ISUP Grade Prediction of Prostate Nodules on T2WI Acquisitions Using Clinical Features, Textural Parameters and Machine Learning-Based Algorithms
Simple Summary
Abstract
1. Introduction
2. Materials and Methods
2.1. Patient and Clinical Data Selection
2.2. Pre-Biopsy mpMRI Acquisition Protocol
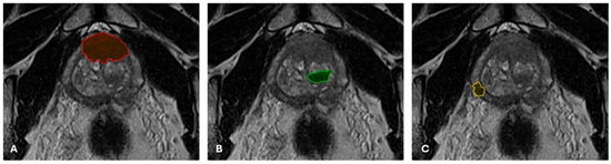
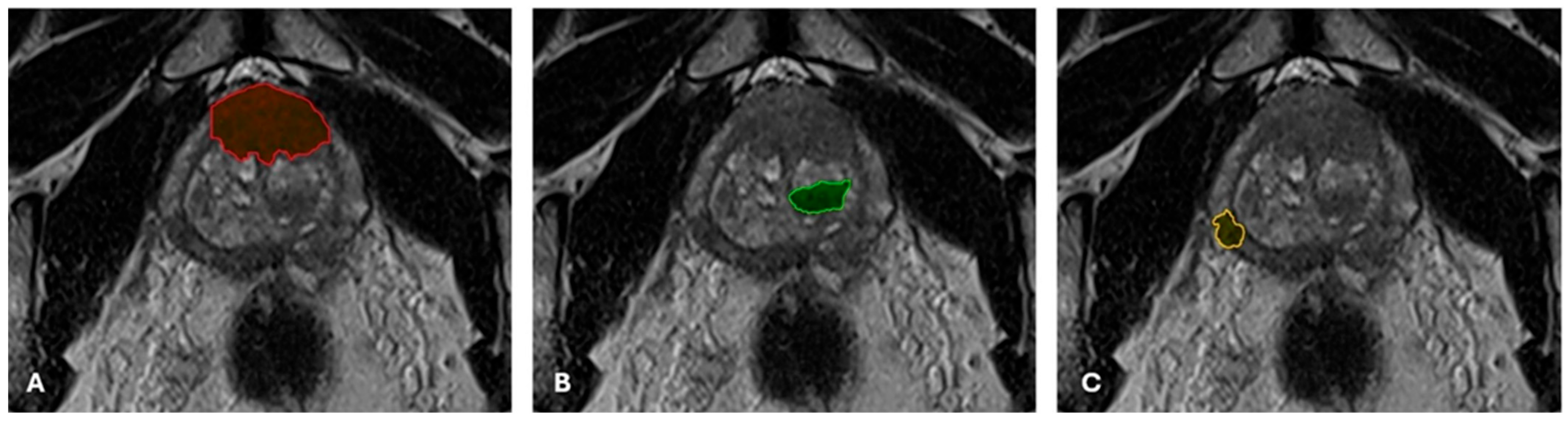
2.3. Oblique-Axial T2WI Segmentation
2.4. MRI-TRUS Fusion Biopsy
2.5. Pathology
2.6. Software Development
- Operating system: Windows 10 (Microsoft Corporation, Redmond, WA, USA);
- Processor: 12th Gen Intel® Core™ i7-10610U (Intel Corporation, Santa Clara, CA, USA);
- Central processing unit (CPU): 1.80 GHz;
- Random-Access Memory (RAM): 16 GB;
- Graphics Processing Unit (GPU): Intel® UHD Graphics;
- System type: 64-bit operating system on an x64-based processor.
- Clinical: based on features such as age, digital rectal examination findings, PSA density, PI-RADS score, and the lesion’s maximum diameter;
- Radiomic: based on textural features only;
- Combined: an integrative model that combines clinical data with radiomic features.
