Evaluation of the Effect of Optic Nerve Compression by Craniopharyngioma on Retinal Nerve Fiber Layer Thickness in Pediatric Patients
Simple Summary
Abstract
1. Introduction
2. Methods
Statistical Analysis
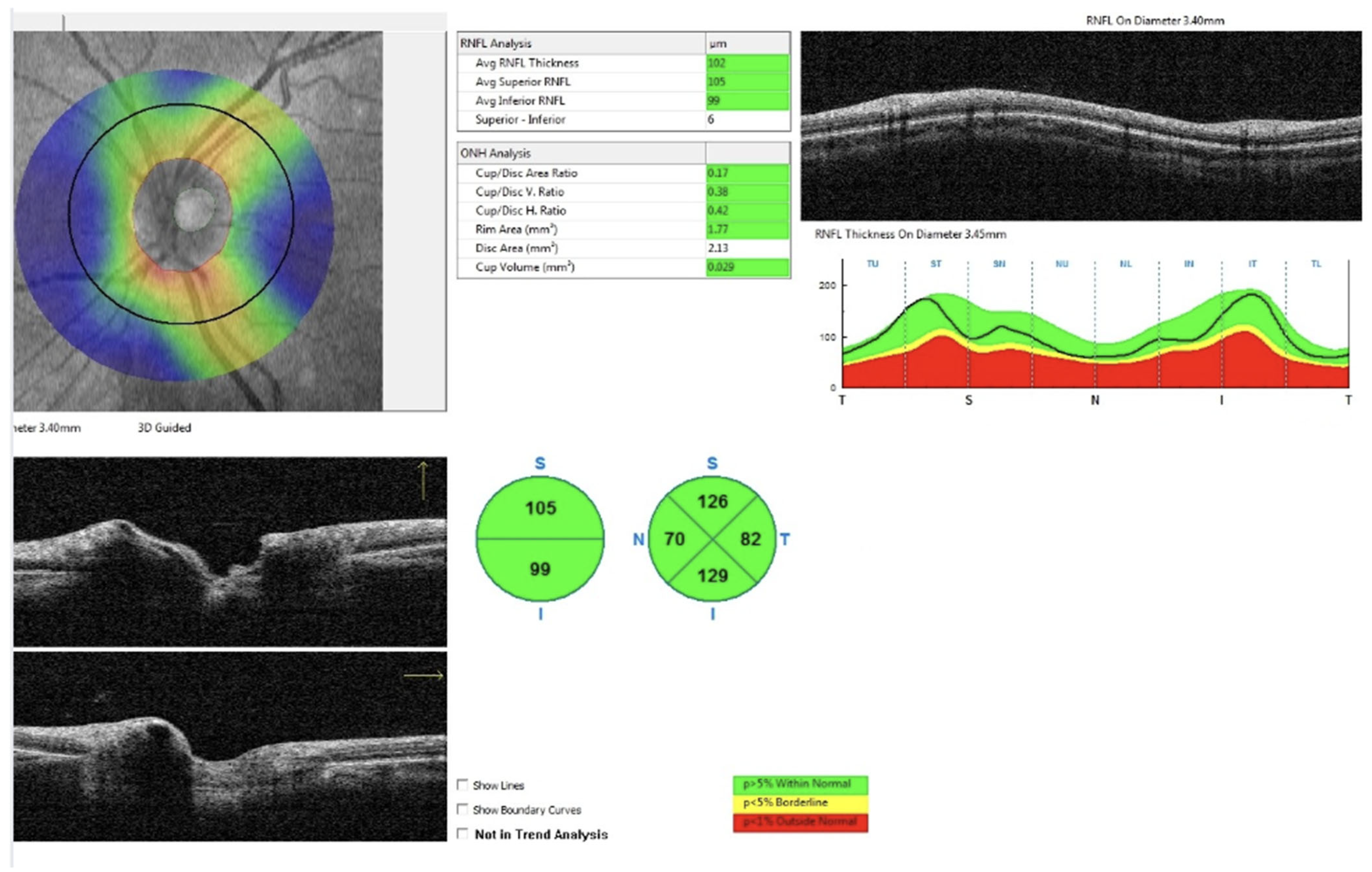
3. Results
4. Discussion
5. Conclusions
Author Contributions
Funding
Institutional Review Board Statement
Informed Consent Statement
Data Availability Statement
Acknowledgments
Conflicts of Interest
References
- Müller, H.L.; Merchant, T.E.; Warmuth-Metz, M.; Martinez-Barbera, J.P.; Puget, S. Craniopharyngioma. Nat. Rev. Dis. Primers 2019, 5, 75. [Google Scholar] [CrossRef] [PubMed]
- Alboqami, M.N.; Albaiahy, A.K.S.; Bukhari, B.H.; Alkhaibary, A.; Alharbi, A.; Khairy, S.; Alassiri, A.H.; AlSufiani, F.; Alkhani, A.; Aloraidi, A. Craniopharyngioma: A Comprehensive Review of the Clinical Presentation, Radiological Findings, Management, and Future Perspective. Heliyon 2024, 10, e32112. [Google Scholar] [CrossRef] [PubMed]
- May, J.A.; Krieger, M.D.; Bowen, I.; Geffner, M.E. Craniopharyngioma in Childhood. Adv. Pediatr. 2006, 53, 183–209. [Google Scholar] [CrossRef]
- Moszczyńska, E.; Prokop-Piotrkowska, M.; Bogusz-Wójcik, A.; Grajkowska, W.; Szymańska, S.; Szalecki, M. Ki67 as a Prognostic Factor of Craniopharyngioma’s Recurrence in Paediatric Population. Childs Nerv. Syst. 2020, 36, 1461–1469. [Google Scholar] [CrossRef] [PubMed]
- Prieto, R.; Pascual, J.M.; Barrios, L. Optic Chiasm Distortions Caused by Craniopharyngiomas: Clinical and Magnetic Resonance Imaging Correlation and Influence on Visual Outcome. World Neurosurg. 2015, 83, 500–529. [Google Scholar] [CrossRef]
- Colliander, R.; Sharma, S.; Shlobin, N.A.; Fernandez, L.G.; LoPresti, M.A.; Lam, S.; DeCuypere, M. Visual Outcomes after Treatment of Craniopharyngioma in Children: A Systematic Review. Childs Nerv. Syst. 2024, 40, 1641–1659. [Google Scholar] [CrossRef]
- Mediero, S.; Noval, S.; Bravo-Ljubetic, L.; Contreras, I.; Carceller, F. Visual Outcomes, Visual Fields, and Optical Coherence Tomography in Paediatric Craniopharyngioma. Neuro-Ophthalmology 2015, 39, 132–139. [Google Scholar] [CrossRef]
- Nuijts, M.A.; Veldhuis, N.; Stegeman, I.; Van Santen, H.M.; Porro, G.L.; Imhof, S.M.; Schouten–van Meeteren, A.Y. Visual Functions in Children with Craniopharyngioma at Diagnosis: A Systematic Review. PLoS ONE 2020, 15, e0240016. [Google Scholar] [CrossRef]
