Right Ventricular Function in Long-Term Survivors of Childhood Acute Lymphoblastic Leukemia: From the CTOXALL Study
Abstract
:Simple Summary
Abstract
1. Introduction
2. Materials and Methods
2.1. Study Design and Participants
2.2. Clinical Assessment
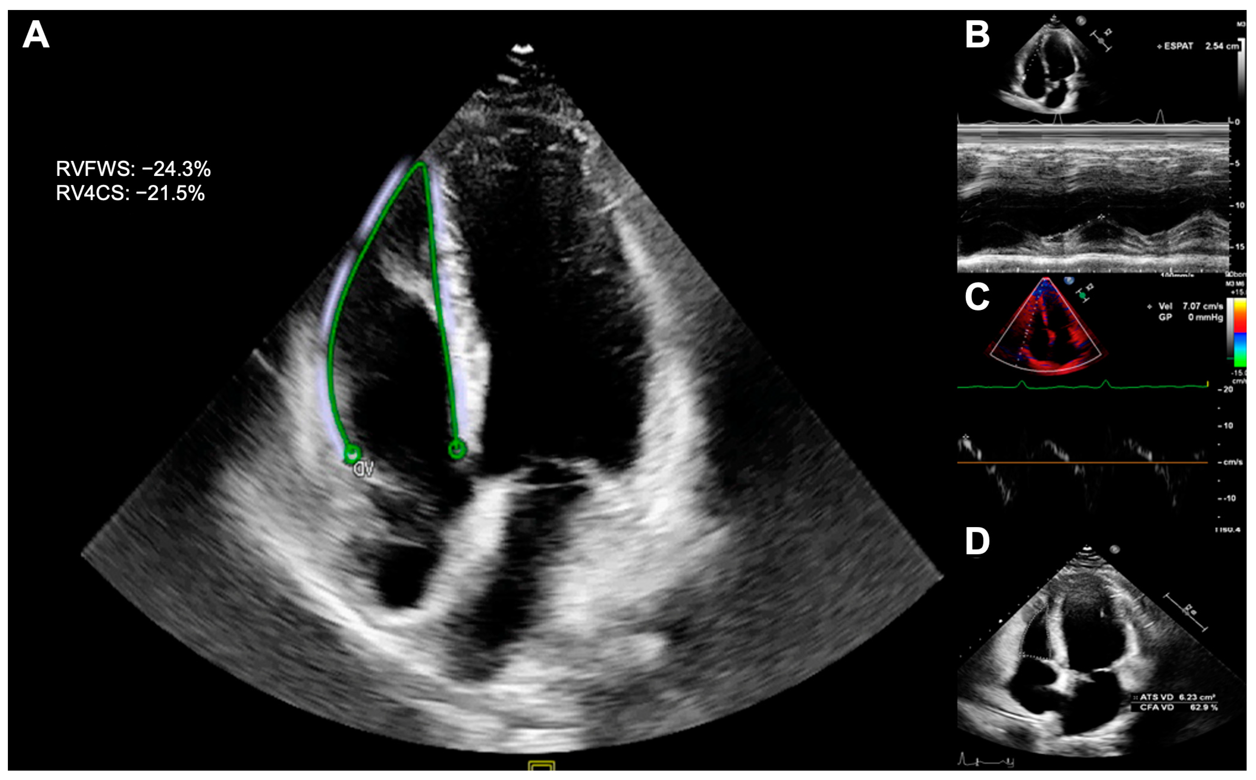
2.3. Echocardiography
2.4. Variability Analysis
2.5. Statistical Analysis
3. Results
3.1. Baseline Characteristics
3.2. Cardiotoxic Treatment Exposure
3.3. Prevalence of Right Ventricular Systolic Dysfunction
3.4. Comparison of Echocardiographic Parameters between the Groups
3.5. Predictors of Conventional Right Ventricular Systolic Function Measurements in the Survivors
3.6. Predictors of Right Ventricular Free-Wall Strain in the Survivors
3.7. Intraobserver and Interobserver Variability Analysis
4. Discussion
4.1. Prevalence of Right Ventricle Dysfunction
4.2. Comparison of RV Echocardiographic Parameters between Survivors and Healthy Siblings
4.3. Association of RV Subclinical Dysfunction with Cardiovascular Risk Factors
4.4. Limitations
5. Conclusions
Author Contributions
Funding
Institutional Review Board Statement
Informed Consent Statement
Data Availability Statement
Conflicts of Interest
References
- Greaves, M. A causal mechanism for childhood acute lymphoblastic leukaemia. Nat. Rev. Cancer 2018, 18, 471–484, Correction in Nat. Rev. Cancer 2018, 18, 526. [Google Scholar] [CrossRef] [PubMed]
- Armenian, S.H.; Armstrong, G.T.; Aune, G.; Chow, E.J.; Ehrhardt, M.J.; Ky, B.; Moslehi, J.; Mulrooney, D.A.; Nathan, P.C.; Ryan, T.D.; et al. Cardiovascular Disease in Survivors of Childhood Cancer: Insights into Epidemiology, Pathophysiology, and Prevention. J. Clin. Oncol. 2018, 36, 2135–2144. [Google Scholar] [CrossRef] [PubMed]
- Zhang, S.; Liu, X.; Bawa-Khalfe, T.; Lu, L.-S.; Lyu, Y.L.; Liu, L.F.; Yeh, E.T.H. Identification of the molecular basis of doxorubicin-induced cardiotoxicity. Nat. Med. 2012, 18, 1639–1642. [Google Scholar] [CrossRef] [PubMed]
- Henriksen, P.A. Anthracycline cardiotoxicity: An update on mechanisms, monitoring and prevention. Heart 2018, 104, 971–977. [Google Scholar] [CrossRef]
- Bhatia, S. Genetics of Anthracycline Cardiomyopathy in Cancer Survivors: JACC: CardioOncology State-of-the-Art Review. Cardio Oncol. 2020, 2, 539–552. [Google Scholar] [CrossRef]
- Gonzalez-Manzanares, R.; Castillo, J.C.; Molina, J.R.; Ruiz-Ortiz, M.; Mesa, D.; Ojeda, S.; Anguita, M.; Pan, M. Automated Global Longitudinal Strain Assessment in Long-Term Survivors of Childhood Acute Lymphoblastic Leukemia. Cancers 2022, 14, 1513. [Google Scholar] [CrossRef]
