Synthesis and Spectroscopic Characterization of Dapagliflozin/Zn (II), Cr (III) and Se (IV) Novel Complexes That Ameliorate Hepatic Damage, Hyperglycemia and Oxidative Injury Induced by Streptozotocin-Induced Diabetic Male Rats and Their Antibacterial Activity
Abstract
:1. Introduction
2. Materials and Methods
2.1. Chemicals
2.2. Synthesis of Zinc (II), Chromium (III) and Selenium (IV) Complexes with Antidiabetic Drug (Dapaglifozin)
2.3. Characterization of Synthesized Zinc, Chromium and Selenium Dapagliflozin Complexes
2.3.1. Differential Scanning Calorimetry (DSC)
2.3.2. Infrared Spectrophotometry (FTIR)
2.3.3. Conductance Measurements
2.3.4. Electronic Absorption Spectra
2.3.5. X-ray Diffraction
2.3.6. Scanning Electron Microscopy
2.4. Experimental Animals
2.5. Experimental Induction of DM
2.6. Blood Collection
2.7. Determination of the Fasting Blood Glucose Level
2.8. Measurements of Serum Insulin, C-Peptide and HbA1c
2.9. Hepatic Function Activities and Biomarkers
2.10. Preparation of Hepatic Tissue Homogenates for the Determination of the Redox State
2.11. Determination of Oxidative Stress Biomarker Activities in Hepatic Tissues
2.12. Histological Changes
2.13. Antibacterial Activities of Dapg and Its Metal Complexes
2.14. Statistical Analysis
3. Results
3.1. Molar Conductance Data
3.2. Thermal Analysis
3.3. Infrared
3.4. Electronic Spectra and Magnetic Measurements
3.5. X-ray Diffraction (XRD)
3.6. Scanning Electron Microscopy (SEM)
3.7. Antibacterial Activity Evaluation
3.8. Blood Glucose, Insulin and Fasting C-Peptide Levels
3.9. Oxidative Stress Biomarkers
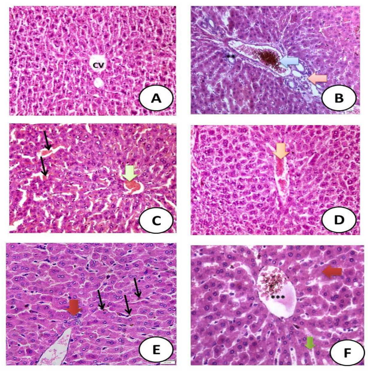
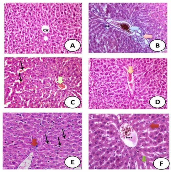
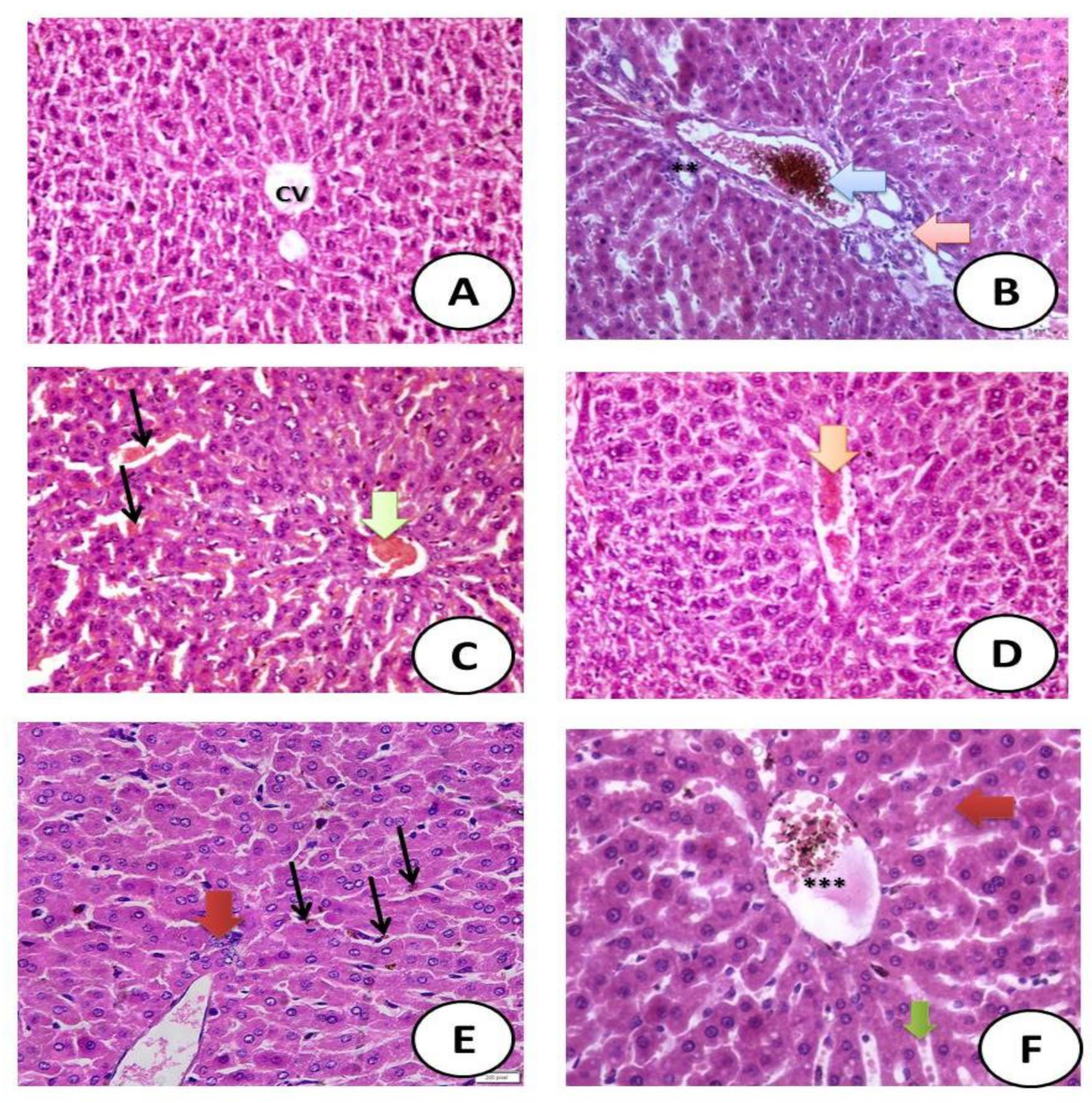
3.10. Histological Examination
4. Discussion
5. Conclusions
Author Contributions
Funding
Institutional Review Board Statement
Informed Consent Statement
Data Availability Statement
Acknowledgments
Conflicts of Interest
References
- Aktar, F.; Sultan, Z.; Rashid, M.A. Chromium (III) Complexes of Metformin, Dapagliflozin, Vildagliptin and Glimepiride Potentiate Antidiabetic Activity in Animal Model. Int. J. Curr. Res. Rev. 2021, 13, 64–69. [Google Scholar] [CrossRef]
