Proton Beam Therapy in Managing Unresectable Hepatocellular Carcinoma with Bile Duct Invasion
Abstract
Simple Summary
Abstract
1. Introduction
2. Materials and Methods
2.1. Patients
2.2. Treatment
2.3. Follow-Up
2.4. Statistical Analysis
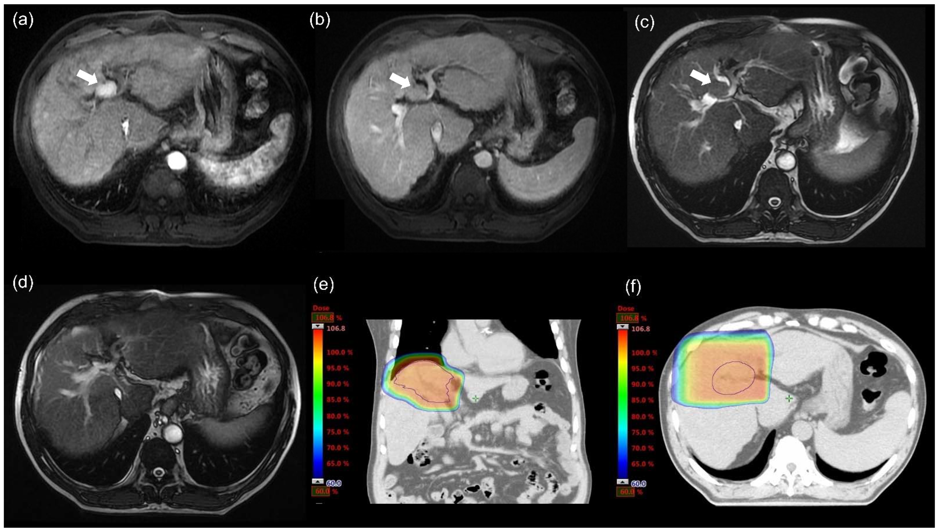
3. Results
4. Discussion
5. Conclusions
Supplementary Materials
Author Contributions
Funding
Institutional Review Board Statement
Informed Consent Statement
Data Availability Statement
Acknowledgments
Conflicts of Interest
References
- European Association for the Study of the Liver. EASL clinical practice guidelines: Management of hepatocellular carcinoma. J. Hepatol. 2018, 69, 182–236. [Google Scholar] [CrossRef] [PubMed]
- Huang, J.F.; Wang, L.Y.; Lin, Z.Y.; Chen, S.C.; Hsieh, M.Y.; Chuang, W.L.; Yu, M.L.; Lu, S.N.; Wang, J.H.; Yeung, K.W. Incidence and clinical outcome of icteric type hepatocellular carcinoma. J. Gastroenterol. Hepatol. 2002, 17, 190–195. [Google Scholar] [CrossRef] [PubMed]
- An, J.; Lee, K.S.; Kim, K.M.; Park, D.H.; Lee, S.S.; Lee, D.; Shim, J.H.; Lim, Y.-S.; Lee, H.C.; Chung, Y.-H. Clinical features and outcomes of patients with hepatocellular carcinoma complicated with bile duct invasion. Clin. Mol. Hepatol. 2017, 23, 160. [Google Scholar] [CrossRef] [PubMed]
- Suh, Y.-G.; Do Young Kim, K.-H.H.; Seong, J. Effective biliary drainage and proper treatment improve outcomes of hepatocellular carcinoma with obstructive jaundice. Gut Liver 2014, 8, 526. [Google Scholar] [CrossRef]
- Wu, J.-Y.; Sun, J.-X.; Wu, J.-Y.; Huang, X.-X.; Bai, Y.-N.; Wei, Y.-G.; Zhang, Z.-B.; Zhou, J.-Y.; Cheng, S.-Q.; Yan, M.-L. Impact of bile duct tumor thrombus on the long-term surgical outcomes of hepatocellular carcinoma patients: A propensity score matching analysis. Ann. Surg. Oncol. 2022, 29, 949–958. [Google Scholar] [CrossRef]
- Lu, J.; Zhang, X.-P.; Zhong, B.-Y.; Lau, W.Y.; Madoff, D.C.; Davidson, J.C.; Qi, X.; Cheng, S.-Q.; Teng, G.-J. Management of patients with hepatocellular carcinoma and portal vein tumour thrombosis: Comparing east and west. Lancet Gastroenterol. Hepatol. 2019, 4, 721–730. [Google Scholar] [CrossRef]
- Marrero, J.A.; Kulik, L.M.; Sirlin, C.B.; Zhu, A.X.; Finn, R.S.; Abecassis, M.M.; Roberts, L.R.; Heimbach, J.K. Diagnosis, Staging, and Management of Hepatocellular Carcinoma: 2018 Practice Guidance by the American Association for the Study of Liver Diseases. Hepatology 2018, 68, 723–750. [Google Scholar] [CrossRef]