2.7. Statistical Analysis
3. Results
3.1. General Characteristics of the Study Group
3.2. Performance of the Trained Algorithms for Differentiating ISUP 1 from ISUP 2–5 Lesions
3.3. Performance of the Trained Algorithms for Differentiating ISUP 2 Versus ISUP 3 Lesions
4. Discussion
5. Limitations
6. Conclusions
Supplementary Materials
Author Contributions
Funding
Institutional Review Board Statement
Informed Consent Statement
Data Availability Statement
Conflicts of Interest
References
- Siegel, R.L.; Miller, K.D.; Wagle, N.S.; Jemal, A. Cancer statistics, 2023. CA Cancer J. Clin. 2023, 73, 17–48. [Google Scholar] [CrossRef]
- Epstein, J.I.; Egevad, L.; Amin, M.B.; Delahunt, B.; Srigley, J.R.; Humphrey, P.A. The 2014 International Society of Urological Pathology (ISUP) Consensus Conference on Gleason Grading of Prostatic Carcinoma: Definition of Grading Patterns and Proposal for a New Grading System. Am. J. Surg. Pathol. 2016, 40, 244–252. [Google Scholar] [CrossRef] [PubMed]
- Paudel, R.; Madan, R.; Qi, J.; Ferrante, S.; Cher, M.L.; Lane, B.R.; George, A.K.; Semerjian, A.; Ginsburg, K.B. The Use and Short-term Outcomes of Active Surveillance in Men With National Comprehensive Cancer Network Favorable Intermediate-risk Prostate Cancer: The Initial Michigan Urological Surgery Improvement Collaborative Experience. J. Urol. 2023, 209, 170–179. [Google Scholar] [CrossRef]
- Frankcombe, D.E.; Li, J.; Cohen, R.J. Redefining the Concept of Clinically Insignificant Prostate Cancer. Urology 2020, 136, 176–179. [Google Scholar] [CrossRef]
- Ji, W.T.; Jin, X.F.; Wang, Y. The Rate of Clinically Significant Prostate Cancer on Repeat Biopsy after a Diagnosis of Atypical Small Acinar Proliferation: A Systematic Review and Meta-Analysis. Oncology 2024, 102, 631–640. [Google Scholar] [CrossRef] [PubMed]
- Wiegel, T.; Bartkowiak, D.; Bottke, D.; Bronner, C.; Steiner, U.; Siegmann, A.; Golz, R.; Störkel, S.; Willich, N.; Semjonow, A.; et al. Adjuvant radiotherapy versus wait-and-see after radical prostatectomy: 10-year follow-up of the ARO 96-02/AUO AP 09/95 trial. Eur. Urol. 2014, 66, 243–250. [Google Scholar] [CrossRef] [PubMed]
- Merriel, S.W.D.; Pocock, L.; Gilbert, E.; Creavin, S.; Walter, F.M.; Spencer, A.; Hamilton, W. Systematic review and meta-analysis of the diagnostic accuracy of prostate-specific antigen (PSA) for the detection of prostate cancer in symptomatic patients. BMC Med. 2022, 20, 54. [Google Scholar] [CrossRef]
- Turkbey, B.; Rosenkrantz, A.B.; Haider, M.A.; Padhani, A.R.; Villeirs, G.; Macura, K.J.; Tempany, C.M.; Choyke, P.L.; Cornud, F.; Margolis, D.J.; et al. Prostate Imaging Reporting and Data System Version 2.1: 2019 Update of Prostate Imaging Reporting and Data System Version 2. Eur. Urol. 2019, 76, 340–351. [Google Scholar] [CrossRef]
- Jóźwiak, R.; Sobecki, P.; Lorenc, T. Intraobserver and Interobserver Agreement between Six Radiologists Describing mpMRI Features of Prostate Cancer Using a PI-RADS 2.1 Structured Reporting Scheme. Life 2023, 13, 580. [Google Scholar] [CrossRef]