- Hippisley-Cox, J.; Coupland, C. Diabetes treatments and risk of amputation, blindness, severe kidney failure, hyperglycaemia, and hypoglycaemia: Open cohort study in primary care. Br. Med. J. 2016, 352, 1450. [Google Scholar] [CrossRef] [Green Version]
- Chaudhury, A.; Duvoor, C.; Reddy Dendi, V.S.; Kraleti, S.; Chada, A.; Ravilla, R.; Marco, A.; Shekhawat, N.S.; Montales, M.T.; Kuriakose, K.; et al. Clinical Review of Antidiabetic Drugs: Implications for Type 2 Diabetes Mellitus Management. Front. Endocrinol. 2017, 8, 6. [Google Scholar] [CrossRef] [PubMed] [Green Version]
- Thongnaka, L.; Chatsudthipongb, V.; Kongkaewc, A.; Lungkaphin, A. Effects of dapagliflozin and statins attenuate renal injury and liver steatosis inhigh-fat/high-fructose diet-induced insulin resistant rats. Toxicol. Appl. Pharmacol. 2020, 396, 114997. [Google Scholar] [CrossRef] [PubMed]
- Merovci, A.; Solis-Herrera, C.; Daniele, G.; Eldor, R.; Fiorentino, T.V.; Tripathy, D.; Xiong, J.; Perez, Z.; Norton, L.; Abdul-Ghani, M.A.; et al. Dapagliflozin improves muscle insulin sensitivity but enhances endogenous glucose production. J. Clin. Investig. 2014, 124, 509–514. [Google Scholar] [CrossRef]
- Belosludtsev, K.N.; Starinets, V.S.; Belosludtsev, M.N.; Mikheeva, I.B.; Dubinin, M.V.; Belosludtseva, N.V. Chronic treatment with dapagliflozin protects against mitochondrial dysfunction in the liver of C57BL/6NCrl mice with high-fat diet/ streptozotocin-induced diabetes mellitus. Mitochondrion 2021, 59, 246–254. [Google Scholar] [CrossRef] [PubMed]
- Dos Santos, L.R.; Filho, R.B. Treatment of nonalcoholic fatty liver disease with dapagliflozin in non-diabetic patients. Metab. Open 2020, 5, 100028. [Google Scholar] [CrossRef]
- Refat, M.S.; El-Megharbel, S.M.; Hussien, M.A.; Hamza, R.Z.; Al-Omar, M.A.; Naglah, A.M.; Afifi, W.M.; Kobeasy, M.I. Spectroscopic, structural characterizations and antioxidant capacity of the chromium (III) niacinamide compound as a diabetes mellitus drug model. Spectrochim. Acta Part A Mol. Biomol. Spectrosc. 2017, 173, 122–131. [Google Scholar] [CrossRef]
