A Study of COVID-19 Diagnosis Applying Artificial Intelligence to X-Rays Images
Abstract
1. Introduction
2. Background
2.1. Non-Destructive Testing Using X-Ray in Medicine
2.2. COVID-19
Images Use in COVID-19 Diagnosis
2.3. Digital Image Processing
2.4. Machine Learning
2.4.1. Artificial Neural Network
- The number of nodes (neurons) in the input layer, which are responsible for receiving the input data and providing it to the rest of the neural network;
- The number of hidden layers and the number of neurons to be placed in these layers, which are responsible for processing the data;
- The number of neurons in the output layer, which are responsible for producing the final output of the neural network and obtaining a result.
2.4.2. Convolutional Neural Network
2.4.3. Hyperparameters
Activation Function
Cost Function
Learning Rate
Batch Size
2.5. VGG
2.5.1. VGG16
2.5.2. VGG19
2.6. ResNet
2.6.1. ResNet50
- Stage 1: Consists of a single convolutional layer with 64 filters and a kernel size of 7 × 7. This layer is used to reduce the size of the input image;
- Stage 2: Consists of three residual blocks, each containing three convolutional layers: two with 64 filters and one with 256 filters. These layers further reduce the image size and extract low-level features;
- Stage 3: Consists of four residual blocks, each containing three convolutional layers: two with 128 filters and one with 512 filters. These layers are used to extract mid-level features;
- Stage 4: Consists of six residual blocks, each containing three convolutional layers: two with 256 filters and one with 1024 filters. These layers are used to extract high-level features;
- Stage 5: Consists of three residual blocks, each containing three convolutional layers: two with 512 filters and one with 2048 filters. These layers are used to further refine the extracted features.
2.6.2. ResNet50V2
3. Materials and Methods
3.1. Materials
3.2. Methods
3.2.1. Non-Destructive Taking of X-Rays
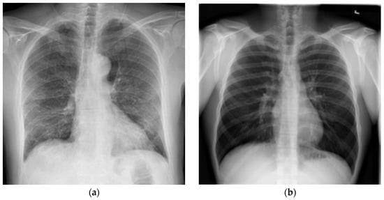
3.2.2. Image Selection
3.2.3. Pre-Processing
3.2.4. Neural Networks Application
4. Results
4.1. Metrics
4.1.1. Confusion Matrix
4.1.2. Accuracy
4.1.3. Precision
4.1.4. Recall
4.1.5. F1 Score
4.2. Presentation, Analysis, and Comparison of Results
4.2.1. Training Process Results
4.2.2. Tests Results
4.2.3. Analysis of Results
5. Conclusions
Author Contributions
Funding
Data Availability Statement
Acknowledgments
Conflicts of Interest
References
- Weiss, M.; Brierley, N.; von Schmid, M.; Meisen, T. Simulation Study: Data-Driven Material Decomposition in Industrial X-Ray Computed Tomography. NDT 2024, 2, 1–15. [Google Scholar] [CrossRef]
- Ribeiro, M.R.; Dias, M.A.; de Best, R.; da Silva, E.A.; Neves, C.D.T.T. Enhancement and Segmentation of Dental Structures in Digitized Panoramic Radiography Images. Int. J. Appl. Math. 2014, 27. [Google Scholar] [CrossRef]
- Dharman, N.; Moses, J.C.; Olivete, C.J.; Dias, M.A. Survey on Different Bone Age Estimation Methods. Int. J. Adv. Res. Comput. Sci. Softw. Eng. 2014, 4, 1128–1131. [Google Scholar]
- Weiss, M.; Meisen, T. Reviewing Material-Sensitive Computed Tomography: From Handcrafted Algorithms to Modern Deep Learning. NDT 2024, 2, 286–310. [Google Scholar] [CrossRef]
- Brown, J.G. X-Rays and Their Applications; Springer: Boston, MA, USA, 1975; ISBN 978-1-4613-4400-1. [Google Scholar]
- Lftta, J.G.J.; Zahra, A.N.A.A.; Ashour, A.H.J.; Nasser, A.H.K.; Shanawa, A.N. X-Rays and Their Uses on The Human Body. Curr. Clin. Med. Educ. 2024, 2, 91–115. [Google Scholar]
- Rao, N.; Ament, B.; Parmee, R.; Cameron, J.; Mayo, M. Rapid, Non-Destructive Inspection and Classification of Inhalation Blisters Using Low-Energy X-Ray Imaging. J. Pharm. Innov. 2018, 13, 270–282. [Google Scholar] [CrossRef]
