The Immunohistochemical Loss of H3K27me3 in Intracranial Meningiomas Predicts Shorter Progression-Free Survival after Stereotactic Radiosurgery
Abstract
:Simple Summary
Abstract
1. Introduction
2. Materials and Methods
2.1. Cases
2.2. Radiosurgery Technique
2.3. Ethics
2.4. Immunohistochemistry
2.5. Statistical Analysis
3. Results
3.1. Cases and Radiosurgical Characteristics
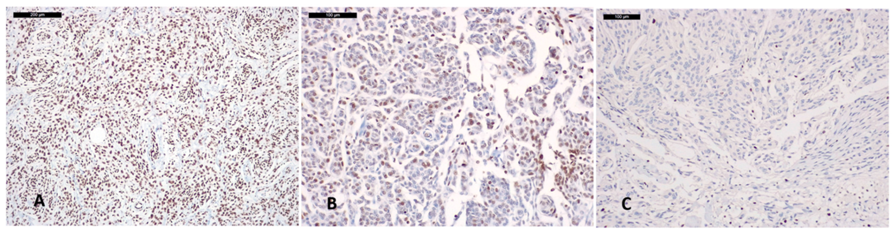
3.2. Immunohistochemistry
3.3. Progression-Free Survival Analyses
4. Discussion
5. Conclusions
Author Contributions
Funding
Institutional Review Board Statement
Informed Consent Statement
Data Availability Statement
Conflicts of Interest
References
- Ostrom, Q.T.; Patil, N.; Cioffi, G.; Waite, K.; Kruchko, C.; Barnholtz-Sloan, J.S. CBTRUS Statistical Report: Primary Brain and Other Central Nervous System Tumors Diagnosed in the United States in 2013–2017. Neuro-Oncology 2020, 22, iv1–iv96. [Google Scholar] [CrossRef] [PubMed]
- Sahm, F.; Perry, A.; von Deimling, A.; Claus, E.B.; Mawrin, C.; Brastianos, P.K.; Santagata, S. Meningiomas. WHO Classification of Tumours Editorial Board Central Nervous System Tumours; Brat, D.J., Ellison, D.W., Figarella-Branger, D., Hawkins, C., Louis, D.N., Ng, H.K., Perry, A., Pfister, S.M., Refeinberger, G., Soffietti, R., et al., Eds.; International Agency for Research on Cancer: Lyon, France, 2021. [Google Scholar]
- Goldbrunner, R.; Stavrinou, P.; Jenkinson, M.D.; Sahm, F.; Mawrin, C.; Weber, D.C.; Preusser, M.; Minniti, G.; Lund-Johansen, M.; Lefranc, F.; et al. EANO guideline on the diagnosis and management of meningiomas. Neuro-Oncology 2021, 23, 1821–1834. [Google Scholar] [CrossRef]
- Hasegawa, H.; Vakharia, K.; Link, M.J.; Stafford, S.L.; Brown, P.D.; Parney, I.F.; Burns, T.C.; Yan, E.S.; Mahajan, A.; Laack, N.N.; et al. The role of single-fraction stereotactic radiosurgery for atypical meningiomas (WHO grade II): Treatment results based on a 25-year experience. J. Neuro-Oncol. 2021, 155, 335–342. [Google Scholar] [CrossRef] [PubMed]
- Shepard, M.J.; Xu, Z.; Kearns, K.; Li, C.; Chatrath, A.; Sheehan, K.; Sheehan, D.; Faramand, A.; Niranjan, A.; Kano, H.; et al. Stereotactic Radiosurgery for Atypical (World Health Organization II) and Anaplastic (World Health Organization III) Meningiomas: Results from a Multicenter, International Cohort Study. Neurosurgery 2021, 88, 980–988. [Google Scholar] [CrossRef] [PubMed]
- Barresi, V.; Lionti, S.; Caliri, S.; Caffo, M. Histopathological features to define atypical meningioma: What does really matter for prognosis? Brain Tumor Pathol. 2018, 35, 168–180. [Google Scholar] [CrossRef]
- Fioravanzo, A.; Caffo, M.; Di Bonaventura, R.; Gardiman, M.P.; Ghimenton, C.; Ius, T.; Maffeis, V.; Martini, M.; Nicolato, A.; Pallini, R.; et al. A Risk Score Based on 5 Clinico-Pathological Variables Predicts Recurrence of Atypical Meningiomas. J. Neuropathol. Exp. Neurol. 2020, 79, 500–507. [Google Scholar] [CrossRef] [PubMed]