- Kasai, Y.; Hatano, E.; Seo, S.; Taura, K.; Yasuchika, K.; Uemoto, S. Hepatocellular carcinoma with bile duct tumor thrombus: Surgical outcomes and the prognostic impact of concomitant major vascular invasion. World J. Surg. 2015, 39, 1485–1493. [Google Scholar] [CrossRef]
- Klein, J.; Dawson, L.A. Hepatocellular carcinoma radiation therapy: Review of evidence and future opportunities. Int. J. Radiat. Oncol. Biol. Phys. 2013, 87, 22–32. [Google Scholar] [CrossRef]
- Jung, J.; Kim, H.; Yoon, S.M.; Cho, B.; Kim, Y.J.; Kwak, J.; Kim, J.H. Targeting Accuracy of Image-Guided Stereotactic Body Radiation Therapy for Hepatocellular Carcinoma in Real-Life Clinical Practice: In Vivo Assessment Using Hepatic Parenchymal Changes on Gd-EOB-DTPA–Enhanced Magnetic Resonance Images. Int. J. Radiat. Oncol. Biol. Phys. 2018, 102, 867–874. [Google Scholar] [CrossRef]
- Kim, J.; Jung, Y. Radiation-induced liver disease: Current understanding and future perspectives. Exp. Mol. Med. 2017, 49, e359. [Google Scholar] [CrossRef] [PubMed]
- Pan, C.C.; Kavanagh, B.D.; Dawson, L.A.; Li, X.A.; Das, S.K.; Miften, M.; Haken, R.K.T. Radiation-Associated Liver Injury. Int. J. Radiat. Oncol. Biol. Phys. 2010, 76, S94–S100. [Google Scholar] [CrossRef] [PubMed]
- Cheng, J.; Liu, C.; Wang, Y.; Hsu, H.; Huang, E.; Huang, T.; Lee, C.; Hung, S.; Huang, B. Proton versus photon radiotherapy for primary hepatocellular carcinoma: A propensity-matched analysis. Radiat. Oncol. 2020, 15, 159. [Google Scholar] [CrossRef] [PubMed]
- Sanford, N.N.; Pursley, J.; Noe, B.; Yeap, B.Y.; Goyal, L.; Clark, J.W.; Allen, J.N.; Blaszkowsky, L.S.; Ryan, D.P.; Ferrone, C.R. Protons versus Photons for Unresectable Hepatocellular Carcinoma: Liver Decompensation and Overall Survival. Int. J. Radiat. Oncol. Biol. Phys. 2019, 105, 64–72. [Google Scholar] [CrossRef]
- Sugahara, S.; Oshiro, Y.; Nakayama, H.; Fukuda, K.; Mizumoto, M.; Abei, M.; Shoda, J.; Matsuzaki, Y.; Thono, E.; Tokita, M.; et al. Proton Beam Therapy for Large Hepatocellular Carcinoma. Int. J. Radiat. Oncol. Biol. Phys. 2010, 76, 460–466. [Google Scholar] [CrossRef]
- Lee, C.-H.; Hung, S.-P.; Hong, J.-H.; Chang, J.T.-C.; Tsang, N.-M.; Chan, K.-M.; Tseng, J.-H.; Huang, S.-C.; Lin, S.-M.; Lien, J.-M. How small is too small? New liver constraint is needed—Proton therapy of hepatocellular carcinoma patients with small normal liver. PLoS ONE 2018, 13, e0203854. [Google Scholar] [CrossRef]