- Pessanha, S.; Braga, D.; Ensina, A.; Silva, J.; Vilchez, J.; Montenegro, C.; Barbosa, S.; Carvalho, M.L.; Dias, A. A Non-Destructive X-Ray Fluorescence Method of Analysis of Formalin Fixed-Paraffin Embedded Biopsied Samples for Biomarkers for Breast and Colon Cancer. Talanta 2023, 260, 124605. [Google Scholar] [CrossRef]
- Urban, T. Dark-Field Chest Radiography—Image Artifacts and COPD Assessment. Ph.D. Thesis, Technical University of Munich, Munich, Germany, 2023. [Google Scholar]
- Brunet, J.; Walsh, C.; Tafforeau, P.; Dejea, H.; Cook, A.; Bellier, A.; Engel, K.; Jonigkf, D.D.; Ackermann, M.; Lee, P. Hierarchical Phase-Contrast Tomography: A Non-Destructive Multiscale Imaging Approach for Whole Human Organs. In Proceedings of the Developments in X-Ray Tomography XV, San Diego, CA, USA, 18–23 August 2024; Müller, B., Wang, G., Eds.; SPIE: Bellingham, WA, USA, 2024; p. 40. [Google Scholar]
- Seifert, M.; Gallersdörfer, M.; Ludwig, V.; Schuster, M.; Horn, F.; Pelzer, G.; Rieger, J.; Michel, T.; Anton, G. Improved Reconstruction Technique for Moiré Imaging Using an X-Ray Phase-Contrast Talbot–Lau Interferometer. J. Imaging 2018, 4, 62. [Google Scholar] [CrossRef]
- Ludwig, V.; Seifert, M.; Hauke, C.; Hellbach, K.; Horn, F.; Pelzer, G.; Radicke, M.; Rieger, J.; Sutter, S.-M.; Michel, T.; et al. Exploration of Different X-Ray Talbot–Lau Setups for Dark-Field Lung Imaging Examined in a Porcine Lung. Phys. Med. Biol. 2019, 64, 065013. [Google Scholar] [CrossRef]
- Liu, J.T.C.; Glaser, A.K.; Bera, K.; True, L.D.; Reder, N.P.; Eliceiri, K.W.; Madabhushi, A. Harnessing Non-Destructive 3D Pathology. Nat. Biomed. Eng. 2021, 5, 203–218. [Google Scholar] [CrossRef]
- Dejea, H.; Garcia-Canadilla, P.; Cook, A.C.; Guasch, E.; Zamora, M.; Crispi, F.; Stampanoni, M.; Bijnens, B.; Bonnin, A. Comprehensive Analysis of Animal Models of Cardiovascular Disease Using Multiscale X-Ray Phase Contrast Tomography. Sci. Rep. 2019, 9, 6996. [Google Scholar] [CrossRef]
- Kourra, N.; Warnett, J.M.; Attridge, A.; Dibling, G.; McLoughlin, J.; Muirhead-Allwood, S.; King, R.; Williams, M.A. Non-Destructive Examination of Additive Manufactured Acetabular Hip Prosthesis Cups. In Proceedings of the Radiation Detectors in Medicine, Industry, and National Security XIX, San Diego, CA, USA, 19–23 August 2018; Grim, G.P., Barber, H.B., Furenlid, L.R., Koch, J.A., Eds.; SPIE: Bellingham, WA, USA, 2018; p. 14. [Google Scholar]
- du Plessis, A.; le Roux, S.G.; Guelpa, A. Comparison of Medical and Industrial X-Ray Computed Tomography for Non-Destructive Testing. Case Stud. Nondestruct. Test. Eval. 2016, 6, 17–25. [Google Scholar] [CrossRef]
- Velez-Cruz, A.J.; Farinas-Coronado, W. Review-Bone Characterization: Mechanical Properties Based on Non- Destructive Techniques. Athenea 2022, 3, 16–29. [Google Scholar] [CrossRef]
- Katsamenis, O.L.; Olding, M.; Warner, J.A.; Chatelet, D.S.; Jones, M.G.; Sgalla, G.; Smit, B.; Larkin, O.J.; Haig, I.; Richeldi, L.; et al. X-Ray Micro-Computed Tomography for Nondestructive Three-Dimensional (3D) X-Ray Histology. Am. J. Pathol. 2019, 189, 1608–1620. [Google Scholar] [CrossRef]
- Kamali Moghaddam, K.; Taheri, T.; Ayubian, M. Bone Structure Investigation Using X-Ray and Neutron Radiography Techniques. Appl. Radiat. Isot. 2008, 66, 39–43. [Google Scholar] [CrossRef]
- Uo, M.; Wada, T.; Sugiyama, T. Applications of X-Ray Fluorescence Analysis (XRF) to Dental and Medical Specimens. Jpn. Dent. Sci. Rev. 2015, 51, 2–9. [Google Scholar] [CrossRef]
- Potter, K.; Sweet, D.E.; Anderson, P.; Davis, G.R.; Isogai, N.; Asamura, S.; Kusuhara, H.; Landis, W.J. Non-Destructive Studies of Tissue-Engineered Phalanges by Magnetic Resonance Microscopy and X-Ray Microtomography. Bone 2006, 38, 350–358. [Google Scholar] [CrossRef]