- Sowithayasakul, P.; Beckhaus, J.; Boekhoff, S.; Friedrich, C.; Calaminus, G.; Müller, H.L. Vision-Related Quality of Life in Patients with Childhood-Onset Craniopharyngioma. Sci. Rep. 2023, 13, 19599. [Google Scholar] [CrossRef]
- Wan, M.J.; Zapotocky, M.; Bouffet, E.; Bartels, U.; Kulkarni, A.V.; Drake, J.M. Long-Term Visual Outcomes of Craniopharyngioma in Children. J. Neuro-Oncol. 2018, 137, 645–651. [Google Scholar] [CrossRef]
- Lee, G.I.; Park, K.A.; Oh, S.Y.; Kong, D.S.; Hong, S.D. Inner and Outer Retinal Layer Thickness Alterations in Pediatric and Juvenile Craniopharyngioma. Sci. Rep. 2021, 11, 2840. [Google Scholar] [CrossRef]
- Meyer, D.R. Compressive Optic Neuropathy. Ophthalmology 2007, 114, 199. [Google Scholar] [CrossRef]
- Pang, Y.; Tan, Z.; Chen, X.; Liao, Z.; Yang, X.; Zhong, Q.; Zhong, J.; Mo, W. Evaluation of Preoperative Visual Pathway Impairment in Patients with Non-Functioning Pituitary Adenoma Using Diffusion Tensor Imaging Coupled with Optical Coherence Tomography. Front. Neurosci. 2023, 17, 1057781. [Google Scholar] [CrossRef]
- Rodriguez-Beato, F.Y.; De Jesus, O. Compressive Optic Neuropathy. In StatPearls; StatPearls Publishing: Treasure Island, FL, USA, 2025. [Google Scholar]
- Santorini, M.; Ferreira De Moura, T.; Barraud, S.; Litré, C.F.; Brugniart, C.; Denoyer, A.; Djerada, Z.; Arndt, C. Comparative Evaluation of Two SD-OCT Macular Parameters (GCC, GCL) and RNFL in Chiasmal Compression. Eye Brain 2022, 14, 35–48. [Google Scholar] [CrossRef]
- Qiao, N.; Li, C.; Xu, J.; Ma, G.; Kang, J.; Jin, L.; Cao, L.; Liu, C.; Zhang, Y.; Gui, S. Prognostic Utility of Optical Coherence Tomography for Visual Outcome after Extended Endoscopic Endonasal Surgery for Adult Craniopharyngiomas. Front. Oncol. 2022, 11, 764582. [Google Scholar] [CrossRef] [PubMed]
- Cennamo, G.; Solari, D.; Amoroso, F.; Frio, F.; Donna, P.; Iodice D’Enza, A.; Melenzane, A.; Somma, T.; Tranfa, F.; Cavallo, L.M. Predicting the Early Visual Outcomes in Sellar-Suprasellar Lesions Compressing the Chiasm: The Role of SD-OCT Series of 20 Patients Operated via Endoscopic Endonasal Approach. J. Neurosurg. Sci. 2022, 66, 362–370. [Google Scholar]
- Toumi, E.; Almairac, F.; Mondot, L.; Themelin, A.; Decoux-Poullot, A.G.; Paquis, P.; Chevalier, N.; Baillif, S.; Nahon-Esteve, S.; Martel, A. Benefit of Optical Coherence Tomography–Angiography in Patients Undergoing Transsphenoidal Pituitary Adenoma Surgery: A Prospective Controlled Study. Diagnostics 2024, 14, 1747. [Google Scholar] [CrossRef] [PubMed]