- Yang, J.D.; Hainaut, P.; Gores, G.J.; Amadou, A.; Plymoth, A.; Roberts, L.R. A global view of hepatocellular carcinoma: Trends, risk, prevention and management. Nat. Rev. Gastroenterol. Hepatol. 2019, 16, 589–604. [Google Scholar] [CrossRef]
- Zhou, X.; Wang, J.; Tang, M.; Huang, M.; Xu, L.; Peng, Z.; Li, Z.-P.; Feng, S.-T. Hepatocellular carcinoma with hilar bile duct tumor thrombus versus hilar Cholangiocarcinoma on enhanced computed tomography: A diagnostic challenge. BMC Cancer 2020, 20, 54. [Google Scholar] [CrossRef]
- Long, X.-Y.; Li, Y.-X.; Wu, W.; Li, L.; Cao, J. Diagnosis of bile duct hepatocellular carcinoma thrombus without obvious intrahepatic mass. World J. Gastroenterol. WJG 2010, 16, 4998. [Google Scholar] [CrossRef]
- Liu, Q.-Y.; Huang, S.-Q.; Chen, J.-Y.; Li, H.-G.; Gao, M.; Liu, C.; Liang, B.-L. Small hepatocellular carcinoma with bile duct tumor thrombi: CT and MRI findings. Abdom. Imaging 2010, 35, 537–542. [Google Scholar] [CrossRef]
- UEDA, M.; Takeuchi, T.; Takayasu, T.; Takahashi, K.; Okamoto, S.; Tanaka, A.; Morimoto, T.; Mori, K.; Yamaoka, Y. Classification and surgical treatment of hepatocellular carcinoma (HCC) with bile duct thrombi. Hepatogastroenterology 1994, 41, 349–354. [Google Scholar] [PubMed]
- Hu, X.-G.; Mao, W.; Hong, S.Y.; Kim, B.-W.; Xu, W.-G.; Wang, H.-J. Surgical treatment for hepatocellular carcinoma with bile duct invasion. Ann. Surg. Treat. Res. 2016, 90, 139–146. [Google Scholar] [CrossRef] [PubMed]
- Nakayama, H.; Sugahara, S.; Fukuda, K.; Abei, M.; Shoda, J.; Sakurai, H.; Tsuboi, K.; Matsuzaki, Y.; Tokuuye, K. Proton beam therapy for hepatocellular carcinoma located adjacent to the alimentary tract. Int. J. Radiat. Oncol. Biol. Phys. 2011, 80, 992–995. [Google Scholar] [CrossRef] [PubMed]
- Mizumoto, M.; Okumura, T.; Hashimoto, T.; Fukuda, K.; Oshiro, Y.; Fukumitsu, N.; Abei, M.; Kawaguchi, A.; Hayashi, Y.; Ookawa, A. Proton beam therapy for hepatocellular carcinoma: A comparison of three treatment protocols. Int. J. Radiat. Oncol. Biol. Phys. 2011, 81, 1039–1045. [Google Scholar] [CrossRef] [PubMed]
- Lencioni, R.; Llovet, J.M. Modified RECIST (mRECIST) Assessment for Hepatocellular Carcinoma. Semin. Liver Dis. 2010, 30, 52–60. [Google Scholar] [CrossRef]
- Gray, B. cmprsk: Subdistribution Analysis of Competing Risks. 2022. Available online: http://CRAN.R-project.org/package=cmprsk (accessed on 6 February 2022).
