Recent Developments in Surgical Treatment of Spinal Deformity in Pediatric Patients: Experience from a Single-Center Series of 42 Neurofibromatosis Type 1 Patients
Simple Summary
Abstract
1. Introduction
2. General Knowledge on NF-1
2.1. Genetics, Pathogenesis and Diagnosis
2.2. Clinical Presentation of NF-1
2.3. Spinal Deformity in NF-1 Patients
2.3.1. Non Dystrophic Spinal Deformity
2.3.2. Dystrophic Spinal Deformity
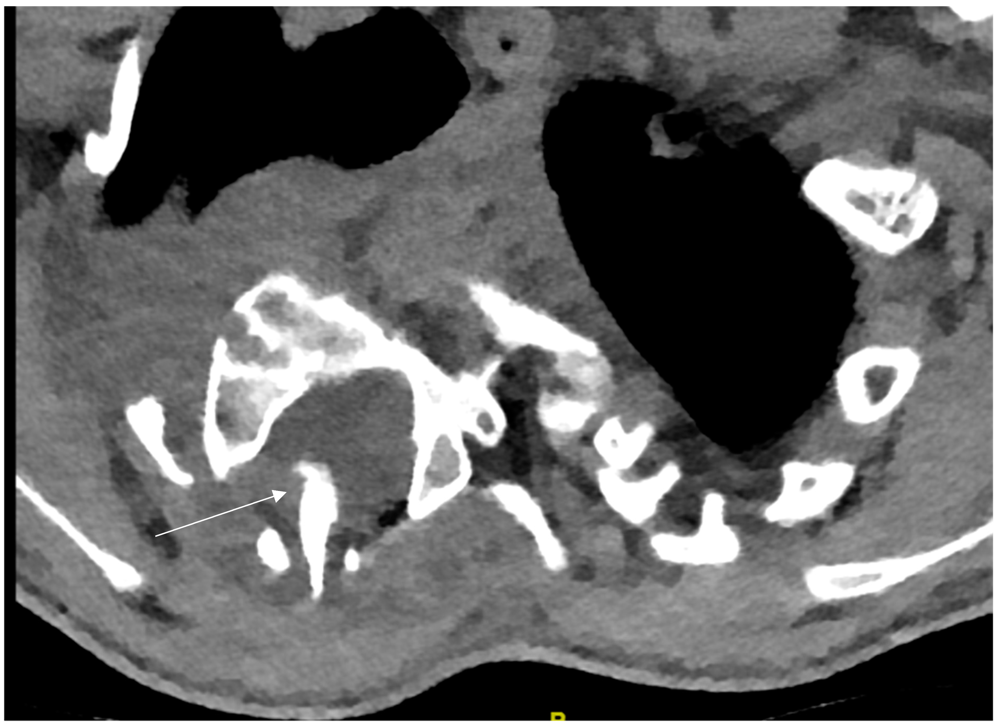
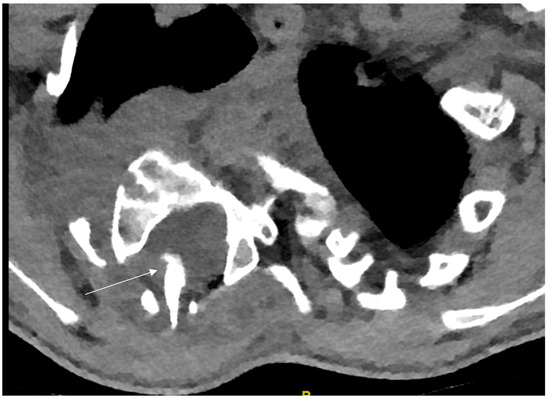
2.3.3. Imaging Modalities of Spinal Deformity in NF-1
3. Materials and Methods
3.1. Data Collection, Measurements
3.2. Treatment Protocol
3.2.1. Non Dystrophic Spinal Deformity
3.2.2. Dystrophic Spinal Deformity
3.3. Surgical Treatment Methods
3.3.1. Anterior Spinal Fusion
3.3.2. Posterior Growth-Preserving Instrumentation
VEPTR
Traditional Growing Rods (TGRs)
Magnetically Controlled Growing Rods (MCGRs)
3.3.3. Posterior Spinal Fusion
3.3.4. Combined Anterior and Posterior Spinal Fusion
3.3.5. Halo-Gravity Traction
3.3.6. Bone Grafting
4. Results
4.1. Cervical Spine
4.2. Thoracic and Lumbar Spine
4.2.1. “Early Onset Spinal Deformity”
4.2.2. Adolescent Spinal Deformity
5. Discussion
5.1. Cervical Spine
5.2. Thoracic and Lumbar Spine
- Severity and rigidity of the deformity;
- Extent of dystrophic bone changes;
- Presence of paraspinal or intraspinal abnormalities (neurofibroma, dural ectasia, meningocele, etc.).
