Elevated Tumor Cell-Intrinsic STING Expression in Advanced Laryngeal Cancer
Abstract
Simple Summary
Abstract
1. Introduction
2. Methods
2.1. Patients
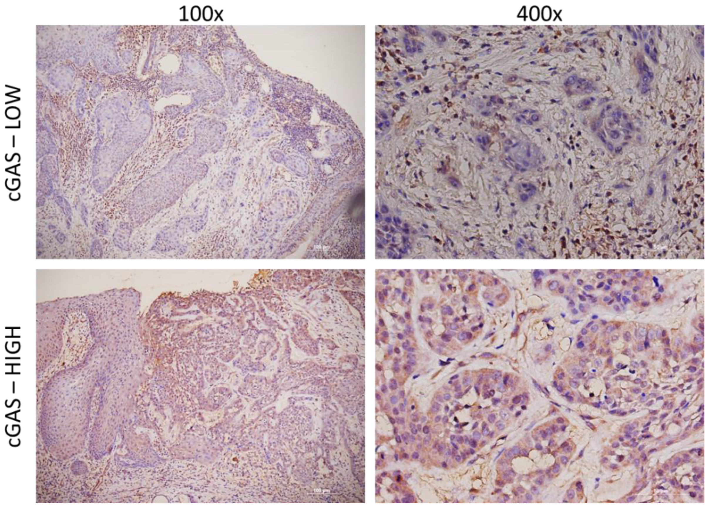
2.2. Immunohistochemistry
2.3. Immunohistochemical Staining
2.4. Statistics
3. Results
4. Discussion
5. Conclusions
Supplementary Materials
Author Contributions
Funding
Institutional Review Board Statement
Informed Consent Statement
Data Availability Statement
Conflicts of Interest
References
- Sung, H.; Ferlay, J.; Siegel, R.L.; Laversanne, M.; Soerjomataram, I.; Jemal, A.; Bray, F. Global Cancer Statistics 2020: GLOBOCAN Estimates of Incidence and Mortality Worldwide for 36 Cancers in 185 Countries. CA Cancer J. Clin. 2021, 71, 209–249. [Google Scholar] [CrossRef]
- Available online: https://seer.cancer.gov/statfacts/html/laryn.html (accessed on 1 May 2023).
- Salvador-Coloma, C.; Cohen, E. Multidisciplinary Care of Laryngeal Cancer. J. Oncol. Pract. 2016, 12, 717–724. [Google Scholar] [CrossRef] [PubMed]
- Ferris, R.L.; Blumenschein, G.; Fayette, J.; Guigay, J.; Colevas, A.D.; Licitra, L.; Harrington, K.; Kasper, S.; Vokes, E.E.; Even, C.; et al. Nivolumab for Recurrent Squamous-Cell Carcinoma of the Head and Neck. N. Engl. J. Med. 2016, 375, 1856–1867. [Google Scholar] [CrossRef]
- Burtness, B.; Harrington, K.J.; Greil, R.; Soulières, D.; Tahara, M.; de Castro, G.; Psyrri, A.; Basté, N.; Neupane, P.; Bratland, Å.; et al. Pembrolizumab Alone or with Chemotherapy versus Cetuximab with Chemotherapy for Recurrent or Metastatic Squamous Cell Carcinoma of the Head and Neck (KEYNOTE-048): A Randomised, Open-Label, Phase 3 Study. Lancet 2019, 394, 1915–1928. [Google Scholar] [CrossRef]
- Botticelli, A.; Cirillo, A.; Strigari, L.; Valentini, F.; Cerbelli, B.; Scagnoli, S.; Cerbelli, E.; Zizzari, I.G.; Rocca, C.D.; D’Amati, G.; et al. Anti–PD-1 and Anti–PD-L1 in Head and Neck Cancer: A Network Meta-Analysis. Front. Immunol. 2021, 12, 705096. [Google Scholar] [CrossRef] [PubMed]
- Siegel, R.L.; Miller, K.D.; Jemal, A. Cancer Statistics, 2016. CA Cancer J. Clin. 2016, 66, 7–30. [Google Scholar] [CrossRef] [PubMed]
- Shibata, H.; Saito, S.; Uppaluri, R. Immunotherapy for Head and Neck Cancer: A Paradigm Shift from Induction Chemotherapy to Neoadjuvant Immunotherapy. Front. Oncol. 2021, 11, 727433. [Google Scholar] [CrossRef]
- Chalabi, M.; Verschoor, Y.L.; van den Berg, J.; Sikorska, K.; Beets, G.; Lent, A.V.; Grootscholten, M.C.; Aalbers, A.; Buller, N.; Marsman, H.; et al. LBA7 Neoadjuvant Immune Checkpoint Inhibition in Locally Advanced MMR-Deficient Colon Cancer: The NICHE-2 Study. Ann. Oncol. 2022, 33, S1389. [Google Scholar] [CrossRef]