- El-Megharbel, S.M.; Alsawat, M.; Al-Salmi, F.A.; Hamza, R.Z. Utilizing of (Zinc Oxide Nano-Spray) for Disinfection against “SARS-CoV-2” and Testing Its Biological Effectiveness on Some Biochemical Parameters during (COVID-19 Pandemic)—”ZnO Nanoparticles Have Antiviral Activity against (SARS-CoV-2)”. Coatings 2021, 11, 388. [Google Scholar] [CrossRef]
- Grüngreiff, K.; Reinhold, D.; Wedemeyer, H. The role of zinc in liver cirrhosis. Ann. Hepatol. 2016, 15, 7–16. [Google Scholar] [CrossRef]
- El-Megharbel, S.M.; Al-Salmi, F.A.; Al-Harthi, S.; Alsolami, K.; Hamza, R.Z. Selenium/Chitosan-Folic Acid Metal Complex Ameliorates Hepatic Damage and Oxidative Injury in Male Rats Exposed to Sodium Fluoride. Crystals 2021, 11, 1354. [Google Scholar] [CrossRef]
- El-Megharbel, S.M.; Al-Salmi, F.A.; Al-Harthi, S.; Alsolami, K.; Hamza, R.Z. Chitosan/Selenium Nanoparticles Attenuate Diclofenac Sodium-Induced Testicular Toxicity in Male Rats. Crystals 2021, 11, 1477. [Google Scholar] [CrossRef]
- Abu-El-Zahab, H.S.H.; Hamza, R.Z.; Montaser, M.M.; El-Mahdi, M.M.; Al-Harthi, W.A. Antioxidant, antiapoptotic, antigenotoxic, and hepatic ameliorative effects of L-carnitine and selenium on cadmium-induced hepatotoxicity and alterations in liver cell structure in male mice. Ecotoxicol. Environ. Saf. 2019, 173, 419–428. [Google Scholar] [CrossRef]
- Tuerk, M.J.; Fazel, N. Zinc deficiency. Curr. Opin. Gastroenterol. 2009, 25, 136–143. [Google Scholar] [CrossRef] [PubMed]
- Hazem, R.M.; Ibrahim, A.Z.; Ali, D.A.; Moustafa, Y.M. Dapagliflozin improves steatohepatitis in diabetic rats via inhibition of oxidative stress and inflammation. Int. Immunopharmacol. 2022, 104, 108503. [Google Scholar] [CrossRef] [PubMed]
- Li, L.; Li, Q.; Huang, W.; Han, Y.; Tan, H.; An, M.; Xiang, Q.; Zhou, R.; Yang, L.; Cheng, Y. Dapagliflozin Alleviates Hepatic Steatosis by Restoring Autophagy via the AMPK-mTOR Pathway. Front. Pharmacol. 2021, 12, 589273. [Google Scholar] [CrossRef]
- Al-Salmi, F.A.; Hamza, R.Z. Efficacy of Vanadyl Sulfate and Selenium Tetrachloride as Anti-Diabetic Agents against Hyperglycemia and Oxidative Stress Induced by Diabetes Mellitus in Male Rats. Curr. Issues Mol. Biol. 2022, 44, 94–104. [Google Scholar] [CrossRef]
