NTRK Gene Fusions in Non-Small-Cell Lung Cancer: Real-World Screening Data of 1068 Unselected Patients
Abstract
Simple Summary
Abstract
1. Introduction
2. Materials and Methods
2.1. Patients and Samples
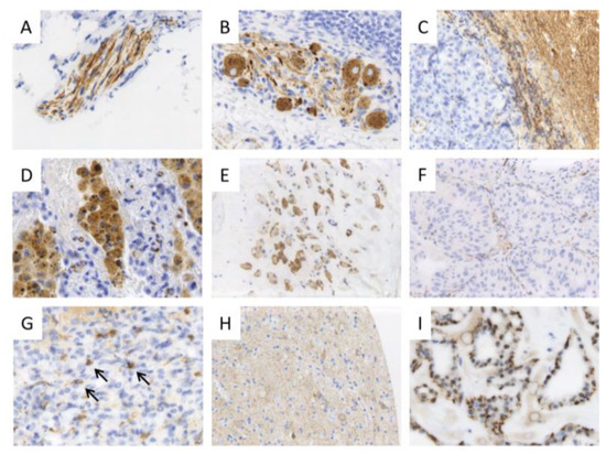
2.2. Immunohistochemistry
2.3. RNA-Based Sequencing
2.4. NTRK FISH
2.5. Statistics
3. Results
3.1. Feasibility of Applied Screening Approaches and Prevalence of NTRK Fusions
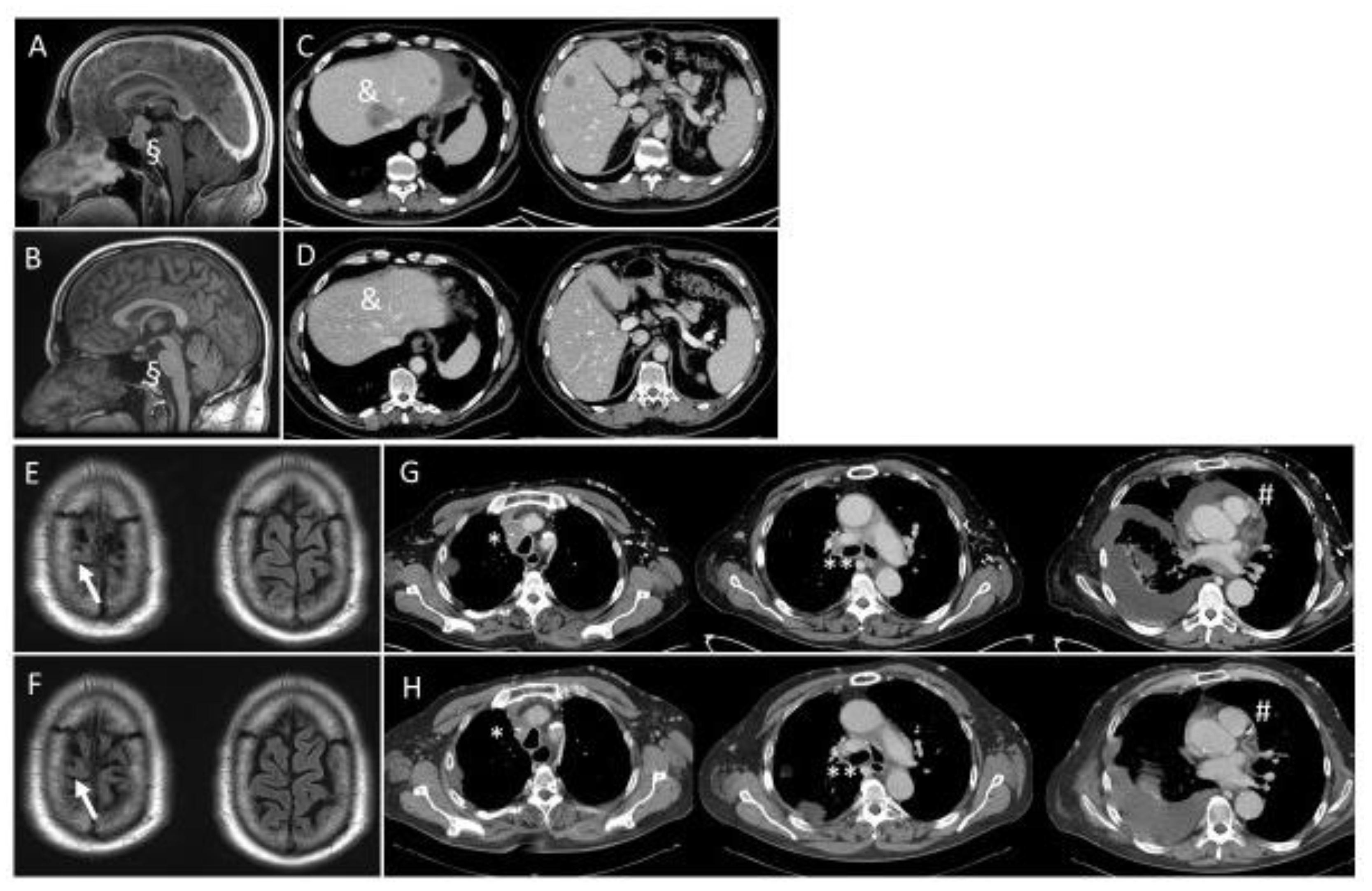
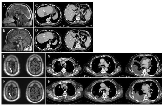
3.2. Characteristics of NTRK-Fusion-Positive Patients
3.3. Positive Predictive Value and Diagnostic Characteristics of Immunohistochemistry
3.4. Comparison of Molecular Test Approaches
4. Discussion
5. Conclusions
Author Contributions
Funding
Institutional Review Board Statement
Informed Consent Statement
Data Availability Statement
Acknowledgments
Conflicts of Interest
References
- Amatu, A.; Sartore-Bianchi, A.; Siena, S. NTRK gene fusions as novel targets of cancer therapy across multiple tumour types. ESMO Open 2016, 1, e000023. [Google Scholar] [CrossRef] [PubMed]
- Luberg, K.; Wong, J.; Weickert, C.S.; Timmusk, T. Human TrkB gene: Novel alternative transcripts, protein isoforms and expression pattern in the prefrontal cerebral cortex during postnatal development. J. Neurochem. 2010, 113, 952–964. [Google Scholar] [CrossRef] [PubMed]
- Ichaso, N.; Rodriguez, R.E.; Martin-Zanca, D.; Gonzalez-Sarmiento, R. Genomic characterization of the human trkC gene. Oncogene 1998, 17, 1871–1875. [Google Scholar] [CrossRef] [PubMed]
- Huang, E.J.; Reichardt, L.F. Trk receptors: Roles in neuronal signal transduction. Annu. Rev. Biochem. 2003, 72, 609–642. [Google Scholar] [CrossRef] [PubMed]
- Ardini, E.; Bosotti, R.; Borgia, A.L.; de Ponti, C.; Somaschini, A.; Cammarota, R.; Amboldi, N.; Raddrizzani, L.; Milani, A.; Magnaghi, P.; et al. The TPM3-NTRK1 rearrangement is a recurring event in colorectal carcinoma and is associated with tumor sensitivity to TRKA kinase inhibition. Mol. Oncol. 2014, 8, 1495–1507. [Google Scholar] [CrossRef]
- Morosini, D.; Chmielecki, J.; Goldberg, M.; Ross, J.S.; Stephens, P.J.; Miller, V.A.; Davis, L.E. Comprehensive genomic profiling of sarcomas from 267 adolescents and young adults to reveal a spectrum of targetable genomic alterations. J. Clin. Oncol. 2015, 33, 11020. [Google Scholar] [CrossRef]
- Suh, J.H.; Johnson, A.; Albacker, L.; Wang, K.; Chmielecki, J.; Frampton, G.; Gay, L.; Elvin, J.A.; Vergilio, J.-A.; Ali, S.; et al. Comprehensive Genomic Profiling Facilitates Implementation of the National Comprehensive Cancer Network Guidelines for Lung Cancer Biomarker Testing and Identifies Patients Who May Benefit from Enrollment in Mechanism-Driven Clinical Trials. Oncologist 2016, 21, 684–691. [Google Scholar] [CrossRef]
- Cocco, E.; Scaltriti, M.; Drilon, A. NTRK fusion-positive cancers and TRK inhibitor therapy. Nat. Rev. Clin. Oncol. 2018, 15, 731–747. [Google Scholar] [CrossRef]
- Prasad, M.L.; Vyas, M.; Horne, M.J.; Virk, R.K.; Morotti, R.; Liu, Z.; Tallini, G.; Nikiforova, M.N.; Christison-Lagay, E.R.; Udelsman, R.; et al. NTRK fusion oncogenes in pediatric papillary thyroid carcinoma in northeast United States. Cancer 2016, 122, 1097–1107. [Google Scholar] [CrossRef]
