Paving the Path for Immune Enhancing Nutrition in Colon Cancer: Modulation of Tumor Microenvironment and Optimization of Outcomes and Costs
Abstract
Simple Summary
Abstract
1. Introduction
2. Materials and Methods
2.1. Design of the Study
2.2. Nutrition
2.3. Endoscopy, Surgery, Histology and Immunohistochemistry Studies
2.4. Cost-Benefit Analysis
2.5. Statistical Analysis
3. Results
3.1. Demographic Data
3.2. Effect of Immunonutrition on Clinical Outcomes
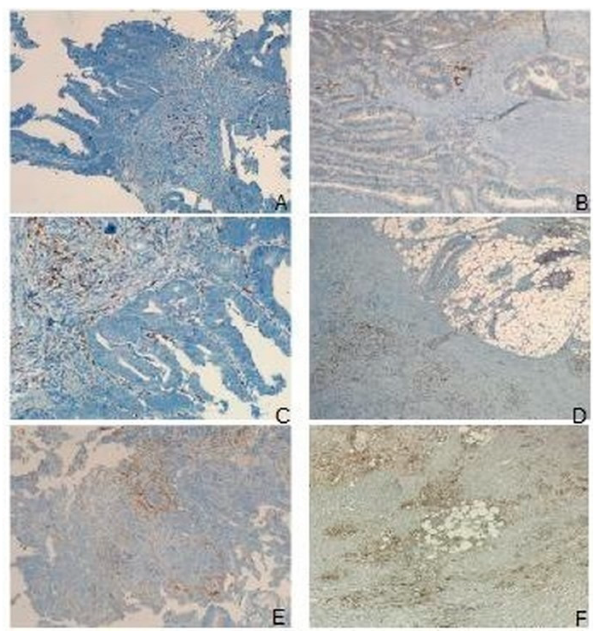
3.3. Tumor Microenvironment
3.4. Cost-Effectiveness Analysis
4. Discussion
5. Conclusions
Author Contributions
Funding
Institutional Review Board Statement
Informed Consent Statement
Data Availability Statement
Conflicts of Interest
References
- IARC. WHO Classification of Tumors. Digestive System Tumours, 5th ed.; WHO—OMS; WHO: Lyon, France, 2019; Volume 1.
- Sung, H.; Ferlay, J.; Siegel, R.L.; Laversanne, M.; Soerjomataram, I.; Jemal, A.; Bray, F. Global Cancer Statistics 2020: GLOBOCAN Estimates of Incidence and Mortality Worldwide for 36 Cancers in 185 Countries. CA Cancer J. Clin. 2021, 71, 209–249. [Google Scholar] [CrossRef]
- Perotti, B.; D’Ignazio, A.; Fratini, G.; Petrelli, F.; Spagnoli, L.; Sabattini, E.; Rossi, M.; Cavazzana, A.; Arganini, M.; Ambrosio, M.R. Comparison of Survival Analysis after Surgery for Colorectal Cancer in above 80 Years (Oldest-Old) and below 80 Years Old Patients. Indian J. Surg. 2022, in press. [Google Scholar] [CrossRef]
- Benson, A.B.; Venook, A.P.; Al-Hawary, M.M.; Arain, M.A.; Chen, Y.J.; Ciombor, K.K.; Cohen, S.; Cooper, H.S.; Deming, D.; Farkas, L.; et al. Colon cancer, Version 2.2021. J. Natl. Compr. Cancer Netw. 2021, 19, 329–359. [Google Scholar] [CrossRef] [PubMed]
- Benson, A.B.; Venook, A.P.; Al-Hawary, M.M.; Arain, M.A.; Chen, Y.J.; Ciombor, K.K.; Cohen, S.; Cooper, H.S.; Deming, D.; Garrido-Laguna, I.; et al. NCCN Guidelines Insights: Rectal Cancer, Version 6.2020. J. Natl. Compr. Cancer Netw. 2020, 18, 806–815. [Google Scholar] [CrossRef] [PubMed]
- Vecchione, L.; Stintzing, S.; Pentheroudakis, G.; Douillard, J.Y.; Lordick, F. ESMO management and treatment adapted recommendations in the COVID-19 era: Colorectal cancer. ESMO Open 2020, 5 (Suppl. S3), e000826. [Google Scholar] [CrossRef]
- Argilés, G.; Tabernero, J.; Labianca, R.; Hochhauser, D.; Salazar, R.; Iveson, T.; Laurent-Puig, P.; Quirke, P.; Yoshino, T.; Taieb, J.; et al. Localised colon cancer: ESMO Clinical Practice Guidelines for diagnosis, treatment and follow-up. Ann. Oncol. 2020, 31, 1291–1305. [Google Scholar] [CrossRef]
- Yang, T.; Yan, X.; Cao, Y.; Bao, T.; Li, G.; Gu, S.; Xiong, K.; Xiao, T. Meta-analysis of Glutamine on Immune Function and Post-Operative Complications of Patients with Colorectal Cancer. Front. Nutr. 2021, 8, 765809. [Google Scholar] [CrossRef] [PubMed]
- Klek, S.; Szybinski, P.; Szczepanek, K. Perioperative immunonutrition in surgical cancer patients: A summary of a decade of research. World J. Surg. 2014, 38, 803–812. [Google Scholar] [CrossRef]