- Hamza, R.Z.; Al-Motaani, S.E.; Al-Talhi, T. Therapeutic and Ameliorative Effects of Active Compounds of Combretum molle in the Treatment and Relief from Wounds in a Diabetes Mellitus Experimental Model. Coatings 2021, 11, 324. [Google Scholar] [CrossRef]
- Ohkawa, H.; Ohishi, N.; Yagi, K. Assay for lipid peroxides in animal tissues by thiobarbituric acid reaction. Anal. Biochem. 1979, 95, 351. [Google Scholar] [CrossRef]
- Marklund, S.; Marklund, G. Involvement of the superoxide anion radical in the autoxidation of pyrogallol and a convenient assay for superoxide dismutase. Eur. J. Biochem. 1974, 47, 469–474. [Google Scholar] [CrossRef]
- Aebi, H. Catalase in vitro. Meth. Enzymol. 1984, 105, 121–126. [Google Scholar]
- Couri, D.; Abdel-Rahman, M.S. Effect of chlorine dioxide and metabolites on glutathione-dependent system in rat, mouse and chicken blood. J. Environ. Pathol. Toxicol. 1980, 3, 451–460. [Google Scholar]
- Hafeman, D.G.; Sunde, R.A.; Hoekstra, W.G. Effect of dietary selenium on erythrocyte and liver glutathione peroxidase in the rat. J. Nutrit. 1974, 104, 580–587. [Google Scholar] [CrossRef] [PubMed]
- Nachnani, J.S.; Bulchandani, D.G.; Nookala, A.; Herndon, B.; Molteni, A.; Pandya, P.; Taylor, R.; Quinn, T.; Weide, L.; Alba, L.M. Biochemical and histological effects of exendin-4 (exenatide) on the rat pancreas. Diabetologia 2010, 53, 153–159. [Google Scholar] [CrossRef] [Green Version]
- Bauer, A.W.; Kirby, W.M.; Sherris, C.; Turck, M. Antibiotic susceptibility testing by a standardized single disc method. Am. J. Clin. Pathol. 1966, 45, 493. [Google Scholar] [CrossRef] [PubMed]
- Pfaller, M.A.; Burmeister, L.; Bartlett, M.A.; Rinaldi, M.G. Multicenter evaluation of four methods of yeast inoculum preparation. J. Clin. Microbiol. 1988, 26, 1437–1441. [Google Scholar] [CrossRef] [PubMed] [Green Version]
- M100; Performance Vol. Antimicrobial Susceptibility of Flavobacteria. National Committee for Clinical Laboratory Standards: Wayne, PA, USA, 1997.
- Approved Standard M7-A3; Methods for Dilution Antimicrobial Susceptibility Tests for Bacteria That Grow Aerobically. National Committee for Clinical Laboratory Standards: Villanova, PA, USA, 1993.
