Number of Axillary Lymph Node Metastases Determined by Preoperative Ultrasound is Related to Prognosis in Patients with Breast Cancer
Abstract
:1. Introduction
2. Results and Discussion
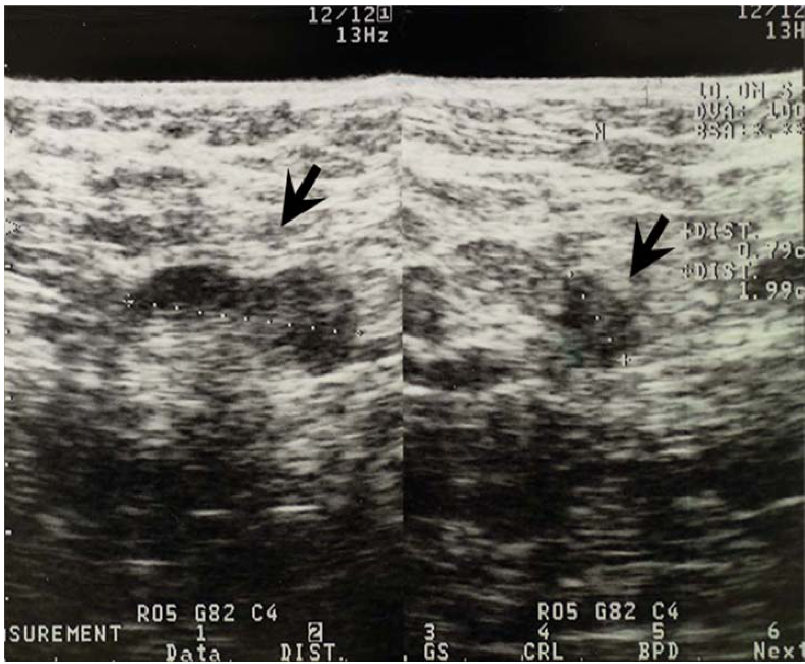
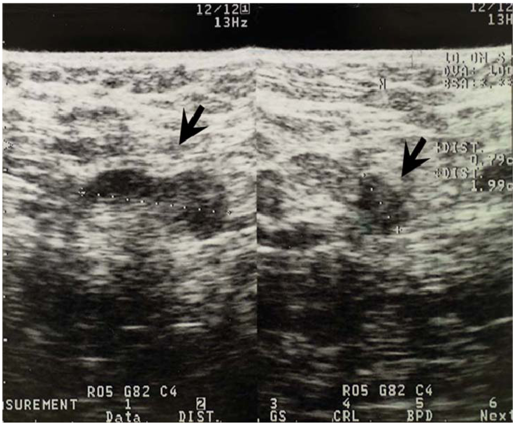
2.1. Lymph Node Metastasis
| US diagnosis | Histological Diagnosis | Total | |
|---|---|---|---|
| Positive Nodes | Negative Nodes | ||
| Positive | 98 | 34 | 132 |
| Negative | 43 | 205 | 248 |
| Total | 141 | 239 | 380 |

2.2. Subdivision of the Number of Metastatic Nodes
| No. of Metastatic Nodes on Histological Diagnosis | Total No. of axilla | |||||
|---|---|---|---|---|---|---|
| 0 | 1–3 | 4–9 | 10+ | |||
| No. of Metastatic Nodes on US Diagnosis | 0 | 205 | 33 | 7 | 3 | 28 |
| 1–3 | 28 | 38 | 6 | 5 | 77 | |
| 4–9 | 5 | 3 | 14 | 19 | 41 | |
| 10+ | 1 | 0 | 1 | 12 | 14 | |
| Total No. of axilla | 239 | 74 | 28 | 39 | 380 | |
2.3. Impact of Prognosis


2.4. Discussion
3. Experimental Section
3.1. Patients and Methods
3.2. Ultrasonographic Examination and Criteria for Axillary node Evaluation



3.3. Statistical Analysis
4. Conclusions
References
- Krag, D.; Weaver, D.; Ashikaga, T.; Moffat, F.; Klimberg, S.; Shriver, C.; Feldman, S.; Kusminsky, R.; Gadd, M.; Kuhn, J. The sentinel node in breast canter-A multicenter validation study. N. Engl. J. Med. 1998, 339, 941–946. [Google Scholar] [CrossRef]
- Veronesi, U.; Paganelli, G.; Viale, G.; Luini, A.; Zurrida, S.; Galimberti, V.; Intra, M.; Veronesi, P.; Robertson, C.; Maisonneuve, P. A randomized comparison of sentinel-node biopsy with routine axillary dissection in breast cancer. N. Engl. J. Med. 2003, 349, 546–553. [Google Scholar] [CrossRef]
- Fisher, B.; Bauer, M.; Wickerham, D.L.; Margolese, R.; Poisson, R.; Shibata, H.; Volk, H. Relation of number of positive axillary nodes to the prognosis of patients with primary breast cancer. An MSABP update. Cancer 1983, 52, 1551–1557. [Google Scholar] [CrossRef]
- Goldhirsch, A.; Glick, J.H.; Gelber, R.D.; Coates, A.S.; Thurlimann, B.; Senn, H.J.; Members, P. Meeting highlights: international expert consensus on the primary therapy of early breast cancer. Ann. Oncol. 2005, 16, 1569–1583. [Google Scholar] [CrossRef]
- Sobin, L.H.; Wittwkind, C.H. TNM Classification of Malignant Tumours, 6th edition; John Wiley & Sons: New York, NY, USA, 2002; pp. 31–41. [Google Scholar]
- Wolmark, N; Wang, J.; Mamounas, E.; Bryant, J.; Fisher, B. Preoperative chemotherapy in patients with operable breast cnacer: nine-year results from national surgical adjuvant breast and bowel project B-18. J. Natl. Cancer. Inst. Monographs 2001, 3, 96–102. [Google Scholar]
- Yoshinaka, H.; Nishi, M.; Kajisa, T.; Kuroshima, K.; Morifuji, H. Ultrasonic detection of lymph node metastases in the regional around the celiac axis in esophageal and gastric cancer. J. Clin. Ultrasound 1985, 13, 153–160. [Google Scholar] [CrossRef]
- Natsugoe, S.; Yoshinaka, H.; Shimada, M.; Sakamoto, F.; Morinaga, T.; Nakano, S.; Kusano, C.; Baba, M.; Takao, S.; Aikou, T. Number of lymph node metastases determined by presurgical ultrasound and endoscopic ultrasound is related to prognosis in patients with esophageal carcinoma. Ann. Surg. 2001, 234, 613–618. [Google Scholar] [CrossRef]