- Ricarte-Filho, J.C.; Li, S.; Garcia-Rendueles, M.E.R.; Montero-Conde, C.; Voza, F.; Knauf, J.A.; Heguy, A.; Viale, A.; Bogdanova, T.; Thomas, G.A.; et al. Identification of kinase fusion oncogenes in post-Chernobyl radiation-induced thyroid cancers. J. Clin. Investig. 2013, 123, 4935–4944. [Google Scholar] [CrossRef]
- Leeman-Neill, R.J.; Kelly, L.M.; Liu, P.; Brenner, A.V.; Little, M.P.; Bogdanova, T.I.; Evdokimova, V.N.; Hatch, M.; Zurnadzy, L.Y.; Nikiforova, M.N.; et al. ETV6-NTRK3 is a common chromosomal rearrangement in radiation-associated thyroid cancer. Cancer 2014, 120, 799–807. [Google Scholar] [CrossRef] [PubMed]
- Wiesner, T.; He, J.; Yelensky, R.; Esteve-Puig, R.; Botton, T.; Yeh, I.; Lipson, D.; Otto, G.; Brennan, K.; Murali, R.; et al. Kinase fusions are frequent in Spitz tumors and spitzoid melanomas. Nat. Commun. 2014, 5, 3116. [Google Scholar] [CrossRef] [PubMed]
- Vaishnavi, A.; Le, A.T.; Doebele, R.C. TRKing down an old oncogene in a new era of targeted therapy. Cancer Discov. 2015, 5, 25–34. [Google Scholar] [CrossRef] [PubMed]
- Solomon, J.P.; Linkov, I.; Rosado, A.; Mullaney, K.; Rosen, E.Y.; Frosina, D.; Jungbluth, A.A.; Zehir, A.; Benayed, R.; Drilon, A.; et al. NTRK fusion detection across multiple assays and 33,997 cases: Diagnostic implications and pitfalls. Mod. Pathol. 2020, 33, 38–46. [Google Scholar] [CrossRef]
- Okamura, R.; Boichard, A.; Kato, S.; Sicklick, J.K.; Bazhenova, L.; Kurzrock, R. Analysis of NTRK Alterations in Pan-Cancer Adult and Pediatric Malignancies: Implications for NTRK-Targeted Therapeutics. JCO Precis. Oncol. 2018, 2018, 1–20. [Google Scholar] [CrossRef]
- Stransky, N.; Cerami, E.; Schalm, S.; Kim, J.L.; Lengauer, C. The landscape of kinase fusions in cancer. Nat. Commun. 2014, 5, 4846. [Google Scholar] [CrossRef]
- Gatalica, Z.; Xiu, J.; Swensen, J.; Vranic, S. Molecular characterization of cancers with NTRK gene fusions. Mod. Pathol. 2019, 32, 147–153. [Google Scholar] [CrossRef]
- Rubin, B.P.; Chen, C.-J.; Morgan, T.W.; Xiao, S.; Grier, H.E.; Kozakewich, H.P.; Perez-Atayde, A.R.; Fletcher, J.A. Congenital Mesoblastic Nephroma t(12;15) Is Associated with ETV6-NTRK3 Gene Fusion: Cytogenetic and Molecular Relationship to Congenital (Infantile) Fibrosarcoma. Am. J. Pathol. 1998, 153, 1451–1458. [Google Scholar] [CrossRef]
- Knezevich, S.R.; McFadden, D.E.; Tao, W.; Lim, J.F.; Sorensen, P.H. A novel ETV6-NTRK3 gene fusion in congenital fibrosarcoma. Nat. Genet. 1998, 18, 184–187. [Google Scholar] [CrossRef]
- Vaishnavi, A.; Capelletti, M.; Le, A.T.; Kako, S.; Butaney, M.; Ercan, D.; Mahale, S.; Davies, K.D.; Aisner, D.L.; Pilling, A.B.; et al. Oncogenic and drug-sensitive NTRK1 rearrangements in lung cancer. Nat. Med. 2013, 19, 1469–1472. [Google Scholar] [CrossRef]
- Hechtman, J.F.; Benayed, R.; Hyman, D.M.; Drilon, A.; Zehir, A.; Frosina, D.; Arcila, M.E.; Dogan, S.; Klimstra, D.S.; Ladanyi, M.; et al. Pan-Trk Immunohistochemistry Is an Efficient and Reliable Screen for the Detection of NTRK Fusions. Am. J. Surg. Pathol. 2017, 41, 1547–1551. [Google Scholar] [CrossRef]
