Stimulator of Interferon Genes Protein (STING) Expression in Cancer Cells: A Tissue Microarray Study Evaluating More than 18,000 Tumors from 139 Different Tumor Entities
Abstract
Simple Summary
Abstract
1. Introduction
2. Materials and Methods
2.1. Tissue Microarrays (TMAs)
2.2. Immunohistochemistry (IHC)
2.3. Statistics
3. Results
3.1. Technical Issues
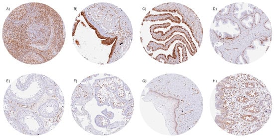
3.2. STING in Normal Tissues
3.3. STING Expression in Cancer
3.4. STING Expression, Tumor Phenotype, and Prognosis
3.5. STING Expression, PD-L1 Status, and Tumor Microenvironment
4. Discussion
5. Conclusions
Supplementary Materials
Author Contributions
Funding
Institutional Review Board Statement
Informed Consent Statement
Data Availability Statement
Acknowledgments
Conflicts of Interest
References
- Paludan, S.R.; Bowie, A.G. Immune sensing of DNA. Immunity 2013, 38, 870–880. [Google Scholar] [CrossRef] [PubMed]
- Liu, Z.; Wang, D.; Zhang, J.; Xiang, P.; Zeng, Z.; Xiong, W.; Shi, L. cGAS-STING signaling in the tumor microenvironment. Cancer Lett. 2023, 577, 216409. [Google Scholar] [CrossRef]
- Wang, Y.; Liu, Y.; Zhang, J.; Peng, Q.; Wang, X.; Xiao, X.; Shi, K. Nanomaterial-mediated modulation of the cGAS-STING signaling pathway for enhanced cancer immunotherapy. Acta Biomater. 2024, 176, 51–76. [Google Scholar] [CrossRef]
- Huang, C.; Shao, N.; Huang, Y.; Chen, J.; Wang, D.; Hu, G.; Zhang, H.; Luo, L.; Xiao, Z. Overcoming challenges in the delivery of STING agonists for cancer immunotherapy: A comprehensive review of strategies and future perspectives. Mater. Today Bio 2023, 23, 100839. [Google Scholar] [CrossRef] [PubMed]
- Zou, S.; Tong, Q.; Liu, B.; Huang, W.; Tian, Y.; Fu, X. Targeting STAT3 in Cancer Immunotherapy. Mol. Cancer 2020, 19, 145. [Google Scholar] [CrossRef] [PubMed]
- Sokolowska, O.; Nowis, D. STING Signaling in Cancer Cells: Important or Not? Arch. Immunol. Ther. Exp. 2018, 66, 125–132. [Google Scholar] [CrossRef] [PubMed]
- Fu, J.; Kanne, D.B.; Leong, M.; Glickman, L.H.; McWhirter, S.M.; Lemmens, E.; Mechette, K.; Leong, J.J.; Lauer, P.; Liu, W.; et al. STING agonist formulated cancer vaccines can cure established tumors resistant to PD-1 blockade. Sci. Transl. Med. 2015, 7, 283ra252. [Google Scholar] [CrossRef]
- Parkes, E.E.; Walker, S.M.; Taggart, L.E.; McCabe, N.; Knight, L.A.; Wilkinson, R.; McCloskey, K.D.; Buckley, N.E.; Savage, K.I.; Salto-Tellez, M.; et al. Activation of STING-Dependent Innate Immune Signaling by S-Phase-Specific DNA Damage in Breast Cancer. J. Natl. Cancer Inst. 2017, 109, djw199. [Google Scholar] [CrossRef]
- Du, S.S.; Chen, G.W.; Yang, P.; Chen, Y.X.; Hu, Y.; Zhao, Q.Q.; Zhang, Y.; Liu, R.; Zheng, D.X.; Zhou, J.; et al. Radiation Therapy Promotes Hepatocellular Carcinoma Immune Cloaking via PD-L1 Upregulation Induced by cGAS-STING Activation. Int. J. Radiat. Oncol. Biol. Phys. 2022, 112, 1243–1255. [Google Scholar] [CrossRef]
- Yan, X.; Yao, C.; Fang, C.; Han, M.; Gong, C.; Hu, D.; Shen, W.; Wang, L.; Li, S.; Zhu, S. Rocaglamide promotes the infiltration and antitumor immunity of NK cells by activating cGAS-STING signaling in non-small cell lung cancer. Int. J. Biol. Sci. 2022, 18, 585–598. [Google Scholar] [CrossRef]
- Nicolai, C.J.; Wolf, N.; Chang, I.C.; Kirn, G.; Marcus, A.; Ndubaku, C.O.; McWhirter, S.M.; Raulet, D.H. NK cells mediate clearance of CD8(+) T cell-resistant tumors in response to STING agonists. Sci. Immunol. 2020, 5, eaaz2738. [Google Scholar] [CrossRef]
- Takashima, K.; Takeda, Y.; Oshiumi, H.; Shime, H.; Okabe, M.; Ikawa, M.; Matsumoto, M.; Seya, T. STING in tumor and host cells cooperatively work for NK cell-mediated tumor growth retardation. Biochem. Biophys. Res. Commun. 2016, 478, 1764–1771. [Google Scholar] [CrossRef]
- Woo, S.R.; Fuertes, M.B.; Corrales, L.; Spranger, S.; Furdyna, M.J.; Leung, M.Y.; Duggan, R.; Wang, Y.; Barber, G.N.; Fitzgerald, K.A.; et al. STING-dependent cytosolic DNA sensing mediates innate immune recognition of immunogenic tumors. Immunity 2014, 41, 830–842. [Google Scholar] [CrossRef] [PubMed]
- Zhong, G.; Peng, C.; Chen, Y.; Li, J.; Yang, R.; Wu, M.; Lu, P. Expression of STING and PD-L1 in colorectal cancer and their correlation with clinical prognosis. Int. J. Clin. Exp. Pathol. 2018, 11, 1256–1264. [Google Scholar]