- Natsugoe, S.; Yoshinaka, H.; Shimada, M.; Shirao, K.; Nakano, S.; Kusano, C.; Baba, M.; Fukumoto, T.; Takao, S.; Aikou, T. Assessment of cervical lymph node metastasis in esophageal carcinoma using Ultrasonography. Ann. Surg. 1999, 229, 62–66. [Google Scholar] [CrossRef]
- Veronesi, U.; Cascinelli, N.; Bufalino, R.; Morabit, A.; Mreco, M.; Galluzzo, D.; Donne, D.; De Lellis, R.; Piotti, P.; Sacchini, V. Risk of internal mammary lymph node metastases and its relevance of prognosis of breast cancer patients. Ann. Surg. 1983, 198, 681–684. [Google Scholar] [CrossRef]
- Kjaergaard, J.; Blichert-Toft, M.; Anderson, J.A.; Rank, F.; Pedersen, B.V. Probability of false negative nodal staging in conjuction with partial axillary dissection in breast cancer. Br. J. Surg. 1985, 72, 365–367. [Google Scholar] [CrossRef]
- Graversen, H.P.; Blichert-Toft, M.; Andersen, J.A.; Zedeler, K. Breast cancer: risk of axillary recurrence in node-negative patients following partial dissection of the axilla. Eur. J. Surg. Oncol. 1988, 14, 407–412. [Google Scholar]
- Du Toit, R.S.; Locker, A.P.; Ellis, I.O.; Elston, C.W.; Blamey, R.W. Evaluation of the prognostic value of triple node biopsy in early breast cancer. Br. J. Surg. 1990, 77, 163–167. [Google Scholar] [CrossRef]
- Forrest, A.P.; Everington, D.; McDonald, C.C.; Steele, R.J.; Chetty, U.; Stewart, H.J. The Edinburgh randomized trial of axillary sampling or clearance after mastectomy. Br. J. Surg. 1995, 82, 1504–1508. [Google Scholar] [CrossRef]
- Ahlgren, J.; Holmberg, L.; Bergh, J.; Liljegren, G. Five-node biopsy of the axilla: an alternative to axillary dissection of level I-II in operable breast cancer. Eur. J. Surg. Oncol. 2002, 28, 97–102. [Google Scholar] [CrossRef]
- Fisher, B.; Jeong, J.H.; Anderson, S.; Bryant, J.; Fisher, E.R.; Wolmark, N. Twenty-five-year follw-up of a randomized trial comparing radical mastectomy, total mastectomy, and total mastectomy followed by irradiation. N. Engl. J. Med. 2000, 34, 567–575. [Google Scholar]
- Guiliano, A.E.; Kirgan, D.M.; Guenther, J.M.; Morton, D.L. Lymphatic mapping and sentinel lymphadenectomy for breast cancer. Ann. Surg. 1997, 220, 391–398. [Google Scholar]
- Fraile, M.; Rull, M.; Julian, F.J.; Fuste, F.; Barnadas, A.; Llatjos, M.; Castella, E.; Gonzalez, J.R.; Vallejos, V.; Alastrue, A.; Broggi, M.A. Sentinel node biopsy as a practical alternative to axillary lymph node dissection in breast cancer patients: an approach to its validity. Ann. Oncol. 2000, 1, 701–705. [Google Scholar]
- Veronesi, U.; Paganelli, G.; Viale, G.; Luini, A.; Zurrida, S.; Galimberti, V.; Intra, M.; Veronessi, P.; Maisonneuve, P; Gatti, G., Mazzarol; De Cicco, C.; Manfredi, G.; Fernandez, J.R. Sentinel-lymph-node biopsy as a staging procedure in breast cancer: update of a randomized controlled study. Lancet Oncol. 2006, 7, 983–990. [Google Scholar] [CrossRef]
- Arima, H.; Natsugoe, S.; Uenosono, Y.; Arigami, T.; Ehi, K.; Yanagita, S.; Higashi, H.; Ishigami, S.; Hokita, S.; Aikou, T. Area of nodal metastasis and radioisotope uptake in sentinel nodes of upper gastrointestinal cancer. J. Surg. Res. 2006, 135, 250–254. [Google Scholar] [CrossRef]