- Danesh-Meyer, H.V.; Papchenko, T.; Savino, P.J.; Law, A.; Evans, J.; Gamble, G.D. In Vivo Retinal Nerve Fiber Layer Thickness Measured by Optical Coherence Tomography Predicts Visual Recovery after Surgery for Parachiasmal Tumors. Investig. Ophthalmol. Vis. Sci. 2008, 49, 1879. [Google Scholar] [CrossRef]
- Garcia, T.; Sanchez, S.; Litré, C.F.; Radoi, C.; Delemer, B.; Rousseaux, P.; Ducasse, A.; Arndt, C. Prognostic Value of Retinal Nerve Fiber Layer Thickness for Postoperative Peripheral Visual Field Recovery in Optic Chiasm Compression: Clinical Article. J. Neurosurg. 2014, 121, 165–169. [Google Scholar] [CrossRef]
- Meyer, J.; Diouf, I.; King, J.; Drummond, K.; Stylli, S.; Kaye, A.; Kalincik, T.; Danesh-Meyer, H.; Symons, R.C.A. A Comparison of Macular Ganglion Cell and Retinal Nerve Fibre Layer Optical Coherence Tomographic Parameters as Predictors of Visual Outcomes of Surgery for Pituitary Tumors. Pituitary 2022, 25, 563–572. [Google Scholar] [CrossRef]
- Moon, C.H.; Lee, S.H.; Kim, B.T.; Hwang, S.C.; Ohn, Y.H.; Park, T.K. Diagnostic Ability of Retinal Nerve Fiber Layer Thickness Measurements and Neurologic Hemifield Test to Detect Chiasmal Compression. Investig. Ophthalmol. Vis. Sci. 2012, 53, 5410. [Google Scholar] [CrossRef]
- Phal, P.M.; Steward, C.; Nichols, A.D.; Kokkinos, C.; Desmond, P.M.; Danesh-Meyer, H.; Sufaro, Y.Z.; Kaye, A.H.; Moffat, B.A. Assessment of Optic Pathway Structure and Function in Patients with Compression of the Optic Chiasm: A Correlation with Optical Coherence Tomography. Investig. Ophthalmol. Vis. Sci. 2016, 57, 3884. [Google Scholar] [CrossRef] [PubMed]
- Akashi, A.; Kanamori, A.; Ueda, K.; Matsumoto, Y.; Yamada, Y.; Nakamura, M. The Detection of Macular Analysis by SD-OCT for Optic Chiasmal Compression Neuropathy and Nasotemporal Overlap. Investig. Ophthalmol. Vis. Sci. 2014, 55, 4667. [Google Scholar] [CrossRef] [PubMed]
- Bialer, O.Y.; Goldenberg-Cohen, N.; Toledano, H.; Snir, M.; Michowiz, S. Retinal NFL Thinning on OCT Correlates with Visual Field Loss in Pediatric Craniopharyngioma. Can. J. Ophthalmol. 2013, 48, 494–499. [Google Scholar] [CrossRef] [PubMed]
- Yang, L.; Qu, Y.; Lu, W.; Liu, F. Evaluation of Macular Ganglion Cell Complex and Peripapillary Retinal Nerve Fiber Layer in Primary Craniopharyngioma by Fourier-Domain Optical Coherence Tomography. Med. Sci. Monit. 2016, 22, 2309–2314. [Google Scholar] [CrossRef][Green Version]
