Clinical Response of Metastatic Breast Cancer to Multi-targeted Therapeutic Approach: A Single Case Report
Abstract
:1. Introduction
2. Experimental
2.1. Chemicals/Dietary Supplements
2.2. Procedure
3. Results
3.1. Applied Methodology and Methods
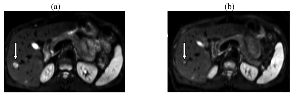
3.2. Results
4. Discussion and Conclusions

| Date/Months after Therapy Start | CA 15-3 (U/mL) | Excess over Cut-off Value [%] | CEA (ng/mL) | Excess over Cut-off Value [%] |
|---|---|---|---|---|
| 29 June 2009/3 | 49.3 | 82.6 | 31.4 | 684 |
| 13 September 2009/7 | 46.2 | 71.1 | 8.4 | 110 |
| 11 January 2010/10 | 37 | 37.0 | 4.1 | 2.5 |
| 19 April 2010/13 | 38.3 | 41.9 | 3.6 | -10.8 |
| 12 July 2010/16 | 35.7 | 32.3 | 4.1 | 1.5 |
Acknowledgements
Disclaimer
References
- Morgan, G.; Ward, R.; Barton, M. The contribution of cytotoxic chemotherapy to 5-year survival in adult malignancies. Clin. Oncol. 2004, 16, 549–560. [Google Scholar]
- Coley, H. Mechanisms and strategies to overcome chemotherapy resistance in metastatic breast cancer. Cancer Treat. Rev. 2008, 34, 378–390. [Google Scholar]
- Ozben, T. Mechanisms and strategies to overcome multiple drug resistance in cancer. FEBS Lett. 2006, 580, 2903–2909. [Google Scholar]
- Morrison, B.; Schmidt, C.; Lakhani, S.; Reynolds, B.; Lopez, J. Breast cancer stem cells: Implications for therapy of breast cancer. Breast Cancer Res. 2008, 10–210. [Google Scholar]
- Clark, A.; West, K.; Streicher, S.; Dennis, P. Constitutive and inducible Akt activity promotes resistance to chemotherapy, trastuzumab, or tamoxifen in breast cancer cells. Mol. Cancer Ther. 2002, 1, 707–717. [Google Scholar]
- Dillon, R.; White, D.; Muller, W. The phosphatidyl inositol 3-kinase signaling network: Implications for human breast cancer. Oncogene 2007, 26, 1338–1345. [Google Scholar]
- Garg, A.; Aggarwal, B. Nuclear transcription factor-κB as a target for cancer drug development. Leukemia 2002, 16, 1053–1068. [Google Scholar]
- Li, F.; Sethi, G. Targeting transcription factor NF-κB to overcome chemoresistance and radioresistance in cancer therapy. Biochim. Biophys. Acta 2010, 1805, 167–180. [Google Scholar]
- Marignol, L.; Coffey, M.; Lawler, M.; Hollywood, D. Hypoxia in prostate cancer: A powerful shield against tumour destruction? Cancer Treat. Rev. 2008, 34, 313–327. [Google Scholar]
- Walko, C.M.; Lindley, C. Capecitabine: A review. Clin. Ther. 2005, 27, 23–44. [Google Scholar]
- Kallioniemi, O.; Oksa, H.; Aaran, R.; Hietanen, T.; Lehtinen, M.; Koivula, T. Serum CA 15-3 assay in the diagnosis and follow-up of breast cancer. Br. J. Cancer 1988, 58, 213–215. [Google Scholar]
- Lässig, D. Dissertation; Ludwigs-Maximilians-Universität: München, Germany, 2007; pp. 70–92. [Google Scholar]
- Moradali, M.; Mostafavi, H.; Ghods, S.; Hedjaroude, G. Immunomodulating and anticancer agents in the realm of macromycetes fungi (macrofungi). Int. Immunopharmacol. 2007, 7, 701–724. [Google Scholar]
- Bohn, J.; BeMiller, J. (1-3)Beta-D-Glucans as biological response modifiers: A review of structure-functional activity relationships. Carbohyd. Polym. 1995, 28, 3–14. [Google Scholar]
- Grossarth-Maticek, R.; Kiene, H.; Baumgartner, S.; Ziegler, R. Use of Iscador, an extract of European Mistletoe (Viscum album) in cancer treatment: prospective nonrandomized and randomized matched-pair studies nested within a cohort study. Altern. Ther. Health M. 2001, 7, 57–78. [Google Scholar]
- Timoshenko, A.; Lan, Y.; Gabius, H.; Lala, P. Immunotherapy of C3H/HeJ mammary adenocarcinoma with interleukin-2, mistletoe lectin or their combination. effects on tumour growth, capillary leakage and nitric oxide (NO) production. Eur. J. Cancer 2001, 37, 1910–1920. [Google Scholar]
- Caribik, I.; Baser, K.; Özel, H.; Ergun, B.; Wagner, W. Immunologically Active Polysaccharides from the Aqueous Extract of Nerium Oleander. Planta Med. 1990, 56, 668. [Google Scholar]
- Swanepoel, Marc. Sutherlandia OPC Website. Available online: http://www.sutherlandiaopc.com/ (accessed on 16 March 2011).
