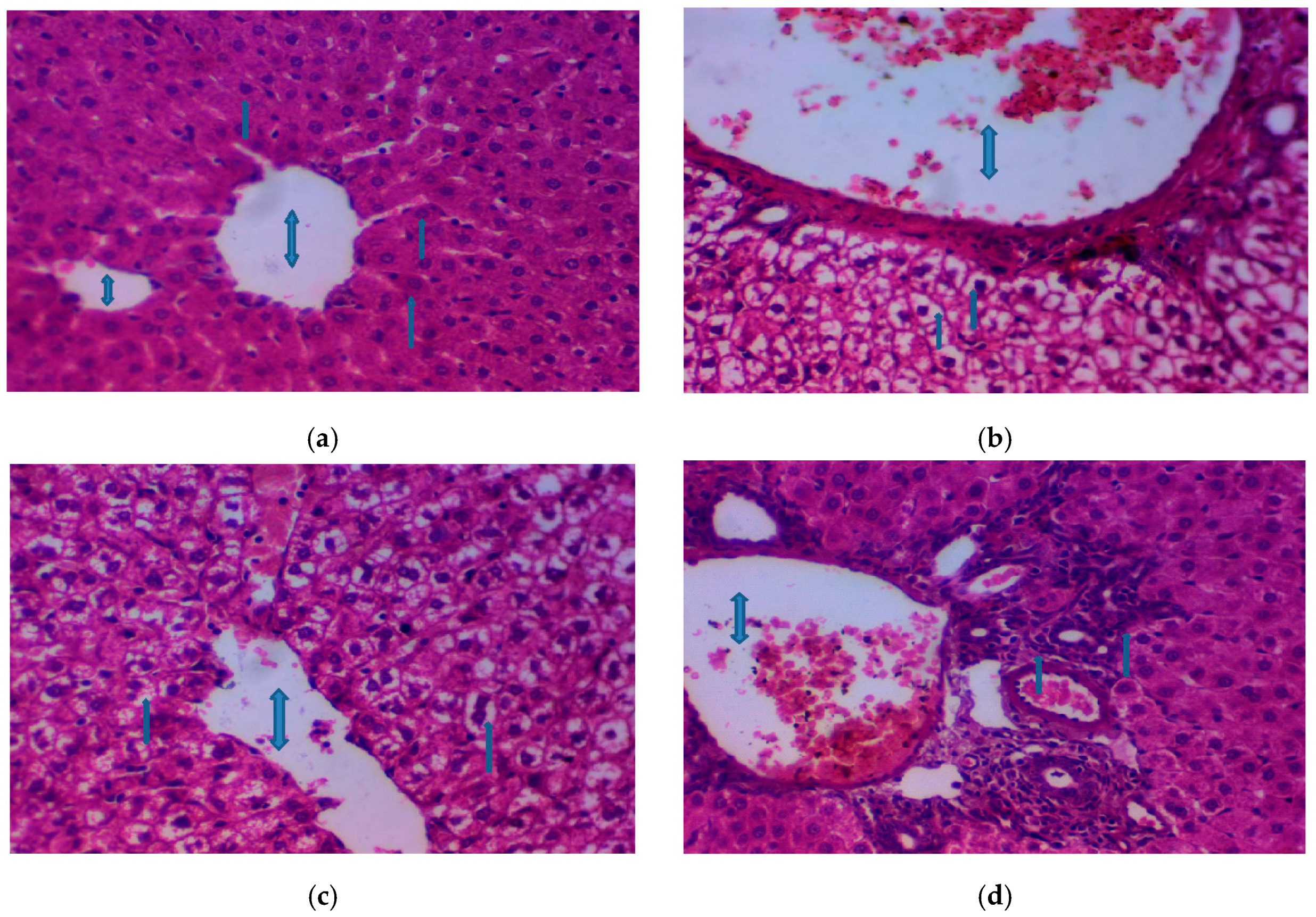
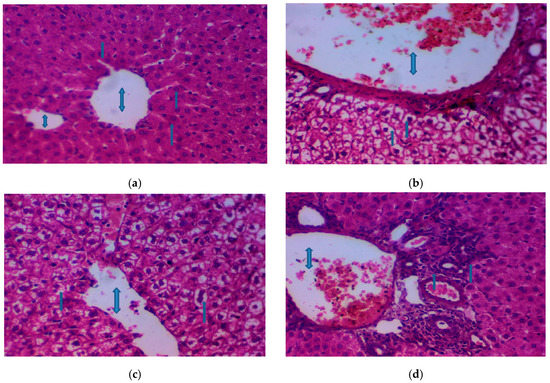
3.2.9. Histopathology of the Liver
Author Contributions
Funding
Conflicts of Interest
References
- Bolkent, S.; Bolkent, S.; Yanardag, R.; Tunali, S. Protective effect of vanadyl sulfate on the pancreas of streptozotocin-induced diabetic rats. Diabetes Res. Clin. Pract. 2005, 70, 103–109. [Google Scholar] [CrossRef] [PubMed]
- Cam, M.C.; Rodrigues, B.; McNeill, J.H. Distinct glucose lowering and beta cell protective effects of vanadium and food restriction in streptozotocin-diabetes. Eur. J. Endocrinol. 1999, 141, 546–554. [Google Scholar] [CrossRef] [PubMed]
- El-Megharbel, S.M.; Hamza, R.Z.; Gobouri, A.A.; Refat, M.S. Synthesis of new antidiabetic agent by complexity between vanadyl (II) sulfate and vitamin B1: Structural, characterization, anti-DNA damage, structural alterations and antioxidative damage studies. Appl. Organomet. Chem. 2019, e4892, 1–15. [Google Scholar] [CrossRef]
- Naglah, A.M.; Al-Omar, M.A.; Kalmouch, A.; Alsuhaibani, A.M.A.; El-Didamony, A.M.; Hassan, N.; Abo Taleb, S.; Refat, M.S.; Al-Shakliah, N.S.; Al-Humaidi, J.Y. Synthesis, characterization and antidiabetic effects of vanadyl (II) adenosine monophosphate amino acid mixed-ligand complexes. Future Med. Chem. 2019, 11. [Google Scholar] [CrossRef]
- Naglah, A.M.; Al-Omar, M.A.; Almehizia, A.A.; Bhat, M.A.; Afifi, W.M.; Al-Wasidi, A.S.; Al-Humaidi, J.Y.; Refat, M.S. A novel oxidovanadium (IV)-orotate complex as an alternative antidiabetic agent: Synthesis, characterization, and biological assessments. BioMed Res. Int. 2018, 2018, 8108713. [Google Scholar] [CrossRef]
- Zhang, H.; Yi, Y.; Feng, D.; Wang, Y.; Qin, S. Hypoglycemic properties of oxovanadium (IV) coordination compounds with carboxymethyl-carrageenan and carboxymethyl-chitosan in alloxan-induced diabetic mice. Evid. Based Complement Altern. Med. 2011, 69, 67–70. [Google Scholar] [CrossRef] [PubMed]
- Cusi, K.; Cukier, S.; DeFronzo, R.A.; Torres, M.; Puchulu, F.M.; Redondo, J.C.; Clin, J. Vanadyl sulfate improves hepatic and muscle insulin sensitivity in type 2 diabetes. J. Clin. Endocrinol. Metab. 2001, 86, 1410–1417. [Google Scholar] [CrossRef] [PubMed]
- Thompson, K.H.; McNeill, J.H.; Orvig, C. Vanadium compounds as insulin mimics. Chem. Rev. 1999, 99, 2561–2572. [Google Scholar] [CrossRef] [PubMed]
- Thompson, K.H.; Orvig, C. Coordination chemistry of vanadium in metallopharmaceutical candidate compounds. Coord. Chem. Rev. 2001, 219, 1033–1053. [Google Scholar] [CrossRef]