- Qin, L.-X.; Tang, Z.-Y. Hepatocellular carcinoma with obstructive jaundice: Diagnosis, treatment and prognosis. World J. Gastroenterol. 2003, 9, 385. [Google Scholar] [CrossRef]
- Park, J.; Kim, H.-C.; Lee, J.-H.; Cho, E.; Kim, M.; Hur, S.; Jae, H.J.; Lee, M.; Chung, J.W. Chemoembolisation for hepatocellular carcinoma with bile duct invasion: Is preprocedural biliary drainage mandatory? Eur. Radiol. 2018, 28, 1540–1550. [Google Scholar] [CrossRef]
- Choi, J.W.; Chung, J.W.; Cho, Y.K.; Kim, Y.J.; Yoon, J.-H.; Kim, H.-C.; Jae, H.J. Transarterial chemoembolization for hepatocellular carcinomas with central bile duct invasion: Safety, prognosis, and predictive factors. Cardiovasc. Interv. Radiol. 2015, 38, 937–945. [Google Scholar] [CrossRef]
- Cui, W.; Xu, R.; Wang, Y.; Shi, F.; Li, J.; Chen, X. Percutaneous endobiliary radiofrequency ablation and stents in management of hepatocellular carcinoma with bile duct tumor thrombus: Initial single-institution experience. Asia Pac. J. Clin. Oncol. 2020, 16, 259–265. [Google Scholar] [CrossRef]
- Chi, Q.; Shi, Z.; Zhang, Z.; Zhang, X.; Zhang, L.; Weng, S. Outcomes of resection for hepatocellular carcinoma with macroscopic bile duct tumour thrombus: A propensity score matched study. Oncol. Lett. 2020, 20, 118. [Google Scholar] [CrossRef]
- Lin, Z.; Han, M.; Zhou, Z. Prognosis for patients with hepatocellular carcinoma (HCC) with bile duct tumor thrombus (BDTT) after surgical treatment. Biosci. Trends 2019, 13, 77–85. [Google Scholar] [CrossRef] [PubMed]
- Yang, X.; Qiu, Z.; Ran, R.; Cui, L.; Luo, X.; Wu, M.; Tan, W.F.; Jiang, X. Prognostic importance of bile duct invasion in surgical resection with curative intent for hepatocellular carcinoma using PSM analysis. Oncol. Lett. 2018, 16, 3593–3602. [Google Scholar] [CrossRef] [PubMed]
- Kim, D.-S.; Kim, B.-W.; Hatano, E.; Hwang, S.; Hasegawa, K.; Kudo, A.; Ariizumi, S.; Kaibori, M.; Fukumoto, T.; Baba, H. Surgical Outcomes of Hepatocellular Carcinoma With Bile Duct Tumor Thrombus: A Korea–Japan Multicenter Study. Ann. Surg. 2020, 271, 913–921. [Google Scholar] [CrossRef] [PubMed]
- Yang, K.; Sung, P.S.; Oh, J.S.; Chun, H.J.; Jang, J.W.; Bae, S.H.; Choi, J.Y.; Yoon, S.K. Transarterial Chemolipiodolization for Hepatocellular Carcinoma with Central Bile Duct Invasion Causing Conjugated Hyperbilirubinemia: Safety and Prognostic Factors for Survival. J. Liver Cancer 2018, 18, 121–129. [Google Scholar] [CrossRef][Green Version]
- Hong, T.S.; Wo, J.Y.; Yeap, B.Y.; Ben-Josef, E.; McDonnell, E.I.; Blaszkowsky, L.S.; Kwak, E.L.; Allen, J.N.; Clark, J.W.; Goyal, L.; et al. Multi-Institutional Phase II Study of High-Dose Hypofractionated Proton Beam Therapy in Patients With Localized, Unresectable Hepatocellular Carcinoma and Intrahepatic Cholangiocarcinoma. J. Clin. Oncol. 2016, 34, 460–468. [Google Scholar] [CrossRef]