- Helman, E.; Nguyen, M.; Karlovich, C.A.; Despain, D.; Choquette, A.K.; Spira, A.I.; Yu, H.A.; Camidge, D.R.; Harding, T.C.; Lanman, R.B.; et al. Cell-Free DNA Next-Generation Sequencing Prediction of Response and Resistance to Third-Generation EGFR Inhibitor. Clin. Lung Cancer 2018, 19, 518–530.e7. [Google Scholar] [CrossRef] [PubMed]
- Zheng, Z.; Liebers, M.; Zhelyazkova, B.; Cao, Y.; Panditi, D.; Lynch, K.D.; Chen, J.; Robinson, H.E.; Shim, H.S.; Chmielecki, J.; et al. Anchored multiplex PCR for targeted next-generation sequencing. Nat. Med. 2014, 20, 1479–1484. [Google Scholar] [CrossRef] [PubMed]
- Westphalen, C.B.; Krebs, M.G.; Le Tourneau, C.; Sokol, E.S.; Maund, S.L.; Wilson, T.R.; Jin, D.X.; Newberg, J.Y.; Fabrizio, D.; Veronese, L.; et al. Genomic context of NTRK1/2/3 fusion-positive tumours from a large real-world population. NPJ Precis. Oncol. 2021, 5, 69. [Google Scholar] [CrossRef] [PubMed]
- Wang, B.; Gao, Y.; Huang, Y.; Ou, Q.; Fang, T.; Tang, C.; Wu, X.; Shao, Y.W. Durable Clinical Response to Crizotinib in IRF2BP2-NTRK1 Non-small-cell Lung Cancer. Clin. Lung Cancer 2019, 20, e233–e237. [Google Scholar] [CrossRef]
- Marchetti, A.; Di Lorito, A.; Felicioni, L.; Buttitta, F. An innovative diagnostic strategy for the detection of rare molecular targets to select cancer patients for tumor-agnostic treatments. Oncotarget 2019, 10, 6957–6968. [Google Scholar] [CrossRef]
- Gautschi, O.; Bubendorf, L.; Leyvraz, S.; Menon, R.; Diebold, J. Challenges in the Diagnosis of NTRK Fusion-Positive Cancers. J. Thorac. Oncol. 2020, 15, e108–e110. [Google Scholar] [CrossRef] [PubMed]
- Hartmaier, R.J.; Albacker, L.A.; Chmielecki, J.; Bailey, M.; He, J.; Goldberg, M.E.; Ramkissoon, S.; Suh, J.; Elvin, J.A.; Chiacchia, S.; et al. High-Throughput Genomic Profiling of Adult Solid Tumors Reveals Novel Insights into Cancer Pathogenesis. Cancer Res. 2017, 77, 2464–2475. [Google Scholar] [CrossRef] [PubMed]
- Fernandez-Cuesta, L.; Peifer, M.; Lu, X.; Seidel, D.; Zander, T.; Leenders, F.; Ozretić, L.; Brustugun, O.-T.; Field, J.K.; Wright, G.; et al. Abstract 1531: Cross-entity mutation analysis of lung neuroendocrine tumors sheds light into their molecular origin and identifies new therapeutic targets. In Molecular and Cellular Biology, Proceedings of the AACR Annual Meeting 2014, San Diego, CA, USA, 5–9 April 2014; American Association for Cancer Research: Philadelphia, PA, USA, 2014; p. 1531. [Google Scholar]
- von der Thüsen, J.H.; Dumoulin, D.W.; Maat, A.P.W.M.; Wolf, J.; Sadeghi, A.H.; Aerts, J.G.J.V.; Cornelissen, R. ETV6-NTRK3 translocation-associated low-grade mucinous bronchial adenocarcinoma: A novel bronchial salivary gland-type non-small cell lung cancer subtype. Lung Cancer 2021, 156, 72–75. [Google Scholar] [CrossRef]
- Sigal, D.S.; Bhangoo, M.S.; Hermel, J.A.; Pavlick, D.C.; Frampton, G.; Miller, V.A.; Ross, J.S.; Ali, S.M. Comprehensive genomic profiling identifies novel NTRK fusions in neuroendocrine tumors. Oncotarget 2018, 9, 35809–35812. [Google Scholar] [CrossRef]
- Drilon, A.; Kummar, S.; Moreno, V.; Patel, J.; Lassen, U.; Rosen, L.; Childs, B.H.; Nanda, S.; Cox, M.C.; Ku, N.C.; et al. Activity of larotrectinib in TRK fusion lung cancer. Ann. Oncol. 2019, 30, ii48–ii49. [Google Scholar] [CrossRef]