- Cercek, A.; Lumish, M.; Sinopoli, J.; Weiss, J.; Shia, J.; Lamendola-Essel, M.; El Dika, I.H.; Segal, N.; Shcherba, M.; Sugarman, R.; et al. PD-1 Blockade in Mismatch Repair–Deficient, Locally Advanced Rectal Cancer. N. Engl. J. Med. 2022, 386, 2363–2376. [Google Scholar] [CrossRef]
- Patel, S.P.; Othus, M.; Chen, Y.; Wright, G.P.; Yost, K.J.; Hyngstrom, J.R.; Hu-Lieskovan, S.; Lao, C.D.; Fecher, L.A.; Truong, T.-G.; et al. Neoadjuvant–Adjuvant or Adjuvant-Only Pembrolizumab in Advanced Melanoma. N. Engl. J. Med. 2023, 388, 813–823. [Google Scholar] [CrossRef]
- Farlow, J.L.; Brenner, J.C.; Lei, Y.L.; Chinn, S.B. Immune Deserts in Head and Neck Squamous Cell Carcinoma: A Review of Challenges and Opportunities for Modulating the Tumor Immune Microenvironment. Oral Oncol. 2021, 120, 105420. [Google Scholar] [CrossRef] [PubMed]
- Motedayen Aval, L.; Pease, J.E.; Sharma, R.; Pinato, D.J. Challenges and Opportunities in the Clinical Development of STING Agonists for Cancer Immunotherapy. J. Clin. Med. 2020, 9, 3323. [Google Scholar] [CrossRef] [PubMed]
- Chen, Q.; Sun, L.; Chen, Z.J. Regulation and Function of the CGAS–STING Pathway of Cytosolic DNA Sensing. Nat. Immunol. 2016, 17, 1142–1149. [Google Scholar] [CrossRef] [PubMed]
- Samson, N.; Ablasser, A. The CGAS–STING Pathway and Cancer. Nat. Cancer 2022, 3, 1452–1463. [Google Scholar] [CrossRef] [PubMed]
- Ou, L.; Zhang, A.; Cheng, Y.; Chen, Y. The CGAS-STING Pathway: A Promising Immunotherapy Target. Front. Immunol. 2021, 12, 795048. [Google Scholar] [CrossRef]
- Zhu, C.; Li, J.; Yao, M.; Fang, C. Potential for Treatment Benefit of STING Agonists plus Immune Checkpoint Inhibitors in Oral Squamous Cell Carcinoma. BMC Oral Health 2021, 21, 506. [Google Scholar] [CrossRef]
- Chon, H.J.; Kim, H.; Noh, J.H.; Yang, H.; Lee, W.S.; Kong, S.J.; Lee, S.J.; Lee, Y.S.; Kim, W.R.; Kim, J.H.; et al. STING Signaling Is a Potential Immunotherapeutic Target in Colorectal Cancer. J. Cancer 2019, 10, 4932–4938. [Google Scholar] [CrossRef]
- Xia, T.; Konno, H.; Ahn, J.; Barber, G.N. Deregulation of STING Signaling in Colorectal Carcinoma Constrains DNA Damage Responses and Correlates with Tumorigenesis. Cell Rep. 2016, 14, 282–297. [Google Scholar] [CrossRef]
- Qi, Z.; Yan, F.; Chen, D.; Xing, W.; Li, Q.; Zeng, W.; Bi, B.; Xie, J. Identification of Prognostic Biomarkers and Correlations with Immune Infiltrates among CGAS-STING in Hepatocellular Carcinoma. Biosci. Rep. 2020, 40, BSR20202603. [Google Scholar] [CrossRef]