- Yoo, G.S.; Yu, J.I.; Cho, S.; Jung, S.H.; Han, Y.; Park, S.; Oh, Y.; Lee, B.; Park, H.C.; Lim, D.H. Comparison of clinical outcomes between passive scattering versus pencil-beam scanning proton beam therapy for hepatocellular carcinoma. Radiother. Oncol. 2020, 146, 187–193. [Google Scholar] [CrossRef]
- Hsieh, C.-E.; Venkatesulu, B.P.; Lee, C.-H.; Hung, S.-P.; Wong, P.-F.; Aithala, S.P.; Kim, B.K.; Rao, A.; Chang, J.T.-C.; Tsang, N.-M. Predictors of radiation-induced liver disease in eastern and western patients with hepatocellular carcinoma undergoing proton beam therapy. Int. J. Radiat. Oncol. Biol. Phys. 2019, 105, 73–86. [Google Scholar] [CrossRef]
- Mizumoto, M.; Okumura, T.; Hashimoto, T.; Fukuda, K.; Oshiro, Y.; Fukumitsu, N.; Abei, M.; Kawaguchi, A.; Hayashi, Y.; Ohkawa, A.; et al. Evaluation of Liver Function After Proton Beam Therapy for Hepatocellular Carcinoma. Int. J. Radiat. Oncol. Biol. Phys. 2012, 82, e529–e535. [Google Scholar] [CrossRef]
- Kawashima, M.; Kohno, R.; Nakachi, K.; Nishio, T.; Mitsunaga, S.; Ikeda, M.; Konishi, M.; Takahashi, S.; Gotohda, N.; Arahira, S. Dose–volume histogram analysis of the safety of proton beam therapy for unresectable hepatocellular carcinoma. Int. J. Radiat. Oncol. Biol. Phys. 2011, 79, 1479–1486. [Google Scholar] [CrossRef]
- Toramatsu, C.; Katoh, N.; Shimizu, S.; Nihongi, H.; Matsuura, T.; Takao, S.; Miyamoto, N.; Suzuki, R.; Sutherland, K.; Kinoshita, R. What is the appropriate size criterion for proton radiotherapy for hepatocellular carcinoma? A dosimetric comparison of spot-scanning proton therapy versus intensity-modulated radiation therapy. Radiat. Oncol. 2013, 8, 48. [Google Scholar] [CrossRef]
- Chandrasekhara, K.L.; Iyer, S.K. Obstructive jaundice due to radiation-induced hepatic duct stricture. Am. J. Med. 1984, 77, 723–724. [Google Scholar] [CrossRef]
- Gorea, G.; Demy, M.; Van Nhieu, J.T.; Tigori, J.; Aubé, C.; Cherqui, D.; Oberti, F.; Caroli-Bosc, F.-X.; Calès, P. Radiation-induced cholangitis with hepatocellular carcinoma. Gastroentérol. Clin. Biol. 2010, 34, 35–39. [Google Scholar] [CrossRef] [PubMed][Green Version]
- Hung, S.-P.; Huang, B.-S.; Hsieh, C.-E.; Lee, C.-H.; Tsang, N.-M.; Chang, J.T.-C.; Chen, J.-S.; Chou, W.-C.; Tseng, J.-H.; Hong, J.-H. Clinical Outcomes of Patients With Unresectable Cholangiocarcinoma Treated With Proton Beam Therapy. Am. J. Clin. Oncol. 2020, 43, 180–186. [Google Scholar] [CrossRef] [PubMed]





| Variable | N | % |