- Moon, C.H.; Hwang, S.C.; Kim, B.T.; Ohn, Y.H.; Park, T.K. Visual Prognostic Value of Optical Coherence Tomography and Photopic Negative Response in Chiasmal Compression. Investig. Ophthalmol. Vis. Sci. 2011, 52, 8527. [Google Scholar] [CrossRef]
- Paul, D.A.; Gaffin-Cahn, E.; Hintz, E.B.; Adeclat, G.J.; Zhu, T.; Williams, Z.R.; Vates, E.; Mahon, B.Z. White Matter Changes Linked to Visual Recovery after Nerve Decompression. Sci. Transl. Med. 2014, 6, 266. [Google Scholar] [CrossRef]
- Müller, H.L. Craniopharyngioma. Endocr. Rev. 2014, 35, 513–543. [Google Scholar] [CrossRef]
- Puget, S.; Garnett, M.; Wray, A.; Grill, J.; Habrand, J.L.; Bodaert, N.; Zerah, M.; Bezerra, M.; Renier, D.; Pierre-Kahn, A.; et al. Pediatric Craniopharyngiomas: Classification and Treatment According to the Degree of Hypothalamic Involvement. J. Neurosurg. Pediatr. 2007, 106, 3–12. [Google Scholar] [CrossRef]
- Sughrue, M.E.; Yang, I.; Kane, A.J.; Fang, S.; Clark, A.J.; Aranda, D.; Barani, I.J.; Parsa, A.T. Endocrinologic, Neurologic, and Visual Morbidity after Treatment for Craniopharyngioma. J. Neurooncol. 2011, 101, 463–476. [Google Scholar] [CrossRef]
- Bozzi, M.T.; Mallereau, C.H.; Todeschi, J.; Baloglu, S.; Ardellier, F.D.; Romann, J.; Trouve, L.; Bocsksei, Z.; Alcazar, J.; Dannhoff, G.; et al. Is the OCT a Predictive Tool to Assess Visual Impairment in Optic Chiasm Compressing Syndrome in Pituitary Macroadenoma? A Prospective Longitudinal Study. Neurosurg. Rev. 2024, 47, 50. [Google Scholar] [CrossRef] [PubMed]
- Danesh-Meyer, H.V.; Wong, A.; Papchenko, T.; Matheos, K.; Stylli, S.; Nichols, A.; Frampton, C.; Daniell, M.; Savino, P.J.; Kaye, A.H. Optical Coherence Tomography Predicts Visual Outcome for Pituitary Tumors. J. Clin. Neurosci. 2015, 22, 1098–1104. [Google Scholar] [CrossRef] [PubMed]
- Danesh-Meyer, H.V.; Carroll, S.C.; Foroozan, R.; Savino, P.J.; Fan, J.; Jiang, Y.; Hoorn, S.V. Relationship between Retinal Nerve Fiber Layer and Visual Field Sensitivity as Measured by Optical Coherence Tomography in Chiasmal Compression. Investig. Ophthalmol. Vis. Sci. 2006, 47, 4827. [Google Scholar] [CrossRef] [PubMed]
- Gil-Simoes, R.; Pascual, J.; Casas, A.; De Sola, R. Intrachiasmatic Craniopharyngioma: Assessment of Visual Outcome with Optical Coherence Tomography after Complete Surgical Removal. Surg. Neurol. Int. 2019, 10, 7. [Google Scholar] [CrossRef]
