SARIFA Is Associated with Lymph Node Metastases in PT3 and PT4 Gastric Cancers
Simple Summary
Abstract
1. Introduction
2. Materials and Methods
2.1. Sample Size and Data Collection
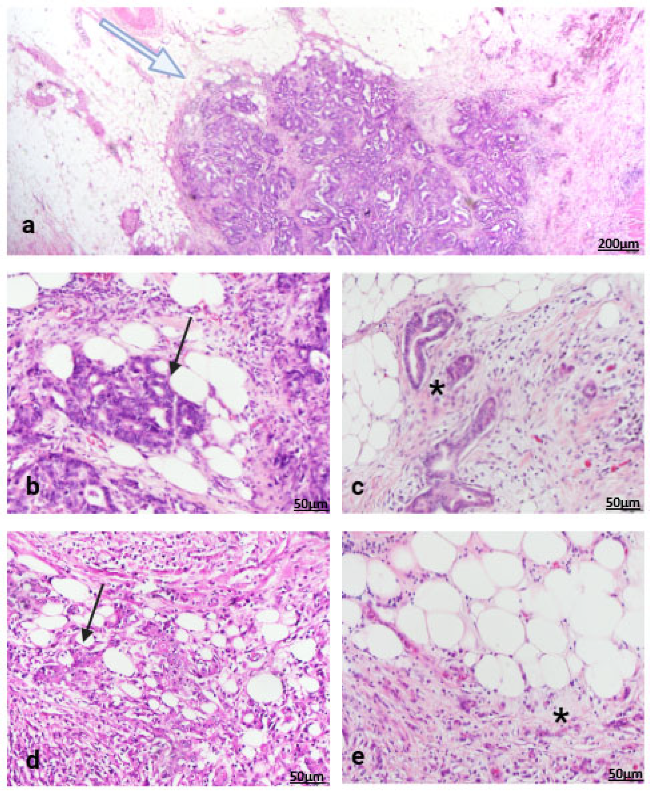
2.2. SARIFA Status Assessment
2.3. TCGA Cohort
2.4. Statistical Analysis
3. Results
3.1. Clinicopathological Correlates of SARIFA in the Institutional Cohort
3.2. Clinicopathological Correlates of SARIFA in the TCGA-STAD Cohort
3.3. Validation of SARIFA-Related Expression of CD36 and FABP4 in the TCGA STAD Dataset
4. Discussion
5. Conclusions
Supplementary Materials
Author Contributions
Funding
Institutional Review Board Statement
Informed Consent Statement
Data Availability Statement
Acknowledgments
Conflicts of Interest
Abbreviations
| LVI | Lymphovascular invasion |
| PNI | Perineural invasion |
| SARIFA | Stroma AReactive Invasive Front Area |
| pTNM | Pathologic tumor node metastasis |
| pT | Pathological tumor stage |
| pN | Pathological nodal stage |
| CI | Confidence interval |
| OR | Odds ratio |
| OS | Overall survival |
| PFS | Progression-free survival |
| FABP4 | Fatty acid-binding protein 4 |
References
- Bray, F.; Laversanne, M.; Sung, H.; Ferlay, J.; Siegel, R.L.; Soerjomataram, I.; Jemal, A. Global cancer statistics 2022: GLOBOCAN estimates of incidence and mortality worldwide for 36 cancers in 185 countries. CA A Cancer J. Clin. 2024, 74, 229–263. [Google Scholar] [CrossRef] [PubMed]
- Lordick, F.; Carneiro, F.; Cascinu, S.; Fleitas, T.; Haustermans, K.; Piessen, G.; Vogel, A.; Smyth, E. Gastric cancer: ESMO Clinical Practice Guideline for diagnosis, treatment and follow-up. Ann. Oncol. 2022, 33, 1005–1020. [Google Scholar] [CrossRef] [PubMed]
- WHO Classification of Tumors Editorial Board. Digestive System Tumors, 5th ed.; International Agency for Research on Cancer: Lyon, France, 2019; p. 94. ISBN 978-92-832-4499-8. [Google Scholar]
- Fujikawa, H.; Koumori, K.; Watanabe, H.; Kano, K.; Shimoda, Y.; Aoyama, T.; Yamada, T.; Hiroshi, T.; Yamamoto, N.; Cho, H.; et al. The Clinical Significance of Lymphovascular Invasion in Gastric Cancer. In Vivo 2020, 34, 1533–1539. [Google Scholar] [CrossRef] [PubMed]
- Smyth, E.C.; Nilsson, M.; Grabsch, H.I.; van Grieken, N.C.; Lordick, F. Gastric cancer. Lancet 2020, 396, 635–648. [Google Scholar] [CrossRef]
- Zhao, B.; Lv, W.; Mei, D.; Luo, R.; Bao, S.; Huang, B.; Lin, J. Perineural invasion as a predictive factor for survival outcome in gastric cancer patients: A systematic review and meta-analysis. J. Clin. Pathol. 2020, 73, 544–551. [Google Scholar] [CrossRef]
- Xue, C.; Du, Y.; Li, Y.; Xu, H.; Zhu, Z. Tumor budding as a predictor for prognosis and therapeutic response in gastric cancer: A mini review. Front. Oncol. 2023, 12, 1003959. [Google Scholar] [CrossRef]
- Yildiz, B.; Etiz, D.; Dal, P.; Junushova, B.; Pasaoglu, O.; Yilmaz, E.; Erkasap, S.; Dincer, M. Tumor deposits: Prognostic significance in gastric cancer patients. J. BUON. 2017, 21, 1476–1481. [Google Scholar]
- Aurello, P.; Berardi, G.; Giulitti, D.; Palumbo, A.; Tierno, S.M.; Nigri, G.; D’ANgelo, F.; Pilozzi, E.; Ramacciato, G. Tumor-Stroma Ratio is an independent predictor for overall survival and disease free survival in gastric cancer patients. Surgeon 2017, 15, 329–335. [Google Scholar] [CrossRef]