- Alomari, A.H.; Wille, M.-L.; Langton, C.M. Bone Volume Fraction and Structural Parameters for Estimation of Mechanical Stiffness and Failure Load of Human Cancellous Bone Samples; in-Vitro Comparison of Ultrasound Transit Time Spectroscopy and X-Ray ΜCT. Bone 2018, 107, 145–153. [Google Scholar] [CrossRef]
- Hoffman, E.A. Origins of and Lessons from Quantitative Functional X-Ray Computed Tomography of the Lung. Br. J. Radiol. 2022, 95, 20211364. [Google Scholar] [CrossRef]
- Jiang, C.; Cheng, Y.; Cheng, B. Diagnosis of Osteoporosis by Bone X-Ray Based on Non-Destructive Compression. IEEE Access 2024, 12, 93946–93956. [Google Scholar] [CrossRef]
- Bardelli, F.; Brun, F.; Capella, S.; Bellis, D.; Cippitelli, C.; Cedola, A.; Belluso, E. Asbestos Bodies Count and Morphometry in Bulk Lung Tissue Samples by Non-Invasive X-Ray Micro-Tomography. Sci. Rep. 2021, 11, 10608. [Google Scholar] [CrossRef] [PubMed]
- Silva, J.M.; Zanette, I.; Noël, P.B.; Cardoso, M.B.; Kimm, M.A.; Pfeiffer, F. Three-Dimensional Non-Destructive Soft-Tissue Visualization with X-Ray Staining Micro-Tomography. Sci. Rep. 2015, 5, 14088. [Google Scholar] [CrossRef] [PubMed]
- Nakamura, S. Micro-CT and Lungs. In Multidisciplinary Computational Anatomy; Springer: Singapore, 2022; pp. 323–327. [Google Scholar]
- Nakamura, S.; Mori, K.; Iwano, S.; Kawaguchi, K.; Fukui, T.; Hakiri, S.; Ozeki, N.; Oda, M.; Yokoi, K. Micro-Computed Tomography Images of Lung Adenocarcinoma: Detection of Lepidic Growth Patterns. Nagoya J. Med. Sci. 2020, 82, 25–31. [Google Scholar] [CrossRef]
- Reichmann, J.; Verleden, S.E.; Kühnel, M.; Kamp, J.C.; Werlein, C.; Neubert, L.; Müller, J.-H.; Bui, T.Q.; Ackermann, M.; Jonigk, D.; et al. Human Lung Virtual Histology by Multi-Scale x-Ray Phase-Contrast Computed Tomography. Phys. Med. Biol. 2023, 68, 115014. [Google Scholar] [CrossRef] [PubMed]
- Wevers, M. X-Ray Computed Tomography for Non-Destructive Testing. In Proceedings of the 4th Conference on Industrial Computed Tomography (iCT), Wels, Austria, 19–21 September 2012; e-Journal of Nondestructive Testing: Wels, Austria, 2012. [Google Scholar]
- Ismael, A.M.; Şengür, A. Deep Learning Approaches for COVID-19 Detection Based on Chest X-Ray Images. Expert. Syst. Appl. 2021, 164, 114054. [Google Scholar] [CrossRef]
- Rajaraman, S.; Antani, S. Weakly Labeled Data Augmentation for Deep Learning: A Study on COVID-19 Detection in Chest X-Rays. Diagnostics 2020, 10, 358. [Google Scholar] [CrossRef]
- Rahimzadeh, M.; Attar, A. A Modified Deep Convolutional Neural Network for Detecting COVID-19 and Pneumonia from Chest X-Ray Images Based on the Concatenation of Xception and ResNet50V2. Inf. Med. Unlocked 2020, 19, 100360. [Google Scholar] [CrossRef]
- Shazia, A.; Xuan, T.Z.; Chuah, J.H.; Usman, J.; Qian, P.; Lai, K.W. A Comparative Study of Multiple Neural Network for Detection of COVID-19 on Chest X-Ray. EURASIP J. Adv. Signal Process. 2021, 2021, 50. [Google Scholar] [CrossRef]
- Narin, A.; Kaya, C.; Pamuk, Z. Automatic Detection of Coronavirus Disease (COVID-19) Using X-Ray Images and Deep Convolutional Neural Networks. Pattern Anal. Appl. 2021, 24, 1207–1220. [Google Scholar] [CrossRef]
- Abbas, A.; Abdelsamea, M.M.; Gaber, M.M. Classification of COVID-19 in Chest X-Ray Images Using DeTraC Deep Convolutional Neural Network. Appl. Intell. 2021, 51, 854–864. [Google Scholar] [CrossRef]
- Ugas-Charcape, C.F.; Ucar, M.E.; Almanza-Aranda, J.; Rizo-Patrón, E.; Lazarte-Rantes, C.; Caro-Domínguez, P.; Cadavid, L.; Pérez-Marrero, L.; Fazecas, T.; Gomez, L.; et al. Pulmonary Imaging in Coronavirus Disease 2019 (COVID-19): A Series of 140 Latin American Children. Pediatr. Radiol. 2021, 51, 1597–1607. [Google Scholar] [CrossRef]
- Furtado, A.; Andrade, L.; Frias, D.; Maia, T.; Badaró, R.; Nascimento, E.G.S. Deep Learning Applied to Chest Radiograph Classification—A COVID-19 Pneumonia Experience. Appl. Sci. 2022, 12, 3712. [Google Scholar] [CrossRef]
