Next Article in Journal
The Current Position of Postoperative Radiotherapy for Salivary Gland Cancer: A Systematic Review and Meta-Analysis
Next Article in Special Issue
Challenges in Liver Transplantation for Hepatocellular Carcinoma: A Review of Current Controversies
Previous Article in Journal
CT-Guided Percutaneous Cryoablation of Breast Cancer: A Single-Center Experience
 
 
Font Type:
Arial Georgia Verdana
Font Size:
Aa Aa Aa
Line Spacing:
Column Width:
Background:
Review

Liver Transplantation for Hepatocellular Carcinoma in the Era of Immune Checkpoint Inhibitors

General Surgery 2U-Liver Transplant Unit, Azienda Ospedaliero Universitaria Città della Salute e della Scienza di Torino, University of Torino, Corso Bramante 88-90, 10126 Torino, Italy
*
Author to whom correspondence should be addressed.
Cancers 2024, 16(13), 2374; https://doi.org/10.3390/cancers16132374
Submission received: 26 May 2024 / Revised: 26 June 2024 / Accepted: 27 June 2024 / Published: 28 June 2024
(This article belongs to the Special Issue Liver Transplantation for Hepatocellular Carcinoma)

Abstract

Simple Summary

Immune checkpoint inhibitors (ICIs) have witnessed significant success in systemic therapy of hepatocellular carcinoma, stimulating the transplant community to consider their use in the liver transplantation (LT) setting. This review provides an updated overview of the current evidence on ICI therapy before and after LT, discussing the associated pitfalls and remaining challenges. A particular focus is placed on the interactions between ICIs and immunosuppressive drugs, in order to identify predictive factors of good response, as well as critical aspects that should guide future research on the topic.

Abstract

Hepatocellular carcinoma (HCC) remains the leading oncological indication for liver transplantation (LT), with evolving and broadened inclusion criteria. Immune checkpoint inhibitors (ICIs) gained a central role in systemic HCC treatment and showed potential in the peri-transplant setting as downstaging/bridging therapy before LT or as a treatment for HCC recurrence following LT. However, the antagonistic mechanisms of action between ICIs and immunosuppressive drugs pose significant challenges, particularly regarding the risk of acute rejection (AR). This review analyzes the main signaling pathways targeted by ICI therapies and summarizes current studies on ICI therapy before and after LT. The literature on this topic is limited and highly heterogeneous, precluding definitive evidence-based conclusions. The use of ICIs before LT appears promising, provided that a sufficient wash-out period is implemented. In contrast, the results of post-LT ICI therapy do not support its wide clinical application due to high AR rates and overall poor response to treatment. In the future, modern graft preservation techniques might support the selection of good ICI responders, but data from high-level studies are urgently needed.

1. Introduction

Hepatocellular carcinoma (HCC) is the most prevalent oncological indication for liver transplantation (LT). While the Milan criteria established by Mazzaferro et al. [1] continue to serve as the gold standard, more inclusive criteria have emerged over the past two decades to expand LT access to a growing number of patients, while ensuring their best chance of survival [2,3,4]. This has led to a complex decision-making landscape, further influenced by the increasing acceptance of extended criteria donors (ECD) and significant advancements in downstaging techniques [4]. The Barcelona Clinic Liver Cancer (BCLC) guidelines are widely used to inform the management of HCC. Notably, their latest 2022 update included extended LT criteria and downstaging techniques into the decision-making algorithm, making LT an option for HCC patients previously deemed ineligible [5].
Another significant advancement in HCC treatment, as emphasized by the BCLC guidelines, pertains to systemic therapy [5]. New drug combinations have surpassed Sorafenib as the first-line treatment for intermediate and advanced HCC stages, owing to an enhanced understanding of HCC biological behavior. Specifically, immune checkpoint inhibitors (ICIs) are poised to become the cornerstone of systemic HCC treatment [6].
More recently, ICIs have also been administered in the peri-transplant setting, both for tumor downstaging and for treating HCC recurrence following LT. However, it is important to note that there is often an overlapping—and antagonistic—mechanism of action between ICIs and immunosuppressive drugs, while modulation of the immune response remains an inevitable necessity for LT patients. As the use of ICIs in the peri-transplant setting is still subject to debate, this paper aims to elucidate the most relevant mechanisms of action of the different molecules and to provide an up-to-date literature review on their use before and after LT.

2. Materials and Methods

The Medline (PubMed) database was accessed on 29 February 2024 and searched for ‘HCC’ AND ‘immunotherapy’ AND ‘transplant*’, retrieving 743 articles. The literature review was performed by 2 authors (DP and NDS) and any disagreement was resolved by consensus. Titles were screened to select potentially relevant studies, initially including 225 articles. Next, abstracts of the selected items were screened according to the inclusion and exclusion criteria, leading to 57 articles being eligible for full-text review. A total of 20 additional articles were identified by manual cross-checking among the cited references and 2 recently published papers were added during the revision process, resulting in 79 included articles. Inclusion criteria were clinical and preclinical peer reviewed studies reporting on the use of ICIs in the LT with no species, age, or sex restriction. Publications with no full text available or published in languages other than English were excluded.

3. Results

3.1. ICIs for Advanced HCC

3.1.1. PD-1 and PD-L1

Programmed Cell Death Protein 1 (PD-1) inhibits immune responses and fosters self-tolerance by regulating T-cell activity, triggering apoptosis in antigen-specific T cells, and preventing apoptosis in regulatory T cells [7]. Programmed Cell Death Ligand 1 (PD-L1) is a trans-membrane protein acting as a co-inhibitory factor in immune responses. PD-L1 binds with PD-1, reducing the proliferation of PD-1 positive cells, suppressing their cytokine secretion, and inducing apoptosis. Under physiological conditions, the PD-1/PD-L1 axis holds a pivotal role in maintaining peripheral tolerance. However, in several diseases, the activation of the PD-1/PD-L1 signaling has the potential to inhibit immune cell activation. This mechanism is often exploited by tumor cells to evade antitumor immune surveillance.
Several monoclonal antibodies have been developed to selectively bind PD-1, such as Nivolumab and Pembrolizumab, or PD-L1, such as Atezolizumab and Durvalumab. The Checkmate 040 was the first landmark study demonstrating safety and efficacy of Nivolumab for HCC patients not responding to prior treatments, including Sorafenib [8]. The trial reported an objective response rate (ORR) of 20% and an overall survival (OS) of 15 months. However, the subsequent Checkmate 459 comparator study did not reveal a survival benefit of first-line Nivolumab compared to Sorafenib [9]. Nevertheless, the experimental group exhibited a higher ORR (15% vs. 7%) and a lower incidence of grade 3/4 adverse events (22% vs. 49%). The Keynote 240 trial evaluated Pembrolizumab as a second-line treatment in advanced HCC, demonstrating a 36-month progression-free survival (PFS) rate of 8.9%, compared to 0% for placebo, and an ORR of 18.3%, compared to 4.4% for placebo [10]. Studies involving PD-L1 inhibitors have also shown promising results. The Imbrave 050 trial compared the combination of Atezolizumab and Bevacizumab, an antiangiogenic monoclonal antibody, with Sorafenib in advanced HCC [11]. The experimental group exhibited one-year OS of 67% and median PFS of 6.8 months, compared to 55% and 4.3 months, respectively, with Sorafenib. Based on these favorable findings, the combination of Atezolizumab/Bevacizumab is now recommended by the BCLC guidelines as first-line therapy for patients with advanced HCC [5].

3.1.2. CTLA-4

Cytotoxic T-lymphocyte-associated antigen 4 (CTLA-4) is a protein receptor that functions as an immune checkpoint by downregulating T-cell responses [7,12]. It is expressed by activated T cells and regulatory T cells. CTLA-4 shares homology with CD28 and competes with it for binding to CD80 (B7-1) and CD86 (B7-2) on antigen-presenting cells (APCs). Despite sharing ligands with CD28, CTLA-4 exhibits higher affinity and avidity for CD80 and CD86, enabling it to outcompete CD28 and transmit an inhibitory signal to T cells, in contrast to the stimulatory signal transmitted by CD28. Similarly to the PD-1 pathway, the overexpression of CTLA-4 is a hallmark of T-cell exhaustion, as it occurs during chronic infections and in the cancer microenvironment, resulting in a dampening of the immune system.
Tremelimumab is a monoclonal antibody directed against CTLA-4 that showed safety and manageable toxicity in advanced HCC patients not responding or intolerant to Sorafenib, while achieving a median OS of 15 months [13]. However, CTLA-4 inhibitors have been less frequently utilized as monotherapy, as the best results have been achieved when these ICIs are used in combination with other molecules.