- Martin, B.; Grosser, B.; Kempkens, L.; Miller, S.; Bauer, S.; Dhillon, C.; Banner, B.M.; Brendel, E.-M.; Sipos, É.; Vlasenko, D.; et al. Stroma AReactive Invasion Front Areas (SARIFA)—A New Easily to Determine Biomarker in Colon Cancer—Results of a Retrospective Study. Cancers 2021, 13, 4880. [Google Scholar] [CrossRef]
- Grosser, B.; Emmerson, J.; Reitsam, N.G.; Cunningham, D.; Nankivell, M.; Langley, R.E.; Allum, W.H.; Trepel, M.; Märkl, B.; Grabsch, H.I. Stroma AReactive Invasion Front Areas (SARIFA) improves prognostic risk stratification of perioperative chemotherapy treated oesophagogastric cancer patients from the MAGIC and the ST03 trial. Br. J. Cancer 2023, 130, 457–466. [Google Scholar] [CrossRef]
- Nieman, K.M.; Kenny, H.A.; Penicka, C.V.; Ladanyi, A.; Buell-Gutbrod, R.; Zillhardt, M.R.; Romero, I.L.; Carey, M.S.; Mills, G.B.; Hotamisligil, G.S.; et al. Adipocytes promote ovarian cancer metastasis and provide energy for rapid tumor growth. Nat. Med. 2011, 17, 1498–1503. [Google Scholar] [CrossRef] [PubMed]
- Mukherjee, A.; Bilecz, A.J.; Lengyel, E. The adipocyte microenvironment and cancer. Cancer Metastasis Rev. 2022, 41, 575–587. [Google Scholar] [CrossRef] [PubMed]
- A Brown, K.; E Scherer, P. Update on Adipose Tissue and Cancer. Endocr. Rev. 2023, 44, 961–974. [Google Scholar] [CrossRef] [PubMed]
- Märkl, B.; Reitsam, N.G.; Grochowski, P.; Waidhauser, J.; Grosser, B. The SARIFA biomarker in the context of basic research of lipid-driven cancers. npj Precis. Oncol. 2024, 8, 165. [Google Scholar] [CrossRef]
- Grosser, B.; Glückstein, M.; Dhillon, C.; Schiele, S.; Dintner, S.; VanSchoiack, A.; Kroeppler, D.; Martin, B.; Probst, A.; Vlasenko, D.; et al. Stroma AReactive Invasion Front Areas (SARIFA)—A new prognostic biomarker in gastric cancer related to tumor-promoting adipocytes. J. Pathol. 2022, 256, 71–82. [Google Scholar] [CrossRef]
- Duong, M.N.; Geneste, A.; Fallone, F.; Li, X.; Dumontet, C.; Muller, C. The fat and the bad: Mature adipocytes, key actors in tumor progression and resistance. Oncotarget 2017, 8, 57622–57641. [Google Scholar] [CrossRef]
- Koundouros, N.; Poulogiannis, G. Reprogramming of fatty acid metabolism in cancer. Br. J. Cancer 2020, 122, 4–22. [Google Scholar] [CrossRef]
- Grochowski, P.; Grosser, B.; Sommer, F.; Probst, A.; Waidhauser, J.; Schenkirsch, G.; Reitsam, N.G.; Märkl, B. The Concept of Stroma AReactive Invasion Front Areas (SARIFA) as a new prognostic biomarker for lipid-driven cancers holds true in pancreatic ductal adenocarcinoma. BMC Cancer 2024, 24, 768. [Google Scholar] [CrossRef]
- Enke, J.S.; Groß, M.; Grosser, B.; Sipos, E.; Steinestel, J.; Löhr, P.; Waidhauser, J.; Lapa, C.; Märkl, B.; Reitsam, N.G. SARIFA as a new histopathological biomarker is associated with adverse clinicopathological characteristics, tumor-promoting fatty-acid metabolism, and might predict a metastatic pattern in pT3a prostate cancer. BMC Cancer 2024, 24, 65. [Google Scholar] [CrossRef]
- Ulase, D.; Behrens, H.-M.; Röcken, C. Stroma AReactive Invasion Front Areas (SARIFA) predict poor survival in adenocarcinomas of the stomach and gastrooesophageal junction: A validation study. Virchows Arch. 2024, 485, 527–534. [Google Scholar] [CrossRef]