- Laowanapiban, P.; Sathianvichitr, K.; Chirapapaisan, N. Structural and Functional Differentiation between Compressive and Glaucomatous Optic Neuropathy. Sci. Rep. 2022, 12, 6795. [Google Scholar] [CrossRef]
- Kaushik, M.; Fraser, C.L. Optical Coherence Tomography in Compressive Lesions of the Anterior Visual Pathway. Ann. Eye Sci. 2020, 5, 15. [Google Scholar] [CrossRef]
- Chamoun, R.; Couldwell, W.T. Transcortical–Transforaminal Microscopic Approach for Purely Intraventricular Craniopharyngioma. Neurosurg. Focus 2013, 34. [Google Scholar] [CrossRef]
- Liu, J.K.; Sevak, I.A.; Carmel, P.W.; Eloy, J.A. Microscopic versus Endoscopic Approaches for Craniopharyngiomas: Choosing the Optimal Surgical Corridor for Maximizing Extent of Resection and Complication Avoidance Using a Personalized, Tailored Approach. Neurosurg. Focus 2016, 41, E5. [Google Scholar] [CrossRef]
- Orski, M.; Tarnawski, R.; Wylęgała, E.; Tarnawska, D. The Impact of Robotic Fractionated Radiotherapy for Benign Tumors of Parasellar Region on the Eye Structure and Function. J. Clin. Med. 2023, 12, 404. [Google Scholar] [CrossRef]
- Ataídes, F.G.; Silva, S.F.B.R.; Baldin, J.J.C.M.D.C. Radiation-Induced Optic Neuropathy: Literature Review. Neuro-Ophthalmol. 2021, 45, 172–180. [Google Scholar] [CrossRef]
- Indaram, M.; Ali, F.S.; Levin, M.H. In Search of a Treatment for Radiation-Induced Optic Neuropathy. Curr. Treat. Options Neurol. 2015, 17, 325. [Google Scholar] [CrossRef]





| Craniopharyngioma (CP) Patient Characteristics | Study Cohort (Patients) | Study Cohort (Eyes) |
|---|---|---|
| n (%) | n (%) | |
| Sex, female/male, % | 16 (42%)/22 (58%) | 31 (42%)/42 (58%) |
| Place of birth, city/country | 28 (74%)/10 (26%) | 53 (73%)/20 (27%) |
| Mean age at CP diagnosis, years (range) | 8.5 (1.9–16) | |
| Mean age at OCT examination, years (range) | 10.3 (4–17) | |
| Tumor location | ||
| Intrasellar and suprasellar | 24 (63%) | 46 (63%) |
| Suprasellar | 14 (37%) | 27 (37%) |
| Intrasellar | 0 (0%) | 0 (0%) |
| Median tumor volume, cm3 (range) | 35.2 (1.8–213.7) | |
| Median maximum tumor diameter, mm (range) | 44.2 (19–98) | |
| Tumor morphology solid/cystic | 4 (11%)/34 (89%) | 7 (10%)/66 (90%) |
| Calcifications | 37 (97%) | 71 (97%) |
| Invading the third ventricle | 29 (76%) | 55 (78%) |
| Cavernous sinus infiltration | 2 (5%) | 4 (5%) |
| Hydrocephalus | 16 (42%) | 29 (40%) |
| Ventriculoperitoneal shunt | 6 (16%) | 12 (16%) |