3.1.3. PD-1 and CTLA-4 Synergic Inhibition

Both CTLA-4 and PD-1 pathways exert similar negative effects on T-cell activity but vary in their mechanistic activity [14]. Unlike PD-1, which is predominantly activated during the effector phase of T-cell response, CTLA-4 functions during the priming phase of T-cell activation. Moreover, while CTLA-4 is expressed on T cells only, PD-1 is present on B cells and myeloid cells too. It was postulated that simultaneous blockades of both pathways could lead to improved efficacy over CTLA-4 or PD-1 inhibition alone.
The combination of Tremelimumab and Durvalumab achieved the highest OS and ORR (18.7 and 24%, respectively) when compared to their use as single agents in advanced HCC patients, making this protocol a valid option in patients who progress on, are intolerant to, or refuse Sorafenib [13]. In the Checkmate 040 trial, HCC patients not responding to Sorafenib were treated with the combination of Nivolumab and Ipilimumab, another CTLA-4 inhibitor, at three different dosages [15]. The higher dose was correlated with the longest OS (23 months) and the highest ORR (32%), albeit with adverse events observed in nearly every patient of the arm. The recent landmark Himalaya trial investigated the combination of Tremelimumab and Durvalumab for unresectable HCC, showing increased OS at 36 months than Durvalumab alone or Sorafenib (30.7%, 24.7%, and 20.2%, respectively) [16]. Recently published long-term follow-up data revealed 48-month OS of 25% in the Tremelimumab plus Durvalumab group and 15% in the Sorafenib group [17], supporting this new combination as first-line treatment in advanced HCC [5].

3.2. ICIs and LT

The significant success of ICIs in advanced HCC has stimulated interest in their use even in less advanced stages, where resective or ablative treatments guarantee optimal survival but are affected by consistently high recurrence rates, reportedly higher than 70% within 5 years, even in patients considered good candidates for curative treatment [18]. The Imbrave 050 trial was the first successful study comparing adjuvant ICI therapy to active surveillance in patients with high-risk resected or ablated HCC [18]. The combination of Atezolizumab and Bevacizumab was associated with significantly reduced recurrence-free survival (RFS), prompting further studies on ICIs in the perioperative setting.
However, the scenario slightly changes when considering the use of ICIs in the peri-transplant setting. Indeed, ICIs and immunosuppressive drugs target the same biological pathways exploiting opposite mechanisms. Specifically, all classes of immunosuppressive drugs currently utilized in LT, including calcineurin inhibitors (CNIs), mammalian target of rapamycin (mTOR) inhibitors, mycophenolate mofetil, and steroids, inhibit the expression of NFAT, NF-kB, and AP-1 genes, ultimately resulting in PD-1 and CTLA4 downregulation and T-cell inactivation (Figure 1). Thus, the use of ICIs in LT patients was approached with caution, as they may reduce the efficacy of immunosuppression, potentially leading to allograft rejection (AR). Nevertheless, a growing number of studies have been published in recent years reporting early optimistic data.

3.2.1. ICIs before LT

Similarly to locoregional therapies, ICIs can be used as neoadjuvant downstaging or bridging therapy in HCC patients not meeting transplant criteria. However, there is an anticipated increased risk of AR if ICIs are administered before LT. This concern has limited the development of shared protocols, and several centers have applied this approach in isolated cases or small case series heterogeneously. Table 1 summarizes all case reports and case series reporting on ICI therapy prior to LT. Although comparisons are challenging due to the heterogeneity of ICI protocols, clinical HCC features, and time-to-transplant, it is evident that favorable outcomes and reasonable safety can be achieved.
Nivolumab, either as a monotherapy or in combination with other agents, was the most frequently utilized ICIs (13 studies) [19,20,21,22,23,24,27,29,30,32,34,35,37], followed by Atezolizumab combined with Bevacizumab or Nivolumab (four studies) [28,33,34,36]. All protocols included a PD-1/PD-L1 inhibitor, whereas CTLA-4 inhibitors were considered in only two cases, both in combination with Nivolumab [23,34]. Nineteen (30.6%) out of 62 patients experienced AR. Most AR cases were effectively managed with steroid pulses and/or adjustment of the immunosuppressive regimen; however, graft loss was reported for four cases [19,22,30]. Notably, all patients who experienced AR had received their last dose of ICIs less than 90 days before LT.
Nordness et al. [19] were the first to report massive necrosis of the transplanted liver following neoadjuvant Nivolumab therapy, eventually resulting in patient death. Subsequently, four other cases were reported by two centers, all requiring urgent re-LT due to AR [19,22,30]. This heightened attention to the wash-out period between the last Nivolumab dose and LT. When this period exceeded 2 months, no cases of AR were reported. Surprisingly, Tabrizian et al. [27] conducted nine LTs following downstaging with Nivolumab, and no cases of severe AR were observed, even with wash-out periods as short as one day. However, the same group recently presented the outcomes of their multicenter prospective study, revealing that a wash-out period shorter than 90 days was associated with an increased risk of AR [38]. Data from other classes of ICIs are particularly scarce, making it difficult to draw any conclusion. However, it is worth noting that when ICIs were administered in combination instead of monotherapy, no AR was observed except for one case that was successfully managed with steroid pulses [21,23,25,28,33,36].
Recently, Guo et al. [39] presented the results of a multicenter cohort study investigating the safety of pre-LT ICI therapy. The study included eighty-three LTs, totalizing the largest cohort available to date. ICI therapies utilized in the study comprised Camrelizumab, Pembrolizumab, Sintilimab, Tislelizumab, Nivolumab, and Atezolizumab. Interestingly, in contrast to previous literature, the latter two were the least utilized, with Nivolumab administered to only five patients and Atezolizumab to four. Notably, AR occurred in nearly 28% of recipients, with six cases resulting in AR-related deaths. Multivariate analysis identified a wash-out period of at least 30 days as the only significant protective factor against AR. These findings further advocate for proceeding with caution and carefully considering a wash-out period of at least three half-lives before proceeding with LT (Table 2).
On the other hand, it could be speculated that delaying LT too long after the last dose of ICI might increase the risk of HCC recurrence, further complicating the decision-making process in terms of timing balance. Moreover, this timing is often unpredictable given the scarcity of available donors. HCC recurrence rates in the two largest series on pre-LT ICIs were markedly different. Tabrizian et al. [38] observed HCC recurrence in 4% of recipients at a median time of 24 months, while Guo et al. [39] reported HCC recurrence in 24% of recipients at a median time of 5.5 months. The reasons for these differences should be sought in the extreme heterogeneity of the listing protocols of the studies, whether ICIs were used as bridging or downstaging therapy, whether patients underwent additional treatments other than ICIs, and in relation to the tumor burden at the time of LT. Moreover, the oncological efficacy of ICIs might be improved if combined with locoregional therapies, which might reduce the number of cycles needed to achieve LT criteria (Figure 2). Currently, five trials are investigating this approach (NCT05185505, NCT05339581, NCT05717738, NCT03817736, NCT05475613).

3.2.2. ICI after LT

Immunosuppression favors the development of de novo malignancies or tumor recurrence, making the onset of tumors one of the leading causes of mortality in LT patients. Moreover, with the number of LTs for oncological indications projected to rise [40], novel strategies to manage tumor recurrence are urgently needed. The application of adjuvant protocols in cases of LT for HCC with a high risk of recurrence has been poorly investigated and with inconclusive results [41], leaving the decision to start a treatment only after the diagnosis of malignancy is made. In this scenario, prognosis is heavily dependent on the feasibility of surgical/locoregional approaches, as the efficacy of systemic treatments is generally dismal [42]. ICIs in this setting appear to be even more risky, given the need for concomitant immunosuppressive therapy. Table 3 summarizes case reports and case series reporting ICI therapy following LT.
A total of 32 studies have been published on ICIs in LT patients, of which 24 are case reports, confirming the low level of evidence on this topic [35,43,44,45,46,47,48,49,50,51,52,53,54,55,56,57,58,59,60,61,62,63,64,65,66,67,68,69,70,71,72,73]. In cases of HCC recurrence, ICIs were used as second- or third-line therapies following locoregional and systemic treatments. The most commonly used ICI was Nivolumab. In most cases, immunosuppression was tapered to maintain a single drug regimen concurrently with ICI therapy, aiming to limit pharmacological interference while minimizing the risk of AR. However, even considering the limitation of drawing conclusions from highly heterogeneous cases, the overall results were quite disappointing, with an acute AR rate of 27% and a response to ICIs, defined as at least disease stability during treatment, of less than 33%. Three aspects clearly need to be elucidated to optimize this therapeutic approach: identifying the right timing, the appropriate immunosuppressive regimen, and potential responders.
In cases of HCC recurrence (Table 4), the median time from LT to recurrence was 24 months, with a systemic presentation observed in 17 out of 21 patients. Interestingly, no cases of AR were reported if recurrence occurred later than 3 years from LT [48,53,54,62,63,65], as well as if recurrence involved the liver only [58,63,68]. This observation could identify a subgroup of patients in whom the longer period from LT guarantees a lower risk of AR on one hand, while on the other hand, the liver-only pattern suggests a less aggressive tumor behavior, potentially more amenable to curative ICI therapy.
In their single-institution series, Abdel-Wahab et al. [56] observed that single-agent CNI immunosuppression was associated with the lowest AR rate (11%). Quite surprisingly, only one preclinical animal study has investigated post-LT ICI to date. Hsu et al. [74] demonstrated in murine models of allogeneic skin transplantation and syngeneic subcutaneous and orthotopic HCC models that the combination of high-dose Tacrolimus and PD-1 blockade was able to reduce tumor growth while preventing AR. They suggested that the antitumor effect was strongly supported by natural killer (NK) cells, on which the PD-1 blockade had greater efficacy than CNI inhibition. This observation was further supported by a recent Japanese clinical trial in which adaptive immunotherapy using donor-liver-derived NK was administrated to 38 living-donor-LT patients to prevent HCC recurrence [75]. After a median follow-up of 8 years, recipients treated with NK cells had significantly higher 1-year OS (97.4% vs. 81.8%), and those stratified with intermediate risk of recurrence showed the highest treatment benefit in terms of recurrence rates. Investigating the molecular basis behind ICIs and immunosuppressive drugs would provide a more solid foundation to choose the optimal combination for the clinical setting, and additional evidence is strongly warranted.
Finally, to improve patient selection and mitigate unnecessary adverse events or tumor progression, the identification of predictive biomarkers is imperative. Shi et al. [68] advocated for assessing liver graft PD-L1 expression prior to ICI therapy, as they found that a negative PD-L1 profile was never associated with AR. Conversely, high PD-L1 expression was correlated with a favorable response to Pembrolizumab in a subset of patients in the Keynote 244 trial [76]. These findings are, once again, not surprising given the dual nature of the PD-1/PD-L1 axis in this context. Studies on gene expression profiling are eagerly awaited to discover novel biomarkers and develop a personalized immunotherapy regimen tailored to individual response probabilities and risk of AR.