- Grosser, B.; Heyer, C.M.; Austgen, J.; Sipos, E.; Reitsam, N.G.; Hauser, A.; VanSchoiack, A.; Kroeppler, D.; Vlasenko, D.; Probst, A.; et al. Stroma AReactive Invasion Front Areas (SARIFA) proves prognostic relevance in gastric carcinoma and is based on a tumor–adipocyte interaction indicating an altered immune response. Gastric Cancer 2024, 27, 72–85. [Google Scholar] [CrossRef] [PubMed]
- Kuhn, E.; Gambini, D.; Despini, L.; Asnaghi, D.; Runza, L.; Ferrero, S. Updates on Lymphovascular Invasion in Breast Cancer. Biomedicines 2023, 11, 968. [Google Scholar] [CrossRef] [PubMed]
- Reitsam, N.; Grosser, B.; Enke, J.; Mueller, W.; Westwood, A.; West, N.; Quirke, P.; Märkl, B.; Grabsch, H. Stroma AReactive Invasion Front Areas (SARIFA): A novel histopathologic biomarker in colorectal cancer patients and its association with the luminal tumour proportion. Transl. Oncol. 2024, 44, 101913. [Google Scholar] [CrossRef] [PubMed]
- Pepino, M.Y.; Kuda, O.; Samovski, D.; Abumrad, N.A. Structure-Function of CD36 and Importance of Fatty Acid Signal Transduction in Fat Metabolism. Annu. Rev. Nutr. 2014, 34, 281–303. [Google Scholar] [CrossRef]
- Zhou, X.; Su, M.; Lu, J.; Li, D.; Niu, X.; Wang, Y. CD36: The Bridge between Lipids and Tumors. Molecules 2024, 29, 531. [Google Scholar] [CrossRef]
- Zeng, J.; Sauter, E.R.; Li, B. FABP4: A New Player in Obesity-Associated Breast Cancer. Trends Mol. Med. 2020, 26, 437–440. [Google Scholar] [CrossRef]
- Tapiainen, V.V.; Sirniö, P.; Elomaa, H.; Karjalainen, H.; Äijälä, V.K.; Kastinen, M.; Kehusmaa, A.; Pohjanen, V.-M.; Lindgren, O.; Sirkiä, O.; et al. Stroma AReactive Invasion Front Areas (SARIFA), tumour immune microenvironment, and survival in colorectal cancer. Br. J. Cancer 2025, 132, 805–813. [Google Scholar] [CrossRef]
- Reitsam, N.G.; Grozdanov, V.; Löffler, C.M.L.; Muti, H.S.; Grosser, B.; Kather, J.N.; Märkl, B. Novel biomarker SARIFA in colorectal cancer: Highly prognostic, not genetically driven and histologic indicator of a distinct tumor biology. Cancer Gene Ther. 2023, 31, 207–216. [Google Scholar] [CrossRef]
- Reitsam, N.G.; Märkl, B.; Dintner, S.; Sipos, E.; Grochowski, P.; Grosser, B.; Sommer, F.; Eser, S.; Nerlinger, P.; Jordan, F.; et al. Alterations in Natural Killer Cells in Colorectal Cancer Patients with Stroma AReactive Invasion Front Areas (SARIFA). Cancers 2023, 15, 994. [Google Scholar] [CrossRef]
- Jakab, Á.; Zarándy, L.; Kocsmár, I.; Várkonyi, T.; Kenessey, I.; Szijártó, A.; Kiss, A.; Vass, T.; Lotz, G.; Kocsmár, É. Local Invasion Patterns Characterized by SARIFA and Tumor Budding Differ and Have Distinct Prognostic Significance in Esophageal Adenocarcinoma and Squamous Cell Carcinoma. Cancers 2024, 16, 3144. [Google Scholar] [CrossRef]





| VARIABLE | Total Number of Samples (n = 102) | SARIFA Positive (n = 45, 44.1%) | SARIFA Negative (n = 57, 55.9%) | p-Value |
|---|---|---|---|---|
| Age (years, median, IQR) | 75.6 (67–81) | 75 (65–79.8) | 76 (70–82) | 0.354 * |
| Sex (n, %): | 0.432 # | |||
| Female | 36 (35.3) | 14 (31.1) | 22 (38.6) | |
| Male | 66 (64.7) | 31 (68.9) | 35 (61.4) | |