- Bottinor, W.J.; Deng, X.; Bandyopadhyay, D.; Coburn, G.; Havens, C.; Carr, M.; Saurers, D.; Judkins, C.; Gong, W.; Yu, C.; et al. Myocardial Strain during Surveillance Screening Is Associated with Future Cardiac Dysfunction among Survivors of Childhood, Adolescent and Young Adult-Onset Cancer. Cancers 2023, 15, 2349. [Google Scholar] [CrossRef]
- Christiansen, J.R.; Massey, R.; Dalen, H.; Kanellopoulos, A.; Hamre, H.; Ruud, E.; Kiserud, C.E.; Fosså, S.D.; Aakhus, S. Right ventricular function in long-term adult survivors of childhood lymphoma and acute lymphoblastic leukaemia. Eur. Heart J. Cardiovasc. Imaging 2016, 17, 735–741. [Google Scholar] [CrossRef]
- Edward, J.; Banchs, J.; Parker, H.; Cornwell, W. Right ventricular function across the spectrum of health and disease. Heart 2023, 109, 349–355. [Google Scholar] [CrossRef]
- Anastasiou, V.; Papazoglou, A.S.; Moysidis, D.V.; Daios, S.; Tsalikakis, D.; Giannakoulas, G.; Karamitsos, T.; Delgado, V.; Ziakas, A.; Kamperidis, V. The prognostic value of right ventricular longitudinal strain in heart failure: A systematic review and meta-analysis. Heart Fail. Rev. 2023, 28, 1383–1394. [Google Scholar] [CrossRef]
- Focardi, M.; Cameli, M.; Carbone, S.F.; Massoni, A.; De Vito, R.; Lisi, M.; Mondillo, S. Traditional and innovative echocardiographic parameters for the analysis of right ventricular performance in comparison with cardiac magnetic resonance. Eur. Heart J. Cardiovasc. Imaging 2015, 16, 47–52. [Google Scholar] [CrossRef] [PubMed]
- Fernández-Avilés, C.; González-Manzanares, R.; Ojeda, S.; Molina, J.R.; Heredia, G.; Resúa, A.; Hidalgo, F.; López-Aguilera, J.; Mesa, D.; Anguita, M.; et al. Diastolic function assessment with left atrial strain in long-term survivors of childhood acute lymphoblastic leukemia. Rev. Española De Cardiol. 2023; ahead of print. [Google Scholar] [CrossRef]
- Feijen, E.A.M.; Leisenring, W.M.; Stratton, K.L.; Ness, K.K.; van der Pal, H.J.H.; van Dalen, E.C.; Armstrong, G.T.; Aune, G.J.; Green, D.M.; Hudson, M.M.; et al. Derivation of Anthracycline and Anthraquinone Equivalence Ratios to Doxorubicin for Late-Onset Cardiotoxicity. JAMA Oncol. 2019, 5, 864–871. [Google Scholar] [CrossRef] [PubMed]
- Mitchell, C.; Rahko, P.S.; Blauwet, L.A.; Canaday, B.; Finstuen, J.A.; Foster, M.C.; Horton, K.; Ogunyankin, K.O.; Palma, R.A.; Velazquez, E.J. Guidelines for Performing a Comprehensive Transthoracic Echocardiographic Examination in Adults: Recommendations from the American Society of Echocardiography. J. Am. Soc. Echocardiogr. 2019, 32, 1–64. [Google Scholar] [CrossRef] [PubMed]