- Farago, A.F.; Taylor, M.S.; Doebele, R.C.; Zhu, V.W.; Kummar, S.; Spira, A.I.; Boyle, T.A.; Haura, E.B.; Arcila, M.E.; Benayed, R.; et al. Clinicopathologic Features of Non-Small-Cell Lung Cancer Harboring an NTRK Gene Fusion. JCO Precis. Oncol. 2018, 2018, 1–12. [Google Scholar] [CrossRef] [PubMed]
- Drilon, A.; Siena, S.; Ou, S.-H.I.; Patel, M.; Ahn, M.J.; Lee, J.; Bauer, T.M.; Farago, A.F.; Wheler, J.J.; Liu, S.V.; et al. Safety and Antitumor Activity of the Multitargeted Pan-TRK, ROS1, and ALK Inhibitor Entrectinib: Combined Results from Two Phase I Trials (ALKA-372-001 and STARTRK-1). Cancer Discov. 2017, 7, 400–409. [Google Scholar] [CrossRef] [PubMed]
- Xia, H.; Xue, X.; Ding, H.; Ou, Q.; Wu, X.; Nagasaka, M.; Shao, Y.W.; Hu, X.; Ou, S.-H.I. Evidence of NTRK1 Fusion as Resistance Mechanism to EGFR TKI in EGFR+ NSCLC: Results from a Large-Scale Survey of NTRK1 Fusions in Chinese Patients with Lung Cancer. Clin. Lung Cancer 2020, 21, 247–254. [Google Scholar] [CrossRef]
- Bang, H.; Lee, M.-S.; Sung, M.; Choi, J.; An, S.; Kim, S.-H.; Lee, S.E.; Choi, Y.-L. NTRK Fusions in 1113 Solid Tumors in a Single Institution. Diagnostics 2022, 12, 1450. [Google Scholar] [CrossRef] [PubMed]
- Boulanger, M.C.; Temel, J.S.; Mino-Kenudson, M.; Ritterhouse, L.L.; Dagogo-Jack, I. Primary Resistance to Larotrectinib in a Patient with Squamous NSCLC With Subclonal NTRK1 Fusion: Case Report. JTO Clin. Res. Rep. 2023, 4, 100501. [Google Scholar] [CrossRef] [PubMed]
- Xiao, Z.; Huang, X.; Xie, B.; Xie, W.; Huang, M.; Lin, L. Primary Resistance to Brigatinib in a Patient with Lung Adenocarcinoma Harboring ALK G1202R Mutation and LIPI-NTRK1 Rearrangement. OncoTargets. Ther. 2020, 13, 4591–4595. [Google Scholar] [CrossRef]
- Kishikawa, S.; Hayashi, T.; Shimizu, J.; Fuwa, B.; Nonomura, A.; Saito, T.; Yatabe, Y.; Yao, T. Low-grade tracheal adenocarcinoma with ETV6:NTRK3 fusion: Unique morphology akin to subsets of sinonasal low-grade non-intestinal-type adenocarcinoma. Virchows Arch. 2022, 481, 793–797. [Google Scholar] [CrossRef]
- Lazzari, C.; Pecciarini, L.; Doglioni, C.; Pedica, F.; Gajate, A.M.S.; Bulotta, A.; Gregorc, V.; Cangi, M.G. Case report: EML4:NTRK3 gene fusion in a patient with metastatic lung adenocarcinoma successfully treated with entrectinib. Front. Oncol. 2022, 12, 1038774. [Google Scholar] [CrossRef]
- Rosen, E.Y.; Goldman, D.A.; Hechtman, J.F.; Benayed, R.; Schram, A.M.; Cocco, E.; Shifman, S.; Gong, Y.; Kundra, R.; Solomon, J.P.; et al. TRK Fusions Are Enriched in Cancers with Uncommon Histologies and the Absence of Canonical Driver Mutations. Clin. Cancer Res. 2020, 26, 1624–1632. [Google Scholar] [CrossRef]
- Si, X.; Pan, R.; Ma, S.; Li, L.; Liang, L.; Zhang, P.; Chu, Y.; Wang, H.; Wang, M.; Zhang, X.; et al. Genomic characteristics of driver genes in Chinese patients with non-small cell lung cancer. Thorac. Cancer 2021, 12, 357–363. [Google Scholar] [CrossRef] [PubMed]
- Farago, A.F.; Le, L.P.; Zheng, Z.; Muzikansky, A.; Drilon, A.; Patel, M.; Bauer, T.M.; Liu, S.V.; Ou, S.-H.I.; Jackman, D.; et al. Durable Clinical Response to Entrectinib in NTRK1-Rearranged Non-Small Cell Lung Cancer. J. Thorac. Oncol. 2015, 10, 1670–1674. [Google Scholar] [CrossRef] [PubMed]