- Olar, A.; Wani, K.M.; Wilson, C.D.; Zadeh, G.; Demonte, F.; Jones, D.T.W.; Pfister, S.; Sulman, E.P.; Aldape, K.D. Global epigenetic profiling identifies methylation subgroups associated with recurrence-free survival in meningioma. Acta Neuropathol. 2017, 133, 431–444. [Google Scholar] [CrossRef] [PubMed] [Green Version]
- Behling, F.; Fodi, C.; Gepfner-Tuma, I.; Kaltenbach, K.; Renovanz, M.; Paulsen, F.; Skardelly, M.; Honegger, J.; Tatagiba, M.; Schittenhelm, J.; et al. H3K27me3 loss indicates an increased risk of recurrence in the Tübingen meningioma cohort. Neuro-Oncology 2020, 23, 1273–1281. [Google Scholar] [CrossRef] [PubMed]
- Katz, L.M.; Hielscher, T.; Liechty, B.; Silverman, J.; Zagzag, D.; Sen, R.; Wu, P.; Golfinos, J.G.; Reuss, D.; Neidert, M.C.; et al. Loss of histone H3K27me3 identifies a subset of meningiomas with increased risk of recurrence. Acta Neuropathol. 2018, 135, 955–963. [Google Scholar] [CrossRef] [PubMed] [Green Version]
- Nassiri, F.; Wang, J.Z.; Singh, O.; Karimi, S.; Dalcourt, T.; Ijad, N.; Pirouzmand, N.; Ng, H.-K.; Saladino, A.; Pollo, B.; et al. Loss of H3K27me3 in meningiomas. Neuro-Oncology 2021, 23, 1282–1291. [Google Scholar] [CrossRef] [PubMed]
- Ammendola, S.; Barresi, V. Timing of H3K27me3 loss in secondary anaplastic meningiomas. Brain Tumor Pathol. 2022, 1–3. [Google Scholar] [CrossRef]
- Huang, R.Y.; Bi, W.L.; Weller, M.; Kaley, T.; Blakeley, J.; Dunn, I.; Galanis, E.; Preusser, M.; McDermott, M.; Rogers, L.; et al. Proposed response assessment and endpoints for meningioma clinical trials: Report from the Response Assessment in Neuro-Oncology Working Group. Neuro-Oncology 2018, 21, 26–36. [Google Scholar] [CrossRef] [PubMed] [Green Version]
- Lunsford, L.D.; Flickinger, J.; Lindner, G.; Maitz, A. Stereotactic Radiosurgery of the Brain Using the First United States 201 Cobalt-60 Source Gamma Knife. Neurosurgery 1989, 24, 151–159. [Google Scholar] [CrossRef] [PubMed]
- Nicolato, A.; Lupidi, F.; Sandri, M.F.; Foroni, R.; Zampieri, P.; Mazza, C.; Maluta, S.; Beltramello, A.; Gerosa, M. Gamma knife radiosurgery for cerebral arteriovenous malformations in children/adolescents and adults. Part I: Differences in epidemiologic, morphologic, and clinical characteristics, permanent complications, and bleeding in the latency period. Int. J. Radiat. Oncol. 2006, 64, 904–913. [Google Scholar] [CrossRef]
- Ammendola, S.; Caldonazzi, N.; Simbolo, M.; Piredda, M.L.; Brunelli, M.; Poliani, P.L.; Pinna, G.; Sala, F.; Ghimenton, C.; Scarpa, A.; et al. H3K27me3 immunostaining is diagnostic and prognostic in diffuse gliomas with oligodendroglial or mixed oligoastrocytic morphology. Virchows Arch. 2021, 479, 987–996. [Google Scholar] [CrossRef]
- Gauchotte, G.; Peyre, M.; Pouget, C.; Cazals-Hatem, D.; Polivka, M.; Rech, F.; Varlet, P.; Loiseau, H.; Lacomme, S.; Mokhtari, K.; et al. Prognostic Value of Histopathological Features and Loss of H3K27me3 Immunolabeling in Anaplastic Meningioma: A Multicenter Retrospective Study. J. Neuropathol. Exp. Neurol. 2020, 79, 754–762. [Google Scholar] [CrossRef]
