Rapid Assessment of Tumor Thickness in Cutaneous Squamous Cell Carcinoma Using Ex Vivo Confocal Microscopy
Simple Summary
Abstract
1. Introduction
2. Materials and Methods
2.1. Study Participants
2.2. Study Design and Ex Vivo Confocal Laser Scanning Microscopy
2.3. Statistical Analysis
3. Results
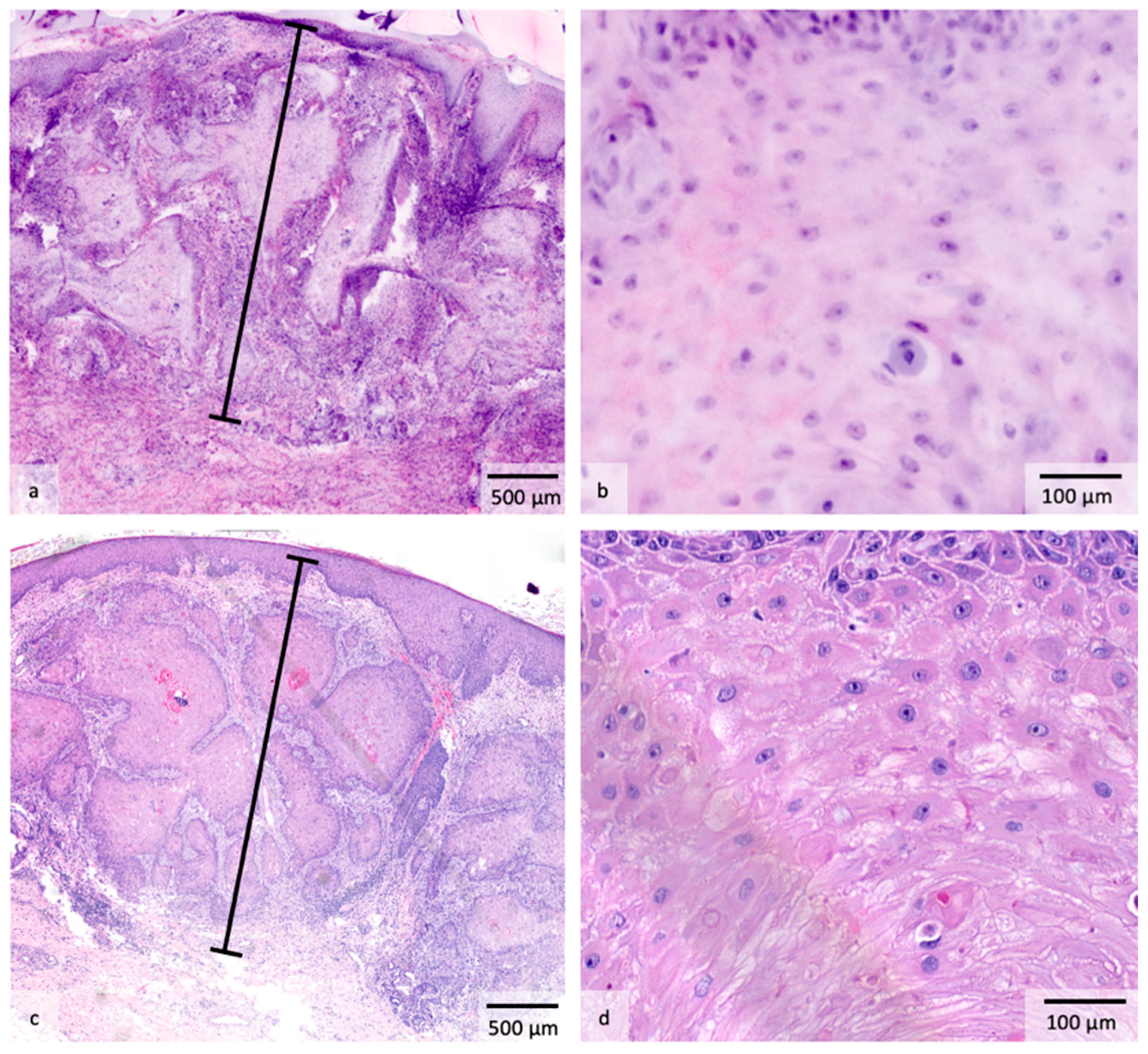
4. Discussion
5. Conclusions
Author Contributions
Funding
Institutional Review Board Statement
Informed Consent Statement
Data Availability Statement
Acknowledgments
Conflicts of Interest
Abbreviations
| EVCM | Ex vivo confocal laser scanning microscopy |
| NMSC | Non-melanocytic skin cancer |
| cSCC | Cutaneous squamous cell carcinoma |
| BCC | Basal cell carcinoma |
| CTT | Confocal tumor thickness |
| HTT | Histopathological tumor thickness |
| H&E | Hematoxylin and Eosin |
| AO | Acridine Orange |
| IQR | Interquartile range |
References
- Bray, F.; Laversanne, M.; Sung, H.; Ferlay, J.; Siegel, R.L.; Soerjomataram, I.; Jemal, A. Global cancer statistics 2022: GLOBOCAN estimates of incidence and mortality worldwide for 36 cancers in 185 countries. CA Cancer J. Clin. 2024, 74, 229–263. [Google Scholar] [CrossRef]
- Rudolph, C.; Schnoor, M.; Eisemann, N.; Katalinic, A. Incidence trends of nonmelanoma skin cancer in Germany from 1998 to 2010. J. Dtsch. Dermatol. Ges. 2015, 13, 788–797. [Google Scholar] [CrossRef]
- Deutsches Zentrum für Krebsregisterdaten am Robert Koch-Institut. Non-Melanoma Skin Cancer. Available online: https://www.krebsdaten.de/Krebs/EN/Content/Cancer_sites/Non-melanoma_skin_cancer/non-melanoma_skin_cancer_node.html (accessed on 8 June 2025).