| pT (n, %): | 0.259 # | |||
| pT3 | 54 (52.9) | 21 (46.7) | 33 (57.9) | |
| pT4 | 48 (47.1) | 24 (53.3) | 24 (42.1) | |
| Lymph nodes (n, %): | 0.009 # | |||
| Positive | 87 (85.3) | 43 (95.6) | 44 (77.2) | |
| Negative | 15 (14.7) | 2 (4.4) | 13 (22.8) | |
| Proportion of positive lymph nodes (median, IQR) | 0.28 (0.09–0.66) | 0.33 (0.17–0.7) | 0.27 (0.07–0.52) | 0.083 * |
| Lauren histologic type (n, %) | 0.095 # | |||
| Intestinal | 48 (47.1) | 17 (37.8) | 31 (54.4) | |
| Diffuse/mixed type | 54 (52.9) | 28 (62.2) | 26 (45.6) | |
| Lymphovascular invasion (n, %): | 0.124 # | |||
| Present | 84 (82.4) | 40 (88.9) | 44 (77.2) | |
| Not present | 18 (17.6) | 5 (11.1) | 13 (22.8) | |
| Perineural invasion (n, %): | 0.043 # | |||
| Present | 71 (69.6) | 36 (80) | 35 (61.4) | |
| Not present | 31 (30.4) | 9 (20) | 22 (38.6) |
| VARIABLE | OR (95% CI) | p-Value |
|---|---|---|
| Age | 0.988 (0.933–1.047) | 0.690 |
| Sex | 1.6 (0.47–5.444) | 0.452 |
| pT | 1.955 (0.617–6.19) | 0.255 |
| Lymphovascular invasion | 6.045 (1.829–19.977) | 0.003 |
| Perineural invasion | 3.18 (1.037–9.754) | 0.043 |
| SARIFA status | 6.352 (1.352–29.836) | 0.019 |
| VARIABLE | OR (95% CI) | p-Value |
|---|---|---|
| Lymphovascular invasion | 4.39 (1.194–16.143) | 0.026 |
| Perineural invasion | 1.725 (0.487–6.107) | 0.398 |
| SARIFA status | 4.886 (0.985–24.241) | 0.052 |
| VARIABLE | OR (95% CI) | p-Value |
|---|---|---|
| SARIFA-LVI | 9.913 (1.232–79.735) | 0.031 |
| PNI | 2.532 (0.79–8.113) | 0.118 |
Disclaimer/Publisher’s Note: The statements, opinions and data contained in all publications are solely those of the individual author(s) and contributor(s) and not of MDPI and/or the editor(s). MDPI and/or the editor(s) disclaim responsibility for any injury to people or property resulting from any ideas, methods, instructions or products referred to in the content. |
© 2025 by the authors. Licensee MDPI, Basel, Switzerland. This article is an open access article distributed under the terms and conditions of the Creative Commons Attribution (CC BY) license (https://creativecommons.org/licenses/by/4.0/).
Share and Cite
Mustapić, K.; Đolonga, P.; Ivanović, T.; Paparella Karaman, A.; Minarik, L.; Vukojević, K.; Glavina Durdov, M. SARIFA Is Associated with Lymph Node Metastases in PT3 and PT4 Gastric Cancers. Cancers 2025, 17, 3593. https://doi.org/10.3390/cancers17213593
Mustapić K, Đolonga P, Ivanović T, Paparella Karaman A, Minarik L, Vukojević K, Glavina Durdov M. SARIFA Is Associated with Lymph Node Metastases in PT3 and PT4 Gastric Cancers. Cancers. 2025; 17(21):3593. https://doi.org/10.3390/cancers17213593
Chicago/Turabian StyleMustapić, Krešimir, Petar Đolonga, Tomislav Ivanović, Ana Paparella Karaman, Luka Minarik, Katarina Vukojević, and Merica Glavina Durdov. 2025. "SARIFA Is Associated with Lymph Node Metastases in PT3 and PT4 Gastric Cancers" Cancers 17, no. 21: 3593. https://doi.org/10.3390/cancers17213593
APA StyleMustapić, K., Đolonga, P., Ivanović, T., Paparella Karaman, A., Minarik, L., Vukojević, K., & Glavina Durdov, M. (2025). SARIFA Is Associated with Lymph Node Metastases in PT3 and PT4 Gastric Cancers. Cancers, 17(21), 3593. https://doi.org/10.3390/cancers17213593