- Flood, T.F.; Pokharel, S.S.; Patel, N.U.; Clark, T.J. Accuracy and Interobserver Variability in Reporting of PI-RADS Version 2. J. Am. Coll. Radiol. 2017, 14, 1202–1205. [Google Scholar] [CrossRef]
- Bullock, N.; Simpkin, A.; Fowler, S.; Varma, M.; Kynaston, H.; Narahari, K. Pathological upgrading in prostate cancer treated with surgery in the United Kingdom: Trends and risk factors from the British Association of Urological Surgeons Radical Prostatectomy Registry. BMC Urol. 2019, 19, 94. [Google Scholar] [CrossRef] [PubMed]
- Palmisano, F.; Lorusso, V.; Legnani, R.; Martorello, V.; Nedbal, C.; Tramanzoli, P.; Marchesotti, F.; Ferraro, S.; Talso, M.; Granata, A.M.; et al. Analysis of the Performance and Accuracy of a PSA and PSA Ratio-Based Nomogram to Predict the Probability of Prostate Cancer in a Cohort of Patients with PIRADS 3 Findings at Multiparametric Magnetic Resonance Imaging. Cancers 2024, 16, 3084. [Google Scholar] [CrossRef]
- Lambin, P.; Rios-Velazquez, E.; Leijenaar, R.; Carvalho, S.; van Stiphout, R.G.P.M.; Granton, P.; Zegers, C.M.L.; Gillies, R.; Boellard, R.; Dekker, A.; et al. Radiomics: Extracting more information from medical images using advanced feature analysis. Eur. J. Cancer. 2012, 48, 441–446. [Google Scholar] [CrossRef]
- Mayerhoefer, M.E.; Materka, A.; Langs, G.; Häggström, I.; Szczypiński, P.; Gibbs, P.; Cook, G. Introduction to Radiomics. J. Nucl. Med. 2020, 61, 488–495. [Google Scholar] [CrossRef] [PubMed]
- van Timmeren, J.E.; Cester, D.; Tanadini-Lang, S.; Alkadhi, H.; Baessler, B. Radiomics in medical imaging-”how-to” guide and critical reflection. Insights Imaging 2020, 11, 91. [Google Scholar] [CrossRef] [PubMed]
- Chen, T.; Li, M.; Gu, Y.; Zhang, Y.; Yang, S.; Wei, C.; Wu, J.; Li, X.; Zhao, W.; Shen, J. Prostate Cancer Differentiation and Aggressiveness: Assessment With a Radiomic-Based Model vs. PI-RADS v2. J. Magn. Reson. Imaging 2019, 49, 875–884. [Google Scholar] [CrossRef]
- Khosravi, P.; Lysandrou, M.; Eljalby, M.; Li, Q.; Kazemi, E.; Zisimopoulos, P.; Sigaras, A.; Brendel, M.; Barnes, J.; Ricketts, C.; et al. A Deep Learning Approach to Diagnostic Classification of Prostate Cancer Using Pathology-Radiology Fusion. J. Magn. Reson. Imaging 2021, 54, 462–471. [Google Scholar] [CrossRef]
- Mottet, N.; van den Bergh, R.C.N.; Briers, E.; van den Broeck, T.; Cumberbatch, M.G.; De Santis, M.; Fanti, S.; Fossati, N.; Gandaglia, G.; Gillessen, S.; et al. EAU-EANM-ESTRO-ESUR-SIOG Guidelines on Prostate Cancer-2020 Update. Part 1: Screening, Diagnosis, and Local Treatment with Curative Intent. Eur. Urol. 2021, 79, 243–262. [Google Scholar] [CrossRef]
- Fedorov, A.; Beichel, R.; Kalpathy-Cramer, J.; Finet, J.; Fillion-Robin, J.-C.; Pujol, S.; Bauer, C.; Jennings, D.; Fennessy, F.; Sonka, M.; et al. 3D Slicer as an image computing platform for the Quantitative Imaging Network. Magn. Reson. Imaging 2012, 30, 1323–1341. [Google Scholar] [CrossRef]
