Authors’ Protocol of Central Giant Cell Granuloma Effective Treatment in the Jawbone
Simple Summary
Abstract
1. Introduction
- Surgical: Resection with a margin of unaffected tissues, either as a marginectomy or in more advanced cases, bone ostectomy;
- Simple curettage;
- Curettage followed by radicalization (ostectomy or the use of liquid nitrogen or Carnoy’s solution);
- Local pharmacological agent deponation, including steroids, calcitonin, interferon, imatinib, or denosumab.
2. Materials and Methods
- At least one central giant cell granuloma of the jaw bones was confirmed in histopathological examination;
- Informed consent for treatment option;
- Attending regular check-up appointments.
- Absence of consent for the treatment method;
- Presence of brown tumor based on laboratory tests of parathyroid hormones and calcium-phosphate metabolism;
- Severe systemic conditions contraindicate surgical procedures (ASA physical status classification system category 3 and above).
3. Results
3.1. General Characteristics
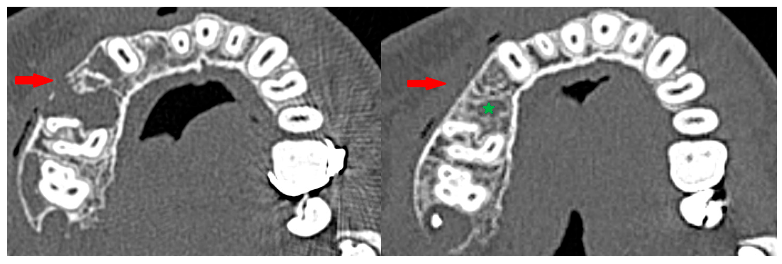
3.2. Injections
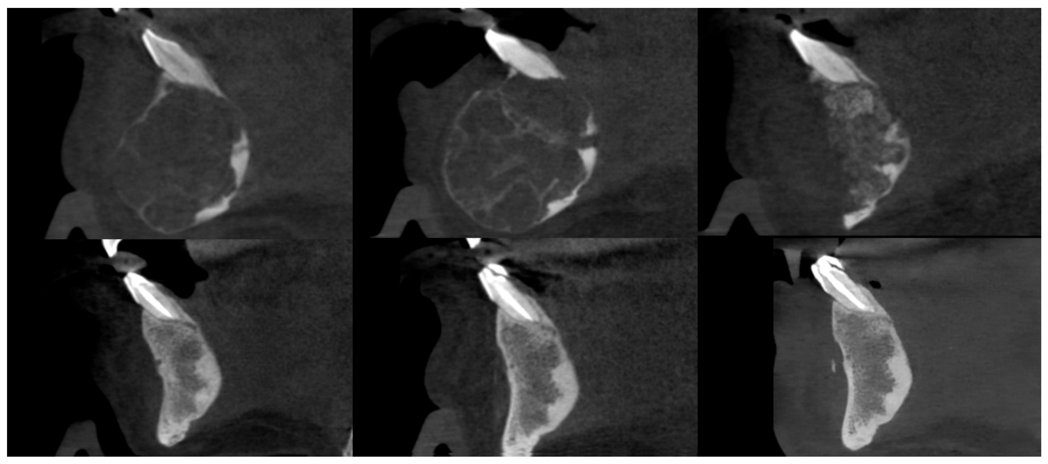
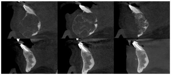
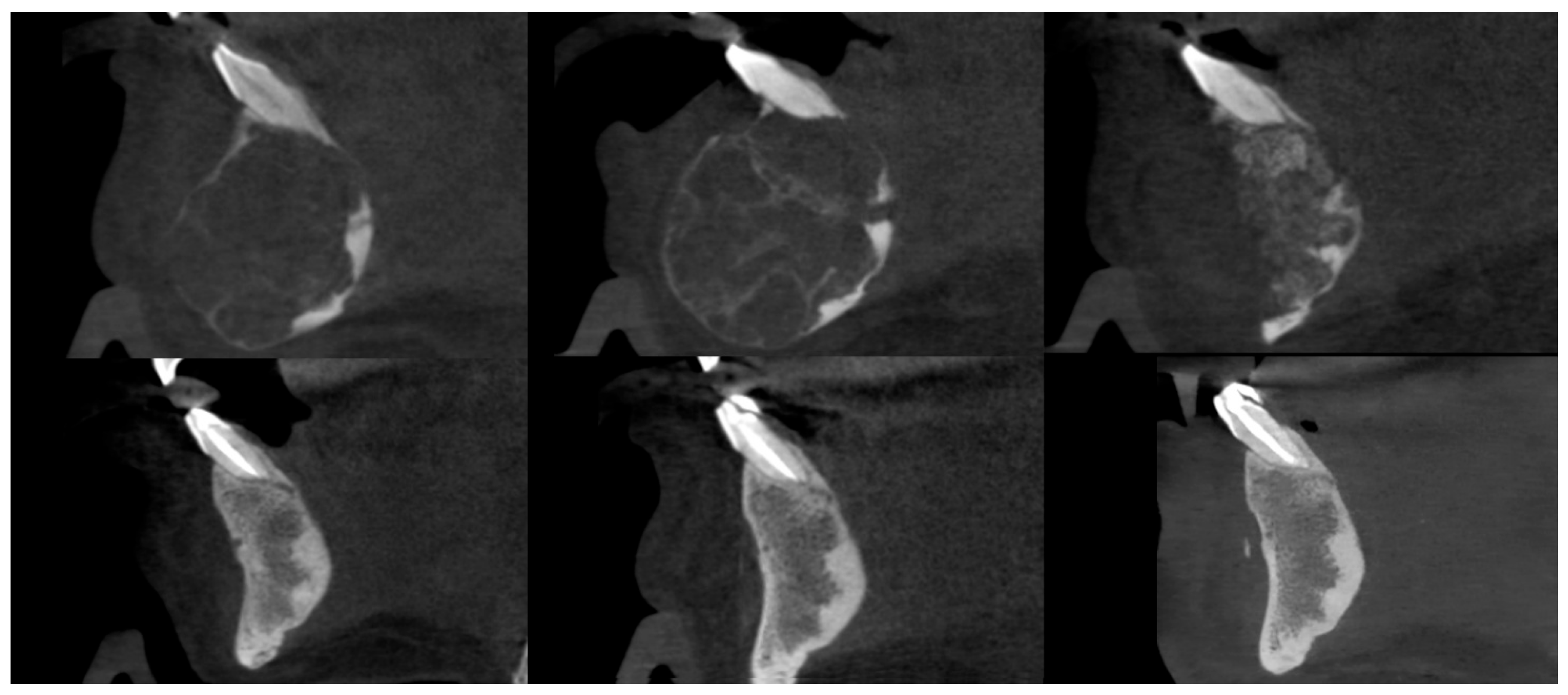
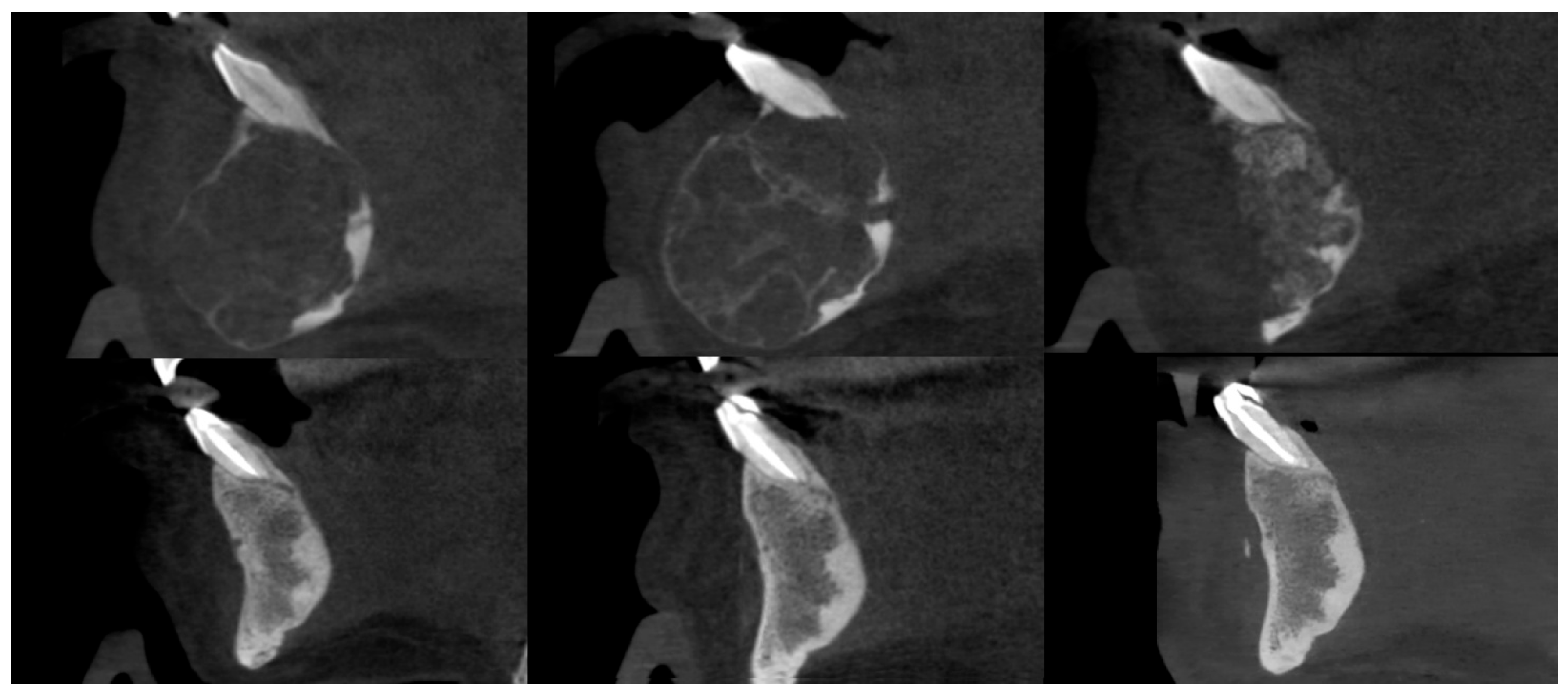
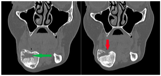
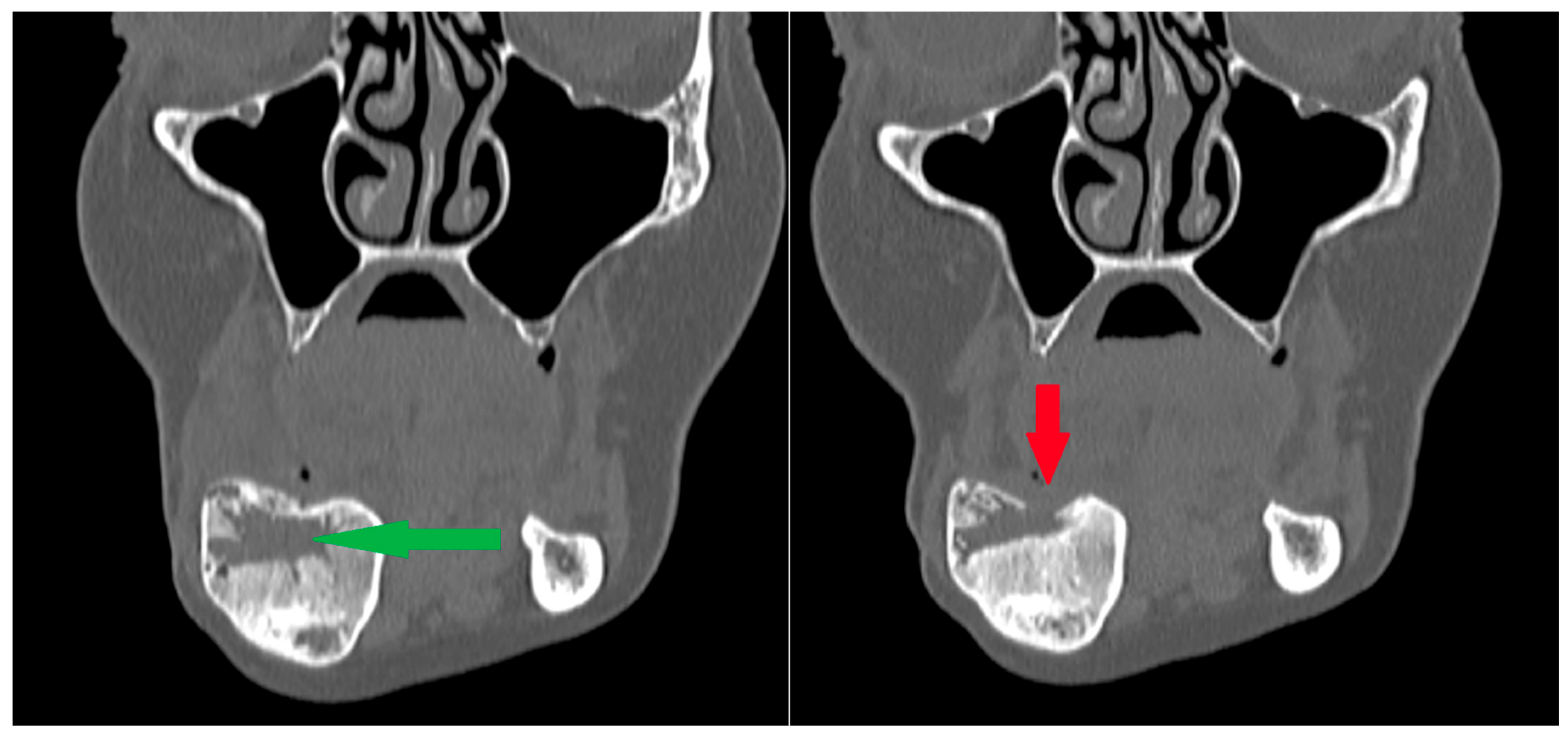
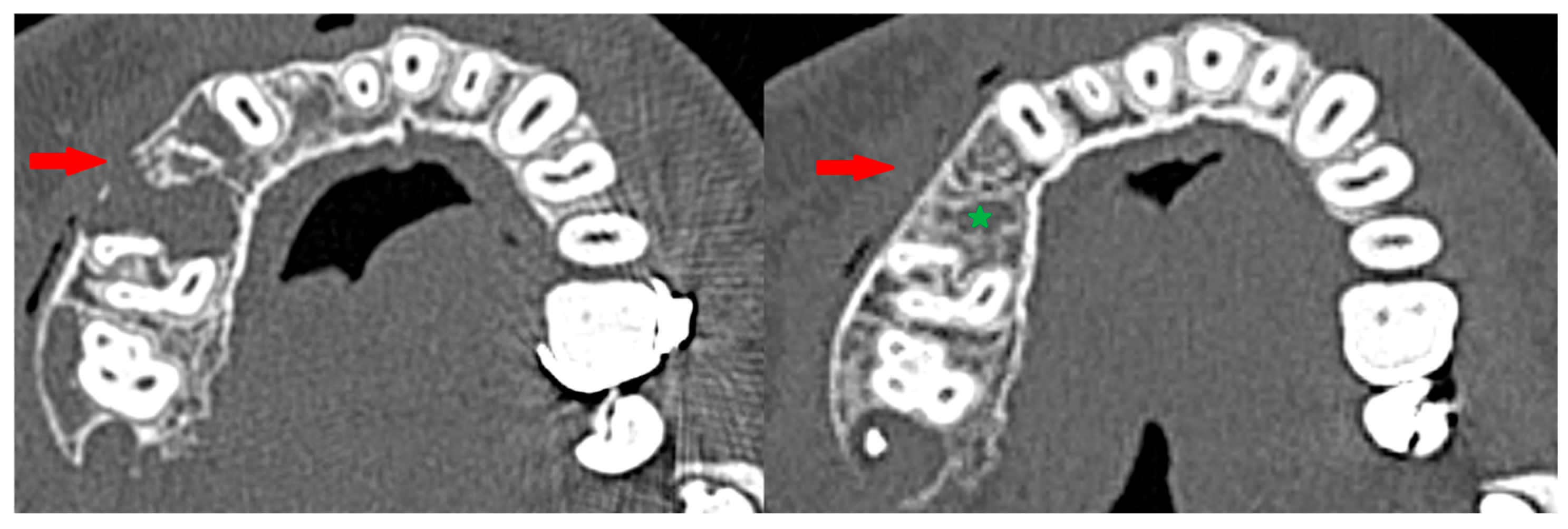
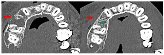
3.3. Osteosclerotic Rim (Peripheral Corticalization)
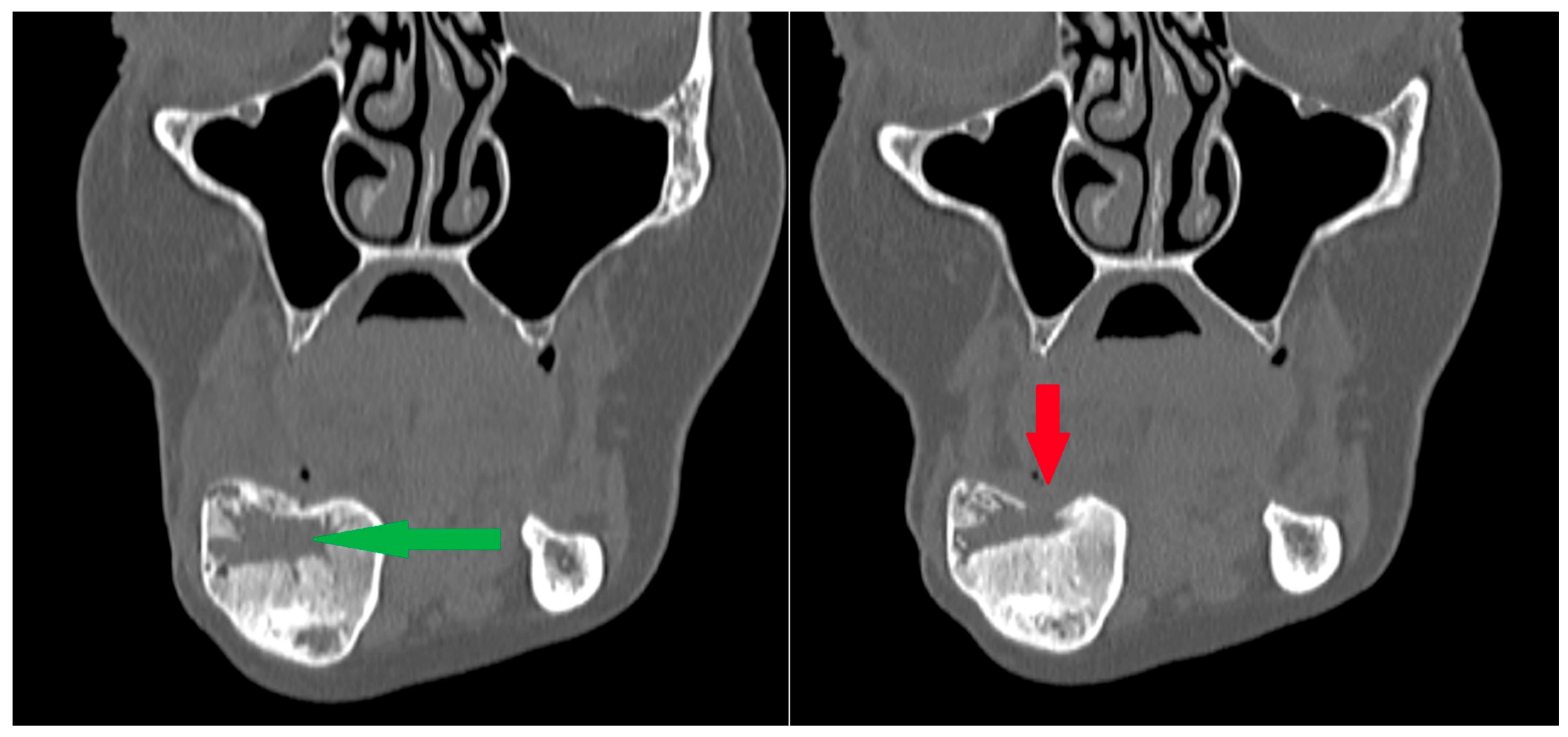
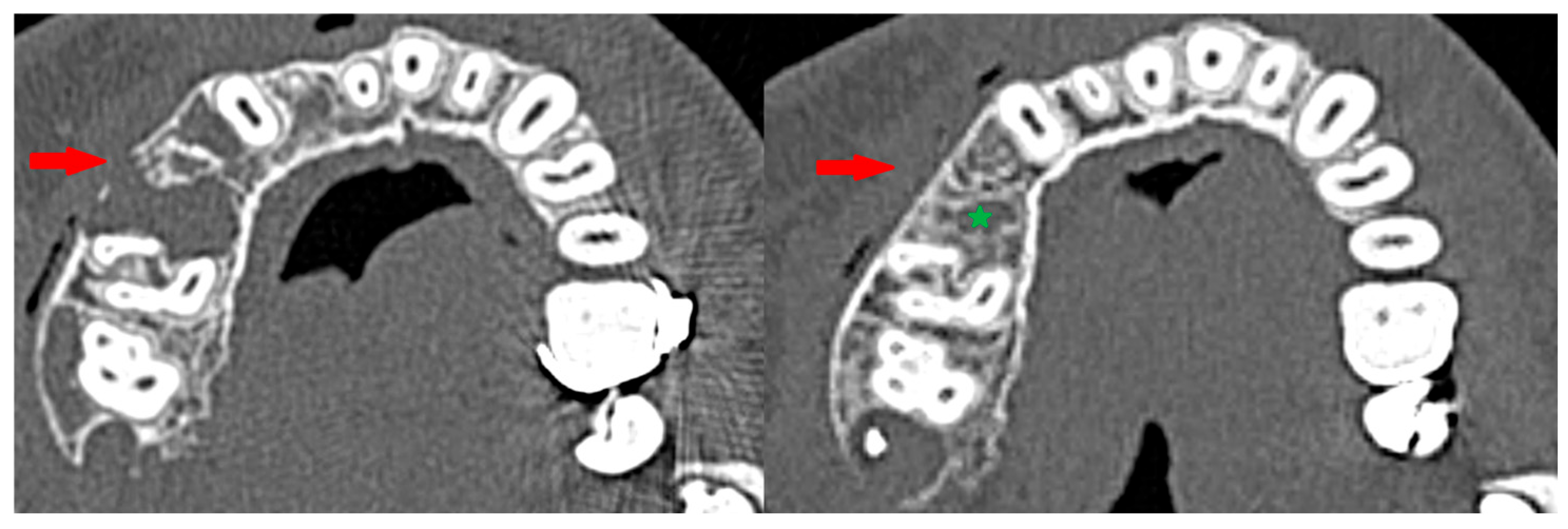
3.4. Complications During Treatment
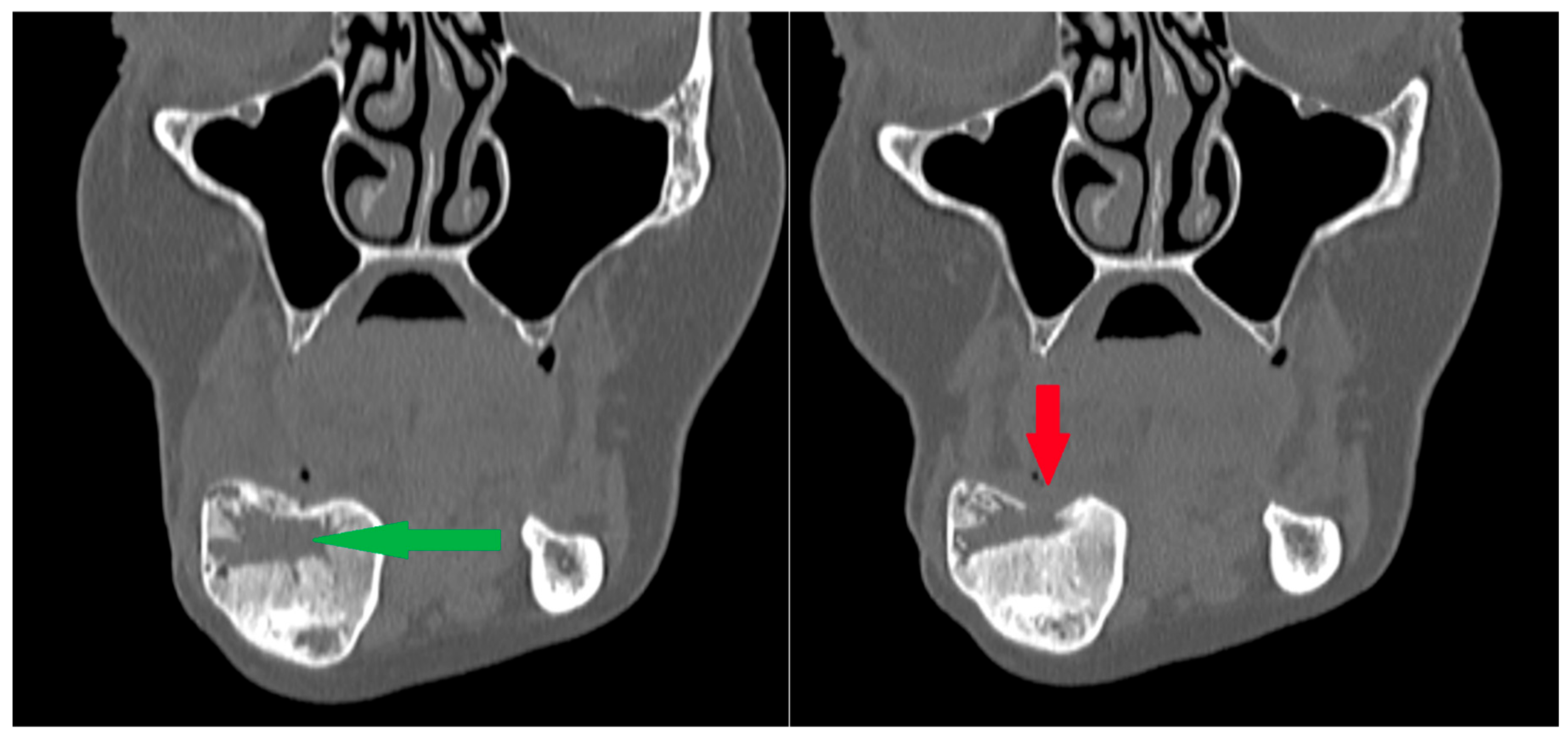
3.5. Recurrence
4. Discussion
5. Conclusions
Author Contributions
Funding
Institutional Review Board Statement
Informed Consent Statement
Data Availability Statement
Acknowledgments
Conflicts of Interest
References
