Exploring MRI and Mammography Lesion Features for Breast Cancer Detection in PTEN Hamartoma Tumor Syndrome
Simple Summary
Abstract
1. Introduction
2. Materials and Methods
3. Results
3.1. Inter-Observer Reliability
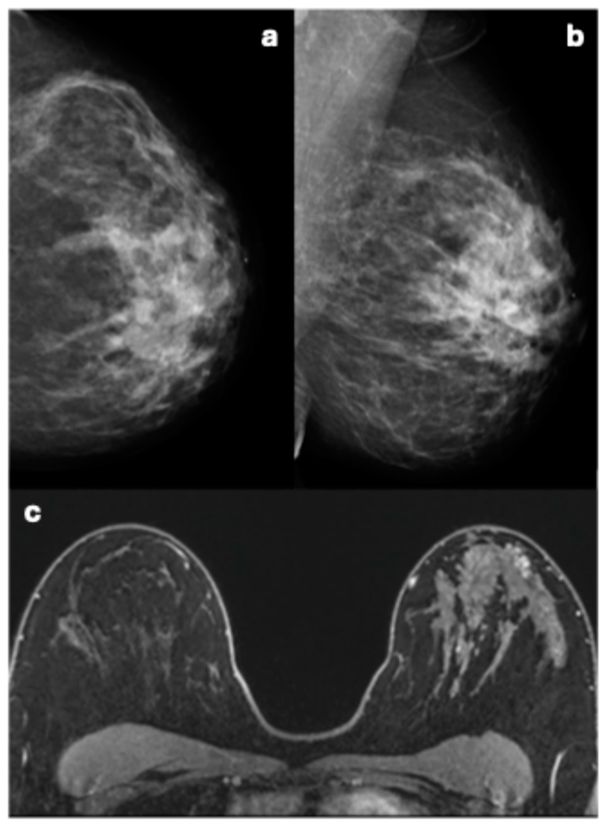
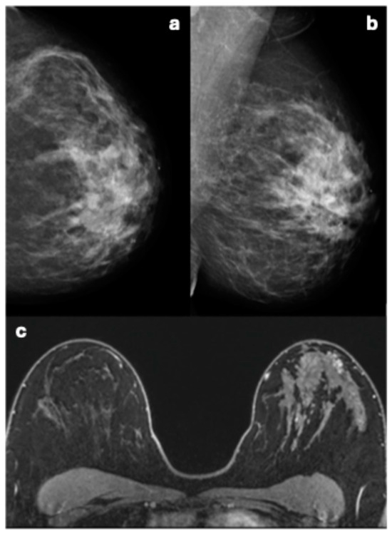
3.2. Magnetic Resonance Imaging Features and Corresponding Pathology Outcome of Breast Cancers
3.3. Mammographic Imaging Features and Corresponding Pathology Outcome of Breast Cancers
3.4. Imaging Features and Corresponding Pathology Outcome of Benign Breast Lesions
4. Discussion
5. Conclusions
Author Contributions
Funding
Institutional Review Board Statement
Informed Consent Statement
Data Availability Statement
Conflicts of Interest
References
- Pilarski, R.; Burt, R.; Kohlman, W.; Pho, L.; Shannon, K.M.; Swisher, E. Cowden syndrome and the PTEN hamartoma tumor syndrome: Systematic review and revised diagnostic criteria. J. Natl. Cancer Inst. 2013, 105, 1607–1616. [Google Scholar] [CrossRef] [PubMed]
- Mester, J.L.; Ghosh, R.; Pesaran, T.; Huether, R.; Karam, R.; Hruska, K.S.; Costa, H.A.; Lachlan, K.; Ngeow, J.; Barnholtz-Sloan, J.; et al. Gene-specific criteria for PTEN variant curation: Recommendations from the ClinGen PTEN Expert Panel. Hum. Mutat. 2018, 39, 1581–1592. [Google Scholar] [CrossRef]
- Pilarski, R. PTEN Hamartoma Tumor Syndrome: A Clinical Overview. Cancers 2019, 11, 844. [Google Scholar] [CrossRef]
- Hendricks, L.A.J.; Hoogerbrugge, N.; Mensenkamp, A.R.; Brunet, J.; Lleuger-Pujol, R.; Høberg-Vetti, H.; Tveit Haavind, M.; Innella, G.; Turchetti, D.; Aretz, S.; et al. Cancer risks by sex and variant type in PTEN hamartoma tumor syndrome. J. Natl. Cancer Inst. 2023, 115, 93–103. [Google Scholar] [CrossRef] [PubMed]
- Nieuwenhuis, M.H.; Kets, C.M.; Murphy-Ryan, M.; Yntema, H.G.; Evans, D.G.; Colas, C.; Møller, P.; Hes, F.J.; Hodgson, S.V.; Olderode-Berends, M.J.W.; et al. Cancer risk and genotype-phenotype correlations in PTEN hamartoma tumor syndrome. Fam. Cancer 2014, 13, 57–63. [Google Scholar] [CrossRef] [PubMed]
- Bubien, V.; Bonnet, F.; Brouste, V.; Hoppe, S.; Barouk-Simonet, E.; David, A.; Edery, P.; Bottani, A.; Layet, V.; Caron, O.; et al. High cumulative risks of cancer in patients with PTEN hamartoma tumour syndrome. J. Med. Genet. 2013, 50, 255–263. [Google Scholar] [CrossRef]
- Tan, M.-H.; Mester, J.L.; Ngeow, J.; Rybicki, L.A.; Orloff, M.S.; Eng, C. Lifetime cancer risks in individuals with germline PTEN mutations. Clin. Cancer Res. 2012, 18, 400–407. [Google Scholar] [CrossRef]
- Smith, R.A.; Saslow, D.; Sawyer, K.A.; Burke, W.; Costanza, M.E.; Evans, W.P., 3rd; Foster, R.S., Jr.; Hendrick, E.; Eyre, H.J.; Sener, S. American Cancer Society guidelines for breast cancer screening: Update 2003. CA Cancer J. Clin. 2003, 53, 141–169. [Google Scholar] [CrossRef]
- Perry, N.; Broeders, M.; de Wolf, C.; Törnberg, S.; Holland, R.; von Karsa, L. European guidelines for quality assurance in breast cancer screening and diagnosis. Fourth edition--summary document. Ann. Oncol. 2008, 19, 614–622. [Google Scholar] [CrossRef]