- Mohanty, S.K.; Lobo, A.; Cheng, L. The 2022 revision of the World Health Organization classification of tumors of the urinary system and male genital organs: Advances and challenges. Hum Pathol. 2023, 136, 123–143. [Google Scholar] [CrossRef]
- van Griethuysen, J.J.M.; Fedorov, A.; Parmar, C.; Hosny, A.; Aucoin, N.; Narayan, V.; Beets-Tan, R.G.H.; Fillion-Robin, J.-C.; Pieper, S.; Aerts, H.J.W.L. Computational Radiomics System to Decode the Radiographic Phenotype. Cancer Res. 2017, 77, e104–e107. [Google Scholar] [CrossRef] [PubMed]
- Schwartz, W.R.; Siqueira, F.R.; de Pedrini, H. Evaluation of feature descriptors for texture classification. J. Electron. Imaging 2012, 21, 023016. [Google Scholar] [CrossRef]
- Thibault, G.; Fertil, B.; Navarro, C.; Pereira, S.; Cau, P.; Lévy, N.; Sequeira, J.; Mari, J.-L. Texture Indexes and Gray Level Size Zone Matrix Application to Cell Nuclei Classification. In Proceedings of the 10th International Conference on Pattern Recognition and Information Processing, PRIP, Minsk, Belarus, 19–21 May 2009; pp. 140–145. [Google Scholar]
- Zwanenburg, A.; Leger, S.; Vallières, M.; Löck, S. Initiative for Image biomarker standardisation initiative—Feature definitions. arXiv 2016, arXiv:1612.07003. [Google Scholar] [CrossRef]
- Sipos-Lascu, R.; Dioşan, L.S. An Evaluation of Image Texture Descriptors and their Invariant Properties. In Proceedings of the 2022 24th International Symposium on Symbolic and Numeric Algorithms for Scientific Computing (SYNASC), Hagenberg/Linz, Austria, 12–15 September 2022; pp. 284–292. [Google Scholar] [CrossRef]
- Telecan, T.; Caraiani, C.; Boca, B.; Sipos-Lascu, R.; Diosan, L.; Balint, Z.; Hendea, R.M.; Andras, I.; Crisan, N.; Lupsor-Platon, M. Automatic Characterization of Prostate Suspect Lesions on T2-Weighted Image Acquisitions Using Texture Features and Machine-Learning Methods: A Pilot Study. Diagnostics 2025, 15, 106. [Google Scholar] [CrossRef]
- Diven, M.A.; Tshering, L.; Ma, X.; Hu, J.C.; Barbieri, C.; McClure, T.; Nagar, H. Trends in Active Surveillance for Men With Intermediate-Risk Prostate Cancer. JAMA Netw. Open 2024, 7, e2429760. [Google Scholar] [CrossRef]
- Dragomir, A.; Cury, F.L.; Aprikian, A.G. Active surveillance for low-risk prostate cancer compared with immediate treatment: A Canadian cost comparison. CMAJ Open 2014, 2, E60–E68. [Google Scholar] [CrossRef]
- Sharma, V.; Wymer, K.M.; Borah, B.J.; Barocas, D.A.; Thompson, R.H.; Karnes, R.J.; Boorjian, S.A. Cost-Effectiveness of Active Surveillance, Radical Prostatectomy and External Beam Radiotherapy for Localized Prostate Cancer: An Analysis of the ProtecT Trial. J. Urol. 2019, 202, 964–972. [Google Scholar] [CrossRef]
- Keegan, K.A.; Dall’Era, M.A.; Durbin-Johnson, B.; Evans, C.P. Active surveillance for prostate cancer compared with immediate treatment: An economic analysis. Cancer 2012, 118, 3512–3518. [Google Scholar] [CrossRef]
