Gabor Transform-Based Deep Learning System Using CNN for Melanoma Detection
Abstract
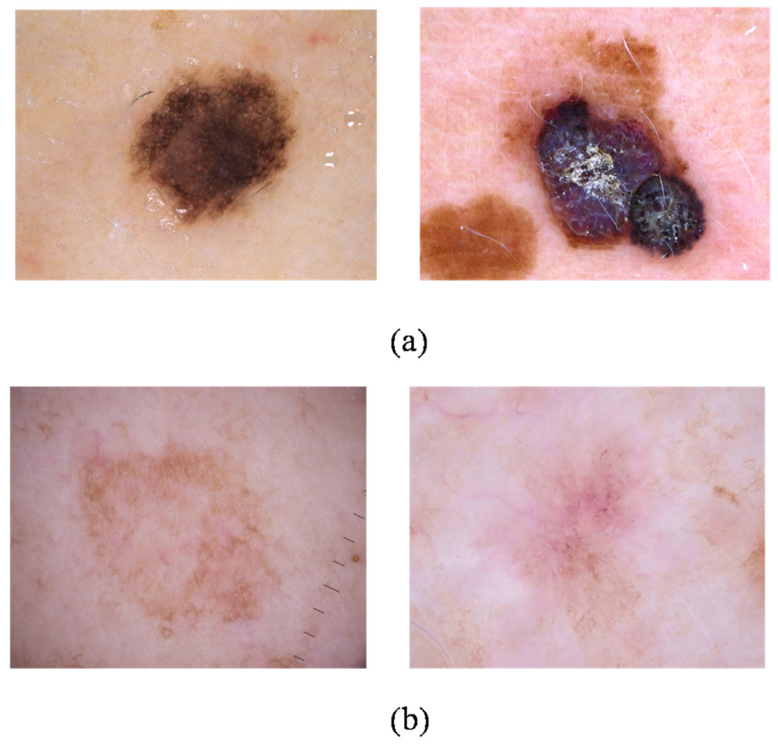
1. Introduction
- Skin dermoscopy images are enhanced using the Histogram Equalization algorithm to improve pixel visual quality for further processing.
- The Gabor transform is applied to enhanced dermoscopy images at different orientations, phase shifts, and scales to produce Gabor dermoscopy images.
- The feature, constructed from a traditional CNN, is incorporated to classify dermoscopy skin images as melanoma or non-melanoma, using generated texture and higher-dimensional feature values from the sequence of internal layers.
- The proposed melanoma image classification approach is verified for performance using two skin-dermoscopy datasets.
2. Literature Review
- The traditional system used conventional CNN architectures for melanoma detection on dermoscopy images, resulting in a lower final detection rate.
- They failed to identify or differentiate dermoscopy images at low-resolution pixel formats.
- All traditional methods for melanoma image detection systems operated directly in the spatial domain. Extensive features cannot be derived from spatial dermoscopy images, thereby reducing the accuracy of melanoma image detection.
- The proposed methodologies outlined in this manuscript overcome the limitations of the traditional melanoma cancer detection system as outlined in the following points.
- The proposed method detects and classifies both low- and high-resolution dermoscopy images through an enhancement process, which overcomes the limitations of the conventional melanoma detection system.
- The proposed methodology estimated extensive feature maps from spatial dermoscopy images, which were then fed into the proposed CNN to produce melanoma classification rates, whereas the conventional CNN was fed only with spatial features.
3. Deep Learning-Based Skin Cancer Detection
3.1. Convolutional Neural Network
3.2. Gabor Transform-Based Skin Cancer Identification
3.2.1. Gabor Transform
3.2.2. Gabor Filter
- ➢
- The distinct edges are highlighted using a Gabor filter.
- ➢
- Gabor filters exhibit remarkable similarity to those observed in the human visual system, owing to parameters such as orientation, frequency, and Standard Deviation.
- ➢
- Their ability to portray and differentiate between textures is unparalleled.
- ➢
- Two-dimensional Gabor filters are based on a Gaussian kernel function and modulate the spatial domain with a sinusoidal plane wave.
- ➢
- Gabor filters exhibit self-similarity as they can be produced through dilation and rotation applied to a single mother wavelet.
- ➢
- Gabor filters can be built for various dilations and rotations and are, therefore, closely related to Gabor wavelets.