4. Conclusions and Future Perspectives

ICI therapy has rapidly gained success in the landscape of advanced HCC, prompting the transplant community to investigate their efficacy in the peri-transplant setting, despite a degree of skepticism regarding potential pharmacodynamic interactions between ICIs and immunosuppressive agents. No definitive conclusion can be drawn given the inherent limitations of the available literature, including the high heterogeneity of administered protocols, low numbers, and the lack of biomolecular studies investigating the susceptibility of treated patients to develop AR and of treated tumors to respond to therapy. Furthermore, a certain degree of publication bias cannot be excluded. Thus, it is possible that the applicability and efficacy of ICI-based therapies is overestimated by the available literature and that larger studies will provide a more balanced view. With these limitations it can be recommended that, when ICI are administered before LT, a mandatory wash-out period should be expected before listing the patient to reduce the risk of AR. Current evidence, albeit derived from low-level studies, suggests that this period should be at least three half-lives of the administered ICI. Notwithstanding the need to define the right timing, neoadjuvant ICI therapy will likely become a viable option in the armamentarium of therapeutic strategies to ensure access to LT for HCC patients.
In contrast, the results of post-LT ICI therapy have been more disappointing, with an AR rate that currently makes this approach difficult to justify on a large scale, given the limited therapeutic benefit. However, the growing utilization of ECD grafts, the increasing adoption of Milan-out criteria, and the expanding range of oncological indications for LT will make it increasingly necessary to deal with post-LT tumor recurrence in the near future. In this context, the introduction of machine perfusion (MP) technology could be a valuable ally in two ways. On one hand, the reduction in IRI offered by MP appears to reduce the incidence of HCC recurrence [77], although this hypothesis is still to be validated [78]. On the other hand, the development of long-term MP [79] could offer an ideal time window to perform biomolecular tests on the graft, such as PD-L1 expression [68], to base the allocation on anticipated probabilities of AR. Preclinical studies to clarify the molecular mechanisms underlying AR in the context of ICI therapy and, thus, identify such response biomarkers are urgently needed, along with shared registries and multicenter studies to address the current lack and dispersion of clinical data on the topic.

Author Contributions

Conceptualization, R.R., D.P. and N.D.S.; methodology, D.P. and N.D.S.; writing—original draft preparation, N.D.S. and D.P.; writing—review and editing, N.D.S., D.P., F.C., G.R., G.P. and R.R.; supervision, R.R. All authors have read and agreed to the published version of the manuscript.

Funding

This research received no external funding.

Conflicts of Interest

The authors declare no conflicts of interest.

