Analysis of Inflammatory Features in Suspicious Lesions for Significant Prostate Cancer on Magnetic Resonance Imaging—Are They Mimickers of Prostate Cancer?
Simple Summary
Abstract
1. Introduction
2. Materials and Methods
2.1. Design, Setting, and Participants
2.2. Diagnostic Approach for Prostate Cancer Detection
2.3. Variables in the Study
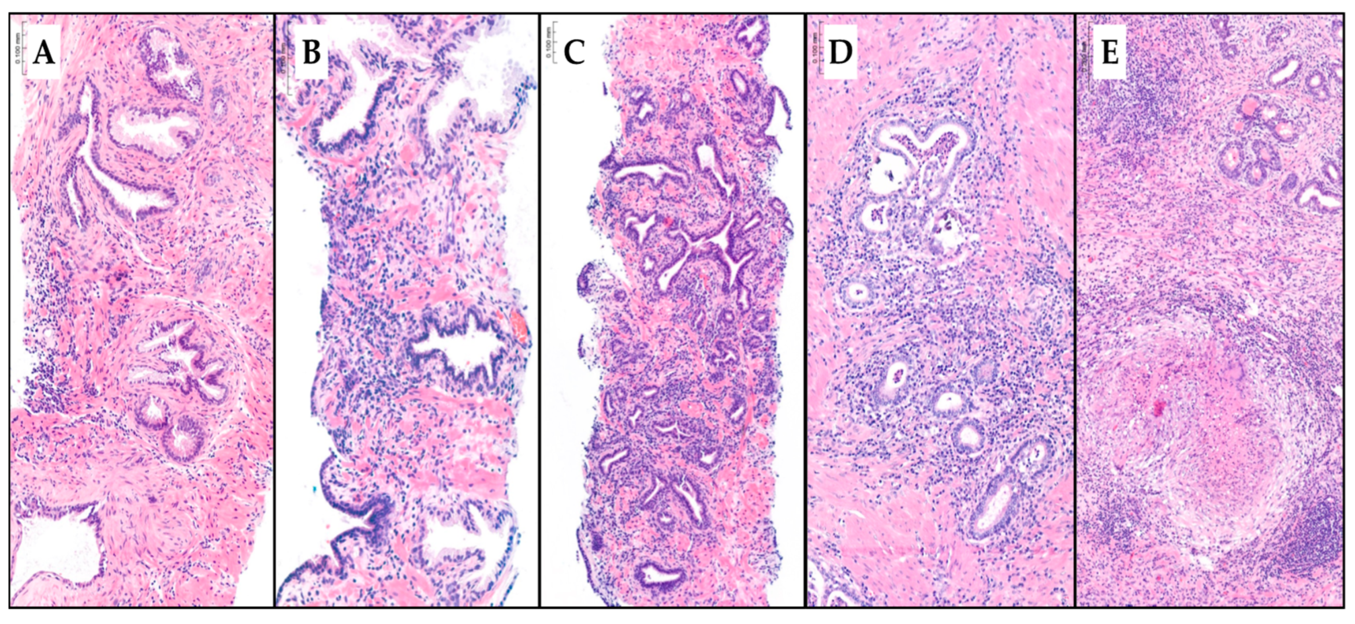
2.4. Diagnostic Approach of Inflammatory Features
2.5. Statistical Analysis
3. Results
3.1. Characteristics of Study Population and Guided-Biopsy Lesions
3.2. Distribution of Inflammatory Features in Suspicious Lesions Without and with Prostate Cancer
3.3. Distribution of Inflammatory Features in Targeted Biopsies According to the PI-RADS Category
3.4. Distribution of Inflammatory Findings in Targeted Biopsies of Suspicious Lesions with Prostate Cancer According to Its Aggressiveness
3.5. Analysis of Associations with Significant Prostate Cancer and Its Prediction of Characteristics of Suspicious Lesions and Reported Inflammatory Findings
4. Discussion
5. Conclusions
Author Contributions
Funding
Institutional Review Board Statement
Informed Consent Statement
Data Availability Statement
Conflicts of Interest
Correction Statement
References
- Sung, H.; Ferlay, J.; Siegel, R.L.; Laversanne, M.; Soerjomataram, I.; Jemal, A.; Bray, F. Global Cancer Statistics 2020: GLOBOCAN Estimates of Incidence and Mortality Worldwide for 36 Cancers in 185 Countries. CA Cancer J. Clin. 2021, 71, 209–249. [Google Scholar] [CrossRef] [PubMed]
- Schroder, F.H.; Hugosson, J.; Roobol, M.J.; Tammela, T.L.; Ciatto, S.; Nelen, V.; Kwiatkowski, M.; Lujan, M.; Lilja, H.; Zappa, M.; et al. Screening and prostate-cancer mortality in a randomized European study. N. Engl. J. Med. 2009, 360, 1320–1328. [Google Scholar] [CrossRef] [PubMed]
- Frånlund, M.; Månsson, M.; Godtman, R.A.; Aus, G.; Holmberg, E.; Kollberg, K.S.; Lodding, P.; Pihl, C.G.; Stranne, J.; Lilja, H.; et al. Results from 22 years of Followup in the Göteborg Randomized Population-Based Prostate Cancer Screening Trial. J. Urol. 2022, 208, 292–300. [Google Scholar] [CrossRef]
- Van Poppel, H.; Albreht, T.; Basu, P.; Hogenhout, R.; Collen, S.; Roobol, M. Serum PSA-based early detection of prostate cancer in Europe and globally: Past, present and future. Nat. Rev. Urol. 2022, 19, 562–572. [Google Scholar] [CrossRef]