- Song, S.; Peng, P.; Tang, Z.; Zhao, J.; Wu, W.; Li, H.; Shao, M.; Li, L.; Yang, C.; Duan, F.; et al. Decreased expression of STING predicts poor prognosis in patients with gastric cancer. Sci. Rep. 2017, 7, 39858. [Google Scholar] [CrossRef] [PubMed]
- Wang, J.; Zheng, Y.; Peng, X.; Li, R.; Pang, Y.; Du, Y.; Chen, Y.; Zhang, K. Low expression of PTEN and high expression of STING in human tongue squamous cell carcinoma tissues are associated with poor prognosis. Xi Bao Yu Fen Zi Mian Yi Xue Za Zhi 2020, 36, 1016–1020. [Google Scholar]
- Ni, H.; Zhang, H.; Li, L.; Huang, H.; Guo, H.; Zhang, L.; Li, C.; Xu, J.X.; Nie, C.P.; Li, K.; et al. T cell-intrinsic STING signaling promotes regulatory T cell induction and immunosuppression by upregulating FOXP3 transcription in cervical cancer. J. Immunother. Cancer 2022, 10, e005151. [Google Scholar] [CrossRef] [PubMed]
- Huvila, J.; Cochrane, D.R.; Ta, M.; Chow, C.; Greening, K.; Leung, S.; Karnezis, A.N.; DiFeo, A.; Huntsman, D.G. STING pathway expression in low-grade serous carcinoma of the ovary: An unexpected therapeutic opportunity? J. Pathol. Clin. Res. 2021, 7, 548–555. [Google Scholar] [CrossRef]
- Miao, L.; Qi, J.; Zhao, Q.; Wu, Q.N.; Wei, D.L.; Wei, X.L.; Liu, J.; Chen, J.; Zeng, Z.L.; Ju, H.Q.; et al. Targeting the STING pathway in tumor-associated macrophages regulates innate immune sensing of gastric cancer cells. Theranostics 2020, 10, 498–515. [Google Scholar] [CrossRef]
- Yao, H.; Wang, S.; Zhou, X.; Sun, J.; Zhou, G.; Zhou, D.; Chen, G.; Shi, X.; Chen, J.; Shi, B.; et al. STING promotes proliferation and induces drug resistance in colorectal cancer by regulating the AMPK-mTOR pathway. J. Gastrointest. Oncol. 2022, 13, 2458–2471. [Google Scholar] [CrossRef]
- Yang, B.; Rao, W.; Luo, H.; Zhang, L.; Wang, D. Relapse-related molecular signature in early-stage lung adenocarcinomas based on base excision repair, stimulator of interferon genes pathway and tumor-infiltrating lymphocytes. Cancer Sci. 2020, 111, 3493–3502. [Google Scholar] [CrossRef] [PubMed]
- Viculin, J.; Degoricija, M.; Vilovic, K.; Gabela, I.; Frankovic, L.; Vrdoljak, E.; Korac-Prlic, J. Elevated Tumor Cell-Intrinsic STING Expression in Advanced Laryngeal Cancer. Cancers 2023, 15, 3510. [Google Scholar] [CrossRef] [PubMed]
- Marletta, S.; Calio, A.; Bogina, G.; Rizzo, M.; Brunelli, M.; Pedron, S.; Marcolini, L.; Stefanizzi, L.; Gobbo, S.; Princiotta, A.; et al. STING is a prognostic factor related to tumor necrosis, sarcomatoid dedifferentiation, and distant metastasis in clear cell renal cell carcinoma. Virchows Arch. 2023, 483, 87–96. [Google Scholar] [CrossRef] [PubMed]
- Chen, M.; Yu, S.; van der Sluis, T.; Zwager, M.C.; Schroder, C.P.; van der Vegt, B.; van Vugt, M. cGAS-STING pathway expression correlates with genomic instability and immune cell infiltration in breast cancer. NPJ Breast Cancer 2024, 10, 1. [Google Scholar] [CrossRef] [PubMed]
- Saulters, E.L.; Kennedy, P.T.; Carter, R.J.; Alsufyani, A.; Jones, T.M.; Woolley, J.F.; Dahal, L.N. Differential Regulation of the STING Pathway in Human Papillomavirus-Positive and -Negative Head and Neck Cancers. Cancer Res. Commun. 2024, 4, 118–133. [Google Scholar] [CrossRef] [PubMed]
- Wang, L.A.; Yang, B.; Rao, W.; Xiao, H.; Wang, D.; Jiang, J. The correlation of BER protein, IRF3 with CD8+ T cell and their prognostic significance in upper tract urothelial carcinoma. Onco Targets Ther. 2019, 12, 7725–7735. [Google Scholar] [CrossRef] [PubMed]
- Lohinai, Z.; Dora, D.; Caldwell, C.; Rivard, C.J.; Suda, K.; Yu, H.; Rivalland, G.; Ellison, K.; Rozeboom, L.; Dziadziuszko, R.; et al. Loss of STING expression is prognostic in non-small cell lung cancer. J. Surg. Oncol. 2022, 125, 1042–1052. [Google Scholar] [CrossRef]
- Dora, D.; Rivard, C.; Yu, H.; Pickard, S.L.; Laszlo, V.; Harko, T.; Megyesfalvi, Z.; Gerdan, C.; Dinya, E.; Hoetzenecker, K.; et al. Protein Expression of immune checkpoints STING and MHCII in small cell lung cancer. Cancer Immunol. Immunother. 2023, 72, 561–578. [Google Scholar] [CrossRef] [PubMed]