- Spina, S.V.; Campos Vieira, M.L.; Herrera, C.J.; Munera Echeverri, A.G.; Rojo, P.; Arrioja Salazar, A.S.; Vázquez Ortiz, Z.Y.; Arellano, R.B.; Reyes, G.; Millán, R.A.; et al. Cardiopulmonary Imaging Utilization and Findings among Hospitalized COVID-19 Patients in Latin America. Glob. Heart 2022, 17, 49. [Google Scholar] [CrossRef] [PubMed]
- Wilkins, R.; Abrantes, A.M.; Ainsbury, E.A.; Baatout, S.; Botelho, M.F.; Boterberg, T.; Filipová, A.; Hladik, D.; Kruse, F.; Marques, I.A.; et al. Radiobiology of Accidental, Public, and Occupational Exposures. In Radiobiology Textbook; Springer International Publishing: Cham, Switzerland, 2023; pp. 425–467. [Google Scholar]
- Clement David-Olawade, A.; Olawade, D.B.; Vanderbloemen, L.; Rotifa, O.B.; Fidelis, S.C.; Egbon, E.; Akpan, A.O.; Adeleke, S.; Ghose, A.; Boussios, S. AI-Driven Advances in Low-Dose Imaging and Enhancement—A Review. Diagnostics 2025, 15, 689. [Google Scholar] [CrossRef]
- Redie, D.K.; Sirko, A.E.; Demissie, T.M.; Teferi, S.S.; Shrivastava, V.K.; Verma, O.P.; Sharma, T.K. Diagnosis of COVID-19 Using Chest X-Ray Images Based on Modified DarkCovidNet Model. Evol. Intell. 2023, 16, 729–738. [Google Scholar] [CrossRef]
- Ibragimov, B.; Arzamasov, K.; Maksudov, B.; Kiselev, S.; Mongolin, A.; Mustafaev, T.; Ibragimova, D.; Evteeva, K.; Andreychenko, A.; Morozov, S. A 178-Clinical-Center Experiment of Integrating AI Solutions for Lung Pathology Diagnosis. Sci. Rep. 2023, 13, 1135. [Google Scholar] [CrossRef]
- Cohen, J.P.; Morrison, P.; Dao, L.; Roth, K.; Duong, T.; Ghassem, M. COVID-19 Image Data Collection: Prospective Predictions Are the Future. Mach. Learn. Biomed. Imaging 2020, 1, 1–38. [Google Scholar] [CrossRef]
- Moodley, S.; Sewchuran, T. Chest Radiography Evaluation in Patients Admitted with Confirmed COVID-19 Infection, in a Resource Limited South African Isolation Hospital. S. Afr. J. Radiol. 2022, 26, 7. [Google Scholar] [CrossRef]
- Benmessaoud, M.; Dadouch, A.; Abdelmajid, M.; Abir, A.; El-Ouardi, Y.; Lemmassi, A.; Nouader, K.; Chibani, I. Diagnostic Accuracy of Chest Computed Tomography for Detecting COVID-19 Pneumonia in Low Disease Prevalence Area: A Local Experience. Adv. Life Sci. 2021, 8, 355–359. [Google Scholar]
- Malone, J. X-Rays for Medical Imaging: Radiation Protection, Governance and Ethics over 125 Years. Phys. Medica 2020, 79, 47–64. [Google Scholar] [CrossRef]
- Ryan, J.L. Ionizing Radiation: The Good, the Bad, and the Ugly. J. Investig. Dermatol. 2012, 132, 985–993. [Google Scholar] [CrossRef] [PubMed]
- Darcy, S.; Rainford, L.; Kelly, B.; Toomey, R. Decision Making and Variation in Radiation Exposure Factor Selection by Radiologic Technologists. J. Med. Imaging Radiat. Sci. 2015, 46, 372–379. [Google Scholar] [CrossRef] [PubMed]
- Ria, F.; Bergantin, A.; Vai, A.; Bonfanti, P.; Martinotti, A.S.; Redaelli, I.; Invernizzi, M.; Pedrinelli, G.; Bernini, G.; Papa, S.; et al. Awareness of Medical Radiation Exposure among Patients: A Patient Survey as a First Step for Effective Communication of Ionizing Radiation Risks. Phys. Medica 2017, 43, 57–62. [Google Scholar] [CrossRef]
- Singh, N.; Mohacsy, A.; Connell, D.A.; Schneider, M.E. A Snapshot of Patients’ Awareness of Radiation Dose and Risks Associated with Medical Imaging Examinations at an Australian Radiology Clinic. Radiography 2017, 23, 94–102. [Google Scholar] [CrossRef]
- Ko, J.; Kim, Y. Evaluation of Effective Dose during X-Ray Training in a Radiological Technology Program in Korea. J. Radiat. Res. Appl. Sci. 2018, 11, 383–392. [Google Scholar] [CrossRef]
- Karavas, E.; Ece, B.; Aydın, S.; Kocak, M.; Cosgun, Z.; Bostanci, I.E.; Kantarci, M. Are We Aware of Radiation: A Study about Necessity of Diagnostic X-Ray Exposure. World J. Methodol. 2022, 12, 264–273. [Google Scholar] [CrossRef]