- ➢
- Gabor filters possess appropriate spatial localization and orientation features and are localized in both the frequency and spatial domains.
- u—sinusoidal wave frequency.
- θ—orientation angle
- σ—Gaussian function Standard Deviation
4. Proposed Methodology
4.1. Preprocessing
4.2. Feature Computations
4.3. CNN Classifications
4.4. Hyper-Parameter Optimization (HO)
5. Result and Discussion
- “TP: True Positive—Correctly identified cancer pixels.”
- “TN: True Negative—Correctly identified non—cancer pixels.”
- “FP: False Positive—Wrongly identified cancer pixels.”
6. Conclusions
- The proposed system has not been verified using clinical dermoscopy images; hence, its robustness is not validated in this work, which is identified as the main drawback of this research.
- In this study, only melanoma images are detected, including their affected regions, but severity levels were not determined.
Author Contributions
Funding
Data Availability Statement
Conflicts of Interest
Abbreviations
| CNN | Convolutional Neural Network |
| UV | Ultraviolet |
| GAN | Generative Adversarial Neural Network |
| VCG | Visual Geometry Group |
| PSO | Particle Swam Optimization |
| DT-CWT | Dual Tree Complex Wavelet Transform |
| ANFIS | Adaptive Neuro-Fuzzy Inference System |
| ACWE | Active Contours Without Edges |
| GAC | Geodesic Active Contours |
| APA | Average Pooling Approach |
| GPA | Global Pooling Approach |
| FFT | Fast Fourier Transform |
| GLCM | Grey-Level Co-occurrence Matrix |
| HE | Histogram Equalization |
| TN, TP, FN, FP | True Negative, True Positive, False Negative, False Positive |
| Se, Sp, Acc | Sensitivity, Specificity, Accuracy |
| ISIC | International Skin Imaging Collaboration |
| SIIM-ISIC | Society for Imaging Informatics in Medicine—International Skin Imaging Collaboration |
| GUI | Graphical User Interface |
| SDG | Sustainable Development Code |
References
- Ray, A.; Sarkar, S.; Schwenker, F.; Sarkar, R. Decoding skin cancer classification: Perspectives, insights, and advances through researchers’ lens. Sci. Rep. 2024, 14, 30542. [Google Scholar] [CrossRef] [PubMed]
- Carr, S.; Smith, C.; Wernberg, J. Epidemiology and Risk Factors of Melanoma. Surg. Clin. N. Am. 2020, 100, 1–12. [Google Scholar] [CrossRef]
- Chan, S.; Reddy, V.; Myers, B.; Thibodeaux, Q.; Brownstone, N.; Liao, W. Machine Learning in Dermatology: Current Applications, Opportunities, and Limitations. Dermatol. Ther. 2020, 10, 365–386. [Google Scholar] [CrossRef] [PubMed] [PubMed Central]
- Dawes, S.M.; Tsai, S.H.; Gittleman, J.S.; Barnholtz-Sloan, J.S.; Bordeaux, J.S. Racial disparities in melanoma survival. J. Am. Acad. Dermatol. 2016, 75, 983–991. [Google Scholar] [CrossRef]
- Kittler, H.; Pehamberger, H.; Wolff, K.; Binder, M. Diagnostic accuracy of dermoscopy. Lancet Oncol. 2002, 3, 159–165. [Google Scholar] [CrossRef]
- Gao, Z.; Lou, L.; Wang, M.; Sun, Z.; Chen, X.; Zhang, X.; Pan, Z.; Hao, H.; Zhang, Y.; Quan, S.; et al. Application of Machine Learning in Intelligent Medical Image Diagnosis and Construction of Intelligent Service Process. Comput. Intell. Neurosci. 2022, 2022, 9152605. [Google Scholar] [CrossRef]
- Xu, Z.; Sheykhahmad, F.R.; Ghadimi, N.; Razmjooy, N. Computer-aided diagnosis of skin cancer based on soft computing techniques. Open Med. 2020, 15, 860–871. [Google Scholar] [CrossRef] [PubMed]