- Takayanagi-Hara, R.; Sawada, Y.; Sugino, H.; Minokawa, Y.; Kawahara-Nanamori, H.; Itamura, M.; Tashiro, T.; Kaneoka, A.; Saito-Sasaki, N.; Yamamoto, K.; et al. STING expression is an independent prognostic factor in patients with mycosis fungoides. Sci. Rep. 2022, 12, 12739. [Google Scholar] [CrossRef]
- Kononen, J.; Bubendorf, L.; Kallioniemi, A.; Barlund, M.; Schraml, P.; Leighton, S.; Torhorst, J.; Mihatsch, M.J.; Sauter, G.; Kallioniemi, O.P. Tissue microarrays for high-throughput molecular profiling of tumor specimens. Nat. Med. 1998, 4, 844–847. [Google Scholar] [CrossRef]
- Dancau, A.M.; Simon, R.; Mirlacher, M.; Sauter, G. Tissue Microarrays. Methods Mol. Biol. 2016, 1381, 53–65. [Google Scholar] [CrossRef] [PubMed]
- Moller, K.; Knoll, M.; Bady, E.; Schmerder, M.J.; Rico, S.D.; Kluth, M.; Hube-Magg, C.; Blessin, N.C.; Mandelkow, T.; Lennartz, M.; et al. PD-L1 expression and CD8 positive lymphocytes in human neoplasms: A tissue microarray study on 11,838 tumor samples. Cancer Biomark. 2023, 36, 177–191. [Google Scholar] [CrossRef] [PubMed]
- Simon, R.; Mirlacher, M.; Sauter, G. Immunohistochemical analysis of tissue microarrays. Methods Mol. Biol. 2010, 664, 113–126. [Google Scholar] [CrossRef]
- Huang, J.; Xie, Y.; Sun, X.; Zeh, H.J., 3rd; Kang, R.; Lotze, M.T.; Tang, D. DAMPs, ageing, and cancer: The ‘DAMP Hypothesis’. Ageing Res. Rev. 2015, 24, 3–16. [Google Scholar] [CrossRef] [PubMed]
- Baca, S.C.; Garraway, L.A. The genomic landscape of prostate cancer. Front. Endocrinol. 2012, 3, 69. [Google Scholar] [CrossRef] [PubMed]
- Light, A.; Ahmed, A.; Dasgupta, P.; Elhage, O. The genetic landscapes of urological cancers and their clinical implications in the era of high-throughput genome analysis. BJU Int. 2020, 126, 26–54. [Google Scholar] [CrossRef]
- van Riet, J.; van de Werken, H.J.G.; Cuppen, E.; Eskens, F.; Tesselaar, M.; van Veenendaal, L.M.; Klumpen, H.J.; Dercksen, M.W.; Valk, G.D.; Lolkema, M.P.; et al. The genomic landscape of 85 advanced neuroendocrine neoplasms reveals subtype-heterogeneity and potential therapeutic targets. Nat. Commun. 2021, 12, 4612. [Google Scholar] [CrossRef]
- Krishnamurthy, K.; Lindsey, A.M.; Estrada, C.A.; Martinez, C.C.; Cusnir, M.; Schwartz, M.; Sriganeshan, V.; Poppiti, R. Title- Genomic landscape of squamous cell carcinoma- Different genetic pathways culminating in a common phenotype. Cancer Treat. Res. Commun. 2020, 25, 100238. [Google Scholar] [CrossRef] [PubMed]
- Blakely, C.M. A New Pathway Emerges to Interpret Lung Cancer Genomic Alterations. Clin. Cancer Res. 2019, 25, 7269–7271. [Google Scholar] [CrossRef]
- Waddell, N.; Pajic, M.; Patch, A.M.; Chang, D.K.; Kassahn, K.S.; Bailey, P.; Johns, A.L.; Miller, D.; Nones, K.; Quek, K.; et al. Whole genomes redefine the mutational landscape of pancreatic cancer. Nature 2015, 518, 495–501. [Google Scholar] [CrossRef]
- Kwon, J.; Bakhoum, S.F. The Cytosolic DNA-Sensing cGAS-STING Pathway in Cancer. Cancer Discov. 2020, 10, 26–39. [Google Scholar] [CrossRef] [PubMed]
- Bakhoum, S.F.; Ngo, B.; Laughney, A.M.; Cavallo, J.A.; Murphy, C.J.; Ly, P.; Shah, P.; Sriram, R.K.; Watkins, T.B.K.; Taunk, N.K.; et al. Chromosomal instability drives metastasis through a cytosolic DNA response. Nature 2018, 553, 467–472. [Google Scholar] [CrossRef]
- Lu, C.; Guan, J.; Lu, S.; Jin, Q.; Rousseau, B.; Lu, T.; Stephens, D.; Zhang, H.; Zhu, J.; Yang, M.; et al. DNA Sensing in Mismatch Repair-Deficient Tumor Cells Is Essential for Anti-tumor Immunity. Cancer Cell 2021, 39, 96–108.e6. [Google Scholar] [CrossRef] [PubMed]
- Liang, L.; Chai, Y.; Chai, F.; Liu, H.; Ma, N.; Zhang, H.; Zhang, S.; Nong, L.; Li, T.; Zhang, B. Expression of SASP, DNA Damage Response, and Cell Proliferation Factors in Early Gastric Neoplastic Lesions: Correlations and Clinical Significance. Pathol. Oncol. Res. 2022, 28, 1610401. [Google Scholar] [CrossRef] [PubMed]
- Saulters, E.; Woolley, J.F.; Varadarajan, S.; Jones, T.M.; Dahal, L.N. STINGing Viral Tumors: What We Know from Head and Neck Cancers. Cancer Res. 2021, 81, 3945–3952. [Google Scholar] [CrossRef] [PubMed]
- Shaikh, M.H.; Bortnik, V.; McMillan, N.A.; Idris, A. cGAS-STING responses are dampened in high-risk HPV type 16 positive head and neck squamous cell carcinoma cells. Microb. Pathog. 2019, 132, 162–165. [Google Scholar] [CrossRef] [PubMed]