- Lang, R.M.; Badano, L.P.; Mor-Avi, V.; Afilalo, J.; Armstrong, A.; Ernande, L.; Flachskampf, F.A.; Foster, E.; Goldstein, S.A.; Kuznetsova, T.; et al. Recommendations for Cardiac Chamber Quantification by Echocardiography in Adults: An Update from the American Society of Echocardiography and the European Association of Cardiovascular Imaging. J. Am. Soc. Echocardiogr. 2015, 28, 1–39.e14. [Google Scholar] [CrossRef]
- Muraru, D.; Haugaa, K.; Donal, E.; Stankovic, I.; Voigt, J.U.; E Petersen, S.; A Popescu, B.; Marwick, T. Right ventricular longitudinal strain in the clinical routine: A state-of-the-art review. Eur. Heart J. Cardiovasc. Imaging 2022, 23, 898–912. [Google Scholar] [CrossRef]
- Austin, P.C.; Stuart, E.A. Moving towards best practice when using inverse probability of treatment weighting (IPTW) using the propensity score to estimate causal treatment effects in observational studies. Stat. Med. 2015, 34, 3661–3679. [Google Scholar] [CrossRef]
- Austin, P.C. Variance estimation when using inverse probability of treatment weighting (IPTW) with survival analysis. Stat. Med. 2016, 35, 5642–5655. [Google Scholar] [CrossRef]
- Giavarina, D. Understanding Bland Altman analysis. Biochem. Med. 2015, 25, 141–151. [Google Scholar] [CrossRef]
- Lyon, A.R.; López-Fernández, T.; Couch, L.S.; Asteggiano, R.; Aznar, M.C.; Bergler-Klein, J.; Boriani, G.; Cardinale, D.; Cordoba, R.; Cosyns, B.; et al. 2022 ESC Guidelines on cardio-oncology developed in collaboration with the European Hematology Association (EHA), the European Society for Therapeutic Radiology and Oncology (ESTRO) and the International Cardio-Oncology Society (IC-OS). Eur. Heart J. 2022, 43, 4229–4361, Correction in Eur. Heart J. 2023, 44, 1621. [Google Scholar] [CrossRef]
- Amsallem, M.; Mercier, O.; Kobayashi, Y.; Moneghetti, K.; Haddad, F. Forgotten No More: A Focused Update on the Right Ventricle in Cardiovascular Disease. JACC Heart Fail. 2018, 6, 891–903. [Google Scholar] [CrossRef]
- Zhao, R.; Shu, F.; Zhang, C.; Song, F.; Xu, Y.; Guo, Y.; Xue, K.; Lin, J.; Shu, X.; Hsi, D.H.; et al. Early Detection and Prediction of Anthracycline-Induced Right Ventricular Cardiotoxicity by 3-Dimensional Echocardiography. JACC CardioOncology 2020, 2, 13–22. [Google Scholar] [CrossRef] [PubMed]