|---|---|---|
| Median age (years) | 61.5 (42–83) | |
| Male sex | 17 | 85.0 |
| Performance status | ||
| 0 | 7 | 35.0 |
| 1 | 13 | 65.0 |
| Viral hepatitis | ||
| HBV | 13 | 65.0 |
| HCV | 3 | 15.0 |
| None | 4 | 20.0 |
| Child–Pugh score | ||
| 5 | 9 | 45.0 |
| 6 | 7 | 35.0 |
| 7 | 2 | 10.0 |
| 8 | 1 | 5.0 |
| 9 | 1 | 5.0 |
| Baseline laboratory exam | Median (range) | |
| Albumin (g/dL) | 4.0 (2.7–4.7) | |
| Total bilirubin (mg/dL) | 1.7 (0.5–8.6) | |
| INR | 1.2 (1.0–1.8) | |
| AST (U/L) | 70.0 (37.0–202.0) | |
| ALT (U/L) | 67.0 (17.0–368.0) | |
| Alk-P (U/L) | 142 (62–349) | |
| AFP (ng/mL) | 447.2 (23.0–440,589.0) | |
| Previous treatment | N | % |
| Surgery | 2 | 10.0 |
| RFA | 7 | 35.0 |
| TACE | 10 | 50.0 |
| HAIC | 2 | 10.0 |
| Sorafenib | 3 | 15.0 |
| Immunotherapy | 1 | 5.0 |
| None | 5 | 25.0 |
| Combined treatment during PBT | ||
| Sorafenib | 3 | 15.0 |
| Immunotherapy | 1 | 5.0 |
| None | 16 | 80.0 |
| Median sum of tumor diameter | 6.3 (1–18.5) cm | |
| <5.0 cm | 7 | 35.0 |
| 5.0–9.9 cm | 6 | 30.0 |
| ≥10.0 cm | 7 | 35.0 |
| Numbers of tumor | ||
| Single | 9 | 45.0 |
| Multiple | 11 | 55.0 |
| Vascular thrombosis | ||
| Segmental portal vein | 5 | 25 |
| Main portal vein | 9 | 45 |
| TNM stage a | ||
| IA | 1 | 5.0 |
| IB | 4 | 20.0 |
| II | 4 | 20.0 |
| IIIA | 2 | 10.0 |
| IIIB | 8 | 40.0 |
| IVA | 1 | 5.0 |
| BCLC | ||
| 0 | 1 | 5.0 |
| A | 4 | 20.0 |
| B | 2 | 10.0 |
| C | 13 | 65.0 |
| UEDA classification | ||
| II | 5 | 20.0 |
| IIIa | 6 | 35.0 |
| IIIb | 2 | 10.0 |
| IV (combined with II/IIIa) | 7 (1/6) | 35.0 (5.0/30.0) |
| Variable | Median (Range) |
|---|---|
| CTV (cm3) | 280.3 (35.8–1852.4) |
| NLV (cm3) | 1229.3 (694.3–1723.0) |
| Mean dose (GyRBE) | 16.8 (11.5–28.0) |
| NILV (cm3) | 613.2 (104.4–1034.4) |
| V10 (%) | 35.9 (27.9–56.4) |
| (cm3) | 396.2 (240.1–813.0) |
| V20 (%) | 30.7 (23.6–50.2) |
| (cm3) | 345.8 (197.9–723.7) |
| V30 (%) | 25.7 (17.7–42.8) |
| (cm3) | 291.5 (162.5–618.2) |
| V40 (%) | 20.9 (9.5–37.6) |
| (cm3) | 242.6 (128.4–544.3) |
| Study | Patient No. | Child–Pugh Class | Total Bilirubin (mg/dL) | Tumor Size | Multiple Tumor | TNM * | UEDA Classification | Major Vascular Invasion | Treatment | Overall Survival | Toxicity |
|---|---|---|---|---|---|---|---|---|---|---|---|
| 2018, Xinwei Yang, et al. [33] | 107 | N/A | Median: 3.57 | <5 cm: 49; ≥5 cm: 58 | Yes: 22; No: 85 | I: 16; II: 24; III: 62; IV: 5 | N/A | Yes: 13; No: 94 | Hepatectomy: 107 | Median: 16.6 months; 1-y: 60.5%; 3-y: 20.1%, 5-y: 12.0% | Mortality:2; pleural effusions: 5; hemobilia:3; biliary tract infection:1; bile leakage: 1; upper gastrointestinal ulcer bleeding: 1; thoracic epidural hematoma: 1; infection at the incision site:2 |