- Itatani, R.; Namimoto, T.; Atsuji, S.; Katahira, K.; Morishita, S.; Kitani, K.; Hamada, Y.; Kitaoka, M.; Nakaura, T.; Yamashita, Y. Negative predictive value of multiparametric MRI for prostate cancer detection: Outcome of 5-year follow-up in men with negative findings on initial MRI studies. Eur. J. Radiol. 2014, 83, 1740–1745. [Google Scholar] [CrossRef]
- Moldovan, P.C.; Van den Broeck, T.; Sylvester, R.; Marconi, L.; Bellmunt, J.; van den Bergh, R.C.; Bolla, M.; Briers, E.; Cumberbatch, M.G.; Fossati, N.; et al. What Is the Negative Predictive Value of Multiparametric Magnetic Resonance Imaging in Excluding Prostate Cancer at Biopsy? A Systematic Review and Meta-analysis from the European Association of Urology Prostate Cancer Guidelines Panel. Eur. Urol. 2017, 71, 618–629. [Google Scholar] [CrossRef]
- Sathianathen, N.J.; Omer, A.; Harriss, E.; Davies, L.; Kasivisvanathan, V.; Punwani, S.; Moore, C.M.; Kastner, C.; Barrett, T.; Van Den Bergh, R.C.; et al. Negative Predictive Value of Multiparametric Magnetic Resonance Imaging in the Detection of Clinically Significant Prostate Cancer in the Prostate Imaging Reporting and Data System Era: A Systematic Review and Meta-analysis. Eur. Urol. 2020, 78, 402–414. [Google Scholar] [CrossRef]
- Kasivisvanathan, V.; Dufour, R.; Moore, C.M.; Ahmed, H.U.; Abd-Alazeez, M.; Charman, S.C.; Freeman, A.; Allen, C.; Kirkham, A.; van der Meulen, J.; et al. Transperineal magnetic resonance image targeted prostate biopsy versus transperineal template prostate biopsy in the detection of clinically significant prostate cancer. J. Urol. 2013, 189, 860–866. [Google Scholar] [CrossRef]
- Kasivisvanathan, V.; Rannikko, A.S.; Borghi, M.; Panebianco, V.; Mynderse, L.A.; Vaarala, M.H.; Briganti, A.; Budäus, L.; Hellawell, G.; Hindley, R.G.; et al. MRI-Targeted or Standard Biopsy for Prostate-Cancer Diagnosis. N. Engl. J. Med. 2018, 378, 1767–1777. [Google Scholar] [CrossRef]
- Comford, P.; Tilki, D.; Bergh, R.C.N.V.D.; Briers, E.; Ebetli, D.; Meerleer, G.D.; Santis, M.D.; Gillessen, A.; Leeders, A.M.H.V.; Oort, I.M.C.; et al. EAU-EANM-ESTRO-ESUR-ISUP-SIOG Guidelines on Prostate Cancer. 2024. Available online: http://uroweb.org/guidelines/compilations-of-all-guidelines/ (accessed on 14 November 2024).