- Saslow, D.; Boetes, C.; Burke, W.; Harms, S.; Leach, M.O.; Lehman, C.D.; Morris, E.; Pisano, E.; Schnall, M.; Sener, S.; et al. American Cancer Society guidelines for breast screening with MRI as an adjunct to mammography. CA Cancer J. Clin. 2007, 57, 75–89. [Google Scholar] [CrossRef]
- Tischkowitz, M.; Colas, C.; Pouwels, S.; Hoogerbrugge, N. Cancer Surveillance Guideline for individuals with PTEN hamartoma tumour syndrome. Eur. J. Hum. Genet. 2020, 28, 1387–1393. [Google Scholar] [CrossRef]
- Ford, D.; Easton, D.F.; Stratton, M.; Narod, S.; Goldgar, D.; Devilee, P.; Bishop, D.T.; Weber, B.; Lenoir, G.; Chang-Claude, J.; et al. Genetic heterogeneity and penetrance analysis of the BRCA1 and BRCA2 genes in breast cancer families. The Breast Cancer Linkage Consortium. Am. J. Hum. Genet. 1998, 62, 676–689. [Google Scholar] [CrossRef]
- Hoxhaj, A.; Drissen, M.M.C.M.; Vos, J.R.; Bult, P.; Mann, R.M.; Hoogerbrugge, N. The yield and effectiveness of breast cancer surveillance in women with PTEN Hamartoma Tumor Syndrome. Cancer 2022, 128, 2883–2891. [Google Scholar] [CrossRef] [PubMed]
- Chiarelli, A.M.; Blackmore, K.M.; Muradali, D.; Done, S.J.; Majpruz, V.; Weerasinghe, A.; Mirea, L.; Eisen, A.; Rabeneck, L.; Warner, E. Performance Measures of Magnetic Resonance Imaging Plus Mammography in the High Risk Ontario Breast Screening Program. J. Natl. Cancer Inst. 2020, 112, 136–144. [Google Scholar] [CrossRef]
- Bick, U.; Engel, C.; Krug, B.; Heindel, W.; Fallenberg, E.M.; Rhiem, K.; Maintz, D.; Golatta, M.; Speiser, D.; Rjosk-Dendorfer, D.; et al. High-risk breast cancer surveillance with MRI: 10-year experience from the German consortium for hereditary breast and ovarian cancer. Breast Cancer Res. Treat. 2019, 175, 217–228. [Google Scholar] [CrossRef] [PubMed]
- Vreemann, S.; Gubern-Mérida, A.; Schlooz-Vries, M.S.; Bult, P.; van Gils, C.H.; Hoogerbrugge, N.; Karssemeijer, N.; Mann, R.M. Influence of Risk Category and Screening Round on the Performance of an MR Imaging and Mammography Screening Program in Carriers of the BRCA Mutation and Other Women at Increased Risk. Radiology 2018, 286, 443–451. [Google Scholar] [CrossRef] [PubMed]
- Lo, G.; Scaranelo, A.M.; Aboras, H.; Ghai, S.; Kulkarni, S.; Fleming, R.; Bukhanov, K.; Crystal, P. Evaluation of the Utility of Screening Mammography for High-Risk Women Undergoing Screening Breast MR Imaging. Radiology 2017, 285, 36–43. [Google Scholar] [CrossRef]
- Phi, X.-A.; Saadatmand, S.; De Bock, G.H.; Warner, E.; Sardanelli, F.; Leach, M.O.; Riedl, C.C.; Trop, I.; Hooning, M.J.; Mandel, R.; et al. Contribution of mammography to MRI screening in BRCA mutation carriers by BRCA status and age: Individual patient data meta-analysis. Br. J. Cancer 2016, 114, 631–637. [Google Scholar] [CrossRef]