- Expected residual growth of the spine (in particular the thoracic portion);
- Patient’s general condition and nutritional status;
- Co-morbidities such as hypertension, pulmonary insufficiency etc.;
- Accompanying malignant transformation of neurofibromas.
5.2.1. Growth-Preserving Techniques
5.2.2. Definitive Spinal Fusion
6. Conclusions
Author Contributions
Funding
Institutional Review Board Statement
Informed Consent Statement
Data Availability Statement
Conflicts of Interest
References
- Akbarnia, B.A.; Gabriel, K.R.; Beckman, E.; Chalk, D. Prevalence of scoliosis in neurofibromatosis. Spine 1992, 17, S244–S248. [Google Scholar] [CrossRef]
- Cnossen, M.H.; de Goede-Bolder, A.; van den Broek, K.M.; Waasdorp, C.M.; Oranje, A.P.; Stroink, H.; Simonsz, H.J.; van den Ouweland, A.M.; Halley, D.J.; Niermeijer, M.F. A prospec tive 10 year follow up study of patients with neurofibromatosis type 1. Arch. Dis. Child. 1998, 78, 408–412. [Google Scholar] [CrossRef][Green Version]
- Huson, S.M.; Harper, P.S.; Compston, D.A. Von Recklinghausen neurofi bromatosis: A clinical and population study in south-east Wales. Brain 1988, 111, 1355–1381. [Google Scholar] [CrossRef] [PubMed]
- Funasaki, H.; Winter, R.B.; Lonstein, J.B.; Denis, F. Pathophysiology of spinal deformities in neurofibromatosis. J. Bone Jt. Surg. 1994, 76, 692–700. [Google Scholar] [CrossRef] [PubMed]
- Sirois, J.L.; Drennan, J.C. Dystrophic spinal deformity in neurofibromatosis. J. Pediatr. Orthop. 1990, 10, 522–526. [Google Scholar] [CrossRef] [PubMed]
- Winter, R.B.; Moe, J.H.; Bradford, D.S.; Lonstein, J.E.; Pedras, C.V.; Weber, A.H. Spine deformity in neurofibromatosis. A review of one hundred and two patients. J. Bone Jt. Surg. 1979, 61, 677–694. [Google Scholar] [CrossRef]
- Vitale, M.G.; Guha, A.; Skaggs, D.L. Orthopaedic manifestations of neurofibromatosis in children: An update. Clin. Orthop. 2002, 401, 107–118. [Google Scholar] [CrossRef]
- Betz, R.R.; Iorio, R.; Lombardi, A.V.; Clancy, M.; Steel, H.H. Scoliosis surgery in neurofibromatosis. Clin. Orthop. Relat. Res. 1989, 245, 53–56. [Google Scholar] [CrossRef]
- Calvert, P.T.; Edgar, M.A.; Webb, P.J. Scoliosis in neurofibromatosis. Natural history without operation. J. Bone Jt. Surg. 1989, 71, 246–251. [Google Scholar] [CrossRef]
- Winter, R.B.; Lonstein, J.E.; Anderson, M. Neurofibromatosis hyperkyphosis: A review of 33 patients with kyphosis of 80 degrees or greater. J. Spinal Disord. 1988, 1, 39–49. [Google Scholar] [CrossRef]
- Li, M.; Fang, X.; Li, Y.; Ni, J.; Gu, S.; Zhu, X. Successful use of posterior instrumented spinal fusion alone for scoliosis in 19 patients with NF-1 followed up for at least 25 months. Arch. Orthop. Trauma. Surg. 2009, 129, 915–921. [Google Scholar] [CrossRef] [PubMed]
- Koptan, W.; ElMiligui, Y. Surgical correction of severe dystrophic neurofibromatosis scoliosis: An experience of 32 cases. Eur. Spine J. 2010, 19, 1569–1575. [Google Scholar] [CrossRef]