- Chan, S.-Y.; Ou, S.-M.; Chen, Y.-T.; Shih, C.-J. Effects of DPP-4 inhibitors on cardiovascular outcomes in patients with type 2 diabetes and end-stage renal disease. Int. J. Cardiolol. 2016, 218, 170–175. [Google Scholar] [CrossRef]
- King, H.; Aubert, R.E.; Herman, W.H. Global burden of diabetes, 1995–2025: Prevalence, numerical estimates, and projections. Diabetes Care 1998, 21, 1414–1431. [Google Scholar] [CrossRef] [PubMed]
- De la Monte, S.M. Relationships Between Diabetes and Cognitive Impairment. Endocrinol. Metab. Clin. N. Am. 2014, 43, 245–267. [Google Scholar] [CrossRef]
- Harper, E.; Forde, H.; Davenport, C.; Rochfort, K.D.; Smith, D.; Cummins, P.M. Vascular calcification in type-2 diabetes and cardiovascular disease: Integrative roles for OPG, RANKL and TRAIL. Vasc. Pharmacol. 2016, 82, 30–40. [Google Scholar] [CrossRef] [PubMed]
- Ibrahim, M.A.; Habila, J.D.; Koorbanally, N.A.; Islam, M.S. Butanol fraction of Parkiabiglobosa (Jacq.) G. Don leaves enhance pancreatic β-cell functions, stimulates insulin secretion and ameliorates other type 2 diabetes-associated complications in rats. J. Ethnopharmacol. 2016, 183, 103–111. [Google Scholar] [CrossRef] [PubMed]
- Bhowmik, D.; Chiranjib, B.; Yadav, J.; Chandira, M.R. Role of community pharmacist in management and prevention diabetic foot ulcer and infections. J. Chem. Pharm. Res. 2009, 1, 38. [Google Scholar]
- Kvetensky, J.; Zaoralek, A.; Harinova, E. Application of a hydroxyl functionalized ionic liquid modified electrode for the sensitive detection of adenosine-5′-monophosphate. Vnitr. Lek. 1966, 12, 601–606. [Google Scholar] [PubMed]
- Wiontzek, H. Treatment of acute intermittent prophyria using adenosine monophosphoric acid. Med. Klin. 1969, 64, 1238–1240. [Google Scholar] [PubMed]
- Haug, H.; Strik, W.O.; Meyer, W.; Deibert, K.; Polzien, P. On the concentration changes of glucose, lactic acid, pyruvic acid and adenosine tri-, di-and monophosphoric acids (ATP, ADP, AMP) in the blood of the pulmonary artery before and after administration of theophylline ethylendiamine. Arzneimittelforschung 1967, 17, 1411–1414. [Google Scholar]
- Rudichenko, V.F.; Dumanskii, I.D. Effect of adenosine monophosphoric acid on oxidative phosphorylation in the liver under the prolonged action of microwaves. Gig. Tr. Prof. Zabol. 1976, 10, 51–52. [Google Scholar]
- Lujf, A.; Schwarzmeier, J.; Moser, K. Über den Adeninnukleotidgehalt (ATP, ADP, AMP) normaler menschlicher Skeletmuskulatur. Klin. Wochenschr. 1971, 49, 499–500. [Google Scholar] [CrossRef]
- Headrick, J.P.; Peart, J.; Hack, B.; Garnham, B.; Matherne, G.P. 5′-Adenosine monophosphate and adenosine metabolism, and adenosine responses in mouse, rat and guinea pig heart. Comp. Biochem. Physiol. Part A Mol. Integr. Physiol. 2001, 130, 615–631. [Google Scholar] [CrossRef]