- Veltman, J.; Mann, R.; Kok, T.; Obdeijn, I.M.; Hoogerbrugge, N.; Blickman, J.G.; Boetes, C. Breast tumor characteristics of BRCA1 and BRCA2 gene mutation carriers on MRI. Eur. Radiol. 2008, 18, 931–938. [Google Scholar] [CrossRef]
- Ha, S.M.; Chae, E.Y.; Cha, J.H.; Kim, H.H.; Shin, H.J.; Choi, W.J. Association of BRCA Mutation Types, Imaging Features, and Pathologic Findings in Patients with Breast Cancer with BRCA1 and BRCA2 Mutations. Am. J. Roentgenol. 2017, 209, 920–928. [Google Scholar] [CrossRef]
- Gilbert, F.J.; Warren, R.M.L.; Kwan-Lim, G.; Thompson, D.J.; Eeles, R.A.; Evans, D.G.; Leach, M.O. Cancers in BRCA1 and BRCA2 carriers and in women at high risk for breast cancer: MR imaging and mammographic features. Radiology 2009, 252, 358–368. [Google Scholar] [CrossRef] [PubMed]
- Krammer, J.; Pinker-Domenig, K.; Robson, M.E.; Gönen, M.; Bernard-Davila, B.; Morris, E.A.; Mangino, D.A.; Jochelson, M.S. Breast cancer detection and tumor characteristics in BRCA1 and BRCA2 mutation carriers. Breast Cancer Res. Treat. 2017, 163, 565–571. [Google Scholar] [CrossRef] [PubMed]
- An, Y.Y.; Kim, S.H.; Kang, B.J. Characteristic features and usefulness of MRI in breast cancer in patients under 40 years old: Correlations with conventional imaging and prognostic factors. Breast Cancer 2014, 21, 302–315. [Google Scholar] [CrossRef]
- Bullier, B.; MacGrogan, G.; Bonnefoi, H.; Hurtevent-Labrot, G.; Lhomme, E.; Brouste, V.; Boisserie-Lacroix, M. Imaging features of sporadic breast cancer in women under 40 years old: 97 cases. Eur. Radiol. 2013, 23, 3237–3245. [Google Scholar] [CrossRef]
- Newstead, G.M.; Baute, P.B.; Toth, H.K. Invasive lobular and ductal carcinoma: Mammographic findings and stage at diagnosis. Radiology 1992, 184, 623–627. [Google Scholar] [CrossRef]
- Vos, J.R.; Giepmans, L.; Röhl, C.; Geverink, N.; Hoogerbrugge, N. Boosting care and knowledge about hereditary cancer: European Reference Network on Genetic Tumour Risk Syndromes. Fam. Cancer 2019, 18, 281–284. [Google Scholar] [CrossRef]
- Dutch society of Clinical Genetics (VKGN). Guideline PTEN Hamartoma Tumour Syndrome. Version 1.0; The Netherlands Comprehensive Cancer Organisation: Amsterdam, The Netherlands, 2015. [Google Scholar]
- D’Orsi, C.J.; American College of Radiology. ACR BI-RADS Atlas, Breast Imaging Reporting and Data System, 5th ed.; American College of Radiology: Reston, VA, USA, 2013. [Google Scholar]
- Mann, R.M.; Kuhl, C.K.; Kinkel, K.; Boetes, C. Breast MRI: Guidelines from the European Society of Breast Imaging. Eur. Radiol. 2008, 18, 1307–1318. [Google Scholar] [CrossRef] [PubMed]
- Kuhl, C.K.; Mielcareck, P.; Klaschik, S.; Leutner, C.; Wardelmann, E.; Gieseke, J.; Schild, H.H. Dynamic breast MR imaging: Are signal intensity time course data useful for differential diagnosis of enhancing lesions? Radiology 1999, 211, 101–110. [Google Scholar] [CrossRef]
- RStudio Team. RStudio: Integrated Development for R. RStudio; PBC: Boston, MA, USA, 2020; Available online: http://www.rstudio.com/ (accessed on 30 January 2023).