- Gammelgaard, K.R.; Sandfeld-Paulsen, B.; Godsk, S.H.; Demuth, C.; Meldgaard, P.; Sorensen, B.S.; Jakobsen, M.R. CGAS-STING Pathway Expression as a Prognostic Tool in NSCLC. Transl. Lung Cancer Res. 2021, 10, 340–354. [Google Scholar] [CrossRef]
- Kunac, N.; Degoricija, M.; Viculin, J.; Omerović, J.; Terzić, J.; Vilović, K.; Korac-Prlic, J. Activation of CGAS-STING Pathway Is Associated with MSI-H Stage IV Colorectal Cancer. Cancers 2022, 15, 221. [Google Scholar] [CrossRef] [PubMed]
- Sokač, M.; Ahrenfeldt, J.; Litchfield, K.; Watkins, T.B.K.; Knudsen, M.; Dyrskjøt, L.; Jakobsen, M.R.; Birkbak, N.J. Classifying CGAS-STING Activity Links Chromosomal Instability with Immunotherapy Response in Metastatic Bladder Cancer. Cancer Res. Commun. 2022, 2, 762–771. [Google Scholar] [CrossRef] [PubMed]
- Song, S.; Peng, P.; Tang, Z.; Zhao, J.; Wu, W.; Li, H.; Shao, M.; Li, L.; Yang, C.; Duan, F.; et al. Decreased Expression of STING Predicts Poor Prognosis in Patients with Gastric Cancer. Sci. Rep. 2017, 7, 39858. [Google Scholar] [CrossRef]
- Elmusrati, A.; Wang, J.; Wang, C.-Y. Tumor Microenvironment and Immune Evasion in Head and Neck Squamous Cell Carcinoma. Int. J. Oral Sci. 2021, 13, 24. [Google Scholar] [CrossRef]
- Pu, F.; Chen, F.; Liu, J.; Zhang, Z.; Shao, Z. Immune Regulation of the CGAS-STING Signaling Pathway in the Tumor Microenvironment and Its Clinical Application. Onco. Targets Ther. 2021, 14, 1501–1516. [Google Scholar] [CrossRef] [PubMed]
- Wallington, D.G.; Contessa, J.N.; Hayman, T.J. STING Agonists in Head and Neck Squamous Cell Carcinoma. Cancer J. 2022, 28, 401–406. [Google Scholar] [CrossRef]
- Hayman, T.J.; Baro, M.; MacNeil, T.; Phoomak, C.; Aung, T.N.; Cui, W.; Leach, K.; Iyer, R.; Challa, S.; Sandoval-Schaefer, T.; et al. STING Enhances Cell Death through Regulation of Reactive Oxygen Species and DNA Damage. Nat. Commun. 2021, 12, 2327. [Google Scholar] [CrossRef]
- Storozynsky, Q.; Hitt, M.M. The Impact of Radiation-Induced DNA Damage on CGAS-STING-Mediated Immune Responses to Cancer. Int. J. Mol. Sci. 2020, 21, 8877. [Google Scholar] [CrossRef]
- Mathieu, M.; Budhu, S.; Nepali, P.R.; Russell, J.; Powell, S.N.; Humm, J.; Deasy, J.O.; Haimovitz-Friedman, A. Activation of Sting in Response to Partial-Tumor Radiation Exposure. Int. J. Radiat. Oncol. 2023. [Google Scholar] [CrossRef]