References

  1. Mazzaferro, V.; Regalia, E.; Doci, R.; Andreola, S.; Pulvirenti, A.; Bozzetti, F.; Montalto, F.; Ammatuna, M.; Morabito, A.; Gennari, L. Liver Transplantation for the Treatment of Small Hepatocellular Carcinomas in Patients with Cirrhosis. N. Engl. J. Med. 1996, 334, 693–699. [Google Scholar] [CrossRef] [PubMed]
  2. Mazzaferro, V.; Llovet, J.M.; Miceli, R.; Bhoori, S.; Schiavo, M.; Mariani, L.; Camerini, T.; Roayaie, S.; Schwartz, M.E.; Grazi, G.L.; et al. Predicting Survival after Liver Transplantation in Patients with Hepatocellular Carcinoma beyond the Milan Criteria: A Retrospective, Exploratory Analysis. Lancet Oncol. 2009, 10, 35–43. [Google Scholar] [CrossRef] [PubMed]
  3. Mazzaferro, V.; Sposito, C.; Zhou, J.; Pinna, A.D.; De Carlis, L.; Fan, J.; Cescon, M.; Di Sandro, S.; Yi-feng, H.; Lauterio, A.; et al. Metroticket 2.0 Model for Analysis of Competing Risks of Death after Liver Transplantation for Hepatocellular Carcinoma. Gastroenterology 2018, 154, 128–139. [Google Scholar] [CrossRef] [PubMed]
  4. Lindemann, J.; Doyle, M.B.M. Expanding the Boundaries for Liver Transplantation for Hepatocellular Carcinoma. Surg. Clin. N. Am. 2024, 104, 129–143. [Google Scholar] [CrossRef] [PubMed]
  5. Reig, M.; Forner, A.; Rimola, J.; Ferrer-Fàbrega, J.; Burrel, M.; Garcia-Criado, Á.; Kelley, R.K.; Galle, P.R.; Mazzaferro, V.; Salem, R.; et al. BCLC Strategy for Prognosis Prediction and Treatment Recommendation: The 2022 Update. J. Hepatol. 2022, 76, 681–693. [Google Scholar] [CrossRef] [PubMed]
  6. Yang, X.; Yang, C.; Zhang, S.; Geng, H.; Zhu, A.X.; Bernards, R.; Qin, W.; Fan, J.; Wang, C.; Gao, Q. Precision Treatment in Advanced Hepatocellular Carcinoma. Cancer Cell 2024, 42, 180–197. [Google Scholar] [CrossRef] [PubMed]
  7. Shiravand, Y.; Khodadadi, F.; Kashani, S.M.A.; Hosseini-Fard, S.R.; Hosseini, S.; Sadeghirad, H.; Ladwa, R.; O’Byrne, K.; Kulasinghe, A. Immune Checkpoint Inhibitors in Cancer Therapy. Curr. Oncol. 2022, 29, 3044–3060. [Google Scholar] [CrossRef] [PubMed]
  8. El-Khoueiry, A.B.; Sangro, B.; Yau, T.; Crocenzi, T.S.; Kudo, M.; Hsu, C.; Kim, T.-Y.; Choo, S.-P.; Trojan, J.; Welling, T.H.; et al. Nivolumab in Patients with Advanced Hepatocellular Carcinoma (CheckMate 040): An Open-Label, Non-Comparative, Phase 1/2 Dose Escalation and Expansion Trial. Lancet 2017, 389, 2492–2502. [Google Scholar] [CrossRef] [PubMed]
  9. Yau, T.; Park, J.-W.; Finn, R.S.; Cheng, A.-L.; Mathurin, P.; Edeline, J.; Kudo, M.; Harding, J.J.; Merle, P.; Rosmorduc, O.; et al. Nivolumab versus Sorafenib in Advanced Hepatocellular Carcinoma (CheckMate 459): A Randomised, Multicentre, Open-Label, Phase 3 Trial. Lancet Oncol. 2022, 23, 77–90. [Google Scholar] [CrossRef]
  10. Merle, P.; Kudo, M.; Edeline, J.; Bouattour, M.; Cheng, A.-L.; Chan, S.L.; Yau, T.; Garrido, M.; Knox, J.; Daniele, B.; et al. Pembrolizumab as Second-Line Therapy for Advanced Hepatocellular Carcinoma: Longer Term Follow-Up from the Phase 3 KEYNOTE-240 Trial. Liver Cancer 2023, 12, 309–320. [Google Scholar] [CrossRef]
  11. Finn, R.S.; Qin, S.; Ikeda, M.; Galle, P.R.; Ducreux, M.; Kim, T.-Y.; Kudo, M.; Breder, V.; Merle, P.; Kaseb, A.O.; et al. Atezolizumab plus Bevacizumab in Unresectable Hepatocellular Carcinoma. N. Engl. J. Med. 2020, 382, 1894–1905. [Google Scholar] [CrossRef] [PubMed]
  12. Sobhani, N.; Tardiel-Cyril, D.R.; Davtyan, A.; Generali, D.; Roudi, R.; Li, Y. CTLA-4 in Regulatory T Cells for Cancer Immunotherapy. Cancers 2021, 13, 1440. [Google Scholar] [CrossRef] [PubMed]
  13. Kelley, R.K.; Sangro, B.; Harris, W.; Ikeda, M.; Okusaka, T.; Kang, Y.-K.; Qin, S.; Tai, D.W.-M.; Lim, H.Y.; Yau, T.; et al. Safety, Efficacy, and Pharmacodynamics of Tremelimumab Plus Durvalumab for Patients with Unresectable Hepatocellular Carcinoma: Randomized Expansion of a Phase I/II Study. J. Clin. Oncol. 2021, 39, 2991–3001. [Google Scholar] [CrossRef] [PubMed]
  14. Buchbinder, E.I.; Desai, A. CTLA-4 and PD-1 Pathways: Similarities, Differences, and Implications of Their Inhibition. Am. J. Clin. Oncol. 2016, 39, 98–106. [Google Scholar] [CrossRef] [PubMed] [PubMed Central]
  15. Yau, T.; Kang, Y.-K.; Kim, T.-Y.; El-Khoueiry, A.B.; Santoro, A.; Sangro, B.; Melero, I.; Kudo, M.; Hou, M.-M.; Matilla, A.; et al. Efficacy and Safety of Nivolumab Plus Ipilimumab in Patients with Advanced Hepatocellular Carcinoma Previously Treated with Sorafenib: The CheckMate 040 Randomized Clinical Trial. JAMA Oncol. 2020, 6, e204564. [Google Scholar] [CrossRef] [PubMed]
  16. Abou-Alfa, G.K.; Lau, G.; Kudo, M.; Chan, S.L.; Kelley, R.K.; Furuse, J.; Sukeepaisarnjaroen, W.; Kang, Y.-K.; Van Dao, T.; De Toni, E.N.; et al. Tremelimumab plus Durvalumab in Unresectable Hepatocellular Carcinoma. NEJM Evid. 2022, 1, EVIDoa2100070. [Google Scholar] [CrossRef] [PubMed]
  17. Sangro, B.; Chan, S.L.; Kelley, R.K.; Lau, G.; Kudo, M.; Sukeepaisarnjaroen, W.; Yarchoan, M.; De Toni, E.N.; Furuse, J.; Kang, Y.K.; et al. Four-Year Overall Survival Update from the Phase III HIMALAYA Study of Tremelimumab plus Durvalumab in Unresectable Hepatocellular Carcinoma. Ann. Oncol. 2024, 35, 448–457. [Google Scholar] [CrossRef] [PubMed]
  18. Qin, S.; Chen, M.; Cheng, A.-L.; Kaseb, A.O.; Kudo, M.; Lee, H.C.; Yopp, A.C.; Zhou, J.; Wang, L.; Wen, X.; et al. Atezolizumab plus Bevacizumab versus Active Surveillance in Patients with Resected or Ablated High-Risk Hepatocellular Carcinoma (IMbrave050): A Randomised, Open-Label, Multicentre, Phase 3 Trial. Lancet 2023, 402, 1835–1847. [Google Scholar] [CrossRef] [PubMed]
  19. Nordness, M.F.; Hamel, S.; Godfrey, C.M.; Shi, C.; Johnson, D.B.; Goff, L.W.; O’Dell, H.; Perri, R.E.; Alexopoulos, S.P. Fatal Hepatic Necrosis after Nivolumab as a Bridge to Liver Transplant for HCC: Are Checkpoint Inhibitors Safe for the Pretransplant Patient? Am. J. Transplant. 2020, 20, 879–883. [Google Scholar] [CrossRef]
  20. Schwacha-Eipper, B.; Minciuna, I.; Banz, V.; Dufour, J.F. Immunotherapy as a Downstaging Therapy for Liver Transplantation. Hepatology 2020, 72, 1488–1490. [Google Scholar] [CrossRef]
  21. Chen, Z.; Hong, X.; Wang, T.; Guo, Y.; Huang, C.; Li, M.; He, X.; Ju, W.; Chen, M. Prognosis after Liver Transplantation in Patients Treated with Anti-PD-1 Immunotherapy for Advanced Hepatocellular Carcinoma: Case Series. Ann. Palliat. Med. 2021, 10, 9354–9361. [Google Scholar] [CrossRef]
  22. Dehghan, Y.; Schnickel, G.T.; Hosseini, M.; Burgoyne, A.M.; Ajmera, V.H.; Morris, G.P.; Mendler, M.H.; Parekh, J.R.; Abushamat, F.; Vodkin, I.; et al. Rescue Liver Re-Transplantation after Graft Loss Due to Severe Rejection in the Setting of Pre-Transplant Nivolumab Therapy. Clin. J. Gastroenterol. 2021, 14, 1718–1724. [Google Scholar] [CrossRef] [PubMed]
  23. Lizaola-Mayo, B.C.; Mathur, A.K.; Borad, M.-J.; Jadlowiec, C.C.; Lam-Himlin, D.M.; Corey, R.L.; Iqbal, S.; Okubo, K.; Byrne, T.J.; Moss, A.A.; et al. Immunotherapy as a Downstaging Tool for Liver Transplantation in Hepatocellular Carcinoma. Am. J. Gastroenterol. 2021, 116, 2478–2480. [Google Scholar] [CrossRef] [PubMed]
  24. Peterson, J.; Stanek, S.; Kalman, R.; Varadi, G.; Natarajan, B. S2780 Nivolumab as a Bridge to Liver Transplantation in Advanced Hepatocellular Carcinoma. Am. J. Gastroenterol. 2021, 116, S1159. [Google Scholar] [CrossRef]
  25. Qiao, Z.; Zhang, Z.; Lv, Z.; Tong, H.; Xi, Z.; Wu, H.; Chen, X.; Xia, L.; Feng, H.; Zhang, J.; et al. Neoadjuvant Programmed Cell Death 1 (PD-1) Inhibitor Treatment in Patients with Hepatocellular Carcinoma before Liver Transplant: A Cohort Study and Literature Review. Front. Immunol. 2021, 12, 653437. [Google Scholar] [CrossRef] [PubMed]
  26. Sogbe, M.; López-Guerra, D.; Blanco-Fernández, G.; Sangro, B.; Narváez-Rodriguez, I. Durvalumab as a Successful Downstaging Therapy for Liver Transplantation in Hepatocellular Carcinoma: The Importance of a Washout Period. Transplantation 2021, 105, e398–e400. [Google Scholar] [CrossRef] [PubMed]
  27. Tabrizian, P.; Florman, S.S.; Schwartz, M.E. PD-1 Inhibitor as Bridge Therapy to Liver Transplantation? Am. J. Transplant. 2021, 21, 1979–1980. [Google Scholar] [CrossRef] [PubMed]
  28. Abdelrahim, M.; Esmail, A.; Umoru, G.; Westhart, K.; Abudayyeh, A.; Saharia, A.; Ghobrial, R.M. Immunotherapy as a Neoadjuvant Therapy for a Patient with Hepatocellular Carcinoma in the Pretransplant Setting: A Case Report. Curr. Oncol. 2022, 29, 4267–4273. [Google Scholar] [CrossRef] [PubMed]
  29. Aby, E.S.; Lake, J.R. Immune Checkpoint Inhibitor Therapy before Liver Transplantation—Case and Literature Review. Transplant. Direct 2022, 8, e1304. [Google Scholar] [CrossRef] [PubMed]
  30. Dave, S.; Yang, K.; Schnickel, G.T.; Kono, Y.; Delebecque, F.; Arellano, D.; Liu, A.; Zhang, X.; Tu, X.M.; Ajmera, V. The Impact of Treatment of Hepatocellular Carcinoma with Immune Checkpoint Inhibitors on Pre– and Post–Liver Transplant Outcomes. Transplantation 2022, 106, e308–e309. [Google Scholar] [CrossRef]
  31. Kang, E.; Martinez, M.; Moisander-Joyce, H.; Saenger, Y.M.; Griesemer, A.D.; Kato, T.; Yamashiro, D.J.; Remotti, H.; Gartrell, R.D. Stable Liver Graft Post anti-PD1 Therapy as a Bridge to Transplantation in an Adolescent with Hepatocellular Carcinoma. Pediatr. Transplant. 2022, 26, e14209. [Google Scholar] [CrossRef]