- Schoots, I.G.; Padhani, A.R.; Rouvière, O.; Barentsz, J.O.; Richenberg, J. Analysis of Magnetic Resonance Imaging-directed Biopsy Strategies for Changing the Paradigm of Prostate Cancer Diagnosis. Eur. Urol. Oncol. 2020, 3, 32–41. [Google Scholar] [CrossRef]
- Maggi, M.; Panebianco, V.; Mosca, A.; Salciccia, S.; Gentilucci, A.; Di Pierro, G.; Busetto, G.M.; Barchetti, G.; Campa, R.; Sperduti, I.; et al. Prostate Imaging Reporting and Data System 3 Category Cases at Multiparametric Magnetic Resonance for Prostate Cancer: A Systematic Review and Meta-analysis. Eur. Urol. Focus 2020, 6, 463–478. [Google Scholar] [CrossRef] [PubMed]
- Morote, J.; Campistol, M.; Triquell, M.; Celma, A.; Regis, L.; de Torres, I.; Semidey, M.E.; Mast, R.; Santamaria, A.; Planas, J.; et al. Improving the Early Detection of Clinically Significant Prostate Cancer in Men in the Challenging Prostate Imaging-Reporting and Data System 3 Category. Eur. Urol. Open Sci. 2022, 37, 38–44. [Google Scholar] [CrossRef] [PubMed]
- Nadler, R.B.; Humphrey, P.A.; Smith, D.S.; Catalona, W.J.; Ratliff, T.L. Effect of inflammation and benign prostatic hyperplasia on elevated serum prostate specific antigen levels. J. Urol. 1995, 154, 407–413. [Google Scholar] [CrossRef] [PubMed]
- Krieger, J.N.; Nyberg, L.; Nickel, J.C. NIH consensus definition and classification of prostatitis. JAMA 1999, 282, 236–237. [Google Scholar] [CrossRef]
- Nagel, K.N.; Schouten, M.G.; Hambrock, T.; Litjens, G.J.; Hoeks, C.M.; ten Haken, B.; Barentsz, J.O.; Fütterer, J.J. Differentiation of prostatitis and prostate cancer by using diffusion-weighted MR imaging and MR-guided biopsy at 3 T. Radiology 2013, 267, 164–172. [Google Scholar] [CrossRef]
- Uysal, A.; Karaosmanoğlu, A.D.; Karcaaltıncaba, M.; Akata, D.; Akdogan, B.; Baydar, D.E.; Ozmen, M.N. Prostatitis, the Great Mimicker of Prostate Cancer: Can We Differentiate Them Quantitatively with Multiparametric MRI. Am. J. Roentgenol. 2020, 215, 1104–1112. [Google Scholar] [CrossRef]
- Bertelli, E.; Zantonelli, G.; Cinelli, A.; Pastacaldi, S.; Agostini, S.; Neri, E.; Miele, V. Granulomatous Prostatitis, the Great Mimicker of Prostate Cancer: Can Multiparametric MRI Features Help in This Challenging Differential Diagnosis. Diagnostics 2022, 12, 2302. [Google Scholar] [CrossRef]
- Rourke, E.; Sunnapwar, A.; Mais, D.; Kukkar, V.; DiGiovanni, J.; Kaushik, D.; Liss, M.A. Inflammation appears as high Prostate Imaging-Reporting and Data System scores on prostate magnetic resonance imaging (MRI) leading to false positive MRI fusion biopsy. Investig. Clin. Urol. 2019, 60, 388–395. [Google Scholar] [CrossRef]
- Barentsz, J.O.; Richenberg, J.; Clements, R.; Choyke, P.; Verma, S.; Villeirs, G.; Rouviere, O.; Logager, V.; Futterer, J.J. ESUR prostate MR guidelines 2012. Eur. Radiol. 2012, 22, 746–757. [Google Scholar] [CrossRef]