- Hiramatsu, K.; Shindoh, J.; Hanaoka, Y.; Toda, S.; Ueno, M.; Matoba, S.; Kuroyanagi, H. Postoperative Nutritional Status is Predictive of the Survival Outcomes in Patients Undergoing Resection of Stage III Colorectal Cancer. World J. Surg. 2021, 45, 3198–3205. [Google Scholar] [CrossRef]
- Wierdak, M.; Surmiak, M.; Milian-Ciesielska, K.; Rubinkiewicz, M.; Rzepa, A.; Wysocki, M.; Major, P.; Kłęk, S.; Pędziwiatr, M. Immunonutrition Changes Inflammatory Response in Colorectal Cancer: Results from a Pilot Randomized Clinical Trial. Cancers 2021, 13, 1444. [Google Scholar] [CrossRef]
- Tanaka, T.; Sato, T.; Yamashita, K.; Hosoda, K.; Nakamura, T.; Watanabe, M. Effect of Preoperative Nutritional Status on Surgical Site Infection in Colorectal Cancer Resection. Dig. Surg. 2017, 34, 68–77. [Google Scholar] [CrossRef] [PubMed]
- Gallardo-Valverde, J.M.; Calañas-Continente, A.; Baena-Delgado, E.; Zurera-Tendero, L.; Vázquez-Martínez, C.; Membrives-Obrero, A.; Muntané, J.; Arévalo-Jiménez, E. Obstruction in patients with colorectal cancer increases morbidity and mortality in association with altered nutritional status. Nutr. Cancer 2005, 53, 169–176. [Google Scholar] [CrossRef] [PubMed]
- Karin, M.; Bogut, A.; Hojsak, I.; Babić, E.; Volarić, M.; Bevanda, M. Nutritional status and its effect on complications in patients with colorectal cancer. Wien. Klin. Wochenschr. 2020, 132, 431–437. [Google Scholar] [CrossRef] [PubMed]
- Williams, D.G.A.; Ohnuma, T.; Krishnamoorthy, V.; Raghunathan, K.; Sulo, S.; Cassady, B.A.; Hegazi, R.; Wischmeyer, P.E. Impact of early postoperative oral nutritional supplement utilization on clinical outcomes in colorectal surgery. Perioper. Med. 2020, 9, 29. [Google Scholar] [CrossRef]
- Merkow, R.P.; Hall, B.L.; Cohen, M.E.; Dimick, J.B.; Wang, E.; Chow, W.B.; Ko, C.Y.; Bilimoria, K.Y. Relevance of the c-statistic when evaluating risk-adjustment models in surgery. J. Am. Coll. Surg. 2012, 214, 822–830. [Google Scholar] [CrossRef]
- Vonlanthen, R.; Slankamenac, K.; Breitenstein, S.; Puhan, M.A.; Muller, M.K.; Hahnloser, D.; Hauri, D.; Graf, R.; Clavien, P.A. The impact of complications on costs of major surgical procedures: A cost analysis of 1200 patients. Ann. Surg. 2011, 254, 907–913. [Google Scholar] [CrossRef]
- Xu, J.; Sun, X.; Xin, Q.; Cheng, Y.; Zhan, Z.; Zhang, J.; Wu, J. Effect of immunonutrition on colorectal cancer patients undergoing surgery: A meta-analysis. Int. J. Colorectal Dis. 2018, 33, 273–283. [Google Scholar] [CrossRef]
- Alexander, J.W. Immunonutrition: The role of omega-3 fatty acids. Nutrition 1998, 14, 627–633. [Google Scholar] [CrossRef]
- Arends, J.; Bachmann, P.; Baracos, V.; Barthelemy, N.; Bertz, H.; Bozzetti, F.; Fearon, K.; Hütterer, E.; Isenring, E.; Kaasa, S.; et al. ESPEN guidelines on nutrition in cancer patients. Clin. Nutr. 2017, 36, 11–48. [Google Scholar] [CrossRef]
- Glatzle, J.; Kasparek, M.S.; Mueller, M.H.; Binder, F.; Meile, T.; Kreis, M.E.; Konigsrainer, A.; Steurer, W. Enteral immunonutrition during sepsis prevents pulmonary dysfunction in a rat model. J. Gastrointest. Surg. 2007, 11, 719–724. [Google Scholar] [CrossRef]