- Dildar, M.; Akram, S.; Irfan, M.; Khan, H.U.; Ramzan, M.; Mahmood, A.R.; Alsaiari, S.A.; Saeed, A.H.M.; Alraddadi, M.O.; Mahnashi, M.H. Skin Cancer Detection: A Review Using Deep Learning Techniques. Int. J. Environ. Res. Public Health 2021, 18, 5479. [Google Scholar] [CrossRef] [PubMed]
- Naqvi, M.; Gilani, S.Q.; Syed, T.; Marques, O.; Kim, H.C. Skin Cancer Detection Using Deep Learning—A Review. Diagnostics 2023, 13, 1911. [Google Scholar] [CrossRef]
- Balaha, H.M.; Hassan, A.E.-S. Skin cancer diagnosis based on deep transfer learning and sparrow search algorithm. Neural Comput. Appl. 2023, 35, 815–853. [Google Scholar] [CrossRef]
- Al-Rasheed, A.; Ksibi, A.; Ayadi, M.; Alzahrani, A.I.A.; Elahi, M.M. An Ensemble of Transfer Learning Models for the Prediction of Skin Lesions with Conditional Generative Adversarial Networks. Contrast Media Mol. Imaging 2023, 2023, e5869513. [Google Scholar] [CrossRef]
- Yu, L.; Chen, H.; Dou, Q.; Qin, J.; Heng, P.-A. Automated melanoma recognition in dermoscopy images via very deep residual networks. IEEE Trans. Med. Imaging 2017, 36, 994–1004. [Google Scholar] [CrossRef]
- Daghrir, J.; Tlig, L.; Bouchouicha, M.; Sayadi, M. Melanoma skin cancer detection using deep learning and classical machine learning techniques: A hybrid approach. In Proceedings of the 5th International Conference on Advanced Technologies for Signal and Image Processing (ATSIP), Sousse, Tunisia, 2–5 September 2020; pp. 1–5. [Google Scholar] [CrossRef]
- Subramanian, M.; Ala Walid, M.A.; Mallick, D.S.P.; Rastogi, R.; Chauhan, A.; Vidya, A. Melanoma Skin Cancer Detection using a CNN-Regularized Extreme Learning Machine (RELM) based Model. In Proceedings of the Second International Conference on Electronics and Renewable Systems (ICEARS), Tuticorin, India, 2–4 March 2023; pp. 1239–1245. [Google Scholar] [CrossRef]
- Deivasigamani, S.; Ganesan, V.; Pazhani, D.; Ramasamy, M.; Umayal. Gabor Transform Based Glioma Brain Tumor Detection Using Neural Networks. Int. J. Eng. Technol. 2019, 10, 6. [Google Scholar] [CrossRef]
- Keita, I.S.; Nair, I.P.; Prasad, H.; Pandian, S.; Deivasigamani, S. Classification of Benign and Malignant MRIs using SVM Classifier for Brain Tumor Detection. Int. J. Eng. Trends Technol. 2022, 70, 221–228. [Google Scholar] [CrossRef]
- Khan, M.A.; Akram, T.; Sharif, M.; Saba, T.; Javed, K.; Lali, I.U.; Tanik, U.J.; Rehman, A. Construction of saliency map and hybrid set of features for efficient segmentation and classification of skin lesion. Microsc. Res. Tech. 2019, 82, 741–763. [Google Scholar] [CrossRef]
- Deivasigamani, S.; Senthilpari, C.; Yong, W.H. Classification of focal and nonfocal EEG signals using ANFIS classifier for epilepsy detection. Int. J. Imaging Syst. Technol. 2016, 26, 277–283. [Google Scholar] [CrossRef]
- Babu, R.R.; Philip, F.M. Optimized deep learning for skin lesion segmentation and skin cancer detection. Biomed. Signal Process. Control 2024, 95, 106292. [Google Scholar] [CrossRef]
- Nahata, H.; Singh, S.P. Deep Learning Solutions for Skin Cancer Detection and Diagnosis. In Machine Learning with a Health Care Perspective; Learning and Analytics in Intelligent Systems; Jain, V., Chatterjee, J., Eds.; Springer: Cham, Switzerland, 2020; Volume 2020, p. 13. [Google Scholar] [CrossRef]