- Drilon, A.; Laetsch, T.W.; Kummar, S.; DuBois, S.G.; Lassen, U.N.; Demetri, G.D.; Nathenson, M.; Doebele, R.C.; Farago, A.F.; Pappo, A.S.; et al. Efficacy of Larotrectinib in TRK Fusion-Positive Cancers in Adults and Children. N. Engl. J. Med. 2018, 378, 731–739. [Google Scholar] [CrossRef] [PubMed]
- Doebele, R.C.; Drilon, A.; Paz-Ares, L.; Siena, S.; Shaw, A.T.; Farago, A.F.; Blakely, C.M.; Seto, T.; Cho, B.C.; Tosi, D.; et al. Entrectinib in patients with advanced or metastatic NTRK fusion-positive solid tumours: Integrated analysis of three phase 1–2 trials. Lancet Oncol. 2020, 21, 271–282. [Google Scholar] [CrossRef]
- FDA Approves Entrectinib for NTRK Solid Tumors and ROS-1 NSCLC. FDA. 20 December 2019. Available online: https://www.fda.gov/drugs/resources-information-approved-drugs/fda-approves-entrectinib-ntrk-solid-tumors-and-ros-1-nsclc (accessed on 13 May 2021).
- Vitrakvi|European Medicines Agency. Available online: https://www.ema.europa.eu/en/medicines/human/EPAR/vitrakvi (accessed on 2 October 2022).
- Rozlytrek|European Medicines Agency. Available online: https://www.ema.europa.eu/en/medicines/human/EPAR/rozlytrek (accessed on 13 May 2021).
- FDA Approves Larotrectinib for Solid Tumors with NTRK Gene Fusions. FDA. 20 December 2019. Available online: https://www.fda.gov/drugs/fda-approves-larotrectinib-solid-tumors-ntrk-gene-fusions-0 (accessed on 9 March 2020).
- Pfarr, N.; Kirchner, M.; Lehmann, U.; Leichsenring, J.; Merkelbach-Bruse, S.; Glade, J.; Hummel, M.; Stögbauer, F.; Lehmann, A.; Trautmann, M.; et al. Testing NTRK testing: Wet-lab and in silico comparison of RNA-based targeted sequencing assays. Genes Chromosomes Cancer 2020, 59, 178–188. [Google Scholar] [CrossRef]
- Schildhaus, H.-U. Immunohistochemistry-based predictive biomarkers for lung cancer. Pathologe 2020, 41, 21–31. [Google Scholar] [CrossRef]
- Marchiò, C.; Scaltriti, M.; Ladanyi, M.; Iafrate, A.J.; Bibeau, F.; Dietel, M.; Hechtman, J.F.; Troiani, T.; López-Rios, F.; Douillard, J.-Y.; et al. ESMO recommendations on the standard methods to detect NTRK fusions in daily practice and clinical research. Ann. Oncol. 2019, 30, 1417–1427. [Google Scholar] [CrossRef]
- Overbeck, T.R.; Cron, D.A.; Schmitz, K.; Rittmeyer, A.; Körber, W.; Hugo, S.; Schnalke, J.; Lukat, L.; Hugo, T.; Hinterthaner, M.; et al. Top-level MET gene copy number gain defines a subtype of poorly differentiated pulmonary adenocarcinomas with poor prognosis. Transl. Lung Cancer Res. 2020, 9, 603–616. [Google Scholar] [CrossRef]
- Travis, W.D.; Brambilla, E.; Nicholson, A.G.; Yatabe, Y.; Austin, J.H.M.; Beasley, M.B.; Chirieac, L.R.; Dacic, S.; Duhig, E.; Flieder, D.B.; et al. The 2015 World Health Organization Classification of Lung Tumors: Impact of Genetic, Clinical and Radiologic Advances Since the 2004 Classification. J. Thorac. Oncol. 2015, 10, 1243–1260. [Google Scholar] [CrossRef]
- Travis, W.D.; Brambilla, E.; Noguchi, M.; Nicholson, A.G.; Geisinger, K.R.; Yatabe, Y.; Beer, D.G.; Powell, C.A.; Riely, G.J.; van Schil, P.E.; et al. International association for the study of lung cancer/american thoracic society/european respiratory society international multidisciplinary classification of lung adenocarcinoma. J. Thorac. Oncol. 2011, 6, 244–285. [Google Scholar] [CrossRef]