- Wong, C.S.; Aly, E.H. The effects of enteral immunonutrition in upper gastrointestinal surgery: A systematic review and meta-analysis. Int. J. Surg. 2016, 29, 137–150. [Google Scholar] [CrossRef] [PubMed]
- Zhang, Y.; Gu, Y.; Guo, T.; Li, Y.; Cai, H. Perioperative immunonutrition for gastrointestinal cancer: A systematic review of randomized controlled trials. Surg. Oncol. 2012, 21, e87–e95. [Google Scholar] [CrossRef] [PubMed]
- Sánchez-Guillén, L.; Arroyo, A. Immunonutrition in patients with colon cancer. Immunotherapy 2020, 12, 5–8. [Google Scholar] [CrossRef] [PubMed]
- Soldati, L.; Di Renzo, L.; Jirillo, E.; Ascierto, P.A.; Marincola, F.M.; De Lorenzo, A. The influence of diet on anti-cancer immune responsiveness. J. Transl. Med. 2018, 16, 75. [Google Scholar] [CrossRef]
- Arends, J.; Baracos, V.; Bertz, H.; Bozzetti, F.; Calder, P.C.; Deutz, N.E.P.; Erickson, N.; Laviano, A.; Lisanti, M.P.; Lobo, D.N.; et al. ESPEN expert group recommendations for action against cancer-related malnutrition. Clin. Nutr. 2017, 36, 1187–1196. [Google Scholar] [CrossRef]
- Ljungqvist, O.; Scott, M.; Fearon, K.C. Enhanced Recovery after Surgery: A Review. JAMA Surg. 2017, 152, 292–298. [Google Scholar] [CrossRef]
- Braga, M. Perioperative immunonutrition and gut function. Curr. Opin. Clin. Nutr. Metab. Care 2012, 15, 485–488. [Google Scholar] [CrossRef]
- Klek, S.; Kulig, J.; Sierzega, M.; Szybiński, P.; Scislo, L.; Walewska, E.; Kubisz, A.; Szczepanik, A.M. Standard and immunomodulating enteral nutrition in patients after extended gastrointestinal surgery—A prospective, randomized, controlled clinical trial. Clin. Nutr. 2008, 27, 504–512. [Google Scholar] [CrossRef]
- Klek, S.; Kulig, J.; Sierzega, M.; Szybinski, P.; Szczepanek, K.; Kubisz, A.; Kowalczyk, T.; Gach, T.; Pach, R.; Szczepanik, A.M. The impact of immunostimulating nutrition on infectious complications after upper gastrointestinal surgery: A prospective, randomized, clinical trial. Ann. Surg. 2008, 248, 212–220. [Google Scholar] [CrossRef]
- Senkal, M.; Zumtobel, V.; Bauer, K.H.; Marpe, B.; Wolfram, G.; Frei, A.; Eickhoff, U.; Kemen, M. Outcome and cost-effectiveness of perioperative enteral immunonutrition in patients undergoing elective upper gastrointestinal tract surgery: A prospective randomized study. Arch. Surg. 1999, 134, 1309–1316. [Google Scholar] [CrossRef]
- Lobo, D.N.; Williams, R.N.; Welch, N.T.; Aloysius, M.M.; Nunes, Q.M.; Padmanabhan, J.; Crowe, J.R.; Iftikhar, S.Y.; Parsons, S.L.; Neal, K.R.; et al. Early postoperative jejunostomy feeding with an immune modulating diet in patients undergoing resectional surgery for upper gastrointestinal cancer: A prospective, randomized, controlled, double-blind study. Clin. Nutr. 2006, 25, 716–726. [Google Scholar] [CrossRef] [PubMed]
- Adiamah, A.; Skořepa, P.; Weimann, A.; Lobo, D.N. The Impact of Preoperative Immune Modulating Nutrition on Outcomes in Patients Undergoing Surgery for Gastrointestinal Cancer: A Systematic Review and Meta-analysis. Ann. Surg. 2019, 270, 247–256. [Google Scholar] [CrossRef] [PubMed]