- Garbe, C.; Keim, U.; Gandini, S.; Amaral, T.; Katalinic, A.; Hollezcek, B.; Martus, P.; Flatz, L.; Leiter, U.; Whiteman, D. Epidemiology of cutaneous melanoma and keratinocyte cancer in white populations 1943–2036. Eur. J. Cancer 2021, 152, 18–25. [Google Scholar] [CrossRef]
- Olsen, C.M.; Pandeya, N.; Green, A.C.; Ragaini, B.S.; Venn, A.J.; Whiteman, D.C. Keratinocyte cancer incidence in Australia: A review of population-based incidence trends and estimates of lifetime risk. Public Health Res. Pract. 2022, 32, e3212203. [Google Scholar] [CrossRef] [PubMed]
- Statistisches Bundesamt. Zahl der Stationären Hautkrebsbehandlungen Binnen 20 Jahren um 87.5% Gestiegen. Available online: https://www.destatis.de/DE/Presse/Pressemitteilungen/Zahl-der-Woche/2025/PD25_20_p002.html (accessed on 8 June 2025).
- Kis, A.; Augustin, M.; Augustin, J. Regional healthcare delivery and demographic change in Germany—Scenarios for dermatological care in 2035. J. Dtsch. Dermatol. Ges. 2017, 15, 1199–1209. [Google Scholar] [CrossRef]
- Malvehy, J.; Perez-Anker, J.; Toll, A.; Pigem, R.; Garcia, A.; Alos, L.L.; Puig, S. Ex vivo confocal microscopy: Revolution in fast pathology in dermatology. Br. J. Dermatol. 2020, 183, 1011–1025. [Google Scholar] [CrossRef]
- Grupp, M.; Illes, M.; Mentzel, J.; Simon, J.C.; Paasch, U.; Grunewald, S. Routine application of ex vivo confocal laser scanning microscopy with digital staining for examination of surgical margins in basal cell carcinomas. J. Dtsch. Dermatol. Ges. 2021, 19, 685–692. [Google Scholar] [CrossRef] [PubMed]
- Brantsch, K.D.; Meisner, C.; Schonfisch, B.; Trilling, B.; Wehner-Caroli, J.; Rocken, M.; Breuninger, H. Analysis of risk factors determining prognosis of cutaneous squamous-cell carcinoma: A prospective study. Lancet Oncol. 2008, 9, 713–720. [Google Scholar] [CrossRef]
- Gellrich, F.F.; Laske, J.; Steininger, J.; Eberl, N.; Meier, F.; Beissert, S.; Hobelsberger, S. Ex Vivo Confocal Microscopy Speeds up Surgical Margin Control of Re-Excised Skin Tumors and Greatly Shortens In-Hospital Stay. Cancers 2024, 16, 3209. [Google Scholar] [CrossRef] [PubMed]
- Vladimirova, G.; Ruini, C.; Kapp, F.; Kendziora, B.; Ergun, E.Z.; Bagci, I.S.; Krammer, S.; Jastaneyah, J.; Sattler, E.C.; Flaig, M.J.; et al. Ex vivo confocal laser scanning microscopy: A diagnostic technique for easy real-time evaluation of benign and malignant skin tumours. J. Biophotonics 2022, 15, e202100372. [Google Scholar] [CrossRef] [PubMed]
- Hartmann, D.; Krammer, S.; Ruini, C.; Ruzicka, T.; von Braunmuhl, T. Correlation of histological and ex-vivo confocal tumor thickness in malignant melanoma. Lasers Med. Sci. 2016, 31, 921–927. [Google Scholar] [CrossRef]
- Nackenhorst, M.C.; Hummel, A.; Koeller, M.C.; Gollackner, B.; Regele, H. Fast Green FCF Improves Depiction of Extracellular Matrix in Ex Vivo Fluorescence Confocal Microscopy. Life 2024, 14, 1240. [Google Scholar] [CrossRef]
- Hartmann, D.; Swarlik, A.; Buttgereit, L.; Starr, L.; Kerl-French, K.; Flaig, M.; Sattler, E.C.; French, L.E.; Deussing, M. Precision at the Cutting Edge: Ex Vivo Confocal Microscopy for Perioperative Tumour Thickness Assessment in Melanoma. Exp. Dermatol. 2025, 34, e70136. [Google Scholar] [CrossRef]