- Turkbey, B.; Rosenkrantz, A.B.; Haider, M.A.; Padhani, A.R.; Villeirs, G.; Macura, K.J.; Tempany, C.M.; Choyke, P.L.; Cornud, F.; Margolis, D.J.; et al. Prostate Imaging Reporting and Data System Version 2.1: 2019 Update of Prostate Imaging Reporting and Data System Version 2. Eur Urol. 2019, 76, 340–351. [Google Scholar] [CrossRef]
- Epstein, J.I.; Egevad, L.; Amin, M.B.; Delahunt, B.; Srigley, J.R.; Humphrey, P.A.; Grading, C. The 2014 International Society of Urological Pathology (ISUP) Consensus Conference on Gleason Grading of Prostatic Carcinoma: Definition of Grading Patterns and Proposal for a New Grading System. Am. J. Surg. Pathol. 2016, 40, 244–252. [Google Scholar] [CrossRef] [PubMed]
- Epstein, J.I.; Zelefsky, M.J.; Sjoberg, D.D.; Nelson, J.B.; Egevad, L.; Magi-Galluzzi, C.; Vickers, A.J.; Parwani, A.V.; Reuter, V.E.; Fine, S.W.; et al. A Contemporary Prostate Cancer Grading System: A Validated Alternative to the Gleason Score. Eur. Urol. 2016, 69, 428–435. [Google Scholar] [CrossRef] [PubMed]
- Yebes, A.; Toribio-Vazquez, C.; Martinez-Perez, S.; Quesada-Olarte, J.M.; Rodriguez-Serrano, A.; Álvarez-Maestro, M.; Martinez-Piñeiro, L. Prostatitis: A Review. Curr. Urol. Rep. 2023, 24, 241–251. [Google Scholar] [CrossRef] [PubMed]
- Irani, J.; Levillain, P.; Goujon, J.M.; Bon, D.; Doré, B.; Aubert, J. Inflammation in benign prostatic hyperplasia: Correlation with prostate specific antigen value. J. Urol. 1997, 157, 1301–1303. [Google Scholar] [CrossRef]
- Sciarra, A.; Mariotti, G.; Salciccia, S.; Autran Gomez, A.; Monti, S.; Toscano, V.; Di Silverio, F. Prostate growth and inflammation. J. Steroid. Biochem. Mol Biol. 2008, 108, 254–260. [Google Scholar] [CrossRef]
- Sessa, F.; Nicoletti, R.; De Nunzio, C.; Porreca, A.; Magrini, S.M.; Mirone, V.; Tubaro, A.; Serni, S.; Gontero, P.; Noale, M.; et al. Inflammation and Prostate Cancer: Pathological Analysis from Pros-IT CNR 2. Cancers 2023, 15, 630. [Google Scholar] [CrossRef]
- Vasavada, S.R.; Dobbs, R.W.; Kajdacsy-Balla, A.A.; Abern, M.R.; Moreira, D.M. Inflammation on Prostate Needle Biopsy is Associated with Lower Prostate Cancer Risk: A Meta-Analysis. J. Urol. 2018, 199, 1174–1181. [Google Scholar] [CrossRef]
- Schatteman, P.H.; Hoekx, L.; Wyndaele, J.J.; Jeuris, W.; Van Marck, E. Inflammation in prostate biopsies of men without prostatic malignancy or clinical prostatitis: Correlation with total serum PSA and PSA density. Eur. Urol. 2000, 37, 404–412. [Google Scholar] [CrossRef]
- Yli-Hemminki, T.H.; Laurila, M.; Auvinen, A.; Määttänen, L.; Huhtala, H.; Tammela, T.L.; Kujala, P.M. Histological inflammation and risk of subsequent prostate cancer among men with initially elevated serum prostate-specific antigen (PSA) concentration in the Finnish prostate cancer screening trial. BJU Int. 2013, 112, 735–741. [Google Scholar] [CrossRef]
- Rais-Bahrami, S.; Nix, J.W.; Turkbey, B.; Pietryga, J.A.; Sanyal, R.; Thomas, J.V.; Gordetsky, J.B. Clinical and multiparametric MRI signatures of granulomatous prostatitis. Abdom. Radiol. 2017, 42, 1956–1962. [Google Scholar] [CrossRef]