| 2019, Zhichuan Lin, et al. [32] | 25 | N/A | ≤11.7: 16; >11.7:9 | <5 cm: 13; ≥5 cm: 12 | Yes: 2; No: 23 | N/A | I: 2; II: 2; III: 21 | Yes: 5; No: 20 | Hepatectomy: 25 (radical resection) | Median: 19 months; 1-y: 68.0%; 3-y: 32.0%, 5-y: 24.0% | Mortality:2; gastrointestinal ulcer bleeding: 2; subphrenic effusion: 3; pulmonary infection: 3 |
| 2020, Qiyu Chi, et al. [31] | 25 | A: 20; B: 5 | N/A | 6.97 ± 3.45 cm | Yes: 4; No: 21 | I: 8; II: 11; III: 6 | I: 2; II: 8; III:15 | Yes: 5; No 20 | Hepatectomy: 25 | 1-y: 75.0%; 3-y: 38.7%, 5-y: 17.7% | Perioperative mortality: 4% |
| This study | 20 | A: 16; B: 4 | Median: 1.7; ≤1: 6; >1:13 | <5 cm: 10; ≥5 cm: 10 | Yes: 11; No: 9 | I: 5; II: 4; IIIa: 2; IIIb: 8l; IVa: 1 | II: 4; IIIa: 7; IIIb: 2; IV: 7 | Yes: 9; No 11 | Proton beam therapy | Median: 19 months; 1-y: 79.4%; 2-y: 46.6% | Dermatitis: 13 (65%); gastrointestinal ulcer: 8 (40%); RILD: 4 (20%) |
Publisher’s Note: MDPI stays neutral with regard to jurisdictional claims in published maps and institutional affiliations. |
© 2022 by the authors. Licensee MDPI, Basel, Switzerland. This article is an open access article distributed under the terms and conditions of the Creative Commons Attribution (CC BY) license (https://creativecommons.org/licenses/by/4.0/).
Share and Cite
Lee, C.-H.; Chen, A.-H.; Hung, S.-P.; Hsieh, C.-E.; Tseng, J.-H.; Chen, P.-J.; Cheng, J.-Y.; Chang, J.T.-C.; Chan, K.-M.; Lin, S.-M.; et al. Proton Beam Therapy in Managing Unresectable Hepatocellular Carcinoma with Bile Duct Invasion. Cancers 2022, 14, 1616. https://doi.org/10.3390/cancers14071616
Lee C-H, Chen A-H, Hung S-P, Hsieh C-E, Tseng J-H, Chen P-J, Cheng J-Y, Chang JT-C, Chan K-M, Lin S-M, et al. Proton Beam Therapy in Managing Unresectable Hepatocellular Carcinoma with Bile Duct Invasion. Cancers. 2022; 14(7):1616. https://doi.org/10.3390/cancers14071616
Chicago/Turabian StyleLee, Ching-Hsin, An-Hsin Chen, Sheng-Ping Hung, Cheng-En Hsieh, Jeng-Hwei Tseng, Po-Jui Chen, Jen-Yu Cheng, Joseph Tung-Chieh Chang, Kun-Ming Chan, Shi-Ming Lin, and et al. 2022. "Proton Beam Therapy in Managing Unresectable Hepatocellular Carcinoma with Bile Duct Invasion" Cancers 14, no. 7: 1616. https://doi.org/10.3390/cancers14071616
APA StyleLee, C.-H., Chen, A.-H., Hung, S.-P., Hsieh, C.-E., Tseng, J.-H., Chen, P.-J., Cheng, J.-Y., Chang, J. T.-C., Chan, K.-M., Lin, S.-M., Lin, C.-C., Chen, W.-T., Chen, W.-Y., & Huang, B.-S. (2022). Proton Beam Therapy in Managing Unresectable Hepatocellular Carcinoma with Bile Duct Invasion. Cancers, 14(7), 1616. https://doi.org/10.3390/cancers14071616