- Massey, R.J.; Diep, P.P.; Burman, M.M.; Kvaslerud, A.B.; Brinch, L.; Aakhus, S.; Gullestad, L.; Ruud, E.; Beitnes, J.O. Impaired right ventricular function in long-term survivors of allogeneic haematopoietic stem-cell transplantation. Open Heart 2021, 8, e001768. [Google Scholar] [CrossRef]
- Murbraech, K.; Holte, E.; Broch, K.; Smeland, K.B.; Holte, H.; Rösner, A.; Lund, M.B.; Dalen, H.; Kiserud, C.; Aakhus, S. Impaired Right Ventricular Function in Long-Term Lymphoma Survivors. J. Am. Soc. Echocardiogr. 2016, 29, 528–536. [Google Scholar] [CrossRef]
- Tadic, M.; Kersten, J.; Buckert, D.; Rottbauer, W.; Cuspidi, C. Right Ventricle and Radiotherapy: More Questions than Answers. Diagnostics 2023, 13, 164. [Google Scholar] [CrossRef]
- Ylänen, K.; Poutanen, T.; Savikurki-Heikkilä, P.; Rinta-Kiikka, I.; Eerola, A.; Vettenranta, K. Cardiac Magnetic Resonance Imaging in the Evaluation of the Late Effects of Anthracyclines Among Long-Term Survivors of Childhood Cancer. J. Am. Coll. Cardiol. 2013, 61, 1539–1547. [Google Scholar] [CrossRef]
- Keramida, K.; Farmakis, D. Right ventricular involvement in cancer therapy–related cardiotoxicity: The emerging role of strain echocardiography. Heart Fail. Rev. 2021, 26, 1189–1193. [Google Scholar] [CrossRef] [PubMed]
- Sławiński, G.; Hawryszko, M.; Liżewska-Springer, A.; Nabiałek-Trojanowska, I.; Lewicka, E. Global Longitudinal Strain in Cardio-Oncology: A Review. Cancers 2023, 15, 986. [Google Scholar] [CrossRef] [PubMed]
- Armstrong, G.T.; Oeffinger, K.C.; Chen, Y.; Kawashima, T.; Yasui, Y.; Leisenring, W.; Stovall, M.; Chow, E.J.; Sklar, C.A.; Mulrooney, D.A.; et al. Modifiable Risk Factors and Major Cardiac Events Among Adult Survivors of Childhood Cancer. J. Clin. Oncol. 2013, 31, 3673–3680. [Google Scholar] [CrossRef]
- Lubas, M.M.; Wang, M.; Jefferies, J.L.; Ness, K.K.; Ehrhardt, M.J.; Krull, K.R.; Mulrooney, D.A.; Srivastava, D.K.; Howell, R.M.; Robison, L.L.; et al. The Contribution of Stress and Distress to Cardiovascular Health in Adult Survivors of Childhood Cancer. Cancer Epidemiol. Biomark. Prev. 2021, 30, 286–294. [Google Scholar] [CrossRef]




| CLSs (n = 90) | Control Group (n = 58) | p-Value | |
|---|---|---|---|
| Clinical characteristics | |||
| Age at diagnosis (years) | 4 (3–7) | - | - |
| Age at exam (years) | 24.6 ± 9.7 | 23.6 ± 10.8 | 0.593 |
| Time since diagnosis (years) | 18 (11–26) | - | - |
| Sex (% female) | 34 (37.8%) | 34 (58.6%) | 0.018 |
| Weight (kg) | 64.8 ± 18.3 | 61.9 ± 17.2 | 0.333 |
| Height (cm) | 165.6 ± 13.3 | 164.2 ± 13.8 | 0.539 |
| Body mass index (kg/m2) | 23.3 ± 5.1 | 22.6 ± 4.4 | 0.346 |