- Bortnik, V.; Wu, M.; Julcher, B.; Salinas, A.; Nikolic, I.; Simpson, K.J.; McMillan, N.A.; Idris, A. Loss of HPV Type 16 E7 Restores CGAS-STING Responses in Human Papilloma Virus-Positive Oropharyngeal Squamous Cell Carcinomas Cells. J. Microbiol. Immunol. Infect. 2021, 54, 733–739. [Google Scholar] [CrossRef]
- Yang, D.; Liu, J.; Liu, N.; Yin, C.; Zhang, H.; Xu, J. The Prognostic Value of Tumor Mutational Burden Related 6-Gene-Based Risk Score in Laryngeal Cancer Patients. BMC Oral Health 2022, 22, 510. [Google Scholar] [CrossRef]
- Jiang, M.; Jiang, M.; Chen, P.; Chen, P.; Wang, L.; Li, W.; Chen, B.; Liu, Y.; Liu, Y.; Wang, H.; et al. CGAS-STING, an Important Pathway in Cancer Immunotherapy. J. Hematol. Oncol. 2020, 13, 81. [Google Scholar] [CrossRef] [PubMed]
- Han, X.; Cheng, X.; Dai, K.; Bao, W.; Ding, R.; Wan, Y. Identification of Immunocell Infiltrates and Effective Diagnostic Biomarkers in Laryngeal Carcinoma. Medicine 2023, 102, e32548. [Google Scholar] [CrossRef] [PubMed]
- Marletta, S.; Caliò, A.; Bogina, G.; Rizzo, M.; Brunelli, M.; Pedron, S.; Marcolini, L.; Stefanizzi, L.; Gobbo, S.; Princiotta, A.; et al. STING Is a Prognostic Factor Related to Tumor Necrosis, Sarcomatoid Dedifferentiation, and Distant Metastasis in Clear Cell Renal Cell Carcinoma. Virchows Arch. 2023, 1–10. [Google Scholar] [CrossRef]
- Shen, J.; Zhao, W.; Ju, Z.; Wang, L.; Peng, Y.; Labrie, M.; Yap, T.A.; Mills, G.B.; Peng, G. PARPi Triggers the STING-Dependent Immune Response and Enhances the Therapeutic Efficacy of Immune Checkpoint Blockade Independent of BRCAness. Cancer Res. 2019, 79, 311–319. [Google Scholar] [CrossRef]
- Zhang, J.; Zhang, J.; Li, H.; Chen, L.; Yao, D. Dual-Target Inhibitors of PARP1 in Cancer Therapy: A Drug Discovery Perspective. Drug Discov. Today 2023, 28, 103607. [Google Scholar] [CrossRef] [PubMed]
- Pantelidou, C.; Sonzogni, O.; De Oliveria Taveira, M.; Mehta, A.K.; Kothari, A.; Wang, D.; Visal, T.; Li, M.K.; Pinto, J.; Castrillon, J.A.; et al. PARP Inhibitor Efficacy Depends on CD8+ T-Cell Recruitment via Intratumoral STING Pathway Activation in BRCA-Deficient Models of Triple-Negative Breast Cancer. Cancer Discov. 2019, 9, 722–737. [Google Scholar] [CrossRef] [PubMed]
- Pantelidou, C.; Jadhav, H.; Kothari, A.; Liu, R.; Wulf, G.M.; Guerriero, J.L.; Shapiro, G.I. STING Agonism Enhances Anti-Tumor Immune Responses and Therapeutic Efficacy of PARP Inhibition in BRCA-Associated Breast Cancer. NPJ Breast Cancer 2022, 8, 102. [Google Scholar] [CrossRef]
- Ding, L.; Kim, H.-J.; Wang, Q.; Kearns, M.; Jiang, T.; Ohlson, C.E.; Li, B.B.; Xie, S.; Liu, J.F.; Stover, E.H.; et al. PARP Inhibition Elicits STING-Dependent Antitumor Immunity in Brca1-Deficient Ovarian Cancer. Cell Rep. 2018, 25, 2972–2980.e5. [Google Scholar] [CrossRef]