- Moon, S.K.; You, M.W.; Lim, J.W. Granulomatous Prostatitis Mimicking Prostate Cancer. Urology 2020, 137, e3–e5. [Google Scholar] [CrossRef] [PubMed]
- Pepe, P.; Pennisi, M. Negative Biopsy Histology in Men with PI-RADS Score 5 in Daily Clinical Practice: Incidence of Granulomatous Prostatitis. Clin. Genitourin. Cancer 2020, 18, e684–e687. [Google Scholar] [CrossRef]
- Gaudiano, C.; Renzetti, B.; De Fino, C.; Corcioni, B.; Ciccarese, F.; Bianchi, L.; Schiavina, R.; Droghetti, M.; Giunchi, F.; Brunocilla, E.; et al. Multiparametric magnetic resonance imaging for the differential diagnosis between granulomatous prostatitis and prostate cancer: A literature review to an intriguing diagnostic challenge. Front. Oncol. 2023, 13, 1178430. [Google Scholar] [CrossRef]
- Ogreden, E.; Oguz, U.; Demirelli, E.; Tok, D.S.; Aslan, S.; Tok, B.; Çiftçi, O.Ç.; Akyol, S.; Altun, E.; Ahmadlı, C.; et al. The role of multiparametric magnetic resonance ımaging in the diagnosis of granulomatous prostatitis mimicking prostate cancer. Abdom. Radiol. 2024, 49, 2305–2310. [Google Scholar] [CrossRef]
- Moreira, D.M.; Nickel, J.C.; Gerber, L.; Muller, R.L.; Andriole, G.L.; Castro-Santamaria, R.; Freedland, S.J. Baseline prostate inflammation is associated with a reduced risk of prostate cancer in men undergoing repeat prostate biopsy: Results from the REDUCE study: Inflammation and Prostate Cancer. Cancer 2014, 120, 190–196. [Google Scholar] [CrossRef]
- Hu, J.C.; Palapattu, G.S.; Kattan, M.W.; Scardino, P.T.; Wheeler, T.M. The association of selected pathological features with prostate cancer in a single-needle biopsy accession. Hum. Pathol. 1998, 29, 1536–1538. [Google Scholar] [CrossRef]
- Karakiewicz, P.I.; Benayoun, S.; Bégin, L.R.; Duclos, A.; Valiquette, L.; McCormack, M.; Bénard, F.; Saad, F.; Perrotte, P. Chronic inflammation is negatively associated with prostate cancer and high-grade prostatic intraepithelial neoplasia on needle biopsy. Int. J. Clin. Pract. 2007, 61, 425–430. [Google Scholar] [CrossRef]
- Abouassaly, R.; Tan, N.; Moussa, A.; Jones, J.S. Risk of prostate cancer after diagnosis of atypical glands suspicious for carcinoma on saturation and traditional biopsies. J. Urol. 2008, 180, 911–914. [Google Scholar] [CrossRef]
- Bassett, W.W.; Bettendorf, D.M.; Lewis, J.M.; Loughlin, K.R. Chronic periglandular inflammation on prostate needle biopsy does not increase the likelihood of cancer on subsequent biopsy. Urology 2009, 73, 845–849. [Google Scholar] [CrossRef]
- Amini, E.; Pishgar, F.; Ayati, M.; Jamshidian, H.; Arbab, A.; Gooshe, M.; Nowroozi, M.R. Transition Zone Prostate-specific Antigen Density Could Better Guide the Rebiopsy Strategy in Men with Prostate Inflammation at Initial Biopsy. Urology 2015, 86, 985–990. [Google Scholar] [CrossRef]
- Porcaro, A.B.; Novella, G.; Balzarro, M.; Martignoni, G.; Brunelli, M.; Cacciamani, G.; Cerruto, M.A.; Artibani, W. Prostate chronic inflammation type IV and prostate cancer risk in patients undergoing first biopsy set: Results of a large cohort study. Asian J. Urol. 2015, 2, 224–232. [Google Scholar] [CrossRef] [PubMed][Green Version]