| Body surface area (m2) | 1.7 ± 0.3 | 1.7 ± 0.3 | 0.366 |
| Systolic blood pressure (mmHg) | 116.2 ± 11.3 | 115.6 ± 11.1 | 0.768 |
| Diastolic blood pressure (mmHg) | 69.6 ± 7.9 | 69.4 ± 7.9 | 0.908 |
| Heart rate (bpm) | 72.5 ± 11.1 | 71.7 ± 11.5 | 0.646 |
| Current smoker (%) | 14 (15.6%) | 1 (1.7%) | 0.005 |
| Hypertension (%) | 3 (3.3%) | 0 (0.0%) | 0.280 |
| Hypercholesterolemia (%) | 12 (13.3%) | 4 (6.9%) | 0.283 |
| Diabetes mellitus (%) | 4 (4.4%) | 1 (1.7%) | 0.649 |
| Obesity | 9 (10.0%) | 7 (12.1%) | 0.901 |
| Sedentarism (%) | 37 (41.1%) | 20 (34.5%) | 0.525 |
| Cardiotoxic therapies | |||
| Anthracycline dose (mg/m2) | 138 (72–192) | - | - |
| Radiotherapy (%) | 3 (3.3%) | - | - |
| ESC guidelines risk category | |||
| Low risk | 23 (25.6%) | ||
| Moderate risk | 61 (67.7%) | ||
| High risk | 3 (3.3%) | ||
| Very high risk | 3 (3.3%) |
| CLSs (n = 90) | Control Group (n = 58) | p-Value | IPW Beta (RSE) | PIPW-Adjusted | |
|---|---|---|---|---|---|
| Right ventricle | |||||
| End-diastolic area (cm2) | 16.5 ± 4.0 | 17.4 ± 3.9 | 0.185 | −1.43 (0.69) | 0.042 |
| End-systolic area (cm2) | 8.1 ± 3.1 | 8.7 ± 2.9 | 0.277 | −0.94 (0.52) | 0.071 |
| Fractional area change (%) | 52.0 ± 9.3 | 51.2 ± 6.9 | 0.570 | 1.45 (1.38) | 0.293 |
| TAPSE (mm) | 23.3 ± 4.0 | 25.2 ± 3.4 | 0.004 | 2.08 (0.64) | 0.001 |
| S’ DTI (cm/s) | 13.8 ± 2.4 | 14.4 ± 2.6 | 0.196 | 0.73 (0.49) | 0.136 |
| RVFWS (-%) | 24.9 ± 4.6 | 26.8 ± 4.7 | 0.032 | 1.92 (0.85) | 0.025 |
| RV4CS (-%) | 21.7 ± 3.3 | 23.1 ± 3.4 | 0.017 | 1.57 (0.64) | 0.016 |
| RV-RA gradient (mmHg) | 19.2 ± 4.9 | 16.1 ± 3.9 | 0.024 | 3.15 (1.39) | 0.027 |
| Left ventricle | |||||
| LVDD (mm) | 45.6 ± 6.8 | 44.9 ± 6.1 | 0.595 | 0.09 (1.14) | 0.935 |
| LVSD (mm) | 28.9 ± 6.0 | 26.2 ± 4.6 | 0.005 | 2.27 (0.92) | 0.015 |
| IVS (mm) | 7.6 ± 1.5 | 7.7 ± 1.3 | 0.824 | 0.17 (0.23) | 0.457 |
| LVEF 2D (%) | 56.2 ± 5.8 | 62.4 ± 5.5 | <0.001 | 5.45 (0.95) | <0.001 |
| GLS (-%) | 20.4 ± 2.8 | 22.9 ± 2.3 | <0.001 | 2.28 (0.45) | <0.001 |
| Univariable | Multivariable | |||||
|---|---|---|---|---|---|---|
| Beta | 95% CI | p-Value | Beta | 95% CI | p-Value | |
| Sex (female) | 1.76 | 0.05 to 3.48 | 0.044 | 1.41 | −0.28 to 3.03 | 0.102 |
| Age at diagnosis (years) | 0.02 | −0.16 to 0.21 | 0.815 | |||
| Age at exam (years) | 0.09 | 0.00 to 0.17 | 0.042 | 0.10 | 0.02 to 0.18 | 0.017 |
| Time since diagnosis (years) | 0.10 | 0.01 to 0.19 | 0.032 | |||
| HR (bpm) | −0.08 | −0.157 to −0.01 | 0.029 | |||
| SBP (mmHg) | −0.02 | −0.09 to 0.06 | 0.634 | |||