| Characteristics | Patients N = 59 | % | |
|---|---|---|---|
| Age, years (IQR) | 65.0 (58.0–71.0) | ||
| <70 | 42 | 71.2 | |
| ≥70 | 17 | 28.8 | |
| Gender | Male | 56 | 94.9 |
| Female | 3 | 5.1 | |
| Location | Supraglottis | 11 | 18.6 |
| Glottis | 46 | 78.0 | |
| Subglottis | 2 | 3.4 | |
| Transglottis | Yes | 22 | 37.3 |
| No | 37 | 62.7 | |
| Stage | I | 11 | 18.6 |
| II | 9 | 15.3 | |
| III | 27 | 45.8 | |
| IV | 12 | 20.3 | |
| pT | T1 | 11 | 18.7 |
| T2 | 12 | 20.3 | |
| T3 | 31 | 52.5 | |
| T4 | 5 | 8.5 | |
| pN | Nx, N0 | 43 | 72.9 |
| N1 | 5 | 8.5 | |
| N2 | 10 | 16.9 | |
| N3 | 1 | 1.7 | |
| Metastasis | Yes | 4 | 6.8 |
| No | 55 | 93.2 | |
| Histological grade | G1 | 16 | 27.1 |
| G2 | 37 | 62.7 | |
| G3 | 6 | 10.2 | |
| Lymphovascular invasion (LVI) | Yes | 15 | 25.4 |
| No | 44 | 74.6 | |
| Perineural invasion (PNI) | Yes | 7 | 11.9 |
| No | 52 | 88.1 | |
| Overall survival | Yes | 41 | 60.5 |
| No | 18 | 30.5 | |
| Expression | Patients N = 59 | % | |
|---|---|---|---|
| STING | Low | 33 | 55.9 |
| High | 26 | 44.1 | |
| cGAS | Low | 37 | 62.7 |
| High | 22 | 37.3 | |
| Characteristics | Low STING N = 33 (%) | High STING N = 26 (%) | p-Value | |
|---|---|---|---|---|
| Age | years (IQR) | 64.5 (56.5–70.25) | 65.0 (58.0–71.5) | |
| <70 | 22 (66.7) | 20 (76.9) | 0.5636 § | |
| ≥70 | 11 (33.3) | 6 (23.1) | ||
| Gender | Male | 31 (93.9) | 25 (96.1) | >0.9999 § |
| Female | 2 (6.1) | 1 (3.9) | ||
| Location | Supraglottis | 4 (12.1) | 7 (26.9) | 0.3341 ‡ |
| Glottis | 28 (84.9) | 18 (69.2) | ||
| Subglottis | 1 (3.0) | 1 (3.9) | ||
| Transglottis | Yes | 10 (30.3) | 12 (46.2) | 0.2805 § |
| No | 23 (69.7) | 14 (53.8) | ||
| Stage | I | 8 (24.2) | 3 (11.5) | 0.0139 ‡ |
| II | 7 (21.2) | 2 (7.7) | ||
| III | 16 (48.5) | 11 (42.3) | ||
| IV | 2 (6.1) | 10 (38.5) | ||
| pT | T1 | 8 (24.2) | 3 (11.45) | 0.0952 ‡ |
| T2 | 9 (27.3) | 3 (11.45) | ||
| T3 | 15 (45.5) | 16 (61.5) | ||
| T4 | 1 (3.0) | 4 (15.4) | ||
| pN | Nx, N0 | 28 (84.8) | 15 (57.7) | 0.0458 ‡ |
| N1 | 3 (9.1) | 2 (7.7) | ||
| N2 | 2 (12.1) | 8 (30.7) | ||
| N3 | 0 (0.0) | 1 (3.9) | ||
| Histological grade | G1 | 13 (39.4) | 3 (11.45) | 0.0566 ‡ |
| G2 | 17 (51.5) | 20 (76.9) | ||
| G3 | 3 (9.1) | 3 (11.45) | ||
| Lymphovascular invasion (LVI) | Yes | 5 (15.2) | 10 (38.5) | 0.0693 § |
| No | 28 (84.8) | 16 (61.5) | ||
| Perineural invasion (PNI) | Yes | 5 (15.6) | 2 (8.3) | 0.4490 § |
| No | 28 (84.4) | 24 (91.7) | ||