- Winkel, D.J.; Breit, H.C.; Block, T.K.; Boll, D.T.; Heye, T.J. High spatiotemporal resolution dynamic contrast-enhanced MRI improves the image-based discrimination of histopathology risk groups of peripheral zone prostate cancer: A supervised machine learning approach. Eur. Radiol. 2020, 30, 4828–4837. [Google Scholar] [CrossRef]
- Laukhtina, E.; Motlagh, R.S.; Mori, K.; Quhal, F.; Schuettfort, V.M.; Mostafaei, H.; Katayama, S.; Grossmann, N.C.; Ploussard, G.; Karakiewicz, P.I.; et al. Oncologic impact of delaying radical prostatectomy in men with intermediate- and high-risk prostate cancer: A systematic review. World J. Urol. 2021, 39, 4085–4099. [Google Scholar] [CrossRef]
- Brisbane, W.G.; Priester, A.M.; Ballon, J.; Kwan, L.; Delfin, M.K.; Felker, E.R.; Sisk, A.E.; Hu, J.C.; Marks, L.S. Targeted Prostate Biopsy: Umbra, Penumbra, and Value of Perilesional Sampling. Eur. Urol. 2022, 82, 303–310. [Google Scholar] [CrossRef] [PubMed]
- Udayakumar, N.; Porter, K.K. How Fast Can We Go: Abbreviated Prostate MR Protocols. Curr. Urol. Rep. 2020, 21, 59. [Google Scholar] [CrossRef] [PubMed]
- Sheth, V.; Tripathi, U.; Sharma, A. A Comparative Analysis of Machine Learning Algorithms for Classification Purpose. Procedia Comput. Sci. 2022, 215, 422–431. [Google Scholar] [CrossRef]
- Chaddad, A.; Niazi, T.; Probst, S.; Bladou, F.; Anidjar, M.; Bahoric, B. Predicting Gleason Score of Prostate Cancer Patients Using Radiomic Analysis. Front. Oncol. 2018, 8, 630. [Google Scholar] [CrossRef] [PubMed]
- Zhang, L.; Jiang, D.; Chen, C.; Yang, X.; Lei, H.; Kang, Z.; Huang, H.; Pang, J. Development and validation of a multiparametric MRI-based radiomics signature for distinguishing between indolent and aggressive prostate cancer. Br. J. Radiol. 2022, 95, 20210191. [Google Scholar] [CrossRef]
- Gong, L.; Xu, M.; Fang, M.; Zou, J.; Yang, S.; Yu, X.; Xu, D.; Zhou, L.; Li, H.; He, B.; et al. Noninvasive Prediction of High-Grade Prostate Cancer via Biparametric MRI Radiomics. J. Magn. Reson. Imaging 2020, 52, 1102–1109. [Google Scholar] [CrossRef]
- Duenweg, S.R.; Bobholz, S.A.; Barrett, M.J.; Lowman, A.K.; Winiarz, A.; Nath, B.; Stebbins, M.; Bukowy, J.; Iczkowski, K.A.; Jacobsohn, K.M.; et al. T2-Weighted MRI Radiomic Features Predict Prostate Cancer Presence and Eventual Biochemical Recurrence. Cancers 2023, 15, 4437. [Google Scholar] [CrossRef]
- Virarkar, M.; Szklaruk, J.; Diab, R.; Bassett, R.; Bhosale, P. Diagnostic value of 3.0 T versus 1.5 T MRI in staging prostate cancer: Systematic review and meta-analysis. Pol. J. Radiol. 2022, 87, e421–e429. [Google Scholar] [CrossRef]
- Ponsiglione, A.; Gambardella, M.; Stanzione, A.; Green, R.; Cantoni, V.; Nappi, C.; Crocetto, F.; Cuocolo, R.; Cuocolo, A.; Imbriaco, M. Radiomics for the identification of extraprostatic extension with prostate MRI: A systematic review and meta-analysis. Eur. Radiol. 2024, 34, 3981–3991. [Google Scholar] [CrossRef]
- Guerra, A.; Wang, H.; Orton, M.R.; Konidari, M.; Papanikolaou, N.K.; Koh, D.M.; Donato, H.; Alves, F.C. Prediction of extracapsular extension of prostate cancer by MRI radiomic signature: A systematic review. Insights Imaging 2024, 15, 217. [Google Scholar] [CrossRef] [PubMed]