- Kriege, M.; Brekelmans, C.T.M.; Boetes, C.; Besnard, P.E.; Zonderland, H.M.; Obdeijn, I.M.; Manoliu, R.A.; Kok, T.; Peterse, H.; Tilanus-Linthorst, M.M.A.; et al. Efficacy of MRI and mammography for breast-cancer screening in women with a familial or genetic predisposition. N. Engl. J. Med. 2004, 351, 427–437. [Google Scholar] [CrossRef]
- Warner, E.; Messersmith, H.; Causer, P.; Eisen, A.; Shumak, R.; Plewes, D. Systematic review: Using magnetic resonance imaging to screen women at high risk for breast cancer. Ann. Intern. Med. 2008, 148, 671–679. [Google Scholar] [CrossRef]
- Boyd, N.F.; Guo, H.; Martin, L.J.; Sun, L.; Stone, J.; Fishell, E.; Jong, R.A.; Hislop, G.; Chiarelli, A.; Minkin, S.; et al. Mammographic density and the risk and detection of breast cancer. N. Engl. J. Med. 2007, 356, 227–236. [Google Scholar] [CrossRef] [PubMed]
- Mandelson, M.T.; Oestreicher, N.; Porter, P.L.; White, D.; Finder, C.A.; Taplin, S.H.; White, E. Breast density as a predictor of mammographic detection: Comparison of interval and screen-detected cancers. J. Natl. Cancer Inst. 2000, 92, 1081–1087. [Google Scholar] [CrossRef] [PubMed]
- Redondo, A.; Comas, M.; Macià, F.; Ferrer, F.; Murta-Nascimento, C.; Maristany, M.T.; Molins, E.; Sala, M.; Castells, X. Inter- and intraradiologist variability in the BI-RADS assessment and breast density categories for screening mammograms. Br. J. Radiol. 2012, 85, 1465–1470. [Google Scholar] [CrossRef]
- Gard, C.C.; Aiello Bowles, E.J.; Miglioretti, D.L.; Taplin, S.H.; Rutter, C.M. Misclassification of Breast Imaging Reporting and Data System (BI-RADS) Mammographic Density and Implications for Breast Density Reporting Legislation. Breast J. 2015, 21, 481–489. [Google Scholar] [CrossRef]
- Timmers, J.M.; van Doorne-Nagtegaal, H.J.; Verbeek, A.L.; den Heeten, G.J.; Broeders, M.J. A dedicated BI-RADS training programme: Effect on the inter-observer variation among screening radiologists. Eur. J. Radiol. 2012, 81, 2184–2188. [Google Scholar] [CrossRef] [PubMed]
- Haraldsdóttir, K.H.; Jónsson, Þ.; Halldórsdóttir, A.B.; Tranberg, K.-G.; Ásgeirsson, K.S. Tumor Size of Invasive Breast Cancer on Magnetic Resonance Imaging and Conventional Imaging (Mammogram/Ultrasound): Comparison with Pathological Size and Clinical Implications. Scand. J. Surg. 2017, 106, 68–73. [Google Scholar] [CrossRef]
- Hamilton, L.J.; Evans, A.J.; Wilson, A.R.; Scott, N.; Cornford, E.J.; Pinder, S.E.; Khan, H.N.; Macmillan, R.D. Breast imaging findings in women with BRCA1- and BRCA2-associated breast carcinoma. Clin. Radiol. 2004, 59, 895–902. [Google Scholar] [CrossRef]
- Atchley, D.P.; Albarracin, C.T.; Lopez, A.; Valero, V.; Amos, C.I.; Gonzalez-Angulo, A.M.; Hortobagyi, G.N.; Arun, B.K. Clinical and pathologic characteristics of patients with BRCA-positive and BRCA-negative breast cancer. J. Clin. Oncol. 2008, 26, 4282–4288. [Google Scholar] [CrossRef]