- Tsirikos, A.I.; Saifuddin, A.; Noordeen, M.H. Spinal deformity in neurofibromatosis type-1: Diagnosis and treatment. Eur. Spine J. 2005, 14, 427–439. [Google Scholar] [CrossRef] [PubMed]
- Guha, A.; Lau, N.; Huvar, I.; Gutmann, P.; Provias, J.; Pawson, T.; Boss, G. Ras GTP levels are elevated in human NF1 peripheral nerve tumors. Oncogene 1996, 12, 507–513. [Google Scholar] [CrossRef]
- Gutmann, D.H.; Wood, D.L.; Collins, F.S. Identification of the neurofibromatosis type 1 gene product. Proc. Natl. Acad. Sci. USA 1991, 88, 9658–9662. [Google Scholar] [CrossRef]
- Gutmann, D.H.; Geist, R.T.; Wright, D.E.; Snider, W.D. Expression of the neurofibromatosis 1 (NF1) isoforms in developing and adult rat tissues. Cell Growth Differ. 1995, 6, 315–323. [Google Scholar] [PubMed]
- Legius, E.; Marchuk, D.A.; Collins, F.S.; Glover, T.W. Somatic deletion of the neurofibromatosis type 1 gene in a neurofibrosarcoma supports a tumour suppressor gene hypothesis. Nat. Genet. 1993, 3, 122–126. [Google Scholar] [CrossRef]
- Walker, J.A.; Upadhyaya, M. Emerging therapeutic targets for neurofibromatosis type 1. Expert. Opin. Ther. Targets 2018, 22, 419–437. [Google Scholar] [CrossRef] [PubMed] [PubMed Central]
- Armstrong, A.E.; Belzberg, A.J.; Crawford, J.R.; Hirbe, A.C.; Wang, Z.J. Treatment decisions and the use of MEK inhibitors for children with neurofibromatosis type 1-related plexiform neurofibromas. BMC Cancer 2023, 23, 553. [Google Scholar] [CrossRef]
- Ronsley, R.; Hounjet, C.D.; Cheng, S.; Rassekh, S.R.; Duncan, W.J.; Dunham, C.; Gardiner, J.; Ghag, A.; Ludemann, J.P.; Wensley, D.; et al. Trametinib therapy for children with neurofibromatosis type 1 and life-threatening plexiform neurofibroma or treatment-refractory low-grade glioma. Cancer Med. 2021, 10, 3556–3564. [Google Scholar] [CrossRef]
- Gross, A.M.; Wolters, P.L.; Dombi, E.; Baldwin, A.; Whitcomb, P.; Fisher, M.J.; Weiss, B.; Kim, A.; Bornhorst, M.; Shah, A.C.; et al. Selumetinib in Children with Inoperable Plexiform Neurofibromas. N. Engl. J. Med. 2020, 382, 1430–1442. [Google Scholar] [CrossRef] [PubMed]
- Messiaen, L.M.; Callens, T.; Mortier, G.; Beysen, D.; Vandenbroucke, I.; Van Roy, N.; Speleman, F.; Paepe, A.D. Exhaustive mutation analysis of the NF1 gene allows identification of 95% of mutations and reveals a high frequency of unusual splicing defects. Hum. Mutat. 2000, 15, 541–555. [Google Scholar] [CrossRef] [PubMed]
- Acosta, M.T.; Gioia, G.A.; Silva, A.J. Neurofibromatosis type 1: New insights into neurocognitive issues. Curr. Neurol. Neurosci. Rep. 2006, 6, 136–143. [Google Scholar] [CrossRef] [PubMed]
- Evans, D.G.R.; E Baser, M.; McGaughran, J.; Sharif, S.; Howard, E.; Moran, A. Malignant peripheral nerve sheath tumours in neurofibromatosis 1. J. Med. Genet. 2002, 39, 311–314. [Google Scholar] [CrossRef]
- Farid, M.; Demicco, E.G.; Garcia, R.; Ahn, L.; Merola, P.R.; Cioffi, A.; Maki, R.G. Malignant peripheral nerve sheath tumors. Oncologist 2014, 19, 193–201. [Google Scholar] [CrossRef]