- Harguindey, S.; Orive, G.; Luis Pedraz, J.; Paradiso, A.; Reshkin, S.J. The role of pH dynamics and the Na+/H+ antiporter in the etiopathogenesis and treatment of cancer. Two faces of the same coin--one single nature. Biochim. Biophys. Acta 2005, 1756, 1–24. [Google Scholar]
- Warburg, O. The Prime Cause and Prevention of Cancer—Part 1 with two prefaces on prevention, Revised lecture at the meeting of the Nobel-Laureates, Lindau, Lake Constance, Germany, 30 June 1966.
- Warburg, O. On the origin of cancer cells. Science 1956, 123, 309–314. [Google Scholar]
- Isidoro, A.; Casado, E.; Redondo, A.; Acebo, P.; Espinosa, E.; Alonso, A.M.; Cejas, P.; Hardisson, D.; Fresno Vara, J.A.; Belda-Iniesta, C.; González-Barón, M.; Cuezva, J.M. Breast Carcinomas Fulfill the WARBURG Hypothesis and Provide Metabolic Markers of Cancer Prognosis. Carcinogenesis 2005, 26, 2095–2104. [Google Scholar]
- Borzillo, G.V. Akt and emerging models for tumor cell energetics. Drug Discov. Today Therap. Strateg. 2005, 2, 331–336. [Google Scholar]
- Pedersen, P.L. The cancer cell's “power plants” as promising therapeutic targets: An overview. J. Bioenerg. Biomembr. 2007, 39, 1–12. [Google Scholar]
- Robey, I.F.; Baggett, B.; Kirkpatrick, N.; Roe, D.; Dosescu, J.; Sloane, B.; Hashim, A.; Morse, D.; Raghunand, N.; Gatenby, R.; Gillies, R. Bicarbonate increases tumor pH and inhibits spontaneous metastases. Cancer Res. 2009, 69, 2260–2268. [Google Scholar]
- Sartori, H.E. Cesium Therapy in Cancer Patients. Pharmacol. Biochem. Be. 1984, 21 (Suppl. 1), 11–13. [Google Scholar]
- Peskin, B.S.; Carter, M.J. Chronic cellular hypoxia as the prime cause of cancer: what is the de-oxygenating role of adulterated and improper ratios of polyunsaturated fatty acids when incorporated into cell membranes? Med. Hypo. 2008, 70, 298–304. [Google Scholar]
- Schmitz, G.; Ecker, J. The opposing effects of n-3 and n-6 fatty acids. Prog. Lipid Res. 2008, 47, 147–155. [Google Scholar]
- Ghosh-Choudhury, T.; Mandal, C.; Woodruff, K; St Clair, P; Fernandes, G; Choudhury, G.; Ghosh-Choudhury, N. Fish oil targets PTEN to regulate NFkappaB for downregulation of anti-apoptotic genes in breast tumor growth. Breast Cancer Res. Treat. 2009, 118, 213–228. [Google Scholar]
- Musiek, E.; Brooks, J.; Joo, M.; Brunoldi, E.; Porta, A.; Zanoni, G.; Vidari, G.; Blackwell, T.; Montine, T.; Milne, G.; McLaughlin, B.; Morrow, J. Electrophilic cyclopentenone neuroprostanes are anti-inflammatory mediators formed from the peroxidation of the omega-3 polyunsaturated fatty acid docosahexaenoic acid. J. Biol. Chem. 2008, 283, 19927–19935. [Google Scholar]
- Berquin, I.M.; Edwards, I.; Chen, Y. Multi-targeted therapy of cancer by omega-3 fatty acids. Cancer Lett. 2008, 269, 363–377. [Google Scholar]
- Manna, S.; Chakraborty, T.; Ghosh, B.; Chatterjee, M.; Panda, A.; Srivastava, S.; Rana, A.; Chatterjee, M. Dietary fish oil associated with increased apoptosis and modulated expression of Bax and Bcl-2 during 7,12-dimethylbenz(α)anthracene-induced mammary carcinogenesis in rats. Prostag. Leukotr. Ess. 2008, 79, 5–14. [Google Scholar]
- Bougnoux, P.; Germain, E.; Chajès, V.; Hubert, B.; Lhuillery, C.; Le Floch, O.; Body, G.; Calais, G. Cytotoxic drugs efficacy correlates with adipose tissue docosahexaenoic acid level in locally advanced breast carcinoma. Br. J. Cancer 1999, 79, 1765–1769. [Google Scholar]
- Farooqui, A.A.; Ong, W.Y.; Horrocks, L.A.; Chen, P.; Farooqui, T. Comparison of biochemical effects of statins and fish oil in brain: the battle of the titans. Brain Res. Rev. 2007, 56, 443–471, text section 8.4. [Google Scholar]
- Budwig, J. Öl-Eiweiss-Kost, 8th ed.; Sensei Verlag: Kernen, Germany, 2007. [Google Scholar]
- Anonymous. A Tape Transcription by Clifford Beckwith (Budwig diet & advanced prostate cancer). Available online: http://www.whale.to/a/beckwith.html (accessed on 28 February 2011).