| Bifrontal craniotomy/transcortical-transforaminal craniotomy | 31 (87%)/5 (13%) | 63 (86%)/10 (14%) |
| Degree of surgical resection (complete/incomplete resection) | 23 (61%)/15 (39%) | 46 (63%)/27 (37%) |
| Rosenthal fibers in histopathology examination | 5 (13%) | 9 (12%) |
| Progression | 5 (13) | 9 (12%) |
| Recurrence | 4 (11%) | 7 (10%) |
| Reoperation | 7 (8%) | 13 (18%) |
| Radiotherapy | 10 (24%) | 19 (26%) |
| Variable | Craniopharyngioma Group | Control Group | p | ||||||
|---|---|---|---|---|---|---|---|---|---|
| M | Q1 | Q3 | Range | M | Q1 | Q3 | Range | ||
| avgRNFL (μm) | 78 | 68 | 89 | 52–117 | 104 | 101 | 109 | 93–137 | <0.001 |
| supRNFL (μm) | 78 | 69 | 91 | 50–120 | 104 | 102 | 111.5 | 93–158 | <0.001 |
| infRNFL (μm) | 78 | 63 | 86 | 49–120 | 102 | 98 | 108.5 | 90–128 | <0.001 |
| ST (μm) | 117 | 103 | 131 | 55–162 | 139.5 | 130 | 150.5 | 55–162 | <0.001 |
| TU (μm) | 59 | 48 | 70 | 36–101 | 87.5 | 81 | 95.5 | 69–120 | <0.001 |
| TL (μm) | 51 | 38 | 59 | 29–91 | 74 | 69.5 | 79.5 | 57–105 | <0.001 |
| IT (μm) | 113 | 99 | 130 | 53–172 | 145 | 137.5 | 153.5 | 124–189 | <0.001 |
| IN (μm) | 80 | 64 | 106 | 111–156 | 112.5 | 104 | 123 | 76–153 | <0.001 |
| NL (μm) | 53 | 44 | 65 | 31–114 | 77 | 71.5 | 83 | 56–96 | <0.001 |
| NU (μm) | 57 | 47 | 68 | 29–126 | 88 | 81.5 | 95 | 56–113 | <0.001 |
| SN (μm) | 82 | 67 | 95 | 43–153 | 110.5 | 100 | 124 | 72–200 | <0.001 |
| Clinical Factor | RNFL Parameter | Effect | p-Value |
|---|---|---|---|
| Calcification | avgRNFL | Thinner with calcification | 0.037 |
| supRNFL | Thinner with calcification | 0.027 | |
| infRNFL | Thinner with calcification | 0.042 | |
| TU | Thinner with calcification | 0.029 | |
| IN | Thinner with calcification | 0.037 | |
| NL | Thinner with calcification | 0.009 | |
| NU | Thinner with calcification | 0.015 | |
| Ventriculoperitoneal shunt | TU | Thinner in shunted patients | 0.006 |
| TL | Thinner in shunted patients | 0.005 | |
| Craniotomy type | avgRNFL | Bifrontal < Transcortical | 0.003 |
| supRNFL | Bifrontal < Transcortical | 0.001 | |
| infRNFL | Bifrontal < Transcortical | 0.022 | |
| IN | Bifrontal < Transcortical | 0.002 | |
| NL | Bifrontal < Transcortical | 0.002 | |
| NU | Bifrontal < Transcortical | 0.004 | |
| SN | Bifrontal < Transcortical | 0.002 | |
| ST, TU, TL, IT | No significant difference | n.s. | |
| Total tumor resection | avgRNFL | Thinner after total resection | 0.0026 |