- Chuong, R.; Kaban, L.B.; Kozakewich, H.; Perez-Atayde, A. Central Giant Cell Lesions of the Jaws: A Clinicopathologic Study. J. Oral Maxillofac. Surg. 1986, 44, 708–713. [Google Scholar] [CrossRef]
- Vered, M.; Buchner, A.; Dayan, D. Central Giant Cell Granuloma of the Jawbones–New Insights into Molecular Biology with Clinical Implications on Treatment Approaches. Histol. Histopathol. 2008, 23, 1151–1160. [Google Scholar] [CrossRef]
- Kaczmarzyk, T.; Stypułkowska, J.; Tomaszewska, R. Update of the WHO Classification of Odontogenic and Maxillofacial Bone Tumours. J. Stomatol. 2017, 70, 484–5606. [Google Scholar]
- Garcés-Villalá, M.Á.; Rico, S.D.; Escudero-Pinel, M.; Calvo-Guirado, J.L. Surgical Treatment of Central Giant Cell Granuloma with Carnoy’s Solution. J. Biosci. Med. 2020, 8, 67–78. [Google Scholar] [CrossRef]
- Osterne, R.-L.-V.; Araújo, P.-M.; De Souza-Carvalho, A.-C.-G.; Cavalcante, R.-B.; Sant’ana, E.; Nongueira, R.-L.-M. Intralesional Corticosteroid Injections in the Treatment of Central Giant Cell Lesions of the Jaws: A Meta-Analytic Study. Med. Oral. Patol. Oral Cir. Bucal. 2013, 18, 226–258. [Google Scholar] [CrossRef]
- Pogrel, M.A.; Regezi, J.A.; Harris, S.T.; Goldring, S.R. Calcitonin Treatment for Central Giant Cell Granulomas of the Mandible: Report of Two Cases. J. Oral Maxillofac. Surg. 1999, 57, 848–853. [Google Scholar] [CrossRef]
- de Lange, J.; van den Akker, H.P.; van den Berg, H. Central Giant Cell Granuloma of the Jaw: A Review of the Literature with Emphasis on Therapy Options. Oral Surg. Oral Med. Oral Pathol. Oral Radiol. Endodontol. 2007, 104, 603–615. [Google Scholar] [CrossRef]
- Aliu, F.; Shabani, D.B.; Aliu, I.; Qeli, E.D.; Kaçani, G.; Fiorillo, L.; Meto, A. Evaluating Treatment Modalities for Reducing Recurrence in Central Giant Cell Granuloma: A Narrative Review. Dent. J. 2024, 12, 295. [Google Scholar] [CrossRef]
