MRI-Guided Salvage Focal Cryoablation: A 10-Year Single-Center Experience in 114 Patients with Localized Recurrent Prostate Cancer
Abstract
Simple Summary
Abstract
1. Introduction
2. Materials and Methods
2.1. Patient Selection and Characteristics
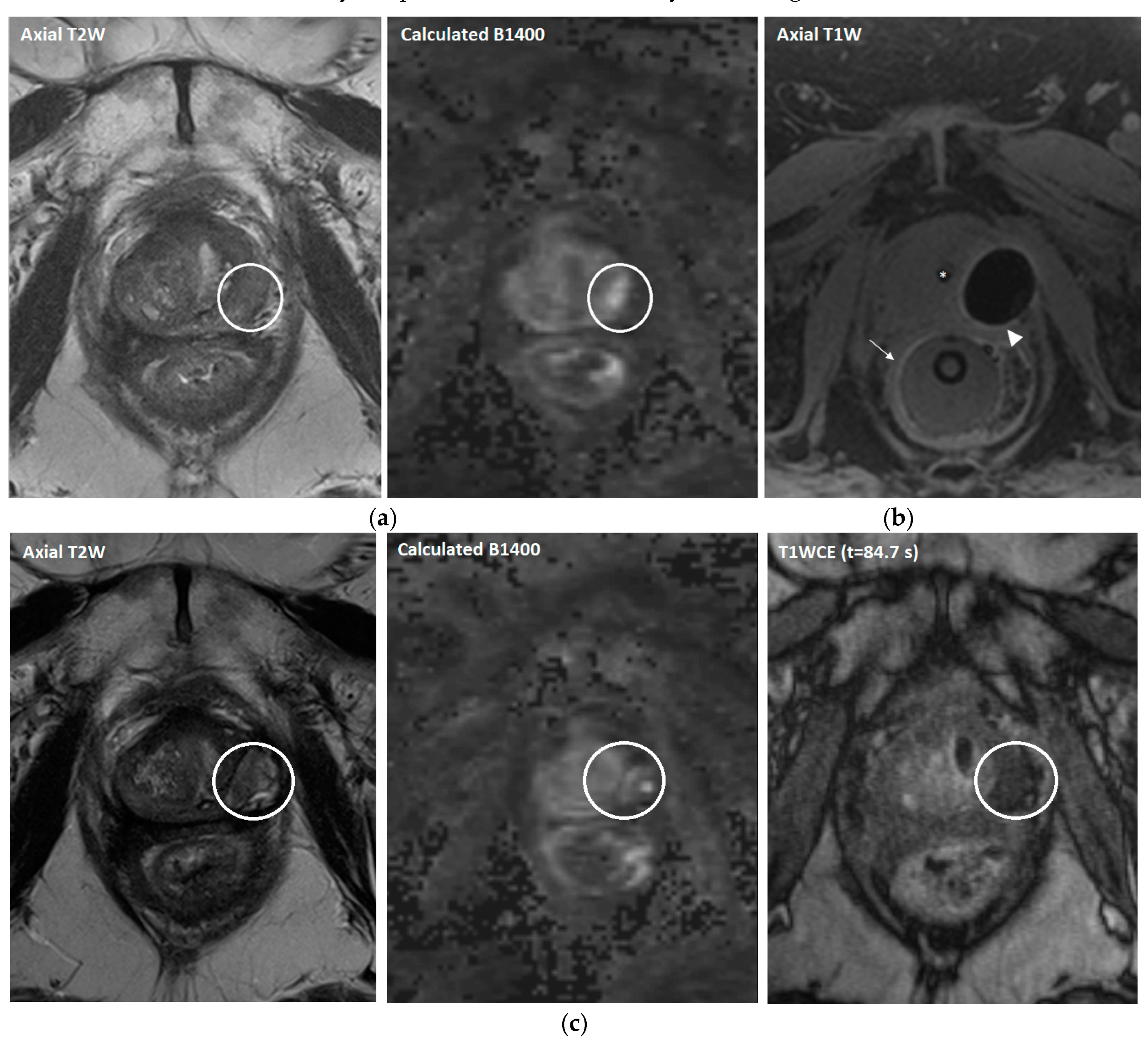
2.2. Treatment Procedures and Follow-Up
2.3. Outcomes
2.4. Statistical Analysis
3. Results
3.1. Patient, Tumor and Treatment Characteristics
3.2. Oncological Outcomes
3.2.1. Recurrence- and Treatment-Free Survival
3.2.2. Biochemical Disease-Free and Overall Survival
3.2.3. Post-Treatment Follow-up
3.3. Procedural Safety and Complications
4. Discussion
5. Conclusions
Supplementary Materials
Author Contributions
Funding
Institutional Review Board Statement
Informed Consent Statement
Data Availability Statement
Conflicts of Interest
References
- Cornford, P.; van den Bergh, R.C.N.; Briers, E.; Van den Broeck, T.; Cumberbatch, M.G.; De Santis, M.; Fanti, S.; Fossati, N.; Gandaglia, G.; Gillessen, S.; et al. EAU-EANM-ESTRO-ESUR-SIOG Guidelines on Prostate Cancer. Part II-2020 Update: Treatment of Relapsing and Metastatic Prostate Cancer. Eur. Urol. 2021, 79, 263–282. [Google Scholar] [CrossRef]
- Pisansky, T.M.; Thompson, I.M.; Valicenti, R.K.; D’Amico, A.V.; Selvarajah, S. Adjuvant and Salvage Radiotherapy after Prostatectomy: ASTRO/AUA Guideline Amendment 2018–2019. J. Urol. 2019, 202, 533–538. [Google Scholar] [CrossRef]
- Nead, K.T.; Sinha, S.; Yang, D.D.; Nguyen, P.L. Association of androgen deprivation therapy and depression in the treatment of prostate cancer: A systematic review and meta-analysis. Urol. Oncol. 2017, 35, 664.e1–664.e9. [Google Scholar] [CrossRef]
- Iacovelli, R.; Ciccarese, C.; Bria, E.; Romano, M.; Fantinel, E.; Bimbatti, D.; Muraglia, A.; Porcaro, A.B.; Siracusano, S.; Brunelli, M.; et al. The Cardiovascular Toxicity of Abiraterone and Enzalutamide in Prostate Cancer. Clin. Genitourin. Cancer 2018, 16, e645–e653. [Google Scholar] [CrossRef]
- Lassemillante, A.C.; Doi, S.A.; Hooper, J.D.; Prins, J.B.; Wright, O.R. Prevalence of osteoporosis in prostate cancer survivors: A meta-analysis. Endocrine 2014, 45, 370–381. [Google Scholar] [CrossRef]
- Kirby, M.; Hirst, C.; Crawford, E.D. Characterising the castration-resistant prostate cancer population: A systematic review. Int. J. Clin. Pract. 2011, 65, 1180–1192. [Google Scholar] [CrossRef]