- Grove, G.L.; Christensen, R.L.; Haedersdal, M.; Ortner, V.K. Fractional radiofrequency-assisted delivery of fluorescent tracer dyes in ex vivo and in vivo skin: A proof-of-concept investigation using confocal microscopy. Skin Res. Technol. 2023, 29, e13253. [Google Scholar] [CrossRef] [PubMed]
- Razi, S.; Ouellette, S.; Khan, S.; Oh, K.S.; Truong, T.M.; Rao, B.K. Role of VivaScope 2500 ex vivo confocal microscopy in skin pathology: Advantages, limitations, and future prospects. Skin Res. Technol. 2023, 29, e13388. [Google Scholar] [CrossRef] [PubMed]
- Gareau, D.S. Feasibility of digitally stained multimodal confocal mosaics to simulate histopathology. J. Biomed. Opt. 2009, 14, 034050. [Google Scholar] [CrossRef]
- Farberg, A.S.; Fitzgerald, A.L.; Ibrahim, S.F.; Tolkachjov, S.N.; Soleymani, T.; Douglas, L.M.; Kurley, S.J.; Arron, S.T. Current Methods and Caveats to Risk Factor Assessment in Cutaneous Squamous Cell Carcinoma (cSCC): A Narrative Review. Dermatol. Ther. 2022, 12, 267–284. [Google Scholar] [CrossRef]
- S3-Leitlinie Aktinische Keratose und Plattenepithelkarzinom der Haut. In Leitlinienprogramm Onkologie (Deutsche Krebsgesellschaft; Deutsche Krebshilfe; AWMF), Langversion 1.1 ed.; Leitlinienprogramm Onkologie: Berlin, Germany, 2020.
- Hartmann, D.; Krammer, S.; Bachmann, M.R.; Mathemeier, L.; Ruzicka, T.; Bagci, I.S.; von Braunmuhl, T. Ex vivo confocal microscopy features of cutaneous squamous cell carcinoma. J. Biophotonics 2018, 11, e201700318. [Google Scholar] [CrossRef]
- Negrutiu, M.; Danescu, S.; Focsan, M.; Vesa, S.C.; Cadar, A.; Vaida, S.; Oiegar, A.; Baican, A. Enhancing Diagnosis in Squamous Cell Carcinoma: Non-Invasive Imaging and Multimodal Approach. Diagnostics 2025, 15, 1018. [Google Scholar] [CrossRef] [PubMed]
- Haisma, M.S.; Plaat, B.E.C.; Bijl, H.P.; Roodenburg, J.L.N.; Diercks, G.F.H.; Romeijn, T.R.; Terra, J.B. Multivariate analysis of potential risk factors for lymph node metastasis in patients with cutaneous squamous cell carcinoma of the head and neck. J. Am. Acad. Dermatol. 2016, 75, 722–730. [Google Scholar] [CrossRef]
- Roozeboom, M.H.; Lohman, B.G.; Westers-Attema, A.; Nelemans, P.J.; Botterweck, A.A.; van Marion, A.M.; Kelleners-Smeets, N.W. Clinical and histological prognostic factors for local recurrence and metastasis of cutaneous squamous cell carcinoma: Analysis of a defined population. Acta Derm. Venereol. 2013, 93, 417–421. [Google Scholar] [CrossRef]
- Wermker, K.; Kluwig, J.; Schipmann, S.; Klein, M.; Schulze, H.J.; Hallermann, C. Prediction score for lymph node metastasis from cutaneous squamous cell carcinoma of the external ear. Eur. J. Surg. Oncol. 2015, 41, 128–135. [Google Scholar] [CrossRef]
- Cheng, J.; Yan, S. Prognostic variables in high-risk cutaneous squamous cell carcinoma: A review. J. Cutan. Pathol. 2016, 43, 994–1004. [Google Scholar] [CrossRef] [PubMed]
- Breuninger, H.; Black, B.; Rassner, G. Microstaging of squamous cell carcinomas. Am. J. Clin. Pathol. 1990, 94, 624–627. [Google Scholar] [CrossRef] [PubMed]