- Hounsom, L.; Horrobin, D.F.; Tritschler, H.; Corder, R.; Tomlinson, D.R. A lipoic acid-gamma linolenic acid conjugate is effective against multiple indices of experimental diabetic neuropathy. Diabetologia 1998, 41, 839–843. [Google Scholar] [CrossRef]
- Siddiqui, M.R.; Taha, A.; Moorthy, K.; Hussain, M.E.; Basir, S.F.; Baquer, N.Z.J. Amelioration of altered antioxidant status and membrane linked functions by vanadium and Trigonella in alloxan diabetic rat brains. J. Biosci. 2005, 30, 101–108. [Google Scholar] [CrossRef]
- Stone, S.H. Method for obtaining venous blood from the orbital sinus of the rat or mouse. Science 1954, 119, 100. [Google Scholar] [CrossRef]
- Woodhead, O.; Otton, P.; Spake, L. Radioimmunoassay of insulin. Clin. Pharmacol. 1947, 21, 11–15. [Google Scholar]
- Carleton, H.M. Carleton’s Histological Technique, 4th ed.; Oxford University Press: Oxford, UK, 1967. [Google Scholar]
- Snedecor, G.W.; Cochran, W.G. Statistical Methods, 8th ed.; Ames Iowa State University: Iowa City, IA, USA, 1982. [Google Scholar]
- Geary, W.J. The use of conductivity measurements in organic solvents for the characterisation of coordination compounds. Coord. Chem. Rev. 1971, 7, 81–122. [Google Scholar] [CrossRef]
- Lever, A.B.P. Inorganic Electronic Spectroscopy; Elsevier: Amsterdam, The Netherlands, 1986. [Google Scholar]
- Uivarosi, V.; Barbuceanu, S.F.; Aldea, V.; Arama, C.C.; Badea, M.; Olar, R.; Marinescu, D. Synthesis, spectral and thermal studies of new rutinvanadyl complexes. Molecules 2010, 15, 1578–1589. [Google Scholar] [CrossRef] [PubMed]
- Tajmir-Riahi, H.A.; Theophanides, T. Adenosine-5′-monophosphate complexes of Pt(II) and Mg(II) metal ions. Synthesis, FT-IR spectra and structural studies. Inorg. Chim. Acta 1983, 80, 183. [Google Scholar] [CrossRef]
- Kyogoku, Y.; Higuchi, S.; Tsuboi, M. Intra-red absorption spectra of the single crystals of 1-methyl-thymine, 9-methyladenine and their 1: 1 complex. Spectrochim. Acta Part A Mol. Spectrosc. 1967, 23, 969–983. [Google Scholar] [CrossRef]
- Horowitz, H.W.; Metzger, G. A new analysis of thermogravimetric traces. Anal. Chem. 1963, 35, 1464–1468. [Google Scholar] [CrossRef]
- Coats, A.W.; Redfern, J.P. Kinetic parameters from thermogravimetric data. Nature 1964, 201, 68–69. [Google Scholar] [CrossRef]
- Miyauchi, A.; Okabe, T.H. Production of metallic vanadium by preform reduction process. Mater. Trans. 2010, 51, 1102–1108. [Google Scholar] [CrossRef]