- Cerantola, Y.; Hübner, M.; Grass, F.; Demartines, N.; Schäfer, M. Immunonutrition in gastrointestinal surgery. Br. J. Surg. 2011, 98, 37–48. [Google Scholar] [CrossRef] [PubMed]
- Marimuthu, K.; Varadhan, K.K.; Ljungqvist, O.; Lobo, D.N. A meta-analysis of the effect of combinations of immune modulating nutrients on outcome in patients undergoing major open gastrointestinal surgery. Ann. Surg. 2012, 255, 1060–1068. [Google Scholar] [CrossRef]
- Hegazi, R.A.; Hustead, D.S.; Evans, D.C. Preoperative standard oral nutrition supplements vs. immunonutrition: Results of a systematic review and meta-analysis. J. Am. Coll. Surg. 2014, 219, 1078–1087. [Google Scholar] [CrossRef] [PubMed]
- D’Ignazio, A.; Kabata, P.; Ambrosio, M.R.; Polom, K.; Marano, L.; Spagnoli, L.; Ongaro, A.; Pieretti, L.; Marrelli, D.; Biviano, I.; et al. Preoperative oral immunonutrition in gastrointestinal surgical patients: How the tumour microenvironment can be modified. Clin. Nutr. ESPEN 2020, 38, 153–159. [Google Scholar] [CrossRef]
- Cederholm, T.; Jensen, G.L.; Correia, M.I.T.D.; Gonzalez, M.C.; Fukushima, R.; Higashiguchi, T.; Baptista, G.; Barazzoni, R.; Blaauw, R.; Coats, A.; et al. GLIM criteria for the diagnosis of malnutrition—A consensus report from the global clinical nutrition community. Clin. Nutr. 2019, 38, 32–40. [Google Scholar] [CrossRef]
- Whitmore, R.G.; Stephen, J.H.; Vernick, C.; Campbell, P.G.; Yadla, S.; Ghobrial, G.M.; Maltenfort, M.G.; Ratliff, J.K. ASA grade and Charlson Comorbidity Index of spinal surgery patients: Correlation with complications and societal costs. Spine J. 2014, 14, 31–38. [Google Scholar] [CrossRef]
- Caglayan, K.; Oner, I.; Gunerhan, Y.; Ata, P.; Koksal, N.; Ozkara, S. The impact of preoperative immunonutrition and other nutrition models on tumor infiltrative lymphocytes in colorectal cancer patients. Am. J. Surg. 2012, 204, 416–421. [Google Scholar] [CrossRef]
- Anderson, N.M.; Simon, M.C. The tumor microenvironment. Curr. Biol. 2020, 30, R921–R925. [Google Scholar] [CrossRef]
- Stechmiller, J.K. Understanding the role of nutrition and wound healing. Nutr. Clin. Pract. 2010, 25, 61–68. [Google Scholar] [CrossRef] [PubMed]
- Zadka, Ł.; Grybowski, D.J.; Dzięgiel, P. Modeling of the immune response in the pathogenesis of solid tumors and its prognostic significance. Cell Oncol. 2020, 43, 539–575. [Google Scholar] [CrossRef] [PubMed]
- 2017 European Society of Coloproctology (ESCP) Collaborating Group. Safety of primary anastomosis following emergency left sided colorectal resection: An international, multi-centre prospective audit. Colorectal Dis. 2018, 20 (Suppl. S6), 47–57. [Google Scholar] [CrossRef] [PubMed]
- Kabata, P.; Jastrzębski, T.; Kąkol, M.; Król, K.; Bobowicz, M.; Kosowska, A.; Jaśkiewicz, J. Preoperative nutritional support in cancer patients with no clinical signs of malnutrition—Prospective randomized controlled trial. Support. Care Cancer 2015, 23, 365–370. [Google Scholar] [CrossRef]