- Yang, W.-T.; Dryden, M.; Broglio, K.; Gilcrease, M.; Dawood, S.; Dempsey, P.J.; Valero, V.; Hortobagyi, G.; Atchley, D.; Arun, B. Mammographic features of triple receptor-negative primary breast cancers in young premenopausal women. Breast Cancer Res. Treat. 2008, 111, 405–410. [Google Scholar] [CrossRef]
- Wang, Y.; Ikeda, D.M.; Narasimhan, B.; Longacre, T.A.; Bleicher, R.J.; Pal, S.; Jackman, R.J.; Jeffrey, S.S. Estrogen receptor-negative invasive breast cancer: Imaging features of tumors with and without human epidermal growth factor receptor type 2 overexpression. Radiology 2008, 246, 367–375. [Google Scholar] [CrossRef]
- Dogan, B.E.; Gonzalez-Angulo, A.M.; Gilcrease, M.; Dryden, M.J.; Yang, W.T. Multimodality imaging of triple receptor-negative tumors with mammography, ultrasound, and MRI. Am. J. Roentgenol. 2010, 194, 1160–1166. [Google Scholar] [CrossRef] [PubMed]
- Evans, A.; Pinder, S.; Wilson, R.; Sibbering, M.; Poller, D.; Elston, C.; Ellis, I. Ductal carcinoma in situ of the breast: Correlation between mammographic and pathologic findings. Am. J. Roentgenol. 1994, 162, 1307–1311. [Google Scholar] [CrossRef] [PubMed]
- Barreau, B.; de Mascarel, I.; Feuga, C.; MacGrogan, G.; Dilhuydy, M.-H.; Picot, V.; Dilhuydy, J.-M.; de Lara, C.T.; Bussières, E.; Schreer, I. Mammography of ductal carcinoma in situ of the breast: Review of 909 cases with radiographic-pathologic correlations. Eur. J. Radiol. 2005, 54, 55–61. [Google Scholar] [CrossRef] [PubMed]
- Hochman, M.G.; Orel, S.G.; Powell, C.M.; Schnall, M.D.; Reynolds, C.A.; White, L.N. Fibroadenomas: MR imaging appearances with radiologic-histopathologic correlation. Radiology 1997, 204, 123–129. [Google Scholar] [CrossRef]
- Chen, J.-H.; Liu, H.; Baek, H.-M.; Nalcioglu, O.; Su, M.-Y. Magnetic resonance imaging features of fibrocystic change of the breast. Magn. Reson. Imaging 2008, 26, 1207–1214. [Google Scholar] [CrossRef]
- Zhang, J.; Wang, L.; Liu, H.-F. Imaging Features Derived From Dynamic Contrast-Enhanced Magnetic Resonance Imaging to Differentiate Malignant From Benign Breast Lesions: A Systematic Review and Meta-Analysis. J. Comput. Assist. Tomogr. 2022, 46, 383–391. [Google Scholar] [CrossRef]
- Mann, R.M.; Kuhl, C.K.; Moy, L. Contrast-enhanced MRI for breast cancer screening. J. Magn. Reson. Imaging 2019, 50, 377–390. [Google Scholar] [CrossRef]
- Pinker, K.; Bogner, W.; Baltzer, P.; Gruber, S.; Bickel, H.; Brueck, B.; Trattnig, S.; Weber, M.; Dubsky, P.; Bago-Horvath, Z.; et al. Improved diagnostic accuracy with multiparametric magnetic resonance imaging of the breast using dynamic contrast-enhanced magnetic resonance imaging, diffusion-weighted imaging, and 3-dimensional proton magnetic resonance spectroscopic imaging. Investig. Radiol. 2014, 49, 421–430. [Google Scholar] [CrossRef]
- Pinker, K.; Bickel, H.; Helbich, T.H.; Gruber, S.; Dubsky, P.; Pluschnig, U.; Rudas, M.; Bago-Horvath, Z.; Weber, M.; Trattnig, S.; et al. Combined contrast-enhanced magnetic resonance and diffusion-weighted imaging reading adapted to the “Breast Imaging Reporting and Data System” for multiparametric 3-T imaging of breast lesions. Eur. Radiol. 2013, 23, 1791–1802. [Google Scholar] [CrossRef]