- Grubmuller, B.; Jahrreiss, V.; Bronimann, S.; Quhal, F.; Mori, K.; Heidenreich, A.; Briganti, A.; Tilki, D.; Shariat, S.F. Salvage Radical Prostatectomy for Radio-Recurrent Prostate Cancer: An Updated Systematic Review of Oncologic, Histopathologic and Functional Outcomes and Predictors of Good Response. Curr. Oncol. 2021, 28, 2881–2892. [Google Scholar] [CrossRef]
- Valle, L.F.; Lehrer, E.J.; Markovic, D.; Elashoff, D.; Levin-Epstein, R.; Karnes, R.J.; Reiter, R.E.; Rettig, M.; Calais, J.; Nickols, N.G.; et al. A Systematic Review and Meta-analysis of Local Salvage Therapies After Radiotherapy for Prostate Cancer (MASTER). Eur. Urol. 2021, 80, 280–292. [Google Scholar] [CrossRef]
- Ramsay, C.R.; Adewuyi, T.E.; Gray, J.; Hislop, J.; Shirley, M.D.; Jayakody, S.; MacLennan, G.; Fraser, C.; MacLennan, S.; Brazzelli, M.; et al. Ablative therapy for people with localised prostate cancer: A systematic review and economic evaluation. Health Technol. Assess. 2015, 19, 1–490. [Google Scholar] [CrossRef]
- Finley, D.S.; Pouliot, F.; Miller, D.C.; Belldegrun, A.S. Primary and salvage cryotherapy for prostate cancer. Urol. Clin. N. Am. 2010, 37, 67–82. [Google Scholar] [CrossRef]
- Overduin, C.G.; Bomers, J.G.; Jenniskens, S.F.; Hoes, M.F.; Ten Haken, B.; de Lange, F.; Futterer, J.J.; Scheenen, T.W. T1-weighted MR image contrast around a cryoablation iceball: A phantom study and initial comparison with in vivo findings. Med. Phys. 2014, 41, 112301. [Google Scholar] [CrossRef]
- De Marini, P.; Cazzato, R.L.; Garnon, J.; Shaygi, B.; Koch, G.; Auloge, P.; Tricard, T.; Lang, H.; Gangi, A. Percutaneous MR-guided prostate cancer cryoablation technical updates and literature review. BJR Open 2019, 1, 20180043. [Google Scholar] [CrossRef]
- Woodrum, D.A.; Gorny, K.R.; Mynderse, L.A. MR-Guided Prostate Interventions. Top Magn. Reason. Imaging 2018, 27, 141–151. [Google Scholar] [CrossRef]
- Gangi, A.; Tsoumakidou, G.; Abdelli, O.; Buy, X.; de Mathelin, M.; Jacqmin, D.; Lang, H. Percutaneous MR-guided cryoablation of prostate cancer: Initial experience. Eur. Radiol. 2012, 22, 1829–1835. [Google Scholar] [CrossRef]
- Kinsman, K.A.; White, M.L.; Mynderse, L.A.; Kawashima, A.; Rampton, K.; Gorny, K.R.; Atwell, T.D.; Felmlee, J.P.; Callstrom, M.R.; Woodrum, D.A. Whole-Gland Prostate Cancer Cryoablation with Magnetic Resonance Imaging Guidance: One-Year Follow-Up. Cardiovasc. Intervent. Radiol. 2018, 41, 344–349. [Google Scholar] [CrossRef]