- Overbeck, T.R.; Schmitz, K.; Engelke, C.; Sahlmann, C.-O.; Hugo, S.; Kellner, L.; Trümper, L.; Schildhaus, H.-U. Partial Response to First-Line Crizotinib in an Elderly Male Patient with ROS1 Translocation-Positive Lung Cancer. Case Rep. Oncol. 2016, 9, 158–163. [Google Scholar] [CrossRef] [PubMed]
- Schildhaus, H.-U.; Deml, K.-F.; Schmitz, K.; Meiboom, M.; Binot, E.; Hauke, S.; Merkelbach-Bruse, S.; Büttner, R. Chromogenic in situ hybridization is a reliable assay for detection of ALK rearrangements in adenocarcinomas of the lung. Mod. Pathol. 2013, 26, 1468–1477. [Google Scholar] [CrossRef]
- Chen, N.-M.; Neesse, A.; Dyck, M.L.; Steuber, B.; Koenig, A.O.; Lubeseder-Martellato, C.; Winter, T.; Forster, T.; Bohnenberger, H.; Kitz, J.; et al. Context-Dependent Epigenetic Regulation of Nuclear Factor of Activated T Cells 1 in Pancreatic Plasticity. Gastroenterology 2017, 152, 1507–1520.e15. [Google Scholar] [CrossRef] [PubMed]
- Schildhaus, H.-U. Der prädiktive Wert der PD-L1-Diagnostik. Pathologe 2018, 39, 498–519. [Google Scholar] [CrossRef] [PubMed]
- Schildhaus, H.-U.; Schultheis, A.M.; Rüschoff, J.; Binot, E.; Merkelbach-Bruse, S.; Fassunke, J.; Schulte, W.; Ko, Y.-D.; Schlesinger, A.; Bos, M.; et al. MET amplification status in therapy-naïve adeno- and squamous cell carcinomas of the lung. Clin. Cancer Res. 2015, 21, 907–915. [Google Scholar] [CrossRef]




| NTRK Gene | Fusion Partner | Histology | Described by |
|---|---|---|---|
| NTRK1 | EPS15 | Adenocarcinoma | [14,32], this report |
| SQSTM1 | Adenocarcinoma | [33,34,35], this report | |
| NSCLC | [14,32,35] | ||
| TPM3 | Adenocarcinoma | [14,17,21,22,23,24,32,33,35] | |
| IRF2BP2 | Adenocarcinoma | [14,21,25,32,33,35] | |
| Adenocarcinoma with neuroendocrine features | [33] | ||
| MPRIP | Adenocarcinoma | [20,33] | |
| CD74 | Adenocarcinoma | [20,26,35,36] | |
| TPR | Adenocarcinoma | [32,35] | |
| TGF | Adenocarcinoma | [14] | |
| LMNA | Adenocarcinoma | [35] | |
| PHF20 | Sarcomatoid Carcinoma + Adenocarcinoma | [35] | |
| BCL9 (intergenic region) | Adenocarcinoma | [35] | |
| CLIP1 | Adenocarcinoma | [27] | |
| P2RY8 | Adenocarcinoma | [21] | |
| GRIPAP1 | Adenocarcinoma | [28] | |
| RFWD2 | Large-cell neuroendocrine carcinoma | [29] | |
| F11R | Squamous cell carcinoma | [37] | |
| LIPI | Adenocarcinoma | [38] | |
| NTRK2 | STRN | Adenocarcinoma | [14,23] |
| SQSTM1 | Adenocarcinoma | [17] | |
| TRIM24 | Adenocarcinoma | [16] | |
| NTRK3 | ETV6 | Adenocarcinoma | [17,24,30,32,33,39] |
| Squamous cell carcinoma | [33] | ||
| SQSTM1 | Adenocarcinoma | [14,23,32,36] | |
| Neuroendocrine carcinoma | [33] | ||
| RBPMS | Adenocarcinoma | [14,23] | |
| Intergenic region | Large cell neuroendocrine carcinoma | [31] | |
| EML4 | Adenocarcinoma | [40] |
| Adenocarcinoma | Squamous Cell Carcinoma | Neuroendocrine Tumor | Sarcomatoid Carcinoma | Others i | Total | ||||||||
|---|---|---|---|---|---|---|---|---|---|---|---|---|---|
| Number (n, %) | 701 | 71.38 ii | 185 | 18.84 | 19 | 1.93 | 16 | 1.63 | 61 | 6.21 | 982 | ||