- Niedzielska, I.; Bielecki, M.; Bąk, M.; Dziuk, B.; Niedzielski, D. Bony Canal Method of Dexamethasone Injections in Aggressive Form of Central Giant Cell Granuloma—Case Series. Medicina 2023, 59, 250. [Google Scholar] [CrossRef]
- Chandna, P.; Srivastava, N.; Bansal, V.; Wadhwan, V.; Dubey, P. Peripheral and Central Giant Cell Lesions in Children: Institutional Experience at Subharti Dental College and Hospital. Indian J. Med. Paediatr. Oncol. 2017, 38, 440–446. [Google Scholar] [CrossRef]
- Dolanmaz, D.; Esen, A.; Mihmanlı, A.; Işık, K. Management of Central Giant Cell Granuloma of the Jaws with Intralesional Steroid Injection and Review of the Literature. Oral Maxillofac. Surg. 2016, 20, 203–209. [Google Scholar] [CrossRef]
- Nelke, K.; Łuczak, K.; Janeczek, M.; Plichta, M.; Małyszek, A.; Tarnowska, M.; Kuropka, P.; Dobrzyński, M. The Occurrence of Mandible Brown Tumor Mimicking Central Giant Cell Granuloma in a Case Suspicious of Primary Hyperparathyroidism—Troublesome Diagnostic Dilemmas. Diagnostics 2025, 15, 2038. [Google Scholar] [CrossRef]
- Tałasiewicz, K.; Czachowska, A.; Śmiałek-Kania, K.; Jagielska, B. Case Report Multiple Brown Tumours in the Course of Primary Hyperparathyroidism Mimicking Bone Metastases-Case Report. Oncol. Clin. Pract. 2018, 14, 156–159. [Google Scholar]
- Terry, B.C.; Jacoway, J.R. Managment of Central Giant Cell Lesions: An Alternative to Surgical Therapy. Oral Maxillofac. Surg. Clin. N. Am. 1994, 6, 579–598. [Google Scholar] [CrossRef]
- Nogueira, R.L.M.; Teixeira, R.C.; Cavalcante, R.B.; Ribeiro, R.A.; Rabenhosrt, S.H.B. Intralesional Injection of Triamcinolone Hexacetonide as an Alternative Treatment for Central Giant-Cell Granuloma in 21 Cases. Int. J. Oral Maxillofac. Surg. 2010, 39, 1204–1210. [Google Scholar] [CrossRef]