- De Marini, P.; Cazzato, R.L.; Garnon, J.; Tricard, T.; Koch, G.; Tsoumakidou, G.; Ramamurthy, N.; Lang, H.; Gangi, A. Percutaneous MR-guided whole-gland prostate cancer cryoablation: Safety considerations and oncologic results in 30 consecutive patients. Br. J. Radiol. 2019, 92, 20180965. [Google Scholar] [CrossRef]
- Woodrum, D.A.; Kawashima, A.; Karnes, R.J.; Davis, B.J.; Frank, I.; Engen, D.E.; Gorny, K.R.; Felmlee, J.P.; Callstrom, M.R.; Mynderse, L.A. Magnetic resonance imaging-guided cryoablation of recurrent prostate cancer after radical prostatectomy: Initial single institution experience. Urology 2013, 82, 870–875. [Google Scholar] [CrossRef]
- Bomers, J.G.R.; Overduin, C.G.; Jenniskens, S.F.M.; Cornel, E.B.; van Lin, E.; Sedelaar, J.P.M.; Futterer, J.J. Focal Salvage MR Imaging-Guided Cryoablation for Localized Prostate Cancer Recurrence after Radiotherapy: 12-Month Follow-up. J. Vasc. Interv. Radiol. 2020, 31, 35–41. [Google Scholar] [CrossRef]
- Bomers, J.G.; Yakar, D.; Overduin, C.G.; Sedelaar, J.P.; Vergunst, H.; Barentsz, J.O.; de Lange, F.; Futterer, J.J. MR imaging-guided focal cryoablation in patients with recurrent prostate cancer. Radiology 2013, 268, 451–460. [Google Scholar] [CrossRef]
- Overduin, C.G.; Jenniskens, S.F.M.; Sedelaar, J.P.M.; Bomers, J.G.R.; Futterer, J.J. Percutaneous MR-guided focal cryoablation for recurrent prostate cancer following radiation therapy: Retrospective analysis of iceball margins and outcomes. Eur. Radiol. 2017, 27, 4828–4836. [Google Scholar] [CrossRef]
- Clavien, P.A.; Barkun, J.; de Oliveira, M.L.; Vauthey, J.N.; Dindo, D.; Schulick, R.D.; de Santibanes, E.; Pekolj, J.; Slankamenac, K.; Bassi, C.; et al. The Clavien-Dindo classification of surgical complications: Five-year experience. Ann. Surg. 2009, 250, 187–196. [Google Scholar] [CrossRef]
- Roach, M., 3rd; Hanks, G.; Thames, H., Jr.; Schellhammer, P.; Shipley, W.U.; Sokol, G.H.; Sandler, H. Defining biochemical failure following radiotherapy with or without hormonal therapy in men with clinically localized prostate cancer: Recommendations of the RTOG-ASTRO Phoenix Consensus Conference. Int. J. Radiat. Oncol. Biol. Phys. 2006, 65, 965–974. [Google Scholar] [CrossRef]