- Herrada, J.; Iyer, R.B.; Atkinson, E.B.; Sneige, N.; Buzdar, A.U.; Hortobagyi, G.N. Relative value of physical examination, mammography, and breast sonography in evaluating the size of the primary tumor and regional lymph node metastases in women receiving neoadjuvant chemotherapy for focally advanced breast carcinoma. Clin. Cancer Res. 1997, 3, 1565–1569. [Google Scholar]
- Smith, J.A., III; Gamez-Araujo, J.J.; Gallager, H.S.; White, E.C.; McBride, C.M. Carcinoma of the breast: analysis of total lymph node involvement versus level of metastases. Cancer 1977, 39, 527–532. [Google Scholar] [CrossRef]
- Mittra, I.; Redkar, A.A.; Badwe, R.A. Prognosis of breast cancer: evidence for interaction between c-erbB-2 overexpression and number of inbolbed axillary lymph nodes. J. Srug. Oncol. 1995, 60, 106–111. [Google Scholar] [CrossRef]
- Cascinelli, N.; Greco, M.; Bufalino, R.; Clemente, C.; Gulluzzo, D.; delle Donne, V.; de Lellis, R.; Sacchini, V.; Veronesi, U. Prognosis of breast cancer with axillary node metastases after surgical treatment only. Eur. J. Cancer Clin. Oncol. 1987, 23, 795–799. [Google Scholar] [CrossRef]
- Vlastos, G.; Fornage, B.D.; Mirza, N.Q.; Bedi, D.; Lenert, J.T.; Winchester, D.J.; Tolley, S.M.; Ames, F.C.; Ross, M.I.; Feig, B.W. The correlation of axillary Ultrasonography with histologic breast cancer downstaging after induction chemotherapy. Am. J. Surg. 2000, 179, 446–452. [Google Scholar] [CrossRef]
- Singletary, S.E.; Allred, C.; Ashley, P.; Bassett, L.W.; Berry, D.; Bland, K.I.; Birgen, P.I.; Clark, G.; Edge, S.B.; Hayes, D.F. Revision of the American Joint Committee on Cancer staging system for breast cancer. J. Clin. Oncol. 2002, 20, 3628–3636. [Google Scholar] [CrossRef]
© 2010 by the authors; licensee licensee Molecular Diversity Preservation International, Basel, Switzerland. This article is an open access article distributed under the terms and conditions of the Creative Commons Attribution license (http://creativecommons.org/licenses/by/3.0/).
Share and Cite
Kijima, Y.; Yoshinaka, H.; Hirata, M.; Mizoguchi, T.; Ishigami, S.; Nakajo, A.; Arima, H.; Ueno, S.; Natsugoe, S. Number of Axillary Lymph Node Metastases Determined by Preoperative Ultrasound is Related to Prognosis in Patients with Breast Cancer. Cancers 2010, 2, 20-31. https://doi.org/10.3390/cancers2010020
Kijima Y, Yoshinaka H, Hirata M, Mizoguchi T, Ishigami S, Nakajo A, Arima H, Ueno S, Natsugoe S. Number of Axillary Lymph Node Metastases Determined by Preoperative Ultrasound is Related to Prognosis in Patients with Breast Cancer. Cancers. 2010; 2(1):20-31. https://doi.org/10.3390/cancers2010020
Chicago/Turabian StyleKijima, Yuko, Heiji Yoshinaka, Munetsugu Hirata, Tadao Mizoguchi, Sumiya Ishigami, Akihiro Nakajo, Hideo Arima, Shinichi Ueno, and Shoji Natsugoe. 2010. "Number of Axillary Lymph Node Metastases Determined by Preoperative Ultrasound is Related to Prognosis in Patients with Breast Cancer" Cancers 2, no. 1: 20-31. https://doi.org/10.3390/cancers2010020
APA StyleKijima, Y., Yoshinaka, H., Hirata, M., Mizoguchi, T., Ishigami, S., Nakajo, A., Arima, H., Ueno, S., & Natsugoe, S. (2010). Number of Axillary Lymph Node Metastases Determined by Preoperative Ultrasound is Related to Prognosis in Patients with Breast Cancer. Cancers, 2(1), 20-31. https://doi.org/10.3390/cancers2010020