- Lau, L.; Gray, E.E.; Brunette, R.L.; Stetson, D.B. DNA tumor virus oncogenes antagonize the cGAS-STING DNA-sensing pathway. Science 2015, 350, 568–571. [Google Scholar] [CrossRef] [PubMed]
- Kunac, N.; Degoricija, M.; Viculin, J.; Omerovic, J.; Terzic, J.; Vilovic, K.; Korac-Prlic, J. Activation of cGAS-STING Pathway Is Associated with MSI-H Stage IV Colorectal Cancer. Cancers 2022, 15, 221. [Google Scholar] [CrossRef] [PubMed]
- Kaneta, A.; Nakajima, S.; Okayama, H.; Matsumoto, T.; Saito, K.; Kikuchi, T.; Endo, E.; Ito, M.; Mimura, K.; Kanke, Y.; et al. Role of the cGAS-STING pathway in regulating the tumor-immune microenvironment in dMMR/MSI colorectal cancer. Cancer Immunol. Immunother. 2022, 71, 2765–2776. [Google Scholar] [CrossRef] [PubMed]
- Vasiyani, H.; Mane, M.; Rana, K.; Shinde, A.; Roy, M.; Singh, J.; Gohel, D.; Currim, F.; Srivastava, R.; Singh, R. DNA damage induces STING mediated IL-6-STAT3 survival pathway in triple-negative breast cancer cells and decreased survival of breast cancer patients. Apoptosis 2022, 27, 961–978. [Google Scholar] [CrossRef]
- Vasiyani, H.; Shinde, A.; Roy, M.; Mane, M.; Singh, K.; Singh, J.; Gohel, D.; Currim, F.; Vaidya, K.; Chhabria, M.; et al. The analog of cGAMP, c-di-AMP, activates STING mediated cell death pathway in estrogen-receptor negative breast cancer cells. Apoptosis 2021, 26, 293–306. [Google Scholar] [CrossRef] [PubMed]
- Parkes, E.E.; Humphries, M.P.; Gilmore, E.; Sidi, F.A.; Bingham, V.; Phyu, S.M.; Craig, S.; Graham, C.; Miller, J.; Griffin, D.; et al. The clinical and molecular significance associated with STING signaling in breast cancer. NPJ Breast Cancer 2021, 7, 81. [Google Scholar] [CrossRef] [PubMed]
- Cai, H.; Yan, L.; Liu, N.; Xu, M.; Cai, H. IFI16 promotes cervical cancer progression by upregulating PD-L1 in immunomicroenvironment through STING-TBK1-NF-kB pathway. Biomed. Pharmacother. 2020, 123, 109790. [Google Scholar] [CrossRef] [PubMed]
- Grabosch, S.; Bulatovic, M.; Zeng, F.; Ma, T.; Zhang, L.; Ross, M.; Brozick, J.; Fang, Y.; Tseng, G.; Kim, E.; et al. Cisplatin-induced immune modulation in ovarian cancer mouse models with distinct inflammation profiles. Oncogene 2019, 38, 2380–2393. [Google Scholar] [CrossRef] [PubMed]
- Tang, C.H.; Zundell, J.A.; Ranatunga, S.; Lin, C.; Nefedova, Y.; Del Valle, J.R.; Hu, C.C. Agonist-Mediated Activation of STING Induces Apoptosis in Malignant B Cells. Cancer Res. 2016, 76, 2137–2152. [Google Scholar] [CrossRef] [PubMed]
- Xia, T.; Konno, H.; Ahn, J.; Barber, G.N. Deregulation of STING Signaling in Colorectal Carcinoma Constrains DNA Damage Responses and Correlates with Tumorigenesis. Cell Rep. 2016, 14, 282–297. [Google Scholar] [CrossRef]
- Uhlen, M.; Bandrowski, A.; Carr, S.; Edwards, A.; Ellenberg, J.; Lundberg, E.; Rimm, D.L.; Rodriguez, H.; Hiltke, T.; Snyder, M.; et al. A proposal for validation of antibodies. Nat. Methods 2016, 13, 823–827. [Google Scholar] [CrossRef]



| STING Immunostaining | |||||||
|---|---|---|---|---|---|---|---|
| Tumor Category | Tumor Entity | on TMA (n) | Analyzable (n) | Negative (%) | Weak (%) | Moderate (%) | Strong (%) | 
| Tumors of the skin | Pilomatricoma | 35 | 23 | 43.5 | 21.7 | 17.4 | 17.4 | 
| Basal cell carcinoma of the skin | 89 | 58 | 8.6 | 53.4 | 20.7 | 17.2 | |
| Benign nevus | 29 | 25 | 4.0 | 44.0 | 44.0 | 8.0 | |
| Squamous cell carcinoma of the skin | 145 | 129 | 28.7 | 45.7 | 16.3 | 9.3 | |
| Malignant melanoma | 65 | 60 | 28.3 | 18.3 | 28.3 | 25.0 | |
| Malignant mel. lymph node metastasis | 86 | 69 | 27.5 | 30.4 | 21.7 | 20.3 | |
| Merkel cell carcinoma | 48 | 40 | 95.0 | 2.5 | 0.0 | 2.5 | |
| Tumors of the head and neck | Squamous cell carcinoma of the larynx | 109 | 94 | 24.5 | 39.4 | 19.1 | 17.0 | 
| Squamous cell carcinoma of the pharynx | 60 | 52 | 3.8 | 40.4 | 23.1 | 32.7 | |
| Oral squamous cell carcinoma | 130 | 112 | 19.6 | 35.7 | 23.2 | 21.4 | |
| Pleomorphic adenoma (parotid gland) | 50 | 42 | 4.8 | 9.5 | 21.4 | 64.3 | |
| Warthin tumor of the parotid gland | 49 | 46 | 34.8 | 58.7 | 6.5 | 0.0 | |
| Basal cell adenoma of the salivary gland | 15 | 14 | 14.3 | 57.1 | 14.3 | 14.3 | |