- Khoo, C.C.; Miah, S.; Connor, M.J.; Tam, J.; Winkler, M.; Ahmed, H.U.; Shah, T.T. A systematic review of salvage focal therapies for localised non-metastatic radiorecurrent prostate cancer. Transl. Androl. Urol. 2020, 9, 1535–1545. [Google Scholar] [CrossRef]
- Hofman, M.S.; Lawrentschuk, N.; Francis, R.J.; Tang, C.; Vela, I.; Thomas, P.; Rutherford, N.; Martin, J.M.; Frydenberg, M.; Shakher, R.; et al. Prostate-specific membrane antigen PET-CT in patients with high-risk prostate cancer before curative-intent surgery or radiotherapy (proPSMA): A prospective, randomised, multicentre study. Lancet 2020, 395, 1208–1216. [Google Scholar] [CrossRef]
- Abufaraj, M.; Siyam, A.; Ali, M.R.; Suarez-Ibarrola, R.; Yang, L.; Foerster, B.; Shariat, S.F. Functional Outcomes after Local Salvage Therapies for Radiation-Recurrent Prostate Cancer Patients: A Systematic Review. Cancers 2021, 13, 244. [Google Scholar] [CrossRef]
- Valerio, M.; Cerantola, Y.; Eggener, S.E.; Lepor, H.; Polascik, T.J.; Villers, A.; Emberton, M. New and Established Technology in Focal Ablation of the Prostate: A Systematic Review. Eur. Urol. 2017, 71, 17–34. [Google Scholar] [CrossRef]
- Lomas, D.J.; Woodrum, D.A.; McLaren, R.H.; Gorny, K.R.; Felmlee, J.P.; Favazza, C.; Lu, A.; Mynderse, L.A. Rectal wall saline displacement for improved margin during MRI-guided cryoablation of primary and recurrent prostate cancer. Abdom. Radiol. 2020, 45, 1155–1161. [Google Scholar] [CrossRef]
- Wang, N.; Zhao, D.W.; Chen, D.; Wu, Z.M.; Wang, Y.J.; Yang, Z.Y.; Zhao, J.L.; Zhou, F.J.; Li, Y.H. Clinical value of normal saline injection for expansion of the anterior perirectal space during prostate cryoablation. Eur. J. Surg. Oncol. 2023, 49, 252–256. [Google Scholar] [CrossRef]
- Applewhite, J.; Barker, J., Jr.; Vestal, J.C. Successful Use of Absorbable Hydrogel Rectal Spacers (SpaceOAR) Before Salvage Radiation Therapy After Previous Prostate Cryotherapy. Adv. Radiat. Oncol. 2021, 6, 100647. [Google Scholar] [CrossRef]
- Garnon, J.; Cazzato, R.L.; Koch, G.; Uri, I.F.; Tsoumakidou, G.; Caudrelier, J.; Tricard, T.; Gangi, A.; Lang, H. Trans-rectal Ultrasound-Guided Autologous Blood Injection in the Interprostatorectal Space Prior to Percutaneous MRI-Guided Cryoablation of the Prostate. Cardiovasc. Intervent. Radiol. 2018, 41, 653–659. [Google Scholar] [CrossRef]




| Patient Characteristics | Overall (n = 114) | ||
|---|---|---|---|