- Fazekas, T.; Pallauf, M.; Kufel, J.; Miszczyk, M.; Tsuboi, I.; Matsukawa, A.; Laukhtina, E.; Parizi, M.K.; Mancon, S.; Cadenar, A.; et al. Molecular Correlates of Prostate Cancer Visibility on Multiparametric Magnetic Resonance Imaging: A Systematic Review. Eur. Urol. Oncol. 2024, S2588-9311(24)00227-X. [Google Scholar] [CrossRef] [PubMed]
- Fehr, D.; Veeraraghavan, H.; Wibmer, A.; Gondo, T.; Matsumoto, K.; Vargas, H.A.; Sala, E.; Hricak, H.; Deasy, J.O. Automatic classification of prostate cancer Gleason scores from multiparametric magnetic resonance images. Proc. Natl. Acad. Sci. USA 2015, 112, E6265–E6273. [Google Scholar] [CrossRef] [PubMed]




| Random Forest | Support Vector Machine | Logistic Regression | ||||
|---|---|---|---|---|---|---|
| Parameter | Value | Parameter | Value | Parameter | Value | |
| ISUP 1 vs. ISUP 2–5 | Number of trees: | 20 | Regularization: | 0.0001 | Regularization: | 0.001 |
| Random State: | None | Kernel: | Poly | Maximum number of iterations: | 100 | |
| Maximum Depth: | 100 | Degree: | 16 | Solver: | Liblinear | |
| Minimum Sample Split: | 10 | Probability: | True | Random state: | None | |
| Minimum Sample Leaf: | 5 | Class weight: | Balanced | Class weight: | Balanced | |
| Maximum Features: | Log2 | |||||
| Bootstrap: | True | |||||
| Maximum Samples: | 0.7 | |||||
| Cost Complexity Pruning Alpha: | 0.04 | |||||
| Class-weight: | Balanced | |||||
| ISUP 2 vs. ISUP 3 | Number of trees: | 40 | Regularization: | 0.0001 | Regularization: | 0.1 |
| Random State: | None | Kernel: | Poly | Maximum number of iterations: | 100 | |
| Maximum Depth: | 100 | Degree: | 13 | Solver: | Lbfgs | |
| Minimum Sample Split: | 10 | Probability: | True | Random state: | None | |
| Minimum Sample Leaf: | 5 | Class weight: | Balanced | Class weight: | Balanced | |
| Maximum Features: | Log2 | Verbose: | 1 | |||
| Bootstrap: | True | |||||
| Maximum Samples: | 0.7 | |||||
| Cost Complexity Pruning Alpha: | 0.05 | |||||
| Class-weight: | Balanced | |||||
| Variable | Value Median [Range] or Numbers (Percentages) |
|---|---|
| Age (years) | 65 [61–69] |
| Digital rectal examination | |
| Positive, n (%) | 94 (61.03%) |
| Negative, n (%) | 60 (38.96%) |
| PSA value (ng/mL) | 10.27 [3.5–70.0] |
| PSA density (ng/mL2) | 0.209 [0.012–1.24] |
| Prostatic volume (cm3) | 47.23 [36.265–60.3] |
| Prostatic nodules | 201 |
| PI-RADS Score, n (%) | |
| 3 | 37 (18.4%) |
| 4 | 107 (53.23%) |
| 5 | 57 (28.35%) |
| Lesion maximum diameter (mm) | 14.65 [8–32] |
| Nodule location, n (%) | |
| Right side | 97 (48.25%) |
| Left side | 88 (43.78%) |
| Extending into both lobes | 16 (7.96%) |
| Targeted cores per lesion | 3 [3,4] |
| ISUP Grade per nodule, n (%) | |
| ISUP 1 | 78 (38.8%) |
| ISUP 2 | 87 (43.28%) |
| ISUP 3 | 31 (15.42%) |
| ISUP 4 | 3 (1.49%) |
| ISUP 5 | 2 (0.99%) |
| TPR | TNR | PPV | NPV | FPR | FNR | FDR | Accuracy | ||
|---|---|---|---|---|---|---|---|---|---|
