Complication Rates After Mastectomy and Reconstruction in Breast Cancer Patients Treated with Hypofractionated Radiation Therapy Compared to Conventional Fractionation: A Single Institutional Analysis
Simple Summary
Abstract
1. Introduction
2. Methods
2.1. Study Design and Patients
2.2. Inclusion Criteria
2.3. Exclusion Criteria
2.4. Demographics and Characteristics
2.5. Definitions of Implant-Related Complications
2.6. Breast Reconstruction
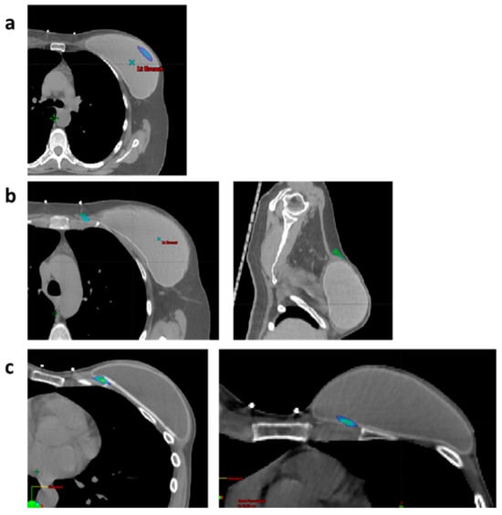
2.7. Radiotherapy
2.8. Statistical Analysis
3. Results
Comparing the Two Fractionation Groups
4. Discussion
5. Conclusions
Author Contributions
Funding
Institutional Review Board Statement
Informed Consent Statement
Data Availability Statement
Acknowledgments
Conflicts of Interest
Abbreviations
| CF | Conventional Fractionation |
| HF | Hypofractionated |
| PMRT | Post-Mastectomy Radiation Therapy |
| PTV | Planning Target Volume |
References
- Wang, S.L.; Fang, H.; Song, Y.W.; Wang, W.H.; Hu, C.; Liu, Y.P.; Jin, J.; Liu, X.-F.; Yu, Z.-H.; Ren, H.; et al. Hypofractionated versus conventional fractionated postmastectomy radiotherapy for patients with high-risk breast cancer: A randomised, non-inferiority, open-label, phase 3 trial. Lancet Oncol. 2019, 20, 352–360. [Google Scholar] [CrossRef] [PubMed]
- Sayan, M.; Yehia, Z.A.; Ohri, N.; Haffty, B.G. Hypofractionated postmastectomy radiation therapy. Adv. Radiat. Oncol. 2021, 6, 100618. [Google Scholar] [CrossRef] [PubMed]
- Liu, L.; Yang, Y.; Guo, Q.; Ren, B.; Peng, Q.; Zou, L.; Zhu, Y.; Tian, Y. Comparing hypofractionated to conventional fractionated radiotherapy in postmastectomy breast cancer: A meta-analysis and systematic review. Radiat. Oncol. 2020, 15, 17. [Google Scholar] [CrossRef] [PubMed]
- Early Breast Cancer Trialists’ Collaborative Group (EBCTCG). Effect of radiotherapy after breast-conserving surgery on 10-year recurrence and 15-year breast cancer death: Meta-analysis of individual patient data for 10 801 women in 17 randomised trials. Lancet 2011, 378, 1707–1716. [Google Scholar]
- Ho, A.Y.; Hu, Z.I.; Mehrara, B.J.; Wilkins, E.G. Radiotherapy in the setting of breast reconstruction: Types, techniques, and timing. Lancet Oncol. 2017, 18, e742–e753. [Google Scholar] [CrossRef] [PubMed]
- EBCTCG (Early Breast Cancer Trialists’ Collaborative Group). Effect of radiotherapy after mastectomy and axillary surgery on 10-year recurrence and 20-year breast cancer mortality: Meta-analysis of individual patient data for 8135 women in 22 randomised trials. Lancet 2014, 383, 2127–2135. [Google Scholar] [CrossRef] [PubMed]
- Haviland, J.S.; Owen, J.R.; Dewar, J.A.; Agrawal, R.K.; Barrett, J.; Barrett-Lee, P.J.; Dobbs, H.J.; Hopwood, P.; Lawton, P.A.; Magee, B.J.; et al. The UK Standardisation of Breast Radiotherapy (START) trials of radiotherapy hypofractionation for treatment of early breast cancer: 10-year follow-up results of two randomised controlled trials. Lancet Oncol. 2013, 14, 1086–1094. [Google Scholar] [CrossRef] [PubMed]
- Yarnold, J. Changes in radiotherapy fractionation—Breast cancer. Br. J. Radiol. 2019, 92, 20170849. [Google Scholar] [CrossRef] [PubMed]
- Kim, D.Y.; Park, E.; Heo, C.Y.; Jin, U.S.; Kim, E.K.; Han, W.; Shin, K.H.; Kim, I.A. Hypofractionated versus conventional fractionated radiotherapy for breast cancer in patients with reconstructed breast: Toxicity analysis. Breast 2021, 55, 37–44. [Google Scholar] [CrossRef] [PubMed]