- Cullity, B.D. Elements of X-ray Diffraction; Addison-Wesley Publishing Company: Boston, MA, USA, 1978. [Google Scholar]
- Brichard, S.M.; Okitolonda, W.; Henquin, J.C. Long term improvement of glucose homeostasis by vanadate treatment in diabetic rats. Endocrinology 1988, 123, 2048–2053. [Google Scholar] [CrossRef] [PubMed]
- Yoshikawa, Y.; Ueda, E.; Kawabe, K.; Miyake, H.; Takino, T.; Sakurai, H.; Kojima, Y.J. Development of new insulinomimetic zinc(II) picolinate complexes with a Zn(N2O2) coordination mode: Structure characterization, in vitro, and in vivo studies. Biol. Inorg. Chem. 2002, 7, 68–73. [Google Scholar] [CrossRef] [PubMed]
- Braunwald, E.; Isselbacher, K.J.; Wilson, J.D.; Martin, J.B.; Kasper, D.; Hauser, S.L.; Longo, D.L. (Eds.) Evaluation of liver function. In Harrison’s Principles of Internal Medicine; McGraw-Hill: New York, NY, USA, 2001; pp. 1711–1715. [Google Scholar]
- Delanghe, J.; De Slypere, J.P.; De Buyzere, M.; Robbrecht, J.; Wieme, R.; Vermeulen, A. Normal reference values for creatine, creatinine, and carnitine are lower in vegetarians. Clin. Chem. 1989, 35, 1802–1803. [Google Scholar]
- Butt, A.A.; Michaels, S.; Greer, D.; Clark, R.; Kissinger, P.; Martin, D.H. Serum LDH level as a clue to the diagnosis of histoplasmosis. AIDS Read 2002, 12, 317–321. [Google Scholar]
- Gad, Z.M.; Ehssan, A.N.; Ghiet, H.M.; Wahman, F.L. Effects of pioglitazone and metformin on carbohydrate metabolism in experimental models of glucose intolerance. Int. J. Diabetes Metab. 2010, 18, 132–138. [Google Scholar]
- Szudelski, T. The mechanism of alloxan and streptozotocin action in B cells of the rat pancreas. Physiol Res. 2001, 50, 537–546. [Google Scholar]
- Rajasekaran, S.; Sivagnanam, K.; Subramanian, S. Mineral contents of aloe vera leaf gel and their role on streptozotocin-induced diabetic rats. Biol. Trace. Elem. Res. 2005, 108, 185–195. [Google Scholar] [CrossRef]








| Steps | Temperature Range (°C) | DTGmax (°C) | DTA (°C) | Mass Loss (%) | Assignments | |
|---|---|---|---|---|---|---|
| Found | Calcd | |||||
| 1 | 27–392 | 254 | 74 and 265 (exo) | 25.62 | 25.44 | C4H6N2O2 |
| 2 | 393–714 | 635 | 517 (endo) | 55.49 | 56.02 | C6H10N3O6P) |
| Final residue = VO2 (found = 18.89%, calcd=18.52%) | ||||||
| Method | Parameters | r | ||||
|---|---|---|---|---|---|---|
| E (J mol−1) | A (s−1) | ΔS (J mol−1 K−1) | ΔH (J mol−1) | ΔG (J mol−1) | ||
| CR | 7.80 × 104 | 70.5 | −2.19 × 102 | 7.05 × 104 | 2.69 × 105 | 0.9853 |
| HM | 1.03 × 105 | 3.36 × 103 | −1.87 × 102 | 9.59 × 104 | 2.65 × 105 | 0.9860 |
| Biological Test | Group I | Group II | Group III | Group IV |
|---|---|---|---|---|