- Vineeth, J.; Hemanth, S.; Rao, C.V.; Pavankumar, N.; Jayanna, H.; Janardhan, C. Skin cancer detection using deep learning. In Proceedings of the Fourth International Conference on Cognitive Computing and Information Processing (CCIP), Bengaluru, India, 23–24 December 2022; pp. 1–6. [Google Scholar] [CrossRef]
- Sivakumar, M.S.; Leo, L.M.; Gurumekala, T.; Sindhu, V.; Priyadharshini, A.S. Deep learning in skin lesion analysis for malignant melanoma cancer identification. Multimed. Tools Appl. 2024, 83, 17833–17853. [Google Scholar] [CrossRef]
- Yao, J.; Krolak, P.; Steele, C. The generalized Gabor transform. IEEE Trans. Image Process. 1995, 4, 978–988. [Google Scholar] [CrossRef] [PubMed]
- Kamarainen, J.-K.; Kyrki, V.; Kalviainen, H. Invariance properties of Gabor filter-based features-overview and applications. IEEE Trans. Image Process. 2006, 15, 1088–1099. [Google Scholar] [CrossRef]
- Shukla, A.K.; Agrawal, G.; Prasad, R.G.; Bachute, M. Melanoma skin cancer detection and classification using cycle-consistent simplicial adversarial attention adaptation networks with banyan tree growth optimization in medical image processing. Biomed. Signal Process. Control 2025, 108, 107914. [Google Scholar] [CrossRef]
- Abohashish, S.M.M.; Amin, H.H.; Elsedimy, E.I. Enhanced melanoma and non-melanoma skin cancer classification using a hybrid LSTM-CNN model. Sci. Rep. 2025, 15, 24994. [Google Scholar] [CrossRef] [PubMed]












| Parameters | Formula |
|---|---|
| Contrast | |
| Energy | |
| Homogeneity | |
| Correlation | |
| Difference Entropy | |
| Inertia | |
| Dissimilarity | |
| Difference in Variance |
| Parameters | Measured Values | |
|---|---|---|
| Melanoma Case | Non-Melanoma Case | |
| Contrast | ||
| Energy | ||
| Homogeneity | 0.981 | 3.298 |
| Correlation | 0.97 | 0.08 |
| Difference Entropy | 0.817 | 4.378 |
| Inertia | 0.102 | −0.861 |
| Dissimilarity | 0.761 ± 0.01 | 2.81 ± 0.98 |
| Difference in Variance | 0.2761 | −0.9287 |
| Hyper-Parameters Used for Melanoma Image Detection in the Proposed CNN | Initial Values of the Hyper-Parameters |
|---|---|
| Number of neurons in each FCL1 | 4096 |
| Number of neurons in each FCL2 | 512 |
| Number of neurons in each FCL3 | 2 |
| Learning rate | 0.0001 |
| Drop out | 0.2 |
| Epochs | 100 |
| Decay | 0.1 |
| Dataset | Total Skin Images | Healthy Skin Images | Melanoma Skin Images |
|---|---|---|---|
| ISIC | 3000 | 1500 | 1500 |
| SIIM-ISIC Kaggle dataset | 2000 | 1000 | 1000 |
| References | SIIM-ISIC Kaggle | ISIC | ||||
|---|---|---|---|---|---|---|
| Sensitivity (Se) | Specificity (Sp) | Accuracy (Acc) | Sensitivity (Se) | Specificity (Sp) | Accuracy (Acc) | |
| Proposed work | 98.63 | 99.11 | 98.77 | 98.66 | 98.75 | 98.56 |
| Arvind Kumar Shukla et al. (2025) [25] | 97.12 | 97.98 | 97.27 | 97.65 | 97.16 | 97.64 |
| Abohashish et al. (2025) [26] | 97.10 | 97.05 | 97.34 | 97.61 | 96.15 | 96.58 |
| Al-Rasheed et al. (2023) [11] | 96.38 | 96.67 | 96.75 | 95.83 | 95.68 | 95.74 |
| Khan et al. (2019) [17] | 95.57 | 95.87 | 95.86 | 95.37 | 95.28 | 95.85 |
| Yu et al. (2017) [12] | 94.67 | 94.28 | 94.85 | 94.39 | 94.76 | 94.27 |
| Images | Experimental Results in % SIIM-ISIC Kaggle Dataset | Experimental Results in % ISIC Dataset | ||||
|---|---|---|---|---|---|---|
| Se | Sp | Acc | Se | Sp | Acc | |
| 1 | 98.8 | 99.3 | 98.4 | 96.9 | 97.9 | 98.5 |
| 2 | 98.5 | 99.4 | 98.8 | 97.8 | 98.9 | 98.3 |