- Jyoti, R.; Jina, N.H.; Haxhimolla, H.Z. In-gantry MRI guided prostate biopsy diagnosis of prostatitis and its relationship with PIRADS V.2 based score. J. Med. Imaging Radiat. Oncol. 2016, 61, 212–215. [Google Scholar] [CrossRef] [PubMed]
- Gordetsky, J.B.; Ullman, D.; Schultz, L.; Porter, K.K.; Del Carmen Rodriguez Pena, M.; Calderone, C.E.; Nix, J.W.; Ullman, M.; Bae, S.; Rais-Bahrami, S. Histologic Findings Associated with False Positive Multiparametric Magnetic Resonance Imaging Performed for Prostate Cancer Detection. Hum. Pathol. 2018, 76, 68–75. [Google Scholar] [CrossRef] [PubMed]
- Sureka, B.; Elhence, P.; Khera, P.S.; Choudhary, G.R.; Pandey, H.; Garg, P.K.; Yadav, K.; Goel, A. Quantitative contrast-enhanced perfusion kinetics in multiparametric MRI in differentiating prostate cancer from chronic prostatitis: Results from a pilot study. Br. J. Radiol. 2019, 92, 20190181. [Google Scholar] [CrossRef]
- Al-Monajjed, R.; Radtke, J.P.; Thomas, M.; Boschheidgen, M.; Drewes, L.R.; Ullrich, T.; Rau, T.; Esposito, I.; Antoch, G.; Albers, P.; et al. Multiparametric MRI characteristics of prostatitis and atrophy in the peripheral zone in men without prostate cancer. Eur. J. Radiol. 2023, 169, 111151. [Google Scholar] [CrossRef]
- Antolin, A.; Roson, N.; Mast, R.; Arce, J.; Almodovar, R.; Cortada, R.; Maceda, A.; Escobar, M.; Trilla, E.; Morote, J. The Role of Radiomics in the Prediction of Clinically Significant Prostate Cancer in the PI-RADS v2 and v2.1 Era: A Systematic Review. Cancers 2024, 16, 2951. [Google Scholar] [CrossRef]
- Gentile, F.; La Civita, E.; Della Ventura, B.; Ferro, M.; Cennamo, M.; Bruzzese, D.; Crocetto, F.; Velotta, R.; Terracciano, D. A Combinatorial Neural Network Analysis Reveals a Synergistic Behaviour of Multiparametric Magnetic Resonance and Prostate Health Index in the Identification of Clinically Significant Prostate Cancer. Clin. Genitourin. Cancer 2022, 20, e406–e410. [Google Scholar] [CrossRef]
- Gorin, M.A.; Verdone, J.E.; van der Toom, E.; Bivalacqua, T.J.; Allaf, M.E.; Pienta, K.J. Circulating tumour cells as biomarkers of prostate, bladder, and kidney cancer. Nat. Rev. Urol. 2017, 14, 90–97. [Google Scholar] [CrossRef]
- Herberts, C.; Annala, M.; Sipola, J.; Ng, S.W.S.; Chen, X.E.; Nurminen, A.; Korhonen, O.V.; Munzur, A.D.; Beja, K.; Schönlau, E.; et al. Deep whole-genome ctDNA chronology of treatment-resistant prostate cancer. Nature 2022, 608, 199–208. [Google Scholar] [CrossRef]
- Dong, B.; Xu, J.Y.; Huang, Y.; Guo, J.; Dong, Q.; Wang, Y.; Li, N.; Liu, Q.; Zhang, M.; Pan, Q.; et al. Integrative proteogenomic profiling of high-risk prostate cancer samples from Chinese patients indicates metabolic vulnerabilities and diagnostic biomarkers. Nat. Cancer 2024, 5, 1427–1447. [Google Scholar] [CrossRef]