- Thompson, A.K.; Kelley, B.F.; Prokop, L.J.; Murad, M.H.; Baum, C.L. Risk Factors for Cutaneous Squamous Cell Carcinoma Recurrence, Metastasis, and Disease-Specific Death: A Systematic Review and Meta-analysis. JAMA Dermatol. 2016, 152, 419–428. [Google Scholar] [CrossRef] [PubMed]
- Balasescu, E.; Gheorghe, A.C.; Moroianu, A.; Turcu, G.; Brinzea, A.; Antohe, M.; Hodorogea, A.; Manea, L.; Balaban, M.; Andrei, R.; et al. Role of immunohistochemistry in the diagnosis and staging of cutaneous squamous-cell carcinomas (Review). Exp. Ther. Med. 2022, 23, 383. [Google Scholar] [CrossRef]


| Patient Characteristics | |
|---|---|
| Patients (n) | 82 |
| Age, mean (years) | 78.7 |
| Age, range (years) | 60–97 |
| Male patients (%) | 76.8 |
| Female patients (%) | 23.2 |
| Tumor characteristics | |
| Tumor localization | |
| Lips (n) | 2 |
| Ears (n) | 10 |
| Head and neck (excluding lips and ears) (n) | 40 |
| Extremities (n) | 19 |
| Trunk (n) | 11 |
| Tumor thickness | |
| 0–2 mm (n) | 34 |
| 2.1–6 mm (n) | 47 |
| >6 mm (n) | 1 |
| Histopathological grade (degree of differentiation) | |
| Well differentiated (G1) (%) | 89 |
| Moderately differentiated (G2) (%) | 10 |
| Poorly differentiated (G3) (%) | 1 |
| Measurements | |
| HTT, mean (mm) | 2.89 |
| HTT, standard deviation (mm) | 1.52 |
| HTT, coefficient of variation (%) | 53.63 |
| CTT, mean (mm) | 2.96 |
| CTT, standard deviation (mm) | 1.48 |
| CTT, coefficient of variation (%) | 50.05 |
Disclaimer/Publisher’s Note: The statements, opinions and data contained in all publications are solely those of the individual author(s) and contributor(s) and not of MDPI and/or the editor(s). MDPI and/or the editor(s) disclaim responsibility for any injury to people or property resulting from any ideas, methods, instructions or products referred to in the content. |
© 2026 by the authors. Licensee MDPI, Basel, Switzerland. This article is an open access article distributed under the terms and conditions of the Creative Commons Attribution (CC BY) license.
Share and Cite
Hartmann, D.; Wex, K.; Braun, A.; Pabst, P.; Swarlik, A.; Buttgereit, L.; Stärr, L.; Ohlmann, A.; Sattler, E.C.; Deußing, M. Rapid Assessment of Tumor Thickness in Cutaneous Squamous Cell Carcinoma Using Ex Vivo Confocal Microscopy. Cancers 2026, 18, 228. https://doi.org/10.3390/cancers18020228
Hartmann D, Wex K, Braun A, Pabst P, Swarlik A, Buttgereit L, Stärr L, Ohlmann A, Sattler EC, Deußing M. Rapid Assessment of Tumor Thickness in Cutaneous Squamous Cell Carcinoma Using Ex Vivo Confocal Microscopy. Cancers. 2026; 18(2):228. https://doi.org/10.3390/cancers18020228
Chicago/Turabian StyleHartmann, Daniela, Katharina Wex, Aimée Braun, Paulina Pabst, Alisa Swarlik, Lisa Buttgereit, Lara Stärr, Andreas Ohlmann, Elke C. Sattler, and Maximilian Deußing. 2026. "Rapid Assessment of Tumor Thickness in Cutaneous Squamous Cell Carcinoma Using Ex Vivo Confocal Microscopy" Cancers 18, no. 2: 228. https://doi.org/10.3390/cancers18020228
APA StyleHartmann, D., Wex, K., Braun, A., Pabst, P., Swarlik, A., Buttgereit, L., Stärr, L., Ohlmann, A., Sattler, E. C., & Deußing, M. (2026). Rapid Assessment of Tumor Thickness in Cutaneous Squamous Cell Carcinoma Using Ex Vivo Confocal Microscopy. Cancers, 18(2), 228. https://doi.org/10.3390/cancers18020228