| cGAS | Low | 21 (63.6) | 16 (61.5) | 0.4317 § |
| High | 12 (30.3) | 10 (38.5) | ||
| Overall survival | Yes | 27 (81.8) | 14 (53.8) | 0.0258 § |
| No | 6 (18.2) | 12 (46.2) | ||
| Characteristics | Low STING N = 33 (%) | High STING N = 26 (%) | p-Value | |
|---|---|---|---|---|
| Inflammation | 0 | 0 (0) | 0 (0) | 0.7778 ‡ |
| + | 11 (33.3) | 11 (42.3) | ||
| ++ | 16 (48.3) | 11 (42.3) | ||
| +++ | 6 (18.2) | 4 (15.4) | ||
| CD8+ T cell | 0 | 0 (0) | 0 (0) | 0.5029 ‡ |
| + | 5 (15.2) | 5 (19.2) | ||
| ++ | 19 (57.6) | 11 (42.3) | ||
| +++ | 9 (27.3) | 10 (38.5) | ||
| CD68+ Macrophages | 0 | 0 (0) | 0 (0) | 0.1154 ‡ |
| + | 2 (6.1) | 3 (11.5) | ||
| ++ | 24 (72.7) | 12 (46.2) | ||
| +++ | 7 (21.2) | 11 (42.3) | ||
| CD163+ Macrophages | 0 | 0 (0) | 0 (0) | 0.3810 ‡ |
| + | 4 (12.1) | 6 (23.0) | ||
| ++ | 18 (54.6) | 10 (38.5) | ||
| +++ | 11 (33.3) | 10 (38.5) | ||
Disclaimer/Publisher’s Note: The statements, opinions and data contained in all publications are solely those of the individual author(s) and contributor(s) and not of MDPI and/or the editor(s). MDPI and/or the editor(s) disclaim responsibility for any injury to people or property resulting from any ideas, methods, instructions or products referred to in the content. |
© 2023 by the authors. Licensee MDPI, Basel, Switzerland. This article is an open access article distributed under the terms and conditions of the Creative Commons Attribution (CC BY) license (https://creativecommons.org/licenses/by/4.0/).
Share and Cite
Viculin, J.; Degoricija, M.; Vilović, K.; Gabela, I.; Franković, L.; Vrdoljak, E.; Korac-Prlic, J. Elevated Tumor Cell-Intrinsic STING Expression in Advanced Laryngeal Cancer. Cancers 2023, 15, 3510. https://doi.org/10.3390/cancers15133510
Viculin J, Degoricija M, Vilović K, Gabela I, Franković L, Vrdoljak E, Korac-Prlic J. Elevated Tumor Cell-Intrinsic STING Expression in Advanced Laryngeal Cancer. Cancers. 2023; 15(13):3510. https://doi.org/10.3390/cancers15133510
Chicago/Turabian StyleViculin, Jelena, Marina Degoricija, Katarina Vilović, Ivana Gabela, Lucija Franković, Eduard Vrdoljak, and Jelena Korac-Prlic. 2023. "Elevated Tumor Cell-Intrinsic STING Expression in Advanced Laryngeal Cancer" Cancers 15, no. 13: 3510. https://doi.org/10.3390/cancers15133510
APA StyleViculin, J., Degoricija, M., Vilović, K., Gabela, I., Franković, L., Vrdoljak, E., & Korac-Prlic, J. (2023). Elevated Tumor Cell-Intrinsic STING Expression in Advanced Laryngeal Cancer. Cancers, 15(13), 3510. https://doi.org/10.3390/cancers15133510