- Mabvuure, N.T.; Roman, A.; Khan, O.A. Enteral immunonutrition vs. standard enteral nutrition for patients undergoing oesophagogastric resection for cancer. Int. J. Surg. 2013, 11, 122–127. [Google Scholar] [CrossRef]
- Pan, X.; Ji, X.; Zhang, R.; Zhou, Z.; Zhong, Y.; Peng, W.; Sun, N.; Xu, X.; Xia, L.; Li, P.; et al. Landscape of somatic mutations in gastric cancer assessed using next-generation sequencing analysis. Oncol. Lett. 2018, 16, 4863–4870. [Google Scholar] [CrossRef]
- Oh, S.C.; Sohn, B.H.; Cheong, J.H.; Kim, S.B.; Lee, J.E.; Park, K.C.; Lee, S.H.; Park, J.L.; Park, Y.Y.; Lee, H.S.; et al. Clinical and genomic landscape of gastric cancer with a mesenchymal phenotype. Nat. Commun. 2018, 9, 1777. [Google Scholar] [CrossRef]
- Gullo, I.; Carvalho, J.; Martins, D.; Lemos, D.; Monteiro, A.R.; Ferreira, M.; Das, K.; Tan, P.; Oliveira, C.; Carneiro, F.; et al. The Transcriptomic Landscape of Gastric Cancer: Insights into Epstein-Barr Virus Infected and Microsatellite Unstable Tumors. Int. J. Mol. Sci. 2018, 19, 2079. [Google Scholar] [CrossRef]
- Gül, M.O.; Akyüz, C.; Özkara, S. The effect of immunonutrition on tumor infiltrative T lymphocytes and regulatory T cells in rectal tumor patients receiving neoadjuvant chemoradiotherapy: A prospective randomized clinical study. Turk J. Med. Sci. 2022, 52, 1058–1066. [Google Scholar] [CrossRef]
- Scarpa, M.; Brun, P.; Scarpa, M.; Morgan, S.; Porzionato, A.; Kotsafti, A.; Bortolami, M.; Buda, A.; D’Incà, R.; Macchi, V.; et al. CD80-CD28 signaling controls the progression of inflammatory colorectal carcinogenesis. Oncotarget 2015, 6, 20058–20069. [Google Scholar] [CrossRef]
- Çehreli, R. Moleculer nutritional immunology and cancer. J. Oncol. Sci. 2018, 4, 40–46. [Google Scholar] [CrossRef]
- OECD. Value for Money in Health Spending; OECD Health Policy Studies; OECD Publishing: Paris, France, 2010; 200p, ISBN 978-92-64-08880-1/978-92-64-08881-8. [Google Scholar]
- Chevrou-Séverac, H.; Pinget, C.; Cerantola, Y.; Demartines, N.; Wasserfallen, J.B.; Schäfer, M. Cost-effectiveness analysis of immune-modulating nutritional support for gastrointestinal cancer patients. Clin. Nutr. 2014, 33, 649–654. [Google Scholar] [CrossRef]






| Clinico-Pathologic Features | No Immunonutrition (n = 50) | Immunonutrition (n = 50) | p Value |
|---|---|---|---|
| Mean age and range (years) | 63 (33–89) | 69 (45–93) | 0.7231 |
| Gender (n., %) | M 24 (48%) F 26 (52%) | M 23 (47%) F 27 (53%) | 0.9587 |
| ASA (n., %) II III IV | 13 (26%) 35 (70%) 2 (4%) | 16 (28%) 33 (70%) 1 (2%) | 0.6598 0.8305 0.9235 |
| Comorbidities (n, %) 0–2 3–4 more than 4 | 27 (54%) 17 (34%) 6 (12%) | 33 (66%) 14 (28%) 3 (6%) | 0.7923 0.3734 0.2687 |
| Site (n., %) right colon left colon rectum transverse colon | 29 (58%) 11 (22%) 8 (16%) 2 (4%) | 22 (44%) 14 (28%) 14 (28%) 0 (0%) | 0.2681 0.4884 0.1475 0.4945 |
| Histology | ADK, NOS: 42 (84%) MC: 7 (14%) UC: 1 (2%) | ADK, NOS: 40 (80%) MC: 6 (12%) UC: 4 (8%) | 0.3567 0.5246 0.8235 |