- Voorsmit, R.A. The Incredible Keratocyst: A New Approach to Treatment. Dtsch. Zahnarztl. Z. 1985, 40, 641–644. [Google Scholar]
- RajeshKumar, B.P.; Rai, K.K.; Geetha, N.T.; ShivaKumar, H.R.; Upasi, A.P. Carnoy’s in Aggressive Lesions: Our Experience. J. Maxillofac. Oral Surg. 2013, 12, 42–47. [Google Scholar] [CrossRef]
- Cutler, E.C.; Zollinger, R. The Use of Sclerosing Solutions in the Treatment of Cysts and Fistulae. Am. J. Surg. 1933, 19, 411–418. [Google Scholar] [CrossRef]
- Janas-Naze, A.; Zhang, W.; Szuta, M. Modified Carnoy’s Versus Carnoy’s Solution in the Management of Odontogenic Keratocysts—A Single Center Experience. J. Clin. Med. 2023, 12, 1133. [Google Scholar] [CrossRef]
- Richardson, J.; Stanbouly, D.; Litman, E.; Lee, K.C.; Philipone, E. Central Giant Cell Granuloma of the Head & Neck: A Case Report and Systematic Review. J. Stomatol. Oral Maxillofac. Surg. 2022, 123, e161–e168. [Google Scholar] [CrossRef]
- da Silva, N.G.; Carreira, A.S.D.; Pedreira, E.N.; Tuji, F.M.; Ortega, K.L.; de Jesus Viana Pinheiro, J. Treatment of Central Giant Cell Lesions Using Bisphosphonates with Intralesional Corticosteroid Injections. Head Face Med. 2012, 8, 23. [Google Scholar] [CrossRef]
- Pogrel, M.A. Calcitonin Therapy for Central Giant Cell Granuloma. J. Oral Maxillofac. Surg. 2003, 61, 649–653. [Google Scholar] [CrossRef]
- Carlos, R.; Sedano, H.O. Intralesional Corticosteroids as an Alternative Treatment for Central Giant Cell Granuloma. Oral Surg. Oral Med. Oral Pathol. Oral Radiol. Endod. 2002, 93, 161–166. [Google Scholar] [CrossRef]
- Vered, M.; Shohat, I.; Buchner, A.; Dayan, D.; Taicher, S. Calcitonin Nasal Spray for Treatment of Central Giant Cell Granuloma: Clinical, Radiological, and Histological Findings and Immunohistochemical Expression of Calcitonin and Glucocorticoid Receptors. Oral Surg. Oral Med. Oral Pathol. Oral Radiol. Endodontol. 2007, 104, 226–239. [Google Scholar] [CrossRef]