- Panwalkar, P.; Clark, J.; Ramaswamy, V.; Hawes, D.; Yang, F.; Dunham, C.; Yip, S.; Hukin, J.; Sun, Y.; Schipper, M.J.; et al. Immunohistochemical analysis of H3K27me3 demonstrates global reduction in group-A childhood posterior fossa ependymoma and is a powerful predictor of outcome. Acta Neuropathol. 2017, 134, 705–714. [Google Scholar] [CrossRef] [PubMed]
- Cao, R.; Wang, L.; Wang, H.; Xia, L.; Erdjument-Bromage, H.; Tempst, P.; Jones, R.S.; Zhang, Y. Role of Histone H3 Lysine 27 Methylation in Polycomb-Group Silencing. Science 2002, 298, 1039–1043. [Google Scholar] [CrossRef] [Green Version]
- Agger, K.; Cloos, P.A.C.; Christensen, J.; Pasini, D.; Rose, S.; Rappsilber, J.; Issaeva, I.; Canaani, E.; Salcini, A.E.; Helin, K. UTX and JMJD3 are histone H3K27 demethylases involved in HOX gene regulation and development. Nature 2007, 449, 731–734. [Google Scholar] [CrossRef] [PubMed]
- Goldstein, M.; Gabriel, N.; Balaji, K.; Inkman, M.; Jayachandran, K.; Zhang, J.; Dahiya, S. BET Inhibition Targets Radiation Resistance in H3K27me3-Deficient Medulloblastoma. Int. J. Radiat. Oncol. 2021, 111, S85. [Google Scholar] [CrossRef]
- Wang, Q.; Chen, X.; Jiang, Y.; Liu, S.; Liu, H.; Sun, X.; Zhang, H.; Liu, Z.; Tao, Y.; Li, C.; et al. Elevating H3K27me3 level sensitizes colorectal cancer to oxaliplatin. J. Mol. Cell Biol. 2019, 12, 125–137. [Google Scholar] [CrossRef] [PubMed]
- Fang, S.; Shen, Y.; Chen, B.; Wu, Y.; Jia, L.; Li, Y.; Zhu, Y.; Yan, Y.; Li, M.; Chen, R.; et al. H3K27me3 induces multidrug resistance in small cell lung cancer by affecting HOXA1 DNA methylation via regulation of the lncRNA HOTAIR. Ann. Transl. Med. 2018, 6, 11. [Google Scholar] [CrossRef] [PubMed]
- Sun, S.; Yang, Q.; Cai, E.; Huang, B.; Ying, F.; Wen, Y.; Cai, J.; Yang, P. EZH2/H3K27Me3 and phosphorylated EZH2 predict chemotherapy response and prognosis in ovarian cancer. Peer J. 2020, 8, e9052. [Google Scholar] [CrossRef]
- Rath, B.H.; Waung, I.; Camphausen, K.; Tofilon, P.J. Inhibition of the Histone H3K27 Demethylase UTX Enhances Tumor Cell Radiosensitivity. Mol. Cancer Ther. 2018, 17, 1070–1078. [Google Scholar] [CrossRef] [PubMed] [Green Version]
- Katagi, H.; Louis, N.; Unruh, D.; Sasaki, T.; He, X.; Zhang, A.; Ma, Q.; Piunti, A.; Shimazu, Y.; Lamano, J.B.; et al. Radiosensitization by Histone H3 Demethylase Inhibition in Diffuse Intrinsic Pontine Glioma. Clin. Cancer Res. 2019, 25, 5572–5583. [Google Scholar] [CrossRef] [PubMed]



| Parameter | Post-SRS Tumor Progression | p | |
|---|---|---|---|
| Absent | Present | ||
| Age | |||
| <65 years | 9 | 8 | |
| ≥65 years | 12 | 10 | 0.8401 |
| Sex | |||
| Male | 13 | 13 | |
| Female | 8 | 5 | 0.1928 |
| Site | |||
| Convexity | 13 | 2 | |
| Sagittal | 5 | 9 | |
| Skull base | 2 | 6 | |
| Intraventricular | 1 | 1 | 0.023 |
| WHO grade | |||
| 1 | 4 | 2 | |
| 2 | 17 | 16 | 0.5839 |
| H3K27me3 immuno-expression * | |||
| retained | 18 | 9 | |
| lost | 1 | 6 | 0.0036 |
| SRS | |||
| Adjuvant | 5 | 5 | |
| Salvage-residual | 8 | 5 | |
| Salvage-recurrent | 8 | 8 | 0.3752 |
| Treated tumor | |||
| Residual | 13 | 10 | |
| Recurrence | 8 | 8 | 0.2828 |
| Parameter | H3K27me3 Immuno-Expression | p | |
|---|---|---|---|
| Lost | Retained | ||
| Sex | |||
| Male | 3 | 4 | |
| Female | 4 | 8 | 0.1811 |