- Bonnet, S.; Archer, S.L.; Allalunis-Turner, J.; Haromy, A.; Beaulieu, C.; Thompson, R.; Lee, C.T.; Lopaschuk, G.D.; Puttagunta, L.; Harry, G.; Hashimoto, K.; Porter, C.J.; Andrade, M.A.; Thebaud, B.; Michelakis, E.D. A mitochondria-K+ channel axis is suppressed in cancer and its normalization promotes apoptosis and inhibits cancer growth. Cancer Cell 2007, 11, 37–51. [Google Scholar]
- Sun, R.C.; Fadia, M.; Dahlstrom, J.E.; Parish, C.R.; Board, P.G.; Blackburn, A.C. Reversal of the glycolytic phenotype by dichloroacetate inhibits metastatic breast cancer cell growth in vitro and in vivo. Breast Cancer Res. Treat. 2010, 120, 253–260. [Google Scholar]
- Xu, R.; Pelicano, H.; Zhou, Y.; Carew, J.S.; Feng, L.; Bhalla, K.N.; Keating, M.J.; Huang, P. Inhibition of glycolysis in cancer cells: a novel strategy to overcome drug resistance associated with mitochondrial respiratory defect and hypoxia. Cancer Res. 2005, 65, 613–621. [Google Scholar]
- Anonymous. Updating you on DCA and cancer. Available online: http://www.thedcasite.com/and references cited therein (accessed on 28 February 2011).
- Lockwood, K.; Moesgaard, S.; Folkers, K. Partial and complete regression of breast cancer in patients in relation to dosage of coenzyme Q10. Biochem. Biophys. Res. Commun. 1994, 199, 1504–1508. [Google Scholar]
- Lockwood, K.; Moesgaard, S.; Yamamoto, T.; Folkers, K. Progress on therapy of breast cancer with vitamin Q10 and the regression of metastases. Biochem. Biophys. Res. Commun. 1995, 212, 172–177. [Google Scholar]
- Folkers, K.; Brown, R.; Judy, W.V.; Morita, M. Survival of cancer patients on therapy with coenzyme Q10. Biochem. Biophys. Res. Commun. 1993, 192, 241–245. [Google Scholar]
- Perumal, S.S.; Shanti, P.; Sachdanandam, P. Augmented efficacy of tamoxifen in rat breast tumorigenesis when gavaged along with riboflavin, niacin, and CoQ10: effects on lipid peroxidation and antioxidants in mitochondria. Chem. Biol. Interact. 2005, 152, 49–58. [Google Scholar]
- Premkumar, V.G.; Vuvaraj, S.; Sathish, S.; Shanti, P.; Sachdanandam, P. Anti-angiogenic potential of Coenzyme Q10, riboflavin and niacin in breast cancer patients undergoing tamoxifen therapy. Vascul. Pharmacol. 2008, 48, 191–201. [Google Scholar]
- Premkumar, V.G.; Yuvaraj, S.; Vijayasarathy, K.; Gangadaran, S.G.; Sachdanandam, P. Effect of coenzyme Q10, riboflavin and niacin on serum CEA and CA 15-3 levels in breast cancer patients undergoing tamoxifen therapy. Biol. Pharm. Bull. 2007, 30, 367–370. [Google Scholar]
- Muehlenweg, B.; Sperl, S.; Magdolen, V.; Schmitt, M.; Harbeck, N. Interference with the urokinase plasminogen activator system: a promising therapy concept for solid tumours. Expert Opin. Biol. Ther. 2001, 1, 683–691. [Google Scholar]
- Diehl, I.J. Antitumour effects of bisphosphonates: First evidence and possible mechanisms. Drugs 2000, 59, 391–399. [Google Scholar]
- Bauss, F.; Bergstrom, B. Preclinical and clinical efficacy of the bisphosphonate ibandronate in cancer treatment. Curr. Clin. Pharmacol. 2008, 3, 1–10. [Google Scholar]
- Clézardin, P.; Ebetino, F.H.; Fournier, P.G. Bisphosphonates and cancer-induced bone disease: Beyond their antiresorptive activity. Cancer Res. 2005, 65, 4971–4974. [Google Scholar]
- Kawasaki, B.T.; Hurt, E.M.; Mistree, T.; Farrar, W.L. Targeting cancer stem cells with phytochemicals. Mol. Interv. 2008, 8, 174–184. [Google Scholar]