- Liebowitz, L.D.; Ashbee, H.R.; Evans, E.G.V.; Chong, Y.; Mallatova, N.; Zaidi, M.; Gibbs, D. A two year global evaluation of the susceptibility of Candida species to fluconazole by disk diffusion, Diagn. Microbiol. Infect. Dis. 2001, 40, 27–33. [Google Scholar] [CrossRef]
- Matar, M.J.; Ostrosky-Zeichner, L.; Paetznick, V.L.; Rodriguez, J.R.; Chen, E.; Rex, J.H. Correlation between E-test, disk diffusion, and microdilution methods for antifungal susceptibility testing of fluconazole and voriconazole. Antimicrob. Agents Chemother. 2003, 47, 1647–1651. [Google Scholar] [CrossRef] [Green Version]
- Petrie, A.; Sabin, C. Medical Statistics at a Glance, 3rd ed.; Wiley-Blackwell: Hoboken, NJ, USA, 2009; Volume 23. [Google Scholar] [CrossRef]
- Burger, K. Coordination Chemistry: Experimental Methods; Butterworth Group: London, UK, 1973. [Google Scholar]
- Gunasekaran, S.; Kumar, R.T.; Ponnusamy, S. Vibrational spectra and normal coordinate analysis of adrenaline and dopamine. Indian J. Pure Appl. Phys. 2007, 45, 884. [Google Scholar]
- Miháliková, I.; Friák, M.; Jirásková, Y.; Holec, D.; Koutná, N.; Šob, M. Impact of Nano-Scale Distribution of Atoms on Electronic and Magnetic Properties of Phases in Fe-Al Nanocomposites: An Ab Initio Study. Nanomaterials 2018, 8, 1059. [Google Scholar] [CrossRef] [PubMed] [Green Version]
- Refat, M.S. Complexes of uranyl(II), vanadyl(II) and zirconyl(II) with orotic acid “vitamin B13”: Synthesis, spectroscopic, thermal studies and antibacterial activity. J. Mol. Struct. 2007, 842, 24. [Google Scholar] [CrossRef]
- Bellamy, L.J. The Infrared Spectra of Complex Molecules; Chapman and Hall: London, UK, 1975. [Google Scholar]
- Oztürk, O.F.; Şekerci, M.; Ozdemir, E. Synthesis of 5, 6-O-Cyclohexylidene-l-amino-3-azahexane and Its Co (II), Ni (II), and Cu (II) Complexes. Russ. J. Coord. Chem. 2005, 31, 687–690. [Google Scholar] [CrossRef]
- Drago, R.S.; Meek, D.W.; Joosten, M.S.; Laroche, L. Spectrochemical studies of a series of amides as ligands with nickel (II) and chromium (III). Inorg. Chem. 1963, 2, 124. [Google Scholar] [CrossRef]
- Nakamoto, K. Infrared and Raman Spectra of Inorganic and Coordination Compounds; Wiely: New York, NY, USA, 1978. [Google Scholar]
- Cullity, B.D. Elements of X-ray Diffraction, 2nd ed.; Addision-Wesley Publishing Company: Boston, MA, USA, 1978. [Google Scholar]
- Kurinami, N.; Sugiyama, S.; Yoshida, A.; Hieshima, K.; Miyamoto, F.; Kajiwara, K.; Jinnouch, K.; Jinnouchi, T.; Jinnouchi, H. Dapagliflozin significantly reduced liver fat accumulation associated with a decrease in abdominal subcutaneous fat in patients with inadequately controlled type 2 diabetes mellitus. Diabetes Res. Clin. Pract. 2018, 142, 254–263. [Google Scholar] [CrossRef]
- SM El-Megharbel, MS Refat, FA Al-Salmi, RZ Hamza. In Situ Neutral System Synthesis, Spectroscopic, and Biological Interpretations of Magnesium(II), Calcium(II), Chromium(III), Zinc(II), Copper(II) and Selenium(IV) Sitagliptin Complexes. Int. J. Environ. Res. Public Health 2021, 18, 8030. [CrossRef] [PubMed]