  32. Schnickel, G.T.; Fabbri, K.; Hosseini, M.; Misel, M.; Berumen, J.; Parekh, J.; Mekeel, K.; Dehghan, Y.; Kono, Y.; Ajmera, V. Liver Transplantation for Hepatocellular Carcinoma Following Checkpoint Inhibitor Therapy with Nivolumab. Am. J. Transplant. 2022, 22, 1699–1704. [Google Scholar] [CrossRef]
  33. Chouik, Y.; Erard, D.; Demian, H.; Schulz, T.; Mazard, T.; Hartig-Lavie, K.; Antonini, T.; Mabrut, J.-Y.; Mohkam, K.; Rode, A.; et al. Case Report: Successful Liver Transplantation after Achieving Complete Clinical Remission of Advanced HCC with Atezolizumab plus Bevacizumab Combination Therapy. Front. Immunol. 2023, 14, 1205997. [Google Scholar] [CrossRef] [PubMed]
  34. Ohm, H.; Khwaja, R.; Karachiwala, H. Immunotherapy before Liver Transplant in Unresectable Hepatocellular Carcinoma: A Case Report. J. Gastrointest. Oncol. 2023, 14, 2644–2649. [Google Scholar] [CrossRef] [PubMed]
  35. Rudolph, M.; Shah, S.A.; Quillin, R.; Lemon, K.; Olowokure, O.; Latif, T.; Sohal, D. Immune Checkpoint Inhibitors in Liver Transplant: A Case Series. J. Gastrointest. Oncol. 2023, 14, 1141–1148. [Google Scholar] [CrossRef]
  36. Schmiderer, A.; Zoller, H.; Niederreiter, M.; Effenberger, M.; Oberhuber, G.; Krendl, F.J.; Oberhuber, R.; Schneeberger, S.; Tilg, H.; Djanani, A. Liver Transplantation after Successful Downstaging of a Locally Advanced Hepatocellular Carcinoma with Systemic Therapy. Dig. Dis. 2023, 41, 641–644. [Google Scholar] [CrossRef]
  37. Wang, T.; Chen, Z.; Liu, Y.; Jia, Y.; Ju, W.; Chen, M.; Zhao, Q.; Wang, D.; Guo, Z.; Tang, Y.; et al. Neoadjuvant Programmed Cell Death 1 Inhibitor before Liver Transplantation for HCC Is Not Associated with Increased Graft Loss. Liver Transplant. 2023, 29, 598–606. [Google Scholar] [CrossRef]
  38. Tabrizian, P.; Ajmera, V.; Kim, A.; Zhou, K.; Schnickel, G.; Torosian, K.; Hoteit, M.; Yao, F.; Florman, S.; Schwartz, M. Impact of Immune Checkpoint Inhibitors Pre-Transplantation: Intention to Treat Outcomes from a Multi-Center Study. In Proceedings of the ILTS Annual Congress, Rotterdam, The Netherlands, 3–6 May 2023. [Google Scholar]
  39. Guo, Z.; Liu, Y.; Ling, Q.; Xu, L.; Wang, T.; Zhu, J.; Lin, Y.; Lu, X.; Qu, W.; Zhang, F.; et al. Pre-Transplant Use of Immune Checkpoint Inhibitors for Hepatocellular Carcinoma: A Multicenter, Retrospective Cohort Study. Am. J. Transplant. 2024; in press. [Google Scholar] [CrossRef]
  40. Patrono, D.; De Stefano, N.; Romagnoli, R. Liver Transplantation for Tumor Entities. Curr. Opin. Organ. Transplant. 2024; ahead of print. [Google Scholar] [CrossRef]
  41. Siegel, A.B.; El-Khoueiry, A.B.; Finn, R.S.; Guthrie, K.A.; Goyal, A.; Venook, A.P.; Blanke, C.D.; Verna, E.C.; Dove, L.; Emond, J.; et al. Phase I Trial of Sorafenib Following Liver Transplantation in Patients with High-Risk Hepatocellular Carcinoma. Liver Cancer 2015, 4, 115–125. [Google Scholar] [CrossRef]
  42. Du, J.-S.; Hsu, S.-H.; Wang, S.-N. The Current and Prospective Adjuvant Therapies for Hepatocellular Carcinoma. Cancers 2024, 16, 1422. [Google Scholar] [CrossRef] [PubMed]
  43. Morales, R.E.; Shoushtari, A.N.; Walsh, M.M.; Grewal, P.; Lipson, E.J.; Carvajal, R.D. Safety and Efficacy of Ipilimumab to Treat Advanced Melanoma in the Setting of Liver Transplantation. J. Immunother. Cancer 2015, 3, 22. [Google Scholar] [CrossRef]
  44. Ranganath, H.A.; Panella, T.J. Administration of Ipilimumab to a Liver Transplant Recipient with Unresectable Metastatic Melanoma. J. Immunother. 2015, 38, 211. [Google Scholar] [CrossRef]
  45. De Toni, E.N.; Gerbes, A.L. Tapering of Immunosuppression and Sustained Treatment with Nivolumab in a Liver Transplant Recipient. Gastroenterology 2017, 152, 1631–1633. [Google Scholar] [CrossRef]
  46. Dueland, S.; Guren, T.K.; Boberg, K.M.; Reims, H.M.; Grzyb, K.; Aamdal, S.; Julsrud, L.; Line, P.D. Acute Liver Graft Rejection after Ipilimumab Therapy. Ann. Oncol. 2017, 28, 2619–2620. [Google Scholar] [CrossRef]
  47. Friend, B.D.; Venick, R.S.; McDiarmid, S.V.; Zhou, X.; Naini, B.; Wang, H.; Farmer, D.G.; Busuttil, R.W.; Federman, N. Fatal Orthotopic Liver Transplant Organ Rejection Induced by a Checkpoint Inhibitor in Two Patients with Refractory, Metastatic Hepatocellular Carcinoma. Pediatr. Blood Cancer 2017, 64, e26682. [Google Scholar] [CrossRef] [PubMed]
  48. Varkaris, A.; Lewis, D.W.; Nugent, F.W. Preserved Liver Transplant After PD-1 Pathway Inhibitor for Hepatocellular Carcinoma. Am. J. Gastroenterol. 2017, 112, 1895–1896. [Google Scholar] [CrossRef]
  49. Biondani, P.; De Martin, E.; Samuel, D. Safety of an Anti-PD-1 Immune Checkpoint Inhibitor in a Liver Transplant Recipient. Ann. Oncol. 2018, 29, 286–287. [Google Scholar] [CrossRef]
  50. DeLeon, T.T.; Salomao, M.A.; Aqel, B.A.; Sonbol, M.B.; Yokoda, R.T.; Ali, A.H.; Moss, A.A.; Mathur, A.K.; Chascsa, D.M.; Rakela, J.; et al. Pilot Evaluation of PD-1 Inhibition in Metastatic Cancer Patients with a History of Liver Transplantation: The Mayo Clinic Experience. J. Gastrointest. Oncol. 2018, 9, 1054–1062. [Google Scholar] [CrossRef] [PubMed]
  51. Gassmann, D.; Weiler, S.; Mertens, J.C.; Reiner, C.S.; Vrugt, B.; Nägeli, M.; Mangana, J.; Müllhaupt, B.; Jenni, F.; Misselwitz, B. Liver Allograft Failure after Nivolumab Treatment—A Case Report with Systematic Literature Research. Transplant. Direct 2018, 4, e376. [Google Scholar] [CrossRef] [PubMed]
  52. Kuo, J.C.; Lilly, L.B.; Hogg, D. Immune Checkpoint Inhibitor Therapy in a Liver Transplant Recipient with a Rare Subtype of Melanoma: A Case Report and Literature Review. Melanoma Res. 2018, 28, 61–64. [Google Scholar] [CrossRef]
  53. Nasr, F.; Ahmad Al, G.; Saada, D.; Janah, M.; Layal, M.; Ali, K.; Abd El Karim, G. Pembrolizumab Monotherapy in Relapsed Hepatocellular Carcinoma Post Living Donor Liver Transplantation and Sorafenib. Int. J. Oncol. Res. 2018, 1, 009. [Google Scholar] [CrossRef][Green Version]
  54. Rammohan, A.; Reddy, M.S.; Farouk, M.; Vargese, J.; Rela, M. Pembrolizumab for Metastatic Hepatocellular Carcinoma Following Live Donor Liver Transplantation: The Silver Bullet? Hepatology 2018, 67, 1166–1168. [Google Scholar] [CrossRef]
  55. Tio, M.; Rai, R.; Ezeoke, O.M.; McQuade, J.L.; Zimmer, L.; Khoo, C.; Park, J.J.; Spain, L.; Turajlic, S.; Ardolino, L.; et al. Anti-PD-1/PD-L1 Immunotherapy in Patients with Solid Organ Transplant, HIV or Hepatitis B/C Infection. Eur. J. Cancer 2018, 104, 137–144. [Google Scholar] [CrossRef] [PubMed]
  56. Abdel-Wahab, N.; Safa, H.; Abudayyeh, A.; Johnson, D.H.; Trinh, V.A.; Zobniw, C.M.; Lin, H.; Wong, M.K.; Abdelrahim, M.; Gaber, A.O.; et al. Checkpoint Inhibitor Therapy for Cancer in Solid Organ Transplantation Recipients: An Institutional Experience and a Systematic Review of the Literature. J. Immunother. Cancer 2019, 7, 106. [Google Scholar] [CrossRef]
  57. Lee, B.T.; Horwich, B.H.; Chopra, S.; Ahearn, A.; Han, H.H. Checkpoint Inhibitor–Induced Rejection of a Liver Allograft: A Combination of Acute T Cell–Mediated and Antibody-Mediated Rejection. Liver Transpl. 2019, 25, 1845–1848. [Google Scholar] [CrossRef] [PubMed]
  58. Al Jarroudi, O.; Ulusakarya, A.; Almohamad, W.; Afqir, S.; Morere, J.-F. Anti-Programmed Cell Death Protein 1 (PD-1) Immunotherapy for Metastatic Hepatocellular Carcinoma after Liver Transplantation: A Report of Three Cases. Cureus 2020, 12, e11150. [Google Scholar] [CrossRef] [PubMed]
  59. Amjad, W.; Kotiah, S.; Gupta, A.; Morris, M.; Liu, L.; Thuluvath, P.J. Successful Treatment of Disseminated Hepatocellular Carcinoma after Liver Transplantation with Nivolumab. J. Clin. Exp. Hepatol. 2020, 10, 185–187. [Google Scholar] [CrossRef] [PubMed]
  60. Anugwom, C.; Leventhal, T. Nivolumab-Induced Autoimmune-Like Cholestatic Hepatitis in a Liver Transplant Recipient. ACG Case Rep. J. 2020, 7, e00416. [Google Scholar] [CrossRef]
  61. Braun, M.; Fuchs, V.; Kian, W.; Roisman, L.; Peled, N.; Rosenberg, E.; Friedel, L. Nivolumab Induced Hepatocanalicular Cholestasis and Liver Rejection in a Patient with Lung Cancer and Liver Transplant. J. Thorac. Oncol. 2020, 15, e149–e150. [Google Scholar] [CrossRef] [PubMed]
  62. Owoyemi, I.; Vaughan, L.E.; Costello, C.M.; Thongprayoon, C.; Markovic, S.N.; Herrmann, J.; Otley, C.C.; Taner, T.; Mangold, A.R.; Leung, N.; et al. Clinical Outcomes of Solid Organ Transplant Recipients with Metastatic Cancers Who Are Treated with Immune Checkpoint Inhibitors: A Single-center Analysis. Cancer 2020, 126, 4780–4787. [Google Scholar] [CrossRef] [PubMed]
  63. Pandey, A.; Cohen, D.J. Ipilumumab for Hepatocellular Cancer in a Liver Transplant Recipient, with Durable Response, Tolerance and without Allograft Rejection. Immunotherapy 2020, 12, 287–292. [Google Scholar] [CrossRef]
  64. Zhuang, L.; Mou, H.-B.; Yu, L.-F.; Zhu, H.-K.; Yang, Z.; Liao, Q.; Zheng, S.-S. Immune Checkpoint Inhibitor for Hepatocellular Carcinoma Recurrence after Liver Transplantation. Hepatobiliary Pancreat. Dis. Int. 2020, 19, 91–93. [Google Scholar] [CrossRef]
  65. Ben Khaled, N.; Roessler, D.; Reiter, F.P.; Seidensticker, M.; Guba, M.; De Toni, E.N. Extending the Use of Atezolizumab and Bevacizumab to a Liver Transplant Recipient: Need for a Posttransplant Registry. Liver Transpl. 2021, 27, 928–929. [Google Scholar] [CrossRef] [PubMed]