| Tumors of the lung, pleura, and thymus | Adenocarcinoma of the lung | 196 | 165 | 9.7 | 18.2 | 20.0 | 52.1 | 
| Squamous cell carcinoma of the lung | 80 | 58 | 25.9 | 27.6 | 15.5 | 31.0 | |
| Small cell carcinoma of the lung | 16 | 12 | 75.0 | 0.0 | 25.0 | 0.0 | |
| Mesothelioma, epithelioid | 40 | 26 | 11.5 | 38.5 | 34.6 | 15.4 | |
| Mesothelioma, biphasic | 77 | 46 | 4.3 | 19.6 | 30.4 | 45.7 | |
| Thymoma | 29 | 27 | 7.4 | 37.0 | 22.2 | 33.3 | |
| Lung, neuroendocrine tumor (NET) | 29 | 28 | 71.4 | 10.7 | 7.1 | 10.7 | |
| Tumors of the female genital tract | Squamous cell carcinoma of the vagina | 78 | 63 | 12.7 | 42.9 | 19.0 | 25.4 | 
| Squamous cell carcinoma of the vulva | 157 | 135 | 23.0 | 47.4 | 16.3 | 13.3 | |
| Squamous cell carcinoma of the cervix | 136 | 123 | 9.8 | 34.1 | 22.0 | 34.1 | |
| Adenocarcinoma of the cervix | 23 | 20 | 10.0 | 25.0 | 20.0 | 45.0 | |
| Endometrioid endometrial carcinoma | 338 | 278 | 22.3 | 31.7 | 19.8 | 26.3 | |
| Endometrial serous carcinoma | 86 | 66 | 27.3 | 34.8 | 12.1 | 25.8 | |
| Carcinosarcoma of the uterus | 57 | 48 | 22.9 | 45.8 | 18.8 | 12.5 | |
| Endometrial carcinoma, high grade, G3 | 13 | 11 | 54.5 | 27.3 | 9.1 | 9.1 | |
| Endometrial clear cell carcinoma | 9 | 7 | 57.1 | 42.9 | 0.0 | 0.0 | |
| Endometrioid carcinoma of the ovary | 130 | 115 | 20.9 | 25.2 | 26.1 | 27.8 | |
| Serous carcinoma of the ovary | 580 | 520 | 14.0 | 29.4 | 16.5 | 40.0 | |
| Mucinous carcinoma of the ovary | 101 | 81 | 45.7 | 27.2 | 13.6 | 13.6 | |
| Clear cell carcinoma of the ovary | 51 | 47 | 59.6 | 21.3 | 6.4 | 12.8 | |
| Carcinosarcoma of the ovary | 47 | 45 | 11.1 | 68.9 | 6.7 | 13.3 | |
| Granulosa cell tumor of the ovary | 44 | 41 | 46.3 | 39.0 | 14.6 | 0.0 | |
| Leydig cell tumor of the ovary | 4 | 4 | 50.0 | 25.0 | 25.0 | 0.0 | |
| Sertoli cell tumor of the ovary | 1 | 1 | 0.0 | 100.0 | 0.0 | 0.0 | |
| Sertoli–Leydig cell tumor of the ovary | 3 | 3 | 66.7 | 33.3 | 0.0 | 0.0 | |
| Steroid cell tumor of the ovary | 3 | 3 | 66.7 | 33.3 | 0.0 | 0.0 | |
| Brenner tumor | 41 | 37 | 43.2 | 45.9 | 2.7 | 8.1 | |
| Tumors of the breast | Invasive breast ca. of no special type | 1764 | 1564 | 34.0 | 32.4 | 17.5 | 16.0 | 
| Lobular carcinoma of the breast | 363 | 274 | 35.8 | 33.6 | 19.3 | 11.3 | |
| Medullary carcinoma of the breast | 34 | 28 | 35.7 | 32.1 | 10.7 | 21.4 | |
| Tubular carcinoma of the breast | 29 | 19 | 47.4 | 42.1 | 10.5 | 0.0 | |
| Mucinous carcinoma of the breast | 65 | 52 | 57.7 | 26.9 | 5.8 | 9.6 | |
| Phyllodes tumor of the breast | 50 | 33 | 66.7 | 21.2 | 12.1 | 0.0 | |
| Tumors of the digestive system | Adenomatous polyp, low-grade dysplasia | 50 | 37 | 2.7 | 24.3 | 24.3 | 48.6 | 
| Adenomatous polyp, high-grade dyspl. | 50 | 40 | 5.0 | 15.0 | 30.0 | 50.0 | |
| Adenocarcinoma of the colon | 2483 | 2245 | 24.8 | 34.4 | 15.5 | 25.3 | |
| Gastric adenocarcinoma, diffuse type | 215 | 151 | 43.0 | 35.1 | 13.2 | 8.6 | |
| Gastric adenocarcinoma, intestinal type | 215 | 188 | 39.9 | 32.4 | 10.6 | 17.0 | |
| Gastric adenocarcinoma, mixed type | 62 | 49 | 30.6 | 42.9 | 16.3 | 10.2 | |
| Adenocarcinoma of the esophagus | 83 | 68 | 42.6 | 36.8 | 13.2 | 7.4 | |
| Squamous cell carcinoma of the esophagus | 76 | 58 | 27.6 | 34.5 | 15.5 | 22.4 | |
| Squamous cell carcinoma of the anal canal | 91 | 68 | 11.8 | 36.8 | 27.9 | 23.5 | |
| Cholangiocarcinoma | 58 | 58 | 60.3 | 17.2 | 6.9 | 15.5 | |
| Gallbladder adenocarcinoma | 51 | 48 | 31.3 | 33.3 | 12.5 | 22.9 | |
| Carcinoma of the extrahepatic bile duct | 42 | 31 | 22.6 | 19.4 | 19.4 | 38.7 | |
| Hepatocellular carcinoma | 312 | 276 | 84.4 | 7.2 | 3.6 | 4.7 | |
| Ductal adenocarcinoma of the pancreas | 659 | 594 | 5.1 | 17.0 | 26.4 | 51.5 | |
| Pancreatic/ampullary adenocarcinoma | 98 | 94 | 13.8 | 23.4 | 24.5 | 38.3 | |
| Acinar cell carcinoma of the pancreas | 18 | 18 | 77.8 | 16.7 | 5.6 | 0.0 | |
| Gastrointestinal stromal tumor (GIST) | 62 | 62 | 32.3 | 16.1 | 22.6 | 29.0 | |
| Appendix, neuroendocrine tumor (NET) | 25 | 13 | 76.9 | 15.4 | 0.0 | 7.7 | |
| Colorectal, neuroendocrine tumor (NET) | 12 | 9 | 77.8 | 0.0 | 22.2 | 0.0 | |
| Ileum, neuroendocrine tumor (NET) | 53 | 49 | 100.0 | 0.0 | 0.0 | 0.0 | |
| Pancreas, neuroendocrine tumor (NET) | 101 | 88 | 83.0 | 5.7 | 6.8 | 4.5 | |