| DBP (mmHg) | 0.01 | −0.09 to 0.12 | 0.808 | |||
| Hypertension | 3.36 | −1.27 to 7.99 | 0.153 | |||
| Hypercholesterolemia | 0.65 | −1.82 to 3.13 | 0.602 | |||
| Diabetes mellitus | −0.73 | −4.81 to 3.35 | 0.723 | |||
| Obesity | 1.04 | −1.76 to 3.84 | 0.462 | |||
| Sedentarism | −0.08 | −1.80 to 1.65 | 0.928 | |||
| Current smoker | −0.93 | −3.25 to 1.38 | 0.425 | |||
| Anthracycline dose | −0.01 | −0.02 to 0.01 | 0.239 | |||
| Radiotherapy | −4.02 | −8.63 to 0.58 | 0.086 | |||
| HSCT | −2.42 | −4.52 to −0.33 | 0.024 | −2.72 | −4.70 to −0.65 | 0.010 |
| Univariable | Multivariable | |||||
|---|---|---|---|---|---|---|
| Beta | 95% CI | p-Value | Beta | 95% CI | p-Value | |
| Sex (female) | −0.43 | −4.47 to 3.62 | 0.835 | −0.38 | −4.66 to 3.89 | 0.856 |
| Age at diagnosis (years) | 0.05 | −0.38 to 0.483 | 0.811 | |||
| Age at exam (years) | −0.02 | −0.23 to 0.178 | 0.818 | 0.01 | −0.22 to 0.23 | 0.961 |
| Time since diagnosis (years) | −0.05 | −0.27 to 0.180 | 0.690 | |||
| HR (bpm) | 0.04 | −0.14 to 0.219 | 0.645 | |||
| SBP (mmHg) | 0.10 | −0.07 to 0.273 | 0.254 | |||
| DBP (mmHg) | −0.05 | −0.29 to 0.197 | 0.687 | |||
| Hypertension | −8.70 | −19.51 to 2.08 | 0.112 | |||
| Hypercholesterolemia | −0.86 | −6.63 to 4.91 | 0.768 | |||
| Diabetes mellitus | −9.71 | −19.04 to −0.42 | 0.041 | −9.34 | −20.35 to 0.93 | 0.074 |
| Obesity | −3.70 | −10.2 to 2.79 | 0.261 | −2.57 | −9.51 to 4.49 | 0.470 |
| Sedentarism | 0.04 | −3.95 to 4.03 | 0.984 | |||
| Current smoker | 3.51 | −1.85 to 8.87 | 0.197 | 3.28 | −2.54 to 8.92 | 0.264 |
| Anthracycline dose | 0.01 | −0.02 to 0.04 | 0.378 | 0.02 | −0.01 to 0.05 | 0.248 |
| Radiotherapy | −3.78 | −14.72 to 7.12 | 0.493 | −2.12 | −14.12 to 9.43 | 0.723 |
| HSCT | −2.79 | −7.77 to 2.18 | 0.267 | |||
| Univariable | Multivariable | |||||
|---|---|---|---|---|---|---|
| Beta | 95% CI | p-Value | Beta | 95% CI | p-Value | |
| Sex (female) | −0.13 | −2.23 to 1.97 | 0.900 | 0.40 | −1.70 to 2.50 | 0.703 |
| Age at diagnosis (years) | −0.05 | −0.29 to 0.20 | 0.710 | |||
| Age at exam (years) | −0.07 | −0.17 to 0.04 | 0.223 | 0.01 | −0.10 to 0.12 | 0.831 |
| Time since diagnosis (years) | −0.07 | −0.19 to 0.05 | 0.257 | |||
| HR (bpm) | −0.04 | −0.13 to 0.05 | 0.363 | |||
| SBP (mmHg) | 0.00 | −0.09 to 0.09 | 0.940 | |||
| DBP (mmHg) | 0.09 | −0.05 to 0.22 | 0.196 | |||
| Hypertension | −1.18 | −7.76 to 5.40 | 0.722 | |||
| Hypercholesterolemia | −1.16 | −4.13 to 1.82 | 0.441 | |||
| Diabetes mellitus | 1.39 | −5.19 to 7.96 | 0.676 | |||