- Oglat, A.A. Comparison of X-Ray Films in Term of KVp, MA, Exposure Time and Distance Using Radiographic Chest Phantom as a Radiation Quality. J. Radiat. Res. Appl. Sci. 2022, 15, 100479. [Google Scholar] [CrossRef]
- Atci, I.B.; Yilmaz, H.; Antar, V.; Ozdemir, N.G.; Baran, O.; Sadillioglu, S.; Ozel, M.; Turk, O.; Yaman, M.; Topacoglu, H. What Do We Know about ALARA? Is Our Knowledge Sufficient about Radiation Safety? J. Neurosurg. Sci. 2017, 61, 597–602. [Google Scholar] [CrossRef]
- Mahesh, M. Essential Role of a Medical Physicist in the Radiology Department. RadioGraphics 2018, 38, 1665–1671. [Google Scholar] [CrossRef]
- Dance, D.R.; Christofides, S.; Maidment, A.D.A.; McLean, I.D.; Ng, K.-H. Diagnostic Radiology Physics: A Handbook for Teachers and Students; International Atomic Energy Agency: Vienna, Austria, 2014; ISBN 9789201310101. [Google Scholar]
- Seeram, E. Digital Radiography: Physical Principles and Quality Control, 2nd ed.; Springer: Singapore, 2019; ISBN 978-981-13-3243-2. [Google Scholar]
- Smith-Bindman, R.; Wang, Y.; Chu, P.; Chung, R.; Einstein, A.J.; Balcombe, J.; Cocker, M.; Das, M.; Delman, B.N.; Flynn, M.; et al. International Variation in Radiation Dose for Computed Tomography Examinations: Prospective Cohort Study. BMJ 2019, 364, k4931. [Google Scholar] [CrossRef]
- Candemir, S.; Antani, S. A Review on Lung Boundary Detection in Chest X-Rays. Int. J. Comput. Assist. Radiol. Surg. 2019, 14, 563–576. [Google Scholar] [CrossRef] [PubMed]
- Brambilla, M.; Vassileva, J.; Kuchcinska, A.; Rehani, M.M. Multinational Data on Cumulative Radiation Exposure of Patients from Recurrent Radiological Procedures: Call for Action. Eur. Radiol. 2020, 30, 2493–2501. [Google Scholar] [CrossRef] [PubMed]
- Tsapaki, V.; Ahmed, N.A.; AlSuwaidi, J.S.; Beganovic, A.; Benider, A.; BenOmrane, L.; Borisova, R.; Economides, S.; El-Nachef, L.; Faj, D.; et al. Radiation Exposure to Patients During Interventional Procedures in 20 Countries: Initial IAEA Project Results. Am. J. Roentgenol. 2009, 193, 559–569. [Google Scholar] [CrossRef]
- Rahman, T.; Chowdhury, M.; Khandakar, A. COVID-19 Radiography Database; Kaggle: San Francisco, CA, USA, 2022. [Google Scholar]
- Apostolopoulos, I.D.; Mpesiana, T.A. COVID-19: Automatic Detection from X-Ray Images Utilizing Transfer Learning with Convolutional Neural Networks. Phys. Eng. Sci. Med. 2020, 43, 635–640. [Google Scholar] [CrossRef]
- Punn, N.S.; Agarwal, S. Automated Diagnosis of COVID-19 with Limited Posteroanterior Chest X-Ray Images Using Fine-Tuned Deep Neural Networks. Appl. Intell. 2021, 51, 2689–2702. [Google Scholar] [CrossRef]
- World Health Organization. International Basic Safety Standards for Protection Against Ionizing Radiation and for the Safety of Radiation Sources; World Health Organization: Geneva, Switzerland, 1994. [Google Scholar]
- Damilakis, J.; Frija, G.; Brkljacic, B.; Vano, E.; Loose, R.; Paulo, G.; Brat, H.; Tsapaki, V. How to Establish and Use Local Diagnostic Reference Levels: An ESR EuroSafe Imaging Expert Statement. Insights Imaging 2023, 14, 27. [Google Scholar] [CrossRef]
- Erenstein, H.G.; Browne, D.; Curtin, S.; Dwyer, R.S.; Higgins, R.N.; Hommel, S.F.; Menzinga, J.; Pires Jorge, J.A.; Sauty, M.; de Vries, G.; et al. The Validity and Reliability of the Exposure Index as a Metric for Estimating the Radiation Dose to the Patient. Radiography 2020, 26, S94–S99. [Google Scholar] [CrossRef]
- Ciotti, M.; Ciccozzi, M.; Terrinoni, A.; Jiang, W.-C.; Wang, C.-B.; Bernardini, S. The COVID-19 Pandemic. Crit. Rev. Clin. Lab. Sci. 2020, 57, 365–388. [Google Scholar] [CrossRef]
- World Health Organization Coronavirus Disease (COVID-19) Pandemic. Available online: https://www.who.int/emergencies/diseases/novel-coronavirus-2019 (accessed on 11 January 2023).