| Colorectal, neuroendocrine carcinoma (NEC) | 14 | 13 | 76.9 | 15.4 | 7.7 | 0.0 | |
| Ileum, neuroendocrine carcinoma (NEC) | 8 | 8 | 87.5 | 0.0 | 12.5 | 0.0 | |
| Gallbladder, neuroendocrine carcinoma (NEC) | 4 | 4 | 75.0 | 25.0 | 0.0 | 0.0 | |
| Pancreas, neuroendocrine carcinoma (NEC) | 14 | 13 | 61.5 | 30.8 | 0.0 | 7.7 | |
| Tumors of the urinary system | Non-invasive papillary urothelial carcinoma, pTa G2 low grade | 177 | 113 | 20.4 | 69.0 | 8.0 | 2.7 | 
| Non-invasive papillary urothelial carcinoma, pTa G2 high grade | 141 | 100 | 37.0 | 50.0 | 6.0 | 7.0 | |
| Non-invasive papillary urothelial carcinoma, pTa G3 | 219 | 152 | 48.7 | 40.1 | 8.6 | 2.6 | |
| Urothelial carcinoma, pT2-4 G3 | 735 | 517 | 42.6 | 30.4 | 12.6 | 14.5 | |
| Squamous cell carcinoma of the bladder | 22 | 19 | 21.1 | 63.2 | 5.3 | 10.5 | |
| Small cell neuroendocrine carcinoma of the bladder | 23 | 19 | 68.4 | 21.1 | 5.3 | 5.3 | |
| Sarcomatoid urothelial carcinoma | 25 | 17 | 29.4 | 47.1 | 23.5 | 0.0 | |
| Urothelial carcinoma of the kidney pelvis | 62 | 52 | 44.2 | 46.2 | 3.8 | 5.8 | |
| Clear cell renal cell carcinoma | 1287 | 1065 | 75.5 | 15.7 | 3.6 | 5.3 | |
| Papillary renal cell carcinoma | 368 | 320 | 81.3 | 13.4 | 4.1 | 1.3 | |
| Clear cell tubulopapillary renal cell carcinoma | 26 | 21 | 76.2 | 9.5 | 14.3 | 0.0 | |
| Chromophobe renal cell carcinoma | 170 | 149 | 79.2 | 18.1 | 2.7 | 0.0 | |
| Oncocytoma of the kidney | 257 | 219 | 59.4 | 34.2 | 5.0 | 1.4 | |
| Tumors of the male genital organs | Adenocarcinoma of the prostate, Gleason 3+3 | 83 | 73 | 97.3 | 2.7 | 0.0 | 0.0 | 
| Adenocarcinoma of the prostate, Gleason 4+4 | 80 | 62 | 88.7 | 9.7 | 1.6 | 0.0 | |
| Adenocarcinoma of the prostate, Gleason 5+5 | 85 | 77 | 92.2 | 6.5 | 0.0 | 1.3 | |
| Adenocarcinoma of the prostate (recurrence) | 258 | 224 | 91.5 | 6.3 | 1.8 | 0.4 | |
| Small cell neuroendocrine carcinoma of the prostate | 19 | 17 | 82.4 | 11.8 | 5.9 | 0.0 | |
| Seminoma | 682 | 659 | 96.2 | 3.6 | 0.2 | 0.0 | |
| Embryonal carcinoma of the testis | 54 | 47 | 100.0 | 0.0 | 0.0 | 0.0 | |
| Leydig cell tumor of the testis | 31 | 27 | 51.9 | 37.0 | 11.1 | 0.0 | |
| Sertoli cell tumor of the testis | 2 | 2 | 100.0 | 0.0 | 0.0 | 0.0 | |
| Sex cord stromal tumor of the testis | 1 | 1 | 0.0 | 100.0 | 0.0 | 0.0 | |
| Spermatocytic tumor of the testis | 1 | 1 | 100.0 | 0.0 | 0.0 | 0.0 | |
| Yolk sac tumor | 53 | 43 | 95.3 | 4.7 | 0.0 | 0.0 | |
| Teratoma | 53 | 44 | 43.2 | 45.5 | 9.1 | 2.3 | |
| Squamous cell carcinoma of the penis | 92 | 73 | 8.2 | 43.8 | 28.8 | 19.2 | |
| Tumors of endocrine organs | Adenoma of the thyroid gland | 113 | 111 | 88.3 | 9.9 | 1.8 | 0.0 | 
| Papillary thyroid carcinoma | 391 | 349 | 22.1 | 17.8 | 15.8 | 44.4 | |
| Follicular thyroid carcinoma | 154 | 142 | 78.9 | 13.4 | 1.4 | 6.3 | |
| Medullary thyroid carcinoma | 111 | 102 | 57.8 | 27.5 | 14.7 | 0.0 | |
| Parathyroid gland adenoma | 43 | 29 | 96.6 | 3.4 | 0.0 | 0.0 | |
| Anaplastic thyroid carcinoma | 45 | 41 | 17.1 | 26.8 | 24.4 | 31.7 | |
| Adrenal cortical adenoma | 48 | 45 | 100.0 | 0.0 | 0.0 | 0.0 | |
| Adrenal cortical carcinoma | 27 | 20 | 100.0 | 0.0 | 0.0 | 0.0 | |
| Pheochromocytoma | 51 | 51 | 100.0 | 0.0 | 0.0 | 0.0 | |
| Tumors of hematopoietic and lymphoid tissues | Hodgkin’s lymphoma | 103 | 95 | 1.1 | 14.7 | 42.1 | 42.1 | 
| Small lymphocytic lymphoma, B-cell type | 50 | 44 | 13.6 | 84.1 | 0.0 | 2.3 | |
| Diffuse large B cell lymphoma (DLBCL) | 113 | 100 | 28.0 | 57.0 | 8.0 | 7.0 | |
| Follicular lymphoma | 88 | 74 | 6.8 | 77.0 | 13.5 | 2.7 | |
| T-cell non-Hodgkin’s lymphoma | 25 | 21 | 4.8 | 38.1 | 4.8 | 52.4 | |
| Mantle cell lymphoma | 18 | 13 | 0.0 | 92.3 | 0.0 | 7.7 | |
| Marginal zone lymphoma | 16 | 14 | 14.3 | 78.6 | 7.1 | 0.0 | |
| Diffuse large B-cell lymphoma (DLBCL) in the testis | 16 | 16 | 25.0 | 68.8 | 6.3 | 0.0 | |
| Burkitt lymphoma | 5 | 1 | 100.0 | 0.0 | 0.0 | 0.0 | |
| Tumors of soft tissue and bone | Tenosynovial giant cell tumor | 45 | 31 | 3.2 | 3.2 | 12.9 | 80.6 | 
| Granular cell tumor | 53 | 31 | 100.0 | 0.0 | 0.0 | 0.0 | |
| Leiomyoma | 50 | 47 | 83.0 | 14.9 | 2.1 | 0.0 | |
| Leiomyosarcoma | 94 | 86 | 38.4 | 30.2 | 15.1 | 16.3 | |