- Wendt, F.P.; Torriani, M.A.; Gomes, A.P.N.; de Araujo, L.M.A.; Torriani, D.D. Intralesional Corticosteroid Injection for Central Giant Cell Granuloma: An Alternative Treatment for Children. J. Dent. Child. 2009, 76, 229–232. [Google Scholar]
- AlRowis, R.; Aldawood, A.; AlOtaibi, M.; Alnasser, E.; AlSaif, I.; Aljaber, A.; Natto, Z. Medication-Related Osteonecrosis of the Jaw (MRONJ): A Review of Pathophysiology, Risk Factors, Preventive Measures and Treatment Strategies. Saudi Dent. J. 2022, 34, 202–210. [Google Scholar] [CrossRef]
- Ferriero, K.; Shah, B.; Yan, Y.; Khatri, S.; Caccamese, J.; Napoli, J.A.; Bober, M.B.; Crane, J.L. Case Report: Safety and Efficacy of Denosumab in Four Children with Noonan Syndrome With Multiple Giant Cell Lesions of the Jaw. Front. Pediatr. 2020, 8, 515. [Google Scholar] [CrossRef]
- Hassing, G.-J.; Verkouteren, D.R.C.; Breimer, G.E.; van Es, R.J.J. Novel Approach to Central Giant Cell Granuloma of the Jaw: Low-Dose Intralesional Denosumab Treatment in a Case Series of Nine Patients. J. Cranio-Maxillofac. Surg. 2025, 53, 1350–1355. [Google Scholar] [CrossRef]
- Landesberg, R.; Eisig, S.; Fennoy, I.; Siris, E. Alternative Indications for Bisphosphonate Therapy. J. Oral Maxillofac. Surg. 2009, 67, 27–34. [Google Scholar] [CrossRef]
- De Oliveira, J.P.; Olivete, F.; De Oliveira, N.D.; Giovanini, A.F.; Zielak, J.C.; Klüppel, L.; Scariot, R. Combination Therapies for the Treatment of Recurrent Central Giant Cell Lesion in the Maxilla: A Case Report. J. Med. Case Rep. 2017, 11, 74. [Google Scholar] [CrossRef]
- Lal, B.; Kumar, R.D.; Alagarsamy, R.; Shanmuga Sundaram, D.; Bhutia, O.; Roychoudhury, A. Role of Carnoy’s Solution as Treatment Adjunct in Jaw Lesions Other than Odontogenic Keratocyst: A Systematic Review. Br. J. Oral Maxillofac. Surg. 2021, 59, 729–741. [Google Scholar] [CrossRef]