- Ismail, H.A.; Hamza, R.Z.; El-Shenawy, N.S. Potential protective effects of blackberry and quercetin on sodium fluoride induced impaired hepatorenal bi-omarkers, sex hormones and hematotoxicity in male rats. J. Appl. Life Sci. Int. 2014, 1, 1–16. [Google Scholar] [CrossRef]
- Goh, G.B.; McCullough, A.J. Natural history of nonalcoholic fatty liver disease. Dig. Dis. Sci. 2016, 61, 1226–1233. [Google Scholar] [CrossRef]
- Akuta, N.; Watanabe, C.; Kawamura, Y.; Arase, Y.; Saitoh, S.; Fujiyama, S.; Sezaki, H.; Hosaka, T.; Kobayashi, M.; Kobayashi, M.; et al. Effects of a sodium–glucose cotransporter 2 inhibitor in nonalcoholic fatty liver disease complicated by diabetes mellitus: Preliminary prospective study based on serial liver biopsies. Hepatol. Commun. 2017, 1, 46–52. [Google Scholar] [CrossRef]
- Nakano, S.; Katsuno, K.; Isaji, M.; Nagasawa, T.; Buehrer, B.; Walker, S.; Wikison, W.O.; Cheatham, B. Remogliflozin etabonate improves fatty liver disease in diet-induced obese male mice. J. Clin. Exp. Hepatol. 2015, 5, 190–198. [Google Scholar] [CrossRef] [Green Version]
- Jojima, T.; Tomotsune, T.; Iijima, T.; Akimoto, K.; Suzuki, K.; Aso, Y. Empagliflozin (an SGLT2 inhibitor), alone or in combination with linagliptin (a DPP-4 inhibitor), prevents steatohepatitis in a novel mouse model of non-alcoholic steatohepatitis and diabetes. Diabetol. Metab. Syndr. 2016, 8, 45. [Google Scholar] [CrossRef] [PubMed] [Green Version]
- Ekholm, E.; Hansen, L.; Johnsson, E.; Iqbal, N.; Carlsson, B.; Chen, H.; Hirshberg, B. Combined treatment with saxagliptin plus dapafliflozin reduces insulin levels by increased insulin clearance and improves b-cell function. Endocr. Pract. 2017, 23, 258–265. [Google Scholar] [CrossRef] [PubMed]
- Obara, K.; Shirakami, Y.; Maruta, A.; Ideta, T.; Miyazaki, T.; Kochi, T.; Sakai, H.; Tanaka, T.; Seishima, M.; Shimizu, M. Preventive effects of the sodium glucose cotransporter 2 inhibitor tofogliflozin on diethylnitrosamine-induced liver tumorigenesis in obese and diabetic mice. Oncotarget 2017, 8, 58353–58363. [Google Scholar] [CrossRef] [Green Version]
- Li, Y.; Zhang, Y.; Ji, G.; Shen, Y.; Zhao, N.; Liang, Y.; Wang, Z.; Liu, M.; Lin, L. Autophagy Triggered by Oxidative Stress Appears to Be Mediated by the AKT/mTOR Signaling Pathway in the Liver of Sleep-Deprived Rats. Oxidative Med. Cell Longev. 2020, 2020, 6181630. [Google Scholar] [CrossRef] [PubMed] [Green Version]
- Tang, L.; Wu, Y.; Sjöström, M.T.D.; Johansson, U.; Peng, X.; Smith, D.M.; Huang, Y. Dapagliflozin slows the progression of the renal and liver fibrosis associated with type 2 diabetes. Am. J. Physiol. Endocrinol. Metab. 2017, 313, E563–E576. [Google Scholar] [CrossRef]
- Hamza, R.Z.; El-Megharbel, S.M.; Altalhi, T.; Gobouri, A.A.; Alrogi, A.A. Hypolipidemic and hepatoprotective synergistic effects of selenium nanoparticles and vitamin. E against acrylamide-induced hepatic alterations in male albino mice. Appl. Organomet. Chem. 2020, 34, e5458. [Google Scholar] [CrossRef]