| Prior RP 1 treatment, n (%) | |||
| No | 99 (86.8) | ||
| EBRT 2 | 68 (59.6) | ||
| Brachytherapy | 28 (24.6) | ||
| EBRT + brachytherapy | 3 (2.6) | ||
| Yes | 15 (13.2) | ||
| RP only | 3 (2.6) | ||
| RP + EBRT | 12 (10.5) | ||
| Patient characteristics | Overall (n = 114) | Without RP (n = 99) | With RP (n = 15) |
| Age at cryoablation (years), median (IQR) 3 | 68 (64–72) | 68 (64–72) | 66 (64–70) |
| Prior ADT 4, n (%) | |||
| Yes | 44 (38.6) | 39 (39.4) | 5 (33.3) |
| No | 70 (61.4) | 60 (60.6) | 10 (66.7) |
| PSA 5 level before initial treatment (ng/mL), median (IQR) | 12.8 (7.7–19.9) | 12.5 (7.7–19.2) | 15.5 (8.8–25.5) |
| PSA level at baseline (ng/mL), median (IQR) | 3.9 (2.4–6.8) | 4.2 (2.7–7.4) | 2.5 (1.2–5.9) |
| Tumor characteristics | Overall (n = 114) | Without RP (n = 99) | With RP (n = 15) |
| Tumor localization, n (%) | |||
| Peripheral zone | 68 (59.6) | 64 (64.6) | 4 (26.7) |
| Transition zone | 26 (22.8) | 23 (23.2) | 3 (20.0) |
| Seminal vesicles | 20 (17.5) | 12 (12.1) | 8 (53.3) |
| ISUP 6 Grade group at baseline, n (%) | |||
| 1 | 7 (6.1) | 7 (7.1) | 0 (0.0) |
| 2 | 24 (21.1) | 22 (22.2) | 2 (13.3) |
| 3 | 19 (16.7) | 15 (15.2) | 4 (26.7) |
| 4 | 20 (17.5) | 18 (18.2) | 2 (13.3) |
| 5 | 22 (19.3) | 20 (20.2) | 2 (13.3) |
| NA 7 | 22 (19.3) | 17 (17.2) | 5 (33.3) |
| 1-Year, % (95% CI) 1 | 5-Year, % (95% CI) | p Value | HR 2 (95% CI) | p Value | |
|---|---|---|---|---|---|
| Recurrence-free survival | |||||
| Overall | 76.0 (68.0–84.0) | 25.1 (14.9–35.3) | – | – | – |
| Prior RP 3 treatment | 0.03 | 2.02 (1.07–3.80) | 0.03 | ||
| No | 78.5 (70.1–86.9) | 28.1 (11.2–39.3) | |||
| Yes | 52.5 (26.3–78.7) | 0.0 (0.0–0.0) | |||
| Biochemical disease-free survival | |||||
| Overall | 81.4 (74.0–88.8) | 36.6 (25.4–47.8) | – | – | – |
| Prior RP treatment | 0.04 | 2.07 (1.04–4.15) | 0.04 | ||
| No | 82.6 (75.0–90.2) | 40.2 (28.0–52.4) | |||
| Yes | 65.2 (39.8–90.6) | 0.0 (0.0–0.0) | |||
| Treatment-free survival | |||||
| Overall | 91.5 (86.3–96.7) | 58.2 (47.0–69.4) | – | – | – |
| Prior RP treatment | 0.10 | 1.89 (0.87–4.07) | 0.11 | ||
| No | 92.6 (87.2–98.0) | 60.2 (48.2–72.2) | |||
| Yes | 79.0 (57.4–100.0) | 23.0 (0.0–58.6) | |||
| Overall survival | 98.9 (96.8–100.0) | 90.8 (83.6–98.0) | – | – | – |
| Overall Complications | Complications without Prior RP Treatment | Complications with Prior RP Treatment | |