- Sethi, G.; Sung, B.; Aggarwal, B.B. Nuclear factor-kappaB activation: From bench to bedside. Exp. Biol. Med. 2008, 233, 21–31. [Google Scholar]
- Aggarwal, B.B.; Vijayalekshmi, R.V.; Sung, B. Targeting inflammatory pathways for prevention and therapy of cancer: short-term friend, long-term foe. Clin. Cancer Res. 2009, 15, 425–430. [Google Scholar]
- Zhou, Y.; Eppenberger-Castori, S.; Marx, C.; Yau, C.; Scott, G.K.; Eppenberger, U.; Benz, C.C. Activation of nuclear factor-κB (NFκB) identifies a high-risk subset of hormone-dependent breast cancers. Int. J. Biochem. Cell Biol. 2005, 37, 1130–1144. [Google Scholar]
- Takada, Y.; Ichikawa, H.; Badmaev, V.; Aggarwal, B.B. Acetyl-11-keto-beta-boswellic acid potentiates apoptosis, inhibits invasion, and abolishes osteoclastogenesis by suppressing NF-kappa B and NF-kappa B-regulated gene expression. J. Immunol. 2006, 176, 3127–3140. [Google Scholar]
- Safayhi, H.; Mack, T.; Sabieraj, J.; Anazodo, M.I.; Subramanian, L.R.; Ammon, H.P. Boswellic acids: novel, specific, nonredox inhibitors of 5-lipoxygenase. J. Pharmacol. Exp. Therap. 1992, 261, 1143–1146. [Google Scholar]
- Zhou, J.; Zhang, H.; Gu, P.; Bai, J.; Margolick, J.B.; Zhang, Y. NF-kappaB pathway inhibitors preferentially inhibit breast cancer stem-like cells. Breast Cancer Res. Treat. 2008, 111, 419–427. [Google Scholar]
- Gelmon, K.; Chan, A.; Harbeck, N. The Role of Capecitabine in First-Line Treatment for Patients with Metastatic Breast Cancer. Oncologist 2006, 11, 42–51. [Google Scholar]
- Arpino, G.; Weiss, H.; Lee, A.V.; Schiff, R.; De Placido, S; Osborne, C.K.; Elledge, R.M. Estrogen receptor-positive, progesterone receptor-negative breast cancer: association with growth factor receptor expression and tamoxifen resistance. J. Natl. Cancer Inst. 2005, 97, 1254–1261. [Google Scholar]
- Loi, S. Molecular analysis of hormone receptor positive (luminal) breast cancers: What have we learnt? Eur. J. Cancer 2008, 44, 2813–2818. [Google Scholar]
- Wei, B.; Wang, J.; Bourne, P.; Yang, Q.; Hicks, D; Bu, H.; Tang, P. Bone metastasis is strongly associated with estrogen receptor-positive/progesterone receptor-negative breast carcinomas. Hum. Pathol. 2008, 39, 1809–1815. [Google Scholar]
- Nakshatri, H.; Bhat-Nakshatri, P.; Martin, D.A.; Goulet, R.J., Jr.; Sledge, G.W., Jr. Constitutive activation of NF-kappaB during progression of breast cancer to hormone-independent growth. Mol. Cell. Biol. 1997, 17, 3629–3639. [Google Scholar]
© 2011 by the authors; licensee MDPI, Basel, Switzerland. This article is an open access article distributed under the terms and conditions of the Creative Commons Attribution license (http://creativecommons.org/licenses/by/3.0/).
Share and Cite
Meiners, C. Clinical Response of Metastatic Breast Cancer to Multi-targeted Therapeutic Approach: A Single Case Report. Cancers 2011, 3, 1454-1466. https://doi.org/10.3390/cancers3011454
Meiners C. Clinical Response of Metastatic Breast Cancer to Multi-targeted Therapeutic Approach: A Single Case Report. Cancers. 2011; 3(1):1454-1466. https://doi.org/10.3390/cancers3011454
Chicago/Turabian StyleMeiners, Christian. 2011. "Clinical Response of Metastatic Breast Cancer to Multi-targeted Therapeutic Approach: A Single Case Report" Cancers 3, no. 1: 1454-1466. https://doi.org/10.3390/cancers3011454
APA StyleMeiners, C. (2011). Clinical Response of Metastatic Breast Cancer to Multi-targeted Therapeutic Approach: A Single Case Report. Cancers, 3(1), 1454-1466. https://doi.org/10.3390/cancers3011454