- Hamza, R.Z.; Al-Harbi, M.S. Amelioration of paracetamol hepatotoxicity and oxidative stress on mice liver with silymarin and Nigella sativa extract supplements. Asian Pac. J. Trop. Biomed. 2015, 5, 521–531. [Google Scholar] [CrossRef] [Green Version]
- Refat, M.S.; Hamza, R.Z.; Adam, A.M.A.; Saad, H.A.; Gobouri, A.A.; Al-Harbi, F.S.; Al-Salmi, F.A.; Altalhi, T.; El-Megharbel, S.M. Quercetin/Zinc complex and stem cells: A new drug therapy to ameliorate glycometabolic control and pulmonary dysfunction in diabetes mellitus: Structural characterization and genetic studies. PLoS ONE 2021, 16, e0246265. [Google Scholar] [CrossRef] [PubMed]
- Rahman, F.; Salam, M.A.; Rahman, A.; Sultan, M.Z. Studies of interactions of valsartan, glimepiride and ciprofloxacin HCl by DSC and HPLC. Bangl. Pharm. J. 2017, 20, 195–200. [Google Scholar] [CrossRef]
- Al-Baqami, N.; Hamza, R. Synergistic antioxidant capacities of vanillin and chitosan nanoparticles against reactive oxygen species, hepatotoxicity, and genotoxicity induced by aging in male Wistar rats. Hum. Exp. Toxicol. 2021, 40, 183–202. [Google Scholar] [CrossRef] [PubMed]
- Refat, M.S.; Hamza, R.Z.; Adam, A.M.A.; Saad, H.A.; Gobouri, A.A.; Azab, E.; Al-Salmi, F.A.; Altalhi, T.A.; Khojah, E.; Gaber, A.; et al. Antioxidant, antigenotoxic, and hepatic ameliorative effects of quercetin/zinc complex on cadmium-induced hepatotoxicity and alterations in hepatic tissue structure. Coatings 2021, 11, 501. [Google Scholar] [CrossRef]
- Hamza, R.Z.; Diab, A.E.A.A. Testicular protective and antioxidant effects of selenium nanoparticles on Monosodium glutamate-induced testicular structure alterations in male mice. Toxicol. Rep. 2020, 7, 254–260. [Google Scholar] [CrossRef] [PubMed]
- Juliana, C.; Janine, C.; Cresio, A. Infections in patients with diabetes mellitus: A review of pathogenesis. Indian J. Endocrinol. Metab. 2012, 16 (Suppl. 1), S27–S36. [Google Scholar]
- Galiero, R.; Pafundi, P.C.; Simeon, V.; Rinaldi, L.; Perrella, A.; Vetrano, E.; Caturano, A.; Alfano, M.; Beccia, D.; Nevola, R.; et al. Impact of chronic liver disease upon admission on COVID-19 in-hospital mortality: Findings from COVOCA study. PLoS ONE 2020, 15, e0243700. [Google Scholar] [CrossRef] [PubMed]









| Sample | Inhibition Zone Diameter (mm/mg Sample) | ||||
|---|---|---|---|---|---|
| Bacillus subtilis (G+) | Streptococcus penumonia (G+) | Staphylococcus aureas (G+) | Escherichia coli (G−) | Pseudomonas aeruginosa (G−) | |
| Control (DMSO) | 0.0 ± 0.0 c | 0.0 ± 0.0 d | 0.0 ± 0.0 e | 0.0 ± 0.0 d | 0.0 ± 0.0 d |
| Dipogliflazone (Depg) | 2 ± 0.01 b | 5 ± 0.63 c | 4 ± 0.36 d | 4 ± 0.41 c | 3 ± 0.35 c |
| Zn (II)–Dapg | 10 ± 0.32 a | 15 ± 0.41 a | 15 ± 0.58 b | 15 ± 0.36 a | 10 ± 0.45 a |
| Cr (III)–Dapg | 10 ± 0.54 a | 10 ± 0.41 b | 5 ± 0.36 c | 15 ± 0.45 a | 10 ± 0.69 a |
| Se (VI)–Dapg | 10 ± 0.41 a | 10 ± 0.98 b | 20 ± 0.41 a | 10 ± 0.85 b | 5 ± 0.88 b |
| Groups | Fasting Blood Glucose (mg/dL) | Insulin Hormone (uIU/mL) | HbA1C (mmol/mol) | Fasting Serum C-Peptide (ng/mL) |
|---|---|---|---|---|
| Control group | 80.81 ± 1.25 e | 25.86 ± 2.15 a,b | 3.12 ± 0.75 d | 3.88 ± 0.19 a |
| STZ group | 351.29 ± 8.02 a | 4.70 ± 0.84 d | 10.41 ± 1.26 a,b | 0.22 ± 0.05 d |