| Obesity | −5.09 | −9.18 to −1.00 | 0.015 | −5.12 | −9.41 to −0.76 | 0.022 |
| Sedentarism | −2.46 | −4.46 to −0.45 | 0.017 | |||
| Current smoker | −3.25 | −5.85 to −0.64 | 0.015 | −3.17 | −5.80 to −0.34 | 0.028 |
| Anthracycline dose | −0.01 | −0.02 to 0.01 | 0.527 | −0.01 | −0.02 to 0.01 | 0.312 |
| Radiotherapy | −2.70 | −8.07 to 2.68 | 0.321 | −3.01 | −8.32 to 2.33 | 0.264 |
| HSCT | −1.73 | −4.26 to 0.81 | 0.179 | |||
Disclaimer/Publisher’s Note: The statements, opinions and data contained in all publications are solely those of the individual author(s) and contributor(s) and not of MDPI and/or the editor(s). MDPI and/or the editor(s) disclaim responsibility for any injury to people or property resulting from any ideas, methods, instructions or products referred to in the content. |
© 2023 by the authors. Licensee MDPI, Basel, Switzerland. This article is an open access article distributed under the terms and conditions of the Creative Commons Attribution (CC BY) license (https://creativecommons.org/licenses/by/4.0/).
Share and Cite
Heredia, G.; Gonzalez-Manzanares, R.; Ojeda, S.; Molina, J.R.; Fernandez-Aviles, C.; Hidalgo, F.; Lopez-Aguilera, J.; Crespin, M.; Mesa, D.; Anguita, M.; et al. Right Ventricular Function in Long-Term Survivors of Childhood Acute Lymphoblastic Leukemia: From the CTOXALL Study. Cancers 2023, 15, 5158. https://doi.org/10.3390/cancers15215158
Heredia G, Gonzalez-Manzanares R, Ojeda S, Molina JR, Fernandez-Aviles C, Hidalgo F, Lopez-Aguilera J, Crespin M, Mesa D, Anguita M, et al. Right Ventricular Function in Long-Term Survivors of Childhood Acute Lymphoblastic Leukemia: From the CTOXALL Study. Cancers. 2023; 15(21):5158. https://doi.org/10.3390/cancers15215158
Chicago/Turabian StyleHeredia, Gloria, Rafael Gonzalez-Manzanares, Soledad Ojeda, Jose R. Molina, Consuelo Fernandez-Aviles, Francisco Hidalgo, Jose Lopez-Aguilera, Manuel Crespin, Dolores Mesa, Manuel Anguita, and et al. 2023. "Right Ventricular Function in Long-Term Survivors of Childhood Acute Lymphoblastic Leukemia: From the CTOXALL Study" Cancers 15, no. 21: 5158. https://doi.org/10.3390/cancers15215158
APA StyleHeredia, G., Gonzalez-Manzanares, R., Ojeda, S., Molina, J. R., Fernandez-Aviles, C., Hidalgo, F., Lopez-Aguilera, J., Crespin, M., Mesa, D., Anguita, M., Castillo, J. C., & Pan, M. (2023). Right Ventricular Function in Long-Term Survivors of Childhood Acute Lymphoblastic Leukemia: From the CTOXALL Study. Cancers, 15(21), 5158. https://doi.org/10.3390/cancers15215158