- De Carvalho, É.; Malta, R.; Coelho, A.; Baffa, M. Automatic Detection of COVID-19 in X-Ray Images Using Fully-Connected Neural Networks. In Proceedings of the Anais do XVI Workshop de Visão Computacional (WVC 2020), Sociedade Brasileira de Computação—SBC, Uberlandia, Brazil, 7–8 October 2020; pp. 41–45. [Google Scholar]
- Tecuci, G. Artificial Intelligence. WIREs Comput. Stat. 2012, 4, 168–180. [Google Scholar] [CrossRef]
- Wang, S.-C. Artificial Neural Network. In Interdisciplinary Computing in Java Programming; Springer: Boston, MA, USA, 2003; pp. 81–100. [Google Scholar]
- O’Shea, K.; Nash, R. An Introduction to Convolutional Neural Networks. arXiv 2015, arXiv:1511.08458. [Google Scholar]
- Nielsen, M. Neural Networks and Deep Learning; Springer: Berlin/Heidelberg, Germany, 2019. [Google Scholar]
- Banerjee, C.; Mukherjee, T.; Pasiliao, E. An Empirical Study on Generalizations of the ReLU Activation Function. In Proceedings of the 2019 ACM Southeast Conference, Kennesaw, GA, USA, 18–20 April 2019; ACM: New York, NY, USA, 2019; pp. 164–167. [Google Scholar]
- Fleck, L.; Tavares, M.H.F.; Eyng, E.; Helmann, A.C.; Andrade, M.A. de M. Redes Neurais Artificiais: Princípios Básicos. Rev. Eletrônica Científica Inovação Tecnol. 2016, 7, 47. [Google Scholar] [CrossRef]
- Maas, A.L. Rectifier Nonlinearities Improve Neural Network Acoustic Models. In Proceedings of the 30th International Conference on Machine Learning, Atlanta, GA, USA, 16–21 June 2013. [Google Scholar]
- Sharma, S.; Sharma, S.; Athaiya, A. Activation Functions in Neural Networks. Int. J. Eng. Appl. Sci. Technol. 2020, 4, 310–316. [Google Scholar] [CrossRef]
- Theckedath, D.; Sedamkar, R.R. Detecting Affect States Using VGG16, ResNet50 and SE-ResNet50 Networks. SN Comput. Sci. 2020, 1, 79. [Google Scholar] [CrossRef]
- Simonyan, K.; Zisserman, A. Very Deep Convolutional Networks for Large-Scale Image Recognition. arXiv 2015, arXiv:1409.1556. [Google Scholar]
- He, K.; Zhang, X.; Ren, S.; Sun, J. Deep Residual Learning for Image Recognition. In Proceedings of the 2016 IEEE Conference on Computer Vision and Pattern Recognition (CVPR), Las Vegas, NV, USA, 27–30 June 2016; IEEE: Piscataway, NJ, USA, 2016; pp. 770–778. [Google Scholar]
- Institute for Diagnostic and Interventional Radiology; Hannover Medical School COVID-19 Image Repository. Available online: https://github.com/ml-workgroup/covid-19-image-repository/blob/master/readme.md (accessed on 12 April 2025).
- Haghanifar, A.; Majdabadi, M.M.; Choi, Y.; Deivalakshmi, S.; Ko, S. COVID-CXNet: Detecting COVID-19 in Frontal Chest X-Ray Images Using Deep Learning. Multimed. Tools Appl. 2020, 81, 30615–30645. [Google Scholar] [CrossRef]
- Anouk Stein, M.D.; Wu, C.; Carr, C.; Shih, G.; Dulkowski, J.; kalpathy; Chen, L.; Prevedello, L.; Marc Kohli, M.D.; McDonald, M.; et al. RSNA Pneumonia Detection Challenge; Kaggle: San Francisco, CA, USA, 2018. [Google Scholar]
- Kermany, D.; Zhang, K.; Goldbaum, M. Labeled Optical Coherence Tomography (OCT) and Chest X-Ray Images for Classification. Available online: https://data.mendeley.com/datasets/rscbjbr9sj/2 (accessed on 12 April 2025).
- European Society of Radiology Eurorad. Available online: https://www.myesr.org/ (accessed on 1 January 2025).
- de la Iglesia Vayá, M.; Saborit-Torres, J.M.; Montell Serrano, J.A.; Oliver-Garcia, E.; Pertusa, A.; Bustos, A.; Cazorla, M.; Galant, J.; Barber, X.; Orozco-Beltrán, D.; et al. BIMCV COVID-19-: A Large Annotated Dataset of RX and CT Images from COVID-19 Patients; IEEE: Piscataway, NJ, USA, 2021. [Google Scholar]
- Società Italiana di Radiologia Medica e Intervenntistica SIRM. Available online: https://sirm.org/ (accessed on 1 January 2025).