- Hsu, A.; Bruno, R.S.; Löhr, C.V.; Taylor, A.W.; Dashwood, R.H.; Bray, T.M.; Ho, E. Dietary soy and tea mitigate chronic inflammation and prostate cancer via NFκB pathway in the Noble rat model. J. Nutr. Biochem. 2011, 22, 502–510. [Google Scholar] [CrossRef]
- Killian, P.H.; Kronski, E.; Michalik, K.M.; Barbieri, O.; Astigiano, S.; Sommerhoff, C.P.; Pfeffer, U.; Nerlich, A.G.; Bachmeier, B.E. Curcumin inhibits prostate cancer metastasis in vivo by targeting the inflammatory cytokines CXCL1 and -2. Carcinogenesis 2012, 33, 2507–2519. [Google Scholar] [CrossRef] [PubMed]
- Vidal, A.C.; Howard, L.E.; Moreira, D.M.; Castro-Santamaria, R.; Andriole, G.L.; Freedland, S.J. Aspirin, NSAIDs, and risk of prostate cancer: Results from the REDUCE study. Clin. Cancer Res. 2015, 21, 756–762. [Google Scholar] [CrossRef] [PubMed]
- Shephard, R.J. Physical Activity and Prostate Cancer: An Updated Review. Sports Med. 2017, 47, 1055–1073. [Google Scholar] [CrossRef]
- Kerr, J.; Anderson, C.; Lippman, S.M. Physical activity, sedentary behaviour, diet, and cancer: An update and emerging new evidence. Lancet Oncol. 2017, 18, e457–e471. [Google Scholar] [CrossRef]
- Campos, C.; Sotomayor, P.; Jerez, D.; González, J.; Schmidt, C.B.; Schmidt, K.; Banzer, W.; Godoy, A.S. Exercise and prostate cancer: From basic science to clinical applications. Prostate 2018, 78, 639–645. [Google Scholar] [CrossRef]
- McTiernan, A.; Friedenreich, C.M.; Katzmarzyk, P.T.; Powell, K.E.; Macko, R.; Buchner, D.; Pescatello, L.S.; Bloodgood, B.; Tennant, B.; Vaux-Bjerke, A.; et al. Physical Activity in Cancer Prevention and Survival: A Systematic Review. Med. Sci. Sports Exerc. 2019, 51, 1252–1261. [Google Scholar] [CrossRef]
- Pellegrino, M.; Bevacqua, E.; Frattaruolo, L.; Cappello, A.R.; Aquaro, S.; Tucci, P. Enhancing the Anticancer and Anti-Inflammatory Properties of Curcumin in Combination with Quercetin, for the Prevention and Treatment of Prostate Cancer. Biomedicines 2023, 18, 2023. [Google Scholar] [CrossRef]




| Characteristic | Measurement |
|---|---|
| Number of cases | 364 |
| Median age, years (IQR) | 68 (62–74) |
| PCa family history, n (%) | 25 (4.7) |
| Previous negative biopsy, n (%) | 41 (11.2) |
| Median serum PSA, ng/mL (IQR) | 6.1 (4.3–9.6) |
| Suspicious DRE, n (%) | 75 (20.1) |
| Median prostate volume, mL (IQR) | 53 (39–71) |
| Number of MRI suspicious lesions per case, n (%) | |
| 1 | 364 (100) |
| 2 | 142 (51.7) |
| 3 | 25 (6.9) |
| PI-RADS score of index lesion, n (%) | |
| 3 | 131 (36.0) |
| 4 | 155 (42.6) |
| 5 | 78 (21.4) |
| Overall PCa detection, n (%) | 168 (46.1) |
| Significant PCa detection, n (%) | 130 (35.7) |
| Insignificant PCa detection, n (%) | 38 (10.4) |
| Characteristic | Measurement |
|---|---|
| Number of suspicious lesions, n (%) | 531 |
| Median size, mm (IQR) | 10 (8–15) |
| Localization | |
| Peripheral zone, n (%) | 440 (82.9) |
| Central/Transition zone, n (%) | 20 (3.8) |
| Anterior zone, n (%) | 71 (13.4) |
| PI-RADS score | |
| 3, n (%) | 256 (48.2) |