| Liposarcoma | 145 | 114 | 49.1 | 21.9 | 14.0 | 14.9 | |
| Malignant peripheral nerve sheath tumor (MPNST) | 15 | 13 | 23.1 | 30.8 | 23.1 | 23.1 | |
| Myofibrosarcoma | 26 | 24 | 29.2 | 25.0 | 16.7 | 29.2 | |
| Angiosarcoma | 74 | 55 | 7.3 | 25.5 | 20.0 | 47.3 | |
| Angiomyolipoma | 91 | 75 | 5.3 | 12.0 | 22.7 | 60.0 | |
| Dermatofibrosarcoma protuberans | 21 | 15 | 6.7 | 26.7 | 6.7 | 60.0 | |
| Ganglioneuroma | 14 | 14 | 7.1 | 71.4 | 14.3 | 7.1 | |
| Kaposi sarcoma | 8 | 5 | 0.0 | 20.0 | 20.0 | 60.0 | |
| Neurofibroma | 117 | 112 | 38.4 | 49.1 | 12.5 | 0.0 | |
| Sarcoma, not otherwise specified (NOS) | 74 | 64 | 31.3 | 29.7 | 12.5 | 26.6 | |
| Paraganglioma | 41 | 39 | 97.4 | 2.6 | 0.0 | 0.0 | |
| Ewing sarcoma | 23 | 11 | 36.4 | 9.1 | 36.4 | 18.2 | |
| Rhabdomyosarcoma | 7 | 6 | 50.0 | 16.7 | 0.0 | 33.3 | |
| Schwannoma | 122 | 113 | 23.0 | 50.4 | 15.0 | 11.5 | |
| Synovial sarcoma | 12 | 9 | 88.9 | 11.1 | 0.0 | 0.0 | |
| Osteosarcoma | 44 | 29 | 51.7 | 27.6 | 10.3 | 10.3 | |
| Chondrosarcoma | 40 | 24 | 70.8 | 12.5 | 4.2 | 12.5 | |
| Rhabdoid tumor | 5 | 5 | 60.0 | 0.0 | 20.0 | 20.0 | |
| Solitary fibrous tumor | 17 | 16 | 12.5 | 37.5 | 37.5 | 12.5 | |
| Tumor Entity | Pathological and Molecular Parameters | STING Immunostaining | |||||
|---|---|---|---|---|---|---|---|
| n | Negative (%) | Weak (%) | Moderate (%) | Strong (%) | p | ||
| Invasive breast carcinoma of no special type | pT1 | 543 | 35.5 | 30.6 | 20.3 | 13.6 | 0.2402 | 
| pT2 | 419 | 33.9 | 34.6 | 17.4 | 14.1 | ||
| pT3-4 | 84 | 32.1 | 28.6 | 15.5 | 23.8 | ||
| G1 | 161 | 30.4 | 34.8 | 21.1 | 13.7 | 0.3571 | |
| G2 | 541 | 35.1 | 29.4 | 19.4 | 16.1 | ||
| G3 | 384 | 36.5 | 33.9 | 15.6 | 14.1 | ||
| pN0 | 337 | 33.1 | 29.0 | 20.9 | 17.0 | 0.1367 | |
| pN+ | 435 | 34.4 | 35.0 | 17.8 | 12.7 | ||
| pM0 | 168 | 38.7 | 25.0 | 20.8 | 15.5 | 0.4778 | |
| pM1 | 97 | 34.0 | 34.0 | 17.5 | 14.4 | ||
| HER2 negative | 831 | 34.5 | 32.1 | 18.5 | 14.8 | 0.0746 | |
| HER2 positive | 114 | 37.7 | 40.4 | 13.2 | 8.8 | ||
| ER negative | 196 | 46.4 | 32.7 | 9.2 | 11.7 | <0.0001 | |
| ER positive | 709 | 31.0 | 34.3 | 20.0 | 14.7 | ||
| PR negative | 384 | 41.9 | 32.8 | 12.5 | 12.8 | <0.0001 | |
| PR positive | 561 | 29.9 | 32.8 | 21.2 | 16.0 | ||
| Non-triple negative | 748 | 31.7 | 34.8 | 19.4 | 14.2 | 0.0028 | |
| Triple negative | 130 | 47.7 | 30.0 | 10.8 | 11.5 | ||
| Clear cell renal cell carcinoma | ISUP 1 | 232 | 81.9 | 14.2 | 1.3 | 2.6 | 0.0002 | 
| ISUP 2 | 352 | 79.0 | 12.2 | 4.3 | 4.5 | ||
| ISUP 3 | 231 | 66.2 | 19.5 | 4.3 | 10.0 | ||
| ISUP 4 | 66 | 63.6 | 21.2 | 7.6 | 7.6 | ||
| Fuhrman 1 | 56 | 85.7 | 8.9 | 3.6 | 1.8 | 0.0002 | |
| Fuhrman 2 | 603 | 79.8 | 13.3 | 3.3 | 3.6 | ||
| Fuhrman 3 | 259 | 68.7 | 19.3 | 3.5 | 8.5 | ||
| Fuhrman 4 | 81 | 58.0 | 24.7 | 7.4 | 9.9 | ||
| Thoenes 1 | 306 | 82.4 | 13.1 | 2.0 | 2.6 | 0.0017 | |
| Thoenes 2 | 424 | 72.6 | 16.3 | 3.8 | 7.3 | ||
| Thoenes 3 | 87 | 63.2 | 20.7 | 5.7 | 10.3 | ||
| UICC 1 | 270 | 79.3 | 14.1 | 2.6 | 4.1 | 0.0060 | |
| UICC 2 | 31 | 67.7 | 25.8 | 0.0 | 6.5 | ||
| UICC 3 | 82 | 65.9 | 15.9 | 2.4 | 15.9 | ||
| UICC 4 | 58 | 65.5 | 13.8 | 8.6 | 12.1 | ||
| pT1 | 593 | 81.6 | 12.3 | 3.2 | 2.9 | <0.0001 | |
| pT2 | 114 | 71.9 | 19.3 | 3.5 | 5.3 | ||
| pT3-4 | 297 | 65.7 | 19.5 | 4.7 | 10.1 | ||
| pN0 | 147 | 70.7 | 15.6 | 4.8 | 8.8 | 0.5488 | |
| pN+ | 23 | 60.9 | 13.0 | 8.7 | 17.4 | ||
| pM0 | 86 | 70.9 | 18.6 | 4.7 | 5.8 | 0.7933 | |
| pM+ | 79 | 69.6 | 15.2 | 6.3 | 8.9 | ||
| Hepatocellular carcinoma | pT1 | 67 | 83.6 | 6.0 | 4.5 | 6.0 | 0.3890 | 
| pT2 | 74 | 74.3 | 14.9 | 2.7 | 8.1 | ||
| pT3-4 | 56 | 82.1 | 5.4 | 7.1 | 5.4 | ||
| G1 | 36 | 88.9 | 5.6 | 0.0 | 5.6 | 0.2932 | |
| G2 | 113 | 76.1 | 9.7 | 5.3 | 8.8 | ||
| G3 | 46 | 84.8 | 8.7 | 4.3 | 2.2 | ||
| pN0 | 66 | 75.8 | 7.6 | 7.6 | 9.1 | 0.0435 | |
| pN+ | 35 | 48.6 | 22.9 | 11.4 | 17.1 | ||
| Papillary carcinoma of the thyroid | pT1 | 135 | 19.3 | 19.3 | 23.0 | 38.5 | 0.0961 | 
| pT2 | 73 | 31.5 | 15.1 | 12.3 | 41.1 | ||
| pT3-4 | 94 | 20.2 | 18.1 | 11.7 | 50.0 | ||
| pN0 | 82 | 23.2 | 19.5 | 22.0 | 35.4 | 0.0074 | |
| pN+ | 119 | 9.2 | 16.8 | 16.8 | 57.1 | ||
| Urothelial bladder carcinoma | pTa G2 low | 113 | 20.4 | 69.0 | 8.0 | 2.7 | 0.0002 | 