- Trzcińska, M.; Sut, M.; Kozakiewicz, M. Treatment of Nonagresive and Aggressive Form of Central Giant Cell Lesions. Magazyn Stomatologiczny 2014, 12, 74–78. (In Polish) [Google Scholar]
- Karthik, R.; Lakshmi Rathan, A.C.; Sapna, S.; Cynthia, S.; Sathyakumar, M.; Magesh, K.T. Is Modified Carnoy’s Solution as Effective as Carnoy’s Solution in Terms of Amount of Bone Necrosis and Depth of Penetration? Br. J. Oral Maxillofac. Surg. 2023, 61, 233–239. [Google Scholar] [CrossRef] [PubMed]
- Ecker, J.; Ter Horst, R.; Koslovsky, D. Current Role of Carnoy’s Solution in Treating Keratocystic Odontogenic Tumors. J. Oral Maxillofac. Surg. 2016, 74, 278–282. [Google Scholar] [CrossRef] [PubMed]
- Dashow, J.E.; McHugh, J.B.; Braun, T.M.; Edwards, S.P.; Helman, J.I.; Ward, B.B. Significantly Decreased Recurrence Rates in Keratocystic Odontogenic Tumor with Simple Enucleation and Curettage Using Carnoy’s versus Modified Carnoy’s Solution. J. Oral Maxillofac. Surg. 2015, 73, 2132–2135. [Google Scholar] [CrossRef] [PubMed]
- Aoki, T.; Karakida, K.; Sakamoto, H.; Yamazaki, H.; Otsuru, M.; Sasaki, M.; Sakamoto, Y.; Aoyama, K.; Ota, Y.; Kaneko, A. Successful Treatment by Intralesional Steroid Injection in Management of Central Giant Cell Granuloma of the Jaw-Report of Two Cases. J. Oral Maxillofac. Surg. Med. Pathol. 2012, 24, 213–217. [Google Scholar] [CrossRef]
- Nilesh, K.; Dadhich, A.; Patil, R. Management of Recurrent Central Giant Cell Granuloma of Mandible Using Intralesional Corticosteroid with Long-Term Follow-Up. BMJ Case Rep. 2020, 13, e237200. [Google Scholar] [CrossRef]
- de Mendonça, R.P.; Mitre, G.P.; Real, F.H.; da Silva Kataoka, M.S.; de Melo Alves Júnior, S.; Vianna, P.; Da Silva Júnior, N.G.; de Jesus Viana Pinheiro, J. Central Giant Cell Granuloma Treated with Intralesional Corticosteroid Injections and Bisphosphonates: A Long-Term Follow-Up Case Study. Head Neck Pathol. 2020, 14, 497–502. [Google Scholar] [CrossRef]