| Logistic Regression | No correlation | 0.8125 | 0.3200 | 0.6047 | 0.5714 | 0.6800 | 0.1875 | 0.3953 | 0.5965 |
| Partial correlation | 0.9375 | 0.0800 | 0.5660 | 0.5000 | 0.9200 | 0.0625 | 0.4340 | 0.5088 | |
| Full correlation | 0.9375 | 0.0800 | 0.5660 | 0.5000 | 0.9200 | 0.0625 | 0.4340 | 0.5614 | |
| Support Vector Machine | No correlation | 0.5938 | 0.5200 | 0.6129 | 0.5000 | 0.4800 | 0.4063 | 0.3871 | 0.5569 |
| Partial correlation | 0.4063 | 0.7200 | 0.6500 | 0.4865 | 0.2800 | 0.5938 | 0.3500 | 0.563 | |
| Full correlation | 0.2500 | 0.9200 | 0.8000 | 0.4894 | 0.0800 | 0.7500 | 0.2000 | 0.5850 | |
| Random Forest | No correlation | 0.6563 | 0.8000 | 0.8077 | 0.6452 | 0.2000 | 0.3438 | 0.1923 | 0.7281 |
| Partial correlation | 0.9375 | 0.8250 | 0.8428 | 0.9297 | 0.1750 | 0.0625 | 0.1923 | 0.8813 | |
| Full correlation | 0.5625 | 0.7200 | 0.7200 | 0.5625 | 0.2800 | 0.4375 | 0.2800 | 0.6412 |
| TPR | TNR | PPV | NPV | FPR | FNR | FDR | Accuracy | ||
|---|---|---|---|---|---|---|---|---|---|
| Logistic Regression | No correlation | 0.9583 | 0.1355 | 0.5750 | 0.7272 | 0.8644 | 0.0416 | 0.4250 | 0.5877 |
| Partial correlation | 0.9722 | 0.0677 | 0.5600 | 0.6666 | 0.9322 | 0.0277 | 0.4400 | 0.5648 | |
| Full correlation | 0.9722 | 0.0847 | 0.5654 | 0.7142 | 0.9152 | 0.0277 | 0.4354 | 0.5725 | |
| Support Vector Machine | No correlation | 0.7024 | 0.5000 | 0.5842 | 0.6269 | 0.2500 | 0.1488 | 0.4158 | 0.6012 |
| Partial correlation | 0.7638 | 0.8644 | 0.8744 | 0.7500 | 0.1355 | 0.2361 | 0.1269 | 0.8091 | |
| Full correlation | 0.4722 | 1.000 | 1.000 | 0.6082 | - | 0.5277 | - | 0.7099 | |
| Random Forest | No correlation | 0.7777 | 0.8983 | 0.9032 | 0.7611 | 0.1016 | 0.2222 | 0.0967 | 0.8320 |
| Partial correlation | 0.9414 | 0.8808 | 0.8875 | 0.9375 | 0.1191 | 0.0585 | 0.1125 | 0.9111 | |
| Full correlation | 0.7361 | 0.8305 | 0.8412 | 0.7205 | 0.1694 | 0.2638 | 0.1587 | 0.7786 |
| TPR | TNR | PPV | NPV | FPR | FNR | FDR | Accuracy | ||
|---|---|---|---|---|---|---|---|---|---|
| Logistic Regression | No correlation | 0.4667 | 0.5200 | 0.3684 | 0.6190 | 0.4800 | 0.5333 | 0.6316 | 0.4934 |
| Partial correlation | 0.3333 | 0.7200 | 0.4167 | 0.6429 | 0.2800 | 0.6667 | 0.5833 | 0.5266 | |
| Full correlation | 0.3333 | 0.8000 | 0.5000 | 0.6667 | 0.2000 | 0.6667 | 0.5000 | 0.5666 | |
| Support Vector Machine | No correlation | 0.2000 | 0.8800 | 0.5000 | 0.6471 | 0.1200 | 0.8000 | 0.5000 | 0.6250 |
| Partial correlation | 0.5333 | 0.8400 | 0.6667 | 0.7500 | 0.1600 | 0.4667 | 0.3333 | 0.6866 | |
| Full correlation | 0.0667 | 1.0000 | 1.0000 | 0.6410 | - | 0.9333 | - | 0.5333 | |
| Random Forest | No correlation | 0.6667 | 0.7200 | 0.5882 | 0.7826 | 0.2800 | 0.3333 | 0.4118 | 0.6934 |
| Partial correlation | 0.7333 | 0.8800 | 0.7857 | 0.8462 | 0.1200 | 0.2667 | 0.2143 | 0.8250 | |
| Full correlation | 0.7333 | 0.7600 | 0.6471 | 0.8261 | 0.2400 | 0.2667 | 0.3529 | 0.7467 |
| TPR | TNR | PPV | NPV | FPR | FNR | FDR | Accuracy | ||
|---|---|---|---|---|---|---|---|---|---|