| Sex (n, %) | Male | 408 | 58.20 | 133 | 71.89 | 11 | 57.89 | 10 | 62.50 | 36 | 59.02 | 598 | 60.90 |
| Female | 286 | 40.80 | 50 | 27.03 | 8 | 42.11 | 5 | 31.25 | 21 | 34.43 | 370 | 37.68 | |
| Unkn. | 7 | 1.00 | 2 | 1.08 | 0 | 0.00 | 1 | 6.25 | 4 | 6.56 | 14 | 1.43 | |
| Age (years) iii | Mean | 66.31 | 67.68 | 65.78 | 66.13 | 69.81 | 66.73 | ||||||
| Median | 66 | 68 | 65.5 | 68 | 71 | 67 | |||||||
| Range | 37–94 | 36–85 | 53–92 | 48–82 | 48–87 | 36–92 | |||||||
| Unkn. (n) | 8 | 3 | 0 | 1 | 4 | 16 | |||||||
| Molecular alterations (n, %) | |||||||||||||
| KRAS mutation | Pos. | 228 | 32.52 | 0 | 0.00 | 1 | 5.26 | 5 | 31.25 | 2 | 3.28 | 236 iv | 24.03 |
| Neg. | 284 | 40.51 | 49 | 26.49 | 6 | 31.58 | 10 | 62.50 | 37 | 60.66 | 386 | 39.31 | |
| Unkn. | 189 | 26.96 | 136 | 73.51 | 12 | 63.16 | 1 | 6.25 | 22 | 36.07 | 360 | 36.66 | |
| EGFR mutation | Pos. | 59 | 8.42 | 0 | 0.00 | 0 | 0.00 | 0 | 0.00 | 1 | 1.64 | 60 v | 6.11 |
| Neg. | 538 | 76.75 | 60 | 32.43 | 9 | 47.37 | 16 | 100 | 48 | 78.69 | 671 | 68.33 | |
| Unkn. | 104 | 14.84 | 125 | 67.57 | 10 | 52.63 | 0 | 0.00 | 12 | 19.67 | 251 | 25.56 | |
| BRAF mutation vi | Pos. | 11 | 1.57 | 0 | 0.00 | 0 | 0.00 | 0 | 0.00 | 0 | 0.00 | 23 | 2.34 |
| Neg. | 513 | 73.18 | 89 | 48.11 | 11 | 57.89 | 16 | 100 | 43 | 70.49 | 660 | 67.21 | |
| Unkn. | 177 | 25.25 | 96 | 51.89 | 8 | 42.11 | 0 | 0.00 | 18 | 29.51 | 299 | 30.45 | |
| ALK fusion | Pos. | 16 | 2.28 | 0 | 0.00 | 0 | 0.00 | 0 | 0.00 | 0 | 0.00 | 16 | 1.63 |
| Neg. | 604 | 86.16 | 56 | 30.27 | 12 | 63.16 | 15 | 93.75 | 50 | 81.97 | 737 | 75.05 | |
| Unkn. | 81 | 11.55 | 129 | 69.73 | 7 | 36.84 | 1 | 6.25 | 11 | 18.03 | 229 | 23.32 | |
| ROS1 fusion | Pos. | 4 | 0.57 | 0 | 0.00 | 0 | 0.00 | 0 | 0.00 | 0 | 0.00 | 4 | 0.41 |
| Neg. | 604 | 86.16 | 51 | 27.57 | 12 | 63.16 | 15 | 93.75 | 50 | 81.97 | 732 | 74.54 | |
| Unkn. | 93 | 13.27 | 134 | 72.43 | 7 | 36.84 | 1 | 6.25 | 11 | 18.03 | 246 | 25.05 | |
| RET fusion | Pos. | 4 | 0.57 | 0 | 0.00 | 0 | 0.00 | 0 | 0.00 | 0 | 0.00 | 4 | 0.41 |
| Neg. | 340 | 48.50 | 39 | 21.08 | 8 | 42.11 | 12 | 75.00 | 30 | 49.18 | 429 | 43.69 | |
| Unkn. | 357 | 50.93 | 146 | 78.92 | 11 | 57.89 | 4 | 25.00 | 31 | 50.82 | 549 | 55.91 | |
| Other vii | Pos. | 96 | 13.69 | 14 | 7.57 | 3 | 15.79 | 8 | 50.00 | 10 | 16.39 | 131 | 13.34 |
| Neg. | 412 | 58.77 | 63 | 34.05 | 7 | 36.84 | 8 | 50.00 | 30 | 49.18 | 520 | 52.95 | |
| Unkn. | 193 | 27.53 | 108 | 58.38 | 9 | 47.37 | 0 | 0.00 | 21 | 34.43 | 331 | 33.71 | |
| PD-L1 (TPS) viii | 0 | 173 | 35.67 | 46 | 30.07 | 9 | 69.23 | 1 | 9.09 | 13 | 35.14 | 242 | 34.62 |
| (n, %) | 1–49 | 153 | 31.55 | 69 | 45.10 | 3 | 23.08 | 1 | 9.09 | 13 | 35.14 | 239 | 34.19 |
| 50–100 | 159 | 32.78 | 38 | 24.84 | 1 | 7.69 | 9 | 81.82 | 11 | 29.73 | 218 | 31.19 | |
| Unkn. | 216 | 30.81 | 32 | 17.30 | 6 | 31.58 | 5 | 31.25 | 24 | 39.34 | 283 | 28.82 | |
| Adenocarcinoma | Squamous Cell Carcinoma | Neuroendocrine Tumor | Sarcomatoid Carcinoma | Others | Total | ||||||||
|---|---|---|---|---|---|---|---|---|---|---|---|---|---|
| PanTrk IHC | Pos. | 81 | 11.55 | 31 | 16.76 | 3 | 15.79 | 10 | 62.50 | 8 | 13.11 | 133 | 13.54 |