| n | Sex | Age | Comorbidity | Number of Injections | Imaging Follow-Up | Clinical Follow-Up [Months] | Jaw Localization | CGCG Type |
|---|---|---|---|---|---|---|---|---|
| 1 | Female | 61 | DM | 25 | Healthy | 68 | Mandible | Non-Aggressive |
| 2 | Female | 25 | IBS | 12 | Healthy | 71 | Mandible | Aggressive |
| 3 | Male | 27 | AF | 7 | Healthy | 55 | Maxilla | Aggressive |
| 4 | Male | 8 | No | 65 | Healthy | 34 | Maxilla | Aggressive |
| 5 | Male | 27 | No | 1 | Healthy | 50 | Mandible | Aggressive |
| 6 | Female | 18 | No | 8 | Healthy | 107 | Mandible | Aggressive |
| 7 | Female | 41 | No | 6 | Healthy | 115 | Mandible | Aggressive |
| 8 | Female | 28 | No | 3 | Healthy | 94 | Mandible | Non-Aggressive |
| 9 | Female | 46 | HTN | 5 | Healthy | 101 | Mandible | Non-Aggressive |
| 10 | Male | 31 | No | 36 | Healthy | 31 | Mandible | Aggressive |
| 11 | Female | 61 | HTN | 26 | Recurrence | 32 | Mandible | Aggressive |
| 12 | Male | 31 | AF | 12 | Healthy | 34 | Maxilla | Aggressive |
| 13 | Female | 33 | No | 2 | Healthy | 20 | Mandible | Non-Aggressive |
| Variables of the Studied Group | Lesion Volume Before Injection | Lesion Volume After Injection | Percentage of Primary Lesion After Steroid Injections | Imaging Follow-Up (Healthy/Recurrence) | Lesion Perimeter After Injection |
|---|---|---|---|---|---|
| Age | 0.11 | 0.25 | 0.30 | - | - |
| PTH [pmol/L] | 0.31 | 0.19 | 0.32 | 0.19 | - |
| Gender | 0.028 | - | 0.81 | - | 0.2 |
| Comorbidity | 0.63 | - | 0.3 | - | 0.68 |
| Jaw localization | 0.31 | - | - | 1.0 | 0.55 |
| CGCG type | 0.52 | - | 0.17 | 1.0 | 0.73 |
| Side effects of therapy | 0.22 | - | 0.0299 * | 0.72 | - |
| Calcium [mmol/L] | - | - | 0.21 | 0.0075 * | - |