- Hamd, Z.Y.; Alrebdi, H.I.; Osman, E.G.; Awwad, A.; Alnawwaf, L.; Nashri, N.; Alfnekh, R.; Khandaker, M.U. Optimization of Chest X-Ray Exposure Factors Using Machine Learning Algorithm. J. Radiat. Res. Appl. Sci. 2023, 16, 100518. [Google Scholar] [CrossRef]
- Brady, Z.; Scoullar, H.; Grinsted, B.; Ewert, K.; Kavnoudias, H.; Jarema, A.; Crocker, J.; Wills, R.; Houston, G.; Law, M.; et al. Technique, Radiation Safety and Image Quality for Chest X-Ray Imaging through Glass and in Mobile Settings during the COVID-19 Pandemic. Phys. Eng. Sci. Med. 2020, 43, 765–779. [Google Scholar] [CrossRef]
- Junda, M.; Muller, H.; Friedrich-Nel, H. Local Diagnostic Reference Levels for Routine Chest X-Ray Examinations at a Public Sector Hospital in Central South Africa. Health SA Gesondheid 2021, 26, 8. [Google Scholar] [CrossRef]
- Yacoob, H.Y.; Mohammed, H.A. Assessment of Patients X-Ray Doses at Three Government Hospitals in Duhok City Lacking Requirements of Effective Quality Control. J. Radiat. Res. Appl. Sci. 2017, 10, 183–187. [Google Scholar] [CrossRef]
- Jones, A.K.; Heintz, P.; Geiser, W.; Goldman, L.; Jerjian, K.; Martin, M.; Peck, D.; Pfeiffer, D.; Ranger, N.; Yorkston, J. Ongoing Quality Control in Digital Radiography: Report of AAPM Imaging Physics Committee Task Group 151. Med. Phys. 2015, 42, 6658–6670. [Google Scholar] [CrossRef]
- Michelucci, U. Model Validation and Selection. In Fundamental Mathematical Concepts for Machine Learning in Science; Springer International Publishing: Cham, Switzerland, 2024; pp. 153–184. [Google Scholar]
- Keras Keras Webpage. Available online: https://keras.io/ (accessed on 13 June 2024).
- COLAB. COLAB Website. Available online: https://colab.research.google.com/notebooks/intro.ipynb (accessed on 16 April 2023).
- IMAGENET. IMAGENET Website. Available online: https://www.image-net.org/ (accessed on 16 April 2023).
- Ying, X. An Overview of Overfitting and Its Solutions. J. Phys. Conf. Ser. 2019, 1168, 022022. [Google Scholar] [CrossRef]
- Sen, S.Y.; Ozkurt, N. Convolutional Neural Network Hyperparameter Tuning with Adam Optimizer for ECG Classification. In Proceedings of the 2020 Innovations in Intelligent Systems and Applications Conference (ASYU), Istanbul, Turkey, 15–17 October 2020; IEEE: Piscataway, NJ, USA, 2020; pp. 1–6. [Google Scholar]
- Khaire, U.M.; Dhanalakshmi, R. High-Dimensional Microarray Dataset Classification Using an Improved Adam Optimizer (IAdam). J. Ambient. Intell. Humaniz. Comput. 2020, 11, 5187–5204. [Google Scholar] [CrossRef]
- Bock, S.; Weis, M. A Proof of Local Convergence for the Adam Optimizer. In Proceedings of the 2019 International Joint Conference on Neural Networks (IJCNN), Budapest, Hungary, 14–19 July 2019; IEEE: Piscataway, NJ, USA, 2019; pp. 1–8. [Google Scholar]
- Foody, G.M. Challenges in the Real World Use of Classification Accuracy Metrics: From Recall and Precision to the Matthews Correlation Coefficient. PLoS ONE 2023, 18, e0291908. [Google Scholar] [CrossRef] [PubMed]
















| Source of the Images | Patient Characteristics | Range of Radiation Doses Between: | |||
|---|---|---|---|---|---|
| Age | Gender | Ethnicity | BMI | ||
| Northern Africa [44,63,83,84], Latin America and the Caribbean [44,63,83,84], Northern America [44,63,83,84,85], Eastern Asia [44,63,83,84,86], South-eastern Asia [44,63,83,84], Southern Asia [44,63,83,84], Western Asia [44,63,83,84], Eastern Europe [44,63,83,84], Northern Europe [44,63,83,84,87] Southern Europe [44,63,83,84,87,88,89], Western Europe [44,63,83,84,87], Oceania [44,63,83,84] | Mainly between 21 and 91 years | Male, female, or blank | Individuals from various ethnic groups | Mainly between 16.19 and 59.52 kg/m2 | 60 and 125.6 kVp, 0.6 and 25 mAs, and 118 and 300 cm. |
| Model | Amount of Memory |
|---|---|
| VGG16 | 528 MB |
| VGG19 | 549 MB |
| ResNet50 | 98 MB |