- Clauser, P.; Krug, B.; Bickel, H.; Dietzel, M.; Pinker, K.; Neuhaus, V.-F.; Marino, M.A.; Moschetta, M.; Troiano, N.; Helbich, T.H.; et al. Diffusion-weighted Imaging Allows for Downgrading MR BI-RADS 4 Lesions in Contrast-enhanced MRI of the Breast to Avoid Unnecessary Biopsy. Clin. Cancer Res. 2021, 27, 1941–1948. [Google Scholar] [CrossRef]
- Zhang, M.; Horvat, J.V.; Bernard-Davila, B.; Marino, M.A.; Leithner, D.; Ochoa-Albiztegui, R.E.; Helbich, T.H.; Morris, E.A.; Thakur, S.; Pinker, K. Multiparametric MRI model with dynamic contrast-enhanced and diffusion-weighted imaging enables breast cancer diagnosis with high accuracy. J. Magn. Reson. Imaging 2019, 49, 864–874. [Google Scholar] [CrossRef] [PubMed]
- Daimiel Naranjo, I.; Gibbs, P.; Reiner, J.S.; Lo Gullo, R.; Thakur, S.B.; Jochelson, M.S.; Thakur, N.; Baltzer, P.A.T.; Helbich, T.H.; Pinker, K. Breast Lesion Classification with Multiparametric Breast MRI Using Radiomics and Machine Learning: A Comparison with Radiologists’ Performance. Cancers 2022, 14, 1743. [Google Scholar] [CrossRef] [PubMed]
- Lo Gullo, R.; Brunekreef, J.; Marcus, E.; Han, L.K.; Eskreis-Winkler, S.; Thakur, S.B.; Mann, R.; Groot Lipman, K.; Teuwen, J.; Pinker, K. AI Applications to Breast MRI: Today and Tomorrow. J. Magn. Reson. Imaging 2024, 60, 2290–2308. [Google Scholar] [CrossRef] [PubMed]







| Features | Breast Cancers (N = 9) Described at MRI Re-Evaluation | |
|---|---|---|
| Background parenchymal enhancement | ||
| Minimal or mild | 2/6 | |
| Moderate or marked | 4/6 | |
| Lesion type | ||
| Mass | 5 | |
| Shape | Round | 1/5 |
| Oval | 1/5 | |
| Irregular | 3/5 | |
| Margins | Circumscribed | 1/5 |
| Irregular | 4/5 | |
| Enhancement | Heterogeneous | 4/5 |
| Rim enhancement | 1/5 | |
| Non-mass enhancement | 4 | |
| Distribution modifiers | Focal area | 2/4 |
| Segmental | 1/4 | |
| Regional | 1/4 | |
| Internal enhancement | Heterogeneous | 2/4 |
| Clumped | 2/4 | |
| Kinetic curve assessment: initial phase 1 | Fast | 7/7 |
| Kinetic curve assessment: delayed phase 1 | Washout | 7/7 |
| Type of breast cancer | NST | 6/9 |
| ILC | 1/9 | |
| DCIS | 1/9 | |
| Other | 1/9 | |
| ER 2 | Positive | 3/6 |
| Negative | 3/6 | |
| PR 2 | Positive | 3/6 |
| Negative | 3/6 | |
| HER2 2 | Positive | 1/6 |
| Negative | 5/6 | |
| Triple negative 2 | No | 3/6 |
| Yes | 3/6 | |
| Grade 2 | 1 | 0/6 |
| 2 | 3/6 | |
| 3 | 3/6 |
| Features | Breast Cancers (N = 6) Described at Mammography Re-Evaluation | |
|---|---|---|
| Breast density | A | 0 |
| B | 3 | |
| C | 2 | |
| D | 1 | |
| Lesion type | ||
| Mass | 4 | |
| Shape | Round | 1/4 |
| Irregular | 3/4 | |
| Margins | Circumscribed | 1/4 |
| Indistinct | 1/4 | |
| Spiculated | 2/4 | |
| Density | High | 4/4 |
| Asymmetry | 1 | |
| Global | 1/1 | |
| Calcifications | 1 | |
| Morphology | Fine pleiomorphic | 1/1 |
| Distribution | Regional | 1/1 |
| Associated features | 9 | |
| Calcifications | 1 | |
| Nipple retraction | 1 | |
| Skin thickening | 1 | |