| Phosphates [mmol/L] | - | - | 0.27 | 0.41 | - |
| ALP [U/L] | - | - | 0.0495 * | 0.93 | - |
| Number of injections | - | - | 0.24 | 0.7 | - |
| Imaging follow-up (healthy/recurrence) | 0.0022 * | 0.0137 * | 0.45 | - | 1.0 |
| Clinical Follow-up [months] | - | - | - | 0.28 | - |
Disclaimer/Publisher’s Note: The statements, opinions and data contained in all publications are solely those of the individual author(s) and contributor(s) and not of MDPI and/or the editor(s). MDPI and/or the editor(s) disclaim responsibility for any injury to people or property resulting from any ideas, methods, instructions or products referred to in the content. |
© 2025 by the authors. Licensee MDPI, Basel, Switzerland. This article is an open access article distributed under the terms and conditions of the Creative Commons Attribution (CC BY) license (https://creativecommons.org/licenses/by/4.0/).
Share and Cite
Szczeciński, D.; Ujma, P.; Radwańska, K.; Szymor, P.; Kozakiewicz, M. Authors’ Protocol of Central Giant Cell Granuloma Effective Treatment in the Jawbone. Cancers 2025, 17, 3510. https://doi.org/10.3390/cancers17213510
Szczeciński D, Ujma P, Radwańska K, Szymor P, Kozakiewicz M. Authors’ Protocol of Central Giant Cell Granuloma Effective Treatment in the Jawbone. Cancers. 2025; 17(21):3510. https://doi.org/10.3390/cancers17213510
Chicago/Turabian StyleSzczeciński, Dominik, Patrycja Ujma, Katarzyna Radwańska, Piotr Szymor, and Marcin Kozakiewicz. 2025. "Authors’ Protocol of Central Giant Cell Granuloma Effective Treatment in the Jawbone" Cancers 17, no. 21: 3510. https://doi.org/10.3390/cancers17213510
APA StyleSzczeciński, D., Ujma, P., Radwańska, K., Szymor, P., & Kozakiewicz, M. (2025). Authors’ Protocol of Central Giant Cell Granuloma Effective Treatment in the Jawbone. Cancers, 17(21), 3510. https://doi.org/10.3390/cancers17213510