- Alderman, A.K.; Wei, Y.; Birkmeyer, J.D. Use of breast reconstruction after mastectomy following the Women’s Health and Cancer Rights Act. JAMA 2006, 295, 383–388. [Google Scholar]
- Bochenek-Cibor, J.; Georgiew, F.; Goyal, S. A retrospective analysis on safety and effectiveness of hypofractioned post-mastectomy radiotherapy. Breast J. 2020, 26, 176–181. [Google Scholar] [CrossRef] [PubMed]
- Mutter, R.W.; Giri, S.; Fruth, B.F.; Remmes, N.B.; Boughey, J.C.; Harless, C.A.; Ruddy, K.J.; McGee, L.A.; Afzal, A.; Gao, R.W.; et al. Conventional versus hypofractionated postmastectomy proton radiotherapy in the USA (MC1631): A randomised phase 2 trial. Lancet Oncol. 2023, 24, 1083–1093. [Google Scholar] [CrossRef] [PubMed]
- Pu, Y.; Mao, T.C.; Zhang, Y.M.; Wang, S.L.; Fan, D.L. The role of postmastectomy radiation therapy in patients with immediate prosthetic breast reconstruction: A meta-analysis. Medicine 2018, 97, e9548. [Google Scholar] [CrossRef] [PubMed]
- Scardina, L.; di Leone, A.; Biondi, E.; Carnassale, B.; Sanchez, A.M.; D’Archi, S.; Franco, A.; Moschella, F.; Magno, S.; Terribile, D.; et al. Prepectoral vs. Submuscular Immediate Breast Reconstruction in Patients Undergoing Mastectomy after Neoadjuvant Chemotherapy: Our Early Experience. J. Pers. Med. 2022, 12, 1533. [Google Scholar] [CrossRef] [PubMed]
- Poppe, M.M.; Le-Rademacher, J.; Haffty, B.G., Jr.; Hansen, E.K.; Agarwal, J.; Wagner, J.; Kong, I.; Armer, J.; Arthur, D.W.; Whelan, T.J.; et al. A Randomized Trial of Hypofractionated Post-Mastectomy Radiation Therapy (PMRT) in Women with Breast Reconstruction (RT CHARM, Alliance A221505). Int. J. Radiat. Oncol. Biol. Phys. 2024, 120, S11. [Google Scholar] [CrossRef]
- Wong, J.S.; Uno, H.; Tramontano, A.; Pellegrini, C.; Bellon, J.R.; Cheney, M.D.; Hardenbergh, P.H.; Ho, A.Y.; Horst, K.C.; Kim, J.N.; et al. Patient-Reported and Toxicity Results from the FABREC Study: A Multicenter Randomized Trial of Hypofractionated vs. Conventionally-Fractionated Postmastectomy Radiation Therapy after Implant-Based Reconstruction. Int. J. Radiat. Oncol. Biol. Phys. 2023, 117, e3–e4. [Google Scholar] [CrossRef]



| (a) | |||
|---|---|---|---|
| Characteristics | HF PMRT (n = 29) | CF PMRT (n = 30) | p-Value |
| Age | 0.796 | ||
| <40 | 14 (48.3%) | 13 (43.3%) | |
| >40 | 15(51.7%) | 17 ( 56.7%) | |
| Body Mass Index | 0.195 | ||
| <25 | 16 (55.2%) | 11(36.7%) | |
| >25 | 13 (44.8%) | 19 (63.3%) | |
| Smoker | 0.353 | ||
| Yes | 3 (10.3%) | 1 (3.3%) | |
| No | 26 (89.6%) | 29(96.6%) | |
| Diabetes Mellitus | 1 | ||
| Yes | 2 (6.9%) | 3 (10.0%) | |
| No | 27 ( 93.1%) | 27 ( 90.0%) | |
| Histology | NA | ||
| IDC | 26 (89.7%) | 27 (90%) | |
| Other | 3 (10.3%) | 3 (10%) | |
| Molecular type | NA | ||
| Luminal A | 13(44.8%) | 22( 73.3%) | |
| Luminal B | 11( 37.9%) | 7 (23.3%) | |
| HER2 enriched | 4 (13.8%) | 1 (3.3%) | |
| TNBC | 1 (3.4%) | 0 | |
| (b) | |||
| Characteristics | HF PMRT (n = 29) | CF PMRT (n = 30) | p-Value |
| Adjuvant chemotherapy | NA | ||
| Yes | 9 (31.0%) | 13 (43.3%) | |
| No | 20 (69.0%) | 17(56.7) | |
| Neoadjuvant chemotherapy | NA | ||
| Yes | 17(58.6%) | 13(43.3%) | |
| No | 12(41.4%) | 17(56.7%) | |
| Timing of reconstruction | 0.36 | ||
| Immediate | 24(82.75%) | 21(70.0%) | |
| Delayed | 5(17.25%) | 9(30%) | |
| Radiation Boost | 0.612 | ||
| Yes | 2(6.9%) | 1(3.3%) | |
| No | 27(93.1%) | 29(96.7%) | |
| Type of surgery | 0.167 | ||
| Direct to alloplastic implant | 21(72.4%) | 15(50.0%) | |
| Two-stage alloplastic implant | 2(6.9%) | 6(20.0%) | |