- Listernick, R.; Darling, C.; Greenwald, M.; Strauss, L.; Charrow, J. Optic pathway tumors in children: The effect of neurofibromatosis type 1 on clinical manifestations and natural history. J. Pediatr. 1995, 127, 718–722. [Google Scholar] [CrossRef]
- Guillamo, J.; Créange, A.; Kalifa, C.; Grill, J.; Rodriguez, D.; Doz, F.; Barbarot, S.; Zerah, M.; Sanson, M.; Bastuji-Garin, S.; et al. Prognostic factors of CNS tumours in Neurofibromatosis 1 (NF1): A retrospective study of 104 patients. Brain 2003, 126, 152–160. [Google Scholar] [CrossRef]
- Balcer, L.J.; Liu, G.T.; Heller, G.; Bilaniuk, L.; Volpe, N.J.; Galetta, S.L.; Molloy, P.T.; Phillips, P.C.; Janss, A.J.; Vaughn, S.; et al. Visual loss in children with neurofibromatosis type 1 and optic pathway gliomas: Relation to tumor location by magnetic resonance imaging. Am. J. Ophthalmol. 2001, 131, 442–445. [Google Scholar] [CrossRef]
- Neurofibromatosis. Conference statement. National Institute of Health Consensus Develpment Conference. Arch. Neurol. 1987, 45, 575–578. [Google Scholar]
- Legius, E.; Messiaen, L.; Wolkenstein, P.; Pancza, P.; Avery, R.A.; Berman, Y.; Blakeley, J.; Babovic-Vuksanovic, D.; Cunha, K.S.; Ferner, R.; et al. Revised diagnostic criteria for neurofibromatosis type 1 and Legius syndrome: An international consensus recommendation. Genet. Med. 2021, 23, 1506–1513. [Google Scholar] [CrossRef]
- Gould, E.P. The bone changes occurring in Von Recklinghausen’s disease. Q. J. Med. 1918, 11, 221–228. [Google Scholar] [CrossRef][Green Version]
- Crawford, A.H. Neurofi bromatosis. In The Pediatric Spine: Principles and Practice, 2nd ed.; Weinstein, S.L., Ed.; Lippincott Williams & Wilkins: Philadelphia, PA, USA, 2001; pp. 471–490. [Google Scholar]
- Rezaian, S.M. The incidence of scoliosis due to neurofibromatosis. Acta Orthop. Scand. 1976, 147, 534–539. [Google Scholar] [CrossRef] [PubMed]
- Durrani, A.; Crawford, A.H.; Choudhry, S.N.; Saifuddin, A.; Morley, T.R. Modulation of spinal deformities in patients with neurofibromatosis type 1. Spine 2000, 25, 69–75. [Google Scholar] [CrossRef] [PubMed]
- Kim, H.W.; Weinstein, S.L. Spine update: The management of scoliosis in neurofibromatosis. Spine 1997, 22, 2770–2776. [Google Scholar] [CrossRef] [PubMed]
- El-Hawary, R.; Akbarnia, B.A. Letter to the editor, early onset scoliosis: Time for consensus. Spine Deform. 2015, 3, 105–106. [Google Scholar] [CrossRef]
- Sanders, J.O.; Khoury, J.G.; Kishan, S.; Browne, R.H.; Mooney, J.F., 3rd; Arnold, K.D.; McConnell, S.J.; Bauman, J.A.; Finegold, D.N. Predicting scoliosis progression from skeletal maturity: A simplified classification during adolescence. J. Bone Jt. Surg. Am. 2008, 90, 540–553. [Google Scholar] [CrossRef]
- Karol, L.A.; Johnston, C.; Mladenov, K.; Schochet, P.; Walters, P.; Browne, R.H. Pulmonary function following early thoracic fusion in non-neuromuscular scoliosis. J. Bone Jt. Surg. Am. 2008, 90, 1272–1281. [Google Scholar] [CrossRef]