  66. Bittner, A.; Radke, J.; Eurich, D.; Wiener, E.; Denker, S.; Anagnostopoulos, I.; Na, I.-K.; Heppner, F.L.; Bullinger, L.; Schmitt, C.A. Cerebral EBV-Positive PTLD Controlled by PD-1 Checkpoint Blockade in a Liver Transplant Patient. Leuk. Lymphoma 2021, 62, 2026–2029. [Google Scholar] [CrossRef] [PubMed]
  67. Brumfiel, C.M.; Patel, M.H.; Aqel, B.; Lehrer, M.; Patel, S.H.; Seetharam, M. Immune Checkpoint Inhibitor Therapy in a Liver Transplant Recipient with Autoimmune Disease and Metastatic Cutaneous Squamous Cell Carcinoma. JAAD Case Rep. 2021, 14, 78–81. [Google Scholar] [CrossRef] [PubMed]
  68. Shi, G.; Wang, J.; Huang, X.; Huang, X.; He, Y.; Ji, Y.; Chen, Y.; Wu, D.; Lu, J.; Sun, Q.; et al. Graft Programmed Death Ligand 1 Expression as a Marker for Transplant Rejection Following Anti–Programmed Death 1 Immunotherapy for Recurrent Liver Tumors. Liver Transpl. 2021, 27, 444–449. [Google Scholar] [CrossRef] [PubMed]
  69. Tsung, I.; Worden, F.P.; Fontana, R.J. A Pilot Study of Checkpoint Inhibitors in Solid Organ Transplant Recipients with Metastatic Cutaneous Squamous Cell Carcinoma. Oncologist 2021, 26, 133–138. [Google Scholar] [CrossRef] [PubMed]
  70. Kondo, T.; Kawachi, S.; Nakatsugawa, M.; Takeda, A.; Kikawada, N.; Aihara, Y.; Okimura, A.; Hirano, H.; Ogawa, Y.; Tsukahara, K. Nivolumab for Recurrent/Metastatic Hypopharyngeal Squamous Cell Carcinoma in a Liver Transplant Recipient. Auris Nasus Larynx 2022, 49, 721–726. [Google Scholar] [CrossRef] [PubMed]
  71. Yang, Z.; Sun, J.; Zhuang, L.; Mou, H.; Zheng, S. Preliminary Evaluation of Atezolizumab Plus Bevacizumab as Salvage Treatment for Recurrent Hepatocellular Carcinoma after Liver Transplantation. Liver Transpl. 2022, 28, 895–896. [Google Scholar] [CrossRef]
  72. Di Marco, L.; Pivetti, A.; Foschi, F.G.; D’Amico, R.; Schepis, F.; Caporali, C.; Casari, F.; Lasagni, S.; Critelli, R.M.; Milosa, F.; et al. Feasibility, Safety, and Outcome of Second-Line Nivolumab/Bevacizumab in Liver Transplant Patients with Recurrent Hepatocellular Carcinoma. Liver Transplant. 2023, 29, 559–563. [Google Scholar] [CrossRef]
  73. Chen, J.A.; Esteghamat, N.; Kim, E.J.; Garcia, G.; Gong, J.; Fakih, M.G.; Bold, R.J.; Cho, M.T. PD-1 Blockade in a Liver Transplant Recipient with Microsatellite Unstable Metastatic Colorectal Cancer and Hepatic Impairment. J. Natl. Compr. Cancer Netw. 2019, 17, 1026–1030. [Google Scholar] [CrossRef] [PubMed]
  74. Hsu, Y.-C.; Chen, C.-H.; Huang, H.-F.; Lee, Y.-T.; Wu, M.-C.; Su, C.-W.; Chou, H.-C.; Wang, L.-F.; Lee, H.-S.; Lin, S.-W.; et al. Therapeutic Effects of Anti-PD1 Immunotherapy on Hepatocellular Carcinoma under Administration of Tacrolimus. Transplantation 2023, 107, 1492–1501. [Google Scholar] [CrossRef]
  75. Tanimine, N.; Ohira, M.; Kurita, E.; Nakano, R.; Sakai, H.; Tahara, H.; Ide, K.; Kobayashi, T.; Tanaka, Y.; Ohdan, H. Impact of KIR-HLA Genotype on Natural-Killer-Cell-Based Immunotherapy for Preventing Hepatocellular Carcinoma after Living-Donor Liver Transplantation. Cancers 2024, 16, 533. [Google Scholar] [CrossRef] [PubMed]
  76. Zhu, A.X.; Finn, R.S.; Edeline, J.; Cattan, S.; Ogasawara, S.; Palmer, D.; Verslype, C.; Zagonel, V.; Fartoux, L.; Vogel, A.; et al. Pembrolizumab in Patients with Advanced Hepatocellular Carcinoma Previously Treated with Sorafenib (KEYNOTE-224): A Non-Randomised, Open-Label Phase 2 Trial. Lancet Oncol. 2018, 19, 940–952. [Google Scholar] [CrossRef] [PubMed]
  77. Mueller, M.; Kalisvaart, M.; O’Rourke, J.; Shetty, S.; Parente, A.; Muller, X.; Isaac, J.; Muellhaupt, B.; Muiesan, P.; Shah, T.; et al. Hypothermic Oxygenated Liver Perfusion (HOPE) Prevents Tumor Recurrence in Liver Transplantation from Donation after Circulatory Death. Ann. Surg. 2020, 272, 759–765. [Google Scholar] [CrossRef] [PubMed]
  78. Rigo, F.; De Stefano, N.; Patrono, D.; De Donato, V.; Campi, L.; Turturica, D.; Doria, T.; Sciannameo, V.; Berchialla, P.; Tandoi, F.; et al. Impact of Hypothermic Oxygenated Machine Perfusion on Hepatocellular Carcinoma Recurrence after Liver Transplantation. J. Pers. Med. 2023, 13, 703. [Google Scholar] [CrossRef]
  79. Groen, P.C.; De Jonge, J.; Porte, R.J. Prolonged Normothermic Machine Perfusion: Buying More Time for Liver Graft Assessment and Repair. Transplantation 2023, 107, 1221–1222. [Google Scholar] [CrossRef]
Figure 1. Overlapping pathways between ICIs and immunosuppressive drugs on T-cell activation. Both PD-1/PD-L1 and CTLA-4 blockades by ICIs result in activation of TCR and mTOR signaling, eventually upregulating NFAT, NF-kB, and AP-1 genes to further promote T-cell proliferation and cytokine expression. In contrast, immunosuppressive drugs, either targeting mTOR or directly interfering with the expression of the aforementioned genes, result in suppression of T-cell activation.
Figure 1. Overlapping pathways between ICIs and immunosuppressive drugs on T-cell activation. Both PD-1/PD-L1 and CTLA-4 blockades by ICIs result in activation of TCR and mTOR signaling, eventually upregulating NFAT, NF-kB, and AP-1 genes to further promote T-cell proliferation and cytokine expression. In contrast, immunosuppressive drugs, either targeting mTOR or directly interfering with the expression of the aforementioned genes, result in suppression of T-cell activation.
Cancers 16 02374 g001
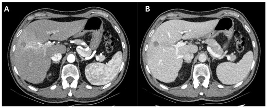
Figure 2. Computed tomography arterial (A) and portal (B) phase of a case of successful downstaging by a combination of loco-regional therapies and immunotherapy. After a microwave ablation of a Sg8 HCC, the patient developed a neoplastic thrombosis of Sg8 Glissonean pedicle. He was treated with trans-arterial radio-embolization followed by 20 cycles of Atezolizumab–Bevacizumab. After disappearance of contrast-enhancing tissue at the Sg8 pedicle and normalization of alpha-fetoprotein (from 42.9 to 8.1 ng/mL), the patient was waitlisted for liver transplantation 1 month after the last administration of immunotherapy. He was transplanted 10 days after and had an uneventful postoperative course, with no sign of acute rejection. At 5-month follow-up, he had normal liver function and no evidence of recurrence.
Figure 2. Computed tomography arterial (A) and portal (B) phase of a case of successful downstaging by a combination of loco-regional therapies and immunotherapy. After a microwave ablation of a Sg8 HCC, the patient developed a neoplastic thrombosis of Sg8 Glissonean pedicle. He was treated with trans-arterial radio-embolization followed by 20 cycles of Atezolizumab–Bevacizumab. After disappearance of contrast-enhancing tissue at the Sg8 pedicle and normalization of alpha-fetoprotein (from 42.9 to 8.1 ng/mL), the patient was waitlisted for liver transplantation 1 month after the last administration of immunotherapy. He was transplanted 10 days after and had an uneventful postoperative course, with no sign of acute rejection. At 5-month follow-up, he had normal liver function and no evidence of recurrence.
Cancers 16 02374 g002
Table 1. Studies on ICIs as neoadjuvant therapies before LT for HCC.
Table 1. Studies on ICIs as neoadjuvant therapies before LT for HCC.
StudyType (n)ICIDoseDurationWash-OutIS RegimenRejectionTreatment
Nordness et al., 2019 [19]Case
report
(1)
Nivolumab240 mg every 2 weeks19 months8 daysTac, MMF, SteroidsYesSteroids, Thymo
(patient died)
Schwacha-Eipper et al., 2020 [20]Case
report
(1)
NivolumabNR34 cycles15 weeksNRNo-
Chen et al., 2021 [21]Case
series
(5)
Nivolumab3 mg/kg every 2 weeksNR7 daysTac, MMFNo-
16 weeksNo-
8 weeksNo-
8 weeksNo-
8 weeksNo-
Dehghan et al., 2021 [22]Case
report
(1)
Nivolumab240 mg every 2 weeks1 month5 weeksTac, MMF, SteroidsYesSteroids, Thymo, Plasma exchange, Re-LT
480 mg every 4 weeks15 months
Lizaola-Mayo et al., 2021 [23]Case
report
(1)
Nivolumab
Ipilimumab
NR6 months9 weeksBasiliximab + Steroids [induction], Tac, MMF, SteroidsNo-
Peterson et al., 2021 [24]Case
report
(1)
Nivolumab240 mg every 2 weeks6 months40 weeksNANo-
Qiao et al., 2021 [25]Case
series
(7)
Pembrolizumab + Lenvatinib200 mg, 3 weeks per cycle3 cycles
(average)
6 weeks
(average)
Basiliximab + Steroids [induction], Tac, MMF, Sirolimus, Steroids1 caseSteroids
Camrelizumab + Lenvatinib200 mg, 2 weeks per cycle
Sogbe et al., 2021 [26]Case
report
(1)
DurvalumabNR20 months12 weeksTac, MMF, SteroidsNo-
Tabrizian et al., 2021 [27]Case
series
(9)
Nivolumab240 mg every 2 weeks21 cycles18 daysTac, MMF, SteroidsNo-
8 cycles3 weeksNo-
32 cycles1 dayNo-
4 cycles2 daysNo-
25 cycles3 weeksYesIncrease Tac
4 cycles2 weeksNo-
9 cycles36 weeksNo-
12 cycles7 daysNo-
2 cycles4 weeksNo-
Abdelrahim et al., 2022 [28]Case
report
(1)
Atezolizumab1200 mg6 cycles8 weeksTac, MMFNo-
Bevacizumab15 mg/kg5 cycles
Aby et al., 2022 [29]Case
report
(1)
Nivolumab480 mg every 4 weeks23 cycles16 daysTac, MMF, SteroidsYesSteroids, Thymo
Dave et al., 2022 [30]Case
series
(5)
NivolumabNRNR15 weeks (average)NR2 casesRe-LT
Kang et al., 2022 [31]Case
report
(1)
Pembrolizumab2 mg/kg every 3 weeks3 cycles20 weeksNRNo-
Schnickel et al., 2022 [32]Case
series
(5)
Nivolumab240 mg every 2 weeks twice then 480 mg every 4 weeks18 months5 weeksTac, MMF, SteroidsYesSteroids, Thymo, Plasma exchange