| Insulin (IU/mL) | 57.64 ± 1.76 | 23.78 ± 2.50 | 41.44 ± 1.23 | 42.96 ± 1.99 |
| Glucose (mg/dL) | 77.55 ± 4.93 | 410.23 ± 14.52 | 283.51 ± 9.21 | 280.34 ± 6.87 |
| GPT (U/L) | 72.33 ± 6.61 | 111.50 ± 7.44 | 124.31 ± 10.53 | 101.57 ± 6.33 |
| Creatinine (mg/dL) | 0.52 ± 0.12 | 1.14 ± 0.18 | 0.85 ± 0.15 | 3.83 ± 0.25 |
| Uric acid (mg/dL) | 3.52 ± 0.24 | 4.79 ± 0.37 | 3.86 ± 0.29 | 0.79 ± 0.14 |
| LDH (U/L) | 295.43 ± 15.33 | 409.55 ± 13.27 | 434.72 ± 19.76 | 391.75 ± 21.31 |
| G6PD (U/L) | 12.13 ± 0.64 | 7.92 ± 0.47 | 9.25 ± 0.41 | 9.66 ± 0.71 |
| Hb (g/dL) | 12.82 ± 0.44 | 9.83 ± 0.37 | 10.85 ± 0.51 | 11.41 ± 0.61 |
| SOD (U/mL) | 307.53 ± 15.15 | 259.41 ± 21.66 | 280.37 ± 18.76 | 287.65 ± 17.77 |
| TC (mg/dL) | 75.66 ± 7.65 | 210.52 ± 10.57 | 129.66 ± 8.77 | 130.44 ± 4.65 |
| TG (mg/dL) | 139.67 ± 9.45 | 197.46 ± 11.86 | 156.77 ± 10.56 | 151.52 ± 8.72 |
| HDL-c (mg/dL) | 42.33 ± 3.12 | 21.44 ± 1.77 | 32.32 ± 2.11 | 36.21 ± 2.11 |
| LDL-c (mg/dL) | 31.33 ± 4.22 | 52.57 ± 5.32 | 42.88 ± 4.71 | 38.43 ± 5.22 |
© 2019 by the authors. Licensee MDPI, Basel, Switzerland. This article is an open access article distributed under the terms and conditions of the Creative Commons Attribution (CC BY) license (http://creativecommons.org/licenses/by/4.0/).
Share and Cite
Naglah, A.M.; Al-Omar, M.A.; Bhat, M.A.; Al-Wasidi, A.S.; Alsuhaibani, A.M.A.; El-Didamony, A.M.; Hassan, N.; Abo Taleb, S.; Refat, M.S. Synthesis and Biological Evaluations of a Novel Oxidovanadium(IV) Adenosine Monophosphate Complex as Anti-Diabetic Agent. Crystals 2019, 9, 208. https://doi.org/10.3390/cryst9040208
Naglah AM, Al-Omar MA, Bhat MA, Al-Wasidi AS, Alsuhaibani AMA, El-Didamony AM, Hassan N, Abo Taleb S, Refat MS. Synthesis and Biological Evaluations of a Novel Oxidovanadium(IV) Adenosine Monophosphate Complex as Anti-Diabetic Agent. Crystals. 2019; 9(4):208. https://doi.org/10.3390/cryst9040208
Chicago/Turabian StyleNaglah, Ahmed M., Mohamed A. Al-Omar, Mashooq A. Bhat, Asma S. Al-Wasidi, Amnah M. A. Alsuhaibani, Akram M. El-Didamony, Nader Hassan, Sameh Abo Taleb, and Moamen S. Refat. 2019. "Synthesis and Biological Evaluations of a Novel Oxidovanadium(IV) Adenosine Monophosphate Complex as Anti-Diabetic Agent" Crystals 9, no. 4: 208. https://doi.org/10.3390/cryst9040208
APA StyleNaglah, A. M., Al-Omar, M. A., Bhat, M. A., Al-Wasidi, A. S., Alsuhaibani, A. M. A., El-Didamony, A. M., Hassan, N., Abo Taleb, S., & Refat, M. S. (2019). Synthesis and Biological Evaluations of a Novel Oxidovanadium(IV) Adenosine Monophosphate Complex as Anti-Diabetic Agent. Crystals, 9(4), 208. https://doi.org/10.3390/cryst9040208