- Young-Hing, K.; Kalamchi, A.; MacEwen, G.D. Cervical spine abnormalities in neurofibromatosis. J. Bone Jt. Surg. Am. 1979, 61, 695–699. [Google Scholar] [CrossRef]
- Gu, Y.; Shen, X.; Liu, Y.; Cao, P.; Yuan, W. Clinical outcomes of anterior correction and reconstruction for neurofibromatosis-associated severe cervical kyphotic deformity. Int. Orthop. 2019, 43, 639–646. [Google Scholar] [CrossRef]
- Crawford, A.H.; Parikh, S.; Schorry, E.; von Stein, D. The immature spine in Type-1 neurofibromatosis. J. Bone Jt. Surg. 2007, 89 (Suppl. S1), 123–142. [Google Scholar]
- Campbell, R.M., Jr.; Smith, M.D.; Mayes, T.C.; Mangos, J.A.; Willey-Courand, D.B.; Kose, N.; Pinero, R.F.; Alder, M.E.; Duong, H.L.; Surber, J.L. The characteristics of thoracic insufficiency syndrome associated with fused ribs and congenital scoliosis. J. Bone Jt. Surg. Am. 2003, 85, 399–408. [Google Scholar] [PubMed]
- Tauchi, R.; Kawakami, N.; Castro, M.A.; Ohara, T.; Saito, T.; Morishita, K.; Yamauchi, I. Long term surgical outcomes after early definitive spinal fusion for early onset scoliosis with NF Type-1 at mean follow-up of 14 years. J. Pediatr. Orthop. 2020, 40, 42–47. [Google Scholar] [CrossRef]
- Jain, V.V.; Berry, C.A.; Crawford, A.H.; Emans, J.B.; Sponseller, P.D.; Growing Spine Study Group. Growing Rods Are an Effective Fusionless Method of Controlling Early-Onset Scoliosis Associated With Neurofibromatosis Type 1 (NF1): A Multicenter Retrospective Case Series. J. Pediatr. Orthop. 2017, 37, e612–e618. [Google Scholar] [PubMed]
- Crawford, A.H. Pitfalls of spinal deformities associated with neurofibromatosis in children. Clin. Orthop. Relat. Res. 1989, 245, 29–42. [Google Scholar] [CrossRef]
- Iwai, C.; Taneichi, H.; Inami, S.; Namikawa, T.; Takeuchi, D.; Kato, N.; Iida, T.; Shimizu, K.; Nohara, Y. Clinical outcomes of combined anterior and posterior spinal fusion for dystrophic thoracolumbar spinal deformities of neurofibromatosis-1: Fate of nonvascularized anterior fibular strut grafts. Spine 2013, 38, 44–50. [Google Scholar] [CrossRef] [PubMed]
- Crawford, A.H.; Schorry, E.K. Neurofibromatosis update. J. Pediatr. Orthop. 2006, 26, 413–423. [Google Scholar]
- Feldman, D.S.; Jordan, C.; Fonseca, L. Orthopaedic manifestations of neurofibromatosis type 1. J. Am. Acad. Orthop. Surg. 2010, 18, 346–357. [Google Scholar] [CrossRef] [PubMed]
- Mladenov, K.V.; Spiro, A.S.; Krajewski, K.L.; Stücker, R.; Kunkel, P. Management of spinal deformities and tibial pseudarthrosis in children with neurofibromatosis type 1 (NF-1). Childs Nerv. Syst. 2020, 36, 2409–2425. [Google Scholar] [CrossRef]
- Riccardi, C.; Perrone, L.; Napolitano, F.; Sampaolo, S. Understanding the Biological Activities of Vitamin D in Type 1 Neurofibromatosis: New Insights into Disease Pathogenesis and Therapeutic Design. Cancers 2020, 12, 2965. [Google Scholar] [CrossRef]