| Stage | I: 10 (20%) IIA-B: 24 (48%) IIIA-C: 10 (20%) IVA-B: 6 (12%) | I: 12 (24%) IIA-B: 27 (54%) IIIA-C: 10 (20%) IVA-B: 1 (2%) | 0.8780 0.9350 1 0.06 |
| MMR status | MMR proficient: 43 (86%) MMR deficient: 7 (14%) | MMR proficient: 39 (78%) MMR deficient: 11 (22%) | 0.7858 0.6571 |
| Clinical Outcomes | No Immunonutrition (n = 50) | Immunonutrition (n = 50) | p Value |
|---|---|---|---|
| Complications according to Clavien-Dindo classification (n., %)
| 35 (70%) 5 (10%) 5 (10%) 3 (4%) 2 (4%) 0 (0%) 0 (0%) | 40 (80%) 5 (10%) 2 (4%) 2 (4%) 0 (4%) 0 (0%) 1 (2%) | 0.43 |
| Infective complications (n., %) | 2 (4%) | 0 (0%) | 0.66 |
| Anastomotic leakage (n., %) | 3 (6%) | 2 (4%) | 0.07 |
| LOS (days, mean) | 8 | 6 | 0.04 |
| Readmission (n., %) | 5 (10%) | 2 (4%) | 0.03 |
| 180 days mortality (n., %) | 9 (18%) | 2 (4%) | 0.025 |
| Recurrence (n., %) | 6 (12%) | 1 (2%) | 0.003 |
| Overall Survival (days) | 684.5 ± 381.75 | 1124.3 ± 658.5 | 0.001 |
Disclaimer/Publisher’s Note: The statements, opinions and data contained in all publications are solely those of the individual author(s) and contributor(s) and not of MDPI and/or the editor(s). MDPI and/or the editor(s) disclaim responsibility for any injury to people or property resulting from any ideas, methods, instructions or products referred to in the content. |
© 2023 by the authors. Licensee MDPI, Basel, Switzerland. This article is an open access article distributed under the terms and conditions of the Creative Commons Attribution (CC BY) license (https://creativecommons.org/licenses/by/4.0/).
Share and Cite
Ambrosio, M.R.; Spagnoli, L.; Perotti, B.; Petrelli, F.; Caini, S.; Saieva, C.; Usai, S.; Bianchini, M.; Cavazzana, A.; Arganini, M.; et al. Paving the Path for Immune Enhancing Nutrition in Colon Cancer: Modulation of Tumor Microenvironment and Optimization of Outcomes and Costs. Cancers 2023, 15, 437. https://doi.org/10.3390/cancers15020437
Ambrosio MR, Spagnoli L, Perotti B, Petrelli F, Caini S, Saieva C, Usai S, Bianchini M, Cavazzana A, Arganini M, et al. Paving the Path for Immune Enhancing Nutrition in Colon Cancer: Modulation of Tumor Microenvironment and Optimization of Outcomes and Costs. Cancers. 2023; 15(2):437. https://doi.org/10.3390/cancers15020437
Chicago/Turabian StyleAmbrosio, Maria Raffaella, Luigi Spagnoli, Bruno Perotti, Federica Petrelli, Saverio Caini, Calogero Saieva, Sofia Usai, Matteo Bianchini, Andrea Cavazzana, Marco Arganini, and et al. 2023. "Paving the Path for Immune Enhancing Nutrition in Colon Cancer: Modulation of Tumor Microenvironment and Optimization of Outcomes and Costs" Cancers 15, no. 2: 437. https://doi.org/10.3390/cancers15020437
APA StyleAmbrosio, M. R., Spagnoli, L., Perotti, B., Petrelli, F., Caini, S., Saieva, C., Usai, S., Bianchini, M., Cavazzana, A., Arganini, M., & Amorosi, A. (2023). Paving the Path for Immune Enhancing Nutrition in Colon Cancer: Modulation of Tumor Microenvironment and Optimization of Outcomes and Costs. Cancers, 15(2), 437. https://doi.org/10.3390/cancers15020437