| supRNFL | Thinner after total resection | 0.031 | |
| infRNFL | Thinner after total resection | 0.036 | |
| TU | Thinner after total resection | 0.032 | |
| IT | Thinner after total resection | 0.022 | |
| NL | Thinner after total resection | 0.049 | |
| SN | Thinner after total resection | 0.024 | |
| Rosenthal fibers | NL | Thinner when Rosenthal fibers present | 0.036 |
| Reoperation | TU | Thinner in reoperated patients | 0.027 |
| IN | Thinner in reoperated patients | 0.023 | |
| NL | Thinner in reoperated patients | 0.045 |
Disclaimer/Publisher’s Note: The statements, opinions and data contained in all publications are solely those of the individual author(s) and contributor(s) and not of MDPI and/or the editor(s). MDPI and/or the editor(s) disclaim responsibility for any injury to people or property resulting from any ideas, methods, instructions or products referred to in the content. |
© 2025 by the authors. Licensee MDPI, Basel, Switzerland. This article is an open access article distributed under the terms and conditions of the Creative Commons Attribution (CC BY) license (https://creativecommons.org/licenses/by/4.0/).
Share and Cite
Rakusiewicz-Krasnodębska, K.; Bogusz-Wójcik, A.; Moszczyńska, E.; Jaworski, M.; Kowalczyk, P.; Hautz, W. Evaluation of the Effect of Optic Nerve Compression by Craniopharyngioma on Retinal Nerve Fiber Layer Thickness in Pediatric Patients. Cancers 2025, 17, 2574. https://doi.org/10.3390/cancers17152574
Rakusiewicz-Krasnodębska K, Bogusz-Wójcik A, Moszczyńska E, Jaworski M, Kowalczyk P, Hautz W. Evaluation of the Effect of Optic Nerve Compression by Craniopharyngioma on Retinal Nerve Fiber Layer Thickness in Pediatric Patients. Cancers. 2025; 17(15):2574. https://doi.org/10.3390/cancers17152574
Chicago/Turabian StyleRakusiewicz-Krasnodębska, Klaudia, Agnieszka Bogusz-Wójcik, Elżbieta Moszczyńska, Maciej Jaworski, Paweł Kowalczyk, and Wojciech Hautz. 2025. "Evaluation of the Effect of Optic Nerve Compression by Craniopharyngioma on Retinal Nerve Fiber Layer Thickness in Pediatric Patients" Cancers 17, no. 15: 2574. https://doi.org/10.3390/cancers17152574
APA StyleRakusiewicz-Krasnodębska, K., Bogusz-Wójcik, A., Moszczyńska, E., Jaworski, M., Kowalczyk, P., & Hautz, W. (2025). Evaluation of the Effect of Optic Nerve Compression by Craniopharyngioma on Retinal Nerve Fiber Layer Thickness in Pediatric Patients. Cancers, 17(15), 2574. https://doi.org/10.3390/cancers17152574