| (n, %) | Neg. | 547 | 78.03 | 150 | 81.08 | 16 | 84.21 | 5 | 31.25 | 49 | 80.33 | 767 | 78.11 |
| Unkn. | 73 | 10.41 | 4 | 2.16 | 0 | 0.00 | 1 | 6.25 | 4 | 6.56 | 82 | 8.35 | |
| FISH NTRK1 | Pos. | 2 | 0.29 | 0 | 0.00 | 0 | 0.00 | 0 | 0.00 | 0 | 0.00 | 2 | 0.20 |
| (n, %) | Neg. | 113 | 16.12 | 32 | 17.30 | 2 | 10.53 | 5 | 31.25 | 7 | 11.48 | 159 | 16.19 |
| Unkn. | 586 | 83.59 | 153 | 82.70 | 17 | 89.47 | 11 | 68.75 | 54 | 88.52 | 821 | 83.60 | |
| NTRK2 | Pos. | 0 | 0.00 | 0 | 0.00 | 0 | 0.00 | 0 | 0.00 | 0 | 0.00 | 0 | 0.00 |
| Neg. | 90 | 12.84 | 32 | 17.30 | 2 | 10.53 | 4 | 25.00 | 6 | 9.84 | 134 | 13.65 | |
| Unkn. | 611 | 87.16 | 153 | 82.70 | 17 | 89.47 | 12 | 75.00 | 55 | 90.16 | 848 | 86.35 | |
| NTRK3 | Pos. | 0 | 0.00 | 0 | 0.00 | 0 | 0.00 | 0 | 0.00 | 0 | 0.00 | 0 | 0.00 |
| Neg. | 87 | 12.41 | 30 | 16.22 | 2 | 10.53 | 4 | 25.00 | 6 | 9.84 | 129 | 13.14 | |
| Unkn. | 614 | 87.59 | 155 | 83.78 | 17 | 89.47 | 12 | 75.00 | 55 | 90.16 | 853 | 86.86 | |
| RNA-NGS ix (n, %) | Pos. | 2 | 0.29 | 0 | 0.00 | 0 | 0.00 | 0 | 0.00 | 0 | 0.00 | 2 | 0.20 |
| Neg. | 124 | 17.69 | 43 | 23.24 | 4 | 21.05 | 10 | 62.50 | 11 | 18.03 | 192 | 19.55 | |
| Unkn. | 575 | 82.03 | 142 | 76.76 | 15 | 78.95 | 6 | 37.50 | 50 | 81.97 | 788 | 80.24 | |
Disclaimer/Publisher’s Note: The statements, opinions and data contained in all publications are solely those of the individual author(s) and contributor(s) and not of MDPI and/or the editor(s). MDPI and/or the editor(s) disclaim responsibility for any injury to people or property resulting from any ideas, methods, instructions or products referred to in the content. |
© 2023 by the authors. Licensee MDPI, Basel, Switzerland. This article is an open access article distributed under the terms and conditions of the Creative Commons Attribution (CC BY) license (https://creativecommons.org/licenses/by/4.0/).
Share and Cite
Overbeck, T.R.; Reiffert, A.; Schmitz, K.; Rittmeyer, A.; Körber, W.; Hugo, S.; Schnalke, J.; Lukat, L.; Hugo, T.; Hinterthaner, M.; et al. NTRK Gene Fusions in Non-Small-Cell Lung Cancer: Real-World Screening Data of 1068 Unselected Patients. Cancers 2023, 15, 2966. https://doi.org/10.3390/cancers15112966
Overbeck TR, Reiffert A, Schmitz K, Rittmeyer A, Körber W, Hugo S, Schnalke J, Lukat L, Hugo T, Hinterthaner M, et al. NTRK Gene Fusions in Non-Small-Cell Lung Cancer: Real-World Screening Data of 1068 Unselected Patients. Cancers. 2023; 15(11):2966. https://doi.org/10.3390/cancers15112966
Chicago/Turabian StyleOverbeck, Tobias Raphael, Annika Reiffert, Katja Schmitz, Achim Rittmeyer, Wolfgang Körber, Sara Hugo, Juliane Schnalke, Laura Lukat, Tabea Hugo, Marc Hinterthaner, and et al. 2023. "NTRK Gene Fusions in Non-Small-Cell Lung Cancer: Real-World Screening Data of 1068 Unselected Patients" Cancers 15, no. 11: 2966. https://doi.org/10.3390/cancers15112966
APA StyleOverbeck, T. R., Reiffert, A., Schmitz, K., Rittmeyer, A., Körber, W., Hugo, S., Schnalke, J., Lukat, L., Hugo, T., Hinterthaner, M., Reuter-Jessen, K., & Schildhaus, H.-U. (2023). NTRK Gene Fusions in Non-Small-Cell Lung Cancer: Real-World Screening Data of 1068 Unselected Patients. Cancers, 15(11), 2966. https://doi.org/10.3390/cancers15112966