- Gutmann, D.H.; Aylsworth, A.; Carey, J.C.; Korf, B.; Marks, J.; Pyeritz, R.E.; Rubenstein, A.; Viskochil, D. The diagnostic evaluation and multi disciplinary management of neurofibromatosis 1 and neurofibromatosis 2. JAMA 1997, 278, 51–57. [Google Scholar] [CrossRef]












| Feature | Location | Definition |
|---|---|---|
| Scalloping | Vertebral body | scalloping of the posterior, anterior or lateral wall * |
| Rotation | Vertebra | rotational deformity as compared to adjacent vertebra |
| Penciling | Rib | narrowing of the medial portion of the rib ** |
| Wedging | Vertebral body | wedge shaped vertebral body *** |
| Spindling | Transverse process | transverse process thinned like a spindle |
| Widening | Spinal canal | enlarged interpedicular distance **** |
| Enlargement | Neuroforamen | enlarged neuroforamen ***** |
| Soft tissue mass | Paravertebral | seen mostly on MRI |
| Type of Index Surgical Procedure | Age at Surgery * | Duration of Follow-Up * | Curve ° Pre-Op | Curve ° Last Follow-Up | % Curve Correction | T1-12 Postoperative † | T1-12 Last Follow-Up † | Growth T1-12 ‡ |
|---|---|---|---|---|---|---|---|---|
| Growth-preserving | 7.7 (±2.3) | 6.7 (±3.6) | 77 (±11.4) | 33.1 (±10.6) | 54.1 (±14.7) | 19.6 (±3) | 22.8 (±2.9) | 0.73 (±0.17) |
| Fusion | 13.4 (±2.3) | 3.1 (±1.7) | 66 (±13.6) | 26 (±11.3) | 66 (±23.7) |
Disclaimer/Publisher’s Note: The statements, opinions and data contained in all publications are solely those of the individual author(s) and contributor(s) and not of MDPI and/or the editor(s). MDPI and/or the editor(s) disclaim responsibility for any injury to people or property resulting from any ideas, methods, instructions or products referred to in the content. |
© 2024 by the authors. Licensee MDPI, Basel, Switzerland. This article is an open access article distributed under the terms and conditions of the Creative Commons Attribution (CC BY) license (https://creativecommons.org/licenses/by/4.0/).
Share and Cite
Mladenov, K.V.; Stücker, R. Recent Developments in Surgical Treatment of Spinal Deformity in Pediatric Patients: Experience from a Single-Center Series of 42 Neurofibromatosis Type 1 Patients. Cancers 2024, 16, 4079. https://doi.org/10.3390/cancers16234079
Mladenov KV, Stücker R. Recent Developments in Surgical Treatment of Spinal Deformity in Pediatric Patients: Experience from a Single-Center Series of 42 Neurofibromatosis Type 1 Patients. Cancers. 2024; 16(23):4079. https://doi.org/10.3390/cancers16234079
Chicago/Turabian StyleMladenov, Kiril V., and Ralf Stücker. 2024. "Recent Developments in Surgical Treatment of Spinal Deformity in Pediatric Patients: Experience from a Single-Center Series of 42 Neurofibromatosis Type 1 Patients" Cancers 16, no. 23: 4079. https://doi.org/10.3390/cancers16234079
APA StyleMladenov, K. V., & Stücker, R. (2024). Recent Developments in Surgical Treatment of Spinal Deformity in Pediatric Patients: Experience from a Single-Center Series of 42 Neurofibromatosis Type 1 Patients. Cancers, 16(23), 4079. https://doi.org/10.3390/cancers16234079