| Autologous | 6(20.7%) | 9(30.0%) | |
| Complication Type | CF PMRT (n = 30) | HF PMRT (n = 29) | p Value |
|---|---|---|---|
| Capsular contracture | 7 (23.3%) | 5 (17.2%) | |
| Skin necrosis | 1 (3.3%) | 1 (3.4%) | |
| Infection | 1 (3.3%) | 0 | |
| Infection + capsular contracture | 1 (3.3%) | 1 (3.4%) | |
| Total | 10 (33.3%) | 7 (24.1%) | 0.436 |
| Variable | Confidence Interval | Hazard Ratio | p-Value |
|---|---|---|---|
| CF vs. HF PMRT | 0.251–2.259 | 0.754 | 0.436 |
| Age (over 40 vs. 40 and under) | 1.237–12.093 | 3.868 | 0.029 |
| Smoker vs. Nonsmoker | 0.092–6.025 | 0.743 | 1 |
| Delayed vs. Immediate Reconstruction | 0.076–2.105 | 0.399 | 0.31 |
| Radiation Boost vs. no boost | NA | NA | 0.55 |
| BMI (≤25 vs. >25) | 0.076–2.105 | 1.184 | 0.899 |
| Radiotherapy Properties | Complications Developed | |
|---|---|---|
| Yes | No | |
| Average PTV volume (cc) | 836.2 (422.5–1455) | 760.6 (357–1793) |
| Average Max dose (%) | 108.8 (107.2–109.9) | 109.5 (107.5–112.5) |
| Hotspot type on implant (Number) | ||
| Outside | 3 | 5 |
| Inside | 4 | 5 |
| Overlap | 4 | 12 |
| Inside + Overlap | 3 | 4 |
Disclaimer/Publisher’s Note: The statements, opinions and data contained in all publications are solely those of the individual author(s) and contributor(s) and not of MDPI and/or the editor(s). MDPI and/or the editor(s) disclaim responsibility for any injury to people or property resulting from any ideas, methods, instructions or products referred to in the content. |
© 2025 by the authors. Licensee MDPI, Basel, Switzerland. This article is an open access article distributed under the terms and conditions of the Creative Commons Attribution (CC BY) license (https://creativecommons.org/licenses/by/4.0/).
Share and Cite
Falick Michaeli, T.; Hatoom, F.; Skripai, A.; Wajnryt, E.; Allweis, T.M.; Paluch-Shimon, S.; Shachar, Y.; Popovtzer, A.; Wygoda, M.; Blumenfeld, P. Complication Rates After Mastectomy and Reconstruction in Breast Cancer Patients Treated with Hypofractionated Radiation Therapy Compared to Conventional Fractionation: A Single Institutional Analysis. Cancers 2025, 17, 106. https://doi.org/10.3390/cancers17010106
Falick Michaeli T, Hatoom F, Skripai A, Wajnryt E, Allweis TM, Paluch-Shimon S, Shachar Y, Popovtzer A, Wygoda M, Blumenfeld P. Complication Rates After Mastectomy and Reconstruction in Breast Cancer Patients Treated with Hypofractionated Radiation Therapy Compared to Conventional Fractionation: A Single Institutional Analysis. Cancers. 2025; 17(1):106. https://doi.org/10.3390/cancers17010106
Chicago/Turabian StyleFalick Michaeli, Tal, Feras Hatoom, Antoni Skripai, Ella Wajnryt, Tanir M. Allweis, Shani Paluch-Shimon, Yair Shachar, Aron Popovtzer, Marc Wygoda, and Philip Blumenfeld. 2025. "Complication Rates After Mastectomy and Reconstruction in Breast Cancer Patients Treated with Hypofractionated Radiation Therapy Compared to Conventional Fractionation: A Single Institutional Analysis" Cancers 17, no. 1: 106. https://doi.org/10.3390/cancers17010106
APA StyleFalick Michaeli, T., Hatoom, F., Skripai, A., Wajnryt, E., Allweis, T. M., Paluch-Shimon, S., Shachar, Y., Popovtzer, A., Wygoda, M., & Blumenfeld, P. (2025). Complication Rates After Mastectomy and Reconstruction in Breast Cancer Patients Treated with Hypofractionated Radiation Therapy Compared to Conventional Fractionation: A Single Institutional Analysis. Cancers, 17(1), 106. https://doi.org/10.3390/cancers17010106