| Logistic Regression | No correlation | 0.5128 | 0.6481 | 0.5931 | 0.5711 | 0.3519 | 0.4872 | 0.4596 | 0.5805 |
| Partial correlation | 0.5128 | 0.7962 | 0.6451 | 0.6935 | 0.2037 | 0.4871 | 0.3548 | 0.6545 | |
| Full correlation | 0.4358 | 0.8148 | 0.6296 | 0.6667 | 0.1851 | 0.5641 | 0.3703 | 0.6253 | |
| Support Vector Machine | No correlation | 0.4358 | 0.9814 | 0.9444 | 0.7066 | 0.0185 | 0.5641 | 0.0555 | 0.7087 |
| Partial correlation | 0.6103 | 0.8667 | 0.8207 | 0.6898 | 0.1333 | 0.3897 | 0.1785 | 0.7385 | |
| Full correlation | 0.2307 | 1.000 | 1.000 | 0.6428 | - | 0.7692 | - | 0.6774 | |
| Random Forest | No correlation | 0.8974 | 0.8888 | 0.8536 | 0.9230 | 0.1111 | 0.1025 | 0.1463 | 0.8924 |
| Partial correlation | 0.9230 | 0.9074 | 0.8780 | 0.9423 | 0.0925 | 0.0769 | 0.1219 | 0.9139 | |
| Full correlation | 0.7986 | 0.8563 | 0.8475 | 0.8096 | 0.1436 | 0.201 | 0.1524 | 0.8275 |
Disclaimer/Publisher’s Note: The statements, opinions and data contained in all publications are solely those of the individual author(s) and contributor(s) and not of MDPI and/or the editor(s). MDPI and/or the editor(s) disclaim responsibility for any injury to people or property resulting from any ideas, methods, instructions or products referred to in the content. |
© 2025 by the authors. Licensee MDPI, Basel, Switzerland. This article is an open access article distributed under the terms and conditions of the Creative Commons Attribution (CC BY) license (https://creativecommons.org/licenses/by/4.0/).
Share and Cite
Telecan, T.; Chiorean, A.; Sipos-Lascu, R.; Caraiani, C.; Boca, B.; Hendea, R.M.; Buliga, T.; Andras, I.; Crisan, N.; Lupsor-Platon, M. ISUP Grade Prediction of Prostate Nodules on T2WI Acquisitions Using Clinical Features, Textural Parameters and Machine Learning-Based Algorithms. Cancers 2025, 17, 2035. https://doi.org/10.3390/cancers17122035
Telecan T, Chiorean A, Sipos-Lascu R, Caraiani C, Boca B, Hendea RM, Buliga T, Andras I, Crisan N, Lupsor-Platon M. ISUP Grade Prediction of Prostate Nodules on T2WI Acquisitions Using Clinical Features, Textural Parameters and Machine Learning-Based Algorithms. Cancers. 2025; 17(12):2035. https://doi.org/10.3390/cancers17122035
Chicago/Turabian StyleTelecan, Teodora, Alexandra Chiorean, Roxana Sipos-Lascu, Cosmin Caraiani, Bianca Boca, Raluca Maria Hendea, Teodor Buliga, Iulia Andras, Nicolae Crisan, and Monica Lupsor-Platon. 2025. "ISUP Grade Prediction of Prostate Nodules on T2WI Acquisitions Using Clinical Features, Textural Parameters and Machine Learning-Based Algorithms" Cancers 17, no. 12: 2035. https://doi.org/10.3390/cancers17122035
APA StyleTelecan, T., Chiorean, A., Sipos-Lascu, R., Caraiani, C., Boca, B., Hendea, R. M., Buliga, T., Andras, I., Crisan, N., & Lupsor-Platon, M. (2025). ISUP Grade Prediction of Prostate Nodules on T2WI Acquisitions Using Clinical Features, Textural Parameters and Machine Learning-Based Algorithms. Cancers, 17(12), 2035. https://doi.org/10.3390/cancers17122035