| 4, n (%) | 192 (36.2) |
| 5, n (%) | 83 (15.6) |
| Suspicious lesions without PCa, n (%) | 375 (70.6) |
| Suspicious lesions with PCa, n (%) | 156 (29.4) |
| With significant PCa, n (%) | 110 (20.3) |
| With insignificant PCa, n (%) | 45 (8.5) |
| Characteristic | Univariate Analysis | Multivariate Analysis | ||
|---|---|---|---|---|
| Odds Ratio (95% CI) | p Value | Odds Ratio (95% CI) | p Value | |
| Size, Ref. one mm | 1.100 (1.018–1.142) | <0.001 | 0.988 (0.939–1.040) | 0.646 |
| Localization zone, Ref. peripheral | 1.108 (0.827–1.483) | 0.493 | 1.109 (0.783–1.569) | 0.561 |
| PI-RADS score, Ref. 3 score | 6.168 (4.295–8–858) | <0.001 | 6.466 (4.176–10.013) | <0.001 |
| Inflammatory lesions, Ref. yes | 0.325 (0.211–0.500) | <0.001 | 0.326 (0.196–0.541) | <0.001 |
| Chronic prostatitis. Ref. yes | 0.486 (0.351–0.674) | <0.001 | 0.398 (0.268–0.590) | <0.001 |
| Acute prostatitis. Ref. yes | 0.565 (0.295–1.081) | 0.085 | 1.046 (0.488–2.342) | 0.907 |
| Granulomatous prostatitis, Ref. yes | 1.278 (0.132–12.410) | 0.832 | 0.551 (0.038–7.903) | 0.661 |
Disclaimer/Publisher’s Note: The statements, opinions and data contained in all publications are solely those of the individual author(s) and contributor(s) and not of MDPI and/or the editor(s). MDPI and/or the editor(s) disclaim responsibility for any injury to people or property resulting from any ideas, methods, instructions or products referred to in the content. |
© 2024 by the authors. Licensee MDPI, Basel, Switzerland. This article is an open access article distributed under the terms and conditions of the Creative Commons Attribution (CC BY) license (https://creativecommons.org/licenses/by/4.0/).
Share and Cite
Morote, J.; Celma, A.; Semidey, M.E.; Antolín, A.; Miró, B.; Méndez, O.; Trilla, E. Analysis of Inflammatory Features in Suspicious Lesions for Significant Prostate Cancer on Magnetic Resonance Imaging—Are They Mimickers of Prostate Cancer? Cancers 2025, 17, 53. https://doi.org/10.3390/cancers17010053
Morote J, Celma A, Semidey ME, Antolín A, Miró B, Méndez O, Trilla E. Analysis of Inflammatory Features in Suspicious Lesions for Significant Prostate Cancer on Magnetic Resonance Imaging—Are They Mimickers of Prostate Cancer? Cancers. 2025; 17(1):53. https://doi.org/10.3390/cancers17010053
Chicago/Turabian StyleMorote, Juan, Ana Celma, María E. Semidey, Andreu Antolín, Berta Miró, Olga Méndez, and Enrique Trilla. 2025. "Analysis of Inflammatory Features in Suspicious Lesions for Significant Prostate Cancer on Magnetic Resonance Imaging—Are They Mimickers of Prostate Cancer?" Cancers 17, no. 1: 53. https://doi.org/10.3390/cancers17010053
APA StyleMorote, J., Celma, A., Semidey, M. E., Antolín, A., Miró, B., Méndez, O., & Trilla, E. (2025). Analysis of Inflammatory Features in Suspicious Lesions for Significant Prostate Cancer on Magnetic Resonance Imaging—Are They Mimickers of Prostate Cancer? Cancers, 17(1), 53. https://doi.org/10.3390/cancers17010053