|---|---|---|---|
| Grade 1, n (%) | 40 (87.0) | 35 (89.7) | 5 (71.4) |
| Grade 2, n (%) | 1 (2.2) | 1 (2.6) | 0 (0.0) |
| Grade 3a, n (%) | 0 (0.0) | 0 (0.0) | 0 (0.0) |
| Grade 3b, n (%) | 4 (8.7) | 2 (5.1) | 2 (28.6) |
| Grade 4a, n (%) | 1 (2.2) | 1 (2.6) | 0 (0.0) |
| Grade 4b, n (%) | 0 (0.0) | 0 (0.0) | 0 (0.0) |
| Grade 5, n (%) | 0 (0.0) | 0 (0.0) | 0 (0.0) |
| Overall, n (%) | 46 (100.0) | 39 (100.0) | 7 (100.0) |
Disclaimer/Publisher’s Note: The statements, opinions and data contained in all publications are solely those of the individual author(s) and contributor(s) and not of MDPI and/or the editor(s). MDPI and/or the editor(s) disclaim responsibility for any injury to people or property resulting from any ideas, methods, instructions or products referred to in the content. |
© 2023 by the authors. Licensee MDPI, Basel, Switzerland. This article is an open access article distributed under the terms and conditions of the Creative Commons Attribution (CC BY) license (https://creativecommons.org/licenses/by/4.0/).
Share and Cite
Wimper, Y.; Overduin, C.G.; Sedelaar, J.P.M.; Veltman, J.; Jenniskens, S.F.M.; Bomers, J.G.R.; Fütterer, J.J. MRI-Guided Salvage Focal Cryoablation: A 10-Year Single-Center Experience in 114 Patients with Localized Recurrent Prostate Cancer. Cancers 2023, 15, 4093. https://doi.org/10.3390/cancers15164093
Wimper Y, Overduin CG, Sedelaar JPM, Veltman J, Jenniskens SFM, Bomers JGR, Fütterer JJ. MRI-Guided Salvage Focal Cryoablation: A 10-Year Single-Center Experience in 114 Patients with Localized Recurrent Prostate Cancer. Cancers. 2023; 15(16):4093. https://doi.org/10.3390/cancers15164093
Chicago/Turabian StyleWimper, Yvonne, Christiaan G. Overduin, J. P. Michiel Sedelaar, Jeroen Veltman, Sjoerd F. M. Jenniskens, Joyce G. R. Bomers, and Jurgen J. Fütterer. 2023. "MRI-Guided Salvage Focal Cryoablation: A 10-Year Single-Center Experience in 114 Patients with Localized Recurrent Prostate Cancer" Cancers 15, no. 16: 4093. https://doi.org/10.3390/cancers15164093
APA StyleWimper, Y., Overduin, C. G., Sedelaar, J. P. M., Veltman, J., Jenniskens, S. F. M., Bomers, J. G. R., & Fütterer, J. J. (2023). MRI-Guided Salvage Focal Cryoablation: A 10-Year Single-Center Experience in 114 Patients with Localized Recurrent Prostate Cancer. Cancers, 15(16), 4093. https://doi.org/10.3390/cancers15164093