| Trabecular thickening | 2 | |
| Architectural distortion | 4 | |
| Type of breast cancer | NST | 4/6 |
| DCIS | 1/6 | |
| Other | 1/6 | |
| ER 1 | Positive | 3/4 |
| Negative | 1/4 | |
| PR 1 | Positive | 3/4 |
| Negative | 1/4 | |
| HER2 1 | Positive | 1/4 |
| Negative | 3/4 | |
| Triple negative 1 | No | 3/4 |
| Yes | 1/4 | |
| Grade 1 | 1 | 0/4 |
| 2 | 1/4 | |
| 3 | 3/4 |
| Features | Benign Breast Lesions (N = 29) Described at MRI Examinations (N = 14) | |
|---|---|---|
| Lesion type | ||
| Focus | 2 | |
| Mass | 25 | |
| Shape | Round | 9/25 |
| Oval | 8/25 | |
| Irregular | 8/25 | |
| Margins | Circumscribed | 20/25 |
| Irregular | 5/25 | |
| Enhancement | Homogeneous | 1/25 |
| Heterogeneous | 15/25 | |
| Dark internal septations | 9/25 | |
| Non-mass enhancement | 2 | |
| Distribution modifiers | Focal area | 1/2 |
| Regional | 1/2 | |
| Internal enhancement | Heterogeneous | 2/2 |
| Kinetic curve assessment: initial phase 1 | Slow | 13/27 |
| Medium | 8/27 | |
| Fast | 6/27 | |
| Kinetic curve assessment: delayed phase 1 | Persistent | 11/27 |
| Plateau | 13/27 | |
| Washout | 3/27 | |
| Type of benign breast lesion | Fibroadenoma | 13/29 |
| Fybrocystic changes | 5/29 | |
| Adenosis | 4/29 | |
| Fibrosis/sclerosis | 3/29 | |
| Radial scar | 3/29 | |
| Intraductal papilloma | 1/29 |
Disclaimer/Publisher’s Note: The statements, opinions and data contained in all publications are solely those of the individual author(s) and contributor(s) and not of MDPI and/or the editor(s). MDPI and/or the editor(s) disclaim responsibility for any injury to people or property resulting from any ideas, methods, instructions or products referred to in the content. |
© 2025 by the authors. Licensee MDPI, Basel, Switzerland. This article is an open access article distributed under the terms and conditions of the Creative Commons Attribution (CC BY) license (https://creativecommons.org/licenses/by/4.0/).
Share and Cite
Hoxhaj, A.; Milants, A.; Techanithisawat, P.; Bult, P.; Hoogerbrugge, N.; Mann, R.M. Exploring MRI and Mammography Lesion Features for Breast Cancer Detection in PTEN Hamartoma Tumor Syndrome. Cancers 2025, 17, 856. https://doi.org/10.3390/cancers17050856
Hoxhaj A, Milants A, Techanithisawat P, Bult P, Hoogerbrugge N, Mann RM. Exploring MRI and Mammography Lesion Features for Breast Cancer Detection in PTEN Hamartoma Tumor Syndrome. Cancers. 2025; 17(5):856. https://doi.org/10.3390/cancers17050856
Chicago/Turabian StyleHoxhaj, Alma, Annemieke Milants, Porjai Techanithisawat, Peter Bult, Nicoline Hoogerbrugge, and Ritse M. Mann. 2025. "Exploring MRI and Mammography Lesion Features for Breast Cancer Detection in PTEN Hamartoma Tumor Syndrome" Cancers 17, no. 5: 856. https://doi.org/10.3390/cancers17050856
APA StyleHoxhaj, A., Milants, A., Techanithisawat, P., Bult, P., Hoogerbrugge, N., & Mann, R. M. (2025). Exploring MRI and Mammography Lesion Features for Breast Cancer Detection in PTEN Hamartoma Tumor Syndrome. Cancers, 17(5), 856. https://doi.org/10.3390/cancers17050856