| 3 | 98.7 | 99.3 | 99.3 | 98.6 | 98.6 | 97.9 |
| 4 | 99.3 | 98.7 | 99.4 | 98.6 | 99.3 | 97.6 |
| 5 | 98.7 | 98.9 | 98.7 | 98.9 | 98.7 | 98.3 |
| 6 | 98.4 | 99.3 | 98.4 | 98.9 | 98.5 | 98.7 |
| 7 | 98.3 | 99.2 | 98.8 | 98.5 | 98.7 | 98.6 |
| 8 | 98.8 | 99.7 | 98.3 | 99.4 | 99.3 | 99.4 |
| 9 | 98.5 | 98.7 | 98.2 | 99.3 | 98.2 | 99.3 |
| 10 | 98.3 | 98.6 | 99.4 | 99.7 | 99.4 | 99.2 |
| Average | 98.63 | 99.11 | 98.77 | 98.66 | 98.75 | 98.58 |
| CNN Methods for Melanoma Image Detection Process | Measured Values in % | ||
|---|---|---|---|
| Se | Sp | Acc | |
| Gabor + Proposed CNN (in this paper) | 98.63 | 99.11 | 98.77 |
| Proposed CNN only | 96.12 | 97.87 | 96.14 |
| Gabor + traditional CNN | 95.65 | 95.28 | 95.71 |
| Contourlet + Proposed CNN | 94.87 | 94.15 | 94.28 |
| Curvelet + Proposed CNN | 93.18 | 93.85 | 93.16 |
| CNN Methods for Melanoma Image Detection Process | Measured Values in % | ||
|---|---|---|---|
| Se | Sp | Acc | |
| Gabor + Proposed CNN (in this paper) | 98.66 | 98.75 | 98.58 |
| Proposed CNN only | 96.27 | 96.76 | 96.16 |
| Gabor + traditional CNN | 95.98 | 95.18 | 95.64 |
| Contourlet + Proposed CNN | 95.16 | 95.01 | 95.12 |
| Curvelet + Proposed CNN | 94.09 | 94.28 | 94.01 |
| Qualitative Metrics | Proposed Work | Arvind Kumar Shukla et al. (2025) [25] | Abohashish et al. (2025) [26] | Al-Rasheed et al. (2023) [11] | Khan et al. (2019) [17] |
|---|---|---|---|---|---|
| Method | Proposed CNN | Ensemble classifier | Traditional CNN | AlexNet CNN | SVM classifier |
| Data source | ISIC and SIIM-ISIC | ISIC | Kaggle dataset | ISIC | Kaggle dataset |
| Training time | low | moderate | High | moderate | Moderate to high |
| Interpretability | low | moderate | moderate | moderate | High |
| Robustness | High | moderate | moderate | low | Low |
Disclaimer/Publisher’s Note: The statements, opinions and data contained in all publications are solely those of the individual author(s) and contributor(s) and not of MDPI and/or the editor(s). MDPI and/or the editor(s) disclaim responsibility for any injury to people or property resulting from any ideas, methods, instructions or products referred to in the content. |
© 2026 by the authors. Licensee MDPI, Basel, Switzerland. This article is an open access article distributed under the terms and conditions of the Creative Commons Attribution (CC BY) license.
Share and Cite
Deivasigamani, S.; Senthilpari, C.; D, S.S.R.; Thankaraj, A.; Narmadha, G.; Gowrishankar, K. Gabor Transform-Based Deep Learning System Using CNN for Melanoma Detection. Computers 2026, 15, 54. https://doi.org/10.3390/computers15010054
Deivasigamani S, Senthilpari C, D SSR, Thankaraj A, Narmadha G, Gowrishankar K. Gabor Transform-Based Deep Learning System Using CNN for Melanoma Detection. Computers. 2026; 15(1):54. https://doi.org/10.3390/computers15010054
Chicago/Turabian StyleDeivasigamani, S., C. Senthilpari, Siva Sundhara Raja. D, A. Thankaraj, G. Narmadha, and K. Gowrishankar. 2026. "Gabor Transform-Based Deep Learning System Using CNN for Melanoma Detection" Computers 15, no. 1: 54. https://doi.org/10.3390/computers15010054
APA StyleDeivasigamani, S., Senthilpari, C., D, S. S. R., Thankaraj, A., Narmadha, G., & Gowrishankar, K. (2026). Gabor Transform-Based Deep Learning System Using CNN for Melanoma Detection. Computers, 15(1), 54. https://doi.org/10.3390/computers15010054