8 months10 daysYesSteroids, Thymo, Rituximab
8 months12 weeksNo-
12 months16 weeksNo-
12 months24 weeksNo-
Chouik et al., 2023 [33]Case
report
(1)
Atezolizumab1200 mg18 cycles7 daysBasiliximab + Steroids [induction], Tac, MMF, SteroidsNo-
Bevacizumab15 mg/kg
Ohm et al., 2023 [34]Case
series
(3)
Atezolizumab + Nivolumab1200 mg + 15 mg/kg every 3 weeks7 cycles33 weeksNRNo-
Ipilimumab + Nivolumab (then Nivolumab alone)3 mg/kg + 1 mg/kg every 3 weeks followed by 480 mg every 4 weeks4 + 3 cycles2 daysNo-
Atezolizumab + Nivolumab1200 mg + 15 mg/kg every 3 weeks6 cycles7 daysNo-
Rudolph et al., 2023 [35]Case
report (1)
NivolumabNR7 cycles1 weekTac, MMF, SteroidsGVHDSteroids, Thymo
Schmiderer et al., 2023 [36]Case
report
(1)
Atezolizumab1200 mg6 months6 weeksTac, MMF, SteroidsNo-
Bevacizumab15 mg/kg6 months
Lenvatinib (started at listing)8 mg6 weeks
Wang et al., 2023 [37]Case
series
(16)
Nivolumab3 mg/kg every 2 weeks6 cycles3 weeksBasiliximab + Steroids [induction], Tac, Sirolimus, SteroidsNo-
Nivolumab3 mg/kg every 2 weeks4 cycles9 weeksNo-
Pembrolizumab200 mg every 3 weeks4 cycles24 weeksNo-
Pembrolizumab200 mg every 3 weeks2 cycles3 weeksYesSteroids/Increase Tac
Pembrolizumab200 mg every 3 weeks4 cycles6 weeksNo-
Pembrolizumab200 mg every 3 weeks1 cycle4 weeksYesSteroids/Increase Tac
Pembrolizumab200 mg every 3 weeks3 cycles3 weeksYesSteroids/Increase Tac
Pembrolizumab200 mg every 3 weeks3 cycles7 daysYesSteroids/Increase Tac
Pembrolizumab200 mg every 3 weeks3 cycles2 weeksYesSteroids/Increase Tac
Sintilimab200 mg every 3 weeks2 cycles5 weeksNo-
Sintilimab200 mg every 3 weeks4 cycles4 weeksYesSteroids/Increase Tac
Sintilimab200 mg every 3 weeks8 cycles2 weeksYesSteroids/Increase Tac
Sintilimab200 mg every 3 weeks10 cycles3 weeksYesSteroids/Increase Tac
Camrelizumab3 mg/kg every 3 weeks5 cycles13 weeksYesSteroids/Increase Tac
Camrelizumab3 mg/kg every 3 weeks6 cycles26 weeksNo-
Nivolumab
Toripalimab
Sintilimab
Tislelizumab
200 mg every 2/3 weeks27 cycles10 weeksNo-
Abbreviations: GVHD, graft-versus-host disease; ICIs, immune checkpoint inhibitors; IS, immunosuppression; MMF, mycophenolate mofetil; NR, not reported; LT, liver transplantation; Tac, Tacrolimus; Thymo, Thymoglobulin.
Table 2. Half-life and molecular target of ICIs administered prior to LT.
Table 2. Half-life and molecular target of ICIs administered prior to LT.
ICIHalf-Life (Days)Target
Nivolumab25.0PD-1
Pembrolizumab22.0PD-1
Camrelizumab5.5PD-1
Sintilimab19.6PD-1
Tislelizumab13.3PD-1
Toripalimab12.6PD-1
Atezolizumab27.0PD-L1
Durvalumab18.0PD-L1
Ipilimumab14.7CTLA-4
Abbreviations: CTLA-4, cytotoxic T-lymphocyte-associated antigen-4, ICI, immune checkpoint inhibitor; PD-1, programmed cell death-1; PD-L1, programmed cell death-ligand 1.
Table 3. Studies on ICI therapy after LT.
Table 3. Studies on ICI therapy after LT.
StudyType [n]ICIIndicationDurationTime from LTIS RegimenRejectionICI Response
Morales et al., 2015 [43]Case
report
(1)
IpilimumabMelanoma4 cycles8 yearsTacNoYes
Ranganath et al., 2015 [44]Case
report
(1)
IpilimumabMelanoma4 cycles8 yearsTacNoNo
De Toni et al., 2017 [45]Case
report
(1)
NivolumabHCC recurrence15 cycles11 yearsTacNoNo
Dueland et al., 2017 [46]Case
report
(1)
IpilimumabMelanoma1 cycle1.5 yearsSteroidYes-
Friend et al., 2017 [47]Case
series
(2)
NivolumabHCC recurrence2 cycles3 yearsSirolimusYes-
1 cycle4 yearsTacYes
Varkaris et al., 2017 [48]Case
report
(1)
PembrolizumabHCC recurrence4 months8 yearsTacNoNo
Biondani et al., 2018 [49]Case
report
(1)
NivolumabNSCLC3 cycles13 yearsTac, Everolimus, SteroidNoNo
DeLeon et al., 2018 [50]Case
series
(7)
NivolumabHCC recurrence1.2 months2.7 yearsTacNoNo
NivolumabHCC recurrence1.1 months7.8 yearsMMF, SirolimusNoNo
NivolumabHCC recurrence1.3 months3.7 yearsTacNoNo
NivolumabHCC recurrence0.3 months1.2 yearsTacNoNo
NivolumabHCC recurrence0.9 months1.1 yearsSirolimusYes-
PembrolizumabMelanoma9.5 months5.5 yearsMMF, EverolimusNoYes
PembrolizumabMelanoma0.7 months1.1 yearsMMF, SteroidYes-
Gassmann et al., 2018 [51]Case
report
(1)
NivolumabHCC recurrence1 cycle2 yearsMMF, EverolimusYes-
Kuo et al., 2018 [52]Case
report
(1)
Ipilimumab followed by PembrolizumabMelanoma4 cycles
+ 25 cycles
1 yearsSirolimusNoYes
Nasr et al., 2018 [53]Case
report
(1)
PembrolizumabHCC recurrenceNR4 yearsTac, MMFNoYes
Rammohan et al., 2018 [54]Case
report
(1)
PembrolizumabHCC recurrence10 months3 yearsTacNoYes
Tio et al., 2018 [55]Case
report
(1)
PembrolizumabMelanomaNRNRCyclosporineYes-
Abdel-Wahab et al., 2019 [56]Case
series
(11)
IpilimumabMelanomaNR1.5 yearsSteroidYes-
PembrolizumabMelanomaNR5 yearsSirolimusYes-
NivolumabHCC recurrenceNR3.3 yearsSirolimusYes-
NivolumabHCC recurrenceNR1.9 yearsTacYes-
IpilimumabMelanomaNR8 yearsSirolimusNoYes
PembrolizumabMelanomaNR20 yearsTacNoYes
IpilimumabMelanomaNR8 yearsTacNoNo
NivolumabHCC recurrenceNR0.92 yearsTacNoNo
PembrolizumabHCC recurrenceNR8 yearsTacNoNo
PembrolizumabMelanomaNR6 yearsMMF, SirolimusNoYes
NivolumabNSCLCNR13 yearsSteroid, Tac, EverolimusNoNo
Chen et al., 2019 [21]Case
report
(1)
PembrolizumabMetastatic
CRC
15 cycles4 yearsTac, SteroidNoYes
Lee et al., 2019 [57]Case
report
(1)
NivolumabSCC2 cycles1 yearEverolimusYes-
Al Jarroudi et al., 2020 [58]Case
series
(3)
NivolumabHCC recurrence4 cycles3 yearsTacNoNo
5 cycles1 yearNoNo
6 cycles5 yearsNoNo
Amjad et al., 2020 [59]Case
report
(1)
NivolumabHCC recurrence20 months2 yearsTac, MMF, SteroidNoYes
Anugwom et al., 2020 [60]Case
report
(1)
NivolumabHCC recurrence + NSCLCNR1 yearTacYes-
Braun et al., 2020 [61]Case
report
(1)
NivolumabNSCLC1 cycle3 yearsTacYes-
Owoyemi et al., 2020 [62]Case
series
(8)
NivolumabHCC recurrence0.9 monthsNRSirolimusYes-
NivolumabHCC recurrence1 cycleNRTacNoNo
NivolumabHCC recurrence0.9 monthsNRTacNoNo
NivolumabHCC recurrence2.7 monthsNRSirolimusNoNo
PembrolizumabMelanoma1 monthNRTac, MMF, SteroidYesYes
PembrolizumabMelanoma8.4 monthsNRMMF, EverolimusNoYes
NivolumabSCC15.4 monthsNRTac, MMF, SteroidNoYes
NivolumabHCC recurrence0.9 monthsNRTacNoNo
Pandey et al., 2020 [63]Case
report
(1)
IpilimumabHCC recurrence27 months7.5 yearsTacNoYes
Zhuang et al., 2020 [64]Case
report
(1)
NivolumabHCC recurrence12 cycles2 yearsTacNoNo
Ben Khaled et al., 2021 [65]Case
report
(1)
Atezolizumab + BevacizumabHCC recurrence9 months4 yearsNRNoNo
Bittner et al., 2021 [66]Case
report
(1)
NivolumabPTLD14 months11 yearsMMFYesYes
Brumfiel et al., 2021 [67]Case
report
(1)
NivolumabSCC15 months21 yearsTac, MMF, SteroidNoYes
Shi et al., 2021 [68]Case
series
(5)
ToripalimabICC recurrence
(1 case)
1–6 monthsNRSirolimus/EverolimusNoYes (3 cases)
No (2 cases)
HCC recurrence
(4 cases)
Tsung et al., 2021 [69]Case
report
(1)
CemiplimabSCCNRNRTacNoYes
Kondo et al., 2022 [70]Case
report
(1)
NivolumabSCC4 cycles3 yearsMMF, CyclosporineNoNo
Yang et al., 2022 [71]Case
series
(2)
Atezolizumab + BevacizumabHCC recurrence7 cyclesNRNRNoYes
HCC recurrence2 cyclesNRNRNoNo
Di Marco et al., 2023 [72]Case
series
(5)
Nivolumab
(1 case)
HCC recurrenceNR1.2 yearsTac/Sirolimus/EverolimusNoNo
Nivolumab + Bevacizumab
(4 cases)
No (3 cases)
Yes (1 case)
Yes (2 cases)
No (2 cases)
Rudolph et al., 2023 [35]Case
series
(4)
Atezolizumab + BevacizumabHCC recurrence7 cycles2 yearsTac, MMF, SteroidNoNo
Atezolizumab + BevacizumabHCC recurrence4 cycles0.8 yearsTac, MMF, SteroidNoNo
NivolumabSmall bowel adenocarcinoma1 cycle4.2 yearsTac, SteroidYes-
NivolumabSCC1 cycle10 yearsMMF, SirolimusNoNo
Abbreviations: CRC, colorectal cancer; HCC, hepatocellular carcinoma; ICC, intrahepatic cholangiocarcinoma; ICI, immune checkpoint inhibitor; IS, immunosuppression; PTLD, post-transplant lymphoproliferative disorder; MMF, mycophenolate mofetil; NR, not reported; NSCLC, non-small-cell lung cancer; LT, liver transplantation; SCC, squamous cell carcinoma; Tac, Tacrolimus; Thymo, Thymoglobulin.
Table 4. Timings and patterns of HCC recurrence in studies on ICIs after LT.
Table 4. Timings and patterns of HCC recurrence in studies on ICIs after LT.
StudyTime from LT to Recurrence (Months)Recurrence Site
De Toni et al., 2017 [45]11Liver, adrenal gland, mesentery
Friend et al., 2017 [47]36Lung
12Lung
Varkaris et al., 2017 [48]72Retroperitoneal lymph nodes
Gassmann et al., 2018 [51]24Lung, retroperitoneal lymph nodes
Nasr et al., 2018 [53]48Lung
Rammohan et al., 2018 [54]40Lung
Al Jarroudi et al., 2020 [58]33Liver
12Adrenal gland, lung, mediastinal lymph nodes
24Liver, lung
Anugwom et al., 2020 [60]12Lung
Owoyemi et al., 2020 [62]8NR
12NR
25NR
42NR
8NR
Pandey et al., 2020 [63]67Liver
Zhuang et al., 2020 [64]6Lung
Ben Khaled et al., 2021 [65]48Liver, lung, retroperitoneal lymph nodes
Shi et al., 2021 [68]16Liver
9Lung
14Liver, lung, peritoneum
12Liver
11Liver, peritoneum
Yang et al., 2022 [71]NRLung, sacral spine
8Liver, lung, peritoneum
Rudolph et al., 2023 [35]24NR
6NR
Abbreviations: LT, liver transplantation; NR, not reported.
Disclaimer/Publisher’s Note: The statements, opinions and data contained in all publications are solely those of the individual author(s) and contributor(s) and not of MDPI and/or the editor(s). MDPI and/or the editor(s) disclaim responsibility for any injury to people or property resulting from any ideas, methods, instructions or products referred to in the content.