| ResNet50V2 | 98 MB |
| Predicted Values | |||
|---|---|---|---|
| Yes | No | ||
| Real values | Yes | True Positive (TP) | False Negative (FN) |
| No | False Positive (FP) | True Negative (TN) | |
| Model | Number of Epochs | Average Training Accuracy | Average Validation Accuracy |
|---|---|---|---|
| VGG16 | 75 | 95.32% | 92.55% |
| 100 | 96.00% | 93.10% | |
| 150 | 96.58% | 93.36% | |
| VGG19 | 75 | 93.79% | 91.26% |
| 100 | 94.39% | 91.92% | |
| 150 | 95.20% | 92.36% | |
| ResNet50 | 75 | 86.13% | 85.91% |
| 100 | 87.66% | 86.63% | |
| 150 | 88.75% | 87.48% | |
| ResNet50V2 | 75 | 98.09% | 93.08% |
| 100 | 98.54% | 93.32% | |
| 150 | 98.81% | 93.59% |
| Authors | Model | Accuracy |
|---|---|---|
| Our experiments | VGG16 | 94.50% |
| VGG19 | 94.00% | |
| ResNet50 | 91.50% | |
| ResNet50V2 | 95.55% | |
| Punn and Agarwal [65] | Baseline ResNet | 79.83% |
| Inception v2 | 86.83% | |
| Inception ResNet v2 | 91.83% | |
| DenseNet 169 | 90.17% | |
| NASNet Large | 95.83% | |
| Shazia et al. [34] | VGG16 | 99.09% |
| VGG19 | 99.18% | |
| DenseNet 121 | 99.48% | |
| Inception ResNet v2 | 98.21% | |
| Inception v3 | 98.96% | |
| ResNet 50 | 99.32% | |
| Xception | 98.34% | |
| Apostolopoulos and Mpesiana [64] | MobileNet v2 (2-class) | 96.78% |
| MobileNet v2 (3-class) | 94.72% | |
| Narin, Kaya and Pamuk [35] | Inception v3 | 95.42% |
| ResNet50 | 96.07% | |
| ResNet101 | 96.07% | |
| ResNet152 | 93.85% | |
| Inception-ResNetV2 | 94.22% | |
| Abbas, Abdelsamea and Gaber [36] | AlexNet | 89.10% |
| VGG19 | 93.10% | |
| ResNet | 93.10% | |
| GoogleNet | 89.65% | |
| SqueezeNet | 82.75% |
| Model | Class | Precision | Recall | F1 Score |
|---|---|---|---|---|
| VGG16 | COVID | 96% | 93% | 94% |
| Normal | 93% | 96% | 95% | |
| VGG19 | COVID | 94% | 94% | 94% |
| Normal | 94% | 94% | 94% | |
| ResNet50 | COVID | 87% | 97% | 92% |
| Normal | 97% | 87% | 91% | |
| ResNet50V2 | COVID | 96% | 95% | 95% |
| Normal | 95% | 96% | 96% |
Disclaimer/Publisher’s Note: The statements, opinions and data contained in all publications are solely those of the individual author(s) and contributor(s) and not of MDPI and/or the editor(s). MDPI and/or the editor(s) disclaim responsibility for any injury to people or property resulting from any ideas, methods, instructions or products referred to in the content. |
© 2025 by the authors. Licensee MDPI, Basel, Switzerland. This article is an open access article distributed under the terms and conditions of the Creative Commons Attribution (CC BY) license (https://creativecommons.org/licenses/by/4.0/).
Share and Cite
Cardim, G.P.; Reis Neto, C.B.; Nascimento, E.S.; Cardim, H.P.; Casaca, W.; Negri, R.G.; Cabrera, F.C.; dos Santos, R.J.; da Silva, E.A.; Dias, M.A. A Study of COVID-19 Diagnosis Applying Artificial Intelligence to X-Rays Images. Computers 2025, 14, 163. https://doi.org/10.3390/computers14050163
Cardim GP, Reis Neto CB, Nascimento ES, Cardim HP, Casaca W, Negri RG, Cabrera FC, dos Santos RJ, da Silva EA, Dias MA. A Study of COVID-19 Diagnosis Applying Artificial Intelligence to X-Rays Images. Computers. 2025; 14(5):163. https://doi.org/10.3390/computers14050163
Chicago/Turabian StyleCardim, Guilherme P., Claudio B. Reis Neto, Eduardo S. Nascimento, Henrique P. Cardim, Wallace Casaca, Rogério G. Negri, Flávio C. Cabrera, Renivaldo J. dos Santos, Erivaldo A. da Silva, and Mauricio Araujo Dias. 2025. "A Study of COVID-19 Diagnosis Applying Artificial Intelligence to X-Rays Images" Computers 14, no. 5: 163. https://doi.org/10.3390/computers14050163
APA StyleCardim, G. P., Reis Neto, C. B., Nascimento, E. S., Cardim, H. P., Casaca, W., Negri, R. G., Cabrera, F. C., dos Santos, R. J., da Silva, E. A., & Dias, M. A. (2025). A Study of COVID-19 Diagnosis Applying Artificial Intelligence to X-Rays Images. Computers, 14(5), 163. https://doi.org/10.3390/computers14050163