| pTa G2 high | 100 | 37.0 | 50.0 | 6.0 | 7.0 | ||
| pTa G3 | 131 | 47.3 | 41.2 | 9.2 | 2.3 | ||
| pT2 | 103 | 41.7 | 26.2 | 15.5 | 16.5 | 0.4343 | |
| pT3 | 189 | 37.6 | 31.7 | 13.8 | 16.9 | ||
| pT4 | 91 | 46.2 | 34.1 | 9.9 | 9.9 | ||
| G2 | 18 | 33.3 | 33.3 | 27.8 | 5.6 | 0.2402 * | |
| G3 | 373 | 41.3 | 30.8 | 12.3 | 15.6 | ||
| pN0 | 224 | 39.7 | 30.4 | 12.5 | 17.4 | 0.3742 * | |
| pN+ | 146 | 44.5 | 31.5 | 13.0 | 11.0 | ||
| Adenocarcinoma of the colon | pT1 | 82 | 18.3 | 28.0 | 23.2 | 30.5 | 0.1202 | 
| pT2 | 427 | 24.4 | 33.7 | 18.3 | 23.7 | ||
| pT3 | 1200 | 25.7 | 34.5 | 13.6 | 26.3 | ||
| pT4 | 425 | 25.4 | 35.5 | 16.5 | 22.6 | ||
| pN0 | 1125 | 25.7 | 32.5 | 15.1 | 26.7 | 0.1591 | |
| pN+ | 999 | 24.2 | 36.3 | 16.0 | 23.4 | ||
| V0 | 1535 | 25.6 | 32.9 | 15.7 | 25.8 | 0.2577 | |
| V1 | 557 | 22.6 | 37.3 | 15.3 | 24.8 | ||
| L0 | 691 | 25.6 | 31.5 | 15.2 | 27.6 | 0.1674 | |
| L1 | 1411 | 24.5 | 35.7 | 15.7 | 24.0 | ||
| Right side | 445 | 21.1 | 30.6 | 18.0 | 30.3 | 0.0008 | |
| Left side | 1196 | 27.1 | 35.6 | 14.6 | 22.7 | ||
| MMR proficient | 1124 | 25.0 | 35.7 | 16.1 | 23.2 | 0.0016 | |
| MMR deficient | 83 | 16.9 | 22.9 | 19.3 | 41.0 | ||
| RAS wildtype | 445 | 33.0 | 33.3 | 15.7 | 18.0 | <0.0001 | |
| RAS mutation | 331 | 17.2 | 31.4 | 18.7 | 32.6 | ||
| BRAF wildtype | 125 | 26.4 | 32.0 | 16.8 | 24.8 | 0.5262 | |
| BRAF V600E mutation | 19 | 15.8 | 36.8 | 10.5 | 36.8 | ||
| PD-L1-Positive (% of Tumors) | CD8+ Density (Cells/mm2) | |||||
|---|---|---|---|---|---|---|
| STING Immunostaining | n | Tumor Cells | n | Immune Cells | n | Mean ± SE | 
| negative | 4142 | 8.0 | 4136 | 27.2 | 1893 | 287.6 ± 11.6 | 
| weak | 2767 | 14.2 | 2763 | 33.8 | 1615 | 270.9 ± 12.5 | 
| moderate | 1318 | 19.5 | 1316 | 32.7 | 862 | 266.1 ± 17.2 | 
| strong | 1799 | 23.2 | 1796 | 37 | 1222 | 298.4 ± 14.1 | 
| p | <0.0001 | <0.0001 | 0.4253 | |||
| Disclaimer/Publisher’s Note: The statements, opinions and data contained in all publications are solely those of the individual author(s) and contributor(s) and not of MDPI and/or the editor(s). MDPI and/or the editor(s) disclaim responsibility for any injury to people or property resulting from any ideas, methods, instructions or products referred to in the content. | 
© 2024 by the authors. Licensee MDPI, Basel, Switzerland. This article is an open access article distributed under the terms and conditions of the Creative Commons Attribution (CC BY) license (https://creativecommons.org/licenses/by/4.0/).
Share and Cite
Menz, A.; Zerneke, J.; Viehweger, F.; Büyücek, S.; Dum, D.; Schlichter, R.; Hinsch, A.; Bawahab, A.A.; Fraune, C.; Bernreuther, C.; et al. Stimulator of Interferon Genes Protein (STING) Expression in Cancer Cells: A Tissue Microarray Study Evaluating More than 18,000 Tumors from 139 Different Tumor Entities. Cancers 2024, 16, 2425. https://doi.org/10.3390/cancers16132425
Menz A, Zerneke J, Viehweger F, Büyücek S, Dum D, Schlichter R, Hinsch A, Bawahab AA, Fraune C, Bernreuther C, et al. Stimulator of Interferon Genes Protein (STING) Expression in Cancer Cells: A Tissue Microarray Study Evaluating More than 18,000 Tumors from 139 Different Tumor Entities. Cancers. 2024; 16(13):2425. https://doi.org/10.3390/cancers16132425
Chicago/Turabian StyleMenz, Anne, Julia Zerneke, Florian Viehweger, Seyma Büyücek, David Dum, Ria Schlichter, Andrea Hinsch, Ahmed Abdulwahab Bawahab, Christoph Fraune, Christian Bernreuther, and et al. 2024. "Stimulator of Interferon Genes Protein (STING) Expression in Cancer Cells: A Tissue Microarray Study Evaluating More than 18,000 Tumors from 139 Different Tumor Entities" Cancers 16, no. 13: 2425. https://doi.org/10.3390/cancers16132425
APA StyleMenz, A., Zerneke, J., Viehweger, F., Büyücek, S., Dum, D., Schlichter, R., Hinsch, A., Bawahab, A. A., Fraune, C., Bernreuther, C., Kluth, M., Hube-Magg, C., Möller, K., Lutz, F., Reiswich, V., Luebke, A. M., Lebok, P., Weidemann, S. A., Sauter, G., ... Krech, T. (2024). Stimulator of Interferon Genes Protein (STING) Expression in Cancer Cells: A Tissue Microarray Study Evaluating More than 18,000 Tumors from 139 Different Tumor Entities. Cancers, 16(13), 2425. https://doi.org/10.3390/cancers16132425
 
        

 
       