| STZ plus Dapg group | 120.96 ± 6.03 b | 19.36 ± 2.85 c | 5.02 ± 1.82 b | 2.99 ± 0.87 c |
| STZ plus Cr–Dapg group | 109.16 ± 4.75 c | 23.03 ± 2.11 c | 7.01 ± 0.87 c,d | 3.76 ± 0.27 b |
| STZ plus Zn–Dapg group | 102.26 ± 3.75 c | 21.03 ± 2.91 c | 5.01 ± 0.77 c,d | 3.71 ± 0.77 b |
| STZ plus Se–Dapg group | 92.27 ± 4.26 d,e | 21.75 ± 1.02 b | 5.54 ± 0.66 d | 4.10 ± 0.76 a |
| Groups | Hepatic CAT (U/g) | Hepatic SOD (U/g) | Hepatic MDA (U/g) | Hepatic GPx (U/g) |
|---|---|---|---|---|
| Control group | 1.88 ± 0.21 a | 22.05 ± 1.15 a,b | 3.05 ± 0.48 e | 34.05 ± 1.85 a |
| STZ group | 0.26 ± 0.10 d | 5.22 ± 1.35 d | 81.15 ± 0.96 a | 7.56 ± 1.18 e |
| STZ plus Dapg group | 1.42 ± 0.36 c | 19.91 ± 1.58 c | 20.42 ± 1.02 b | 23.15 ± 1.15 d |
| STZ plus Cr–Dapg group | 1.63 ± 0.48 b | 20.52 ± 2.16 b | 12.26 ± 1.45 c | 26.41 ± 1.28 c |
| STZ plus Zn–Dapg group | 1.74 ± 0.22 a | 21.19 ± 2.25 b | 8.78 ± 1.25 d | 31.58 ±1.58 b,c |
| STZ plus Se–Dapg group | 1.88 ± 0.21 a | 22.05 ± 1.15 a,b | 3.05 ± 0.48 e | 34.05 ± 1.85 a |
Publisher’s Note: MDPI stays neutral with regard to jurisdictional claims in published maps and institutional affiliations. |
© 2022 by the authors. Licensee MDPI, Basel, Switzerland. This article is an open access article distributed under the terms and conditions of the Creative Commons Attribution (CC BY) license (https://creativecommons.org/licenses/by/4.0/).
Share and Cite
El-Megharbel, S.M.; Al-Thubaiti, E.H.; Qahl, S.H.; Al-Eisa, R.A.; Hamza, R.Z. Synthesis and Spectroscopic Characterization of Dapagliflozin/Zn (II), Cr (III) and Se (IV) Novel Complexes That Ameliorate Hepatic Damage, Hyperglycemia and Oxidative Injury Induced by Streptozotocin-Induced Diabetic Male Rats and Their Antibacterial Activity. Crystals 2022, 12, 304. https://doi.org/10.3390/cryst12030304
El-Megharbel SM, Al-Thubaiti EH, Qahl SH, Al-Eisa RA, Hamza RZ. Synthesis and Spectroscopic Characterization of Dapagliflozin/Zn (II), Cr (III) and Se (IV) Novel Complexes That Ameliorate Hepatic Damage, Hyperglycemia and Oxidative Injury Induced by Streptozotocin-Induced Diabetic Male Rats and Their Antibacterial Activity. Crystals. 2022; 12(3):304. https://doi.org/10.3390/cryst12030304
Chicago/Turabian StyleEl-Megharbel, Samy M., Eman H. Al-Thubaiti, Safa H. Qahl, Rasha A. Al-Eisa, and Reham Z. Hamza. 2022. "Synthesis and Spectroscopic Characterization of Dapagliflozin/Zn (II), Cr (III) and Se (IV) Novel Complexes That Ameliorate Hepatic Damage, Hyperglycemia and Oxidative Injury Induced by Streptozotocin-Induced Diabetic Male Rats and Their Antibacterial Activity" Crystals 12, no. 3: 304. https://doi.org/10.3390/cryst12030304
APA StyleEl-Megharbel, S. M., Al-Thubaiti, E. H., Qahl, S. H., Al-Eisa, R. A., & Hamza, R. Z. (2022). Synthesis and Spectroscopic Characterization of Dapagliflozin/Zn (II), Cr (III) and Se (IV) Novel Complexes That Ameliorate Hepatic Damage, Hyperglycemia and Oxidative Injury Induced by Streptozotocin-Induced Diabetic Male Rats and Their Antibacterial Activity. Crystals, 12(3), 304. https://doi.org/10.3390/cryst12030304