| Age | |||
| <65 years | 3 | 12 | |
| ≥65 years | 4 | 15 | 0.9408 |
| Site | |||
| Sagittal | 2 | 12 | |
| Convexity | 3 | 9 | |
| Skull base | 2 | 4 | |
| Intraventricular | 0 | 2 | 0.6599 |
| WHO grade | |||
| 1 | 1 | 4 | |
| 2 | 6 | 23 | 0.9723 |
| Post-SRS tumor progression | |||
| Absent | 1 | 18 | |
| Present | 6 | 9 | 0.0143 |
| SRS | |||
| Adjuvant | 2 | 8 | |
| Salvage-residual | 1 | 10 | |
| Salvage-recurrent | 4 | 9 | 0.4241 |
| Treated tumor | |||
| Residual | 3 | 18 | |
| Recurrence | 4 | 9 | 0.2551 |
| Post-SRS recurrence | |||
| Edge of field | 1 | 2 | |
| In-field | 2 | 2 | |
| Out-of-field | 3 | 5 | 0.8856 |
| Parameter | H.R. (95% C.I.) | p |
|---|---|---|
| Sex | ||
| Male | 1 | |
| Female | 0.5 (0.2–1.4) | 0.1928 |
| Age | ||
| <65 years | 1 | |
| ≥65 years | 0.9 (0.3–2.3) | 0.8401 |
| Site | ||
| Convexity | 1 | |
| Sagittal | 7.3 (2.4–21.8) | |
| Skull base | 6.3 (1.9–21) | |
| Intraventricular | 8.4 (0.5–145.2) | 0.023 |
| WHO grade | ||
| 1 | 1 | |
| 2 | 1.4 (0.4–5.1) | 0.839 |
| H3K27me3 immuno-expression | ||
| Retained | 1 | |
| Lost | 8.9 (2–38.6) | 0.036 |
| Treated tumor | ||
| Residual | 0.6 (0.2–1.6) | |
| Recurrence | 1 | 0.2828 |
| SRS | ||
| Adjuvant | 1.8 (0.5–5.9) | |
| Salvage-residual | 1 | |
| Salvage-recurrent | 2.1 (0.7–6.2) | 0.3752 |
Publisher’s Note: MDPI stays neutral with regard to jurisdictional claims in published maps and institutional affiliations. |
© 2022 by the authors. Licensee MDPI, Basel, Switzerland. This article is an open access article distributed under the terms and conditions of the Creative Commons Attribution (CC BY) license (https://creativecommons.org/licenses/by/4.0/).
Share and Cite
Ammendola, S.; Rizzo, P.C.; Longhi, M.; Zivelonghi, E.; Pedron, S.; Pinna, G.; Sala, F.; Nicolato, A.; Scarpa, A.; Barresi, V. The Immunohistochemical Loss of H3K27me3 in Intracranial Meningiomas Predicts Shorter Progression-Free Survival after Stereotactic Radiosurgery. Cancers 2022, 14, 1718. https://doi.org/10.3390/cancers14071718
Ammendola S, Rizzo PC, Longhi M, Zivelonghi E, Pedron S, Pinna G, Sala F, Nicolato A, Scarpa A, Barresi V. The Immunohistochemical Loss of H3K27me3 in Intracranial Meningiomas Predicts Shorter Progression-Free Survival after Stereotactic Radiosurgery. Cancers. 2022; 14(7):1718. https://doi.org/10.3390/cancers14071718
Chicago/Turabian StyleAmmendola, Serena, Paola Chiara Rizzo, Michele Longhi, Emanuele Zivelonghi, Serena Pedron, Giampietro Pinna, Francesco Sala, Antonio Nicolato, Aldo Scarpa, and Valeria Barresi. 2022. "The Immunohistochemical Loss of H3K27me3 in Intracranial Meningiomas Predicts Shorter Progression-Free Survival after Stereotactic Radiosurgery" Cancers 14, no. 7: 1718. https://doi.org/10.3390/cancers14071718
APA StyleAmmendola, S., Rizzo, P. C., Longhi, M., Zivelonghi, E., Pedron, S., Pinna, G., Sala, F., Nicolato, A., Scarpa, A., & Barresi, V. (2022). The Immunohistochemical Loss of H3K27me3 in Intracranial Meningiomas Predicts Shorter Progression-Free Survival after Stereotactic Radiosurgery. Cancers, 14(7), 1718. https://doi.org/10.3390/cancers14071718