Share and Cite

MDPI and ACS Style

De Stefano, N.; Patrono, D.; Colli, F.; Rizza, G.; Paraluppi, G.; Romagnoli, R. Liver Transplantation for Hepatocellular Carcinoma in the Era of Immune Checkpoint Inhibitors. Cancers 2024, 16, 2374. https://doi.org/10.3390/cancers16132374

AMA Style

De Stefano N, Patrono D, Colli F, Rizza G, Paraluppi G, Romagnoli R. Liver Transplantation for Hepatocellular Carcinoma in the Era of Immune Checkpoint Inhibitors. Cancers. 2024; 16(13):2374. https://doi.org/10.3390/cancers16132374

Chicago/Turabian Style

De Stefano, Nicola, Damiano Patrono, Fabio Colli, Giorgia Rizza, Gianluca Paraluppi, and Renato Romagnoli. 2024. "Liver Transplantation for Hepatocellular Carcinoma in the Era of Immune Checkpoint Inhibitors" Cancers 16, no. 13: 2374. https://doi.org/10.3390/cancers16132374

APA Style

De Stefano, N., Patrono, D., Colli, F., Rizza, G., Paraluppi, G., & Romagnoli, R. (2024). Liver Transplantation for Hepatocellular Carcinoma in the Era of Immune Checkpoint Inhibitors. Cancers, 16(13), 2374. https://doi.org/10.3390/cancers16132374

Note that from the first issue of 2016, this journal uses article numbers instead of page numbers. See further details here.

Article Metrics

Back to TopTop